Наросты на десне вызывают беспокойство у детей и взрослых, так как могут указывать на различные заболевания полости рта. В статье рассмотрим основные виды наростов, их причины, методы диагностики и лечения. Понимание наростов на десне поможет своевременно обратиться к стоматологу и избежать осложнений. Обсудим также возможность самостоятельного удаления нароста и меры предосторожности.
Причины
Необходимо лечить появившийся нарост. Гнойно-воспалительные процессы, происходящие в нем, могут распространиться на всю ротовую полость, а затем и на весь организм, вызывая заболевания других органов и систем. Сам нарост при прикосновении часто вызывает дискомфорт и болезненные ощущения.
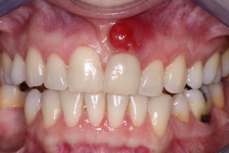
Основной причиной появления нароста на десне (см. фото) является попадание гнилостных бактерий в мягкие ткани. Существует множество факторов, способствующих образованию наростов, но можно выделить основные из них:
- недостаточная гигиена полости рта, приводящая к размножению патогенных микроорганизмов;
- врожденные или приобретенные аномалии зубного ряда;
- механические и химические повреждения челюстных тканей;
- курение и чрезмерное употребление алкоголя.
Также нарост на десневых тканях может возникнуть после удаления зуба. Это может быть связано как с некачественной работой стоматолога, так и с плохой пломбировкой корневых каналов, что в дальнейшем может привести к образованию гнойных свищей в десне. Важно отметить, что самостоятельное удаление нароста строго запрещено.
Если нарост представляет собой гнойную кисту, то он обычно сопровождается отеком и общим ухудшением состояния здоровья. В случае развития экзостоза – образования из костной ткани, его наличие на ранних стадиях определить довольно сложно, так как он не вызывает болезненных ощущений и может быть лишь нащупан языком.
Врачи отмечают, что нарост на десне может быть признаком различных стоматологических заболеваний. Чаще всего такие образования возникают из-за воспалительных процессов, таких как гингивит или периодонтит. Специалисты подчеркивают, что игнорировать подобные симптомы не стоит, так как они могут привести к более серьезным проблемам, включая потерю зубов. Важно своевременно обратиться к стоматологу для диагностики и лечения. В некоторых случаях нарост может быть доброкачественным, но в других — требовать более тщательного обследования, чтобы исключить онкологические заболевания. Регулярные профилактические осмотры помогут избежать осложнений и сохранить здоровье полости рта.
https://youtube.com/watch?v=qRKNKe00LGk
Симптомы и лечение
Появление различных образований на дёснах обычно не вызывает дискомфорта на начальных стадиях. Проблемы начинаются, когда нарост начинает причинять боль при прикосновении.
Существует несколько симптомов, которые могут сопровождать появление нароста на десне:
- увеличиваются лимфатические узлы, особенно подчелюстные;
- вокруг нароста наблюдается отёк, слизистая оболочка становится красной;
- может возникнуть интоксикация организма, проявляющаяся в виде недомогания, повышения температуры, головной боли;
- нарост начинает болеть, особенно ночью.
Если у взрослого или ребёнка на десне появился белый нарост, необходимо незамедлительно обратиться к стоматологу. Врач проведёт тщательный осмотр и, скорее всего, направит на рентгенографию.
Снимок поможет определить, насколько сильно поражена десневая ткань и какой характер имеет новообразование – гнойная киста или экзостоз.
После установления точного диагноза стоматолог предложит варианты лечения десны. Ранее для удаления нароста требовалось удаление зуба, чтобы получить доступ к образованию.
Современные стоматологические технологии позволяют в большинстве случаев избежать удаления зуба при лечении таких новообразований.
Сначала проводится медикаментозная терапия с использованием антибиотиков, что помогает остановить воспалительный процесс. Затем поражённый участок обрабатывается противобактериальными и антисептическими средствами.
