Заболевания полости рта у взрослых — распространенная проблема, влияющая на здоровье и качество жизни. В статье рассмотрим основные болезни зубов и десен, их симптомы, последствия и факторы, влияющие на состояние слизистой рта. Знание этих аспектов поможет читателям распознать признаки заболеваний и обратиться за медицинской помощью, что способствует профилактике осложнений и поддержанию здоровья полости рта.
Какие факторы влияют на состояние слизистой оболочки человека
Для начала рассмотрим, какие факторы оказывают влияние на состояние слизистой оболочки человека:
- бесконтрольный и самостоятельный прием антибиотиков и мощных препаратов;
- ослабленные иммунные силы, наличие ВИЧ или СПИДа;
- воспалительные процессы в области зубов и десен;
- нарушения и заболевания внутренних органов;
- резкие колебания температуры;
- неправильно составленный рацион (избыточное потребление острой или кислой пищи);
- вредные привычки (алкоголизм, курение);
- наличие воспалительных процессов и инфекций;
- общее обезвоживание организма;
- нехватка витаминов;
- нестабильный гормональный уровень;
- генетическая предрасположенность.
В здоровом состоянии полость рта населена бактериями и другими микроорганизмами, которые находятся в условно-патогенном состоянии. Однако под воздействием перечисленных факторов они могут вызывать различные заболевания слизистой оболочки: инфекционные, воспалительные, вирусные, грибковые, лишайные, а также дисбактериоз.
Врачи отмечают, что болезни полости рта у взрослых становятся все более распространенной проблемой. Кариес, гингивит и пародонтит — это лишь некоторые из заболеваний, которые могут привести к серьезным последствиям, если не уделять им должного внимания. Специалисты подчеркивают важность регулярных визитов к стоматологу, так как многие заболевания на ранних стадиях протекают без симптомов. Кроме того, врачи акцентируют внимание на связи между состоянием полости рта и общим здоровьем. Например, инфекции десен могут способствовать развитию сердечно-сосудистых заболеваний. Профилактика, включая правильную гигиену и сбалансированное питание, играет ключевую роль в поддержании здоровья зубов и десен. Врачи призывают пациентов не игнорировать первые признаки проблем и своевременно обращаться за помощью.
https://youtube.com/watch?v=01ryIrKZ3K4
Инфекционные и воспалительные процессы
К инфекционным заболеваниям ротовой полости и языка (см. фото ниже) относятся стоматиты. Их возникновение чаще всего связано с недостаточной и неправильной гигиеной полости рта, а иногда они могут быть следствием заболеваний желудочно-кишечного тракта и других недугов (например, ангины).
- Катаральный стоматит. Основным признаком этого вида является отек слизистой оболочки, который сопровождается болевыми ощущениями и образованием белесого или светло-желтого налета.
- Язвенный стоматит. При этом типе заболевания слизистая поражается на всей глубине и площади. Это состояние сопровождается отеком лимфатических узлов, головокружением, болями, общей слабостью и недомоганием. Обычно данный вид наблюдается у пациентов с язвенной болезнью желудка или кишечника, а также при энтерите.
- Афтозный стоматит. Характеризуется эрозивными поражениями слизистой и образованием афт. Он может возникать из-за инфекции в ротовой полости, дисбаланса в желудочно-кишечном тракте, ревматизма, а также как реакция на аллергены. Основные симптомы включают вялость, повышение температуры и, в конечном итоге, появление эрозийных язв.
