Несъемное протезирование зубов — важный аспект стоматологии, восстанавливающий утраченные зубы с помощью мостовидных конструкций. В статье рассмотрим новейшие технологии и материалы для создания несъемных зубных протезов, а также рекомендации по уходу за ними. Понимание этих аспектов поможет пациентам сделать осознанный выбор и обеспечить долговечность и функциональность протезов, что улучшит качество жизни и уверенность в себе.
Виниры
Используемые технологии предназначены для восстановления поврежденных, раскрошенных и сколотых зубов, однако они не подходят для полного протезирования зуба.
Виниры представляют собой тонкие керамические пластины, которые стоматолог приклеивает на переднюю поверхность зуба с помощью специального клея. Это позволяет скрыть незначительные эстетические недостатки, такие как сколы, увеличенные промежутки между зубами, изменения в цвете эмали и изношенные участки.
Одним из главных преимуществ виниров является то, что для их установки требуется минимальная обточка зуба, что помогает сохранить его здоровье.
В большинстве современных стоматологических клиник подготовка зубов осуществляется с использованием микроскопов, что обеспечивает высокую точность и минимизирует объем обточки.
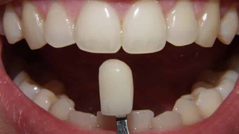
Современные прочные и эстетически привлекательные материалы, такие как диоксид циркония и керамика, идеально подходят для протезирования. Они предлагают широкий выбор оттенков для точного подбора под естественную эмаль и обладают способностью пропускать свет. В результате, восстановленный зуб будет выглядеть блестящим и глянцевым, как натуральный.
Врачи-стоматологи отмечают, что несъемное протезирование зубов является одним из наиболее эффективных способов восстановления утраченных зубов. Этот метод обеспечивает высокую степень фиксации и естественный внешний вид, что позволяет пациентам не только восстановить функцию жевания, но и улучшить эстетику улыбки. Специалисты подчеркивают, что несъемные протезы, такие как коронки и мосты, требуют тщательной подготовки и точной диагностики, что позволяет избежать осложнений в будущем. Важно, чтобы пациенты следовали рекомендациям врачей по уходу за протезами и регулярно посещали стоматолога для профилактических осмотров. Таким образом, несъемное протезирование становится надежным решением для многих людей, стремящихся вернуть здоровье и красоту своей улыбке.
https://youtube.com/watch?v=EOFIbYnUDPw
Вкладки
Несъемные зубные протезы данного типа используются для восстановления различных сторон зубов, включая не только передние. Для восстановления поврежденных участков применяются специальные керамические вкладки, которые напоминают высококачественные пломбы. Однако они имеют ряд преимуществ по сравнению с традиционным наращиванием зубов:
- Вкладка охватывает большую площадь разрушенного зуба, что делает ее подходящей даже после лечения гингивита и сложных форм кариеса;
- Керамика позволяет подобрать наиболее точные оттенки, соответствующие натуральной эмали, и максимально имитирует структуру костной ткани, в отличие от композитных пломб;
- Эти вкладки отличаются высокой прочностью и надежностью, а их срок службы значительно превышает таковой у пломб, которые имеют пористую структуру (впитывают пигменты от красителей, никотина, кофеина, вина и остатков пищи) и со временем могут крошиться;
- Вкладки изготавливаются специалистами в специализированных лабораториях по индивидуальным слепкам, что обеспечивает идеальное прилегание материала и предотвращает риск повторного возникновения кариеса.
| Вид несъемного протеза | Описание | Показания |
|---|---|---|
| Коронка | Одиночная конструкция, полностью покрывающая поврежденный зуб. | Значительное разрушение коронковой части зуба, изменение цвета, формы, защита депульпированного зуба. |
| Мостовидный протез | Конструкция из нескольких коронок, замещающая один или несколько отсутствующих зубов, опирающаяся на соседние здоровые зубы. | Отсутствие одного или нескольких зубов при наличии опорных зубов с обеих сторон дефекта. |
| Виниры | Тонкие керамические или композитные накладки, фиксируемые на передней поверхности зубов. | Изменение цвета, формы, размера зубов, небольшие сколы, диастемы (щели между зубами). |
| Вкладки/Накладки (Inlay/Onlay) | Микропротезы, восстанавливающие часть коронки зуба при значительном разрушении, когда пломба неэффективна. | Обширные кариозные полости, разрушение бугров зуба, когда коронка еще не требуется. |
| Протезирование на имплантатах | Коронки или мостовидные протезы, фиксируемые на искусственных корнях (имплантатах), вживленных в челюстную кость. | Отсутствие одного или нескольких зубов, когда нет возможности использовать соседние зубы в качестве опоры, или при полном отсутствии зубов. |
Коронки
Коронка – это несъемный зубной протез, который помогает восстановить утраченный или сильно поврежденный зуб. Обычно коронки устанавливаются в тех случаях, когда от зуба остался только корень. Искусственная конструкция полностью имитирует здоровый зуб: ее форма, цвет, текстура и прочность соответствуют натуральному зубу (резцу, жевательному зубу, клыку и т.д.). С помощью коронок вы сможете выполнять все привычные функции: жевать, кусать, произносить слова и так далее.
