Коричневый налет на зубах — распространенная проблема, которая может не только портить эстетику, но и указывать на серьезные заболевания зубов и десен. В статье рассмотрим основные причины появления темного налета и эффективные способы его устранения. Особое внимание уделим формированию налета у детей, чтобы родители могли лучше заботиться о здоровье зубов своих малышей. Понимание этих аспектов поможет сохранить улыбку здоровой и привлекательной.
Описание
Обворожительная улыбка невозможна без здоровых, чистых и белоснежных зубов. Поэтому важно уделять внимание такой проблеме, как зубной налет, и находить время для его устранения. При недостаточной гигиене полости рта может возникнуть неприятный запах, а также слизистое покрытие с различными оттенками на зубах. Например, нерегулярная чистка зубов приводит к образованию тонкой пленки на деснах и эмали, которую легко удалить при помощи зубной щетки. Хотя она не наносит серьезного вреда организму и внешнему виду, состоит эта пленка из остатков пищи и бактерий. Однако, если пренебрегать чисткой зубов, это может привести к кариесу и образованию зубного камня.
Зубной налет представляет собой смесь частиц пищи, клеток слизистой оболочки, полезных бактерий и вредных микроорганизмов.
Несвоевременное удаление первых признаков пленочного покрытия может привести к образованию плотного и твердого налета, что в итоге вызывает образование зубного камня.
В таком случае его придется удалять в стоматологической клинике с использованием специальных методов и оборудования.
Зубной налет бывает мягким и твердым, а также различается по цвету: белый, желтый, коричневый, черный и зеленый.
Врачи отмечают, что налет на зубах является распространенной проблемой, с которой сталкиваются многие пациенты. Основными причинами его появления являются недостаточная гигиена полости рта, неправильное питание и курение. Налет может привести к образованию кариеса и заболеваниям десен, поэтому важно своевременно принимать меры. Специалисты рекомендуют регулярно чистить зубы не менее двух раз в день, использовать зубную нить и ополаскиватели для рта. Профессиональная чистка у стоматолога также играет ключевую роль в профилактике налета. Врачи подчеркивают, что соблюдение этих простых рекомендаций поможет сохранить здоровье зубов и десен на долгие годы.
https://youtube.com/watch?v=KAIYUruX_eY
Причины образования у детей
Сильный налет на зубах у детей может возникать по множеству причин. Прежде всего, это связано с тем, что многие родители не уделяют должного внимания гигиене ротовой полости своих малышей, будь то груднички или трехлетние дети. Неправильный режим питания также играет значительную роль в образовании налета. Это касается недостатка в рационе твердых и свежих овощей и фруктов, а также кормления ребенка исключительно смесями или пюреобразной пищей. Кроме того, налет может образовываться из-за грибковых инфекций, дисбактериоза и других заболеваний. В таких случаях необходимо обратиться к стоматологу и педиатру для выявления точной причины и принятия своевременных мер по лечению.
Не менее важным является и окружающая среда, в которой находится ребенок. Важно следить за уровнем влажности в детской комнате. Например, если влажность низкая, решить проблему будет гораздо сложнее. К специфическим причинам, характерным для маленьких детей, можно отнести состав слюны, содержащий элементы, способствующие поражению молочных зубов. Также стоит отметить, что зачатки зубов могут подвергаться негативному воздействию еще во время внутриутробного развития.
Тем не менее, независимо от множества причин, крайне важно следить за состоянием ротовой полости ребенка в любом возрасте, регулярно проходить осмотры у стоматолога и проводить гигиенические процедуры. Это поможет значительно снизить риск возникновения кариеса.