Если рядом с наростом находится зуб с кариесом, то нервы и пульпа в поражённой десне удаляются, а корневые каналы запечатываются. Удаляются повреждённые ткани, а образовавшиеся пустоты заполняются специальным стоматологическим материалом.
Перед операцией можно облегчить болезненные ощущения с помощью средств «народной» медицины. С согласия врача, полость рта можно обрабатывать растворами из различных лекарственных растений, таких как шалфей, ромашка, календула, донник, одуванчик, тысячелистник и другие.
Если образованием на десне является экзостоз, без хирургического вмешательства не обойтись. Операция проводится под местной анестезией. Выполняется резекция десны, после чего костное образование уменьшается до нужного уровня, и мягкие ткани пришиваются обратно.
Как правило, такая процедура требует тщательной предварительной диагностики.
Операция занимает от 2 до 3 часов, а при использовании медицинского лазера – менее часа. Полное восстановление организма занимает от 2 недель до месяца. В течение этого времени травмы, полученные во время операции, полностью заживают, а воспаление проходит.
Врач может назначить антибиотики для предотвращения рецидива заболевания.
https://youtube.com/watch?v=VMlaWJzgbtk
| Тип нароста на десне | Возможные причины | Рекомендуемые действия |
|---|---|---|
| Фиброма | Хроническое раздражение (например, от острых краев зубов, плохо подогнанных протезов, привычки кусать щеку) | Обращение к стоматологу для диагностики и удаления. Устранение источника раздражения. |
| Эпулис (гранулема беременных) | Гормональные изменения (беременность), хроническое воспаление, травма | Обращение к стоматологу. Часто проходит после родов. Может потребоваться удаление. |
| Папиллома | Вирус папилломы человека (ВПЧ) | Обращение к стоматологу для диагностики и удаления. |
| Киста | Инфекция, травма, нарушение развития зуба | Обращение к стоматологу для диагностики (рентген) и лечения (удаление кисты). |
| Абсцесс | Бактериальная инфекция (например, при пародонтите, кариесе) | Срочное обращение к стоматологу. Лечение включает дренирование абсцесса, антибиотики. |
| Злокачественное новообразование | Курение, употребление алкоголя, ВПЧ, генетическая предрасположенность | Срочное обращение к онкологу/стоматологу-онкологу для биопсии и лечения. |
| Гиперплазия десны | Прием некоторых лекарств (например, фенитоин, циклоспорин, нифедипин), плохая гигиена полости рта | Консультация с врачом по поводу замены лекарства. Улучшение гигиены. Может потребоваться хирургическое удаление. |
Диагностика
Нароста на десне начинается с тщательного сбора анамнеза и клинического обследования пациента. Врач-стоматолог должен выяснить, когда именно появился нарост, каковы его размеры, форма и цвет, а также наличие сопутствующих симптомов, таких как боль, кровоточивость, отек или неприятный запах изо рта.
На первичном осмотре врач обращает внимание на состояние десен, зубов и окружающих тканей. Важно провести визуальную оценку нароста: он может быть гладким или шероховатым, мягким или твердым, подвижным или фиксированным. Эти характеристики могут дать важные подсказки о природе образования.
Для более точной диагностики могут быть назначены дополнительные исследования. Рентгенография позволяет оценить состояние костной ткани и выявить возможные изменения, связанные с зубами или корнями. В некоторых случаях может потребоваться биопсия нароста, особенно если есть подозрение на злокачественное образование. Биопсия позволяет получить образец ткани для гистологического исследования, что помогает установить точный диагноз.
Кроме того, стоматолог может направить пациента на консультацию к другим специалистам, таким как онколог или инфекционист, если есть подозрения на системные заболевания или инфекционные процессы. Лабораторные анализы, такие как общий анализ крови или анализ на инфекции, также могут быть полезны для диагностики.
