Зубной мост — эффективное решение для восстановления утраченных зубов, которое возвращает эстетичный внешний вид и функциональность жевательной системы. В статье рассмотрим виды зубных мостов с фото моделей на 1, 2, 3 и 4 зуба, материалы их изготовления и способы установки. Также обсудим возможные проблемы после установки протеза, что поможет вам подготовиться к процедуре и сделать осознанный выбор.
Сущность мостовидных моделей, виды по материалам
Модель представляет собой ортопедическую систему для постоянного использования (несъемная). Она состоит из опорных коронок и искусственных зубов, которые размещаются между ними. Это позволяет установить зубной мост на 3 зуба (см. фото ниже), а также на 1 или 2. В некоторых случаях коронка может быть установлена и на 4 зуба, заменяя, например, передние зубы.
Основное требование – с обеих сторон от дефекта зубного ряда должны находиться опорные зубы.
Эти зубы должны быть полностью вылечены и, при необходимости, запломбированы, так как они будут подвергаться значительному жевательному давлению, достигающему нескольких десятков килограммов.
Рассмотрим, какие существуют виды в зависимости от используемого материала:
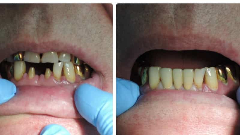
- Металлические. Эта модель не пользуется большой популярностью из-за недостатков в эстетике. Тем не менее, она считается самой прочной, надежной и долговечной, а стоимость ее вполне доступна для большинства. Однако система достаточно массивная и тяжелая, что со временем может привести к повреждению опорных зубов. Многие пациенты также отмечают металлический привкус во рту. Кроме того, металл является сильным аллергеном, поэтому такая модель подходит не всем.
- Металлокерамические. Эта модель не уступает по прочности и долговечности предыдущей, но обладает гораздо лучшими эстетическими характеристиками благодаря керамике, которая точно имитирует натуральный цвет эмали и подбирается в тон опорных зубов. Основой конструкции служит прочный металлический каркас. К сожалению, иногда он может просвечивать сквозь керамику, что нарушает эстетику улыбки. Современные протезы чаще всего изготавливаются из белых металлов (сталь, диоксид циркония и т.д.), что позволяет максимально скрыть конструкцию.
- Цельнокерамические. Эти зубные мосты не имеют металлической основы. Это, конечно, сказывается на прочности и надежности моста, однако эстетические качества находятся на высоком уровне – модель полностью имитирует натуральную эмаль.
- Пластмассовые. Это бюджетный вариант протеза, который позволяет установить временную конструкцию (до 3 лет) до приобретения более качественного решения. Пластмасса является гипоаллергенным материалом, что делает ее подходящей для большинства клиентов. Пластмассовые коронки также подбираются под натуральный цвет эмали и имитируют анатомическую структуру фиссур. Этот вид уступает по прочности и долговечности всем другим моделям, поэтому используется только для временного протезирования.
- Металлопластмассовые. Эта система более надежная и долговечная по сравнению с предыдущей. Мост изготавливается из пластмассы, в то время как основа и крепежные элементы выполнены из металла. Такая конструкция может прослужить от 2 до 5 лет при условии регулярной гигиены и аккуратного обращения.
> К сожалению, пластмассовые коронки за это время могут изменить цвет, так как они склонны впитывать пищевые красители и пигменты (никотин, вино, кофеин).
Врачи-стоматологи отмечают, что мост на зубы является эффективным решением для восстановления утраченных зубов. Он не только восстанавливает эстетический вид улыбки, но и способствует нормализации жевательной функции. Специалисты подчеркивают, что правильный выбор материала для протеза, будь то металл, керамика или композит, играет ключевую роль в долговечности и естественности моста.
Кроме того, врачи рекомендуют тщательно следить за гигиеной полости рта, чтобы избежать осложнений и продлить срок службы протеза. Своевременные осмотры у стоматолога также важны для контроля состояния моста и здоровья окружающих зубов. В целом, мост на зубы, при правильном уходе и профессиональном подходе, может служить пациенту многие годы, обеспечивая комфорт и уверенность в себе.
https://youtube.com/watch?v=lJq9DNGM2tU
Виды мостов по способу производства и соединения
Существует три метода изготовления несъемных мостовидных протезов:
- Цельнолитой зубной мост (см. фото ниже) изготавливается из единого материала, что обеспечивает ему высокий уровень комфорта и прочности.