| Причина налета | Механизм образования | Способы избавления/профилактики |
|---|---|---|
| Недостаточная гигиена полости рта | Остатки пищи и бактерии образуют биопленку на поверхности зубов | Регулярная чистка зубов (2 раза в день), использование зубной нити, ополаскивателей |
| Употребление сладкой и крахмалистой пищи | Сахара являются питательной средой для бактерий, которые выделяют кислоты, разрушающие эмаль | Ограничение потребления сладкого, тщательная чистка зубов после еды |
| Курение | Никотин и смолы оседают на зубах, создавая благоприятную среду для бактерий и окрашивая эмаль | Отказ от курения, профессиональная чистка зубов |
| Употребление кофе, чая, красного вина | Пигменты, содержащиеся в этих напитках, оседают на поверхности зубов, способствуя образованию налета | Умеренное потребление, полоскание рта после употребления, профессиональная чистка |
| Сухость во рту (ксеростомия) | Недостаток слюны снижает естественное очищение зубов и нейтрализацию кислот | Употребление достаточного количества воды, использование увлажняющих средств для полости рта, стимуляция слюноотделения |
| Неправильный прикус или скученность зубов | Затрудняет эффективную чистку зубов, создавая труднодоступные места для скопления налета | Ортодонтическое лечение, тщательная гигиена с использованием специальных щеток и ершиков |
| Некоторые заболевания и медикаменты | Могут влиять на состав слюны или способствовать образованию налета | Консультация с врачом, коррекция гигиены полости рта |
| Отсутствие регулярных профессиональных чисток | Налет, особенно зубной камень, не удаляется обычной щеткой | Профессиональная гигиена полости рта у стоматолога (1-2 раза в год) |
Причины и факторы
Многих пациентов волнует вопрос, почему на зубах образуется налет, несмотря на регулярную гигиену полости рта. Специалисты утверждают, что появление налета связано с образом жизни, а также с предпочтениями в питании. К примеру, курение, употребление кофе, сигарет и ряда других продуктов, содержащих красители и компоненты, негативно сказываются на состоянии зубов. Это часто приводит к потере естественной белизны и привлекательности улыбки. Зубной камень формируется из-за пленки, в которой накапливаются красящие вещества. При этом, если в рационе отсутствуют твердые продукты, такие как овощи и фрукты, богатые клетчаткой, нарушается процесс естественного очищения зубов.
Различные факторы, такие как наличие заболеваний внутренних органов, работа в условиях вредного производства, употребление нездоровой пищи, курение и алкоголь, способствуют быстрому образованию зубного налета. У детей черный налет часто возникает из-за дисбактериоза кишечника, и избавиться от него можно только после лечения этого состояния. В настоящее время стоматологи выделяют множество причин, способствующих образованию налета.
К основным из них можно отнести следующие:
- Неправильная гигиена ротовой полости. Основной причиной считается недостаточная гигиена. Оптимальным вариантом является чистка зубов после каждого приема пищи, а также полоскание специальными растворами. Достаточно чистить зубы пастой дважды в день, чтобы предотвратить образование налета.
> Однако для этого важно правильно выбрать зубную щетку и пасту, а также уделять процедуре не менее пяти минут. Очищать зубы следует не только с внешней, но и с внутренней стороны. - Мягкая пища. Несбалансированное питание и потребление мягких продуктов не обеспечивают зубам естественное очищение, в отличие от твердых продуктов, таких как морковь, яблоки и огурцы. Эта проблема часто касается детей, у которых из-за этого образуется налет.
- Нарушение жевательной функции. Во время жевания активно работают обе челюсти, и если одна сторона не участвует в процессе, это приводит к быстрому образованию налета. Причинами могут быть кариозные зубы, серьезные нарушения прикуса или заболевания десен.
- Заболевания органов пищеварения и эндокринной системы. При таких заболеваниях часто нарушается баланс в организме.
- Использование некачественных гигиенических средств и зубных щеток.
https://youtube.com/watch?v=LF54q7FzZ5U
Характеристики по цвету
Чтобы выбрать подходящее лечение, важно понять, почему на зубах быстро образуется налет как с внутренней, так и с внешней стороны, а также какого он цвета и что это может означать.
Существует несколько типов налета, различающихся по цвету, что помогает определить основные причины его появления.
- Белый налет. Мягкий беловатый налет появляется практически у всех людей во время ночного сна или в течение дня. Он является наиболее распространенным по сравнению с другими видами. В его составе обычно находятся остатки пищи, частицы слизистой оболочки и вредные бактерии. Для его удаления достаточно соблюдать правильную гигиену полости рта с использованием зубной пасты. Если игнорировать эту проблему, в будущем может возникнуть зубной камень.
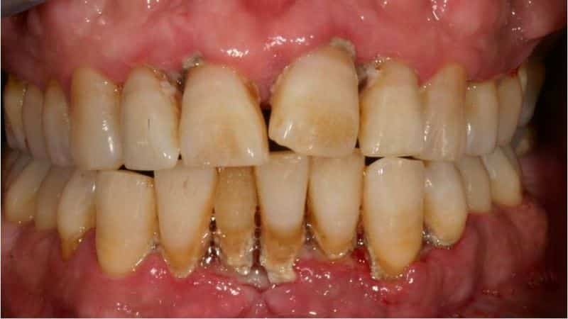
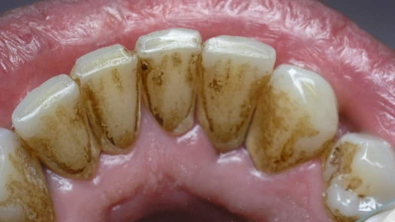
- Многие пациенты интересуются, как избавиться от коричневого налета на зубах. Этот тип налета чаще всего встречается у взрослых, страдающих от никотиновой зависимости или увлеченных такими напитками, как кофе и чай. Он содержит красящие вещества, которые присутствуют в сигаретах и напитках, и самостоятельно избавиться от него довольно сложно. Для этого потребуется профессиональная чистка, а также отказ от привычек, связанных с употреблением кофе и курением.
