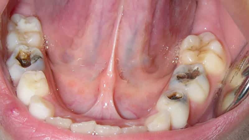
Пульпит молочных зубов у детей — распространенная проблема, требующая внимательного подхода и своевременного лечения. Молочные зубы, несмотря на временность, играют важную роль в формировании прикуса и развитии челюстно-лицевой области. В статье рассмотрим, как распознать пульпит, методы лечения, необходимость удаления нерва и возможные последствия для здоровья ребенка. Эта информация поможет родителям принять обоснованное решение и обеспечить ребенку необходимую стоматологическую помощь.
Виды острого пульпита у детей
Интенсивность болевых ощущений и общая клиническая картина заболевания зависят от типа пульпита, который может быть:
- острым серозным;
- гнойным.
Серозная форма пульпита напоминает острый очаговый пульпит у взрослых: первые симптомы обычно проявляются ночью, а в течение дня могут возникать дискомфортные ощущения при приеме пищи и напитков. У детей острый серозный пульпит молочных зубов сопровождается воспалением тканей, окружающих зуб, что приводит к недостатку кислорода в пульпе. Это вызывает накопление в корневых каналах особой жидкости, называемой экссудатом. Болевые ощущения могут быть непостоянными и иногда проявляться лишь единожды. Тем не менее, в большинстве случаев серозная форма уже через 4-7 часов переходит в гнойную, и именно в этот момент начинается поиск стоматолога.
На тяжесть течения гнойной формы пульпита влияют следующие факторы:
- состояние иммунной системы;
- степень развития молочных зубов;
- активность патогенных бактерий.
Если иммунная защита ребенка достаточно сильна, пульпит молочного зуба может протекать практически безболезненно, так как организм сдерживает активность бактерий и обеспечивает выход гноя из пульпы. Однако чаще всего заболевание проявляется в ярко выраженной форме.
Гнойная стадия пульпита у детей часто напоминает периодонтит, а не аналогичное заболевание у взрослых: наблюдаются лихорадка, накопление жидкости в каналах и сильная боль при нажатии на пораженные зубы.
Боль имеет приступообразный характер, каждый эпизод может длиться довольно долго, чередуясь с короткими перерывами. Эти ощущения часто возникают во время еды, особенно при употреблении горячих или холодных продуктов. Дети не всегда могут точно указать локализацию боли: она может ощущаться не только в пораженном зубе, но и в соседних молярах, а также в челюсти.
Если при появлении таких симптомов не обратиться к врачу и не начать лечение пульпита молочных зубов, к выраженной боли могут присоединиться и другие неприятные проявления:
- лихорадка;
- снижение активности;
- отказ от еды и питья;
- нарушения сна и режима;
- болезненность десен.
Задержка с обращением за медицинской помощью может привести не только к ухудшению состояния ребенка, но и к возникновению осложнений, таких как лимфаденит, периодонтит и периостит (так называемый «флюс»). Эти состояния представляют серьезную опасность как для здоровья, так и для жизни ребенка, поэтому обращение к врачу при первых симптомах воспаления в ротовой полости должно быть срочным. На фоне общей интоксикации и присоединения бактериальных осложнений последствия могут быть непредсказуемыми.
Врачи-стоматологи подчеркивают важность своевременного лечения пульпита молочных зубов у детей. Они отмечают, что игнорирование этой проблемы может привести к серьезным осложнениям, таким как распространение инфекции и потеря зуба. Специалисты рекомендуют проводить диагностику при первых признаках боли или дискомфорта. Лечение пульпита у детей часто включает в себя удаление воспаленной пульпы и пломбирование зуба, что позволяет сохранить его и предотвратить дальнейшие проблемы. Врачи также акцентируют внимание на необходимости регулярных профилактических осмотров, чтобы выявить заболевания на ранних стадиях и обеспечить здоровье детских зубов. Правильный подход к лечению пульпита способствует не только физическому, но и психологическому комфорту ребенка.
https://youtube.com/watch?v=JstskltQmBI
Традиционные способы лечения острого детского пульпита
Из-за риска возникновения осложнений и серьезных состояний, которые может вызвать пульпит у детей с молочными зубами, лечение в первую очередь сосредоточено на устранении этих угроз. Конечно, проще всего удалить поврежденный зуб, но такая процедура может негативно сказаться на психическом состоянии ребенка и повлиять на формирование прикуса.
