Фторирование молочных зубов у детей — важная процедура для профилактики кариеса и укрепления эмали. В статье рассмотрим, что такое фторирование, как оно проводится, и представим фото до и после процедуры. Узнаете о показаниях, преимуществах и возможности проведения в домашних условиях. Обсудим альтернативные методы, такие как серебрение зубов, чтобы помочь родителям принять обоснованное решение о здоровье зубов детей.
Кариес
Кариес возникает в результате деминерализации зубной эмали, что приводит к разрушению зуба. Это заболевание может затрагивать как взрослых, так и детей. Его основные признаки:
- появление коричневых или желтоватых пятен на эмали;
- ноющая боль в области рта;
- чувствительность зубов к горячей и холодной пище.
Боль, вызванная кариесом, при воздействии холодных и горячих напитков не исчезает мгновенно. Обычно она длится дольше и может повторяться даже без наличия раздражающих факторов.
Важно понимать, что деминерализация зубов не является единственной причиной возникновения кариеса. Это заболевание не существует само по себе, а является следствием уже имеющихся проблем, связанных с состоянием организма в целом.
Чаще всего кариес развивается из-за недостаточной гигиены полости рта, снижения иммунитета и несбалансированного питания.
Поэтому такие процедуры, как фторирование молочных зубов у детей, должны сочетаться с соблюдением гигиенических норм и обеспечением организма необходимыми витаминами.
Врачи-стоматологи единодушно подчеркивают важность фторирования молочных зубов у детей. По их мнению, этот процесс значительно снижает риск развития кариеса, который может негативно сказаться на здоровье постоянных зубов. Фтор укрепляет эмаль, делая ее более устойчивой к воздействию кислот, образующихся в результате жизнедеятельности бактерий.
Специалисты отмечают, что фторирование особенно актуально для детей, у которых наблюдаются повышенные риски кариеса, например, при недостаточной гигиене полости рта или неправильном питании. Врачи рекомендуют проводить процедуры в стоматологической клинике, где используются безопасные и эффективные методы.
Однако важно помнить, что фторирование должно быть частью комплексного подхода к уходу за зубами, включая регулярные осмотры и обучение детей правильной гигиене. В целом, врачи считают, что фторирование молочных зубов — это необходимая мера для сохранения здоровья детской улыбки.
https://youtube.com/watch?v=-mYcbMP9t04
Показания к фторированию
Существует несколько оснований, по которым стоматолог может рекомендовать данную процедуру. Фторирование проводится в следующих случаях:
- эмаль зубов слишком тонкая или на поверхности зуба появились микротрещины;
- на эмали уже наблюдаются начальные признаки кариеса;
- ребенок проживает в регионе с низким уровнем фтора в пище и воде.
Процедура не является дорогостоящей, однако обогащение эмали фтором играет ключевую роль в поддержании здоровья зубов.
| Аспект | Описание | Рекомендации |
|---|---|---|
| Что такое фторирование? | Процедура нанесения фторсодержащих препаратов на поверхность зубов для укрепления эмали и профилактики кариеса. | Проводится стоматологом в условиях клиники. |
| Зачем фторировать молочные зубы? | Молочные зубы более подвержены кариесу из-за тонкой эмали. Фторирование помогает предотвратить его развитие и сохранить зубы до их естественной смены. | Важно для формирования правильного прикуса и здоровья постоянных зубов. |
| Виды фторирования | 1. Местное (аппликационное): Нанесение фторлаков, гелей, растворов. 2. Системное: Прием фторсодержащих таблеток (только по назначению врача). | Местное фторирование является наиболее распространенным и безопасным для детей. |
| Показания к фторированию | Высокий риск развития кариеса, наличие начальных стадий кариеса (белые пятна), чувствительность зубов, после профессиональной чистки. | Решение о необходимости фторирования принимает стоматолог. |
| Противопоказания | Индивидуальная непереносимость фтора, флюороз (избыток фтора в организме), некоторые заболевания почек. | Обязательно сообщите врачу о всех заболеваниях и аллергиях ребенка. |
| Как часто проводить? | Частота зависит от индивидуальных особенностей ребенка и степени риска кариеса. Обычно 1-2 раза в год. | Стоматолог определит оптимальный график фторирования. |
| Безопасность процедуры | При правильном проведении и соблюдении дозировки фторирование абсолютно безопасно. | Важно, чтобы ребенок не глотал фторсодержащие препараты. |
| Домашний уход | Использование фторсодержащих зубных паст (с учетом возраста ребенка), регулярная гигиена полости рта, сбалансированное питание. | Домашний уход дополняет профессиональное фторирование, но не заменяет его. |
Фторирование зубов
Проблемы с коренными зубами чаще всего возникают из-за недостаточного ухода за молочными. Основная причина заключается в том, что многие родители не уделяют должного внимания зубам своих детей.