- Причины появления темного налета на зубах могут быть разнообразными. Например, у детей это может быть связано с нарушениями в работе органов пищеварения, глистными инвазиями (например, при энтеробиозе) или кандидозными заболеваниями. Удалить такой налет самостоятельно невозможно, поэтому необходимо комплексное лечение заболеваний. У взрослых черный налет может образовываться из-за наличия медных протезов или работы на вредном производстве.
- Черный налет часто поражает молочные зубы, что может быть связано с проблемами в желудке и кишечнике, дисбактериозом или глистами. Также его появление может быть следствием нарушенного обмена белков в организме. В процессе распада белков образуется железо, которое соединяется с определенными веществами, вызывая окрашивание зубов.
- Зеленоватый налет чаще всего наблюдается у детей. Причиной его появления могут быть кандидозные поражения в ротовой полости, которые выделяют хлорофилл – красящий пигмент. Если не устранить эту проблему, это может привести к воспалению десен, образованию камня и неприятному запаху изо рта. Для избавления от него необходимо обратиться к педиатру, который назначит соответствующее лечение. Также стоматолог сможет удалить налет с помощью современных инструментов, таких как лазер, ультразвук и механические методы.
Удаление
Если на зубах образовался налет, который невозможно удалить с помощью зубной щетки и гигиенических средств, необходимо обратиться к стоматологу. Применение домашних методов и народных рецептов в данном случае может оказаться неэффективным или лишь временно устранить проблему. Не зная точной причины, включая возможные заболевания внутренних органов, можно столкнуться с более серьезными последствиями. В первую очередь, это может привести к разрушению зубной эмали, а накопление бактерий станет источником инфекций для организма.
Эффективное удаление налета осуществляется в стоматологическом кабинете с использованием специального оборудования и инструментов.
Также важно не забывать о регулярной гигиене и проходить профилактический осмотр хотя бы раз в год.
В заключение, стоит подчеркнуть, что регулярная гигиена и профилактические процедуры в области ротовой полости помогут не только избежать появления зубного налета, но и предотвратить множество заболеваний полости рта.
https://youtube.com/watch?v=mXVngoTn23c
Профилактика налета на зубах
Профилактика налета на зубах является важным аспектом поддержания здоровья полости рта и предотвращения различных стоматологических заболеваний. Налет, представляющий собой мягкий бактериальный налет, образуется на зубах и может привести к образованию зубного камня, кариесу и воспалению десен, если не предпринимать меры по его устранению.
Одним из основных методов профилактики налета является регулярная и правильная гигиена полости рта. Рекомендуется чистить зубы дважды в день с использованием фторсодержащей зубной пасты. Чистка зубов должна длиться не менее двух минут, при этом необходимо уделять внимание всем участкам зубов, включая задние и труднодоступные места. Использование зубной нити также играет важную роль в удалении налета между зубами, где обычная щетка не может достать.
Кроме того, важно регулярно посещать стоматолога для профессиональной чистки зубов. Стоматолог может удалить зубной камень и налет, которые невозможно устранить в домашних условиях. Рекомендуется проходить такие процедуры не реже одного раза в шесть месяцев.
Правильное питание также способствует профилактике налета. Употребление продуктов, богатых клетчаткой, таких как фрукты и овощи, помогает естественным образом очищать зубы. Ограничение потребления сахара и кислых продуктов снижает риск образования налета, так как сахар является основным источником питания для бактерий, вызывающих его образование.
Использование ополаскивателей для рта может дополнить ежедневную гигиену. Они помогают уничтожить бактерии и освежить дыхание. Однако следует выбирать ополаскиватели, содержащие антисептические компоненты, которые эффективно борются с налетом.
Также стоит обратить внимание на привычки, которые могут способствовать образованию налета. Курение и употребление алкоголя негативно сказываются на здоровье зубов и десен, увеличивая риск образования налета. Отказ от этих привычек может значительно улучшить состояние полости рта.
В заключение, профилактика налета на зубах требует комплексного подхода, включающего регулярную гигиену, правильное питание и профессиональный уход. Соблюдение этих рекомендаций поможет сохранить здоровье зубов и десен на долгие годы.