В государственных стоматологических учреждениях и даже в некоторых частных клиниках чаще всего применяется метод девитальной ампутации. Этот способ давно известен, многократно проверен и считается достаточно щадящим для ребенка, так как не затрагивает корневую систему зуба. Процесс выглядит следующим образом:
- Сначала на обнаженный участок нерва (да, в молочных зубах действительно есть нервы) накладывается специальная паста с мышьяком на 1-2 дня или девитализирующий состав без мышьяка на неделю.
- При следующем визите в корневые каналы помещают специальные пасты, которые обладают противомикробным действием на пульпу и «мумифицируют» ее, предотвращая дальнейшее развитие гнойного процесса.
- Завершающий этап включает пломбирование зуба.
| Метод лечения | Показания | Описание |
|---|---|---|
| Пульпотомия (ампутация пульпы) | Обратимый пульпит, отсутствие признаков некроза пульпы, достаточный объем коронковой части зуба | Удаление коронковой части пульпы, сохранение корневой пульпы, покрытие культи пульпы лечебной прокладкой (например, гидроксидом кальция) |
| Пульпэктомия (экстирпация пульпы) | Необратимый пульпит, некроз пульпы, наличие периапикальных изменений | Полное удаление коронковой и корневой пульпы, механическая и медикаментозная обработка корневых каналов, пломбирование каналов рассасывающимся материалом (например, цинк-оксид-эвгеноловой пастой) |
| Витальная ампутация | Обратимый пульпит, отсутствие признаков некроза пульпы, возможность сохранения жизнеспособности корневой пульпы | Удаление воспаленной части пульпы, покрытие оставшейся пульпы биосовместимым материалом (например, МТА) для стимуляции образования дентинного мостика |
| Девитальная ампутация | Необратимый пульпит, невозможность проведения витальной ампутации (например, из-за сильной боли) | Девитализация пульпы с помощью девитализирующей пасты, затем удаление коронковой части пульпы и пломбирование корневых каналов |
| Прямое покрытие пульпы | Случайное вскрытие пульпы при препарировании кариозной полости, отсутствие признаков воспаления пульпы | Нанесение лечебной прокладки (например, гидроксида кальция) непосредственно на обнаженную пульпу для стимуляции образования заместительного дентина |
Современный подход к терапии пульпита у детей
Для детей, которые могут спокойно сидеть на месте в течение длительного времени и у которых уже сформировалась корневая система зубов, существуют два современных метода лечения:
- витальный;
- девитальный.
Витальное лечение молочных зубов у детей подразумевает удаление нерва. Девитальная терапия же включает в себя поэтапное воздействие на пульпу зуба. Этот метод заключается в тщательной обработке корневых каналов как механическими, так и медицинскими средствами, что позволяет достичь полной стерильности внутри зуба. Затем в корневые каналы вводятся специальные составы, обладающие противовоспалительными и рассасывающими свойствами, что не влияет на смену временных зубов в будущем.
Стоматологи в России предпочитают использовать цинкэвгеноловую пасту для пломбирования корней, в то время как зарубежные специалисты отдают предпочтение составу Magipex, который также зарекомендовал себя с положительной стороны. Эти материалы играют важную роль не только в оказании помощи при пульпите, но и в дальнейшем состоянии зуба. Возможность повторного инфицирования зависит как от наличия нерва в молочном зубе, так и от качества проведенной обработки во время лечения.
Несмотря на щадящий подход девитальной методики при лечении острого пульпита, количество сторонников витального метода не уменьшается. Этот метод предполагает частичное удаление нерва: убирается его верхушка, а корни заполняются специальными лекарственными средствами.
Современные препараты, используемые в детской стоматологии, обладают выраженным противовоспалительным и антисептическим действием, а также обеспечивают отличную герметизацию корней зуба. Ранее распространенные составы с эвгенолом и гидроокисью кальция успешно заменены на препараты швейцарского производства, такие как «Пульпотек», и отечественные аналоги, например, «ПульпоДент». Эти лекарства не только значительно продлевают «жизнь» пульпы, но и помогают уменьшить болевые ощущения во время лечения и восстановления.
