Стоматология предлагает множество решений для восстановления утраченных зубов, и имплантация с использованием имплантов Astra Tech занимает одно из ведущих мест благодаря надежности и долговечности. В этой статье рассмотрим преимущества имплантов Astra Tech, методы их установки и сроки приживления, а также важность высокой квалификации врачей стоматологии «Дмитрович и коллеги». Эти аспекты помогут вам сделать осознанный выбор и приблизиться к идеальной улыбке, которая будет радовать вас долгие годы.
Показания к установке дентальных имплантатов
Стоматологи советуют рассмотреть возможность установки имплантов в следующих ситуациях:
- Если отсутствует один или несколько зубов.
- При полной адентии.
- В случае снижения жевательной функции.
- Когда наблюдаются проблемы с дикцией или изменениями в пропорциях лица из-за отсутствия зубов.
- При наличии индивидуальной непереносимости материалов, используемых для создания съемных протезов.
- Если нет желания проводить депульпацию зубов для установки коронок или мостовидных конструкций.
Врачи отмечают, что зубные имплантаты Astra Tech являются одним из лучших решений для восстановления утраченных зубов. Эти имплантаты отличаются высокой надежностью и долговечностью, что делает их идеальным выбором для пациентов, стремящихся к долговременным результатам. Специалисты подчеркивают, что успех процедуры во многом зависит от квалификации врача. Высококвалифицированные стоматологи, работающие с имплантатами Astra Tech, обладают необходимыми знаниями и опытом, чтобы обеспечить индивидуальный подход к каждому пациенту. Они тщательно планируют каждую операцию, учитывая анатомические особенности и пожелания пациента. Благодаря этому, пациенты могут рассчитывать на идеальную улыбку, которая будет радовать их на протяжении многих лет. Врачи уверены, что сочетание современных технологий и профессионализма специалистов позволяет достичь выдающихся результатов в стоматологии.
https://youtube.com/watch?v=fpbR79R-uqM
Какие имплантационные системы могут быть установлены
В каталоге имплантов Astra Tech представлены следующие модели:
- Osseo Speed TX 3S — компактные импланты с диаметром 3 мм. Они предназначены для восстановления боковых резцов, которые не играют значительной роли в процессе пережевывания пищи. Также их используют при выраженной атрофии жевательных мышц и суставов.
- TX 5S — импланты среднего размера. Они подходят для замены резцов и клыков на верхней челюсти.
- TX 4S — предназначены для восстановления премоляров и боковых резцов на верхней челюсти.
- TX 4.5 — это крупные импланты, которые используются для восстановления клыков.
- TX 5 — большие конструкции с диаметром от 0,4 до 0,5 мм, предназначенные для восстановления моляров.
- TX 5 S — увеличенные импланты с одинаковым диаметром по всей длине, рекомендованы для реконструкции моляров.
TX Profile 5 — это серия имплантов для восстановления жевательной зоны, обладающая специальной скошенной шейкой. Они применяются при различных уровнях челюстной кости с язычной и щечной сторон. В линейке имеются модели с фиксированным диаметром и различными диапазонами по всей длине.
| Преимущество | Описание | Ваша выгода |
|---|---|---|
| Имплантаты Astra Tech | Высококачественные имплантаты от мирового лидера, доказавшие свою надежность и долговечность. | Гарантия стабильности и долговечности вашей новой улыбки. |
| Биосовместимость | Специальный материал и покрытие имплантатов Astra Tech обеспечивают быстрое и надежное приживление к костной ткани. | Минимальный риск отторжения и быстрое восстановление после процедуры. |
| Эстетика | Дизайн имплантатов Astra Tech позволяет добиться естественного вида зубов, идеально вписывающихся в ваш зубной ряд. | Красивая и естественная улыбка, неотличимая от натуральной. |
| Высокая квалификация врачей | Наши специалисты прошли специализированное обучение и имеют многолетний опыт работы с имплантатами Astra Tech. | Безопасность, точность и предсказуемость результата на каждом этапе лечения. |
| Индивидуальный подход | Разработка персонализированного плана лечения с учетом всех особенностей вашего организма и пожеланий. | Оптимальное решение для вашей уникальной ситуации, обеспечивающее максимальный комфорт и эффективность. |
| Современное оборудование | Использование передовых технологий и оборудования для диагностики и установки имплантатов. | Высокая точность установки, минимизация рисков и сокращение времени процедуры. |
| Долгосрочный результат | Сочетание качественных имплантатов и профессионализма врачей обеспечивает идеальную улыбку на долгие годы. | Уверенность в себе, улучшение качества жизни и отсутствие необходимости в частых коррекциях. |
| Комфорт и безболезненность | Применение современных методов анестезии и бережное отношение к пациенту. | Максимальный комфорт во время процедуры и отсутствие болевых ощущений. |
| Гарантия качества | Предоставление гарантии на имплантаты и выполненные работы. | Защита ваших инвестиций и уверенность в долговечности результата. |
Основные характеристики имплантатов Астра Тек
Ключевые характеристики продукции из серий «TX» и «TX Profile»:
- Микрорезьба Micro Thread на шейке импланта обеспечивает равномерное распределение жевательной нагрузки. Это способствует значительному замедлению процесса атрофии костной ткани на протяжении всего срока службы импланта.
