Потемнение зуба после удаления нерва — распространенная проблема, вызывающая эстетический дискомфорт и беспокойство о здоровье зуба. В статье рассмотрим причины почернения зуба под пломбой и предложим способы восстановления его белизны и здоровья. Узнаете, как устранить боль, предотвратить осложнения и о важности профессиональной чистки зубов.
Что может вызвать потемнение
Незначительное изменение оттенка зуба может привести к образованию налета от курения или накоплению красителей в эмали. Однако, если зуб под пломбой заметно потемнел, это может указывать на наличие внутренних проблем.
Основные причины почернения зубов:
- последствия травм;
- некроз пульпы;
- просвечивание металлических штифтов;
- окрашивание от использования олова или серебра;
- кариес, включая вторичный;
- неправильно подобранное лечение;
- внутренние заболевания организма.
Одним из наиболее распространенных факторов, способствующих потемнению, является кариес, в том числе вторичный. Он может развиваться внутри зуба, под пломбой и долгое время оставаться незамеченным.
Многие пациенты стоматологических клиник сталкиваются с ситуациями, когда спустя некоторое время после лечения зубы все равно чернеют под пломбой. Это может быть вызвано использованием материалов, содержащих серебро или олово, которые всегда приводят к потемнению, но это лишь косметическая проблема.
Если же зуб начинает чернеть после удаления нерва и пломбирования, или если его поражает кариес независимо от предыдущего лечения, необходимо незамедлительно обратиться к врачу. Потемнение может быть вызвано налетом от сигарет, кофе, чая, а также постоянным употреблением напитков с красителями.
Если эти факторы не объясняют, почему зуб под пломбой потемнел, стоит обратить внимание на внутренние проблемы организма. Даже генетические заболевания могут стать причиной.
Кроме того, почернение зуба под пломбой или даже здорового может быть связано с проблемами в желудочно-кишечном тракте, почках, нарушением усвоения кальция, грибковыми инфекциями (кандидозами), неправильным обменом веществ, нарушением кислотно-щелочного баланса, заболеваниями крови и хронической стафилококковой инфекцией.
Если у вас есть хотя бы одно из этих заболеваний, сначала следует заняться его лечением, а затем уже думать о восстановлении белизны зубов. Также на потемнение может влиять высокое содержание железа и фтора в воде. Не забывайте, что соблюдение гигиены полости рта способствует поддержанию естественного цвета зубов.
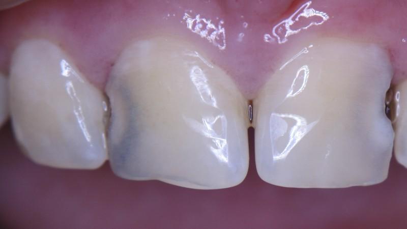
Многие пациенты сталкиваются с ситуацией, когда мертвый зуб потемнел и болит. В таком зубе отсутствуют сосуды, нервы и мягкие ткани. Это фактически мертвый элемент, который связан с живым организмом только механически.
Он надежно удерживается десной, а эмаль остается достаточно прочной. При правильно выполненной депульпации зуб не будет откалываться и крошиться долгое время. Мертвый зуб не реагирует на различные раздражители из-за отсутствия нерва.
Он может болеть только в течение некоторого времени после удаления нервных окончаний или в случае неправильно проведенной процедуры, когда часть нервов остается. Дискомфорт может быть вызван проблемами с соседним зубом или десной.
Мертвый зуб по-прежнему выполняет почти все свои основные функции. Однако к нему не поступают необходимые микронутриенты. Зубные ткани не требуют постоянного доступа питательных веществ, но без них со временем они начинают терять свою нормальную структуру и крошиться. На них может развиваться кариес, и поскольку человек не чувствует боли, полость кариеса может увеличиваться до значительных размеров, требуя особого ухода.
Если вы заметили потемнение зуба после удаления нерва, что делать в таком случае? Даже при правильном лечении пульпу уже не восстановить, и отсутствие питания становится причиной потемнения эмали. Если вы попали к недобросовестному врачу, который провел некачественное лечение, в каналах может остаться органика, а продукты ее разложения будут вызывать почернение эмали.
