Съемные зубные протезы — важное решение для людей с частичным отсутствием зубов, восстанавливающее функциональность и эстетику зубного ряда. В статье рассмотрим виды съемных протезов, их особенности, способы крепления и ухода, а также противопоказания. Эта информация поможет тем, кто ищет оптимальное решение для восстановления зубов и желает узнать о современных методах протезирования.
Восстановление эстетичного вида с помощью протезирования зубов при частичном отсутствии зубов
Пациенты часто задаются вопросом, какие протезы лучше выбрать при частичном отсутствии зубов: съемные или несъемные. На фотографиях можно увидеть, как устанавливаются такие конструкции, как коронки, виниры и другие варианты. Правильный выбор с учетом индивидуальных особенностей позволит наслаждаться здоровой улыбкой и комфортом на протяжении многих лет. Частичные съемные зубные протезы помогают восстановить функциональность и улучшают внешний вид.
Стоматологи рекомендуют частичное протезирование зубов в случаях, когда отсутствует один или несколько зубов. Частичный протез отличается от полного тем, что для его установки необходимы несколько здоровых зубов, которые служат опорой. Чтобы сделать правильный выбор, важно ознакомиться с различными типами частично съемных протезов.
Выбор протезных конструкций зависит от показаний, которые определяет стоматолог.
Рассмотрим основные виды частично съемных зубных протезов:
- Пластинчатые (акриловые) протезы используются, когда отсутствуют несколько зубов подряд;
- Бюгельные протезы представляют собой современные высокотехнологичные изделия, которые могут заменить несколько зубов;
- Имедиат-протезы являются временными конструкциями;
- Нейлоновые протезы подходят для восстановления как одного, так и нескольких зубов.
К основным показаниям для установки съемных протезов при частичной потере зубов относятся:
- отсутствие опорных зубов, которые выполняли жевательные функции;
- утрата зубного ряда на верхней или нижней челюсти;
- ситуации, когда несъемное протезирование невозможно;
- противопоказания для установки имплантов;
- необходимость временного протезирования;
- аллергия на металлические протезы.
Акриловые (пластинчатые) конструкции являются популярными и доступными по цене. Основным преимуществом, когда речь идет о том, какие зубные протезы лучше выбрать при частичном отсутствии зубов, является их стоимость. Однако у них есть и недостатки. У некоторых пациентов может возникнуть аллергическая реакция на пластик, проявляющаяся в виде стоматита. Кроме того, акрил не передает температуру пищи, что может снижать вкусовые ощущения.
Протезы могут быстро менять цвет из-за пористой структуры пластика, который способен впитывать микроорганизмы и пищевые красители. Это также может привести к появлению неприятного запаха изо рта.
Качественные характеристики материала универсальны и подходят для различных случаев, будь то полное отсутствие зубов или наличие нескольких. Акриловые конструкции подходят людям всех возрастов, включая детей и подростков. Важно помнить, что им требуется ежегодная перебазировка, которая включает снятие слепка и добавление нового слоя пластика на внутреннюю часть протеза. Это помогает устранить потертости, улучшить фиксацию и прилегание к слизистой. Полную замену можно проводить каждые 3-5 лет, в зависимости от состояния костной ткани.
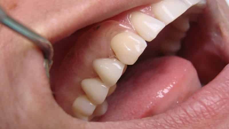
Бюгельные протезы представляют собой дугообразные конструкции с металлической дугой. В нижней челюсти она располагается под языком, а в верхней — на твердом небе.
Фотографии частично съемных зубных протезов дают представление о том, как крепится бюгельная конструкция на верхней челюсти.
Эти изделия отличаются высокой прочностью благодаря металлическому каркасу, что снижает вероятность поломок.
Бюгельные конструкции изготавливаются при наличии двух опорных зубов.
К их преимуществам можно отнести сохранение вкусовых ощущений и температуры пищи, а также быстрое привыкание. Однако стоимость бюгельных протезов, в отличие от акриловых, может быть значительно выше в зависимости от систем фиксации на оставшихся зубах.
