Флюс, или острый периодонтит, — это воспаление тканей вокруг корня зуба, часто сопровождающееся болезненной опухолью. В статье рассмотрим методы снятия опухоли в домашних условиях за один день, а также причины и симптомы флюса. Эти знания помогут быстро облегчить состояние до визита к стоматологу и предотвратить повторное возникновение проблемы.
Причины появления флюса
Несмотря на значительный дискомфорт, устранить зубную опухоль можно довольно быстро, если следовать рекомендациям врача.
Давайте рассмотрим, какие методы лечения периостита являются наиболее эффективными и актуальными.
Прежде чем узнать, как уменьшить опухоль при флюсе, важно разобраться в причинах этого заболевания. К наиболее распространённым факторам, способствующим развитию флюса, относятся кариозные зубы, инфекции, механические повреждения десен, а также воспалительные процессы между зубами и деснами. В любом случае, появление флюса и его симптомы доставляют значительные неудобства, мешая нормальному образу жизни.
В некоторых ситуациях заболевание может сопровождаться повышением температуры и общей слабостью, поэтому отсутствие своевременной медицинской помощи может привести к серьёзным осложнениям.
Наилучшим способом лечения флюса является обращение к стоматологу, однако, если визит к врачу невозможен в данный момент, облегчить неприятные симптомы можно и в домашних условиях.
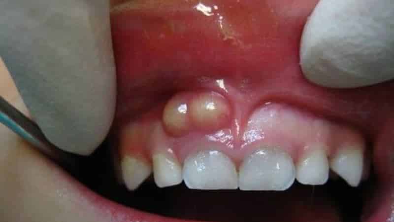
Важно понимать, что такое лечение лишь временно снимет симптомы, и консультация специалиста всё равно потребуется. Удаление гнойника осуществляется хирургическим путём – врач вскрывает его и удаляет содержимое, однако на ранних стадиях возможно применение антибиотиков, если гнойный нарыв ещё не образовался.
В зависимости от типа заболевания, выделяют два вида флюса:
— острый (симптомы: высокая температура, сильные пульсирующие головные боли, отдающие в шею);
— хронический (симптомы: выраженный отёк щеки от виска до шеи, ноющие боли, часто повышенная температура).
Если периостит развивается между краем зуба и деснами, существует высокий риск попадания инфекции, которая и вызывает гнойное воспаление.
Врачи утверждают, что снять флюс за один день возможно, но это требует комплексного подхода. Прежде всего, необходимо обратиться к стоматологу, который проведет осмотр и определит причину воспаления. В большинстве случаев назначаются антибиотики для борьбы с инфекцией и противовоспалительные препараты для уменьшения отека.
Кроме того, специалисты рекомендуют полоскания с антисептическими растворами, которые помогают снизить воспаление и ускорить процесс заживления. В некоторых случаях может потребоваться дренирование абсцесса, что также способствует быстрому облегчению состояния.
Важно помнить, что самолечение может привести к осложнениям, поэтому консультация с врачом является обязательной. Своевременное обращение за медицинской помощью и соблюдение рекомендаций специалистов помогут значительно ускорить процесс выздоровления.
https://youtube.com/watch?v=w22PAcyzK5o
Хирургическое лечение флюса
Хирургическое лечение флюса осуществляется под местной анестезией. Стоматолог выполняет небольшой разрез в области образования нарыва и аккуратно удаляет гной до появления крови. Основной проблемой при флюсе является то, что при первом вмешательстве гной может остаться в ране, что потребует повторной процедуры. В комплексное лечение также входят противовоспалительные препараты, которые следует принимать по рекомендации врача.
Лечение флюса с использованием методов народной медицины возможно, если пациент не может своевременно обратиться за медицинской помощью.
Хотя многие пациенты скептически относятся к народным средствам, некоторые из них могут быть весьма эффективными при флюсе. Как можно уменьшить отек в домашних условиях? Прежде чем использовать народные рецепты, важно помнить, что то, что подходит одному человеку, может не сработать для другого, поэтому метод проб и ошибок является наилучшим способом найти подходящее средство.