- Поверхность Osseo Speed гарантирует высокую первоначальную стабильность и ускоряет процесс формирования костной ткани вокруг импланта. Данный эффект достигается благодаря пескоструйной обработке с использованием частиц диоксида титана, травлению плавиковой кислотой и нанесению ионов фтора на поверхность.
- Коническое соединение Conical Seal Design между имплантом и абатментом расположено ниже уровня поверхностного слоя челюсти. Это позволяет эффективно передавать жевательное давление на глубокие кортикальные слои и сохранять губчатую кость вокруг шейки импланта.
https://youtube.com/watch?v=JjJZ8JziN9M
Виды и сроки имплантации в клинике
Пациентам нашей клиники предлагаются различные методы имплантации: Экспресс-имплантация (в один визит), одномоментная (удаление зуба с немедленной установкой импланта), классическая двухэтапная (включающая титановый имплант, абатмент и коронку), а также лазерная (имплантация всего за 45 минут без необходимости в швах).
Давайте подробнее рассмотрим каждый из этих методов:
-
Классическая двухэтапная имплантация. Этот метод осуществляется в несколько этапов и требует повторных визитов в клинику. На первом этапе имплант устанавливается в челюстную кость и покрывается временной заглушкой. На втором этапе, после успешного приживления импланта, устанавливаются абатмент и искусственная коронка. Весь процесс лечения может занять от 3 до 6 месяцев.
-
Одномоментная или экспресс-имплантация. Основное преимущество этого метода заключается в том, что имплант и временная коронка устанавливаются за один визит, что особенно удобно при восстановлении фронтального отдела зубного ряда. Данная методика также может применяться сразу после удаления зуба.
Лазерная имплантация. Эта технология использует лазерный луч для рассечения слизистой оболочки при создании костного ложа. В отличие от традиционного скальпеля, лазер обеспечивает более щадящий разрез, что минимизирует кровотечение и ускоряет процесс заживления десны. Кроме того, лазер создает антисептический эффект и уничтожает микроорганизмы, что значительно снижает риск послеоперационных осложнений.
Особенности экспресс-имплантации
Основные преимущества одномоментной имплантации:
- возможность установки импланта сразу после удаления зуба, который не подлежит восстановлению;
- временное протезирование осуществляется немедленно или в течение первых 72 часов;
- низкая травматичность: имплант вводится в лунку после удаления зуба или через небольшой разрез в десне;
- срок службы импланта при экспресс-методе остается неизменным;
- возможность уменьшить количество визитов к врачу и снизить общие затраты на ортопедическое лечение.
Цена
Составляющие стоимости имплантации включают шесть ключевых элементов:
- цена импланта — 30%
- комплектующие (абатмент, формирователь, винт-заглушка, аттачмент и др.) — 20%
- анестезия — 5%
- рентгеновские снимки — 10%
- труд врача-имплантолога — 20%
- наценка клиники — 15%
Некоторые клиники могут значительно сократить расходы на пункты 2 и 3, используя неоригинальные протезы и недорогую анестезию. Это может привести к дискомфорту во время процедуры и ухудшению эстетического вида десен и зубных коронок.
Можно ли уменьшить затраты, сохранив при этом здоровье зубов и избегая осложнений? Практика показывает, что это возможно. Рекомендуется обратить внимание на акции клиник с отличной репутацией. Надежные учреждения оптимизируют расходы на зарплату врачей и минимизируют наценку, при этом никогда не рискуют здоровьем пациентов, используя поддельные абатменты ради небольшой выгоды!
