Удаление зуба мудрости — распространенная стоматологическая процедура, после которой пациенты могут столкнуться с неприятным запахом изо рта. Этот симптом может указывать на осложнения, такие как нагноение лунки или инфекция. В статье рассмотрим основные причины неприятного запаха после удаления зуба мудрости, а также методы лечения и профилактики. Знание этих аспектов поможет своевременно обратиться к врачу и избежать серьезных последствий.
Причины неприятного запаха
Несвежее дыхание после стоматологических процедур возникает не случайно и может указывать на начало воспалительных или инфекционных процессов в области зуба и окружающих его тканей.
Часто пациенты замечают этот симптом в первые 3-5 дней после удаления зуба.
Если в этот период не предпринять своевременные меры, воспаленная лунка и мягкие ткани могут покрыться микробным налетом, покраснеть, отекать и даже онеметь. Воспаление может распространиться на различные участки и затронуть челюстную кость (остеомиелит).
Рассмотрим основные причины, по которым инфекция может попасть в открытую лунку.
-
Несоблюдение рекомендаций стоматолога. После удаления зуба врач дает указания по уходу за полостью рта, которые необходимо строго соблюдать. Это включает в себя осторожную чистку зубов (избегая области лунки), мягкое полоскание рта антисептиками и заживляющими средствами (можно использовать теплые травяные отвары, содово-солевой раствор, раствор фурацилина и марганца). Использование ирригаторов и флоссов рядом с раной строго запрещено, как и попытки дотронуться до нее языком, пальцами или ватными спонжами. Также в течение 3-4 часов после удаления следует воздержаться от пищи и напитков (кроме воды), а в последующие 3 дня придерживаться диеты из мягких и нейтральных по химическому составу продуктов и жидкостей. Все блюда должны быть комнатной температуры и умеренно солеными (избегая кислых, острых и сладких). При несоблюдении этих рекомендаций рана может воспалиться и начать кровоточить, или же вымыться защитный кровяной сгусток, что открывает путь для микробов. В таких условиях патогенные микроорганизмы быстро проникают в воспаленную лунку и начинают размножаться.
-
Образование «сухой» лунки. В
течение нескольких часов после удаления зуба на его месте формируется плотный кровяной сгусток, который защищает лунку от микробов, остатков пищи и зубной пасты. Удалять этот сгусток нельзя.
Иногда он может вымываться самопроизвольно, и оставшаяся рана пересыхает. Это часто происходит у курящих людей, а также у пациентов с нарушениями свертываемости крови и женщин, принимающих гормональные препараты. Сухая рана быстро заполняется остатками пищи, слюной и микробами, что приводит к гнилостным процессам и неприятному запаху изо рта.
-
Стоматологические заболевания. Воспаленная лунка может привести к различным осложнениям. Прежде всего, это может вызвать кариес на соседних зубах, так как рана накапливает большое количество микробов, которые могут атаковать здоровые зубы, особенно если они уже имеют проблемы (кариес, налет, зубной камень и т.д.). На втором месте стоит воспаление десен и карманов в области лунки (пародонтоз, пародонтит), а также периодонта (периодонтит). Реже возникают гингивит, стоматит, вирусные инфекции (герпес) и грибковые заболевания (кандидоз). Воспаление раны в сочетании с ослабленным иммунитетом и существующими стоматологическими проблемами может привести к различным заболеваниям, все из которых сопровождаются несвежим дыханием.
-
Осколок зуба или инструмента. В редких случаях после неаккуратного удаления в лунку может попасть обломок удаленного зуба или маленькая часть инструмента. Это вызывает сильное воспаление в мягких тканях: рана опухает, болит и может кровоточить. Часто пациенты также жалуются на гнилостный запах после удаления зуба мудрости. Лечение в таком случае включает в себя рассечение раны и извлечение обломка зуба или инструмента. Затем в полость закладывается мощное лекарство, накладываются швы, которые снимаются через несколько дней. При наличии гнойного воспаления может потребоваться установка дренажа.
Иногда несвежее дыхание может быть вызвано не воспалительными процессами, а лекарственными средствами, применяемыми для облегчения болевых ощущений, а также обладающими противовоспалительными и антимикробными свойствами.
В таком случае стоит подождать завершения курса лечения, чтобы восстановилась микрофлора в ротовой полости и нормализовалось слюноотделение. После этого вернется и здоровый запах изо рта.
После удаления зуба многие пациенты сталкиваются с неприятным запахом изо рта, что вызывает у них беспокойство. Врачи отмечают, что это явление может быть связано с несколькими факторами. Во-первых, в области удаления зуба образуется рана, которая может инфицироваться, если не соблюдать правила гигиены. Во-вторых, остатки пищи, попадающие в эту зону, могут способствовать образованию бактерий, что также приводит к неприятному запаху.
