Шишка на внутренней стороне губы может вызывать дискомфорт и быть признаком различных состояний — от безобидных до серьезных. В статье рассмотрим основные причины появления шишек, а также методы диагностики и лечения. Знание причин и способов профилактики поможет своевременно обратиться к врачу и избежать осложнений.
Причины образования шишки на губах
Специалисты считают, что появление шарика на внутренней стороне губы может быть связано с образованием мукоцеле — кисты с голубоватым оттенком, которая, как правило, не вызывает дискомфорта и не болит. При этом вероятность раковой опухоли исключается, однако существует возможность развития других патологий.
Поэтому, если женщина прикусила губу и у нее образовался шарик, или это произошло с мужчиной или ребенком, необходимо обратиться к врачу. Подобное образование может возникнуть у людей любого возраста и пола.
При прикусывании слизистой оболочки клетки попадают в мягкие ткани, что приводит к образованию небольшого шарика. Это образование может состоять из одного или нескольких мелких пузырьков, которые иногда могут лопнуть, оставляя открытые раны, которые выглядят как эрозия.
Кроме прикусывания, уплотнение на внутренней стороне губы может возникнуть по следующим причинам:
- обычные травмы;
- воспалительные процессы;
- ожоги от горячей пищи;
- неправильно установленные зубные протезы;
- зубы нестандартной формы;
- вирусные инфекции, аллергические реакции;
- ношение пирсинга и другие факторы.
При сильном прикусывании, травмирующем слюнные железы, процесс образования кисты происходит следующим образом:
- сначала происходит закупорка выводного канала слюнной железы;
- затем в области повреждения накапливается слюна и клетки кожи;
- постоянное выделение секрета приводит к увеличению новообразования.
Если на губе образовалась шишка с внутренней стороны, она может вскрыться самостоятельно, выпуская прозрачную жидкость. В дальнейшем полость может снова заполняться, так как место накопления слюнной железы выглядит как растянутая капсула, которая не исчезает после вскрытия протоков. Это может привести к воспалительным процессам с проникновением бактерий из внешней среды.
Не рекомендуется заниматься самостоятельным лечением, выдавливанием или ковырянием шишек и припухлостей на губе.
Врачи отмечают, что шишка на внутренней стороне губы может иметь различные причины. Одной из наиболее распространенных является травма, которая может вызвать отек и образование небольшого образования. В таких случаях шишка обычно проходит самостоятельно в течение нескольких дней. Однако, если образование не исчезает или сопровождается болевыми ощущениями, это может указывать на более серьезные проблемы, такие как инфекция или киста. Врачи рекомендуют не игнорировать такие симптомы и обратиться к стоматологу или врачу-отоларингологу для диагностики. Важно помнить, что своевременное обращение за медицинской помощью может предотвратить развитие осложнений и обеспечить правильное лечение.
https://youtube.com/watch?v=ZGWBZ0ARDRM
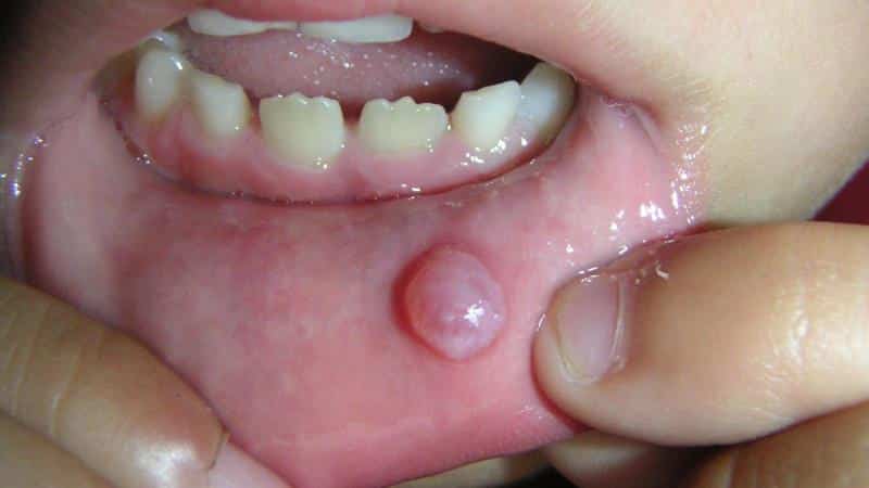
Симптомы и методы диагностики
Шишка на внутренней стороне губы, изображенная на фото ниже, может вызывать значительный дискомфорт, затрудняя разговор и прием пищи. В диаметре она иногда достигает двух сантиметров и более. На ощупь это образование ощущается как твердое, а при механическом воздействии, например, во время жевания, из него может выделяться жидкость беловатого или желтоватого оттенка, а также красноватые выделения, если повреждены сосуды.