Что важно сделать на этапе подготовки
Подготовительный этап включает в себя:
- сбор общего медицинского и стоматологического анамнеза;
- санацию полости рта и профессиональную чистку зубов;
- анализ особенностей прикуса и выбор имплант-системы;
- выполнение компьютерной томографии и ортопантомограммы;
- лабораторное исследование крови на наличие инфекционных заболеваний.
Как проходит операция по установке
Процесс классической имплантации включает следующие этапы:
- Проведение анестезии.
- Разрез слизистой оболочки.
- Создание костного ложа для импланта.
- Ввинчивание импланта в кость и установка заглушки.
- Возвращение слизистого лоскута на место и наложение швов.
Скорость приживления и послеоперационный период
Процесс, при котором имплант срастается с костной тканью челюсти, называется остеоинтеграцией.
В первые недели внутренняя часть импланта покрывается молодой трабекулярной костью, которая не способна выдерживать обычные жевательные нагрузки.
Зрелая ламеллярная кость начинает формироваться не ранее чем через 12 недель.
Полное приживление титанового корня занимает значительное время, и стоит отметить, что на нижней челюсти этот процесс происходит быстрее. Это связано с особенностями структуры кости — нижняя челюсть более плотная и массивная, поэтому остеоинтеграция занимает около 3-4 месяцев.
Верхнечелюстная кость относится к воздухоносным тканям и имеет более рыхлую структуру, что приводит к тому, что процесс приживления может занять до 6 месяцев.
Рекомендации пациентам после установки имплантов
Рекомендации после операции:
- Начинать прием пищи не ранее чем через 2-3 часа после вмешательства;
- Обеспечить щадящий режим для прооперированной области;
- Для снижения отечности прикладывать лед к месту операции;
- На период восстановления мягких тканей избегать острых, кислых и соленых блюд;
- Пища должна быть жидкой, твердые продукты временно исключить;
- После еды обязательно полоскать рот водой;
- Чистить зубы можно не ранее второго дня, избегая области швов;
- Обращать внимание на гигиену ротовой полости: чистить зубы дважды в день, использовать антисептические растворы для полоскания, а также ирригатор и флосс;
- Избегать перегрева и переохлаждения организма;
- Минимизировать физическую активность;
- Сморкаться, кашлять и чихать следует осторожно;
- Отказаться от алкоголя и курения.
Срок службы и гарантии
Компания ASTRA TECH Implant System предлагает пожизненную гарантию на свои импланты, при условии, что соблюдены все технологии установки и рекомендации по уходу за ними.
В случае, если титановый корень сломается не по вине пациента или будет признан дефектным, производитель осуществит его бесплатную замену.
Отзывы пациентов
Ольга Т.
Когда я приняла решение об установке имплантов на 6 и 7 зубы, у меня было много сомнений. Я переживала, что они могут не прижиться, поэтому решила выбрать самую надежную компанию из числа лучших производителей. В различных рейтингах выделялись такие бренды, как Штрауман, Нобель, Астра Тек, Альфа Био и Осстем. В итоге я остановила свой выбор на Астра из Швеции, так как эта страна славится своими инновациями в области имплантологии. Конечно, цена на эти импланты довольно высокая, но пожизненная гарантия делает ее оправданной. Установка имплантов заняла около 40 минут, боли я не испытывала, лишь в первые три дня дома десна немного побаливала. В настоящее время я нахожусь на этапе приживления, и меня ничего не беспокоит.
Николай Б.