Существует мнение, что молочные зубы не требуют особого ухода, так как они временные. Это заблуждение связано с тем, что молочные зубы со временем заменяются постоянными. Однако, такое мнение является ошибочным.
Фторирование или серебрение молочных зубов можно проводить различными методами. Наиболее эффективным считается процедура, выполняемая стоматологом. Фторирование делится на две категории: простое и глубокое.
Перед началом процедуры необходимо тщательно очистить поверхность зубов. Простое фторирование осуществляется двумя способами:
- Первый метод заключается в том, что врач делает слепок челюсти ребенка и наносит на него фторсодержащий препарат, после чего слепок надевают на зубы. Процедура занимает от 10 до 15 минут и проводится не менее 10 раз.
- Второй метод включает в себя покрытие зубной эмали фторлаком, который затем подсушивается специальной лампой. Процедура повторяется дважды в год.
Простое фторирование, как правило, применяется в профилактических целях.
Глубокое фторирование включает в себя:
- тщательную очистку всей полости рта;
- нанесение смеси, содержащей фтор, магний и медь;
- длительную сушку зубов с помощью специальной лампы;
- обработку зубной поверхности гидроокисью кальция;
Глубокое фторирование обычно назначается, если на зубах уже наблюдаются первые признаки кариеса.
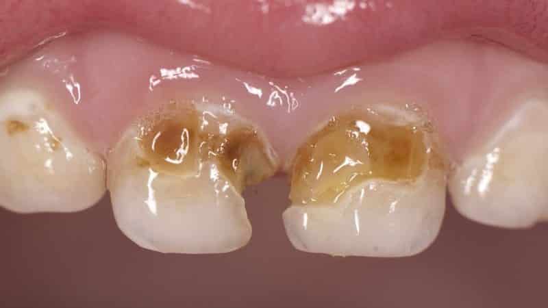
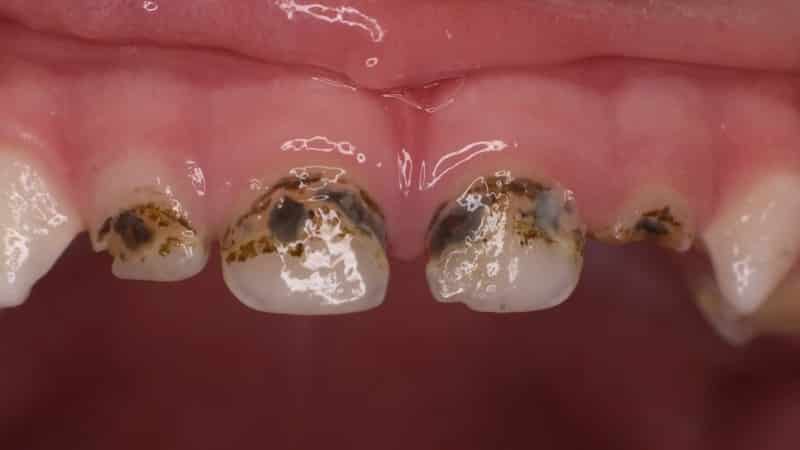
Эффект от процедуры ощущается сразу, для наглядности ниже представлены фотографии зубов до и после фторирования.
https://youtube.com/watch?v=LpX6SMKCZ9c
Серебрение зубов
Серебрение зубов чаще всего рекомендуется для детей в возрасте от двух до трех лет. Это объясняется тем, что в этом возрасте малыши не могут долго оставаться в одном положении, даже если это всего лишь несколько минут.
