Шишка под нижней челюстью вызывает беспокойство, особенно если расположена возле уха или под зубом. Такие образования могут указывать на воспалительные процессы или опухоли. В статье рассмотрим основные причины появления шишек, их диагностику и методы лечения. Понимание природы этих образований поможет своевременно обратиться к врачу и избежать осложнений.
Припухлость под челюстью
Шишка под челюстью, как слева, так и справа, может возникнуть по множеству причин. Это явление часто становится неожиданностью для человека, так как припухлость может появиться всего за несколько часов. Обычно такая ситуация имеет эстетический характер и может испортить внешний вид, но при этом не вызывает болезненных ощущений.
Данный симптом довольно распространен, поскольку в этой области находится множество лимфатических узлов, и проблема может быть связана с их функционированием, особенно если шишка образовалась под нижней челюстью с одной из сторон.
Причиной этого может быть патогенная микрофлора, проникающая в лимфатическую систему.
Существует множество факторов, способствующих появлению данного симптома:
- кисты;
- злокачественные и доброкачественные опухоли;
- фолликулит.
Многие люди склонны к чрезмерным переживаниям и впадают в панику, заметив подобные симптомы на своем лице. Важно отметить, что отсутствие болезненности является характерной чертой, поэтому не стоит сразу подозревать наличие онкологии или других серьезных заболеваний.
Врачи отмечают, что шишка под нижней челюстью может быть признаком различных заболеваний. Наиболее распространённые причины включают воспаление слюнных желез, кисты, а также лимфаденит. Важно учитывать, что подобные образования могут быть как доброкачественными, так и злокачественными. Специалисты рекомендуют не игнорировать появление шишки, особенно если она сопровождается болевыми ощущениями, отёком или изменением температуры. Диагностика обычно включает физикальный осмотр, ультразвуковое исследование и, при необходимости, биопсию. Врачи подчеркивают, что раннее обращение за медицинской помощью может значительно повысить шансы на успешное лечение и избежать осложнений.
https://youtube.com/watch?v=zinuF6SSNK0
Шишки под челюстью: терапия
Если у вас наблюдаются болезненные ощущения, важно незамедлительно обратиться к своему врачу для выяснения причины появления шишки. Первоначально стоит посетить терапевта или стоматолога. В случае диагностики лимфаденита вам будет назначена медикаментозная терапия, направленная на подавление патологических процессов.
При правильном и качественном лечении лимфаденита образование исчезнет, и вы быстро вернетесь к привычному образу жизни.
Опухоли обычно удаляются хирургическим путем или с использованием лазера. Не стоит игнорировать данную проблему, так как если новообразование подвижно и эластично, лучше обратиться к врачу как можно скорее.
Вот несколько причин, почему это важно:
- небольшие опухоли можно удалить без возникновения серьезных осложнений;
- при малом размере образования возможно избавиться от липомы без необходимости хирургического разреза.
Если причиной является внутренний прыщ, он может исчезнуть самостоятельно, но это не повод оставлять ситуацию без внимания. При покраснении кожи и появлении отека следует срочно обратиться к врачу. Современные методы лечения весьма эффективны и помогают предотвратить возникновение новой сыпи.
Различить обычный подкожный прыщ и воспаление лимфатических узлов может только квалифицированный специалист при визуальном осмотре. Не стоит пытаться самостоятельно «помочь» себе, выдавливая образование, прогревая его или прикладывая компрессы. Лечение лучше доверить профессионалу.