Специалисты рекомендуют тщательно следить за гигиеной полости рта, использовать антисептические растворы и избегать жесткой пищи в первые дни после процедуры. Если запах сохраняется более нескольких дней или сопровождается болью и отеком, необходимо обратиться к стоматологу для исключения возможных осложнений. Важно помнить, что своевременное обращение к врачу поможет избежать серьезных проблем и восстановить здоровье полости рта.
https://youtube.com/watch?v=1Hv2F2Yituk
Как устранить проблему
Если симптомы вызваны воспалительными процессами, важно точно установить их причину и начать эффективное лечение.
Сухие лунки и оставшиеся сгустки требуют повторного введения лекарства в полость для ускорения заживления и восстановления тканей.
Если неприятный запах изо рта возник из-за стоматологических заболеваний, то только полное их устранение сможет вернуть свежесть дыхания.
При попадании в полость осколка зуба или инструмента необходимо удалить инородное тело, провести обработку лекарством и наложить швы.
Если у вас нет возможности немедленно обратиться к врачу и устранить причину проблемы, вы можете воспользоваться следующими советами.
- Уделяйте больше времени чистке зубов (5-7 минут) и обязательно очищайте межзубные пространства с помощью ершиков или зубной нити.
- После каждой чистки зубов полощите рот освежающими и противовоспалительными ополаскивателями, которые можно найти в аптеках и супермаркетах. Предпочитайте мятные и эвкалиптовые средства, избегая спиртовых, так как они могут пересушить полость рта и усугубить ситуацию. Также можно приготовить отвары из целебных трав, таких как шалфей, ромашка, кора дуба, эвкалипт, зверобой, мелисса и мята.
- Полощите рот после каждого приема пищи хотя бы простой водой, а лучше с добавлением нескольких капель эфирного масла лимона и мяты.
- Перекусы между основными приемами пищи должны состоять из фруктов, орехов и овощей. Старайтесь избегать продуктов, способствующих появлению неприятного запаха (бургеры, мясные и рыбные блюда, кондитерские изделия, снеки, полуфабрикаты, молочные и кисломолочные напитки). После перекусов пожуйте мятную жевательную резинку в течение 2-3 минут.
- Чтобы избавиться от неприятного запаха после удаления зуба, регулярно очищайте спинку языка. Именно на ней скапливаются продукты жизнедеятельности бактерий, которые активно размножаются в воспаленных тканях.
Перед визитом к врачу вы можете начать первичное лечение воспаленной лунки. Смочите ватный тампон раствором марганца, фурацилина или хлорофиллипта и аккуратно промокните лунку, удаляя образовавшийся некротический налет или гной.
Также можно сделать примочку из перекиси на 1-2 минуты для уменьшения кровотечения. Обезболить область поможет раствор новокаина или лидокаина, а также прикладывание холодных компрессов.
| Причина неприятного запаха | Описание | Рекомендации |
|---|---|---|
| Сухая лунка (альвеолит) | Отсутствие кровяного сгустка в лунке, что приводит к обнажению кости и развитию воспаления. Сопровождается сильной болью. | Немедленно обратиться к стоматологу для промывания лунки и наложения лекарства. Избегать полосканий, курения, использования соломинок. |
| Инфекция | Бактериальное заражение лунки, часто из-за несоблюдения гигиены или ослабленного иммунитета. Может сопровождаться отеком, болью, гнойными выделениями. | Обратиться к стоматологу для назначения антибиотиков и местного лечения. Тщательно соблюдать гигиену полости рта. |
| Остатки пищи | Застревание частиц пищи в лунке, что приводит к их разложению и появлению неприятного запаха. | Аккуратно полоскать рот после еды (не интенсивно, чтобы не вымыть сгусток). Использовать мягкую зубную щетку для чистки зубов, избегая области лунки. |
| Недостаточная гигиена полости рта | Накопление бактериального налета на зубах и языке, особенно если пациент избегает чистки из-за боли. | Аккуратно чистить зубы, избегая области лунки. Использовать ополаскиватели для рта без спирта, рекомендованные стоматологом. |
| Наличие других проблем в полости рта | Кариес, пародонтит, гингивит или другие воспалительные процессы, которые существовали до удаления зуба и теперь усугубляются. | Пройти комплексное обследование у стоматолога для выявления и лечения сопутствующих заболеваний. |
| Курение | Химические вещества в табачном дыме раздражают слизистую, замедляют заживление и способствуют размножению бактерий. | Полностью отказаться от курения на период заживления. |
| Неправильное питание | Употребление острой, кислой, горячей или твердой пищи, которая может раздражать лунку или застревать в ней. | Придерживаться мягкой, прохладной пищи. Избегать продуктов, которые могут травмировать или застрять в лунке. |
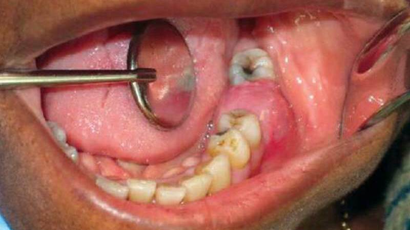
Гнойное воспаление лунки
Альвеолит — это заболевание, которое часто развивается на 2-3 день после удаления сложных зубов. В области лунки начинается активный воспалительный процесс, который может сопровождаться образованием гнойных масс.