Если под пломбой почернел зуб, врачи рекомендуют не откладывать визит к стоматологу. Это может быть признаком различных проблем, таких как кариес, инфекция или некачественная пломба. Специалисты подчеркивают, что изменение цвета зуба часто указывает на разрушение тканей, что требует немедленного вмешательства. Врач проведет диагностику, чтобы определить причину потемнения, и предложит соответствующее лечение. В некоторых случаях может потребоваться замена пломбы или дополнительное лечение корневых каналов. Важно помнить, что игнорирование проблемы может привести к более серьезным осложнениям, поэтому своевременное обращение к специалисту является ключевым фактором в сохранении здоровья зубов.
https://youtube.com/watch?v=apxzsDkNn8M
Как поступить с зубом под пломбой
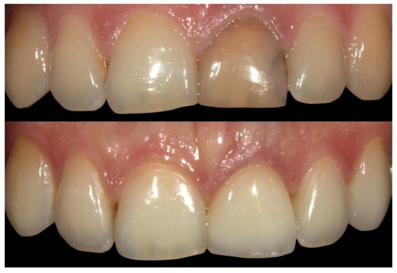
Что делать, если передний зуб под пломбой потемнел? Если потемнение связано с отмиранием пульпы или некачественным эндодонтическим лечением, в первую очередь необходимо провести соответствующее лечение, устранив причину потемнения, а затем уже рассматривать варианты отбеливания.
Если зуб не будет пролечен, он может стать источником инфекции для других здоровых зубов, а в некоторых случаях его можно потерять.
Если зуб потемнел и болит из-за кариеса, самым простым решением будет удалить поврежденные ткани и подобрать подходящий восстанавливающий материал нужного оттенка, чтобы зуб вернулся к своему прежнему цвету и не выделялся на фоне остальных, особенно в зоне улыбки.
Таким образом, мы сможем сохранить его жизнеспособность, и дентин с эмалью будут значительно прочнее, чем у мертвого зуба, который лишен доступа к питательным веществам. Однако после удаления нерва потребуется совершенно другой подход к лечению.
Современная стоматология предлагает различные методы для восстановления прежней белизны:
- непосредственная реставрация;
- отбеливание внутри канала;
- винир;
- коронка.
| Причина почернения зуба под пломбой | Что делать | Профилактика |
|---|---|---|
| Вторичный кариес | Обратиться к стоматологу для диагностики и лечения. Возможно, потребуется замена пломбы и удаление пораженных тканей. | Регулярная гигиена полости рта, использование зубной нити, ополаскивателей. Регулярные осмотры у стоматолога (раз в 6-12 месяцев). |
| Негерметичность пломбы | Обратиться к стоматологу. Пломба может быть заменена, если она неплотно прилегает к зубу, что позволяет бактериям проникать под нее. | Качественная установка пломбы, соблюдение рекомендаций стоматолога после пломбирования (например, не есть в течение определенного времени). |
| Окрашивание дентина | Если почернение не связано с кариесом, а является лишь изменением цвета дентина, стоматолог может предложить отбеливание зуба или установку коронки/винира. | Избегать продуктов и напитков, которые могут окрашивать зубы (кофе, чай, красное вино). |
| Разрушение пломбировочного материала | Обратиться к стоматологу для замены пломбы. Некоторые старые пломбировочные материалы со временем могут разрушаться и изменять цвет. | Использование современных, более долговечных пломбировочных материалов. |
| Травма зуба | Обратиться к стоматологу. Травма может привести к повреждению пульпы и изменению цвета зуба. Может потребоваться эндодонтическое лечение (лечение корневых каналов). | Избегать травм зубов (например, не открывать бутылки зубами, использовать защитную капу при занятиях спортом). |
Как можно восстановить белизну мертвого зуба
Первый метод, который требует минимального вмешательства в структуру зуба и является технически простым, — это отбеливание внутри канала. Его стоимость относительно невысока и составляет до двух тысяч рублей.
Однако у данного метода есть множество недостатков:
- невозможно гарантировать 100% результат, его можно будет оценить только по завершении процедуры;
- может потребоваться несколько сеансов с использованием отбеливающего геля;
- оттенок отбеленного зуба останется тусклым и будет выделяться на фоне здоровых зубов;
- активные компоненты геля могут негативно сказаться на дентине, делая его более хрупким после процедуры.