| Возможная причина | Характеристики шишки | Дополнительные симптомы |
|---|---|---|
| Увеличенный лимфатический узел | Мягкая или упругая, подвижная, может быть болезненной при надавливании | Боль в горле, лихорадка, общее недомогание, недавняя инфекция (ОРВИ, ангина) |
| Киста (например, дермоидная, эпидермоидная) | Гладкая, округлая, подвижная, безболезненная, медленно растущая | Обычно отсутствуют, если киста не воспалена |
| Липома | Мягкая, подвижная, безболезненная, медленно растущая, под кожей | Обычно отсутствуют |
| Воспаление слюнной железы (сиаладенит) | Болезненная, плотная, может быть покраснение кожи над ней | Сухость во рту, боль при еде, лихорадка, гнойные выделения из протока |
| Абсцесс | Болезненная, плотная, горячая на ощупь, покраснение кожи, может быть флюктуация | Лихорадка, озноб, общее недомогание, сильная боль |
| Опухоль (доброкачественная или злокачественная) | Различные характеристики: может быть плотной, неподвижной, безболезненной или болезненной, быстрорастущей | Потеря веса, слабость, затруднение глотания, изменение голоса, онемение |
| Камень в слюнной железе (сиалолитиаз) | Болезненная, плотная, особенно при приеме пищи, может быть временное увеличение | Боль и отек, усиливающиеся при еде, уменьшение слюноотделения |
| Гематома | Мягкая или плотная, может быть синюшность кожи, возникает после травмы | Боль, отек, изменение цвета кожи |
Шишка на челюсти возле уха
Уплотнение в области челюсти может свидетельствовать о наличии лимфаденита, который часто возникает из-за инфекционного поражения. Важно помнить, что лимфатическая система очень чувствительно реагирует на изменения в организме, особенно когда инфекция расположена в непосредственной близости.
Воспалительный процесс обычно возникает в результате заболеваний ЛОР-органов и ротовой полости. Однако это состояние может быть вызвано и другими, более редкими заболеваниями. Только квалифицированный врач сможет подтвердить или опровергнуть их наличие.
Образование может ощущаться как мягкое, упругое или плотное при пальпации. Плотность может указывать на наличие доброкачественного новообразования.
Опытный специалист может определить причину заболевания по размеру образования: чем оно больше, тем выше вероятность злокачественного процесса. Если заболевание протекает вяло, шишки могут быть безболезненными и увеличенными. Однако при попадании инфекции в патологический очаг может произойти резкий рецидив, сопровождающийся сильной болью.
Если дискомфорт становится невыносимым, это может указывать на наличие значительного количества гноя в новообразовании или на возникновение других осложнений.
В некоторых случаях при злокачественных процессах могут образовываться шишки в области ушей. В таких ситуациях важно обратить внимание и на другие клинические симптомы. Если присутствует зубная боль или другие стоматологические проблемы, наблюдается уплотнение десен и слезотечение, пациенту необходимо пройти тщательное медицинское обследование. Лечение будет зависеть от точной причины появления симптомов.
https://youtube.com/watch?v=h889FcvXpWY
Шишка на нижней челюсти за ухом: что делать
Иногда этот симптом исчезает самостоятельно. Однако существуют определенные заболевания, при которых наблюдается отечность, и к ним следует относиться с особой серьезностью.
Что делать в такой ситуации? Не стоит откладывать визит к врачу, чтобы как можно скорее получить точный диагноз. Безусловно, именно таким образом можно достичь выздоровления. Применение любых медикаментов или методов альтернативной медицины без консультации специалиста может лишь усугубить ситуацию.
Следует незамедлительно обратиться к врачу и отложить все дела, особенно если:
- лимфатические узлы значительно увеличены;
- патологическая область вызывает сильную боль и дискомфорт;
- причина появления симптома не связана с ОРВИ;
- образование начинает заполняться гнойным содержимым и меняет цвет;
- у пациента проявляются другие клинические признаки.
Если уплотнение возникло за ухом, лечение может включать прием противогрибковых препаратов и антибиотиков, направленных на подавление инфекции и предотвращение образования соединительной ткани. Особое внимание следует уделить гигиене пораженной области, избегая ее загрязнения и трения о одежду.
При наличии кисты пациенту могут назначить инъекции кортизона, а также рекомендовать хирургическое вмешательство под местной анестезией или лазерное лечение. Лекарственное средство может вводиться непосредственно в патологическую область, что способствует рассасыванию жировой ткани и исчезновению образования.
Шишки, возникшие в результате онкологических заболеваний, требуют особого внимания и тщательного обследования. Лечением таких пациентов должен заниматься квалифицированный онколог.
