Выбор зубных коронок — ключевой этап стоматологического лечения, влияющий на здоровье и эстетику улыбки. В статье рассмотрим типы коронок, их преимущества и недостатки, а также ситуации, когда стоит выбирать тот или иной вариант. Понимание особенностей каждого типа поможет сделать осознанный выбор и обеспечить долговечность восстановленных зубов.
Зубные коронки
Коронки – это искусственные конструкции, которые точно воспроизводят анатомическую структуру человеческого зуба, который был сильно поврежден, утрачен или удален по медицинским показаниям.
Изготовление коронок осуществляется с использованием современных технологий, что позволяет сделать так, чтобы установленные в ротовой полости элементы практически невозможно было отличить от естественных зубных тканей. Конечно, существуют коронки, выполненные из материалов, не соответствующих вышеуказанным стандартам и не обладающие необходимыми эстетическими характеристиками. Тем не менее, такие коронки имеют более доступную цену и применяются для восстановления зубов, которые находятся за пределами линии улыбки, то есть не видны в повседневной жизни.
Ранее коронки использовались исключительно для восстановления значительных повреждений зуба, чтобы вернуть эстетичный вид улыбке и предотвратить дальнейшие патологические процессы. В настоящее время они также активно применяются для полного восстановления утраченных жевательных элементов, независимо от их расположения.
Врачи-стоматологи единодушны в том, что выбор коронок для зубов зависит от множества факторов, включая состояние зуба, его расположение и предпочтения пациента. Металлокерамические коронки остаются популярными благодаря своей прочности и эстетичному внешнему виду. Они идеально подходят для жевательных зубов, где требуется высокая нагрузка. Однако, для передних зубов многие специалисты рекомендуют использовать керамические коронки, которые обеспечивают более естественный цвет и прозрачность.
Кроме того, все больше стоматологов обращают внимание на современные материалы, такие как диоксид циркония, которые сочетают в себе прочность и эстетичность. Врачи подчеркивают важность индивидуального подхода: перед выбором коронки необходимо провести тщательную диагностику и обсудить все варианты с пациентом. Таким образом, оптимальный выбор коронки зависит от конкретной клинической ситуации и пожеланий пациента.
https://youtube.com/watch?v=RsJDQfb4rg4
Виды коронок
Современная стоматология и эстетическая медицина предлагают широкий выбор коронок, которые могут быть изготовлены в зависимости от конкретных потребностей пациента. Учитывая индивидуальные физиологические характеристики, пожелания и состояние поврежденного зуба, стоматолог может рекомендовать наиболее подходящие варианты.
Среди наиболее распространенных типов коронок можно выделить следующие:
-
Пластиковые. Эти коронки чаще всего используются как временные решения, например, после частичного удаления зуба, до установки постоянных протезов. Однако существуют и пластиковые коронки, предназначенные для постоянного использования. Тем не менее, стоит отметить, что такие коронки не рекомендуется рассматривать как лучший вариант, так как пластик может выделять вредные вещества, даже если он изготовлен из качественных материалов.
-
Золотые. Коронки из благородного металла имеют множество преимуществ: они прочные, долговечные, не выделяют вредных примесей и надежно защищают оставшуюся часть зуба от негативных воздействий, предотвращая воспалительные процессы. Однако их внешний вид значительно отличается от натуральных зубов, что является их основным недостатком.
-
Металлические. Эти коронки обладают теми же преимуществами, что и золотые, но стоят значительно дешевле и отличаются большей прочностью. Если бюджет ограничен, металлические коронки могут стать оптимальным выбором для жевательных зубов.
-
Композитные. Они достаточно прочные и имеют приемлемый внешний вид, их трудно отличить от натуральных зубов. Однако такие коронки подвержены негативному воздействию при чистке, пережевывании твердых продуктов и механических повреждениях, что может привести к ухудшению их эстетических качеств.
-
Фарфоровые. Хотя этот материал не отличается высокой прочностью, он обладает значительными эстетическими преимуществами. Обычно фарфоровые коронки устанавливаются на передние зубы, что позволяет сохранить естественный внешний вид и защитить материал от механических повреждений.