Если не начать лечение альвеолита вовремя, это может привести к серьезным осложнениям, таким как остеомиелит, абсцессы, флегмоны и кисты.
Инфекция при данном заболевании распространяется очень быстро и может попасть в кровоток, что в свою очередь может вызвать сепсис.
Причины нагноения лунки:
- Удаление коренных моляров, включая зубы мудрости, может быть сложным из-за глубоких или искривленных корней, которые могут остаться в ротовой полости;
- Процедура удаления проводилась на фоне наличия гранулем и кист, заполненных гноем;
- Инфицирование раны может произойти из-за несоблюдения санитарных норм со стороны врача;
- Сгусток крови, который защищает послеоперационную область, может быстро вымыться, оставляя рану открытой и незащищенной;
- Во время удаления в мягкие ткани могли попасть инфицированные элементы, такие как микробный налет, твердый камень, кариозные ткани или осколки зуба и инструмента;
- Пациент мог пренебречь гигиеной полости рта после удаления, продолжая курить и употреблять привычные продукты;
- Сопутствующие стоматологические заболевания и ослабленный иммунитет также могут способствовать нагноению.
Если после удаления зуба мудрости вы заметили неприятный, гнилостный запах изо рта, стоит внимательно осмотреть лунку. Появление темного некротического налета и гнойных масс — это повод для немедленного обращения к врачу для лечения альвеолита.
Сначала медсестра проводит анестезию, после чего лунка очищается от налета, остатков пищи и некротических масс с использованием стоматологических инструментов. Затем рана промывается антисептическим и противомикробным раствором.
На следующем этапе врач вскрывает полость лунки с помощью скальпеля и вводит туда мощное лекарственное средство. На рану накладываются швы, и устанавливается защитная повязка, смоченная антисептиком.
Чтобы избежать повторного лечения после удаления зуба, в течение нескольких дней старайтесь соблюдать щадящий режим для полости рта: придерживайтесь диеты, аккуратно чистите зубы и полощите рот антисептиками. Также важно ежедневно осматривать лунку и в случае вымывания сгустка или появления нагноения незамедлительно обращаться к стоматологу.
https://youtube.com/watch?v=8m7WgLjLQCA
https://youtube.com/watch?v=YWsOb3O-3Eg
Профилактика неприятного запаха после удаления зуба
Неприятный запах изо рта после удаления зуба может быть вызван различными факторами, включая инфекции, остатки пищи и неправильный уход за полостью рта. Однако существуют эффективные меры профилактики, которые помогут минимизировать риск появления этого симптома.
1. Соблюдение гигиенических норм: После удаления зуба крайне важно поддерживать высокие стандарты гигиены полости рта. Рекомендуется избегать чистки зубов в области удаленного зуба в течение первых 24 часов, чтобы не повредить образовавшуюся кровяную сгусток. После этого можно аккуратно чистить зубы, избегая прямого контакта с местом удаления.
2. Полоскания антисептическими растворами: Использование антисептических растворов для полоскания рта может помочь предотвратить инфекцию и снизить риск неприятного запаха. Рекомендуется использовать растворы, содержащие хлоргексидин или другие антисептики, по указанию стоматолога.
3. Избегание определенных продуктов: В первые дни после удаления зуба стоит избегать жесткой, острой и кислой пищи, которая может раздражать десну и способствовать образованию неприятного запаха. Также следует ограничить потребление алкоголя и табака, так как они могут замедлить процесс заживления и ухудшить состояние полости рта.
4. Увлажнение рта: Сухость во рту может способствовать появлению неприятного запаха. Убедитесь, что вы пьете достаточное количество воды, чтобы поддерживать уровень увлажненности. Если у вас есть проблемы с слюноотделением, обсудите это с вашим стоматологом.
5. Регулярные визиты к стоматологу: После удаления зуба важно следить за состоянием полости рта и посещать стоматолога для регулярных осмотров. Это поможет выявить возможные осложнения на ранней стадии и предотвратить развитие неприятного запаха.
