Темные пятна на зубах, черные и коричневые, могут указывать на кариес или другие заболевания. В статье рассмотрим причины их появления, методы профилактики и удаления, включая народные средства и профессиональные процедуры. Понимание этих изменений поможет сохранить здоровье зубов и избежать стоматологических проблем.
Причины появления черных пятен
Темное пятно на зубах может возникать по различным причинам. Важно отметить, что это не всегда связано с заболеваниями зубов; иногда такие изменения являются следствием вредных привычек или частого употребления кофе.
К основным причинам появления темных пятен можно отнести следующие факторы:
- Люди с вредными привычками находятся в группе риска по появлению черных пятен, особенно это касается курильщиков.
> Компоненты, содержащиеся в табачных изделиях, негативно сказываются на состоянии ротовой полости. Поэтому курящим рекомендуется внимательно следить за гигиеной полости рта. - Недостаточная гигиена зубов также может предвещать появление темных пятен. При этом человек может даже не осознавать, что не выполняет гигиенические процедуры должным образом. Поэтому важно знать, как правильно проводить ежедневные гигиенические манипуляции.
- Частое употребление крепкого кофе может привести к изменению цвета зубной эмали. Кофеин повреждает эмаль и окрашивает ее. Поврежденные зубы более подвержены кариесу. Поэтому рекомендуется либо сократить количество выпиваемого кофе, либо вовсе отказаться от него.
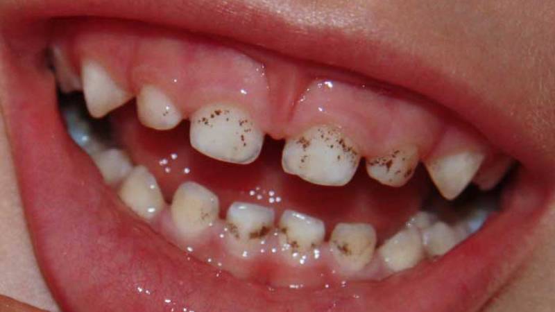
- Существуют и причины, не зависящие от человека, например, у недоношенных и ослабленных детей зубы могут быть покрыты черными пятнами. Этот симптом не всегда требует лечения, но все же стоит показать ребенка стоматологу.
- Чрезмерное потребление сахара или продуктов с высоким содержанием сахара может вызвать множество негативных последствий для здоровья, включая появление темных пятен на зубах. Полностью отказаться от сахара сложно, но его потребление можно значительно сократить.
- Прием некоторых лекарств также может привести к образованию темных пятен на зубах. В этом случае проблема более серьезная, так как некоторые препараты могут вызывать деминерализацию эмали. Для восстановления потребуется дополнительное лечение, например, фторирование.
- Темные пятна могут появляться со временем у любого человека из-за нерационального питания на протяжении длительного времени. Поэтому важно правильно сбалансировать свой рацион, включая в него фрукты и овощи. Неправильное питание может привести не только к изменению цвета зубов, но и к другим серьезным проблемам.
- Частое употребление газированных напитков может иметь негативные последствия. Газировка разрушает эмаль зубов. Хотя нельзя сказать, что газированная вода в целом опасна, рекомендуется ограничить ее потребление. Лучшим вариантом для утоления жажды остается обычная фильтрованная вода.
- У людей, злоупотребляющих алкоголем, могут появляться черные пятна на зубах, что выглядит непривлекательно и может вызывать дискомфорт при общении. Поэтому особенно важно сократить потребление спиртных напитков или полностью отказаться от этой привычки.
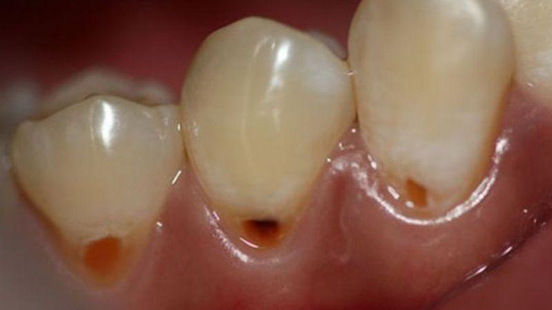
Темные пятна могут быть признаком стоматологического заболевания, известного как кариес, который наносит серьезный вред организму. Поэтому при появлении даже одного пятна рекомендуется незамедлительно обратиться к стоматологу.