Современные коронки изготавливаются из различных материалов.
Наиболее прочные и долговечные, а значит, и более дорогие, – это керамические и металлокерамические модели. Эти материалы предлагают широкий выбор оттенков, не впитывают пищевые красители и не подвержены разрушению со временем. Кроме того, они биоинертны (риск отторжения минимален) и гипоаллергенны. Такие коронки легко и комфортно носятся, и пациент не ощущает их во время жевательных нагрузок.
Более доступным вариантом являются пластиковые коронки. Их также можно подобрать под цвет зубов, однако срок их службы обычно составляет всего 3-5 лет. Чаще всего их используют для временного протезирования до установки постоянных коронок из более качественных материалов.
Металлические коронки постепенно уходят в прошлое. Они не отличаются эстетичностью, заметны при улыбке и стоят довольно дорого, особенно если речь идет о благородных металлах. Кроме того, металл может вызывать аллергические реакции у пациентов, а его высокая жесткость создает нагрузку на суставы и челюсть, что иногда приводит к повреждению и разрушению соседних зубов.
https://youtube.com/watch?v=HH-9xjrIUyA
Мостовидные протезы
Мостовидные несъемные зубные протезы (см. фото ниже) представляют собой комбинацию коронок, обычно от 3 до 4 штук в одной конструкции. Этот протез устанавливается на десны, а его опорой служат крайние коронки, которые надеваются на предварительно обработанные здоровые зубы. Перед установкой опорные зубы очищаются от нерва, а каналы запечатываются.
С помощью таких протезов можно быстро восстановить несколько зубов. Однако стоит учитывать, что они не подходят для случаев полной утраты зубов (адентия).
Чаще всего мостовидные протезы применяются для временного восстановления как эстетики, так и функциональности зубного ряда, после чего планируется установка постоянных имплантатов.
Одним из недостатков данной методики является неравномерное распределение нагрузки в области установки моста, что может привести к постепенной атрофии челюсти и рассасыванию костной ткани.
Адгезивные мостовидные протезы считаются более современным, легким и щадящим вариантом. Они представляют собой одну коронку, которая крепится на опорный зуб без необходимости его обточки. Однако у этого метода есть и недостаток – адгезивный мост не всегда выполняет свои функции должным образом, поэтому его рассматривают как временное решение.
Имплантаты
Несъемные зубные протезы на всю челюсть по современным технологиям предполагают применение имплантатов. Как же устроена эта система? Имплантолог создает в десне отверстие с помощью хирургического вмешательства, лазера или эндоскопической техники и помещает туда искусственный корень зуба, изготовленный из титана. На этот корень устанавливается абатмент, а затем коронка, которая сначала может быть выполнена из пластика, а после успешного приживления — из керамики или металлокерамики.
К сожалению, процесс приживления имплантатов занимает значительное время (от 3 до 6 месяцев). В этот период крайне важно тщательно заботиться о гигиене полости рта и пройти курс антибактериальной терапии.
Правильный уход за несъемными системами
Все системы зубного протезирования требуют тщательного ухода за несъемными конструкциями. Гигиенические процедуры должны быть регулярными и качественными, поскольку вы не можете просто снять протез и тщательно его очистить с разных сторон.
- Прежде всего, выработайте привычку чистить зубы дважды в день, не пропуская ни одной процедуры. Также важно использовать зубную нить для очистки межзубных пространств как минимум один раз в день. В области виниров и мостовидных протезов будьте особенно осторожны с флоссом. Щетку следует держать под углом 45° к поверхности зуба и выполнять выметающие движения от десны к краю зуба. Выбирайте пасту, подходящую для вашей системы протезирования.
- После чистки рекомендуется дополнительно использовать ирригатор с антисептическим ополаскивателем. Этот прибор благодаря мощной струе воды удаляет остатки пищи даже из самых труднодоступных мест и способствует обеззараживанию. Пользуйтесь ирригатором после каждого приема пищи.
