Чувствительность зубов — распространенная проблема, ухудшающая качество жизни. В статье рассмотрим, что делать при повышенной чувствительности зубов, меры для снятия боли в домашних условиях, а также классификацию гиперестезии, ее симптомы и причины. Понимание этих аспектов поможет справиться с дискомфортом и предотвратить дальнейшие проблемы со здоровьем зубов.
Сущность заболевания
Гиперестезия возникает из-за воздействия различных внешних факторов на поверхность зуба, таких как тактильные, температурные, механические и химические раздражители. Под их влиянием эмаль повреждается, образуются микротрещины и мелкие сколы, через которые раздражители проникают к нервным окончаниям, вызывая дискомфорт и болезненные ощущения.
Повышенная чувствительность может быть как самостоятельным заболеванием, так и признаком других стоматологических проблем, таких как гингивит, кариес, эрозия, пародонтит, пародонтоз или абсцесс.
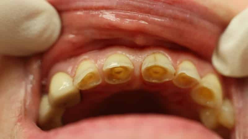
Часто зубы становятся чувствительными из-за истончения эмали, что позволяет раздражителям достигать дентина. Неприятные ощущения также могут возникать из-за разрушительного воздействия кариеса на эмаль, что приводит к болезненной реакции на температурные и химические факторы.
Если чувствительность проявляется в области шейки зуба, это может указывать на развитие пародонтита или пародонтоза, а также на неправильную установку протезов.
Обычно повышенная чувствительность проявляется в остром восприятии горячей или холодной пищи, а также различных вкусов (острых, кислых, сладких). Однако болевой порог у людей различен: иногда это проявляется как тупая ноющая боль, а иногда как острая спазматическая.
Что делать, если эмаль зубов стала чувствительной? Прежде всего, необходимо обратиться к стоматологу, который проведет диагностику гиперестезии или другого заболевания полости рта. Это возможно только после визуального осмотра слизистой оболочки и зубов, а также сдачи необходимых анализов.
Стоматолог определяет степень повреждения или деформации твердой зубной ткани и выявляет воспалительные процессы в пародонте.
Часто о повреждении верхнего слоя зуба свидетельствуют укороченные режущие края резцов или появление светлых пятен на жевательных молярах.
Повышенная чувствительность зубов — распространенная проблема, с которой сталкиваются многие пациенты. Врачи отмечают, что причиной этого состояния могут быть различные факторы, включая истончение эмали, заболевания десен или неправильную гигиену полости рта. Специалисты рекомендуют в первую очередь обратиться к стоматологу для диагностики и выявления источника проблемы. Важно использовать зубные пасты, специально разработанные для чувствительных зубов, которые помогают укрепить эмаль и снизить дискомфорт. Также врачи советуют избегать слишком горячей или холодной пищи, а также кислых продуктов, которые могут усугубить ситуацию. Регулярные профилактические осмотры у стоматолога помогут предотвратить развитие более серьезных заболеваний и сохранить здоровье зубов.
https://youtube.com/watch?v=W_e0tMXNVls
Симптомы недуга
Перед тем как выбирать средство для борьбы с чувствительностью зубов, важно определить, какие именно симптомы сопровождают это состояние.
Основным признаком является кратковременная пульсирующая боль, которая усиливается при употреблении пищи и напитков. Зубы особенно остро реагируют на горячие, кислые и сладкие продукты, а также на сильно охлажденные или разогретые напитки и блюда. Боль обычно длится несколько минут после еды, а затем постепенно утихает.
При острой форме гиперестезии пациент испытывает дискомфорт даже при вдыхании холодного воздуха, а также при употреблении любых продуктов, независимо от их вкуса или температуры. Обычные процедуры гигиены полости рта также могут вызывать неприятные ощущения.
Важно помнить, что отбеливание чувствительных зубов может усугубить проблему. Абразивные вещества, содержащиеся в профессиональных и других пастах, могут удалить тонкий слой эмали, что негативно сказывается на ее структуре ради достижения эстетического эффекта.