Темные пятна на зубах вызывают беспокойство как у пациентов, так и у стоматологов. Врачи отмечают, что такие изменения могут быть связаны с различными факторами, включая неправильную гигиену полости рта, употребление красящих продуктов и напитков, а также наличие кариеса. Стоматологи подчеркивают важность регулярных осмотров и профессиональной чистки зубов, которые помогают выявить и устранить проблему на ранних стадиях. Кроме того, врачи рекомендуют использовать зубные пасты с фтором и избегать чрезмерного потребления сладостей. В случае появления темных пятен важно не откладывать визит к стоматологу, так как это может быть признаком более серьезных заболеваний зубов и десен.
https://youtube.com/watch?v=SzQ093Shhkc
Избавление от черных пятен в кабинете стоматолога
Хотя появление черных пятен на зубах не всегда связано с заболеваниями полости рта, от них следует избавляться. Прежде всего, такие пятна могут вызывать значительный дискомфорт в общении, особенно если они расположены на передних зубах.
Передние резцы наиболее подвержены внешним воздействиям, и потемнения могут возникать на любой части зубной поверхности. Существуют несколько эффективных методов для быстрого решения этой проблемы:
- Черное пятно может быть признаком зубного камня, в таком случае поможет шлифовка зубной эмали. Эту процедуру проводит стоматолог с использованием специализированных инструментов. После завершения шлифовки рекомендуется укрепить поверхность зубов с помощью фторирования. Также полезно использовать зубную пасту с фтором для дополнительного укрепления эмали.
- Отбеливание зубов – это действенный метод, если черное пятно возникло из-за чрезмерного потребления кофе или курения. Чтобы сохранить результат, важно регулярно полоскать рот антисептическими средствами и ежедневно чистить зубы. В первые дни после процедуры рекомендуется применять фторсодержащую пасту для укрепления зубной эмали.
- Сбалансированное питание – залог здоровья зубов. Рекомендуется ежедневно обеспечивать организм необходимыми витаминами и минералами.
- Регулярные визиты к стоматологу в профилактических целях помогут избежать появления нежелательных пятен. Врач осматривает ротовую полость на каждом приеме и, если обнаруживает какие-либо проблемы, сразу же принимает меры для их устранения.
Следует отметить, что большинство людей может предотвратить появление темных пятен самостоятельно. Поэтому важно внимательно следить за состоянием своего здоровья.
| Причина появления | Характер пятен | Рекомендуемые действия |
|---|---|---|
| Кариес | От светло-коричневых до черных, могут быть шероховатыми, часто сопровождаются болью при употреблении сладкого, холодного или горячего. | Обратиться к стоматологу для лечения кариеса (пломбирование). |
| Пигментация от еды и напитков | Коричневые, желтоватые, серые пятна, особенно заметные после употребления кофе, чая, красного вина, ягод, соусов. | Профессиональная чистка зубов (гигиена), отбеливание зубов, улучшение гигиены полости рта. |
| Курение | Желто-коричневые, черные пятна, особенно на внутренней поверхности зубов. | Отказ от курения, профессиональная чистка зубов, отбеливание. |
| Травма зуба | Темные пятна или изменение цвета зуба (серый, черный) после удара или травмы. | Обратиться к стоматологу для диагностики и возможного лечения корневых каналов. |
| Прием некоторых лекарств | Серые, коричневые пятна, особенно у детей, принимавших тетрациклин. | Консультация с врачом, возможно отбеливание или другие эстетические процедуры. |
| Избыток фтора (флюороз) | Белые, желтые, коричневые пятна, иногда с эрозиями эмали. | Консультация со стоматологом, возможно применение реминерализующих средств, микроабразия. |
| Старые пломбы | Темные пятна вокруг или под старыми пломбами, особенно амальгамными. | Замена старых пломб на новые, более эстетичные материалы. |
| Генетическая предрасположенность | Врожденные особенности структуры эмали, делающие ее более подверженной пигментации. | Регулярная профессиональная гигиена, возможно отбеливание. |
| Налет Пристли (черный налет) | Черные или темно-коричневые пятна, часто у детей, вызванные специфическими бактериями. | Профессиональная чистка зубов, улучшение гигиены полости рта. |
Избавление от черных пятен в домашних условиях
Если пятна на зубах не связаны с заболеваниями, их можно удалить и в домашних условиях.
Тем не менее, перед началом любых процедур рекомендуется посетить стоматолога, который сможет точно определить отсутствие стоматологических проблем.
Наиболее популярные средства, которые могут дать заметный эффект, включают:
- Ополаскивание рта настоем, приготовленным из лаврового листа. Это средство содержит цинеол, который способствует отбеливанию зубной эмали.
- Чистка зубов самодельной пастой поможет избавиться от зубного камня. Для ее приготовления смешивают морскую соль и соду. Однако следует быть осторожным с этим средством, так как неправильное использование может повредить эмаль здоровых зубов. Поврежденная эмаль может стать причиной стоматологических заболеваний.