- Периодически растворяйте специальную био-таблетку и используйте ирригатор для полоскания, что поможет дополнительно очистить поверхности конструкций от известкового и бактериального налета, а также зубного камня.
- После установки любой из указанных моделей обязательно посещайте стоматолога каждые 6 месяцев.
> Специалист проведет профессиональную санацию ротовой полости, ультразвуковую чистку протеза, подгонит и при необходимости скорректирует конструкцию или заменит ее элементы. - Также выделяйте время несколько раз в неделю для массажа десен в области ношения протезов (5-6 минут). Это поможет сохранить здоровье живых зубов и, соответственно, продлит срок службы протеза.
Мы обсудили, какие несъемные протезы устанавливаются на верхнюю челюсть (для полного зубного ряда) и какие используются для замены 1-2 зубов. Какой бы вариант вы ни выбрали, помните, что только опытный врач и ваша организованность помогут сделать ношение несъемных систем максимально комфортным и долговечным.
https://youtube.com/watch?v=uBNZJ7_7_lk
Показания и противопоказания к несъемному протезированию
Несъемное протезирование зубов является одним из наиболее распространенных методов восстановления утраченных зубов. Однако, прежде чем принимать решение о проведении данной процедуры, необходимо учитывать ряд показаний и противопоказаний, которые могут повлиять на выбор метода лечения.
Показания к несъемному протезированию:
- Отсутствие одного или нескольких зубов: Несъемные протезы, такие как коронки и мосты, идеально подходят для восстановления утраченных зубов, обеспечивая функциональность и эстетику.
- Состояние оставшихся зубов: Если зубы, на которые будет опираться протез, имеют достаточную прочность и здоровье, несъемное протезирование становится оптимальным выбором.
- Проблемы с прикусом: В случаях, когда необходимо восстановление правильного прикуса, несъемные протезы могут помочь в коррекции зубного ряда.
- Эстетические требования: Пациенты, стремящиеся к восстановлению естественного внешнего вида зубов, могут выбрать несъемные протезы, которые максимально имитируют натуральные зубы.
- Долговечность и надежность: Несъемные протезы, как правило, имеют более длительный срок службы по сравнению с съемными, что делает их предпочтительными для многих пациентов.
Противопоказания к несъемному протезированию:
- Заболевания десен: Пародонтит и другие заболевания десен могут стать серьезным препятствием для установки несъемных протезов, так как они могут привести к потере опорных зубов.
- Недостаток зубной ткани: Если оставшиеся зубы имеют значительные разрушения или недостаток структуры, это может сделать невозможным установку коронки или моста.
- Общие заболевания: Некоторые системные заболевания, такие как диабет или сердечно-сосудистые заболевания, могут ограничивать возможность проведения несъемного протезирования из-за повышенного риска осложнений.
- Аллергия на материалы: У некоторых пациентов может быть аллергия на металлы или другие материалы, используемые в несъемных протезах, что также является противопоказанием.
- Неправильный прикус: В случаях, когда имеется серьезное нарушение прикуса, может потребоваться предварительная ортодонтическая коррекция перед установкой несъемных протезов.
Таким образом, перед принятием решения о несъемном протезировании зубов необходимо провести тщательную диагностику и консультацию с квалифицированным стоматологом, который сможет оценить все показания и противопоказания, а также предложить наиболее подходящий вариант лечения.
Этапы подготовки к несъемному протезированию
Подготовка к несъемному протезированию зубов включает несколько ключевых этапов, которые обеспечивают успешный результат лечения и долгосрочную функциональность протезов. Каждый из этих этапов важен для достижения оптимального состояния полости рта и здоровья пациента.
1. Консультация и диагностика
Первым шагом является консультация стоматолога, на которой врач проводит полное обследование полости рта. Это включает в себя визуальный осмотр, рентгенографию и, при необходимости, дополнительные исследования, такие как КТ (компьютерная томография). На этом этапе врач оценивает состояние зубов, десен и костной ткани, а также определяет наличие заболеваний, которые могут повлиять на процесс протезирования.
2. Профессиональная гигиена полости рта
Перед началом протезирования необходимо провести профессиональную чистку зубов. Это позволяет удалить зубной налет и камень, что снижает риск воспалительных процессов и инфекций. Хорошая гигиена полости рта также способствует более быстрому заживлению после установки протезов.
3. Лечение заболеваний зубов и десен
Если у пациента имеются кариес, пародонтит или другие стоматологические заболевания, их необходимо вылечить перед протезированием. Это может включать пломбирование зубов, лечение корневых каналов или хирургические вмешательства для устранения воспалительных процессов. Здоровые зубы и десны являются основой для успешного протезирования.