- Штампованный (паяный) протез состоит из опорных коронок и искусственных зубов, которые соединяются между собой с использованием различных металлов. Такие конструкции могут вызывать дискомфорт при ношении и чаще подвержены повреждениям и разрушению.
- Адгезивные протезы создаются непосредственно в ротовой полости пациента. Для их производства используются современные композитные материалы. Этот метод требует минимальной обточки опорных зубов. Протез не имеет опорных коронок и представляет собой стекловолоконную дугу, которая фиксируется на здоровых зубах с помощью выемок. На эту дугу устанавливается искусственный зуб. Данная конструкция считается менее прочной, так как не имеет опорных коронок, и применяется в основном для замены одного зуба.
Все мостовидные протезы имеют промежуточную часть между опорными коронками. Существует несколько типов этой части в зависимости от способов крепления к слизистой оболочке:
- Промывная. Эта конструкция предполагает наличие пространства между слизистой и мостом, что позволяет легко вымывать остатки пищи, облегчая ежедневный уход и снижая риск образования зубного камня, кариеса и воспалительных процессов.
- Касательная. В этом случае протез касается слизистой лишь с одной стороны. Данная система используется для протезирования передней области зубов, отвечающей за функциональность и эстетический вид ротовой полости, а также за формирование правильной речи. Именно поэтому такие конструкции применяются для установки мостов на передние зубы (фото ниже).
- Седловидная. В этом варианте мост полностью фиксируется на слизистой без просвета. Хотя такая конструкция не отличается высокой прочностью и долговечностью, она иногда необходима при протезировании передних зубов.
| Тип мостовидного протеза | Описание | Фото (пример) |
|---|---|---|
| Традиционный мост | Состоит из коронок, которые крепятся на соседние здоровые зубы (опоры), и искусственных зубов (промежуточная часть), замещающих отсутствующие. | [Изображение традиционного моста] |
| Консольный мост | Крепится только на один опорный зуб, расположенный с одной стороны от отсутствующего зуба. Используется, когда нет возможности опереться на зуб с другой стороны. | [Изображение консольного моста] |
| Адгезивный (Мэрилендский) мост | Имеет металлические «крылышки», которые приклеиваются к внутренней поверхности соседних зубов. Минимально инвазивен, но менее прочен. | [Изображение адгезивного моста] |
| Мост на имплантатах | Вместо опорных зубов используются зубные имплантаты, вживленные в челюстную кость. Обеспечивает высокую стабильность и долговечность. | [Изображение моста на имплантатах] |
| Съемный мост (частичный протез) | Не является фиксированной конструкцией, пациент может самостоятельно снимать и устанавливать его. Используется при отсутствии нескольких зубов. | [Изображение съемного моста] |
Как устанавливают мостовидный протез
Многих людей интересует, как происходит установка моста на зубы, насколько длителен этот процесс и сколько этапов он включает.
Сначала стоматолог проводит санацию ротовой полости, лечит зубы и десны, а также пломбирует корневые каналы и выполняет другие необходимые процедуры. Особое внимание уделяется зубам, которые будут служить опорой. Врач проводит их депульпацию и пломбирование, а затем обрабатывает их для установки коронки. Если зубы сильно повреждены, их укрепляют с помощью специальных вкладок. Этот этап называется препарированием под протез.
На следующем этапе стоматолог совместно с пациентом выбирает оттенок эмали для искусственных зубов. Затем создается слепок обеих челюстей, который отправляется в лабораторию, где специалист изготовит индивидуальный мост (фото представлены ниже).
Как правило, процесс изготовления протеза занимает от 2 до 3 недель. На этот период пациенту предлагают установить временный пластиковый протез, который защитит подготовленные опорные зубы от внешних воздействий и поможет восстановить эстетичный вид зубного ряда.
После завершения изготовления индивидуальной конструкции она примеряется к пациенту и подгоняется. Если нет дискомфорта или особых пожеланий, система фиксируется, плотно прижимаясь к зубам. Затем проверяется правильность прикуса, смыкание всех зубов и соответствие цвета эмали. Для закрепления моста стоматолог использует стоматологический цемент, который соединяет опорные зубы, коронки и мостовидный протез.
