Клиновидный дефект зубов — распространенная стоматологическая проблема, способная вызвать серьезные последствия для здоровья полости рта. В статье рассмотрим основные причины, симптомы и современные методы лечения этого дефекта. Понимание клиновидного дефекта и его профилактика помогут сохранить здоровье зубов и избежать осложнений. Информация будет полезна как пациентам, так и стоматологам, желающим повысить свою осведомленность о данной проблеме.
Описание заболевания и основная симптоматика
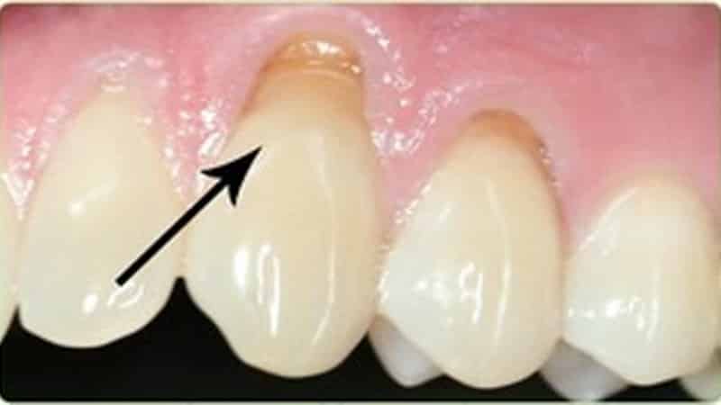
Клиновидный дефект представляет собой некариозное повреждение твердых тканей зуба, при этом такие образования имеют характерную клиновидную форму и располагаются в области шейки зуба.
Чаще всего данный дефект наблюдается на передних зубах, клыках и премолярах. Внешне он напоминает уступы или наросты в виде клина, которые не изменяют своего цвета, за исключением случаев глубокого поражения эмали.
Размеры этих уступов могут варьироваться от спичечной головки до всей коронковой части зуба.
Данная проблема чаще встречается у людей среднего и пожилого возраста, однако может проявляться и у детей, особенно при отсутствии должной гигиены полости рта.
Что касается симптомов, то на начальной стадии заболевание практически не заметно визуально или проявляется слабо. Пациенты могут ощущать повышенную чувствительность эмали к температурным и вкусовым раздражителям, а также к механическим воздействиям (например, жесткая щетка, кусание ручки или употребление твердой пищи).
С течением времени в области шейки зуба появляются неглубокие щели, которые постепенно принимают клиновидную форму. Обычно эти щели располагаются симметрично на зубах одной челюсти, в то время как случаи единичных поражений встречаются крайне редко.
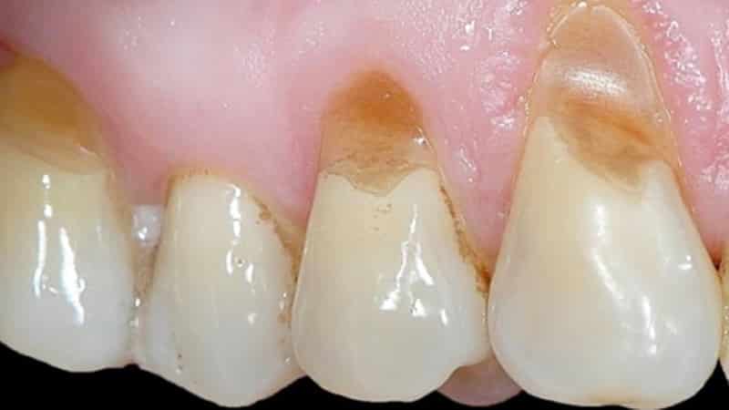
После второй стадии заболевания (глубина щели около 0,1 мм) наступает третья, когда дефект увеличивается до значительных размеров — 3,5 мм и более. В этот период шейка зуба становится очень чувствительной к раздражителям, пациенты испытывают дискомфорт при приеме пищи и периодическую резкую боль в этой области. Визуально эмаль выглядит неэстетично, ее оттенок может частично изменяться. Также процесс чистки зубов становится неприятным.
