Пузырь под языком, или ранула, может вызывать дискомфорт, но многие не знают, что это такое и как с этим справиться. В статье рассмотрим причины появления пузыря, его симптомы и методы лечения, включая народные средства. Понимание проблемы поможет обратиться за медицинской помощью и избежать осложнений, а также даст советы по уходу за полостью рта.
Сущность недуга
В данной статье мы обсудим, что означает появление пузыря, заполненного жидкостью, под языком, а также оценим, насколько это может быть опасно. Кроме того, мы предложим примеры эффективных методов лечения как с использованием традиционной медицины, так и народных средств.
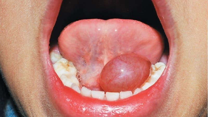
Чаще всего капсула с жидкостью, расположенная под языком, указывает на наличие кисты слюнной железы в данной области. Эта патология известна как «ранула» и довольно распространена в практике хирургической стоматологии.
Кисты обычно формируются из-за затрудненного или полного прекращения оттока слюны из железы.
Причиной этого могут стать различные факторы, такие как образование патологической пробки (например, камня), механическая травма, повредившая стенки канала, или закупорка, вызванная изменением состава секрета и его загустением. Чем дольше сохраняется препятствие для оттока слюны, тем больше становится капсула с секретом, что может привести к серьезным последствиям для здоровья.
В редких случаях развитие кисты под языком может быть связано с онкологическими образованиями в этой области, которые оказывают давление на слюнную железу, нарушая ее функции.
Наибольший вред киста наносит пищеварительной системе человека. Секрет, вырабатываемый слюнной железой, отвечает за первичное расщепление пищи в ротовой полости, способствует эффективному измельчению и качественному пережевыванию. На этом этапе происходит всасывание значительного количества полезных веществ, что особенно важно при приеме пероральных лекарств.
Кроме того, слюна обеспечивает увлажнение слизистой оболочки и языка, предотвращая сухость и риск появления микротрещин в процессе обычных действий. Также секрет обладает антибактериальными и дезинфицирующими свойствами.
Затрудненный отток слюны и накопление ее в кисте нарушают все перечисленные процессы, вызывая общий дисбаланс в организме, негативно влияя на работу пищеварительной и эндокринной систем, а также ослабляя иммунитет.
Кроме того, жидкость, скапливающаяся в пузыре, постепенно застаивается, насыщаясь солями и продуктами жизнедеятельности микроорганизмов, образуя патологическую субстанцию. В результате возможны два сценария: интоксикация организма или образование осадка из солей, что может привести к повторной закупорке железы камнями.
Пузырь под языком может вызывать беспокойство у многих людей, и врачи отмечают, что важно понимать его природу. По мнению специалистов, такие образования часто являются результатом механических повреждений, аллергических реакций или инфекций. Врач-стоматолог подчеркивает, что в большинстве случаев пузырь не представляет серьезной угрозы и может исчезнуть самостоятельно. Однако, если образование сопровождается болевыми ощущениями, отеком или длится более недели, необходимо обратиться к врачу. Специалисты рекомендуют не заниматься самолечением и избегать травмирования области, чтобы предотвратить возможные осложнения. Важно следить за состоянием полости рта и при необходимости проводить регулярные осмотры у стоматолога.
https://youtube.com/watch?v=_YsDdUrhHnY
Причины появления ранулы
Если под языком образовался прозрачный пузырь, в первую очередь стоит обратить внимание на уровень слюноотделения и попытаться выявить первопричины его нарушения, что чаще всего связано с проблемами в области стоматологии. Такие заболевания, как стоматит, кандидоз, плоский лишай, герпес и другие воспалительные процессы, могут привести к закупорке слюнной железы, что, в свою очередь, вызывает накопление секрета в капсуле.
Следующей наиболее вероятной причиной появления пузыря является механическая травма, полученная в ходе повседневной жизни. Нежная слизистая оболочка под языком легко может быть повреждена жесткой зубной щеткой, флоссом, предметами посуды или посторонними предметами (например, зубочисткой или кончиком карандаша), а также расколотыми или плохо обработанными зубами.
Иногда такие травмы возникают в результате удара по челюсти, ее перелома или ушиба, например, при падении. В образовавшиеся микротрещины активно проникают патогенные микроорганизмы, что приводит к воспалению в данной области. Воспалительные процессы могут также способствовать накоплению экссудата в капсуле.
Недостаточная гигиена полости рта может также способствовать размножению микробов.
К появлению кисты могут косвенно привести вредные привычки, такие как употребление алкоголя, курение табака или кальяна, а также неправильно составленный рацион питания. Эти факторы могут способствовать закупорке слюнных желез, в результате чего под языком образуется пузырь.