-
Металл и фарфор. Комбинация этих двух материалов обеспечивает прочность и долговечность, а также позволяет добиться внешнего вида, близкого к натуральным зубам. Такие коронки можно устанавливать и на жевательные зубы.
-
Металлокерамика. Эти коронки занимают лидирующие позиции среди всех типов протезирования благодаря своему натуральному внешнему виду, высокой прочности, отсутствию выделения химических веществ и минимальному повреждению соседних зубов при установке.
| Тип коронки | Преимущества | Недостатки |
|---|---|---|
| Металлокерамические | Долговечность, прочность, относительно доступная цена, хороший эстетический вид (особенно для жевательных зубов). | Металлический каркас может просвечивать, особенно при рецессии десны; возможны аллергические реакции на металл; требуется значительное обтачивание зуба. |
| Цельнокерамические (безметалловые) | Высочайшая эстетика (полностью имитируют натуральный зуб), биосовместимость, отсутствие аллергических реакций, не просвечивают. | Более высокая стоимость, могут быть менее прочными, чем металлокерамические (особенно при больших нагрузках), требуют более тщательного ухода. |
| Циркониевые | Отличная прочность и долговечность, высокая эстетика (белый каркас не просвечивает), биосовместимость, гипоаллергенность. | Высокая стоимость, могут быть менее прозрачными, чем цельнокерамические (хотя современные технологии улучшают этот аспект). |
| Металлические (литые) | Максимальная прочность и долговечность, низкая стоимость. | Низкая эстетика (не используются для передних зубов), возможны аллергические реакции на металл. |
| Композитные | Низкая стоимость, возможность установки за одно посещение, минимальное обтачивание зуба. | Низкая прочность и долговечность (чаще используются как временные), подвержены окрашиванию, со временем теряют блеск. |
Коронки на задние зубы
Какую коронку лучше выбрать для жевательных зубов: керамическую или металлокерамическую? Протезирование задних зубов, которые не видны при улыбке или разговоре, необходимо для полного восстановления жевательной функции. Эти зубы подвергаются значительным механическим нагрузкам, поэтому при их восстановлении важно использовать прочные материалы.
Керамические коронки не всегда соответствуют требованиям, предъявляемым к протезам заднего ряда, из-за своей недостаточной прочности. Тем не менее, их можно установить, но стоит учитывать, что со временем такие протезы могут потребовать замены.
Металлокерамика, представляющая собой каркас из драгоценных металлов, покрытый керамикой, обладает значительно большей прочностью. Кроме того, такие коронки соответствуют эстетическим требованиям. Если жевательный зуб, который подвержен разрушению, находится в зоне видимости при улыбке, оптимальным выбором будет именно это сочетание.
https://youtube.com/watch?v=tpB1j7vCsrI
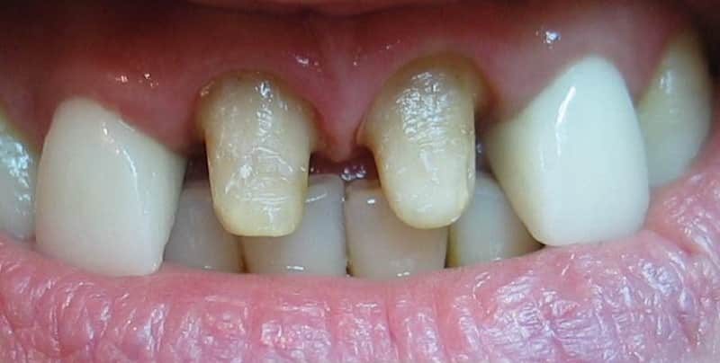
Коронки на резцы
Как выбрать коронки для зубов переднего ряда? Если пациента не волнует его внешний вид, а также натуральность и эстетика улыбки, можно рассмотреть вариант с металлическими коронками. Тем не менее, чаще всего для зубов в этой области применяются изделия, изготовленные из керамики и металлокерамики. Второй вариант представляет собой более надежные коронки, срок службы которых составляет не менее десяти лет.