Возможно развитие сопутствующих стоматологических заболеваний, таких как кариес, гингивит, пульпит и другие.
На следующей стадии происходит увеличение уступов до 0,5 см, при этом поражение затрагивает и мягкие ткани зуба (дентин). В некоторых случаях патология может распространиться на полость пульпы, что без своевременного лечения может привести к отколу коронковой части зуба. Однако даже в таких ситуациях заместительный дентин может предотвратить вскрытие камеры пульпы, что оставляет возможность для реставрации зуба.
Клиновидный дефект зубов является распространенной проблемой, с которой сталкиваются стоматологи. Врачи отмечают, что этот дефект чаще всего возникает в области шейки зуба и может быть вызван различными факторами, включая неправильную гигиену полости рта, агрессивное чистку зубов и воздействие кислотной пищи. Специалисты подчеркивают важность ранней диагностики, так как запущенные случаи могут привести к более серьезным осложнениям, таким как кариес или даже потеря зуба. Врачи рекомендуют регулярные профилактические осмотры и использование специализированных средств для ухода за зубами, чтобы минимизировать риск возникновения клиновидных дефектов. Кроме того, важно обучать пациентов правильной технике чистки зубов, чтобы предотвратить повреждение эмали и десен.
https://youtube.com/watch?v=NWdbSqVNA4U
Почему же возникает указанная патология
Как уже упоминалось, дефекты зубов часто возникают из-за недостаточной гигиены полости рта.
Если пациент на протяжении длительного времени неправильно чистит зубы (например, двигает щеткой горизонтально, не уделяет внимания межзубным пространствам и задним поверхностям зубов мудрости), то микроскопические щели со временем становятся заметными и продолжают увеличиваться с каждым месяцем. Кроме того, использование кислых продуктов сразу после еды (особенно ягод, цитрусовых и вина) также усугубляет ситуацию. Дело в том, что кислоты, содержащиеся в этих продуктах, разрушают тонкий слой кальция на эмали, и, следовательно, при чистке зубов удаляются верхние слои, что приводит к повышенной чувствительности и образованию микротрещин.
Микробный налет и зубной камень, которые не удаляются таким образом, также способствуют деминерализации эмали. Кариозные и другие бактерии начинают активно размножаться, выделяя органические кислоты и ферменты, которые разрушают кальций.
Существуют и другие факторы, способствующие образованию клиновидных дефектов зубов.
-
Наличие сопутствующих стоматологических заболеваний
(пародонтит, пародонтоз, кариес, гингивит, пульпит и т.д.). В период этих заболеваний количество микробного налета и камней значительно увеличивается, что усиливает разрушительное воздействие кислот на кальциевый слой. Кроме того, воспаленные мягкие ткани выделяют большое количество патологической десневой жидкости, содержащей вещества, способствующие растворению кальция.
Чем слабее становится эмаль, тем глубже проникают щели в твердые слои зуба, превращаясь в клиновидные уступы.
- Стоматологические проблемы. Опущение или поднятие десны может привести к обнажению чувствительной шейки зуба, что создает условия для образования микроскопических трещин.
- Другие системные заболевания. Заболевания эндокринной и пищеварительной систем (например, изжога) могут изменять состав слюны и ослаблять эмаль. Некоторые исследования указывают на связь клиновидных дефектов с психосоматическими расстройствами (депрессия, нервозность, шизофрения, эпилепсия и т.д.).