Необходимо учитывать, что флюс представляет собой воспалительный процесс, поэтому не рекомендуется нагревать пораженное место — в теплой среде бактерии размножаются быстрее.
| Метод | Описание | Эффективность |
|---|---|---|
| Полоскание солевым раствором | Развести 1 чайную ложку соли в стакане теплой воды. Полоскать рот каждые 2-3 часа. | Снижает воспаление, уменьшает боль. Не устраняет причину. |
| Холодный компресс | Приложить лед, завернутый в ткань, к щеке в области флюса на 15-20 минут. Повторять несколько раз в день. | Уменьшает отек и боль. Не устраняет причину. |
| Обезболивающие препараты | Принять безрецептурные обезболивающие (например, ибупрофен, парацетамол) по инструкции. | Снимает боль и воспаление. Не устраняет причину. |
| Антисептические полоскания | Использовать готовые антисептические растворы для полоскания рта (например, хлоргексидин). | Уменьшает количество бактерий, снижает риск распространения инфекции. Не устраняет причину. |
| Обращение к стоматологу | Обязательно! Флюс – это серьезное воспаление, требующее профессионального лечения. | Единственный способ устранить причину и предотвратить осложнения. |
Народные методы лечения флюса
Как избавиться от зубной опухоли в домашних условиях? Одним из самых эффективных и доступных способов лечения флюса является использование пищевой соды. Этот простой ингредиент помогает не только при заболеваниях горла, но и при различных проблемах в ротовой полости. Для приготовления раствора на 200 мл кипятка добавьте столовую ложку соды и столько же соли. После остывания раствора используйте его для полоскания рта. Процедуру рекомендуется повторять 2-3 раза в день.
Для уменьшения отека и облегчения неприятных ощущений можно воспользоваться шалфеем. Обрабатывайте гнойник раствором этого растения утром и вечером. Также можно использовать его для полосканий.
Общее укрепляющее действие оказывают такие травы, как мелисса, ромашка и различные сборы.
Среди наиболее проверенных и эффективных рецептов в борьбе с флюсом можно выделить следующие советы:
- Смешайте 2 столовые ложки шалфея и дубовой коры, добавьте 3 столовые ложки измельченного зверобоя. Залейте литром горячей воды, накройте и оставьте на полчаса. После настаивания процедите через марлю и используйте для полоскания рта после каждого приема пищи. Рекомендуется применять горячим.
- Смешайте по столовой ложке трав: горчичник, шалфей и синеголовик. Залейте 200 мл водки или кипятка. Настаивайте 2-3 часа в темном месте, затем используйте для полоскания рта или прикладывайте к гнойнику ватку, смоченную в настое.
- Полстакана крепкого отвара мелиссы залейте литром кипятка. Накройте емкость капроновой крышкой и укутайте полотенцем на несколько часов. После остывания используйте для полоскания рта около 8-10 раз.
- К 100 г мяты добавьте по 50 г барвинка, дудника и березовых почек. Залейте 1 литром кипятка, настойте около часа и используйте для полоскания после каждого приема пищи.
- Смешайте настой шалфея и крепкий зеленый чай в равных пропорциях. После фильтрации добавьте чайную ложку обычной соли и тщательно перемешайте. Перед полосканием раствор следует подогреть.
- Две столовые ложки коры дуба залейте 250 мл кипятка. Настаивайте полчаса перед использованием. Регулярное применение этого отвара помогает уменьшить дискомфорт и облегчить боль.
Также для борьбы с флюсом полезны отвары из таких растений, как корень аира, календула и капустный лист.
https://youtube.com/watch?v=FrM8LU4ioGo
Настойки для лечения флюса
Снять воспаление и предотвратить размножение бактерий поможет использование спиртовых настоек. Такие препараты можно найти в аптеке или приготовить самостоятельно.