Кроме того, большинство детей испытывают страх перед стоматологическими инструментами, что мешает им спокойно сидеть в кресле во время процедуры. Поэтому для таких маленьких пациентов серебрение зубов используется как профилактическая мера против кариеса.
Эта процедура не требует применения бормашины и не включает в себя никаких разрезов на тканях. Серебрение осуществляется с использованием антисептиков и является абсолютно безболезненной, занимая при этом совсем немного времени.
Процесс выглядит следующим образом: на предварительно очищенную эмаль наносят раствор нитрата серебра, который врач оставляет на поверхности зуба на несколько минут.
Нитрат наносится с помощью обычного ватного тампона, что не вызывает у ребенка чувства страха. В результате на зубной поверхности образуется защитная пленка, которая помогает предотвратить развитие кариеса.
Обычно процедура разбивается на несколько сеансов с интервалом от двух до семи дней. На любом этапе она остается безболезненной.
Фторирование зубов дома
Существует метод фторирования зубной эмали, который рассматривается как альтернатива серебрению молочных зубов. Эта процедура может быть выполнена в домашних условиях с использованием фторсодержащих препаратов и гелей.
К таким препаратам и гелям относятся:
- Aquafresh – зубная паста с высоким содержанием фтора, предназначенная как для лечения, так и для профилактики кариеса. Она помогает глубоко очищать зубную эмаль и снижать чувствительность зубов. Важно помнить, что при совместном использовании пасты Aquafresh и других фторсодержащих средств, дозировка последних должна быть уменьшена.
-
Витафтор – фторсодержащее лекарство, которое применяется для профилактики и лечения кариеса у детей. Обычно его назначают детям, проживающим в районах с низким содержанием фтора в питьевой воде.
-
Сенсигель – комбинированный препарат, который используется для лечения и профилактики кариозных процессов. Этот гель помогает уменьшить чувствительность зубных тканей.
- Натрия фторид – медикаментозное средство, применяемое для профилактики кариеса. Оно укрепляет зубную эмаль и снижает чувствительность к холодным и горячим напиткам.
Фторирование молочных зубов у детей в домашних условиях – это процесс, требующий значительных усилий и внимательности со стороны родителей. Все процедуры необходимо проводить в строго определенное время и по схеме, рекомендованной лечащим врачом.
Гигиена ротовой полости
К уходу за ротовой полостью детей следует подходить с особой серьезностью, так как молочные зубы более подвержены различным стоматологическим проблемам, которые могут негативно сказаться на здоровье всей полости рта и привести к серьезным последствиям.
Существует несколько основных правил гигиены, которые необходимо соблюдать при уходе за зубами ребенка:
- Дети старше трех лет должны чистить зубы дважды в день: утром перед завтраком и вечером перед сном;
- Регулярные профилактические осмотры у стоматолога являются обязательными. Если ребенок жалуется на зубную боль, следует незамедлительно провести необходимое лечение;
- Важно следить за рационом и режимом питания, которые малыш будет соблюдать ежедневно;
- По возможности, следует ограничить потребление продуктов с высоким содержанием сахара, так как сахар способствует развитию стоматологических заболеваний, разрушая зубную эмаль;
- Полоскание рта ребенка не рекомендуется проводить теми же антисептиками, что и взрослым. Врачи советуют использовать только натуральные антисептические средства;
- Посуда для ребенка должна храниться отдельно, и пользоваться ею рекомендуется только ему;
-
Необходимо контролировать уровень кальция в организме малыша. Активный рост может привести к его нехватке, в таком случае следует восполнить его с помощью витаминных комплексов;
-
Рекомендуется включить в рацион больше молочных продуктов;
- Молочные зубы не следует вырывать сразу, как только они начинают шататься. Они должны выпасть самостоятельно или быть удалены стоматологом. Неправильный подход к этому вопросу может повредить зубные альвеолы и негативно сказаться на росте коренных зубов;
- Зубную щетку ребенка нужно менять не реже одного раза в три месяца;
- При любых подозрениях на стоматологические заболевания рекомендуется обратиться к стоматологу для определения методов профилактики или лечения.