- Механическое воздействие на зубы. Чрезмерные нагрузки могут истончать эмаль, приводя к ее стиранию и преждевременному износу. Это может быть связано с неправильным выбором зубной щетки (слишком жесткая щетина) или нарушением прикуса, когда зубы соприкасаются в неестественном положении. Наличие некоторых видов имплантов и протезов также может привести к неравномерному распределению жевательной нагрузки, изнашивая одни зубы больше, чем другие. Кроме того, привычка пациента пережевывать пищу одной стороной также может усугубить ситуацию.
| Причина возникновения | Симптомы | Методы лечения |
|---|---|---|
| Неправильный прикус | Повышенная чувствительность зубов к холодному, горячему, сладкому | Коррекция прикуса (ортодонтическое лечение) |
| Чрезмерная нагрузка на зубы (бруксизм, неправильная техника чистки) | Визуально заметные клиновидные углубления у десны | Пломбирование дефекта композитными материалами |
| Дефицит витаминов и минералов | Боль при чистке зубов | Реминерализирующая терапия (фторирование, кальцинирование) |
| Заболевания пародонта | Эстетический дефект | Использование десенсибилизирующих паст и гелей |
| Гастроэзофагеальный рефлюкс (ГЭРБ) | Откалывание эмали в области дефекта | Изменение техники чистки зубов |
| Неправильное расположение зубов | Оголение шейки зуба | Устранение причины (лечение ГЭРБ) |
Лечение дефекта на первых двух стадиях
Лечение этого заболевания будет варьироваться в зависимости от степени выраженности уступов или трещин. Такие широко применяемые методы, как реминерализация и фторирование эмали, окажут свою эффективность лишь на первых двух стадиях болезни, когда разрушение еще не затронуло дентин и, тем более, пульпу.
- Реминерализация. Во время процедуры стоматолог наносит на зубы специальные препараты с высоким содержанием кальция. Этот элемент заполняет образовавшиеся микротрещины, полностью восстанавливая эмаль и устраняя патологические изменения.
- Фторирование. Это еще одна процедура, направленная на укрепление зубной эмали. Врач использует фторсодержащие средства, которые повышают устойчивость эмали к механическим повреждениям, естественным нагрузкам и воздействию органических кислот.
Существует специализированный курс, который включает покрытие зубов составами, содержащими кальций и фтор. В этом случае гидроокись кальция «запечатывает» микротрещины на эмали, а фтор усиливает ее защитные свойства от внешних факторов. Обычно для устранения клиновидного дефекта зубов достаточно провести всего несколько процедур.
К сожалению, эти методы будут иметь лишь временный эффект, если стоматолог совместно с пациентом не выявит истинные причины появления уступов и трещин. Если проблема связана с неправильной гигиеной полости рта, рационом, сопутствующими заболеваниями или прикусом, то недуг может возвращаться вновь, каждый раз углубляя повреждения тканей.
Также полезно регулярно поддерживать здоровье эмали с помощью профессиональных фторсодержащих паст и ополаскивателей.
https://youtube.com/watch?v=DOkIrggwqtw
Лечение дефекта на последних стадиях
Третья и четвертая стадии заболевания проявляются образованием глубоких трещин и щелей в эмали, которые могут затрагивать мягкие ткани дентина и даже пульпу зуба. В таких случаях простое «заделывание» трещин не принесет результата, так как повреждение будет продолжать углубляться внутри зуба.
Наилучшим решением является пломбирование зубов без удаления некротических тканей (поскольку поражение не связано с кариесом). Однако, пломбировать такие дефекты довольно сложно, так как композитные материалы часто выталкиваются из щелей, выпадают и требуют регулярной замены. Как же избежать потери пломбы и дальнейшего углубления повреждения?
В первую очередь, стоматолог с помощью бормашины создает поднутрения на поверхности зуба, что способствует лучшему удержанию пломбы.
Затем врач тщательно изолирует эмаль от влаги (слюны пациента, дыхания и т.д.).
Также рекомендуется использовать специальные композитные материалы с повышенной упругостью: жидкие составы, которые вводятся в полость щели с помощью шприца и затвердевают под воздействием полимеризационной лампы. Только в этом случае пломба сможет сохранить свою форму под воздействием повышенных механических нагрузок.
Профилактика возникновения клиновидного дефекта зубов
Чтобы избежать длительного и частого лечения, стоит придерживаться нескольких простых рекомендаций.