Современные пасты, в отличие от своих предшественников, не содержат красителей, не оказывают токсического воздействия на детский организм и позволяют сократить количество визитов к стоматологу, делая лечение пульпита у детей более эффективным.
https://youtube.com/watch?v=cQ7sJS9AgI0
Особенности лечения острых форм пульпита при несформированной корневой системе
Когда у детей начинают прорезываться молочные зубы, корни этих зубов могут оставаться незакрытыми, что называется незавершенной корневой системой. Полное формирование корней обычно занимает несколько лет. Именно поэтому подходы к лечению таких зубов значительно отличаются от методов, применяемых для уже сформировавшихся зубных систем.
Для временных зубов с незрелой корневой системой традиционные витальные и девитальные методы лечения не подходят, так как нет возможности эффективно воздействовать на пульпу. Также возникают трудности с обработкой каналов. В связи с этим в детской стоматологии чаще всего применяются ампутация или биологическое лечение.
Биологический метод представляет собой консервативный подход, который позволяет сохранить пульпу в полном объеме. Однако этот способ достаточно сложен, имеет множество противопоказаний и требует строгого соблюдения стерильности во время лечения. Успех процедуры во многом зависит от качества асептической и антисептической обработки. Сначала необходимо тщательно очистить кариозную полость от мертвых и пораженных тканей, а затем на дно или на вскрытый нерв наносятся специальные препараты.
Через несколько дней, когда боль полностью утихнет, зуб закрывают постоянной пломбой. Такой подход к лечению острых форм детского пульпита позволяет зубу продолжать получать полноценное питание благодаря сохраненной пульпе, в то время как ампутация лишает моляры этой возможности.
Тем не менее, из-за множества противопоказаний и сложности биологического лечения, простая ампутация применяется гораздо чаще. Она может проводиться как традиционным девитальным способом с использованием мышьяковых составов, так и современным витальным методом с местным обезболиванием и безмышьячными пастами, а также с использованием антибактериальных препаратов и различных реминерализирующих средств.
Родителям следует помнить, что если у ребенка болит молочный зуб, не стоит задаваться вопросом «что делать», а лучше как можно быстрее обратиться за помощью к детскому стоматологу.
https://youtube.com/watch?v=T8T9AgMUw3k
Профилактика пульпита у детей
Профилактика пульпита у детей играет ключевую роль в сохранении здоровья молочных зубов и предотвращении развития более серьезных стоматологических заболеваний. Основные меры профилактики включают в себя регулярные визиты к стоматологу, правильную гигиену полости рта и сбалансированное питание.
Регулярные визиты к стоматологу являются основой профилактики. Рекомендуется посещать стоматолога не реже двух раз в год для проведения профилактических осмотров и профессиональной чистки зубов. Специалист сможет своевременно выявить кариес и другие проблемы, которые могут привести к пульпиту, и предложить соответствующее лечение.
Правильная гигиена полости рта включает в себя регулярную чистку зубов дважды в день с использованием фторсодержащей зубной пасты. Для детей важно использовать зубные щетки с мягкой щетиной и подходящего размера. Также стоит обратить внимание на использование зубной нити и ополаскивателей для рта, которые помогут удалить остатки пищи и налет из труднодоступных мест.
Сбалансированное питание также играет важную роль в профилактике пульпита. Ограничение потребления сладостей и кислых продуктов поможет снизить риск развития кариеса. В рационе ребенка должны присутствовать продукты, богатые кальцием и фосфором, такие как молочные продукты, рыба и орехи, которые способствуют укреплению зубной эмали.
Кроме того, обучение детей правильным привычкам с раннего возраста поможет сформировать у них осознанное отношение к гигиене полости рта. Важно объяснять детям, почему необходимо чистить зубы и как это делать правильно. Игровая форма обучения, например, использование песен или мультфильмов о зубах, может сделать этот процесс более увлекательным.
Наконец, использование фторидов в виде гелей или лака может быть рекомендовано стоматологом для дополнительной защиты зубов от кариеса. Эти процедуры могут быть особенно полезны для детей, у которых есть предрасположенность к стоматологическим заболеваниям.
Таким образом, комплексный подход к профилактике пульпита у детей, включающий регулярные стоматологические осмотры, правильную гигиену, сбалансированное питание и обучение, поможет сохранить здоровье молочных зубов и предотвратить развитие пульпита.