- Дети старше 6 лет должны пить не менее одного литра воды в день, чтобы слюна, омывающая десны, не была слишком вязкой;
Альтернативой серебрению зубов у детей является строгое соблюдение гигиенических норм и повышенное внимание родителей к состоянию ротовой полости ребенка. Необходимо помнить, что здоровье детей требует особого внимания, так как вирусы в детском организме распространяются значительно быстрее.
При возникновении любых подозрений на стоматологические заболевания рекомендуется незамедлительно обратиться к врачу.
https://youtube.com/watch?v=dV2qb6VRP70
Потенциальные риски и противопоказания
Фторирование молочных зубов у детей, несмотря на свои преимущества, может иметь определенные риски и противопоказания, которые необходимо учитывать перед проведением процедуры. Важно понимать, что фтор является мощным средством для профилактики кариеса, однако его применение должно быть взвешенным и обоснованным.
Одним из основных рисков, связанных с фторированием, является возможность развития флюороза. Это заболевание возникает при избыточном потреблении фтора в период формирования зубов, что может привести к изменениям в эмали. Флюороз проявляется в виде белых пятен, полос или даже коричневых пятен на зубах. Поэтому важно следить за дозировкой фтора, особенно у детей, чьи зубы находятся в процессе формирования.
Кроме того, фторирование может быть противопоказано в случаях, когда у ребенка уже наблюдаются признаки флюороза или если он имеет повышенную чувствительность к фтору. В таких ситуациях стоматолог должен оценить состояние зубов и принять решение о целесообразности применения фтора.
Также следует учитывать, что некоторые медицинские состояния могут ограничивать возможность фторирования. Например, дети с заболеваниями почек или нарушениями обмена веществ могут иметь повышенный риск негативных реакций на фтор. В таких случаях необходимо предварительное обследование и консультация с врачом.
Важно отметить, что фторирование не является универсальным решением для всех детей. Стоматологи рекомендуют индивидуальный подход к каждому пациенту, учитывая его возраст, состояние зубов и общее здоровье. В некоторых случаях может быть более целесообразно использовать альтернативные методы профилактики кариеса, такие как регулярная гигиена полости рта и использование фторсодержащих зубных паст в умеренных количествах.
В заключение, фторирование молочных зубов у детей может быть эффективным методом профилактики кариеса, однако необходимо учитывать потенциальные риски и противопоказания. Перед проведением процедуры важно проконсультироваться с квалифицированным стоматологом, который сможет оценить состояние зубов и предложить оптимальный подход к профилактике.
Методы фторирования
Фторирование молочных зубов у детей является важной процедурой, направленной на профилактику кариеса и укрепление зубной эмали. Существует несколько методов фторирования, каждый из которых имеет свои особенности, преимущества и недостатки.
1. Фторирование с помощью гелей и лака
Одним из наиболее распространенных методов является применение фторсодержащих гелей и лака. Эти препараты наносятся на зубы в стоматологическом кабинете. Процедура обычно занимает всего несколько минут и не требует специальной подготовки. Гели и лаки содержат высокую концентрацию фтора, что позволяет эффективно укреплять эмаль и предотвращать развитие кариеса. После нанесения средства рекомендуется воздержаться от приема пищи и жидкости в течение 30-60 минут, чтобы обеспечить максимальное усвоение фтора.
2. Фторирование с использованием растворов
Растворы фтора также могут быть использованы для фторирования молочных зубов. Они могут применяться как в стоматологическом кабинете, так и в домашних условиях. В стоматологии врач может использовать более концентрированные растворы, которые обеспечивают более глубокое проникновение фтора в эмаль. В домашних условиях родители могут использовать специальные фторсодержащие ополаскиватели для рта, которые помогут поддерживать уровень фтора в слюне и на поверхности зубов.
