Волдырь на десне — болезненное образование, вызывающее дискомфорт. Рассмотрим причины его появления, симптомы и методы лечения, включая народные средства и хирургическое вмешательство. Также предложим рекомендации по профилактике, чтобы избежать повторного возникновения волдырей. Информация будет полезна тем, кто столкнулся с этой проблемой, и поможет лучше заботиться о здоровье полости рта.
Причины образований
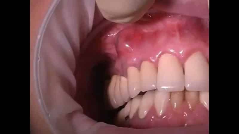
Многие пациенты, не испытывающие болевых ощущений и не замечающие изменений в своем организме, не спешат обращаться к врачу. Однако даже небольшой прыщик может оказаться серьезной проблемой. Определить его природу самостоятельно бывает сложно, так как существует множество причин, связанных с различными заболеваниями. Пузырек на десне может быть свищом или жировиком, состоящим из жировой ткани. Образование пузырьков с жидкостью прозрачного, белого или красноватого оттенка на десне может происходить в любом возрасте из-за активности гноеродных микроорганизмов. Это образование представляет собой канал, соединяющий воспалительный очаг с поверхностью десны.
Возбудителями таких процессов являются различные патогенные бактерии, проникающие в верхнюю часть зуба.
К основным причинам образования пузырьков можно отнести три заболевания: кариес, пульпит и периодонтит:
- Кариес — это воспаление твердых тканей зуба с образованием полости во внутренней части. Бактерии, вызывающие кариес, разрушают зуб изнутри.
- Периодонтит — это поражение тканей вокруг зуба, которое возникает из-за инфекции, проникающей из зубов, пораженных кариесом, или из соседних органов (например, гайморовых пазух). В некоторых случаях заболевание может развиться после травмы (механической или химической), что относится к травматическому типу. Лечение периодонтита может осложняться неправильным процессом терапии.
- Пульпит — это осложнение, возникающее при невылеченном кариесе, когда гной накапливается и проникает в пульпу зуба. В этом случае требуется пломбирование внутренних полостей и удаление инфицированного нерва. В противном случае инфекция может распространиться на костные и мягкие ткани, окружающие зуб.
Каждый воспалительный процесс может быть следствием невылеченных форм предыдущих заболеваний. При воспалениях часто наблюдается отек тканей, что приводит к накоплению жидкости — экссудата. Пузырь не образуется, пока в канале есть отток. Если он перекрывается и в нем остаются микроорганизмы, гнойное образование ищет выход. Основной причиной образования пузырей на десне является некачественное очищение канала.
К другим заболеваниям, которые могут привести к образованию свищей, например, пузыря у ребенка на десне, относится затрудненное прорезывание молочного зуба. При опухании десны она может подвергаться травме со стороны противоположного зуба, что приводит к воспалению и попаданию инфекции.
При возникновении подобных проблем важно обратиться к врачу. Правильное и своевременное лечение позволяет устранить инфекционный очаг, прекратить образование гноя и способствовать быстрому заживлению пораженного участка.
Другие типы образований могут возникнуть из-за невылеченного источника инфекции. У маленьких детей и детей младшего дошкольного возраста воспаления и волдыри могут появляться из-за первичной или рецидивирующей формы герпеса. Волдыри могут образовываться на десне и внутренней стороне губ, часто сливаясь друг с другом и образуя множественные формы. Со временем они лопаются и превращаются в язвы с желтой корочкой. Первичная и рецидивирующая форма герпеса имеют общие симптомы, такие как зуд и боль в местах образования волдырей, которые развиваются в течение десяти дней, лопаются и заживают. Однако при отсутствии правильного лечения возможно их дальнейшее распространение.
Аутоиммунное заболевание — вирусная пузырчатка также сопровождается образованием волдырей на деснах и по всему телу. У детей пузырьки часто появляются после перенесенных заболеваний, таких как корь, ветрянка, скарлатина и другие детские болезни. В некоторых случаях на десне может образоваться кровяной пузырь: его причина может заключаться в механической травме, которая не представляет серьезной угрозы для здоровья и со временем проходит. В любом случае рекомендуется обратиться за консультацией к врачу.