6. Обращение к врачу при появлении симптомов: Если неприятный запах сохраняется более нескольких дней или сопровождается другими симптомами, такими как боль, отек или гнойные выделения, необходимо обратиться к стоматологу. Это может быть признаком инфекции, требующей медицинского вмешательства.
Следуя этим рекомендациям, вы сможете значительно снизить риск появления неприятного запаха изо рта после удаления зуба и обеспечить более комфортный процесс заживления.
Когда обращаться к стоматологу
После удаления зуба неприятный запах изо рта может быть нормальным явлением, однако в некоторых случаях он может указывать на наличие осложнений, требующих вмешательства стоматолога. Важно знать, когда стоит обратиться за профессиональной помощью, чтобы избежать серьезных последствий для здоровья.
Во-первых, если запах сохраняется более нескольких дней после процедуры, это может свидетельствовать о развитии инфекции. Инфекция может возникнуть в области лунки удаленного зуба, что приводит к образованию гноя и неприятному запаху. В таких случаях необходимо как можно скорее записаться на прием к стоматологу для диагностики и назначения соответствующего лечения.
Во-вторых, если запах сопровождается другими симптомами, такими как сильная боль, отек десны, повышение температуры тела или общее недомогание, это также является сигналом к немедленному обращению к врачу. Эти симптомы могут указывать на более серьезные проблемы, такие как остеомиелит или альвеолит, которые требуют срочного медицинского вмешательства.
Кроме того, если вы заметили, что запах изо рта стал особенно резким и неприятным, это может быть связано с неправильным уходом за полостью рта после удаления зуба. Важно следовать рекомендациям стоматолога по уходу за лункой и соблюдать гигиену, чтобы предотвратить развитие осложнений. Если вы не уверены в правильности своих действий, лучше проконсультироваться со специалистом.
Не стоит игнорировать и другие возможные причины неприятного запаха, такие как наличие остатков пищи в лунке, которые могут начать гнить, или проблемы с соседними зубами. В таких случаях стоматолог сможет провести осмотр и предложить необходимые меры для устранения проблемы.
В заключение, если неприятный запах изо рта после удаления зуба не проходит или сопровождается тревожными симптомами, не откладывайте визит к стоматологу. Чем раньше вы получите квалифицированную помощь, тем быстрее сможете избавиться от проблемы и избежать серьезных осложнений.
Рекомендации по уходу за полостью рта после удаления зуба
После удаления зуба уход за полостью рта становится особенно важным, так как в этот период риск возникновения неприятного запаха изо рта значительно возрастает. Это может быть связано с несколькими факторами, включая заживление раны, наличие остатков пищи и развитие бактериальной флоры. Чтобы минимизировать неприятные ощущения и предотвратить запах, следуйте следующим рекомендациям.
1. Соблюдение гигиены полости рта: После удаления зуба важно поддерживать чистоту рта. Однако в первые 24 часа после процедуры следует избегать чистки зубов в области удаленного зуба, чтобы не повредить сгусток крови, который образуется в лунке. После этого можно аккуратно чистить зубы, избегая области удаления. Используйте мягкую зубную щетку и нежные движения.
2. Полоскания: Полоскания рта антисептическими растворами могут помочь предотвратить инфекцию и уменьшить неприятный запах. Рекомендуется использовать растворы на основе хлоргексидина или соли. Полоскания следует проводить не ранее чем через 24 часа после удаления зуба, чтобы не нарушить сгусток крови.
3. Избегайте определенных продуктов: В первые дни после удаления зуба старайтесь избегать жесткой, острой и кислой пищи, которая может раздражать рану и способствовать образованию неприятного запаха. Лучше отдавать предпочтение мягкой и легко усваиваемой пище, такой как пюре, йогурты и супы.
4. Увлажнение: Обезвоживание может способствовать образованию неприятного запаха. Убедитесь, что вы пьете достаточное количество воды, чтобы поддерживать уровень влажности в полости рта. Это поможет предотвратить сухость и снизить риск появления бактерий.
5. Избегайте курения и алкоголя: Курение и употребление алкоголя могут замедлить процесс заживления и способствовать образованию неприятного запаха. Рекомендуется воздерживаться от этих привычек как минимум на несколько дней после удаления зуба.
6. Регулярные визиты к стоматологу: Если неприятный запах сохраняется более нескольких дней или сопровождается другими симптомами, такими как боль или отек, важно обратиться к стоматологу. Это может быть признаком инфекции или других осложнений, требующих медицинского вмешательства.
Соблюдение этих рекомендаций поможет вам избежать неприятного запаха изо рта после удаления зуба и обеспечит более комфортное заживление. Не забывайте, что каждый случай индивидуален, и при возникновении сомнений лучше проконсультироваться с врачом.