В качестве альтернативы для отбеливания потемневшего зуба можно рассмотреть непосредственную реставрацию или наращивание с использованием композитных материалов.
Сначала удаляется вся потемневшая поверхность, затем создается пломба, которая может занимать всю видимую часть зуба. Процедура наращивания может быть выполнена за один визит к стоматологу и стоит около 3000 рублей.
Но и у этого метода имеются свои недостатки:
- материал не отличается долговечностью, и процедуру придется повторять со временем;
- он быстро впитывает красители, что может привести к заметному отличию от остальных зубов;
- повторная реставрация может снизить целостность зуба.
Многие пациенты сталкиваются с проблемой потемнения нарощенного зуба. Что делать в такой ситуации? Скорее всего, это связано с накоплением красителей. В первую очередь стоит исключить продукты, содержащие такие вещества, а затем можно приступать к повторной реставрации.
Также причиной потемнения может быть образование кариеса. Не откладывайте лечение и сразу обращайтесь к врачу, чтобы избежать осложнений.
Еще один метод отбеливания — установка тонкой полупрозрачной керамической пластинки на внешнюю поверхность потемневшего зуба — винира. Сначала удаляется слой эмали на толщину пластинки.
Опытный стоматолог сможет выполнить эту процедуру так, что зуб под виниром будет неотличим от здорового. Прочность зуба при этом не снижается. Среди недостатков виниров можно отметить высокую стоимость, возможность просвечивания сильного потемнения и то, что их не рекомендуется устанавливать на депульпированные зубы.
Если ни один из предложенных ранее методов отбеливания не подходит, то самым радикальным решением будет установка коронки.
Зуб обтачивается и шлифуется, затем изготавливаются слепки из гипса. Протез должен плотно прилегать к здоровым зубам, не углубляясь в десну.
Металлокерамические коронки или керамические с фарфоровой основой максимально похожи на натуральные зубы. Под коронкой зуб надежно защищен от разрушительных факторов и может выдерживать значительно большие нагрузки, чем без коронки. Также под коронкой можно скрыть эстетические дефекты. Стоимость установки коронок достаточно высока, и процедура требует нескольких визитов к врачу.
Современная стоматология достигла значительного прогресса и предлагает множество способов устранения потемнения зубов под пломбой. Главное — не откладывать визит к стоматологу, который поможет выявить причину потемнения и предложит решение вашей проблемы.
https://youtube.com/watch?v=El62HvzNWqQ
https://youtube.com/watch?v=sGc0C6B2gqc
Профилактика потемнения зубов под пломбами
Профилактика потемнения зубов под пломбами является важным аспектом поддержания здоровья полости рта и сохранения эстетического вида зубов. Чтобы избежать появления потемнений, необходимо следовать нескольким рекомендациям.
1. Регулярная гигиена полости рта: Чистка зубов дважды в день с использованием фторсодержащей зубной пасты помогает предотвратить образование налета и кариеса, которые могут способствовать потемнению зубов. Не забывайте также о чистке языка и использовании зубной нити для удаления остатков пищи между зубами.
2. Посещение стоматолога: Регулярные профилактические осмотры у стоматолога (не реже одного раза в полгода) помогут выявить проблемы на ранних стадиях. Стоматолог может провести профессиональную чистку зубов, что снизит риск потемнения.
3. Избегание окрашивающих продуктов: Некоторые продукты и напитки, такие как кофе, чай, красное вино и ягоды, могут вызывать потемнение зубов. Если вы употребляете такие продукты, старайтесь полоскать рот водой после их употребления или использовать соломинки для напитков, чтобы минимизировать контакт с зубами.
4. Правильный выбор пломбировочных материалов: При установке пломб важно обсудить с врачом выбор материалов. Некоторые из них могут быть более устойчивыми к окрашиванию, чем другие. Современные композитные материалы, как правило, менее подвержены потемнению по сравнению с амальгамой.
5. Отказ от курения: Курение не только негативно сказывается на здоровье зубов и десен, но и может привести к потемнению зубов. Отказ от этой привычки поможет сохранить зубы белыми и здоровыми.