При восстановлении полностью или частично утраченного зуба, находящегося в зоне улыбки, предпочтение отдается материалам, которые максимально имитируют натуральные ткани и не отличаются по внешнему виду от собственных зубов.
Что касается прочности, то требования к таким коронкам несколько ниже, чем к тем, которые устанавливаются на жевательные зубы. Это связано с тем, что на передние зубы не оказывается постоянного механического давления и воздействия.
Уход за коронками
Срок службы большинства коронок, вне зависимости от используемых материалов, обычно составляет около десяти лет. Однако этот период во многом зависит от регулярного и тщательного ухода за искусственными элементами вашей улыбки.
Неважно, устанавливаются ли коронки на жевательные или передние зубы, важно помнить, что любой искусственный материал подвержен механическим повреждениям. Поэтому крайне не рекомендуется грызть семечки, орехи или же разжевывать другую твердую пищу.
Чистка зубов должна проводиться так же, как и обычно. Однако можно использовать и дополнительные средства, такие как зубная нить, ополаскиватели или специальные растворы. Эти методы помогут более эффективно удалить бактерии, способствующие возникновению гнилостных и воспалительных процессов.
Альтернативные варианты
Коронки не только служат для восстановления естественной улыбки, но и могут использоваться для коррекции неровного прикуса. В этом случае они устанавливаются на здоровые зубы после их предварительной подготовки.
Хотя этот метод может быть достаточно травматичным, он позволяет добиться эстетического результата всего за несколько процедур.
При выборе наиболее подходящих коронок важно учитывать не только их стоимость и внешний вид, но, прежде всего, материал, из которого они будут изготовлены. Некачественная основа может не только ухудшить внешний вид со временем, но и нанести серьезный вред здоровью.
https://youtube.com/watch?v=rj6ruefVkU8
Показания для установки коронок
Установка коронок на зубы является распространенной стоматологической процедурой, которая применяется в различных клинических ситуациях. Рассмотрим основные случаи, когда установка коронок становится необходимой.
1. Сильное разрушение зуба: Если зуб подвергся значительному разрушению из-за кариеса, травмы или других факторов, коронка может стать оптимальным решением. Она восстанавливает форму и функцию зуба, защищая его от дальнейшего разрушения.
2. После эндодонтического лечения: Зубы, прошедшие лечение корневых каналов, часто нуждаются в дополнительной защите. Установка коронки после такого лечения помогает предотвратить трещины и разрушение зуба, обеспечивая его долговечность.
3. Эстетические проблемы: В случаях, когда зубы имеют неэстетичный вид из-за изменения цвета, формы или размера, коронки могут быть использованы для улучшения внешнего вида. Это особенно актуально для передних зубов, где эстетика играет важную роль.
4. Неправильный прикус: В некоторых случаях коронки могут быть использованы для коррекции прикуса. Они могут помочь в восстановлении правильного соотношения зубов, что способствует улучшению жевательной функции и снижению нагрузки на челюстные суставы.
5. Устранение зубной чувствительности: Если зубы становятся чувствительными к горячему или холодному, установка коронки может помочь снизить эту чувствительность, обеспечивая защиту от внешних раздражителей.
6. Подготовка к протезированию: В случаях, когда необходимо установить мост или другие виды протезов, коронки могут служить опорой для этих конструкций, обеспечивая их стабильность и долговечность.
Каждый случай индивидуален, и решение о необходимости установки коронки должно приниматься стоматологом на основе тщательной диагностики и оценки состояния зуба. Важно учитывать не только клинические показания, но и пожелания пациента, чтобы выбрать оптимальный вариант лечения.
Преимущества и недостатки различных материалов
При выборе коронок для зубов важно учитывать не только эстетические, но и функциональные характеристики материалов, из которых они изготовлены. На сегодняшний день существует несколько основных типов материалов для коронок, каждый из которых имеет свои преимущества и недостатки.
Металлические коронки
Металлические коронки, как правило, изготавливаются из сплавов золота, платины или других металлов. Они обладают высокой прочностью и долговечностью, что делает их отличным выбором для задних зубов, где нагрузка на коронку максимальна.