Рубцевание тканей после операций или заживления сложных заболеваний (таких как кандидоз, глоссит, герпес, афтозный стоматит и т.д.) также может способствовать образованию патологических образований под языком.
Инфицирование слюнных желез (чаще всего околоушной) приводит к тому, что гнойные массы проникают в полость рта и микротрещины на слизистой, вызывая не только микро-кисты с жидкостью, но и абсцессы, а также другие стоматологические заболевания.
Интересно, что даже системные вирусные инфекции (такие как свинка, грипп, отит и т.д.) могут вызывать отек лимфатических узлов и слюнных желез, что приводит к застою секрета и его накоплению в полости ранулы.
| Причина появления | Описание | Рекомендации |
|---|---|---|
| Мукоцеле (ретенционная киста) | Наиболее частая причина. Возникает из-за закупорки или повреждения протока малой слюнной железы, что приводит к скоплению слизи. Выглядит как полупрозрачный, мягкий, безболезненный шарик. | Обычно проходит самостоятельно. При больших размерах, частых рецидивах или дискомфорте – обратитесь к стоматологу для удаления. |
| Ранула | Разновидность мукоцеле, но образуется из протока подъязычной слюнной железы. Располагается на дне ротовой полости, может быть крупной и смещать язык. | Требует обращения к стоматологу или челюстно-лицевому хирургу для диагностики и лечения (обычно хирургического). |
| Травма | Прикусывание языка, ожог, царапина могут вызвать образование небольшого пузырька с кровью или лимфой. | Обычно проходит самостоятельно в течение нескольких дней. Избегайте повторной травматизации. |
| Герпес | Редко, но герпетические высыпания могут появляться и под языком, выглядя как мелкие болезненные пузырьки, которые затем лопаются и образуют язвочки. | Противовирусные препараты по назначению врача. Соблюдение гигиены. |
| Афтозный стоматит | Афты (язвочки) могут начинаться с небольших пузырьков, которые быстро лопаются. Они болезненны и имеют красный ободок. | Симптоматическое лечение (обезболивающие, антисептики). При частых рецидивах – консультация врача. |
| Аллергическая реакция | В редких случаях, контакт с аллергеном (например, компонентом зубной пасты, пищей) может вызвать отек и образование пузырьков. | Исключение контакта с аллергеном. Антигистаминные препараты по назначению врача. |
| Папиллома | Доброкачественное образование, вызванное вирусом папилломы человека. Может выглядеть как небольшой пузырек или нарост. | Требует консультации стоматолога для диагностики и, при необходимости, удаления. |
| Злокачественные новообразования | Крайне редко, но некоторые виды рака ротовой полости могут начинаться с небольших образований, которые могут быть ошибочно приняты за пузырь. | Немедленное обращение к врачу при любых подозрительных, быстрорастущих, болезненных или кровоточащих образованиях. |
Симптомы подъязычной кисты и ее диагностика
На начальных этапах развития пациент не ощущает образования под языком и не испытывает других симптомов. Единственным признаком, который может вызвать подозрения на ранулу, является снижение слюноотделения.
На следующем этапе пузырек под языком увеличивается до размеров около 30-40 мм и становится заметным через слизистую оболочку. Он имеет округлую форму и может быть голубоватого или беловатого оттенка. Если ранула расположена непосредственно под мышцей языка в области уздечки, она может принимать форму песочных часов.
На этой стадии человек начинает ощущать шишку во рту, что затрудняет процесс питания и общения. Это связано с тем, что крупный волдырь начинает давить на уздечку, изменяя ее положение. В некоторых случаях полость пузырька может самостоятельно прорываться, но вскоре снова заполняется секретом, состоящим из воды и 5% белковых примесей.
При визуальном осмотре стоматолог часто отмечает истончение слизистых тканей в области капсулы. Пальпация показывает, что поверхность ранулы эластичная и мягкая.
При диагностике важно отличить подъязычную кисту от дермоидной, а также от кист других слюнных желез, сиалоаденита, слюнно-каменной болезни, липомы и гемангиомы. Для точного диагноза хирург-стоматолог проводит пункцию кисты, и вязкая масса отправляется в лабораторию для подтверждения диагноза. Часто используется цистография. В сложных случаях могут назначаться рентгенография, сиалография, УЗИ или МРТ. Эти методы помогают точно определить местоположение ранулы, ее размер и стадию, а также возможные осложнения.