- Во время чистки рекомендуется наносить на зубы сок лайма, который способствует отбеливанию и придает зубам естественный блеск. Однако лайм не следует использовать при наличии механических повреждений в ротовой полости, так как это может вызвать жжение и дискомфорт.
- Солодка является отличным антибактериальным средством. В ее составе есть вещества, которые помогают отбеливать и укреплять зубную эмаль.
Важно отметить, что домашние средства не обеспечивают мгновенного результата.
Процедуры требуют длительного применения. Кроме того, неправильное использование может привести к нежелательным последствиям. Наиболее заметный эффект можно достичь только с помощью стоматологических процедур, выполненных квалифицированным специалистом.
https://youtube.com/watch?v=_dfqoxEXgng
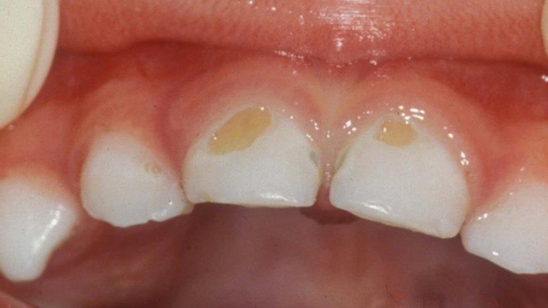
Коричневые пятна на зубной поверхности
Если на зубах появились коричневые пятна, это чаще всего указывает на начало кариозного процесса. Кариес — это серьезное стоматологическое заболевание, способное привести к различным осложнениям.
Крайне важно выявить его на ранних стадиях и провести необходимое лечение.
Причины возникновения этого недуга могут быть разнообразными и, как правило, связаны с недостаточным вниманием человека к своему здоровью. Наиболее распространенной причиной является плохая гигиена полости рта и потребление продуктов с высоким содержанием сахара.
Кариес опасен тем, что на начальных этапах, когда появляется коричневое пятно на зубе, человек не испытывает никаких болезненных ощущений. Это означает, что кариозный процесс уже запущен, и его можно заметить только при визуальном осмотре зубов.
Заболевание быстро прогрессирует, и на стадии, когда появляются явные болезненные симптомы, остановить кариес становится значительно сложнее. Лечение включает стоматологические процедуры, проводимые врачом, а также длительное восстановление состояния зубов в домашних условиях.
Конечно, в некоторых случаях коричневые пятна могут не быть связаны с заболеваниями зубов. Тем не менее, при первом обнаружении таких образований настоятельно рекомендуется обратиться к стоматологу для профилактического осмотра.
Лечение кариеса в домашних условиях не приносит желаемых результатов и может причинить больше вреда, чем пользы. Только специалист может назначить правильную терапию, а от пациента требуется строгое соблюдение всех рекомендаций врача.
https://youtube.com/watch?v=MjP91A5su2I
Профилактика появления темных пятен на зубах
Профилактика появления темных пятен на зубах является важной задачей для поддержания здоровья полости рта и эстетики улыбки. Темные пятна могут возникать по различным причинам, включая неправильную гигиену, употребление определенных продуктов и напитков, а также влияние курения. Чтобы минимизировать риск их появления, следует придерживаться нескольких простых, но эффективных рекомендаций.
1. Регулярная гигиена полости рта. Основным способом предотвращения темных пятен является тщательная гигиена зубов. Рекомендуется чистить зубы дважды в день с использованием фторсодержащей зубной пасты. Не забывайте также о чистке языка и использовании зубной нити для удаления остатков пищи и налета между зубами.
2. Ограничение потребления красящих продуктов. Некоторые продукты и напитки, такие как кофе, чай, красное вино, соевый соус и ягоды, могут способствовать образованию пятен на зубах. Если вы не можете полностью отказаться от них, старайтесь употреблять их в умеренных количествах и полоскать рот водой после еды или питья.
3. Отказ от курения. Курение не только негативно сказывается на здоровье зубов и десен, но и является одной из основных причин появления темных пятен. Отказ от табака поможет не только улучшить внешний вид зубов, но и общее состояние здоровья.
4. Регулярные визиты к стоматологу. Профилактические осмотры у стоматолога не менее важны. Специалист сможет выявить ранние признаки образования пятен и предложить соответствующее лечение или профессиональную чистку зубов, что поможет сохранить их белизну.
5. Использование отбеливающих средств. Существуют различные отбеливающие пасты и полоски, которые могут помочь в борьбе с темными пятнами. Однако перед их использованием рекомендуется проконсультироваться со стоматологом, чтобы избежать повреждения эмали.
