Боль и дискомфорт в челюсти могут сигнализировать о серьезных проблемах со здоровьем. В статье рассмотрим основные причины болевых ощущений в верхней и нижней челюстях, а также ситуации, когда рот не открывается. Понимание этих аспектов поможет своевременно обратиться за медицинской помощью и избежать осложнений. Также предложим методы лечения и рекомендации для облегчения болей в челюсти и улучшения качества жизни.
Почему появляются болевые ощущения
Человеческая челюсть расположена на лицевой стороне черепа и занимает значительную область. Она состоит из двух частей: верхней – неподвижной, где находятся гайморовые пазухи, и нижней, которая, наоборот, подвижная. Эта кость соединена с мышцами, необходимыми для пережевывания пищи. Кроме того, челюсть играет важную роль в таких действиях, как зевание, открывание рта, движение подбородком и выражение эмоций. Все эти движения обеспечиваются челюстными суставами. При их повреждении часто возникают выраженные болевые ощущения и дискомфорт.
Если вы испытываете боль в верхней или нижней челюсти с одной стороны, возможные причины могут быть следующими:
- остеомиелит – инфекционное воспаление костной ткани;
- невралгия;
- различные повреждения суставов, включая травмы;
- заболевания лицевой или сонной артерии;
- недавние стоматологические процедуры, такие как удаление или протезирование зубов;
- синдром «красного уха»;
- рост «зубов мудрости»;
- ношение брекетов;
- артриты и артрозы;
- абсцесс, флегмона и другие гнойные инфекции в области подбородка;
- любые травмы и механические повреждения;
- каротидиния;
- злокачественные опухоли.
Болевые ощущения в этой области черепа могут быть связаны с заболеваниями сердца, включая острый инфаркт миокарда. Поэтому в первую очередь следует исключить именно это.
Челюсть часто болит и отекает у боксеров и спортсменов, занимающихся различными видами единоборств. Ушиб мягких тканей – это наиболее распространенная причина, вызывающая сильный дискомфорт. Боль в этом случае локализуется либо справа, либо слева, в том же месте, где наблюдается отек.
На основании жалоб пациента, таких как невозможность открыть рот, боль в челюсти с одной стороны и дискомфорт при жевании, врач может заподозрить перелом. Характерным признаком будет то, что болезненные ощущения не исчезают даже при неподвижности челюсти, так как кость при этом сильно смещена. Вывих встречается довольно часто у людей всех возрастов. Он имеет такие яркие симптомы, что опытному специалисту достаточно лишь взглянуть на положение рта и неправильное расположение челюсти. Если пациент также жалуется на трудности с глотанием и нарушения речи, диагноз становится очевидным. Боль при вывихе локализуется в области поврежденного сустава.
Самостоятельно можно лишь предположить, почему открывать рот с одной стороны больно и болит нижняя челюсть. Точный диагноз и рекомендации по адекватному лечению может установить только лечащий врач, к которому следует обратиться при первых признаках дискомфорта.
При возникновении болей и ломоты в челюсти врачи рекомендуют не игнорировать эти симптомы, так как они могут свидетельствовать о различных заболеваниях. Первым шагом должно стать обращение к стоматологу, который проведет осмотр и определит возможные причины дискомфорта. Это может быть связано с проблемами зубов, такими как кариес или воспаление десен, а также с заболеваниями суставов, например, дисфункцией височно-нижнечелюстного сустава.
Врач может порекомендовать рентгенографию для более точной диагностики. Если причина боли связана с мышечным напряжением или стрессом, полезными могут быть расслабляющие упражнения и теплые компрессы. В некоторых случаях назначаются противовоспалительные препараты или физиотерапия. Важно помнить, что самолечение может усугубить ситуацию, поэтому консультация специалиста является необходимой.
https://youtube.com/watch?v=jnc_iECpIWc
Особенности болевых ощущений в нижней и верхней челюсти при разных причинах их появления
Боль и дискомфорт в области челюсти – это распространенный симптом, который может возникать при различных заболеваниях и нарушениях в организме. Как уже упоминалось ранее, помимо травм суставов, болевой синдром может быть вызван:
- новообразованиями;
- гнойными инфекциями;
- сердечными заболеваниями;
- невралгией.
Давайте подробнее рассмотрим, как проявляются болевые ощущения при каждом из этих состояний.