Вот один из эффективных рецептов для борьбы с флюсом:
Одним из лучших способов оказания первой помощи при флюсе в домашних условиях является следующий: возьмите пол-литра водки и смешайте с 90 граммами прополиса. Получившуюся настойку поместите в темное место на 14-15 дней. После этого тщательно процедите через марлю или сито и используйте для компрессов и примочек. Храните настойку в прохладном месте, защищая от прямых солнечных лучей.
Для облегчения дискомфорта также можно использовать прополис в его натуральном виде, который рекомендуется жевать время от времени.
Как вылечить флюс с помощью мазей
Мази, приготовленные в домашних условиях, могут стать отличным средством при периостите, особенно для тех, кто ищет способы быстро устранить флюс при воспалении десен.
Преимущества использования таких мазей заключаются в доступности компонентов, высокой эффективности и комплексном воздействии на организм в целом.
- Смешайте высушенные цветки календулы с растопленным сливочным маслом в соотношении 1 к 5. Наносите полученную мазь на воспалённый участок перед сном.
- В 50 г подогретого сливочного масла добавьте 20 г прополиса. Тщательно перемешайте до получения однородной массы, затем поместите в холодильник. Используйте по мере необходимости.
- Для приготовления целебной медовой мази смешайте равные части оливкового и льняного масла в небольшой ёмкости. Добавьте 50 мг пчелиного воска и 1 столовую ложку натурального меда. Подогрейте на водяной бане до полного расплавления воска. Наносите на воспалённое место с помощью ватной палочки и храните в холодильнике.
Чтобы облегчить пульсирующую боль, можно использовать кусочек ваты, смоченный в луковом соке. Лук обладает мощными антибиотическими свойствами, что помогает остановить размножение бактерий и уменьшить болевые ощущения.
Интересным, но эффективным средством является зубчик чеснока, прикладываемый к запястью. Несмотря на свою необычность, этот метод действительно работает. Измельчите зубчик чеснока до состояния пасты, заверните в марлю и привяжите к запястью на стороне, противоположной больной десне.
Как видно, народная медицина предлагает множество способов борьбы с флюсом. Однако если, несмотря на все усилия, вам не удаётся справиться с инфекцией, хирургическое вмешательство и антибиотики могут стать необходимыми мерами. Важно помнить, что игнорировать данное заболевание нельзя, так как инфекция может распространиться на здоровые зубы и, в худшем случае, затронуть кости, что приведёт к серьёзным осложнениям, вплоть до летального исхода.
https://youtube.com/watch?v=IkKRCBDBBb0
Профилактика флюса
Профилактика флюса является важным аспектом поддержания здоровья полости рта. Флюс, или острый периодонтит, представляет собой воспаление тканей, окружающих корень зуба, и может привести к серьезным осложнениям, если не принять меры вовремя. Чтобы избежать возникновения флюса, следует соблюдать несколько простых, но эффективных рекомендаций.
1. Регулярная гигиена полости рта: Чистка зубов дважды в день с использованием зубной пасты, содержащей фтор, помогает предотвратить образование кариеса и воспалительных процессов. Не забывайте также о зубной нити и ополаскивателях для рта, которые способствуют удалению остатков пищи и бактерий из межзубных пространств.
2. Посещение стоматолога: Регулярные профилактические осмотры у стоматолога (не реже одного раза в полгода) позволяют выявить проблемы на ранних стадиях. Стоматолог может провести профессиональную чистку зубов и дать рекомендации по уходу за полостью рта.
3. Правильное питание: Сбалансированная диета, богатая витаминами и минералами, способствует укреплению зубов и десен. Избегайте избыточного потребления сахара и кислых продуктов, которые могут способствовать разрушению зубной эмали и развитию кариеса.
4. Избегание травм: Будьте осторожны при употреблении жесткой пищи и избегайте использования зубов в качестве инструмента. Травмы зубов могут привести к воспалению и, как следствие, к флюсу.
5. Лечение заболеваний десен: Заболевания десен, такие как гингивит и пародонтит, могут стать причиной развития флюса. Если вы заметили покраснение, отек или кровоточивость десен, обратитесь к стоматологу для своевременного лечения.