После установки моста на зубы стоматолог предоставляет рекомендации по уходу за несъемной конструкцией.
https://youtube.com/watch?v=3wHvHVS1lY0
Проблемы после установки конструкции
Все ортопедические изделия имеют определенный срок эксплуатации, пределы нагрузки и требуют аккуратного обращения, а также регулярной гигиенической обработки. Игнорирование простых рекомендаций часто приводит к тому, что конструкция начинает расшатываться, ломаться или выпадать.
Многих интересует, что делать, если зубной мост стал шатким. Прежде всего, это может указывать на то, что срок службы протеза истек. Иногда причиной этого становится износ материала или его эрозия, а в некоторых случаях под опорными коронками могут развиваться кариес или воспалительные процессы.
В такой ситуации необходимо незамедлительно обратиться к стоматологу, который с помощью специальных инструментов аккуратно снимет мост и установит новый, используя свежий стоматологический цемент и другие необходимые материалы. Попытки самостоятельно расшатать или извлечь конструкцию строго запрещены, так как это может повредить оставшиеся опорные зубы. Врач с помощью ультразвукового аппарата осторожно разрушает скрепляющий цемент, после чего извлекает мост.
Если же зубной мост уже сломался или соскочил, не стоит откладывать визит к лечащему врачу. В этом случае ваши опорные зубы становятся уязвимыми к инфекциям и внешним воздействиям, поскольку они были предварительно обточены и нагружены протезом, который мог повредить зубную ткань в процессе поломки.
Иногда поломка или шатание протеза может быть связано с нарушением технологии установки, подгонки или обточки зубов. В таком случае ваш стоматолог обязан бесплатно исправить работу с гарантией качества.
При должном уходе и регулярных визитах к врачу для подгонки вы сможете комфортно носить мостовидный протез на протяжении многих лет и радовать окружающих своей здоровой и красивой улыбкой.
https://youtube.com/watch?v=Ea4Viaqc1FA
Преимущества и недостатки мостовидных протезов
Мостовидные протезы представляют собой одну из наиболее распространенных и эффективных методик восстановления утраченных зубов. Они состоят из нескольких элементов: коронки, которая устанавливается на соседние зубы (опоры), и искусственного зуба (протеза), который заполняет промежуток. Рассмотрим основные преимущества и недостатки таких протезов.
Преимущества мостовидных протезов
- Эстетика: Мостовидные протезы выглядят естественно и гармонично вписываются в зубной ряд, что позволяет пациентам не стесняться своей улыбки.
- Функциональность: Они восстанавливают жевательную функцию, позволяя пациентам полноценно питаться и говорить без дискомфорта.
- Долговечность: При правильном уходе мостовидные протезы могут служить много лет, что делает их экономически выгодным решением.
- Минимальное вмешательство: Для установки мостовидного протеза требуется обрабатывать только соседние зубы, что позволяет сохранить большую часть натуральной зубной ткани.
- Устойчивость: Мосты хорошо фиксируются и не требуют дополнительных манипуляций, таких как снятие и установка, как в случае с съемными протезами.
Недостатки мостовидных протезов
- Необходимость обточки опорных зубов: Для установки моста требуется обрабатывать соседние зубы, что может привести к их ослаблению и повышенному риску кариеса.
- Ограниченная возможность замены: Если один из опорных зубов повреждается или теряется, может потребоваться замена всего моста, что увеличивает затраты.
- Требования к гигиене: Уход за мостовидными протезами требует особого внимания, так как под ними может скапливаться налет и пищевые остатки, что увеличивает риск заболеваний десен.
- Не подходит для всех случаев: Мостовидные протезы не всегда могут быть установлены, особенно если отсутствует достаточное количество здоровых зубов для их поддержки.
- Стоимость: Установка мостовидного протеза может быть достаточно дорогой процедурой, особенно если требуется предварительное лечение опорных зубов.
Таким образом, мостовидные протезы имеют свои плюсы и минусы, и выбор в их пользу должен основываться на индивидуальных потребностях пациента, состоянии зубов и рекомендациях стоматолога. Правильный подход к выбору и установке мостовидного протеза может значительно улучшить качество жизни пациента и восстановить его уверенность в себе.