- Преимущества:
- Высокая прочность и устойчивость к износу.
- Долговечность — могут служить десятилетиями.
- Минимальная вероятность разрушения зуба под коронкой.
- Недостатки:
- Низкая эстетика — металлические коронки заметны при улыбке.
- Могут вызывать аллергические реакции у некоторых пациентов.
Керамические коронки
Керамические коронки изготавливаются из специальной керамики и обладают высокой эстетикой, что делает их идеальными для передних зубов. Они могут имитировать естественный цвет зубов, что позволяет добиться гармоничного внешнего вида.
- Преимущества:
- Отличная эстетика — максимально приближен к натуральному зубу.
- Не вызывает аллергии и хорошо совместимы с тканями десен.
- Не меняют цвет со временем.
- Недостатки:
- Меньшая прочность по сравнению с металлическими коронками.
- Могут быть более подвержены сколам и трещинам.
Композитные коронки
Композитные коронки изготавливаются из смол и других синтетических материалов. Они часто используются для временных коронок, но могут также применяться и для постоянных решений.
- Преимущества:
- Доступная цена по сравнению с другими материалами.
- Хорошая эстетика — могут быть окрашены в нужный цвет.
- Легкость в установке и замене.
- Недостатки:
- Меньшая прочность и долговечность по сравнению с керамическими и металлическими коронками.
- Могут изменять цвет со временем и подвержены износу.
Циркониевые коронки
Циркониевые коронки представляют собой современное решение, которое сочетает в себе прочность и эстетику. Они изготавливаются из оксида циркония и идеально подходят для передних и задних зубов.
- Преимущества:
- Высокая прочность и устойчивость к износу.
- Отличная эстетика — могут имитировать натуральный зуб.
- Гипоаллергенные свойства и хорошая совместимость с деснами.
- Недостатки:
- Высокая стоимость по сравнению с другими материалами.
- Требуют более сложного процесса изготовления и установки.
Выбор материала для коронки зависит от множества факторов, включая расположение зуба, бюджет, предпочтения пациента и рекомендации стоматолога. Важно обсудить все возможные варианты с врачом, чтобы выбрать наиболее подходящее решение для каждого конкретного случая.
Процесс установки коронок
На зубы включает несколько ключевых этапов, которые обеспечивают не только эстетический, но и функциональный результат. Первоначально стоматолог проводит тщательное обследование состояния зуба и окружающих тканей. Это может включать рентгенографию, чтобы оценить корни зуба и наличие возможных заболеваний.
После диагностики, если зуб подлежит восстановлению, начинается подготовка. На этом этапе стоматолог удаляет поврежденные участки зуба, чтобы создать подходящую основу для коронки. Важно, чтобы оставшаяся часть зуба была достаточно прочной для поддержки коронки. Если зуб сильно разрушен, может потребоваться установка штифта для дополнительной поддержки.
Следующим шагом является снятие слепка с подготовленного зуба. Слепок может быть выполнен как традиционным способом с использованием специальной пасты, так и с помощью цифровых технологий, что обеспечивает более высокую точность. Этот слепок отправляется в зуботехническую лабораторию, где будет изготовлена коронка.
Пока коронка изготавливается, на подготовленный зуб устанавливается временная коронка. Она защищает зуб и восстанавливает его функцию на время ожидания постоянной коронки. Временная коронка также помогает сохранить правильное положение зубов и предотвратить смещение соседних зубов.
Когда постоянная коронка готова, стоматолог проводит её примерку. Важно, чтобы коронка идеально подходила по размеру, форме и цвету. Если все параметры соответствуют, коронка фиксируется на зубе с помощью специального цемента. В некоторых случаях может потребоваться дополнительная коррекция для достижения идеального результата.
После установки коронки стоматолог дает рекомендации по уходу за ней и окружающими зубами. Правильная гигиена полости рта и регулярные посещения стоматолога помогут продлить срок службы коронки и сохранить здоровье зубов.