- Регулярно проходите профессиональную чистку зубов от налета и камня в стоматологическом кабинете. Достаточно делать это раз в 6-12 месяцев, чтобы поддерживать труднодоступные участки в чистоте, что поможет сохранить эмаль здоровой и белоснежной.
- Проконсультируйтесь с вашим стоматологом о том, как правильно выбрать зубную щетку и какие движения выполнять при чистке. Также не забудьте приобрести качественную фторсодержащую пасту и межзубной ершик для тщательной очистки труднодоступных мест.
- Периодически проводите фторирование эмали.
- Полощите рот водой после каждого приема пищи. Это особенно важно после употребления кислых овощей и фруктов, алкогольных напитков и табака.
> Если у вас есть предрасположенность к образованию клиновидных дефектов, вам придется на протяжении всей жизни ограничивать себя в потреблении кислых продуктов. - Поддерживайте здоровье эмали, принимая глицерофосфат кальция по полграмма трижды в день.
- Установите брекеты или пластинки для коррекции неправильного прикуса. Рассмотрите возможность использования современных протезов или имплантов, которые обеспечивают равномерное распределение жевательной нагрузки по всей челюсти.
- Не забывайте своевременно лечить стоматологические и системные заболевания.
Состояние эмали является важным показателем здоровья зуба в целом. Чем крепче, белее и целостнее поверхность эмали, тем выше ее устойчивость к внешним воздействиям и патогенной микрофлоре. Помните, что правильный уход за эмалью должен быть ежедневным, и не забывайте периодически восполнять недостающие микроэлементы.
https://youtube.com/watch?v=M-GJTwi9CoI
Диагностика клиновидного дефекта зубов
Представляет собой важный этап в выявлении и лечении этого распространенного стоматологического заболевания. Клиновидный дефект, также известный как клиновидный дефект эмали, характеризуется образованием углублений или выемок на поверхности зуба, чаще всего в области шейки зуба. Эти изменения могут быть вызваны различными факторами, включая механическое воздействие, неправильную гигиену полости рта и химическое воздействие.
Первым шагом в диагностике является визуальный осмотр зубов стоматологом. Специалист обращает внимание на наличие характерных признаков, таких как:
- Углубления или выемки на поверхности зуба, особенно в области шейки;
- Изменение цвета эмали, которое может указывать на ее истончение;
- Чувствительность зубов к температурным раздражителям (горячему или холодному);
- Наличие трещин или сколов на зубах.
Для более точной диагностики могут быть использованы дополнительные методы исследования. Одним из таких методов является рентгенография, которая позволяет оценить состояние зубных тканей и выявить возможные изменения, которые не видны при визуальном осмотре. Рентгеновские снимки помогают определить степень разрушения зуба и наличие сопутствующих заболеваний, таких как кариес или пародонтит.
Кроме того, стоматолог может провести тесты на чувствительность зубов, чтобы оценить степень повреждения и определить, требуется ли дальнейшее лечение. В некоторых случаях может быть рекомендовано использование специальных диагностических инструментов, таких как зонд для оценки глубины дефекта.
Важно отметить, что ранняя диагностика позволяет предотвратить дальнейшее разрушение зуба и развитие более серьезных стоматологических заболеваний. Поэтому регулярные профилактические осмотры у стоматолога играют ключевую роль в поддержании здоровья зубов и десен.
Влияние клиновидного дефекта на общее здоровье
Клиновидный дефект зубов, представляющий собой углубление или выемку в области шейки зуба, может оказывать значительное влияние не только на стоматологическое здоровье, но и на общее состояние организма. Этот дефект часто возникает в результате сочетания факторов, таких как неправильная гигиена полости рта, механическое воздействие, а также кислотное воздействие из пищи и напитков.
Первоначально клиновидный дефект может проявляться лишь как косметическая проблема, однако со временем он может привести к более серьезным последствиям. Например, если дефект не лечить, это может привести к повышенной чувствительности зубов, что затрудняет употребление горячей или холодной пищи и напитков. Чувствительность может стать настолько выраженной, что даже простое прикосновение к зубам может вызывать дискомфорт.