6. Увлажнение организма. Недостаток воды в организме может привести к сухости во рту, что способствует образованию налета и пятен. Убедитесь, что вы пьете достаточное количество воды в течение дня, чтобы поддерживать здоровье полости рта.
Следуя этим простым рекомендациям, вы сможете значительно снизить риск появления темных пятен на зубах и сохранить свою улыбку здоровой и привлекательной на долгие годы.
Влияние питания на цвет зубов
Цвет зубов может значительно варьироваться в зависимости от множества факторов, среди которых особое место занимает питание. Некоторые продукты и напитки способны оказывать негативное влияние на эмаль зубов, способствуя образованию темных пятен и изменению их цвета.
Одним из основных виновников потемнения зубов являются красящие вещества, содержащиеся в определенных продуктах. Например, кофе, чай, красное вино и некоторые ягоды (такие как черника и малина) содержат пигменты, которые могут прилипать к поверхности зубов и со временем вызывать их потемнение. Эти продукты, особенно при регулярном употреблении, могут привести к образованию стойких пятен на эмали.
Кроме того, кислые продукты, такие как цитрусовые фрукты и газированные напитки, могут разрушать защитный слой эмали, делая зубы более уязвимыми к окрашиванию. Когда эмаль истончается, под ней становится более заметным дентин — внутренний слой зуба, который имеет более желтоватый оттенок. Это также может способствовать изменению цвета зубов.
Некоторые продукты, содержащие добавленные сахара и кислоты, могут способствовать развитию кариеса, что также негативно сказывается на внешнем виде зубов. Кариес может вызывать потемнение зубов и образование пятен, что делает их менее привлекательными.
Важно отметить, что не только сами продукты, но и способы их приготовления могут влиять на здоровье зубов. Например, маринады и соусы, содержащие уксус, могут быть особенно агрессивными для эмали. Поэтому стоит обращать внимание не только на то, что мы едим, но и как это влияет на наши зубы.
Для минимизации негативного воздействия питания на цвет зубов рекомендуется соблюдать баланс в рационе, ограничивать потребление красящих и кислых продуктов, а также регулярно проводить гигиенические процедуры, такие как чистка зубов и использование зубной нити. Также полезно полоскать рот водой после употребления окрашивающих напитков, чтобы уменьшить их контакт с эмалью.
В заключение, питание играет ключевую роль в поддержании здоровья и эстетического вида зубов. Осознанный подход к выбору продуктов и соблюдение правил гигиены помогут сохранить зубы белыми и здоровыми на долгие годы.
Когда обращаться к стоматологу: признаки серьезной проблемы
Темные пятна на зубах могут быть признаком различных стоматологических проблем, и важно уметь распознать, когда необходимо обратиться к стоматологу. Существует несколько ключевых признаков, которые могут указывать на серьезные проблемы, требующие профессионального вмешательства.
Во-первых, если вы заметили, что темные пятна на зубах стали увеличиваться в размере или количестве, это может свидетельствовать о прогрессирующем процессе кариеса. Кариес — это разрушение зубной эмали, которое может привести к образованию полостей и более серьезным осложнениям, если не будет своевременно устранено.
Во-вторых, если темные пятна сопровождаются болевыми ощущениями, особенно при употреблении горячей или холодной пищи и напитков, это может указывать на то, что кариес уже затронул более глубокие слои зуба, такие как дентин или пульпа. Боль — это сигнал организма о том, что требуется медицинская помощь.
Третьим признаком является изменение цвета зубов, которое может быть вызвано не только кариесом, но и другими факторами, такими как зубной налет, курение или употребление определенных продуктов и напитков (например, кофе, красного вина, черного чая). Если изменение цвета зубов происходит быстро и без видимой причины, это также может быть поводом для обращения к стоматологу.
Четвертым признаком является наличие неприятного запаха изо рта, который может указывать на наличие инфекции или воспалительного процесса в деснах. Если темные пятна на зубах сопровождаются гингивитом или пародонтитом, это может привести к потере зубов, если не будет предпринято своевременное лечение.
Наконец, если вы замечаете, что темные пятна на зубах появляются у детей, это может быть признаком флюороза или других стоматологических заболеваний, требующих внимания специалиста. У детей зубы более чувствительны к различным воздействиям, и ранняя диагностика может предотвратить серьезные проблемы в будущем.
Таким образом, если вы заметили один или несколько из перечисленных признаков, настоятельно рекомендуется записаться на прием к стоматологу. Профессиональная диагностика и лечение помогут избежать серьезных осложнений и сохранить здоровье зубов на долгие годы.