4. Планирование протезирования
На основании собранной информации стоматолог разрабатывает индивидуальный план лечения. Это включает выбор типа протезов (коронки, мосты, виниры и т.д.), определение материалов, из которых будут изготовлены протезы, а также сроки выполнения работы. Важно, чтобы пациент был вовлечен в процесс принятия решений и понимал все этапы предстоящего лечения.
5. Подготовка зубов
Если планируется установка коронок или мостов, зубы, которые будут протезироваться, необходимо подготовить. Это может включать обтачивание зубов для создания пространства под протезы. Важно, чтобы подготовка проводилась с учетом анатомических особенностей зуба и состояния десен, чтобы избежать повреждений и обеспечить надежную фиксацию протезов.
6. Снятие слепков
После подготовки зубов стоматолог снимает слепки, которые необходимы для создания индивидуальных протезов. Существует несколько методов снятия слепков, включая использование эластичных материалов и цифровые технологии. Точные слепки обеспечивают идеальную посадку протезов и комфорт для пациента.
7. Пробные протезы
На следующем этапе могут быть изготовлены пробные протезы, которые позволяют оценить эстетику, функциональность и комфорт. Пациент может примерить пробные конструкции, и при необходимости внести изменения. Это важный шаг, так как он позволяет избежать ошибок на финальном этапе.
8. Изготовление окончательных протезов
После утверждения пробных протезов начинается процесс изготовления окончательных конструкций. В зависимости от выбранных материалов и сложности работы, этот этап может занять от нескольких дней до нескольких недель. Важно, чтобы протезы были изготовлены с учетом всех индивидуальных особенностей пациента.
9. Установка протезов
На финальном этапе происходит установка протезов. Стоматолог проверяет их посадку, прикус и эстетику. При необходимости проводятся коррекции. После установки пациент получает рекомендации по уходу за протезами и поддержанию гигиены полости рта.
Таким образом, этапы подготовки к несъемному протезированию зубов являются важной частью всего процесса, обеспечивая высокое качество и долговечность конечного результата. Правильная подготовка позволяет минимизировать риски и достичь максимального комфорта для пациента.
Современные материалы для несъемного протезирования
Несъемное протезирование зубов подразумевает использование различных материалов, которые обеспечивают долговечность, эстетичность и функциональность протезов. В последние годы на рынке стоматологических услуг появились новые технологии и материалы, которые значительно улучшили качество несъемных протезов.
Одним из наиболее популярных материалов для несъемного протезирования является керамика. Керамические коронки и мосты обладают высокой эстетикой, так как могут имитировать естественный цвет зубов. Они также устойчивы к окрашиванию и не вызывают аллергических реакций. Керамика может быть использована как в монолитном виде, так и в виде композитных материалов, которые сочетают в себе прочность и красоту.
Другим важным материалом является металлокерамика. Этот материал сочетает в себе прочность металла и эстетические качества керамики. Металлокерамические коронки имеют металлический каркас, который обеспечивает высокую прочность, а керамическое покрытие придает им естественный вид. Металлокерамика часто используется для протезирования жевательных зубов, где требуется высокая нагрузка.
Совсем недавно на рынке появились циркониевые коронки, которые стали настоящим прорывом в области стоматологии. Цирконий — это высокопрочный и биосовместимый материал, который не вызывает аллергии и обладает отличными эстетическими свойствами. Циркониевые коронки могут быть использованы как для фронтальных, так и для жевательных зубов, обеспечивая долговечность и естественный вид.
Также стоит упомянуть о композитных материалах, которые используются для создания несъемных протезов. Композиты представляют собой смеси различных материалов, что позволяет добиться хороших эстетических и механических свойств. Они часто применяются для реставрации зубов и создания временных коронок.
Не менее важным аспектом является металл, который используется в несъемном протезировании. Наиболее распространенными являются золото и нержавеющая сталь. Золотые коронки обладают высокой прочностью и долговечностью, а также не вызывают аллергии. Нержавеющая сталь, в свою очередь, является более экономичным вариантом, который также обеспечивает хорошую прочность и долговечность.
Таким образом, выбор материала для несъемного протезирования зубов зависит от множества факторов, включая расположение зуба, нагрузку, которую он будет испытывать, а также эстетические предпочтения пациента. Современные технологии и материалы позволяют стоматологам предлагать индивидуальные решения, которые удовлетворяют потребности каждого пациента.