Уход за мостовидными протезами
Уход за мостовидными протезами является важным аспектом поддержания здоровья полости рта и долговечности самого протеза. Правильный уход поможет избежать осложнений, таких как воспаление десен, кариес на опорных зубах и другие стоматологические проблемы.
Первым шагом в уходе за мостовидными протезами является регулярная гигиена полости рта. Рекомендуется чистить зубы не менее двух раз в день с использованием фторсодержащей зубной пасты. Важно уделять внимание не только протезу, но и опорным зубам, так как они играют ключевую роль в стабильности моста.
Кроме обычной чистки зубов, необходимо использовать зубную нить или специальные межзубные щетки для удаления остатков пищи и налета из труднодоступных мест, особенно в области соединения протеза с опорными зубами. Это поможет предотвратить развитие кариеса и заболеваний десен.
Также стоит обратить внимание на использование антисептических ополаскивателей для рта, которые помогут снизить количество бактерий и предотвратить воспалительные процессы. Однако следует выбирать ополаскиватели, которые не содержат алкоголя, чтобы избежать пересушивания слизистой оболочки рта.
Регулярные визиты к стоматологу также являются важной частью ухода за мостовидными протезами. Специалист сможет провести профессиональную чистку, оценить состояние протеза и опорных зубов, а также выявить возможные проблемы на ранней стадии. Рекомендуется посещать стоматолога не реже двух раз в год.
Кроме того, стоит учитывать, что некоторые продукты могут негативно сказаться на состоянии мостовидных протезов. Например, жесткие или липкие продукты могут повредить протез или затруднить его очистку. Поэтому рекомендуется избегать чрезмерного употребления таких продуктов и следить за своим рационом.
В заключение, уход за мостовидными протезами требует внимательности и регулярности. Соблюдение простых правил гигиены, использование специальных средств и регулярные визиты к стоматологу помогут сохранить здоровье полости рта и продлить срок службы протеза.
Сравнение мостовидных протезов с другими видами протезирования
Мостовидные протезы представляют собой один из наиболее распространенных методов восстановления утраченных зубов. Они имеют свои уникальные преимущества и недостатки по сравнению с другими видами протезирования, такими как съемные протезы и имплантаты. Важно рассмотреть каждый из этих методов, чтобы понять, в каких случаях мостовидные протезы могут быть наиболее подходящим решением.
Во-первых, мостовидные протезы фиксируются на соседних зубах, что обеспечивает их стабильность и комфорт при использовании. В отличие от съемных протезов, которые могут вызывать дискомфорт и требуют регулярного снятия для чистки, мосты остаются на месте и не требуют дополнительных манипуляций. Это делает их более удобными для пациентов, которые не хотят сталкиваться с неудобствами, связанными с съемными конструкциями.
Однако, мостовидные протезы требуют обточки соседних зубов, что может быть значительным недостатком. Для установки моста необходимо удалить часть эмали с соседних зубов, что может ослабить их структуру и привести к необходимости дальнейшего лечения. В этом аспекте имплантаты имеют явное преимущество, так как они не требуют вмешательства в соседние зубы и могут быть установлены в челюсть без их повреждения.
Имплантаты также обеспечивают более длительный срок службы по сравнению с мостовидными протезами. Хотя мосты могут служить от 5 до 15 лет, в зависимости от ухода и состояния зубов, имплантаты могут прослужить десятилетиями при правильном уходе. Это делает их более экономически выгодным вариантом в долгосрочной перспективе, несмотря на более высокую первоначальную стоимость.
Съемные протезы, с другой стороны, являются более доступным вариантом, но они могут быть менее удобными и менее эстетичными. Они требуют регулярного снятия и чистки, что может быть неудобно для некоторых пациентов. Мостовидные протезы, будучи фиксированными, обеспечивают более естественный вид и ощущение, что делает их предпочтительным выбором для многих людей.
В заключение, выбор между мостовидными протезами, имплантатами и съемными протезами зависит от индивидуальных потребностей пациента, состояния зубов и финансовых возможностей. Мостовидные протезы могут быть отличным решением для восстановления утраченных зубов, особенно если соседние зубы здоровы и могут быть использованы в качестве опоры. Однако важно учитывать все аспекты и проконсультироваться с стоматологом для выбора наиболее подходящего варианта протезирования.