6. Укрепление иммунной системы: Поддержание иммунной системы в хорошем состоянии помогает организму бороться с инфекциями. Регулярные физические нагрузки, достаточный сон и отказ от вредных привычек, таких как курение, способствуют укреплению иммунитета.
Следуя этим рекомендациям, вы сможете значительно снизить риск возникновения флюса и других стоматологических заболеваний. Помните, что профилактика всегда проще и эффективнее, чем лечение, поэтому заботьтесь о своем здоровье заранее.
Диета при флюсе
При флюсе, или острых респираторных инфекциях, важно правильно организовать питание, чтобы поддержать иммунную систему и ускорить процесс выздоровления. Диета должна быть сбалансированной, богатой витаминами и минералами, а также легко усваиваемой.
Во-первых, необходимо увеличить потребление жидкости. Это поможет избежать обезвоживания и способствует разжижению слизи. Рекомендуется пить теплые напитки, такие как травяные чаи, компоты, бульоны и простую воду. Избегайте кофе и алкогольных напитков, так как они могут способствовать обезвоживанию.
Во-вторых, в рацион следует включить продукты, богатые витамином C, который помогает укрепить иммунную систему. К таким продуктам относятся цитрусовые (апельсины, лимоны), киви, ягоды, болгарский перец и брокколи. Витамин C способствует улучшению общего состояния организма и помогает быстрее справиться с инфекцией.
Также стоит обратить внимание на белковые продукты, такие как нежирное мясо, рыба, яйца и бобовые. Белок необходим для восстановления тканей и поддержания иммунной функции. Включение в рацион молочных продуктов, таких как йогурт и кефир, поможет улучшить работу кишечника и поддержать микрофлору.
Не забывайте о сложных углеводах, которые обеспечивают организм энергией. Овсянка, гречка, картофель и цельнозерновой хлеб – отличные источники углеводов, которые легко усваиваются и не нагружают пищеварительную систему.
Важно избегать тяжелой, жирной и острой пищи, так как она может раздражать слизистую оболочку желудка и ухудшать общее состояние. Также стоит ограничить потребление сахара, который может подавлять иммунный ответ организма.
В заключение, правильная диета включает в себя разнообразные и питательные продукты, которые помогут организму справиться с инфекцией. Соблюдение режима питания и достаточное количество жидкости – ключевые факторы для быстрого выздоровления.
Когда обращаться к врачу
Обращение к врачу при наличии флюса является важным шагом, который не следует откладывать. Флюс, или острый периодонтит, представляет собой воспаление тканей, окружающих корень зуба, и может привести к серьезным осложнениям, если не будет своевременно лечен.
Существует несколько признаков, которые указывают на необходимость немедленного обращения к стоматологу:
- Сильная боль: Если вы испытываете резкую, пульсирующую боль в области зуба или десны, это может быть признаком флюса. Боль может усиливаться при нажатии на зуб или при жевании.
- Отек: Появление отека в области десен, щек или даже шеи также является тревожным сигналом. Отек может быть заметным и сопровождаться покраснением кожи.
- Повышение температуры: Лихорадка или повышение температуры тела могут свидетельствовать о наличии инфекции, которая требует медицинского вмешательства.
- Неприятный запах изо рта: Если вы заметили, что у вас появился неприятный запах изо рта, это может быть связано с гнойным процессом в области зуба.
- Проблемы с открыванием рта: Если вы испытываете трудности при открывании рта или чувствуете дискомфорт при движении челюсти, это также может указывать на воспаление.
Если вы заметили один или несколько из этих симптомов, не откладывайте визит к врачу. Стоматолог проведет осмотр, возможно, назначит рентгенографию для определения степени воспаления и примет решение о дальнейшем лечении. Важно помнить, что самолечение может привести к ухудшению состояния и развитию осложнений, таких как абсцесс или распространение инфекции на другие участки организма.
В некоторых случаях, если флюс не лечить, может возникнуть необходимость в хирургическом вмешательстве, например, в удалении зуба или дренировании гнойника. Поэтому своевременное обращение к специалисту поможет избежать серьезных последствий и ускорить процесс выздоровления.