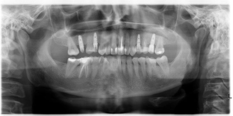
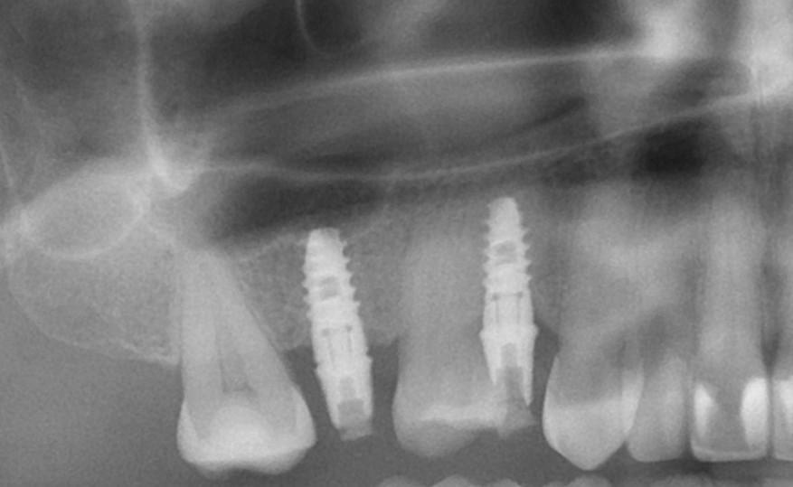
У меня дважды произошел отказ имплантов Alpha Bio, и второй раз установка была выполнена бесплатно. Возможно, дело было в неправильном размере или составе материала, но воспаление вокруг штифта начиналось сразу после установки. Я решил больше не связываться с этой клиникой и обратился в другую, более авторитетную. В первый день мне сделали панорамный снимок и порекомендовали установить импланты Astra Tech двухфазным методом. На этот раз все прошло успешно, и сейчас я готовлюсь к установке металлокерамической коронки.
Светлана Г.
У меня раскрошился 5 зуб, пломба из композита отпала, и врач сказал, что нужно удалить зуб из-за гнилого корня и провести имплантацию в тот же день. Он предложил три варианта: XiVE, MIS и Astra Tech, и я выбрала последний. Обычно я слышала, что у тех, кто ставил импланты, на следующий день лицо опухало и кровило. У меня же все прошло без проблем, и я вернулась на работу с отличным самочувствием. Кстати, имплант прижился тоже очень хорошо.
Видео
https://youtube.com/watch?v=xRH5LWg4PjY
Преимущества имплантатов Астра Тек по сравнению с другими системами
Имплантаты Astra Tech зарекомендовали себя как одни из самых надежных и эффективных решений в области стоматологии. Они отличаются высоким качеством материалов, инновационными технологиями и продуманным дизайном, что делает их предпочтительным выбором для многих пациентов и стоматологов.
Одним из основных преимуществ имплантатов Astra Tech является их уникальная система поверхности. Имплантаты имеют специальное покрытие, которое способствует быстрому и надежному остеоинтеграции – процессу слияния имплантата с костной тканью. Это обеспечивает стабильность и долговечность конструкции, что особенно важно для пациентов, стремящихся к долговременному результату.
Кроме того, имплантаты Astra Tech обладают высокой биосовместимостью, что минимизирует риск отторжения и аллергических реакций. Это достигается благодаря использованию титана и других материалов, которые хорошо воспринимаются организмом. В результате пациенты могут быть уверены в безопасности и эффективности лечения.
Еще одним важным аспектом является разнообразие моделей и размеров имплантатов Astra Tech, что позволяет стоматологам подбирать оптимальное решение для каждого конкретного случая. Это особенно актуально для пациентов с различными анатомическими особенностями челюсти, где требуется индивидуальный подход. Имплантаты доступны в различных диаметрах и длинах, что обеспечивает возможность их установки даже в сложных клинических ситуациях.
Имплантаты Astra Tech также отличаются высокой прочностью и устойчивостью к нагрузкам. Это позволяет им выдерживать значительные механические нагрузки, что особенно важно для жевательных зубов. Благодаря этому пациенты могут не ограничивать себя в выборе пищи и наслаждаться полноценной жизнью без страха о возможных проблемах с имплантатами.
Нельзя не упомянуть и о поддержке, которую предоставляет компания Astra Tech своим партнерам и стоматологам. Производитель предлагает обширные обучающие программы и ресурсы, что позволяет врачам постоянно повышать свою квалификацию и быть в курсе последних достижений в области имплантологии. Это, в свою очередь, гарантирует пациентам высококачественное лечение и профессиональный подход.
В заключение, имплантаты Astra Tech представляют собой идеальное сочетание качества, надежности и инновационных технологий. Их преимущества делают их отличным выбором для тех, кто хочет восстановить свою улыбку и уверенность в себе на долгие годы. Высокая квалификация наших врачей в сочетании с передовыми решениями Astra Tech обеспечивает нашим пациентам максимальный комфорт и удовлетворение от результата лечения.
Квалификация и опыт врачей: как это влияет на результат
Квалификация и опыт врачей играют ключевую роль в успешности установки зубных имплантатов. Важно понимать, что даже самые современные и качественные имплантаты, такие как Астра Тек, требуют высокой степени мастерства и знаний от стоматолога, чтобы обеспечить долговечность и функциональность результата.