Шишка внутри губы может иметь не только кистозную природу. При нажатии на нее во время тестирования она углубляется и затем возвращается на место, что также характерно для образований, связанных с железистым эпителием. Подобные опухоли возникают в результате активизации работы эндокринной системы в детском или подростковом возрасте. Большинство шишек могут иметь различные структуры, но проявляются одинаково. Лечение может варьироваться, поэтому важно установить причину их появления.
Когда киста опустошается, она может снова заполняться в своей капсуле, которая служит оболочкой. Это образование подвижно, эластично и окружено небольшим количеством мягких тканей. Боль может возникать при воспалительных процессах. Киста обычно имеет одну камеру, но встречаются и многокамерные формы. Диагностика осуществляется с помощью канального зондирования, что позволяет определить ширину протока и выявить наличие слюнного камня.
Точный диагноз устанавливается после проведения ультразвукового исследования, которое помогает определить структуру и размеры кисты. Для исключения злокачественных образований проводится сиалография, а содержимое анализируется специалистами с помощью пункции.
| Возможная причина | Характеристика шишки | Рекомендуемые действия |
|---|---|---|
| Мукоцеле (киста слизистой) | Мягкая, безболезненная, полупрозрачная, может увеличиваться и уменьшаться в размерах. Часто возникает после прикусывания губы. | Обратиться к стоматологу или челюстно-лицевому хирургу для диагностики и возможного удаления. |
| Фиброма | Плотное, безболезненное образование, обычно того же цвета, что и окружающая слизистая. Возникает из-за хронического раздражения (например, прикусывания). | Обратиться к стоматологу или челюстно-лицевому хирургу для диагностики и возможного удаления. |
| Афта (язвочка) | Болезненная, обычно белая или желтоватая с красным ободком. Может быть окружена небольшим отеком. | Обычно проходит самостоятельно в течение 1-2 недель. Можно использовать местные обезболивающие гели или ополаскиватели. При частых рецидивах или больших размерах обратиться к врачу. |
| Герпес (простуда на губе) | Сначала зудящие, жгучие пузырьки, которые затем лопаются, образуя язвочки и корочки. Болезненные. | Противовирусные мази или таблетки по назначению врача. Избегать прикосновений, чтобы не распространять инфекцию. |
| Травма (прикусывание, ожог) | Может быть отек, покраснение, иногда небольшая гематома (синяк). Болезненность. | Проходит самостоятельно. Избегать дальнейшего травмирования. При сильной боли или отеке обратиться к врачу. |
| Доброкачественная опухоль слюнной железы | Может быть плотной, безболезненной, медленно растущей. | Обязательно обратиться к челюстно-лицевому хирургу для диагностики (биопсии) и лечения. |
| Злокачественная опухоль | Может быть плотной, неровной, быстрорастущей, иногда с изъязвлением или кровоточивостью. Может сопровождаться болью или онемением. | Срочно обратиться к онкологу или челюстно-лицевому хирургу для диагностики и лечения. |
| Камень слюнной железы (сиалолитиаз) | Может вызывать отек и боль, особенно во время еды. Шишка может быть твердой. | Обратиться к стоматологу или челюстно-лицевому хирургу. Может потребоваться удаление камня. |
Лечение
Шишка на нижней губе, если она не исчезает сама по себе, требует хирургического вмешательства с использованием местной анестезии и наложением швов. После операции в течение нескольких дней губа может оставаться отечной. Для снижения кровоточивости нижнюю губу выворачивают и плотно прижимают. Удаление опухоли должно проводиться с особой осторожностью. Важно не повредить оболочку, так как при вытекании жидкости теряются контуры кисты, что усложняет ее полное удаление. Если останется не удаленная часть, это может привести к рецидиву.