Важно при диагностике провести биопсию патологической жидкости внутри пузыря, чтобы исключить наличие раковых клеток.
https://youtube.com/watch?v=PstX6G8X25s
Лечение подъязычной кисты
Мы изучили, что представляет собой «волдырь под языком» и как это заболевание классифицируется в медицинской практике. Данная патология требует хирургического вмешательства, которое сопровождается антибактериальной и противовоспалительной терапией.
При проведении операции могут возникнуть определенные сложности. Проблема заключается в том, что слизистая оболочка кисты очень тонкая и легко поддается повреждениям, что может привести к разрыву капсулы и утрате ее стенок. В случае такого инцидента отделить стенки от здоровых тканей слизистой становится весьма затруднительно.
Чтобы предотвратить подобные ситуации, используется метод И. Лукомского – «цистотомия». Сначала медсестра проводит местную анестезию, затем хирург удаляет выступающую часть слизистой и сшивает верхнюю стенку капсулы со слизистой оболочкой. Остальные стенки сшиваются по краям, а в образовавшуюся полость помещается ватный тампон с йодоформным препаратом, который фиксируется шовной нитью. Тампон необходимо заменить через 5 дней. К сожалению, даже этот метод не гарантирует полного выздоровления, и возможны повторные случаи заболевания.
Если причиной кисты является закупорка слюнных протоков, наиболее эффективным решением будет удаление кисты вместе с самой железой.
После операции профилактика включает в себя соблюдение правильной гигиены полости рта и специальной диеты (пища должна быть мягкой, комнатной температуры и нейтральной, то есть не слишком острой, кислой или соленой). Также важно минимизировать риск травмирования области зубной щеткой или столовыми приборами. На период заживления рекомендуется воздержаться от алкоголя и курения. Если в области операции появляются отеки или онемение, необходимо незамедлительно обратиться к врачу.
Как лечить ранулу народной медициной
Приведем несколько действенных рецептов для борьбы с болезнью.
- Приготовьте полоскание для ротовой полости. Для этого разведите 2 десертные ложки масла эвкалипта или хвои в чашке теплой воды. Полоскание следует проводить 3-4 раза в день.
- Также можно использовать отвар синеголовника для полоскания (1 столовая ложка сухой травы на стакан кипятка). Дайте настояться жидкости пару часов, затем охладите и процедите. Противовоспалительные свойства имеют также шалфей, хвощ, тысячелистник, цветы ромашки, бузины и календулы, а также листья малины и алоэ.
- Не забывайте о классическом соляно-содовом растворе с добавлением щепотки соли. Этот состав обладает вяжущими и антисептическими свойствами, что помогает в борьбе с заболеваниями. Также можно использовать раствор хлорофиллипта, фурацилина или слабый раствор марганца.
- Эффективным методом является прием отвара из сосновых или еловых иголок. Залейте 5 столовых ложек сухой массы 1000 мл кипятка и варите в течение 30 минут. Рекомендуется употреблять по 100 мл дважды в день.
- Приготовьте компресс из сока алоэ, прополиса или спиртовой настойки на основе хрена, зверобоя или репы.
- Чаще рассасывайте кислые леденцы, которые помогут очистить каналы и увеличить выделение слюны.
Мы обсудили, почему рану следует воспринимать серьезно и какие классические методы лечения существуют. Помните, что игнорирование необходимости хирургического вмешательства и самолечение могут привести к серьезным последствиям, таким как образование новых опухолей и даже онкологические заболевания, а также к интоксикации организма.
https://youtube.com/watch?v=xPS3uYqNbxg
Профилактика появления ранулы
Одним из ключевых моментов профилактики является поддержание хорошей гигиены полости рта. Регулярная чистка зубов, использование зубной нити и полоскание рта антисептическими растворами помогут предотвратить воспалительные процессы, которые могут способствовать образованию ранулы. Важно также следить за состоянием десен и при первых признаках воспаления обращаться к стоматологу.
Следует избегать травмирования области под языком. Это может произойти, например, при неправильном использовании зубных протезов или при частом прикусывании языка. Если у вас есть привычка грызть ногти или жевать твердые предметы, стоит от нее отказаться, так как это может привести к повреждению слизистой оболочки и, как следствие, к образованию ранулы.
Также важно следить за своим рационом. Употребление слишком горячей или острой пищи может раздражать слизистую оболочку рта и способствовать образованию кисты. Рекомендуется избегать продуктов, которые могут вызвать аллергическую реакцию или раздражение, таких как цитрусовые, острые специи и кислые продукты.