Нейлоновые протезы представляют собой мягкие и гибкие конструкции, так как материал обладает эластичностью. Их можно использовать как при полном отсутствии зубов, так и при отсутствии одного зуба. Они отличаются высокой эстетикой и могут быть подобраны в цвет, максимально приближенный к естественным зубам пациента. В отличие от акрила, нейлон не вызывает аллергических реакций и контактного стоматита. В этих протезах отсутствуют металлические кламмеры, вместо них используются отростки базиса, охватывающие опорные зубы (пелоты). Эластичность материала снижает риск поломок и трещин, а также облегчает использование изделия.
Врачи-стоматологи отмечают, что выбор съемных зубных протезов при частичном отсутствии зубов зависит от индивидуальных особенностей пациента. Одним из наиболее популярных вариантов являются акриловые протезы, которые отличаются легкостью и простотой в уходе. Они хорошо адаптируются к деснам и обеспечивают комфорт при ношении. Однако, по мнению специалистов, более долговечными и эстетичными являются нейлоновые протезы, которые обладают высокой гибкостью и не требуют металлических креплений. Врачи также подчеркивают важность консультации с профессионалом, чтобы выбрать оптимальный вариант, учитывающий состояние зубочелюстной системы и пожелания пациента. Правильный выбор протезов может значительно улучшить качество жизни и восстановить уверенность в себе.
https://youtube.com/watch?v=F7Szax9FGC4
Преимущества и противопоказания
Среди главных преимуществ съемных зубных протезов можно выделить такие характеристики, как надежность и безопасность.
Современные протезы отличаются эстетическим видом и комфортом, их можно применять для людей всех возрастов — от детей и подростков до пожилых людей.
Не стоит устанавливать протезы, если у пациента есть аллергия на материалы, из которых они изготовлены (металл, акрил), а также при наличии заболеваний полости рта или психических расстройств, таких как шизофрения и эпилепсия.
Кроме того, такие конструкции не рекомендуются для людей, работающих в профессиях, связанных с речью, например, дикторам, певцам и лекторам.
| Тип протеза | Преимущества | Недостатки |
|---|---|---|
| Бюгельный протез | Надежная фиксация, равномерное распределение нагрузки, долговечность, эстетичность | Высокая стоимость, необходимость обточки опорных зубов, сложный уход |
| Пластиночный протез (акриловый) | Доступная цена, простота изготовления, возможность восстановления большого количества зубов | Недостаточная фиксация, дискомфорт при ношении, может вызывать натирание десен, недолговечность |
| Нейлоновый протез | Гибкость, легкость, гипоаллергенность, хорошая эстетика, не требует обточки зубов | Высокая стоимость, может деформироваться со временем, сложный уход, не всегда обеспечивает достаточную жевательную эффективность |
| Ацеталовый протез | Прочность, эластичность, хорошая эстетика, гипоаллергенность, не требует обточки зубов | Высокая стоимость, может быть менее комфортным, чем нейлоновый, требует тщательного ухода |
| Протез на имплантатах (условно-съемный) | Отличная фиксация, высокая жевательная эффективность, долговечность, эстетичность, предотвращает атрофию костной ткани | Высокая стоимость, инвазивная процедура установки имплантатов, длительный период приживления |
Крепления
Фиксация может осуществляться в ротовой полости с помощью кламмеров или замков. Кламмеры, выполненные в форме крючков и изготовленные из нейлона или металла, крепятся к опорным зубам у их основания, что делает конструкцию незаметной во время разговора или улыбки. Замки, в свою очередь, считаются более эстетичными и надежными. Они состоят из двух частей: одна фиксируется в корне зуба или под коронкой, а другая размещается внутри протеза. Срок службы протезов может составлять пять лет и более. Однако при значительной атрофии костной ткани челюсти этот срок может сократиться до трех лет.
При условии правильного ухода, регулярной корректировки и прохождения профилактических осмотров такие конструкции могут служить долго.