| Название болезни | Причины возникновения | Симптомы | Профилактика и лечение |
|---|---|---|---|
| Кариес | Бактерии, сахар, плохая гигиена | Боль, чувствительность, дырки в зубах | Чистка зубов, фторирование, пломбирование |
| Гингивит | Налет, зубной камень, гормональные изменения | Кровоточивость десен, отек, покраснение | Профессиональная чистка, антисептики, правильная гигиена |
| Пародонтит | Нелеченный гингивит, курение, генетика | Расшатывание зубов, гной, неприятный запах изо рта | Глубокая чистка, антибиотики, хирургия |
| Стоматит | Вирусы, бактерии, травмы, аллергия | Язвы, боль, жжение во рту | Антисептики, противовирусные, обезболивающие |
| Герпес | Вирус простого герпеса | Пузырьки, язвы на губах и во рту | Противовирусные препараты, иммуномодуляторы |
| Кандидоз | Грибок Candida, ослабленный иммунитет | Белый налет, жжение, боль | Противогрибковые препараты, улучшение иммунитета |
| Лейкоплакия | Курение, алкоголь, хроническая травма | Белые пятна на слизистой, не снимаются | Отказ от вредных привычек, биопсия, удаление |
| Ксеростомия | Прием лекарств, заболевания, обезвоживание | Сухость во рту, затруднение глотания | Искусственная слюна, увлажнители, лечение основного заболевания |
| Бруксизм | Стресс, неправильный прикус | Скрежет зубами, боль в челюсти, стирание зубов | Капы, релаксация, коррекция прикуса |
| Перикоронит | Затрудненное прорезывание зуба мудрости | Боль, отек, воспаление десны вокруг зуба | Антибиотики, промывание, удаление зуба |
Вирусные болезни
К таким заболеваниям относятся инфекции, язвенно-некротический стоматит, а также последствия венерических инфекций.
Однако наиболее распространенным вирусом, который можно встретить в ротовой полости, является герпес. Он вызывает воспаление и обычно локализуется в области вокруг рта, но часто затрагивает и слизистую оболочку. Признаки такого поражения включают эрозивные афты на внутренней поверхности щек и губ, а также на языке и небе.
Иногда герпес может затрагивать и околозубные ткани, десны, что является следствием острого катарального гингивита.
https://youtube.com/watch?v=Tet3phY4LNM
Грибковые поражения
Грибковое заболевание полости рта у взрослых (см. фото ниже) возникает из-за активности дрожжеподобных микроорганизмов рода Candida.
Эти грибки находятся в неактивном состоянии у большинства людей. Однако различные внутренние и внешние факторы, такие как болезни, снижение иммунитета, переохлаждение и другие, могут способствовать их активации. В результате грибок начинает развиваться на слизистых оболочках, включая полость рта, что указывает на наличие кандидомикоза.
Типы заболевания:
- Псевдомембранозный кандидоз в остром варианте (наиболее распространенная форма). Основные симптомы включают сухость слизистой щек, губ, неба и языка, а также образование белого творожистого налета. Пациенты испытывают дискомфорт при жевании, жжение и зуд во рту. Это заболевание может быть связано не только с общим ослаблением иммунной системы, но и с различными заболеваниями крови, гиповитаминозом, диабетом и другими состояниями.
- Атрофический кандидоз в остром варианте. Слизистая рта становится сильно пересушенной и красной. В складках могут образовываться небольшие участки белесого налета и отмершего эпителия. Заболевание сопровождается болезненными ощущениями.
- Атрофический кандидоз в хронической форме. Обычно развивается после длительного использования съемных протезов. Симптомы включают пересыхание и воспаление слизистой оболочки (языка, неба, губ и уголков рта).
- Гиперпластический кандидоз в хронической форме. На воспаленной поверхности образуется плотный слой налета, напоминающий узлы и бляшки. Попытки удалить налет самостоятельно могут привести к усилению воспаления слизистой и появлению кровоточивости в очищенных участках.
Лишайная болезнь
Чаще всего плоский красный лишай затрагивает слизистую оболочку, но также может проявляться и на коже. Это заболевание возникает в результате ослабления иммунной системы, а также может быть связано с различными системными заболеваниями, такими как патологии желудочно-кишечного тракта, болезни печени, сахарный диабет и наследственная предрасположенность.
Заболевание может протекать в нескольких формах: острая (до одного месяца), подострая (до полугода) и хроническая (более шести месяцев).
Основные симптомы включают покраснение слизистой, образование пузырьков, эрозий и язв, а также появление бляшек.