3. Системное фторирование
Системное фторирование подразумевает поступление фтора в организм через пищу или специальные добавки. Этот метод особенно актуален для детей, которые живут в районах с низким содержанием фтора в питьевой воде. Системное фторирование может осуществляться с помощью фторсодержащих таблеток или добавок, которые назначаются врачом. Однако важно помнить, что чрезмерное потребление фтора может привести к флюорозу — заболеванию, характеризующемуся изменением цвета и структуры зубной эмали.
4. Фторирование через зубные пасты
Использование фторсодержащих зубных паст является одним из самых доступных и простых способов профилактики кариеса. Для детей рекомендуется выбирать пасты с низким содержанием фтора, так как их зубы более чувствительны к избытку этого элемента. Регулярная чистка зубов с фторсодержащей пастой помогает поддерживать оптимальный уровень фтора в ротовой полости и защищает зубы от кариеса.
5. Комбинированные методы
В некоторых случаях стоматологи рекомендуют комбинированные методы фторирования, которые включают использование как местных, так и системных источников фтора. Такой подход позволяет достичь максимального эффекта в укреплении зубной эмали и профилактике кариеса. Комбинированные методы могут быть особенно полезны для детей с высоким риском развития кариеса или с уже имеющимися проблемами с зубами.
Выбор метода фторирования должен осуществляться стоматологом с учетом индивидуальных особенностей ребенка, состояния его зубов и общего здоровья. Регулярные профилактические осмотры у стоматолога помогут определить необходимость в фторировании и выбрать наиболее подходящий метод для каждого конкретного случая.
Рекомендации по питанию для профилактики кариеса
Правильное питание играет ключевую роль в профилактике кариеса у детей, особенно в период формирования молочных зубов. Употребление определенных продуктов может как способствовать, так и препятствовать развитию кариеса. Ниже представлены основные рекомендации по питанию, которые помогут защитить молочные зубы вашего ребенка.
1. Сбалансированное питание: В рационе ребенка должны присутствовать все необходимые группы продуктов: белки, жиры, углеводы, витамины и минералы. Белки, содержащиеся в мясе, рыбе, яйцах и молочных продуктах, способствуют росту и развитию зубов. Углеводы, особенно сложные, такие как цельнозерновые продукты, обеспечивают организм энергией, но важно избегать простых сахаров, которые могут способствовать образованию кариеса.
2. Употребление кальция и витамина D: Кальций является основным строительным материалом для зубов и костей. Молочные продукты, такие как молоко, йогурт и сыр, являются отличными источниками кальция. Витамин D помогает организму усваивать кальций, поэтому важно включать в рацион продукты, богатые этим витамином, такие как жирная рыба, яйца и обогащенные продукты.
3. Ограничение сладостей и кислых продуктов: Сахар является основным виновником кариеса, так как он питает бактерии, вызывающие разрушение зубной эмали. Старайтесь ограничить потребление сладостей, газированных напитков и кислых продуктов, таких как цитрусовые и уксус. Если ребенок все же употребляет сладости, важно, чтобы это происходило во время еды, а не между приемами пищи, чтобы снизить риск повреждения зубов.
4. Увлажнение: Вода — лучший напиток для детей. Она не только помогает поддерживать гидратацию, но и способствует очищению зубов от остатков пищи. Если ребенок пьет соки, лучше выбирать 100% натуральные соки без добавленного сахара и ограничивать их количество.
5. Частота приемов пищи: Частые перекусы могут увеличить риск кариеса, так как зубы подвергаются воздействию сахаров на протяжении длительного времени. Рекомендуется организовать три основных приема пищи и два перекуса в день, при этом перекусы должны быть здоровыми, например, фрукты, овощи или орехи.
6. Регулярные визиты к стоматологу: Профилактика кариеса включает не только правильное питание, но и регулярные осмотры у стоматолога. Специалист сможет оценить состояние зубов ребенка и дать дополнительные рекомендации по питанию и уходу за полостью рта.
Следуя этим рекомендациям, вы сможете значительно снизить риск развития кариеса у вашего ребенка и обеспечить здоровье его молочных зубов на долгие годы.