Роль родительского контроля в уходе за зубами ребенка
Родительский контроль играет ключевую роль в уходе за зубами ребенка, особенно когда речь идет о профилактике и лечении пульпита молочных зубов. Пульпит, воспаление пульпы зуба, может возникнуть в результате кариеса, травмы или инфекции. Чтобы предотвратить развитие этого заболевания, родителям необходимо активно участвовать в гигиеническом уходе за зубами своих детей.
Первым шагом к здоровью зубов является регулярная гигиена полости рта. Родители должны следить за тем, чтобы ребенок чистил зубы не менее двух раз в день с использованием фторсодержащей зубной пасты. Важно, чтобы родители помогали детям в этом процессе, особенно до достижения ими 7-8 лет, когда навыки чистки зубов еще не полностью сформированы. Обучение правильной технике чистки зубов, включая использование зубной нити, также является важной частью ухода.
Кроме того, родителям следует контролировать рацион питания ребенка. Избыточное потребление сладостей и кислых напитков может привести к развитию кариеса, что, в свою очередь, увеличивает риск возникновения пульпита. Рекомендуется ограничить количество сладких перекусов и поощрять употребление фруктов, овощей и молочных продуктов, которые способствуют укреплению зубной эмали.
Регулярные визиты к стоматологу также являются важным аспектом контроля за состоянием зубов ребенка. Стоматолог может выявить начальные стадии кариеса и других заболеваний, которые могут привести к пульпиту, и предложить соответствующее лечение. Родителям следует планировать профилактические осмотры не реже двух раз в год, чтобы обеспечить своевременное выявление и лечение проблем с зубами.
Важным аспектом является также информирование ребенка о значении ухода за зубами. Родители могут объяснить, почему важно заботиться о зубах, и как это влияет на общее здоровье. Игровые формы обучения, такие как использование мультфильмов или книг о зубах, могут помочь сделать процесс более увлекательным и понятным для детей.
В заключение, родительский контроль в уходе за зубами ребенка является неотъемлемой частью профилактики пульпита молочных зубов. Активное участие родителей в гигиеническом уходе, контроле питания и регулярных визитах к стоматологу поможет сохранить здоровье зубов ребенка и предотвратить развитие серьезных стоматологических заболеваний.
Психологические аспекты лечения пульпита у детей
Лечение пульпита молочных зубов у детей — это не только медицинская, но и психологическая задача. Поскольку дети часто испытывают страх перед стоматологическими процедурами, важно учитывать их эмоциональное состояние и создавать комфортную атмосферу во время лечения.
Первым шагом в преодолении страха является установление доверительных отношений между врачом и ребенком. Стоматолог должен быть внимательным и отзывчивым, объясняя каждое действие простыми и понятными словами. Это поможет ребенку понять, что происходит, и снизит уровень тревожности.
Важно также вовлечь родителей в процесс. Мама или папа могут находиться рядом с ребенком во время процедуры, что создаст ощущение безопасности. Родители должны демонстрировать спокойствие и уверенность, так как их поведение напрямую влияет на эмоциональное состояние ребенка.
Использование игровых методов может значительно облегчить процесс лечения. Например, стоматолог может предложить ребенку поиграть в «врача» или использовать игрушки, чтобы объяснить, что будет происходить. Это поможет ребенку воспринимать лечение как игру, а не как что-то страшное.
Кроме того, стоит учитывать индивидуальные особенности каждого ребенка. Некоторые дети могут быть более чувствительными к боли или шуму стоматологических инструментов. В таких случаях можно использовать методы обезболивания, которые помогут снизить дискомфорт и страх. Например, применение местной анестезии или седативных средств может быть оправдано, если ребенок очень тревожен.
Не менее важным аспектом является постпроцедурная поддержка. После лечения стоит уделить внимание эмоциональному состоянию ребенка, похвалить его за смелость и объяснить, что он сделал важный шаг к здоровью своих зубов. Это поможет укрепить положительный опыт и снизить страх перед будущими визитами к стоматологу.
В заключение, психологические аспекты лечения пульпита у детей играют ключевую роль в успешности процедуры. Создание доверительной атмосферы, вовлечение родителей, использование игровых методов и индивидуальный подход к каждому ребенку помогут сделать лечение менее стрессовым и более эффективным.