Обязательно выщипываются малые слюнные железы, чтобы предотвратить образование новых кист и облегчить зашивание хирургической раны. Врач делает два разреза и вылущивает кисту из слизистой оболочки. Для удобства зашивания разрезы выполняются перпендикулярно к красной кайме губы. Вместо традиционных методов разрезов, которые могут привести к высокому риску перфорации оболочки слюнных желез из-за сильной кровоточивости, также используются лазерные технологии.
Процесс занимает больше времени, поэтому применяется местная анестезия с повышенной концентрацией. Шишка на губе внутри наглядно демонстрирует процесс удаления, который длится не более тридцати минут и исключает сопутствующие патологии. После удаления кисты и ее очистки накладываются узловатые швы с использованием тонкого кегута и давящей повязки. Рассасывание швов происходит в течение пяти до семи дней. Далее лечение продолжается в домашних условиях и включает в себя полоскание антисептическими средствами, а для ускорения заживления после еды рану смазывают мазью фукорцин.
Восстановительный период может длиться до шести месяцев и более, в зависимости от объема удаленной ткани. К простым методам лечения относится кистомия, которая заключается в иссечении слизистой оболочки в области кисты. Такой тип операции может привести к рецидиву при неправильном выполнении. Если возникают отклонения и поверхность не заживает, может потребоваться полное удаление слюнной железы. Также кисту можно вскрыть и опорожнить с помощью химического ожога, пластической хирургии или хирургической коррекции губ. Наиболее надежным методом является хирургическое удаление всей кисты.
Чтобы избежать серьезных последствий, которые могут привести к раку, важно не запускать образование и своевременно обращаться к врачу. Шишка, как правило, удаляется без негативных последствий. Первые дни после операции, по мнению пациентов, являются довольно тяжелыми. Трудно говорить и есть, но через месяц состояние значительно улучшается. Послеоперационный восстановительный период зависит от размера удаленной кисты. У некоторых пациентов через несколько месяцев наблюдается асимметрия и онемение губы.
Рекомендуется удалять кисту небольшого размера, чтобы избежать серьезных последствий. Основные профилактические меры включают предотвращение травм губ и регулярный гигиенический уход за полостью рта.
https://youtube.com/watch?v=_10ZfRFoL9M
Лечение кистозного образования внутри губы народными методами
Современная медицина активно использует комплексный подход в лечении различных заболеваний, включая применение лекарственных трав и народных методов. Для многих пациентов хирургическое вмешательство воспринимается как крайняя мера, что приводит к росту интереса к альтернативным способам лечения. Врачебные консультации часто включают обсуждение возможностей выздоровления с помощью трав, компрессов и полосканий, которые могут помочь уменьшить размеры и даже полностью устранить образования.
На сегодняшний день одним из эффективных средств считается сок каланхоэ. Листья этого растения рекомендуется разжевывать и удерживать во рту, чтобы сок мог воздействовать на поражённую область. Не менее известным и полезным является алоэ, обладающее заживляющими и противовоспалительными свойствами.
К числу действенных средств можно отнести спиртовой раствор, который готовится из сока фикуса (10 г), смешанного с водкой (70 г). Этот раствор настаивается в прохладном месте в течение трех дней, после чего его разбавляют водой в пропорции 1 к 3. Смоченные ватные тампоны накладываются на проблемную область и оставляются на 10 минут. Выбор метода лечения лучше обсудить с врачом, однако не стоит рассчитывать на полное исцеление исключительно с помощью народных средств. Эффективность лечения зависит от продолжительности, степени заболевания, а также от глубины и размера самой кисты.
https://youtube.com/watch?v=FvsCQqGIzbk
Профилактика образования шишек на губах
Профилактика образования шишек на губах включает в себя несколько важных аспектов, которые помогут снизить риск возникновения подобных образований. Во-первых, необходимо соблюдать правила гигиены полости рта. Регулярная чистка зубов, использование зубной нити и полоскание рта антисептическими растворами помогут предотвратить развитие инфекций и воспалений, которые могут привести к образованию шишек.
Во-вторых, следует избегать травмирования губ. Это может происходить как в результате механического воздействия (например, при укусе губ или использовании жестких зубных щеток), так и из-за химических факторов (например, при использовании агрессивных косметических средств). Рекомендуется быть осторожным при употреблении горячей пищи и напитков, чтобы не обжечь губы.
