После ортодонтического лечения с брекетами важным этапом является установка ретейнеров. Эти устройства сохраняют достигнутые результаты и предотвращают рецидивы, когда зубы могут вернуться в исходное положение. В статье рассмотрим виды ретейнеров, показания к установке, правила ухода и время ношения для максимального эффекта. Понимание этих аспектов поможет сохранить красивую улыбку на долгие годы.
Для чего необходима установка ретейнеров
Многие пациенты недооценивают важность ортодонтических конструкций и отказываются от их использования, однако стоматологи уверены в их необходимости. Как долго нужно носить ретейнеры после завершения лечения брекетами, каковы их основные функции и возможно ли обойтись без них? Чтобы разобраться в работе этих устройств, важно понимать сам процесс коррекции зубного ряда и его особенности.
- Ношение брекетов требует значительного времени, так как они способствуют изменению костной ткани. Врач может определить необходимый срок ношения, основываясь на индивидуальных данных пациента.
> Однако эти сроки являются лишь ориентировочными, и более точные рекомендации можно будет дать только после установки брекетов и анализа их воздействия на зубы.
Процесс изменения положения зубов длителен, и ткани вокруг зубов, а также связки, требуют не менее года для адаптации.
* Костная ткань имеет тенденцию возвращаться в исходное положение.
* Главная задача ретейнеров – удерживать зубы в правильном положении, чтобы ткани могли адаптироваться к новым условиям.
Ретейнер – это специализированная ортодонтическая конструкция. Не все пациенты осведомлены о том, что устанавливается после снятия брекетов. Тем не менее, стоматологи настоятельно рекомендуют их использование. Не обязательно знать точное название, после брекетов устанавливаются ретейнеры, которые используются уже достаточно долго, и их эффективность подтверждена. В настоящее время они могут быть как съемными, так и несъемными, и врач подбирает конкретный тип конструкции, учитывая предпочтения пациента и его комфорт. Также важно помнить, что у взрослых костная структура и положение тканей уже сформированы.
Взрослым необходимо не только дольше носить брекеты, но и обязательно использовать ретейнеры, иначе весь дорогостоящий процесс коррекции может оказаться напрасным.
Об этом врачи напоминают своим пациентам. Итак, мы рассмотрели, что такое ретейнеры для зубов, какие их виды существуют, но какие из них более удобны и в чем заключаются преимущества каждого типа?
Врачи-ортодонты подчеркивают важность ношения ретейнеров после снятия брекетов для поддержания достигнутых результатов. Обычно рекомендуется носить ретейнеры не менее шести месяцев круглосуточно, а затем переходить на ночное использование. Однако, в зависимости от индивидуальных особенностей пациента, этот срок может варьироваться. Некоторые специалисты советуют продолжать носить ретейнеры в течение нескольких лет, чтобы избежать рецидива. Важно помнить, что зубы имеют тенденцию возвращаться в исходное положение, особенно в первые месяцы после лечения. Поэтому регулярные консультации с врачом помогут определить оптимальный режим ношения ретейнеров и сохранить красивую улыбку на долгие годы.
https://youtube.com/watch?v=Oq8Huex96oM
Какими они бывают
Ретейнеры для зубов бывают двух типов: постоянные (несъемные) и съемные. Только специалист может определить, какой из них будет наиболее эффективен в каждом конкретном случае.
Каковы преимущества каждого типа и какая их стоимость? Если используются протезы как на верхней, так и на нижней челюсти, то на одной из них могут быть установлены съемные аппараты, а на другой – постоянные конструкции. Кроме того, часто применяется чередование этих типов. В таком случае ретенционный период делится на два этапа: сначала врач устанавливает проволочный аппарат, а затем переходит к постоянной конструкции. Таким образом, стоимость может варьироваться в зависимости от срока использования и установки, и в каждом случае она будет индивидуальной. Пациент может обсудить с врачом, как организовать ретенционный период так, чтобы длительность ношения была оптимальной, а стоимость процедуры – максимально приемлемой.
Каждый тип ретейнеров имеет свои преимущества.