Во-первых, квалифицированные врачи обладают глубокими знаниями анатомии челюстно-лицевой области, что позволяет им точно оценить состояние пациента и выбрать оптимальную стратегию лечения. Они знают, как правильно подготовить челюсть к установке имплантата, учитывая такие факторы, как плотность костной ткани, наличие воспалительных процессов и другие индивидуальные особенности.
Во-вторых, опытные стоматологи имеют навыки работы с различными технологиями и методиками, что позволяет им адаптировать подход к каждому пациенту. Например, в некоторых случаях может потребоваться предварительная подготовка, такая как синус-лифтинг или наращивание костной ткани, чтобы создать подходящие условия для установки имплантата. Врачи, обладающие достаточным опытом, смогут провести эти процедуры с минимальными рисками и максимальной эффективностью.
Кроме того, квалификация врачей включает в себя знание современных технологий и материалов. Имплантаты Астра Тек известны своей надежностью и долговечностью, но только опытный специалист сможет правильно выбрать тип имплантата, учитывая индивидуальные потребности пациента. Например, для пациентов с ограниченной костной тканью могут быть рекомендованы имплантаты с уникальным дизайном, которые обеспечивают лучшую остеоинтеграцию.
Не менее важным аспектом является постоперационное наблюдение и уход за пациентом. Высококвалифицированные врачи понимают, что успешная установка имплантата — это только начало. Они предоставляют пациентам полную информацию о том, как ухаживать за имплантатами, какие меры предосторожности соблюдать и когда необходимо приходить на контрольные осмотры. Это помогает избежать возможных осложнений и гарантирует долгосрочный успех лечения.
Таким образом, выбор врача с высокой квалификацией и опытом — это один из самых важных шагов на пути к идеальной улыбке. Сотрудничество с профессионалами, которые используют имплантаты Астра Тек, обеспечит вам уверенность в результате и позволит наслаждаться красивой улыбкой на долгие годы.
Современные технологии и методы в имплантологии
Имплантология – это быстро развивающаяся область стоматологии, которая предлагает пациентам эффективные решения для восстановления утраченных зубов. Одним из ведущих производителей зубных имплантатов является компания Astra Tech, которая зарекомендовала себя на рынке благодаря высокому качеству своей продукции и инновационным технологиям. Имплантаты Astra Tech отличаются высокой биосовместимостью, что обеспечивает надежную интеграцию с костной тканью и долгосрочную стабильность.
Современные зубные имплантаты Astra Tech изготавливаются из титана, который является идеальным материалом для имплантации благодаря своей прочности и устойчивости к коррозии. Кроме того, поверхность имплантатов обработана специальными технологиями, что способствует лучшему приживлению и ускоряет процесс остеоинтеграции – слияния имплантата с костной тканью.
Важным аспектом успешной имплантации является использование современных методов диагностики и планирования лечения. В нашей клинике мы применяем 3D-томографию, которая позволяет получить детальное изображение челюстной кости и точно оценить ее состояние. Это помогает нашим врачам разработать индивидуальный план лечения, учитывающий анатомические особенности пациента и оптимальные параметры имплантации.
Кроме того, мы используем компьютерное моделирование, которое позволяет заранее увидеть, как будет выглядеть улыбка пациента после установки имплантатов. Это не только повышает уровень доверия между врачом и пациентом, но и позволяет избежать возможных ошибок в процессе лечения.
Квалификация наших врачей играет ключевую роль в успешности имплантации. Все специалисты нашей клиники имеют высокую квалификацию и многолетний опыт работы в области имплантологии. Они регулярно проходят обучение и повышают свою квалификацию, осваивая новые технологии и методы, что позволяет нам предлагать нашим пациентам самые современные решения.
В процессе имплантации наши врачи используют минимально инвазивные методы, что значительно сокращает время восстановления и снижает риск осложнений. Мы также уделяем особое внимание послеоперационному наблюдению, чтобы гарантировать, что процесс заживления проходит без осложнений и наилучшим образом.
Таким образом, сочетание высококачественных имплантатов Astra Tech и высокой квалификации наших врачей обеспечивает надежное и долговечное решение для восстановления вашей улыбки. Мы уверены, что с нами вы сможете наслаждаться идеальной улыбкой на протяжении многих лет.