Также важно следить за состоянием иммунной системы. Слабый иммунитет может способствовать развитию различных заболеваний, включая вирусные инфекции, которые могут проявляться в виде шишек на губах. Для поддержания иммунной системы в хорошем состоянии необходимо правильно питаться, заниматься физической активностью и избегать стрессов.
Кроме того, стоит обратить внимание на аллергические реакции, которые могут проявляться в виде шишек на губах. Если у вас есть предрасположенность к аллергиям, рекомендуется избегать контакта с известными аллергенами и при необходимости проконсультироваться с аллергологом.
Наконец, регулярные визиты к стоматологу помогут выявить и предотвратить возможные проблемы на ранних стадиях. Специалист сможет провести профессиональную чистку зубов, выявить воспалительные процессы и дать рекомендации по уходу за полостью рта, что в свою очередь поможет избежать образования шишек на губах.
Когда обращаться к врачу
Обнаружение шишки на внутренней стороне губы может вызывать беспокойство и настороженность. Важно понимать, когда стоит обратиться за медицинской помощью, чтобы избежать возможных осложнений и получить правильное лечение.
Если шишка на губе не проходит в течение нескольких дней или недель, это может быть признаком более серьезной проблемы. В таких случаях рекомендуется обратиться к врачу для диагностики. Особенно важно не откладывать визит к специалисту, если шишка сопровождается другими симптомами, такими как:
- Боль: Если шишка вызывает дискомфорт или боль, это может указывать на воспалительный процесс или инфекцию.
- Кровотечение: Если шишка начинает кровоточить или вы замечаете выделения, это также является поводом для обращения к врачу.
- Изменение цвета: Если шишка меняет цвет, становится красной или синей, это может свидетельствовать о наличии инфекции или других патологий.
- Увеличение размера: Если шишка растет или изменяет форму, это может быть признаком опухоли или другого серьезного заболевания.
- Сопутствующие симптомы: Лихорадка, озноб, общее недомогание или увеличение лимфатических узлов могут указывать на инфекцию, требующую медицинского вмешательства.
Также стоит обратить внимание на историю заболеваний. Если у вас ранее были проблемы с зубами, деснами или другие стоматологические заболевания, это может повысить риск возникновения шишек на губах. В таких случаях консультация стоматолога или врача-отоларинголога будет особенно актуальна.
Не стоит заниматься самолечением или игнорировать симптомы. Правильная диагностика и своевременное лечение могут предотвратить развитие серьезных заболеваний и обеспечить быстрое восстановление.
Возможные осложнения и последствия
Шишка на внутренней стороне губы может быть симптомом различных заболеваний или состояний, и в зависимости от причины ее появления могут возникать определенные осложнения и последствия. Важно понимать, что игнорирование таких образований может привести к ухудшению состояния и развитию серьезных заболеваний.
Одним из наиболее распространенных осложнений является инфекция. Если шишка образовалась в результате травмы или воспалительного процесса, то в ней может развиться инфекция, что приведет к покраснению, отеку и болезненности. В таком случае может потребоваться антибактериальная терапия для предотвращения распространения инфекции.
Еще одним возможным осложнением является образование абсцесса. Если воспаление прогрессирует, может возникнуть скопление гноя, что требует хирургического вмешательства для дренирования и удаления гнойного содержимого. Невылеченный абсцесс может привести к более серьезным последствиям, таким как сепсис.
Шишка может также быть признаком более серьезных заболеваний, таких как киста или опухоль. В случае, если образование не исчезает в течение нескольких недель или сопровождается другими симптомами, такими как изменение цвета кожи, кровотечение или увеличение размера, необходимо обратиться к врачу для диагностики. Ранняя диагностика и лечение могут предотвратить развитие злокачественных образований.
Кроме того, шишка на губе может вызывать дискомфорт и затруднения при приеме пищи или разговоре, что может негативно сказаться на качестве жизни пациента. Психологический аспект также имеет значение: наличие видимого образования может вызывать комплексы и снижать самооценку.
Важно помнить, что любые изменения в полости рта, включая появление шишек, требуют внимания и консультации специалиста. Не стоит заниматься самолечением, так как это может усугубить ситуацию и привести к нежелательным последствиям. Регулярные осмотры у стоматолога помогут выявить проблемы на ранних стадиях и избежать осложнений.