Существует также ряд заболеваний, которые часто сопровождаются образованием прыщей. Невылеченный пульпит или плохо запломбированные каналы могут привести к образованию кисты в верхней части зубного корня — гнойной капсулы размером до трех сантиметров. Симптомами являются увеличение десны, покраснение и отек. Это происходит, когда содержимое переполнено гноем и ищет выход, образуя свищ.
Киста без уплотнительной оболочки называется гранулемой, которая возникает из-за накопления жидкости в месте воспаления. Ее прокалывают, чтобы создать условия для вытекания гноя. Удаление кисты возможно только хирургическим путем. Одной из причин инфицирования с образованием волдырей является перфорация зубного корня, которая может произойти в процессе лечения. Это отверстие создает общий канал между корневыми каналами и периодонтом, что в дальнейшем может привести к образованию волдыря из-за попадания инфекций. Воспаление тканей вокруг зуба с накоплением жидкости называется гранулирующим периодонтитом. Оно возникает после запущенного кариеса, особенно при образовании пустот после пломбирования каналов. Именно они становятся причиной свищей и воспалений.
Пузырь на десне может вызывать беспокойство у многих пациентов, и врачи отмечают, что это явление требует внимательного подхода. В большинстве случаев такие образования являются результатом воспалительных процессов, например, гингивита или пародонтита. Врачи подчеркивают, что пузырь может содержать гной, что указывает на наличие инфекции. Важно не игнорировать симптомы, так как запущенные случаи могут привести к более серьезным заболеваниям, включая потерю зубов. Специалисты рекомендуют обратиться к стоматологу для диагностики и назначения соответствующего лечения. Кроме того, поддержание гигиены полости рта и регулярные осмотры у врача помогут предотвратить возникновение подобных проблем в будущем.
https://youtube.com/watch?v=Kt6cEDG5eRk
Лечение
В процессе формирования волдырей и свищей часто возникает пульсирующая боль. После того как гнойный канал прорывается, болевые ощущения уменьшаются вместе с отечностью. Лечение включает в себя дезинфекцию инфекционного очага и пломбирование каналов, пораженных кариесом внутри зуба. Свищевой канал вскрывается при наличии высокой температуры, болей, отечности и гнойного содержимого в десне. Перед началом процедуры выполняется рентгенография для выявления кистозных или гранулемных образований.
Лечебные мероприятия направлены на обеспечение оттока жидкости от гранулемы, либо удаление кисты с последующим пломбированием зуба. Внешнее образование вскрывается с наружной стороны десны, а внутреннее – изнутри. Возможно распломбирование зуба или сверление канала для обеспечения гнойного оттока. В некоторых случаях может потребоваться удаление зуба для качественного лечения. После вскрытия свища открытую рану оставляют, периодически дезинфицируя ее с помощью полоскания, что способствует быстрому удалению скопившейся жидкости, а также физиотерапевтическими процедурами, направленными на лечение воспаления.
Очистка от микробов осуществляется с дополнительными методами, такими как промывание свищевого канала антисептическим раствором или применение антибактериальных паст и гелей. Врачи могут назначить противовирусные и противовоспалительные препараты, а иногда и антибиотики. После исчезновения симптомов, отечности и покраснения, очаг постепенно заживает, и в дальнейшем устанавливается временная пломба в зубной канал. Через десять дней, при отсутствии признаков инфекции, ставится постоянная пломба.
Профилактические меры принимаются с учетом причин возникновения заболевания. Однако для всех проявлений существуют несколько основных правил, таких как регулярная гигиена и чистка зубов.
Своевременное лечение поможет предотвратить развитие различных осложнений, поэтому рекомендуется посещать стоматолога не реже одного раза в год.
Важно следить за тем, чтобы руки детей не находились во рту и были чистыми. Зубная щетка не должна травмировать десны.