Рекомендуется снимать протезы два и более раз в день для их гигиенической обработки. Цены на съемные зубные конструкции зависят от используемых материалов и работы стоматологов.
https://youtube.com/watch?v=JAwveGVfI-k
Особенности хранения и ухода
Независимо от того, какие протезы являются наиболее подходящими при частичном отсутствии зубов, все они требуют внимательного ухода, аналогично естественным зубам. После каждого приема пищи протезы следует промывать под проточной водой, а чистить их рекомендуется специальной щеткой с зубной пастой не реже двух раз в день. Лучше избегать жевательных резинок и липких продуктов во время ношения протезов, чтобы не вызвать их повреждение. Более детально ознакомиться с правильным уходом за частично съемными зубными протезами можно, изучив соответствующие фотографии. Болевые ощущения при использовании протезов могут возникать из-за давления конструкции на слизистую оболочку. Для устранения дискомфорта необходимо обратиться к стоматологу, который проведет коррекцию, что также можно увидеть на фотографиях съемных зубных протезов при частичном отсутствии зубов.
Привыкание к протезам может занять продолжительное время, в некоторых случаях этот процесс может длиться пять месяцев и более. Это зависит от метода фиксации, состояния нервной системы пациента и других факторов. На ночь протезы следует помещать в стакан с дезинфицирующим раствором. Регулярные визиты к стоматологу для профилактического осмотра также являются важной частью ухода.
https://youtube.com/watch?v=kv0_w0Cobi0
Типы съемных протезов: полный и частичный
Съемные зубные протезы делятся на два основных типа: полные и частичные. Полные протезы используются в случаях, когда отсутствуют все зубы в челюсти, тогда как частичные протезы предназначены для восстановления утраченных зубов при наличии оставшихся. Оба типа имеют свои особенности, преимущества и недостатки, которые важно учитывать при выборе подходящего варианта.
Полные съемные протезы представляют собой конструкции, которые полностью заменяют отсутствующие зубы и устанавливаются на десны. Они изготавливаются из акрила или других материалов и могут быть как верхними, так и нижними. Основные преимущества полных протезов включают:
- Возможность восстановления функции жевания и эстетики улыбки;
- Относительно низкая стоимость по сравнению с другими методами протезирования;
- Отсутствие необходимости в хирургическом вмешательстве.
Однако полные протезы имеют и свои недостатки. Они могут вызывать дискомфорт, особенно в начале использования, и требуют времени для привыкания. Кроме того, такие протезы могут сдвигаться во время еды или разговора, что требует от пациента определенных навыков и осторожности.
Частичные съемные протезы используются в случаях, когда необходимо восстановить несколько зубов, сохраняя при этом остальные. Эти протезы могут быть выполнены из акрила, металла или комбинации материалов. Частичные протезы крепятся к оставшимся зубам с помощью специальных крючков или замков, что обеспечивает их стабильность и комфорт. Преимущества частичных протезов включают:
- Сохранение здоровья оставшихся зубов, так как они не подвергаются нагрузке, как при использовании полных протезов;
- Улучшение жевательной функции и эстетики;
- Более высокая степень комфорта по сравнению с полными протезами.
Тем не менее, частичные протезы также имеют свои недостатки. Они могут требовать регулярной корректировки и ухода, чтобы избежать проблем с деснами и оставшимися зубами. Кроме того, некоторые пациенты могут испытывать дискомфорт из-за наличия металлических элементов или крючков.
При выборе между полными и частичными съемными протезами важно учитывать индивидуальные особенности пациента, такие как состояние здоровья, количество оставшихся зубов, а также предпочтения в отношении комфорта и эстетики. Консультация с опытным стоматологом поможет определить наиболее подходящий вариант протезирования, учитывая все аспекты и пожелания пациента.