Регулярные медицинские осмотры у стоматолога помогут выявить возможные проблемы на ранней стадии. Если у вас есть предрасположенность к заболеваниям слюнных желез, такие как синдром Шегрена или другие аутоиммунные заболевания, важно находиться под наблюдением специалиста.
Наконец, стоит обратить внимание на общее состояние здоровья. Хронические заболевания, такие как диабет, могут влиять на работу слюнных желез и увеличивать риск образования ранулы. Поддержание нормального уровня сахара в крови и соблюдение рекомендаций врача помогут снизить вероятность возникновения этой проблемы.
Возможные осложнения и последствия
Пузырь под языком, или подъязычная киста, может привести к различным осложнениям и последствиям, если не будет своевременно диагностирован и лечен. Одним из наиболее распространенных осложнений является инфекция. Поскольку киста может содержать жидкость, она становится идеальной средой для размножения бактерий. Инфицированная киста может вызвать боль, отек и покраснение в области подъязыка, а также привести к образованию абсцесса, который требует хирургического вмешательства.
Еще одним возможным осложнением является затруднение в глотании и речи. Увеличенная киста может давить на окружающие ткани, что может вызывать дискомфорт и ограничивать подвижность языка. Это может затруднить выполнение обычных функций, таких как разговор и прием пищи, что негативно сказывается на качестве жизни пациента.
Кроме того, в редких случаях киста может стать злокачественной. Хотя это происходит крайне редко, важно следить за изменениями в размере и внешнем виде пузыря. Если киста начинает расти или появляются новые симптомы, такие как кровотечение или изменение цвета, необходимо обратиться к врачу для дальнейшего обследования.
Также стоит отметить, что наличие кисты может быть связано с другими заболеваниями, такими как синдром Гарднера или другие генетические нарушения. Поэтому важно проводить комплексное обследование, чтобы исключить наличие сопутствующих заболеваний.
В случае, если пузырь под языком вызывает значительный дискомфорт или осложнения, может потребоваться хирургическое удаление кисты. Операция обычно проводится под местной анестезией и включает в себя удаление самой кисты и окружающих тканей, чтобы предотвратить рецидив. После операции важно следовать рекомендациям врача по уходу за раной и наблюдению за состоянием здоровья.
В заключение, пузырь под языком может иметь различные осложнения и последствия, которые требуют внимательного отношения и своевременной медицинской помощи. Регулярные осмотры у стоматолога и врача помогут выявить проблему на ранней стадии и предотвратить развитие серьезных осложнений.
Когда обращаться к врачу
Пузырь под языком может быть признаком различных состояний, и в некоторых случаях требуется медицинское вмешательство. Важно знать, когда стоит обратиться к врачу, чтобы избежать осложнений и получить необходимую помощь.
Если вы заметили пузырь под языком, который не проходит в течение нескольких дней, это может быть сигналом о наличии инфекции или другого заболевания. В таких случаях рекомендуется записаться на прием к стоматологу или терапевту. Особенно важно не откладывать визит, если пузырь сопровождается другими симптомами, такими как:
- Боль: Если пузырь вызывает дискомфорт или сильную боль, это может указывать на воспалительный процесс или инфекцию.
- Отек: Увеличение размеров пузыря или отек окружающих тканей может свидетельствовать о более серьезной проблеме.
- Изменение цвета: Если пузырь меняет цвет, становится красным или черным, это может быть признаком инфекции или другого патологического процесса.
- Лихорадка: Повышение температуры тела может указывать на наличие инфекции, требующей медицинского вмешательства.
- Трудности с глотанием или дыханием: Если пузырь мешает нормальному глотанию или дыханию, это является неотложным состоянием, требующим немедленной помощи.
Также стоит обратить внимание на наличие пузыря, если он появляется регулярно или сопровождается другими изменениями в полости рта, такими как появление язв, белых пятен или налета на языке. Эти симптомы могут указывать на хронические заболевания, такие как кандидоз или лейкоплакия, которые требуют диагностики и лечения.
Если пузырь под языком возник после травмы, например, при укусе или ожоге, и не проходит в течение нескольких дней, также стоит обратиться к врачу. В некоторых случаях может потребоваться дополнительное лечение для предотвращения инфекции.
Наконец, если у вас есть предрасположенность к заболеваниям полости рта, таким как герпес или другие вирусные инфекции, и вы заметили пузырь, рекомендуется проконсультироваться с врачом для получения рекомендаций по профилактике и лечению.
В целом, если у вас есть сомнения по поводу пузыря под языком или его симптомов, не стоит откладывать визит к врачу. Чем раньше будет поставлен диагноз, тем эффективнее будет лечение и меньше риск осложнений.