Дисбактериоз
Этот недуг является следствием неправильного использования антибиотиков, а также чрезмерного применения местных антисептиков при лечении простудных заболеваний.
На начальных этапах симптомы болезни могут быть едва заметны: неприятный запах изо рта и трещины в уголках губ. По мере прогрессирования заболевания наблюдается расшатывание зубов и развитие сопутствующих заболеваний, таких как пародонтоз. Кроме того, на зубах активно образуется налет, который разрушает эмаль.
Если не восстановить микрофлору слизистой оболочки рта вовремя, дисбактериоз может привести к поражению рецепторов языка, а также негативно сказаться на голосовых связках и функции гланд.
Мы обсудили заболевания ротовой полости у взрослых. Теперь перейдем к проблемам и патологиям зубов и десен.
Основные болезни зуб и десен
Ознакомимся с распространенными факторами:
- ослабленный иммунитет;
- несбалансированное питание;
- вредные привычки;
- заболевания слизистой оболочки;
- травмы и микротрещины, в том числе возникшие в результате стоматологических процедур;
- нехватка микроэлементов (фтор, кальций и др.), витаминов в организме;
- аллергические реакции на протезы, продукты питания, пероральные растворы и медикаменты и т.д.;
- наличие инфекций, вирусов, воспалительных процессов;
- повышенное образование налета и зубного камня, что может привести к кариесу;
- недостаточная гигиена полости рта.
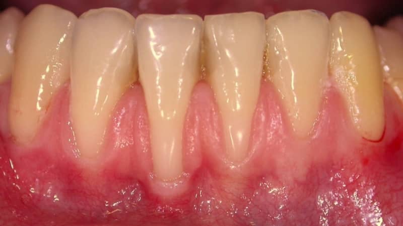
Представляем заболевания полости рта у взрослых (фото ниже), на которые влияют указанные выше факторы.
- Пародонтоз. Это редкое и сложное заболевание, которое приводит к истощению и разрушению тканей пародонта. Часто протекает бессимптомно, не вызывая дискомфорта или болевых ощущений. Обычно выявляется на более поздних стадиях, когда переходит в парадонтит.
Симптомы можно заметить при визуальном осмотре ротовой полости. Обычно наблюдаются оголенные шейки или корни зубов из-за изменения формы десен. Атрофируются сосочки между зубами, что также приводит к смещению зубов.
- Парадонтит. Это заболевание является следствием пародонтоза и может быть вызвано дополнительными факторами: нарушением обмена веществ, ослаблением защитных функций организма, нехваткой белков и витаминов, сопутствующими нервно-соматическими заболеваниями, неправильной гигиеной полости рта, экологическими факторами и несбалансированным питанием (недостаток жесткой и грубой пищи). Также может развиться на фоне гингивита.
Симптомы могут варьироваться: кровоточивость десен, неприятный запах изо рта, быстрое образование налета. На запущенных стадиях наблюдаются отеки мягких тканей, абсцессы, болевые ощущения и расшатанность зубов.
- Гингивит. Это заболевание может возникать на фоне болезней желудочно-кишечного тракта, эндокринной и сердечно-сосудистой систем, занесения инфекций, аллергических реакций, а также быть следствием неправильного питания, неблагоприятных экологических условий и гормональных изменений.
Симптомы включают: кровоточивость десен, жжение и зуд в них, неприятный запах изо рта, а также возможное появление язв и некротических участков.
- Ксеростомия. Это состояние часто наблюдается у диабетиков и может быть следствием аллергических реакций или других заболеваний.
Симптомы: пересушенная слизистая оболочка, воспалительные процессы, зуд, жжение, снижение секреции слюны, воспаление рядом расположенных желез.
- Хейлит. Это заболевание, которое затрагивает красную область губ и связано с воспалительными или трофическими процессами. Причины его возникновения могут включать: гормональные нарушения, вирусные или грибковые инфекции, длительное пребывание на солнце, аллергические реакции, нехватку витаминов группы В, нейрогенные факторы.