Иногда болезненность зубов проходит сама по себе, и пациент может без проблем переносить внешние раздражители. Это связано с постепенным восстановлением верхнего слоя твердых тканей. Однако такая ремиссия возможна только при отсутствии других заболеваний полости рта.
Квалифицированный стоматолог должен уметь отличать гиперестезию от симптомов других заболеваний, таких как острый пульпит, гингивит или кариес. При этих состояниях боль, как правило, длительная и усиливается ближе к ночи. В отличие от этого, при гиперестезии дискомфорт носит локальный и временный характер, проявляясь в основном сразу после воздействия раздражителя.
| Причина повышенной чувствительности | Решение | Дополнительные рекомендации |
|---|---|---|
| Истончение эмали | Использование зубной пасты для чувствительных зубов с фтором или нитратом калия | Избегать чрезмерного давления при чистке зубов, использовать мягкую зубную щетку |
| Рецессия десны (оголение корня) | Применение специальных гелей или лаков для снижения чувствительности, возможно хирургическое лечение | Регулярные осмотры у стоматолога, правильная гигиена полости рта |
| Кариес | Пломбирование кариозной полости | Своевременное лечение кариеса, ограничение потребления сладкого |
| Трещины или сколы зубов | Реставрация зуба, установка коронки | Избегать употребления очень твердой пищи, не грызть твердые предметы |
| Бруксизм (скрежетание зубами) | Использование ночной каппы, снижение стресса | Консультация с ортодонтом или неврологом |
| Неправильная техника чистки зубов | Обучение правильной технике чистки зубов у стоматолога или гигиениста | Использование зубной щетки с мягкой щетиной, чистка зубов круговыми движениями |
| Кислотная эрозия | Ограничение потребления кислых продуктов и напитков, использование ополаскивателей с фтором | Пить кислые напитки через соломинку, полоскать рот водой после употребления кислой пищи |
| Недавно проведенное отбеливание зубов | Временное явление, обычно проходит самостоятельно через несколько дней | Использование зубной пасты для чувствительных зубов, избегание очень горячей или холодной пищи |
| Заболевания десен (гингивит, пародонтит) | Лечение основного заболевания десен у пародонтолога | Регулярная профессиональная чистка зубов, соблюдение гигиены полости рта |
| Недавно установленные пломбы или коронки | Временная чувствительность, обычно проходит в течение нескольких недель | Избегать чрезмерного давления на новый зуб, при необходимости обратиться к стоматологу |
Причины данного заболевания
Существует множество причин, способствующих возникновению дискомфорта (системные нарушения, химические повреждения, трещины, крошение и прочее). К сожалению, простая жидкость для полоскания рта для чувствительных зубов не сможет решить эту проблему.
Наиболее распространенные факторы, вызывающие дискомфорт:
- воздействие органических или минеральных кислот на поверхность зубов;
- кариес и другие повреждения твердых тканей, приводящие к обнажению шейки и каналов дентина;
- нарушения обмена кальция и фосфора;
- изменения гормонального фона (например, беременность, менопауза, подростковый возраст и т.д.);
- сбои в метаболизме и нестабильная работа эндокринной системы;
- заболевания нервной системы, психические расстройства и стрессовые ситуации;
- воздействие ионизирующей радиации на пациента;
- несбалансированное питание (в рационе преобладают кислые фрукты и ягоды, соки, а также острые приправы и сладкие десерты);
- привычка употреблять слишком горячие или слишком холодные блюда и напитки.
https://youtube.com/watch?v=5sNHxwYg0YU
Классификация гиперестезии эмали
Существует несколько форм и типов чувствительности зубов, от которых зависит, как действовать при болях.
Классификацию предложил Юрий Федоров, который учел факторы возникновения недуга, его локализацию и особенности протекания в различных формах.
- По распространению.