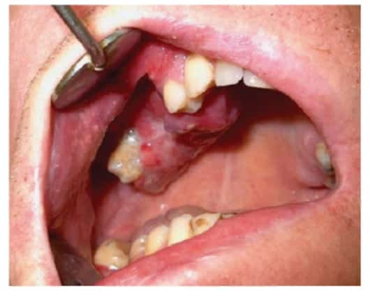
К сожалению, никто не застрахован от появления новообразований в области черепа. Боль и дискомфорт в челюсти могут быть вызваны как доброкачественными, так и злокачественными опухолями. Наиболее неприятным является то, что ощутимая боль возникает только на поздних стадиях этих заболеваний, которые долго могут протекать без явных симптомов. Наиболее выраженный дискомфорт ощущается ночью. Позже к этому могут добавиться заметная ассиметрия лица, изменение толщины челюсти, трудности с открыванием рта и жеванием пищи.
Что касается саркомы – одного из самых опасных злокачественных новообразований, то ее развитие может проявляться в виде иррадиирующей боли в шею и ухо при нажатии на челюсть, а также выраженной деформации лица. На более поздних стадиях заболевания может наблюдаться снижение чувствительности в пораженных областях.
Острую боль в челюстях могут также вызывать гноеродные бактерии, которые проникают в кость и мягкие ткани через кариозные зубы, кровь или открытые раны.
Наиболее опасным воспалением является остеомиелит, при котором инфекция, проходя через зубные каналы, проникает в глубокие слои челюсти, вызывая лимфаденит, болезненность зубов, отечность лица, головные боли и общее ухудшение состояния.
К другим гнойным воспалениям можно отнести:
- фурункулез, который проявляется гнойным воспалением на коже и сильной болезненностью;
- флегмону, легко распознаваемую по выраженному отеку, распространяющемуся к уху;
- абсцесс, при котором наблюдается некроз тканей.
Часто боль в сердце может отдавать в нижнюю челюсть. Это происходит при остром инфаркте, что требует немедленной госпитализации пациента. Данное состояние связано с поражением коронарных артерий, тромбозом и спазмом сердечных сосудов, что приводит к некрозу сердечной мышцы. Срочное медицинское вмешательство может спасти жизнь. На инфаркт, помимо боли в челюсти, могут указывать сильные сердечные боли, нехватка воздуха и повышенная потливость.
Приступ стенокардии также может вызывать боль в нижней челюсти, при этом дискомфорт начинается за грудиной и постепенно переходит на лицо, а также может быть связан с воспалением сонной и лицевой артерий.
Боль в челюсти часто возникает при повреждении тройничного, верхнего гортанного и языкоглоточного нервов, а также при врожденных или приобретенных нарушениях прикуса.
У детей болевой синдром может развиваться на фоне рахита, а у взрослых причиной дискомфорта могут стать неправильно подобранные зубные протезы.
| Причина боли в челюсти | Симптомы | Что делать |
|---|---|---|
| Дисфункция височно-нижнечелюстного сустава (ВНЧС) | Боль при жевании, открывании рта, щелчки, хруст в челюсти, головные боли, боль в ухе. | Обратиться к стоматологу или челюстно-лицевому хирургу. Могут быть рекомендованы: шины, физиотерапия, упражнения, медикаменты. |
| Бруксизм (скрежетание зубами) | Боль в челюсти, головные боли, износ зубов, чувствительность зубов, боль в мышцах лица. | Использовать ночную капу, избегать стресса, расслабляющие упражнения. Обратиться к стоматологу. |
| Проблемы с зубами (кариес, пульпит, периодонтит) | Острая или ноющая боль в зубе, усиливающаяся при жевании или от холодного/горячего, отек десны. | Немедленно обратиться к стоматологу для лечения зуба. |
| Воспаление тройничного нерва (невралгия) | Острая, стреляющая боль, часто односторонняя, провоцируется прикосновением, жеванием, разговором. | Обратиться к неврологу. Лечение включает медикаменты, физиотерапию. |
| Синусит (воспаление пазух носа) | Тупая боль в верхней челюсти, усиливающаяся при наклоне головы, заложенность носа, выделения из носа, головная боль. | Обратиться к ЛОР-врачу. Лечение включает антибиотики, противовоспалительные средства, промывание носа. |
| Травма челюсти (ушиб, вывих, перелом) | Острая боль, отек, синяк, затруднение при открывании/закрывании рта, деформация челюсти. | Немедленно обратиться в травмпункт или к челюстно-лицевому хирургу. |
| Артрит или артроз ВНЧС | Хроническая боль, скованность в суставе, ограничение подвижности челюсти, хруст. | Обратиться к ревматологу или челюстно-лицевому хирургу. Лечение включает противовоспалительные препараты, физиотерапию. |
| Мышечное напряжение (стресс, перенапряжение) | Тупая боль в мышцах лица и челюсти, головная боль, скованность. | Расслабляющие упражнения, массаж, тепло на область челюсти, избегать стресса. |
| Прорезывание зуба мудрости | Боль, отек, воспаление десны вокруг прорезывающегося зуба, затруднение при открывании рта. | Обратиться к стоматологу. Может потребоваться удаление зуба. |
| Инфекции (например, абсцесс) | Сильная, пульсирующая боль, отек, покраснение, повышение температуры, общее недомогание. | Немедленно обратиться к стоматологу или хирургу. Требуется дренирование и антибиотики. |
Как избавиться от боли в челюсти
Боль в челюстях — это крайне неприятное и потенциально опасное состояние. Поэтому важно установить причину ее возникновения. Этиологические факторы могут быть разнообразными, и, соответственно, подходы к лечению будут значительно различаться. Первым шагом необходимо пройти несколько обследований:
- анализ мочи;
- общий анализ крови;
- рентгенографию черепа;
- компьютерную томографию (КТ);
- магнитно-резонансную томографию (МРТ).