- Съемные аппараты пациент может легко снять самостоятельно, не прибегая к помощи специалиста. Они могут быть изготовлены из различных материалов и представлены как прозрачные капы, так и скобы или пластинки. Капы изготавливаются из полимеров, а пластины состоят из металлических дуг с пластиковыми креплениями. Рекомендуется носить такие устройства во время сна, хотя некоторые пациенты используют их и в течение дня. Привыкание к ним может занять время, и у некоторых людей могут возникнуть аллергические реакции. Некоторые пациенты отмечают, что объемные аппараты создают дискомфорт, и им сложно к ним адаптироваться. Однако для гигиенических процедур пластины и капы легко снимаются.
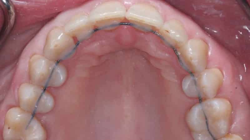
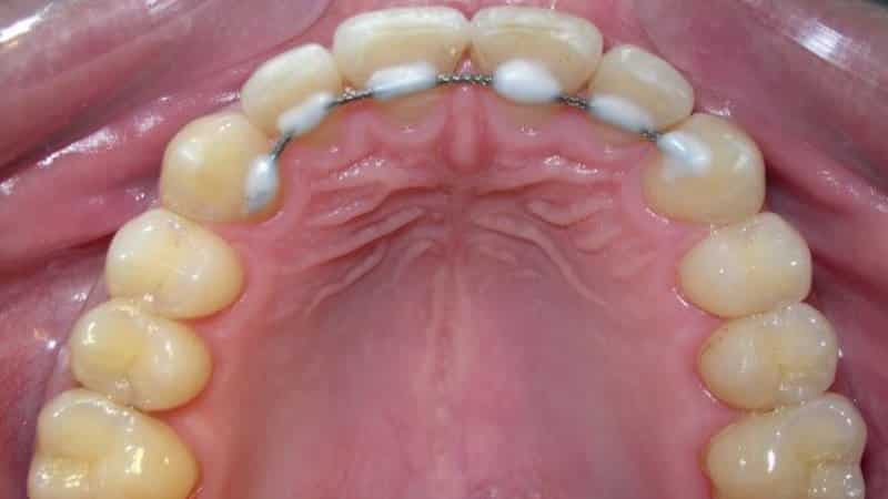
- Несъемные конструкции нельзя извлечь самостоятельно, что является их основным отличием от съемных ретейнеров. Они практически незаметны для окружающих, прочны и безопасны. Эти устройства представляют собой проволоку, которая крепится с внутренней стороны зубов с помощью специального клея.
Перед установкой любого из типов ретейнеров пациент проходит специальную процедуру, включающую санацию ротовой полости и снятие слепков. При изготовлении учитываются индивидуальные особенности строения челюстного аппарата.
Различия между ретейнерами после брекетов можно увидеть на фотографиях, однако окончательный выбор конструкции делает врач.
| Тип ретейнера | Рекомендуемый срок ношения | Дополнительные рекомендации |
|---|---|---|
| Съемный (пластинка, каппа) | Постоянно в течение первого года, затем только на ночь | Регулярно чистить, хранить в специальном контейнере, избегать горячих напитков |
| Несъемный (проволока на внутренней стороне зубов) | Пожизненно | Регулярно проверять у ортодонта, тщательно чистить зубной нитью под проволокой |
| Комбинированный (несъемный + съемный на ночь) | Несъемный — пожизненно, съемный — по рекомендации ортодонта (обычно несколько лет) | Сочетает преимущества обоих типов, обеспечивает максимальную стабильность результата |
Сроки ношения
Нет строгих сроков для использования таких устройств. Каждый случай и пациент индивидуальны. Даже при полном анализе клинической ситуации врач не сможет точно предсказать, как долго потребуется носить устройство. Реакция организма на инородные предметы может варьироваться. Даже у одного и того же пациента в разных обстоятельствах период адаптации может значительно отличаться по времени.
Приблизительный срок использования можно определить по следующим критериям.
- Возраст пациента (у взрослых этот период, как правило, длительнее, так как связки и ткани менее эластичны).
- Сложность конкретного вмешательства.
- Индивидуальные особенности организма и костно-челюстного аппарата каждого пациента. Если сила перемещения зубов значительная, может потребоваться длительное время для привыкания к новому положению.
- Количество установленных протезов.
- Характер лечения и продолжительность ношения самих брекетов.