6. Использование защитных средств: Существуют специальные ополаскиватели и гели, которые помогают предотвратить потемнение зубов. Они могут содержать компоненты, которые нейтрализуют кислоты и уменьшают образование налета.
Следуя этим рекомендациям, вы сможете значительно снизить риск потемнения зубов под пломбами и сохранить их здоровье на долгие годы. Помните, что профилактика всегда проще и дешевле, чем лечение!
Когда обращаться к стоматологу
Если вы заметили, что зуб под пломбой почернел, это может быть признаком различных проблем, требующих внимания стоматолога. Важно не игнорировать этот симптом, так как он может указывать на более серьезные заболевания зуба или десен.
Первым делом стоит обратить внимание на характер изменения цвета. Если потемнение произошло в области пломбы, это может свидетельствовать о том, что пломба не герметична, и под ней начался процесс кариеса. В этом случае бактерии могут проникать в зуб, вызывая его разрушение и воспаление.
Кроме того, почернение может быть связано с тем, что пломба сама по себе начала разрушаться или окисляться. Некоторые материалы, используемые для пломбирования, могут изменять цвет со временем, особенно если они подвергаются воздействию пищи и напитков, содержащих красители.
Если вы испытываете дискомфорт, боль или чувствительность в области почерневшего зуба, это также является серьезным сигналом. Боль может указывать на воспаление пульпы зуба или развитие периодонтита, что требует немедленного вмешательства стоматолога.
Не стоит откладывать визит к специалисту, если:
- Вы заметили изменение цвета зуба, которое не проходит;
- Появилась боль или дискомфорт при жевании;
- Зуб стал чувствительным к горячему или холодному;
- Вы заметили отек десны или другие изменения в области зуба.
Стоматолог проведет необходимую диагностику, которая может включать рентгенографию, чтобы определить степень повреждения зуба и состояние окружающих тканей. На основе полученных данных будет предложен оптимальный план лечения, который может включать замену пломбы, лечение корневых каналов или другие процедуры.
Помните, что своевременное обращение к стоматологу может предотвратить более серьезные проблемы и сохранить здоровье ваших зубов на долгие годы.
Влияние питания на состояние зубов под пломбами
Состояние зубов под пломбами может значительно зависеть от рациона питания. Некоторые продукты могут способствовать образованию кариеса и ухудшению состояния зубов, в то время как другие, наоборот, помогают поддерживать здоровье полости рта. Важно понимать, как именно питание влияет на зубы, особенно если они уже имеют пломбы.
Первым аспектом является содержание сахара в пище. Сахар является основной причиной кариеса, так как он служит питательной средой для бактерий, которые обитают в ротовой полости. Эти бактерии выделяют кислоты, разрушающие зубную эмаль и способствующие образованию кариеса. Если под пломбой уже имеется поврежденный зуб, сахар может усугубить ситуацию, приводя к потемнению и дальнейшему разрушению.
Кроме того, кислые продукты, такие как цитрусовые фрукты и газированные напитки, могут также негативно влиять на состояние зубов. Кислоты, содержащиеся в этих продуктах, могут разъедать эмаль, что делает зубы более уязвимыми к кариесу и другим проблемам. Если у вас есть пломбы, стоит ограничить потребление таких продуктов или тщательно полоскать рот водой после их употребления.
С другой стороны, некоторые продукты могут помочь укрепить зубы и предотвратить дальнейшие проблемы. Например, молочные продукты, такие как йогурт и сыр, содержат кальций и фосфор, которые способствуют укреплению зубной эмали. Овощи и фрукты с высоким содержанием клетчатки, такие как морковь и яблоки, способствуют естественному очищению зубов и стимулируют слюноотделение, что помогает нейтрализовать кислоты.
Также стоит обратить внимание на достаточное потребление воды. Вода помогает поддерживать уровень слюны, которая играет важную роль в защите зубов от кариеса. Слюна нейтрализует кислоты и способствует восстановлению минералов в эмали, что особенно важно для зубов с пломбами.
Наконец, регулярные визиты к стоматологу для профессиональной чистки и осмотра также имеют огромное значение. Стоматолог сможет оценить состояние зубов под пломбами и дать рекомендации по питанию и уходу за полостью рта, что поможет предотвратить дальнейшие проблемы.