Кроме того, наличие клиновидного дефекта может способствовать развитию кариеса. Углубление в зубе создает идеальные условия для накопления бактерий и остатков пищи, что увеличивает риск возникновения кариозных процессов. Это, в свою очередь, может привести к необходимости более сложного и дорогостоящего лечения, включая пломбирование или даже удаление зуба.
Также стоит отметить, что клиновидные дефекты могут влиять на прикус и жевательную функцию. Изменение формы зуба может привести к неправильному распределению нагрузки на зубы при жевании, что может вызвать их преждевременное изнашивание и даже привести к проблемам с суставами челюсти. Это может вызвать головные боли, дискомфорт в области шеи и плеч, а также другие проблемы, связанные с неправильной работой жевательной системы.
Наконец, клиновидные дефекты могут оказывать влияние на психологическое состояние пациента. Эстетические проблемы, связанные с внешним видом зубов, могут вызывать комплексы и снижать самооценку, что в свою очередь может негативно сказаться на социальной жизни и межличностных отношениях. Люди с заметными дефектами зубов могут избегать общения, улыбок и даже фотографий, что может привести к изоляции и депрессии.
Таким образом, клиновидный дефект зубов — это не просто стоматологическая проблема, а состояние, которое может оказывать комплексное влияние на общее здоровье человека. Поэтому важно своевременно обращаться к стоматологу для диагностики и лечения, чтобы избежать более серьезных последствий и сохранить здоровье зубов и всего организма в целом.
Советы по уходу за зубами для предотвращения клиновидного дефекта
Клиновидный дефект зубов, также известный как клиновидный кариес, представляет собой распространенную проблему, которая может привести к серьезным последствиям для здоровья зубов. Чтобы предотвратить его развитие, необходимо следовать ряду рекомендаций по уходу за зубами.
1. Регулярная гигиена полости рта: Основой профилактики клиновидного дефекта является тщательная гигиена полости рта. Чистите зубы дважды в день с использованием фторсодержащей зубной пасты. Не забывайте о зубной нити и ополаскивателе для рта, которые помогут удалить остатки пищи и налет из труднодоступных мест.
2. Правильная техника чистки зубов: Используйте мягкую зубную щетку и чистите зубы круговыми движениями, уделяя особое внимание линии десен. Избегайте агрессивного трения, так как это может привести к повреждению эмали и десен, что увеличивает риск возникновения клиновидного дефекта.
3. Регулярные визиты к стоматологу: Посещайте стоматолога не реже двух раз в год для профилактических осмотров и профессиональной чистки зубов. Специалист сможет выявить ранние признаки клиновидного дефекта и предложить соответствующее лечение.
4. Правильное питание: Сбалансированное питание играет важную роль в здоровье зубов. Увеличьте потребление продуктов, богатых кальцием и витамином D, таких как молочные продукты, рыба и зеленые овощи. Ограничьте потребление сахара и кислых продуктов, которые могут способствовать разрушению эмали.
5. Избегание вредных привычек: Отказ от курения и чрезмерного употребления алкоголя положительно скажется на здоровье зубов. Эти привычки могут способствовать развитию заболеваний десен и ухудшению состояния зубной эмали.
6. Использование защитных средств: Если вы занимаетесь спортом или имеете привычку скрежетать зубами (бруксизм), рассмотрите возможность использования защитных капп. Они помогут предотвратить механическое повреждение зубов и снизят риск возникновения клиновидного дефекта.
7. Увлажнение ротовой полости: Обратите внимание на уровень увлажненности ротовой полости. Сухость может привести к повышенному риску кариеса и другим проблемам. Пейте достаточное количество воды и используйте увлажняющие средства для рта при необходимости.
Следуя этим рекомендациям, вы сможете значительно снизить риск возникновения клиновидного дефекта и сохранить здоровье своих зубов на долгие годы. Помните, что профилактика всегда проще и эффективнее, чем лечение уже возникших проблем.