Процесс изготовления и примерка протезов
Процесс изготовления съемных зубных протезов начинается с тщательной диагностики и планирования. Сначала стоматолог проводит осмотр полости рта пациента, чтобы оценить состояние оставшихся зубов и десен. На этом этапе важно определить, какие зубы необходимо заменить, и как протез будет взаимодействовать с оставшимися зубами.
После осмотра стоматолог делает слепки челюстей пациента. Эти слепки могут быть выполнены с помощью специальной пасты или силиконовых материалов, которые обеспечивают высокую точность. Слепки необходимы для создания индивидуального протеза, который будет идеально подходить к анатомическим особенностям пациента.
Затем слепки отправляются в зуботехническую лабораторию, где зубной техник создает восковую модель протеза. На этом этапе важно учитывать не только эстетические аспекты, но и функциональные. Восковая модель позволяет стоматологу и пациенту увидеть, как будет выглядеть будущий протез, и внести необходимые коррективы. Это также позволяет проверить правильность прикуса и комфортность протеза.
После утверждения восковой модели начинается процесс изготовления самого протеза. В зависимости от выбранного материала (акрил, нейлон или металл) протез может быть изготовлен с использованием различных технологий. Например, акриловые протезы часто используются благодаря своей доступности и легкости, в то время как нейлоновые протезы более гибкие и комфортные в носке.
Когда протез готов, пациенту назначается повторная встреча для примерки. На этом этапе стоматолог проверяет, как протез сидит в полости рта, и проводит необходимые корректировки. Важно, чтобы протез не вызывал дискомфорта и не натирал десны. Если возникают какие-либо проблемы, стоматолог может внести изменения в конструкцию протеза или предложить дополнительные методы адаптации.
После успешной примерки пациенту предоставляются рекомендации по уходу за протезом и его ношению. Важно помнить, что съемные протезы требуют регулярного ухода и чистки, чтобы избежать накопления бактерий и неприятных запахов. Также следует периодически посещать стоматолога для контроля состояния протеза и десен.
Стоимость и финансовые аспекты протезирования
Стоимость съемных зубных протезов может значительно варьироваться в зависимости от различных факторов, таких как тип протеза, материалы, используемые в его изготовлении, а также уровень квалификации стоматолога и клиники, где проводится процедура. Важно понимать, что выбор протеза не должен основываться исключительно на цене, так как качество и долговечность изделия играют ключевую роль в его функциональности и комфорте.
Существует несколько типов съемных протезов, которые могут быть использованы при частичном отсутствии зубов. К ним относятся акриловые, нейлоновые и металлокерамические протезы. Акриловые протезы, как правило, являются наиболее доступными по цене, однако они могут быть менее долговечными и комфортными по сравнению с другими вариантами. Нейлоновые протезы, хотя и стоят дороже, обеспечивают большую гибкость и комфорт, так как они легче и менее травматичны для десен. Металлокерамические протезы, в свою очередь, представляют собой наиболее дорогой вариант, но они отличаются высокой прочностью и эстетикой.
При выборе протеза важно учитывать не только его стоимость, но и дополнительные расходы, такие как консультации стоматолога, диагностика, возможные дополнительные процедуры (например, лечение зубов или десен перед протезированием) и регулярные осмотры. Эти факторы могут существенно повлиять на общую стоимость лечения.
Также стоит обратить внимание на возможность получения скидок или рассрочки платежа в стоматологических клиниках. Многие учреждения предлагают программы финансирования, которые могут помочь пациентам распределить расходы на протезирование на более длительный срок. Это может быть особенно полезно для людей с ограниченным бюджетом.
Необходимо помнить, что дешевый протез может обернуться большими затратами в будущем, если он потребует замены или ремонта. Поэтому важно находить баланс между ценой и качеством, выбирая протез, который будет служить долго и обеспечивать комфорт в повседневной жизни.
В заключение, перед тем как принять решение о протезировании, рекомендуется проконсультироваться с опытным стоматологом, который поможет оценить все возможные варианты и выбрать наиболее подходящий с учетом индивидуальных потребностей и финансовых возможностей пациента.