Конечно, потребуется консультация специалистов — стоматолога, хирурга, невропатолога, кардиолога, травматолога и терапевта. Поэтому на вопрос, что делать, если болит нижняя или верхняя челюсть при открывании рта, ответ очевиден — необходимо обратиться к врачу.
В зависимости от причины возникновения болевого синдрома будет назначено соответствующее лечение: вывих требует вправления, перелом — срочной операции, ушиб — применения холодных компрессов. При гнойном воспалении обязательно потребуется курс антибактериальных препаратов, а в случае сердечных заболеваний — вызов скорой помощи.
Что касается стоматологических причин, то лечение будет зависеть от их типа и степени тяжести. Зубы, которые невозможно сохранить, подлежат удалению, кариес, пульпит и стоматит требуют срочного вмешательства, а если дискомфорт вызывает растущий зуб мудрости, иногда достаточно небольшого надреза десны для его устранения.
Симптоматическое лечение боли и дискомфорта в челюсти включает прием обезболивающих и анальгетиков. В некоторых случаях, если причина болевых ощущений не может быть установлена, пациенту может быть назначен курс антидепрессантов.
Боль в челюсти может проявляться в различных формах, с разной интенсивностью и выраженностью. Однако выявление ее причины не терпит отлагательств. Часто она является первым тревожным сигналом серьезных заболеваний, от своевременного выявления и лечения которых зависит общий прогноз. Организм таким образом сигнализирует о необходимости помощи. Самолечение, как правило, не приводит к желаемым результатам. Примочки, компрессы, полоскания и другие методы народной медицины не решат проблему. Даже если они временно облегчат состояние, сняв болезненность и дискомфорт, это лишь отсрочит визит к специалисту на утро.
https://youtube.com/watch?v=dx-XG-L-xDA
https://youtube.com/watch?v=b4bySFX3Z3w
Когда обращаться к врачу
Боль и ломота в челюсти могут быть симптомами различных заболеваний и состояний, поэтому важно уметь распознавать, когда необходимо обратиться за медицинской помощью. Если вы испытываете дискомфорт в области челюсти, обратите внимание на следующие признаки и симптомы, которые могут указывать на необходимость консультации с врачом.
1. Постоянная или усиливающаяся боль: Если боль в челюсти не проходит в течение нескольких дней или становится более интенсивной, это может свидетельствовать о серьезной проблеме, такой как инфекция или воспаление.
2. Ограничение подвижности: Если вы замечаете, что не можете полностью открыть рот или испытываете трудности при жевании, это может быть признаком проблем с височно-нижнечелюстным суставом или других заболеваний.
3. Отек или покраснение: Наличие отека, покраснения или тепла в области челюсти может указывать на воспалительный процесс или инфекцию, требующую немедленного вмешательства.
4. Симптомы, связанные с зубами: Если боль в челюсти сопровождается зубной болью, чувствительностью зубов или проблемами с деснами, это может указывать на стоматологические заболевания, такие как кариес или пародонтит.
5. Проблемы с ухом: Боль в челюсти, которая отдает в ухо или сопровождается шумом в ушах, может быть связана с височно-нижнечелюстным суставом или другими заболеваниями, требующими внимания специалиста.
6. Головные боли: Частые головные боли, особенно если они связаны с напряжением в челюсти, могут указывать на бруксизм (скрежетание зубами) или другие проблемы, требующие диагностики и лечения.
7. Лихорадка: Если боль в челюсти сопровождается повышением температуры тела, это может свидетельствовать о наличии инфекции, требующей немедленного медицинского вмешательства.
8. Травмы: Если вы получили травму челюсти, даже если на первый взгляд она не кажется серьезной, стоит обратиться к врачу для исключения переломов или других повреждений.
Если вы заметили один или несколько из перечисленных симптомов, не откладывайте визит к врачу. Специалист сможет провести необходимую диагностику, установить причину боли и назначить соответствующее лечение. Помните, что раннее обращение за медицинской помощью может предотвратить развитие серьезных осложнений и улучшить качество вашей жизни.