Основные симптомы: воспаленные и болезненные трещины в углах губ, гиперемия мягких тканей и их отек.
Все перечисленные заболевания требуют лечения у системных врачей и стоматологов.
https://youtube.com/watch?v=4Pqk7zzhRqY
Профилактика заболеваний полости рта
Профилактика заболеваний полости рта является важным аспектом поддержания общего здоровья и предотвращения различных стоматологических проблем. Основные меры профилактики включают в себя регулярную гигиену полости рта, правильное питание, а также регулярные визиты к стоматологу.
Регулярная гигиена полости рта включает в себя чистку зубов дважды в день с использованием фторсодержащей зубной пасты. Чистка зубов помогает удалить налет и остатки пищи, что снижает риск развития кариеса и заболеваний десен. Важно также использовать зубную нить или межзубные щетки для очистки труднодоступных мест между зубами, где может скапливаться налет.
Кроме того, ополаскиватели для рта могут быть полезны для дополнительной защиты от бактерий и свежести дыхания. Выбор ополаскивателя должен основываться на индивидуальных потребностях, таких как наличие чувствительности зубов или предрасположенность к заболеваниям десен.
Правильное питание также играет ключевую роль в профилактике заболеваний полости рта. Употребление продуктов, богатых кальцием и витаминами, особенно витамином D, способствует укреплению зубной эмали и десен. Следует ограничить потребление сахара и кислых продуктов, так как они могут способствовать развитию кариеса и эрозии зубов.
Регулярные визиты к стоматологу необходимы для профессиональной чистки зубов и раннего выявления проблем. Стоматолог может провести осмотр, сделать рентгеновские снимки и предложить индивидуальные рекомендации по уходу за полостью рта. Рекомендуется посещать стоматолога не реже двух раз в год.
Дополнительно, отказ от вредных привычек, таких как курение и чрезмерное употребление алкоголя, также способствует снижению риска заболеваний полости рта. Эти привычки могут привести к различным проблемам, включая рак полости рта, гингивит и другие серьезные заболевания.
В заключение, профилактика заболеваний полости рта требует комплексного подхода, включающего в себя регулярную гигиену, правильное питание, отказ от вредных привычек и регулярные визиты к стоматологу. Соблюдение этих рекомендаций поможет сохранить здоровье зубов и десен на долгие годы.
Методы диагностики заболеваний полости рта
Диагностика заболеваний полости рта у взрослых является важным этапом в определении состояния здоровья пациента и выборе оптимального метода лечения. Существует несколько методов, которые стоматологи используют для выявления и оценки заболеваний полости рта.
1. Визуальный осмотр
Первым и наиболее распространенным методом диагностики является визуальный осмотр полости рта. Стоматолог оценивает состояние зубов, десен, языка и слизистой оболочки. В процессе осмотра врач обращает внимание на наличие кариеса, воспалительных процессов, налета, кровоточивости десен и других аномалий. Этот метод позволяет быстро выявить очевидные проблемы, но может быть недостаточно информативным для диагностики скрытых заболеваний.
2. Рентгенография
Рентгенография является важным инструментом в диагностике заболеваний полости рта. С помощью рентгеновских снимков стоматолог может оценить состояние корней зубов, наличие кариеса, а также выявить заболевания челюстных костей и парадонтита. Существует несколько видов рентгенографии, включая панорамную рентгенографию и прицельные снимки, которые позволяют получить более детальную информацию о состоянии зубов и окружающих тканей.
3. Лабораторные исследования
В некоторых случаях для диагностики заболеваний полости рта могут потребоваться лабораторные исследования. Например, анализы слюны могут помочь в выявлении инфекций или воспалительных процессов. Также могут быть проведены микробиологические исследования для определения наличия патогенных микроорганизмов, вызывающих заболевания десен или другие инфекции.
4. Биопсия
Если стоматолог обнаруживает подозрительные образования или изменения в слизистой оболочке, может быть рекомендована биопсия. Этот метод включает в себя забор образца ткани для дальнейшего гистологического исследования. Биопсия позволяет исключить или подтвердить наличие злокачественных процессов и других серьезных заболеваний.