Влияние питания на образование налета
Питание играет ключевую роль в образовании налета на зубах. Разнообразие продуктов, которые мы употребляем, может как способствовать, так и препятствовать образованию зубного налета. Основными факторами, влияющими на этот процесс, являются состав пищи, частота приема пищи и уровень гигиенических привычек.
Сахар и углеводы являются основными виновниками образования налета. Бактерии, обитающие в полости рта, питаются сахарами и углеводами, выделяя при этом кислоты, которые разрушают зубную эмаль и способствуют образованию налета. Продукты, содержащие высокий уровень сахара, такие как сладости, газированные напитки и выпечка, значительно увеличивают риск накопления налета. Кроме того, простые углеводы, такие как белый хлеб и макароны, также могут способствовать образованию налета, так как они быстро расщепляются до сахаров в ротовой полости.
С другой стороны, продукты, богатые клетчаткой, могут помочь в борьбе с налетом. Овощи и фрукты, такие как морковь, яблоки и сельдерей, способствуют естественному очищению зубов благодаря своей текстуре. Они стимулируют слюноотделение, что помогает нейтрализовать кислоты и удалять остатки пищи и бактерии с поверхности зубов.
Также стоит отметить, что кислые продукты, такие как цитрусовые и некоторые молочные продукты, могут временно ослаблять зубную эмаль, что делает зубы более уязвимыми к образованию налета. Поэтому важно соблюдать баланс в рационе и не злоупотреблять такими продуктами.
Частота приема пищи также имеет значение. Частые перекусы, особенно сладкие, могут привести к постоянному присутствию сахара в ротовой полости, что создает идеальные условия для размножения бактерий. Рекомендуется ограничить количество перекусов и стараться выбирать более здоровые варианты, такие как орехи или йогурт без добавленного сахара.
Наконец, важно помнить о гигиенических привычках. Даже если ваш рацион богат полезными продуктами, недостаточная гигиена полости рта может привести к образованию налета. Регулярная чистка зубов дважды в день и использование зубной нити помогут минимизировать риск образования налета, независимо от вашего питания.
Рекомендации по уходу за полостью рта
Уход за полостью рта играет ключевую роль в профилактике налета на зубах и поддержании общего здоровья зубов и десен. Правильная гигиена полости рта помогает предотвратить образование налета, который может привести к более серьезным стоматологическим проблемам, таким как кариес и заболевания десен. Ниже представлены основные рекомендации по уходу за полостью рта.
Чистка зубов
Чистка зубов должна проводиться не менее двух раз в день: утром и вечером. Используйте зубную щетку с мягкой щетиной и фторсодержащую зубную пасту. Чистите зубы не менее двух минут, уделяя внимание каждому участку рта. Не забывайте чистить не только зубы, но и язык, на котором также может скапливаться налет.
Использование зубной нити
Зубная нить помогает удалить налет и остатки пищи из межзубных пространств, где зубная щетка не может достать. Рекомендуется использовать зубную нить хотя бы один раз в день, чтобы предотвратить образование налета и кариеса в труднодоступных местах.
Полоскание рта
Полоскание рта антисептическими растворами или ополаскивателями может помочь в борьбе с бактериями, вызывающими налет. Выбирайте продукты, содержащие фтор и антибактериальные компоненты. Полоскание рта после чистки зубов может дополнительно освежить дыхание и уменьшить количество бактерий в полости рта.
Регулярные визиты к стоматологу
Регулярные осмотры у стоматолога (не реже одного раза в полгода) необходимы для профессиональной чистки зубов и выявления проблем на ранних стадиях. Стоматолог может удалить налет и зубной камень, которые невозможно удалить в домашних условиях, а также дать рекомендации по уходу за полостью рта, исходя из индивидуальных потребностей пациента.
Правильное питание
Сбалансированное питание также играет важную роль в здоровье зубов. Употребление продуктов, богатых кальцием и фосфором, таких как молочные продукты, рыба и орехи, способствует укреплению зубной эмали. Ограничьте потребление сахара и кислых продуктов, которые могут способствовать образованию налета и разрушению зубов.
Отказ от вредных привычек
Курение и чрезмерное употребление алкоголя негативно сказываются на здоровье полости рта. Эти привычки могут способствовать образованию налета, а также увеличивают риск заболеваний десен и рака полости рта. Отказ от вредных привычек поможет сохранить здоровье зубов и десен на долгие годы.
Следуя этим рекомендациям, вы сможете значительно снизить риск образования налета на зубах и поддерживать здоровье полости рта на высоком уровне. Помните, что профилактика всегда проще и дешевле, чем лечение!