Заболевание может проявляться как на одном зубе, так и на нескольких рядом расположенных, противоположных или на всех сразу.
Локальная форма характеризуется резкой острой болью в области одного или нескольких зубов. Обычно ее причиной становятся кариес, клиновидные дефекты эмали и другие внешние факторы. Иногда такая чувствительность возникает после лечения корневых каналов, пломбирования, шлифовки или обточки зуба. Часто локальная форма недуга развивается после ультразвукового или механического удаления налета и зубного камня, установки пломб, протезов или имплантов.
Генерализованная чувствительность затрагивает множество или все зубы и связана с обнажением шеек или каналов дентина. Обычно массовая гиперестезия вызвана серьезными заболеваниями пародонта, повреждениями и сколами эмали из-за травм, ударов, падений, эрозии тканей и т.д. Также причиной может быть наследственная предрасположенность к стиранию или разрушению твердых тканей зуба.
- По происхождению.
В этом случае чувствительность может быть связана с разрушением твердых тканей или не иметь отношения к их целостности.
Повреждение тканей происходит из-за образования кариозных «дырок», эрозии, выявления клиновидного дефекта, предрасположенности к износу зубов. Эмаль также может разрушаться после подготовки зуба под вкладки, коронки, протезы и импланты. В этом случае обычный гель для чувствительных зубов не поможет — эмаль необходимо «нарастить», чтобы устранить симптомы заболевания.
Если гиперестезия не связана с повреждением тканей, то причиной, скорее всего, являются рецессия десны, пародонтоз или пародонтит, а также нарушения обмена веществ и гормонального фона пациента.
- По клиническому течению.
Первая степень заболевания указывает на чувствительность к термическим воздействиям, вторая — также к химическим, при этом порог возбудимости дентина повышен. При третьей степени эмаль становится восприимчивой ко всем раздражителям, включая тактильные.
Лечение заболевания
Что делать, если зубы стали более чувствительными, сможет определить только стоматолог после выяснения причины проблемы.
При первой степени заболевания не требуется ни хирургического, ни физиотерапевтического вмешательства. Достаточно пройти курс стоматологических процедур, который включает до 10-12 сеансов фторирования. Эта процедура помогает укрепить эмаль с помощью компрессов, содержащих фтор и кальций.
Для лечения второй и третьей степени гиперестезии используются пломбировочные материалы, которые заполняют трещины в твердых тканях зуба, предотвращая дальнейшее разрушение и стирание.
Если в полости рта обнаружен кариес, стоматолог проведет санацию, очистит зуб от поврежденных тканей и установит современную пломбу.
Если чувствительность зубов вызвана воспалением пародонта, обнажением шейки зуба или каналов дентина, может потребоваться хирургическое вмешательство для коррекции уровня десны.
При быстром изнашивании и крошении зубов проблему можно решить с помощью ортодонтического или ортопедического лечения. Специалист поможет исправить прикус или форму зубов.
При генерализованной форме заболевания врач назначает специальные препараты для чувствительных зубов, которые способствуют восстановлению фосфорно-кальциевого обмена, метаболизма и гормонального фона. Часто пациентам рекомендуют кальций глицерофосфат, пищевые добавки и витаминно-минеральные комплексы.
Иногда причиной повышенной чувствительности может стать неправильно установленная пломба с острыми краями или неплотное прилегание к зубу. В образовавшиеся щели могут попадать микробы, налет и остатки пищи, что вызывает дискомфорт.
В таком случае лечение может включать повторную пломбировку или даже депульпирование.
Если чувствительность зубов усиливается после профессиональной чистки или отбеливания, эффективным решением станет электрофорез с использованием кальция глицерофосфата или нанесение фторированного лака. Подобные процедуры также рекомендуются для пациентов с протезами и брекетами.
Многие задаются вопросом: «Что делать в домашних условиях, если зубы очень чувствительные?». Это актуально, так как не всегда есть возможность быстро обратиться к стоматологу или оплатить дорогостоящие процедуры. В таких случаях можно использовать специальные пасты для чувствительных зубов, содержащие повышенное количество кальция и фтора.