5. Использование специальных инструментов
Современные стоматологические клиники оснащены различными инструментами и технологиями, которые помогают в диагностике. Например, использование лазеров и цифровых технологий позволяет более точно оценить состояние тканей и выявить заболевания на ранних стадиях. Также могут применяться специальные зонды для измерения глубины карманов десен, что помогает в диагностике пародонтита.
6. Опрос пациента
Не менее важным аспектом диагностики является опрос пациента. Стоматолог должен узнать о наличии симптомов, таких как боль, дискомфорт, кровоточивость десен, а также о наличии хронических заболеваний и принимаемых лекарствах. Эта информация помогает врачу составить полную картину состояния здоровья пациента и выбрать наиболее подходящие методы диагностики и лечения.
В заключение, диагностика заболеваний полости рта у взрослых включает в себя комплексный подход, который сочетает визуальный осмотр, рентгенографию, лабораторные исследования и другие методы. Ранняя диагностика позволяет своевременно выявить заболевания и начать лечение, что значительно повышает шансы на успешное восстановление здоровья полости рта.
Лечение и терапия болезней полости рта
Лечение и терапия болезней полости рта у взрослых включает в себя комплексный подход, который направлен на устранение причин заболеваний, облегчение симптомов и восстановление здоровья зубов и десен. В зависимости от типа заболевания, методы лечения могут варьироваться от консервативных до хирургических.
1. Профилактика и диагностика
Первым шагом в лечении болезней полости рта является профилактика. Регулярные визиты к стоматологу для профессиональной чистки и осмотра помогают выявить проблемы на ранних стадиях. Важно также проводить ежедневную гигиену полости рта, включая чистку зубов дважды в день и использование зубной нити.
2. Лечение кариеса
Кариес является одним из самых распространенных заболеваний зубов. Лечение кариеса включает в себя удаление пораженной ткани зуба и его пломбирование. В зависимости от степени поражения, могут использоваться различные материалы для пломбирования, такие как композитные смолы, амальгама или керамика. В случае глубокого кариеса может потребоваться лечение корневых каналов.
3. Пародонтит и гингивит
Заболевания десен, такие как гингивит и пародонтит, требуют особого внимания. Гингивит, как правило, лечится путем улучшения гигиенических привычек и профессиональной чистки зубов. В более серьезных случаях, таких как пародонтит, может потребоваться хирургическое вмешательство для удаления воспаленной ткани и восстановления десен. Также могут быть назначены антибиотики для борьбы с инфекцией.
4. Лечение заболеваний слизистой оболочки
Заболевания слизистой оболочки полости рта, такие как афтозный стоматит или кандидоз, требуют специфического подхода. Лечение может включать противовоспалительные препараты, антисептики и противогрибковые средства. Важно также выявить и устранить возможные причины, такие как аллергии или дефицит витаминов.
5. Хирургическое вмешательство
В некоторых случаях, таких как наличие зубных кист, опухолей или сложных случаев пародонтита, может потребоваться хирургическое вмешательство. Операции могут включать удаление зубов, резекцию корней или даже пересадку десен. После хирургического вмешательства важно следовать рекомендациям стоматолога для предотвращения осложнений и ускорения процесса заживления.
6. Рекомендации по уходу за полостью рта
После лечения болезней полости рта важно соблюдать рекомендации по уходу за зубами и деснами. Это включает в себя регулярную чистку зубов, использование зубной нити, полоскание антисептическими растворами и соблюдение здоровой диеты. Также стоит избегать курения и чрезмерного потребления сахара, что поможет предотвратить рецидивы заболеваний.
Таким образом, лечение болезней полости рта у взрослых требует комплексного подхода, который включает в себя как терапевтические, так и профилактические меры. Регулярные визиты к стоматологу и соблюдение правил гигиены помогут сохранить здоровье полости рта на долгие годы.