| Что это такое? | Возможные причины | Что делать? |
|---|---|---|
| Пузырь на десне – это образование, наполненное жидкостью (кровью, гноем, лимфой), которое появляется на поверхности десны. Может быть разного размера, цвета и консистенции. | Травма: механическое повреждение (удар, ожог, неправильная чистка зубов, острый край пломбы/коронки), химическое раздражение. | Не трогать! Избегать самостоятельного вскрытия. |
| Афтозный стоматит: небольшие, болезненные язвочки, часто окруженные красным ободком. Могут быть одиночными или множественными. | Вирусные инфекции: герпес, ветряная оспа. | Обратиться к стоматологу. Он определит причину и назначит лечение. |
| Герпетический стоматит: мелкие пузырьки, которые затем лопаются, образуя язвочки. Часто сопровождается повышением температуры, общим недомоганием. | Бактериальные инфекции: гингивит, пародонтит, абсцесс. | Соблюдать гигиену полости рта: аккуратная чистка зубов мягкой щеткой. |
| Киста: полость, заполненная жидкостью, которая может развиваться в кости челюсти или мягких тканях десны. | Грибковые инфекции: кандидоз. | Использовать антисептические ополаскиватели (по рекомендации врача). |
| Абсцесс: гнойное воспаление, которое образуется в результате инфекции. Пузырь может быть наполнен гноем. | Аллергические реакции: на продукты питания, медикаменты, зубные пасты. | При боли или дискомфорте можно принять обезболивающее (парацетамол, ибупрофен). |
| Мукоцеле (ретенционная киста слюнной железы): безболезненный пузырь, образующийся при закупорке протока слюнной железы. | Системные заболевания: сахарный диабет, аутоиммунные заболевания, ослабленный иммунитет. | Избегать острой, горячей, кислой пищи, которая может раздражать десну. |
| Перикоронит: воспаление десны вокруг прорезывающегося зуба (чаще зуба мудрости). Может сопровождаться образованием гнойного пузыря. | Недостаточная гигиена полости рта. | При появлении температуры, сильной боли, отека немедленно обратиться к врачу. |
| Опухоли (доброкачественные или злокачественные): редкие, но возможные причины образований на десне. | Некоторые медикаменты: могут вызывать побочные эффекты в виде образований на десне. | Не заниматься самолечением! Это может усугубить ситуацию. |
Народные средства
В последние годы специалисты все чаще рекомендуют использовать народные средства в качестве дополнительных методов лечения. Эти средства могут быть полезны на стадии воспалительных процессов, помогая бороться с инфекцией. Многие натуральные препараты и лекарства обладают антибактериальными свойствами, что позволяет им эффективно предотвращать дальнейшее распространение инфекций.
Для лечения свищевых воспалений рекомендуется использовать теплые отвары и ванночки с такими растениями, как эвкалипт и календула. Прополис, коллоидное серебро и другие растительные средства, которые может порекомендовать врач, также хорошо справляются с задачей дезинфекции. После устранения воспаления важно провести чистку и пломбировку кариозного канала. Если кариес не лечить, это может привести к разрушению зубов, повторным воспалениям десен и образованию волдырей.
В заключение, стоит подчеркнуть, что появление прыщика на десне не следует лечить самостоятельно, не выяснив причину. Не рекомендуется прикладывать к воспаленному участку теплые предметы, так как это может усугубить воспалительный процесс. Также не стоит принимать лекарства без назначения врача.
https://youtube.com/watch?v=dcyS1uKGZKU
https://youtube.com/watch?v=JDD0GEMP3HU
Симптомы и признаки
Пузырь на десне может проявляться различными симптомами, которые могут варьироваться в зависимости от причины его появления. Основные признаки, на которые стоит обратить внимание, включают:
- Внешний вид: Пузырь может выглядеть как маленькое образование, наполненное жидкостью, которое может быть прозрачным или мутным. В некоторых случаях он может иметь красноватый оттенок из-за воспаления.
- Боль: Часто пузырь сопровождается болевыми ощущениями, которые могут варьироваться от легкого дискомфорта до острого болевого синдрома. Боль может усиливаться при жевании или при контакте с горячей или холодной пищей.
- Отек: Вокруг пузыря может наблюдаться отек десны, что указывает на воспалительный процесс. Это может привести к затруднениям при гигиенических процедурах.
- Кровоточивость: В некоторых случаях пузырь может лопаться, что приводит к выделению жидкости и, возможно, крови. Это может быть связано с травмой или инфекцией.
- Неприятный запах изо рта: Пузырь на десне может быть признаком инфекции, что может вызывать появление неприятного запаха изо рта.
- Общие симптомы: В некоторых случаях могут наблюдаться общие симптомы, такие как повышение температуры, общее недомогание или увеличение лимфатических узлов, что может указывать на системный воспалительный процесс.