Обычно период ретенции составляет в два раза больше времени, чем срок ношения брекетов. Однако в некоторых случаях ретейнеры могут быть сняты раньше. В ряде ситуаций, особенно для пожилых пациентов, стоматологи рекомендуют использовать эти конструкции на постоянной основе.
Комбинирование различных типов ретейнеров является распространенной практикой. Пожилым пациентам стоит быть готовыми к тому, что стоматолог может порекомендовать постоянное ношение ретейнеров. В то же время, детям некоторые специалисты могут разрешить не использовать такие аппараты вовсе, если случай не слишком сложный.
https://youtube.com/watch?v=OWsoJfyrZDM
Уход и правила использования
Если пациент не знает, что следует носить после брекетов, это не означает, что он отказался от ретенционного периода. Не все могут запомнить конкретные термины. Гораздо важнее, чтобы человек, обратившийся за стоматологической помощью, правильно ухаживал за назначенными устройствами.
- Ретейнеры необходимо регулярно очищать с помощью специальной щетки и средств для гигиены. Перед едой их следует снимать.
- Если конструкция несъемная, то нужно особенно тщательно чистить зубы. Врач подскажет, какие средства лучше использовать и как правильно ими пользоваться. Также потребуется периодически посещать клинику для проведения специальных процедур по очистке ротовой полости.
- Не стоит игнорировать дополнительные средства для чистки зубов, можно использовать зубную нить, но очень осторожно. Также рекомендуется применять ополаскиватели, которые можно купить в специализированных магазинах или приготовить самостоятельно из трав.
- За специальной гигиенической процедурой в клинике следует обращаться не реже, чем раз в полгода.
- Состояние ретейнеров нужно периодически проверять. Если в конструкции произошли изменения или аппарат отклеился, необходимо срочно посетить лечащего врача.
Снимать ретейнеры без разрешения специалиста нельзя. Отказ от их использования может привести к негативным последствиям, и все усилия могут оказаться напрасными. Если на устройства возникла аллергия или они вызывают дискомфорт, следует обратиться к лечащему врачу. Он подберет подходящую конструкцию и даст рекомендации по ее использованию. Не стоит пренебрегать ношением. Если вы решили исправить прикус или выровнять зубы, останавливаться на полпути нельзя, так как это может привести к серьезным последствиям.
https://youtube.com/watch?v=-RJlWkyKExQ
Возможные проблемы при ношении ретейнеров
Ношение ретейнеров после снятия брекетов является важным этапом ортодонтического лечения, однако этот процесс может сопровождаться рядом проблем. Понимание возможных трудностей поможет пациентам лучше подготовиться к этому этапу и минимизировать негативные последствия.
Одной из наиболее распространенных проблем является дискомфорт или боль в области зубов и десен. Это может происходить из-за того, что ретейнеры оказывают давление на зубы, помогая им оставаться на новом месте. Важно помнить, что такой дискомфорт обычно временный и со временем проходит. Если же боль становится невыносимой или продолжается длительное время, стоит обратиться к ортодонту для консультации.
Еще одной проблемой может стать неправильная посадка ретейнеров. Если ретейнер не подходит по размеру или неправильно установлен, это может привести к смещению зубов. Важно регулярно проверять состояние ретейнеров и при необходимости корректировать их у специалиста. Неправильная посадка также может вызвать дискомфорт и затруднения при разговоре или приеме пищи.
Некоторые пациенты могут столкнуться с проблемами гигиены полости рта. Ретейнеры могут затруднять доступ к зубам, что увеличивает риск образования налета и кариеса. Поэтому крайне важно соблюдать правила гигиены: чистить зубы не менее двух раз в день, использовать зубную нить и ополаскиватели для рта. Также рекомендуется регулярно посещать стоматолога для профессиональной чистки и контроля состояния зубов.
Кроме того, некоторые пациенты могут испытывать психологический дискомфорт из-за ношения ретейнеров. Это может быть связано с изменением внешнего вида или ощущением инородного тела во рту. Важно помнить, что этот этап временный, и конечный результат — здоровые и ровные зубы — стоит усилий.