Профилактика болей в челюсти
Профилактика болей в челюсти включает в себя несколько важных аспектов, которые помогут избежать возникновения дискомфорта и заболеваний. Основные рекомендации можно разделить на несколько категорий: правильная гигиена полости рта, здоровый образ жизни, а также регулярные профилактические осмотры у стоматолога.
Правильная гигиена полости рта
Одним из ключевых факторов в профилактике болей в челюсти является соблюдение правил гигиены полости рта. Это включает:
- Регулярная чистка зубов: Чистите зубы не менее два раза в день с использованием фторсодержащей зубной пасты. Это поможет предотвратить кариес и заболевания десен, которые могут вызывать боль в челюсти.
- Использование зубной нити: Зубная нить помогает удалить остатки пищи и налет между зубами, где зубная щетка не может достать. Это особенно важно для предотвращения воспаления десен.
- Полоскание рта: Используйте антисептические растворы для полоскания рта, чтобы уменьшить количество бактерий и предотвратить воспалительные процессы.
Здоровый образ жизни
Здоровый образ жизни также играет важную роль в профилактике болей в челюсти. Рекомендуется:
- Сбалансированное питание: Употребляйте разнообразные продукты, богатые витаминами и минералами, особенно кальцием и витамином D, которые необходимы для здоровья зубов и челюстей.
- Избегание вредных привычек: Ограничьте или исключите курение и чрезмерное употребление алкоголя, так как они могут негативно сказаться на состоянии полости рта и способствовать развитию заболеваний.
- Управление стрессом: Стресс может приводить к бруксизму (скрежетанию зубами), что, в свою очередь, может вызывать боли в челюсти. Практикуйте методы релаксации, такие как йога или медитация.
Регулярные профилактические осмотры
Не менее важным аспектом профилактики является регулярное посещение стоматолога. Рекомендуется проходить осмотр не реже чем раз в полгода. Стоматолог сможет:
- Выявить проблемы на ранней стадии: Раннее обнаружение кариеса, заболеваний десен или других проблем поможет избежать серьезных осложнений и болей в челюсти.
- Провести профессиональную чистку: Профессиональная чистка зубов удаляет зубной налет и камень, что снижает риск воспалительных процессов.
- Дать рекомендации по уходу: Стоматолог может предложить индивидуальные рекомендации по уходу за полостью рта, учитывая ваши особенности и состояние здоровья.
Соблюдение этих простых рекомендаций поможет значительно снизить риск возникновения болей в челюсти и сохранить здоровье зубов и десен на долгие годы.
Домашние средства для облегчения боли
При болях и дискомфорте в челюсти многие люди обращаются к домашним средствам, которые могут помочь облегчить состояние. Вот несколько проверенных методов, которые могут оказать положительное влияние на ваше самочувствие.
1. Тепло и холод: Применение тепла или холода может значительно снизить болевые ощущения. Холодный компресс, прикладываемый к челюсти на 15-20 минут, помогает уменьшить отек и облегчить боль. Теплый компресс, наоборот, расслабляет мышцы и улучшает кровообращение, что также может помочь при болях.
2. Полоскания соленой водой: Раствор соли в теплой воде может помочь уменьшить воспаление и облегчить боль. Полоскайте рот соленой водой несколько раз в день, особенно после еды, чтобы удалить остатки пищи и снизить риск инфекции.
3. Имбирный чай: Имбирь обладает противовоспалительными свойствами и может помочь при болях в челюсти. Заварите свежий имбирь в горячей воде и пейте чай несколько раз в день. Это не только поможет облегчить боль, но и улучшит общее состояние организма.
4. Упражнения для челюсти: Легкие упражнения могут помочь расслабить мышцы челюсти и уменьшить напряжение. Попробуйте медленно открывать и закрывать рот, а также двигать челюстью из стороны в сторону. Это поможет улучшить подвижность и снизить болевые ощущения.
5. Избегание жесткой пищи: Если у вас болит челюсть, старайтесь избегать жесткой и твердой пищи, которая может усугубить боль. Вместо этого выбирайте мягкие продукты, такие как йогурт, пюре или супы, которые не требуют значительных усилий для жевания.
6. Ароматерапия: Эфирные масла, такие как лаванда или мята, могут помочь расслабить мышцы и снизить уровень стресса. Добавьте несколько капель масла в аромалампу или используйте в массажных процедурах для облегчения боли.
Эти домашние средства могут помочь вам справиться с болями в челюсти, однако, если боль не проходит или усиливается, обязательно обратитесь к врачу для получения профессиональной помощи и диагностики.