Важно отметить, что наличие пузыря на десне может быть связано с различными заболеваниями, такими как стоматит, гингивит, периодонтит или даже вирусные инфекции. Поэтому при появлении подобных симптомов рекомендуется обратиться к стоматологу для диагностики и назначения соответствующего лечения.
Профилактика
Пузырей на деснах включает в себя несколько важных аспектов, которые помогут избежать возникновения этой неприятной проблемы. Прежде всего, необходимо уделять внимание гигиене полости рта. Регулярная чистка зубов дважды в день с использованием фторсодержащей зубной пасты и зубной нити способствует удалению налета и предотвращает воспаление десен. Также рекомендуется использовать антисептические ополаскиватели для рта, которые помогают уничтожить бактерии и снизить риск инфекций.
Кроме того, важно следить за состоянием зубов и десен. Регулярные визиты к стоматологу, как минимум два раза в год, позволят своевременно выявить и устранить проблемы, такие как кариес или пародонтит, которые могут привести к образованию пузырей. Стоматолог также может провести профессиональную чистку зубов, что поможет удалить зубной камень и налет, способствующие воспалению.
Правильное питание также играет ключевую роль в заболеваниях десен. Включение в рацион продуктов, богатых витаминами C и D, а также кальцием, способствует укреплению десен и зубов. Избегание чрезмерного потребления сахара и кислых продуктов поможет снизить риск развития кариеса и воспалительных процессов в полости рта.
Важно также избегать вредных привычек, таких как курение, которое негативно сказывается на здоровье десен и может способствовать образованию пузырей. Если у вас есть привычка кусать ногти или щеку, постарайтесь от нее избавиться, так как это может привести к травмам десен и развитию воспалительных процессов.
Наконец, следует помнить о важности контроля за состоянием здоровья в целом. Хронические заболевания, такие как диабет, могут негативно влиять на здоровье десен, поэтому важно следить за своим состоянием и при необходимости консультироваться с врачом.
Когда обращаться к врачу
Пузырь на десне может быть признаком различных стоматологических заболеваний, и в некоторых случаях его наличие требует немедленного обращения к врачу. Важно понимать, что не все пузырьки на деснах одинаковы, и их причины могут варьироваться от безобидных до серьезных. Ниже приведены ситуации, когда стоит обратиться за профессиональной помощью.
1. Увеличение размера пузыря: Если пузырь на десне начинает увеличиваться в размере, это может указывать на инфекцию или воспаление. В таких случаях важно как можно скорее посетить стоматолога для диагностики и лечения.
2. Боль и дискомфорт: Если пузырь сопровождается сильной болью, дискомфортом или чувствительностью при жевании, это может быть признаком более серьезной проблемы, такой как абсцесс или пародонтит. Обратитесь к врачу, чтобы избежать осложнений.
3. Появление других симптомов: Если пузырь на десне сопровождается другими симптомами, такими как высокая температура, отек лица или шеи, затрудненное дыхание или глотание, необходимо немедленно обратиться за медицинской помощью. Эти симптомы могут указывать на системную инфекцию или аллергическую реакцию.
4. Длительное существование: Если пузырь на десне не проходит в течение нескольких дней или недель, это может быть признаком хронического заболевания. Важно не игнорировать такие симптомы и обратиться к стоматологу для дальнейшего обследования.
5. Изменения в цвете или текстуре: Если пузырь меняет цвет, становится более темным или начинает кровоточить, это может указывать на серьезные проблемы, такие как рак полости рта. В таких случаях необходимо немедленно обратиться к врачу для исключения онкологических заболеваний.
6. Повторяющиеся случаи: Если пузырь на десне появляется регулярно, это может свидетельствовать о наличии хронического заболевания, такого как герпес или стоматит. Консультация стоматолога поможет выявить причину и назначить соответствующее лечение.
В заключение, пузырь на десне может быть симптомом различных заболеваний, и важно не игнорировать его появление. При наличии любых из вышеперечисленных симптомов рекомендуется обратиться к стоматологу для диагностики и назначения лечения. Забота о здоровье полости рта и своевременное обращение к врачу помогут избежать серьезных осложнений и сохранить здоровье зубов и десен.