Важно помнить, что ранняя диагностика нароста на десне играет ключевую роль в успешном лечении. Поэтому при появлении любых изменений в полости рта, особенно если они сопровождаются дискомфортом, необходимо незамедлительно обратиться к стоматологу.
https://youtube.com/watch?v=k1eSXGV4SdM
Профилактика
Наросты на деснах являются важной частью поддержания здоровья полости рта. Существует несколько ключевых аспектов, которые помогут снизить риск возникновения данной проблемы.
1. Регулярная гигиена полости рта: Основным способом наростов на деснах является тщательная гигиена полости рта. Рекомендуется чистить зубы дважды в день с использованием фторсодержащей зубной пасты. Не менее важным является использование зубной нити или межзубных щеток для удаления остатков пищи и налета из труднодоступных мест.
2. Профессиональная чистка зубов: Регулярные визиты к стоматологу для профессиональной чистки зубов помогут удалить зубной камень и налет, которые могут способствовать образованию наростов. Рекомендуется проходить такую процедуру не реже двух раз в год.
3. Правильное питание: Сбалансированное питание, богатое витаминами и минералами, способствует укреплению десен. Включение в рацион свежих фруктов и овощей, а также продуктов, содержащих кальций и витамин D, поможет поддерживать здоровье зубов и десен.
4. Избегание вредных привычек: Курение и чрезмерное употребление алкоголя негативно сказываются на состоянии десен. Отказ от этих привычек поможет снизить риск возникновения воспалительных процессов и наростов.
5. Контроль хронических заболеваний: Некоторые заболевания, такие как диабет, могут увеличивать риск проблем с деснами. Важно контролировать свое здоровье и следовать рекомендациям врачей для предотвращения осложнений.
6. Использование антисептических средств: Применение антисептических ополаскивателей для рта может помочь в борьбе с бактериями, которые вызывают воспаление десен. Однако следует выбирать средства, рекомендованные стоматологом, чтобы избежать негативных последствий.
Следуя этим рекомендациям, можно значительно снизить риск возникновения наростов на деснах и сохранить здоровье полости рта на долгие годы.
Когда обращаться к врачу
Обнаружение нароста на десне может вызывать беспокойство и страх, однако важно понимать, что не все наросты являются признаком серьезного заболевания. Тем не менее, в некоторых случаях обращение к врачу является необходимым шагом для предотвращения осложнений и получения правильного диагноза.
Если вы заметили нарост на десне, рекомендуется обратиться к стоматологу в следующих ситуациях:
- Боль и дискомфорт: Если нарост сопровождается болевыми ощущениями, это может указывать на воспалительный процесс или инфекцию. Боль может быть постоянной или возникать при жевании, что требует немедленного внимания специалиста.
- Изменение цвета и размера: Если нарост меняет цвет (например, становится красным или белым) или увеличивается в размере, это может быть признаком более серьезной проблемы, такой как опухоль или киста.
- Кровоточивость: Если нарост на десне кровоточит, особенно без видимой причины, это может указывать на наличие инфекции или другого заболевания, требующего диагностики и лечения.
- Нарушение функции: Если нарост мешает нормальному жеванию, глотанию или вызывает затруднения при разговоре, это также является сигналом для обращения к врачу.
- Длительное существование: Если нарост сохраняется более двух недель без изменений, это является основанием для консультации с врачом. Долговременные образования могут требовать дополнительного обследования для исключения злокачественных процессов.
- Сопутствующие симптомы: Если нарост на десне сопровождается другими симптомами, такими как лихорадка, общее недомогание или увеличение лимфатических узлов, это может указывать на системное заболевание, требующее немедленного вмешательства.
Обращение к стоматологу поможет установить точный диагноз и определить необходимое лечение. Врач может провести визуальный осмотр, назначить рентгенографию или другие диагностические процедуры для выявления причины нароста. В зависимости от диагноза, лечение может варьироваться от наблюдения и гигиенических процедур до хирургического вмешательства.
Важно помнить, что ранняя диагностика и лечение могут значительно повысить шансы на успешное выздоровление и предотвратить развитие серьезных осложнений. Поэтому не стоит откладывать визит к врачу при обнаружении нароста на десне.