Наконец, стоит отметить, что соблюдение рекомендаций ортодонта по ношению ретейнеров и регулярные визиты к специалисту помогут избежать большинства проблем. Ортодонт сможет своевременно выявить и решить возникающие трудности, что обеспечит успешное завершение ортодонтического лечения.
Рекомендации по выбору ретейнеров
Выбор ретейнеров — это важный этап после завершения ортодонтического лечения. Ретейнеры помогают сохранить достигнутые результаты и предотвратить возвращение зубов в исходное положение. Существует несколько типов ретейнеров, и выбор подходящего зависит от индивидуальных потребностей пациента, а также рекомендаций ортодонта.
Существует два основных типа ретейнеров: съемные и несъемные. Съемные ретейнеры, как правило, изготавливаются из прозрачного пластика и могут быть легко удалены для чистки или во время еды. Они удобны в использовании и позволяют пациенту самостоятельно контролировать их ношение. Однако для достижения наилучших результатов важно носить их строго по рекомендациям врача.
Несъемные ретейнеры, в свою очередь, представляют собой тонкие проволоки, которые фиксируются на задней поверхности зубов. Они обеспечивают постоянную поддержку и не требуют от пациента дополнительных усилий для их ношения. Однако их установка требует более сложной процедуры и может потребовать регулярного контроля у ортодонта.
При выборе ретейнеров важно учитывать несколько факторов:
- Состояние зубов: Ортодонт должен оценить, насколько стабильны результаты лечения и какие меры необходимо предпринять для их сохранения.
- Образ жизни пациента: Если пациент ведет активный образ жизни или занимается спортом, может быть рекомендован более прочный вариант ретейнера.
- Эстетические предпочтения: Для тех, кто беспокоится о внешнем виде, прозрачные съемные ретейнеры могут стать идеальным решением.
- Финансовые возможности: Разные типы ретейнеров могут иметь различную стоимость, и это также следует учитывать при выборе.
Важно помнить, что правильный выбор ретейнеров и строгое соблюдение рекомендаций врача помогут сохранить результаты ортодонтического лечения на долгие годы. Регулярные визиты к ортодонту для контроля состояния ретейнеров также играют ключевую роль в поддержании здоровья зубов и десен.
Психологический аспект: как привыкнуть к ретейнерам
Привыкание к ретейнерам может стать значительным психологическим барьером для многих пациентов, завершивших ортодонтическое лечение. После долгого периода ношения брекетов, когда внимание было сосредоточено на достижении идеальной улыбки, переход к ретейнерам может вызвать чувство дискомфорта и даже тревоги.
Первоначально, многие пациенты испытывают непривычные ощущения в ротовой полости. Ретейнеры могут вызывать давление на зубы, что иногда воспринимается как болезненное ощущение. Важно помнить, что это нормальная реакция организма на новое устройство, и со временем дискомфорт должен уменьшиться. Для облегчения адаптации можно использовать обезболивающие средства, рекомендованные стоматологом.
Также стоит учитывать, что ношение ретейнеров требует изменения привычек. Например, некоторые пациенты могут испытывать трудности с речью, особенно в первые дни. Это может вызывать стеснение и неуверенность. Однако, как правило, через несколько дней артикуляция восстанавливается, и пациент начинает говорить так же свободно, как и до ношения ретейнеров.
Психологический аспект также включает в себя восприятие своей внешности. Некоторые люди могут чувствовать себя некомфортно из-за видимости ретейнеров, особенно если они прозрачные или металлические. Важно помнить, что это временная мера, направленная на сохранение результатов лечения. Поддержка со стороны друзей и семьи может помочь справиться с этими чувствами. Общение с другими людьми, которые уже прошли через этот этап, также может оказать положительное влияние.
Для успешного привыкания к ретейнерам полезно установить четкий график их ношения и придерживаться его. Это поможет создать привычку и снизить уровень стресса, связанного с необходимостью их использования. Важно помнить, что соблюдение рекомендаций врача и регулярные визиты к ортодонту помогут избежать возможных проблем и обеспечат долгосрочный результат.
В заключение, адаптация к ретейнерам — это процесс, который требует времени и терпения. Понимание того, что это важный шаг на пути к поддержанию красивой улыбки, может помочь преодолеть психологические барьеры и сделать этот период более комфортным.