Полоскания рта отварами трав (кора дуба, шалфей, зверобой, эвкалипт и другие), соляно-содовым раствором и аптечными ополаскивателями также могут помочь.
Хороший эффект дают специальные обезболивающие и охлаждающие гели.
Самое важное, что можно сделать в домашних условиях:
- регулярно, но осторожно чистить зубы специальной щеткой с мягкой щетиной;
- пересмотреть рацион, исключив слишком горячие, холодные, сладкие, острые и кислые блюда и напитки;
- отказаться от отбеливающих и абразивных паст при гиперестезии.
Следуя этим рекомендациям, вы сможете быстро и эффективно справиться с проблемой без визита к стоматологу. Однако этот совет будет полезен только при отсутствии других заболеваний и наследственной предрасположенности к повреждению эмали.
https://youtube.com/watch?v=weGvNboM9Q0
Профилактика чувствительности зубов
Чувствительность зубов – это распространенная проблема, с которой сталкиваются многие люди. Профилактика этого состояния играет ключевую роль в поддержании здоровья зубов и десен. Существует несколько эффективных методов, которые помогут снизить риск развития повышенной чувствительности.
1. Правильная гигиена полости рта
Регулярная и правильная гигиена полости рта – основа профилактики чувствительности зубов. Рекомендуется чистить зубы дважды в день с использованием мягкой зубной щетки и фторсодержащей зубной пасты. Избегайте слишком сильного давления при чистке, чтобы не повредить эмаль и десны.
2. Использование специализированных средств
Существуют зубные пасты, специально разработанные для чувствительных зубов. Они содержат компоненты, которые помогают укрепить эмаль и снизить чувствительность. Использование таких паст может значительно улучшить состояние зубов и уменьшить дискомфорт.
3. Ограничение потребления кислых и сладких продуктов
Кислые и сладкие продукты могут способствовать эрозии эмали и повышению чувствительности зубов. Старайтесь ограничить их потребление, а после употребления таких продуктов обязательно прополощите рот водой или почистите зубы.
4. Регулярные визиты к стоматологу
Профилактические осмотры у стоматолога не только помогают выявить проблемы на ранних стадиях, но и позволяют получить рекомендации по уходу за зубами. Стоматолог может предложить профессиональную чистку зубов и фторирование, что поможет укрепить эмаль и снизить чувствительность.
5. Избегание вредных привычек
Курение и чрезмерное употребление алкоголя негативно сказываются на здоровье зубов и десен. Отказ от этих привычек поможет не только улучшить общее состояние полости рта, но и снизить риск развития чувствительности зубов.
6. Правильное питание
Сбалансированное питание, богатое витаминами и минералами, особенно кальцием и витамином D, способствует укреплению зубной эмали. Включайте в свой рацион молочные продукты, овощи, фрукты и орехи, чтобы поддерживать здоровье зубов.
Следуя этим рекомендациям, вы сможете значительно снизить риск повышения чувствительности зубов и сохранить их здоровье на долгие годы. Помните, что профилактика всегда проще и эффективнее, чем лечение уже возникших проблем.
Рекомендации по уходу за зубами
Повышенная чувствительность зубов может быть вызвана различными факторами, включая износ эмали, заболевания десен, кариес или неправильную гигиену полости рта. Чтобы справиться с этой проблемой и улучшить состояние зубов, важно следовать нескольким рекомендациям по уходу.
1. Выбор правильной зубной щетки: Используйте зубную щетку с мягкой щетиной, чтобы избежать повреждения эмали и десен. Жесткие щетки могут усугубить чувствительность, поэтому лучше отдать предпочтение щеткам с мягкими или средними щетинами.
2. Правильная техника чистки: Чистите зубы дважды в день, используя мягкие круговые движения. Избегайте агрессивного трения, так как это может привести к износу эмали и травмам десен. Не забывайте чистить зубы не менее двух минут, уделяя внимание каждому участку рта.
3. Использование специализированных зубных паст: Существуют зубные пасты, специально разработанные для чувствительных зубов. Они содержат активные ингредиенты, такие как нитрат калия или стронций, которые помогают блокировать нервные окончания и уменьшают чувствительность. Рекомендуется использовать такую пасту регулярно.
4. Полоскания и ополаскиватели: Используйте ополаскиватели для рта, которые содержат фтор и помогают укрепить эмаль. Это может помочь снизить чувствительность и защитить зубы от кариеса. Избегайте ополаскивателей с высоким содержанием алкоголя, так как они могут сушить слизистую оболочку и усугублять проблему.
5. Ограничение кислых и сладких продуктов: Кислые и сладкие продукты могут усугубить чувствительность зубов. Старайтесь ограничивать их потребление и, если вы все же употребляете такие продукты, полощите рот водой после еды, чтобы нейтрализовать кислоту.
6. Регулярные визиты к стоматологу: Не забывайте посещать стоматолога не реже двух раз в год для профилактических осмотров и профессиональной чистки зубов. Стоматолог сможет выявить и устранить проблемы, которые могут способствовать повышенной чувствительности, такие как кариес или заболевания десен.
7. Защита зубов от травм: Если вы занимаетесь спортом или имеете привычку скрежетать зубами (бруксизм), используйте защитные капы. Это поможет предотвратить повреждение зубов и уменьшить чувствительность.
Следуя этим рекомендациям, вы сможете значительно улучшить состояние своих зубов и снизить уровень чувствительности. Однако, если проблема сохраняется, обязательно проконсультируйтесь с врачом для получения более детальной диагностики и лечения.
Когда обращаться к стоматологу
Если вы заметили, что ваши зубы стали более чувствительными, это может быть признаком различных стоматологических проблем. Важно не игнорировать этот симптом и обратиться к стоматологу, особенно если чувствительность сохраняется длительное время или сопровождается другими неприятными ощущениями. Вот несколько ситуаций, когда стоит записаться на прием к специалисту:
- Постоянная или усиливающаяся чувствительность: Если вы испытываете дискомфорт при употреблении горячей, холодной, кислой или сладкой пищи и напитков, и этот симптом не проходит, это может указывать на наличие кариеса, трещин в зубах или других заболеваний.
- Боль при жевании: Если чувствительность сопровождается болью при жевании или нажатии на зуб, это может свидетельствовать о воспалении десен или пульпите, что требует немедленного вмешательства стоматолога.
- Изменения в состоянии десен: Если вы заметили, что десны стали красными, отечными или начали кровоточить, это может быть признаком гингивита или пародонтита. Эти заболевания могут привести к потере зубов, если их не лечить.
- Травмы зубов: Если вы получили травму зуба, например, в результате удара или падения, и после этого возникла чувствительность, необходимо обратиться к стоматологу для оценки состояния зуба и возможного лечения.
- Появление трещин или сколов: Если вы заметили трещины или сколы на зубах, это также может быть причиной повышенной чувствительности. В таких случаях стоматолог сможет предложить варианты восстановления зуба.
- Изменения в привычках ухода за полостью рта: Если вы начали использовать новые средства для ухода за зубами, такие как отбеливающие пасты или ополаскиватели, и заметили, что чувствительность усилилась, стоит проконсультироваться с врачом.
- Системные заболевания: Некоторые заболевания, такие как диабет или расстройства щитовидной железы, могут влиять на здоровье зубов и десен. Если у вас есть хронические заболевания, и вы заметили изменения в чувствительности зубов, обязательно сообщите об этом стоматологу.
Обращение к стоматологу на ранних стадиях проблемы может помочь предотвратить более серьезные осложнения и сохранить здоровье зубов. Не стоит откладывать визит к специалисту, если вы заметили какие-либо из вышеописанных симптомов.