Если лимфоузлы воспалены, необходимо устранить вирус или инфекцию, вызвавшую это состояние. Эффективную стратегию лечения может назначить только врач.
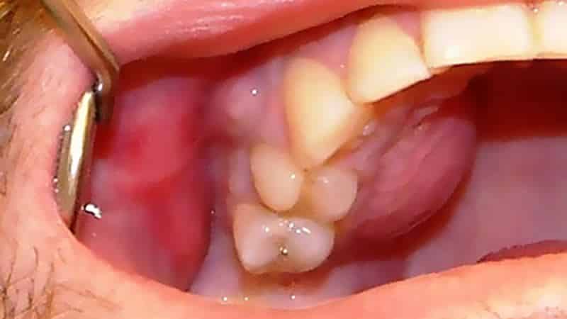
Шишка на челюсти под зубом
Пациенты нередко замечают уплотнения на деснах, и эта проблема может иметь множество причин. Уплотнения часто возникают из-за воспалительных процессов или хронических заболеваний корня зуба.
Для точной диагностики необходимо провести рентгенографию:
- внутренние свищи. В этом случае десна становятся красными и уплотненными, а образование может достигать около пяти миллиметров в диаметре. Белый кончик уплотнения сигнализирует о том, что гной может вскоре выйти наружу. Специалисты рекомендуют проводить полоскания с содой и солью в домашних условиях;
- шишка на десне может быть следствием периодонтита. Этот патологический процесс может привести к образованию свища, который прорывается наружу, и пациент может не испытывать боли. Врач определяет подходящую тактику лечения, и это не всегда связано с проблемами зубов. Прогноз в таких случаях, как правило, благоприятный;
- периостит. При этой патологии воспаляется надкостница, и на десне в области корня зуба появляется шишка. Гной, накопившийся в области корня, может пробираться через костную ткань и выходить наружу, образуя шишку на десне;
- кисты на деснах также встречаются довольно часто. Они обычно не болят, имеют плотную текстуру, а изо рта может исходить неприятный запах. Установить диагноз можно только после рентгеновского снимка;
- иногда на деснах возникают доброкачественные опухоли. Удалить такие новообразования можно хирургическим путем;
- у маленьких детей шишки могут образовываться из-за прорезывания молочных зубов;
- также появление шишек может сопровождать рост постоянных зубов, и в этом случае обязательно нужно обратиться к врачу;
- воспаление в области корня зуба может быть вызвано непролеченным кариесом. Накопившийся гной образует свищ, который выходит наружу. При пальпации такие образования могут быть болезненными;
- припухлость на десне может возникнуть в результате травмы. Дети часто тянут в рот различные предметы, что может привести к образованию гематомы. Следует наблюдать за состоянием: если припухлость уменьшается, то это, скорее всего, именно она.
Как видно, причин появления шишек на верхней и нижней челюсти множество. Некоторые из них могут быть опасными, другие — безобидными, но все они требуют внимания. Помните, что даже незначительное нагноение может привести к отравлению организма.
Гнойные образования, возникающие время от времени, могут свидетельствовать о слабом иммунитете, нехватке витаминов или пренебрежении гигиеническими нормами. Это также могут быть последствия системных заболеваний или инфекций, что требует незамедлительного лечения.
Если у ребенка обнаружена шишка, необходимо немедленно обратиться к врачу. Это состояние требует обязательного лечения, иначе нагноение корня может привести к повреждению зачатков зуба. Вероятность такого исхода достаточно высока, поэтому не занимайтесь самолечением и сразу обращайтесь в медицинское учреждение.
https://youtube.com/watch?v=QzAYBz2gNeU
Причины появления шишек под челюстью
Шишки под нижней челюстью могут возникать по различным причинам, и их появление часто вызывает беспокойство у пациентов. Важно понимать, что такие образования могут быть как безобидными, так и свидетельствовать о серьезных заболеваниях. Рассмотрим основные причины появления шишек в этой области.
1. Лимфаденопатия: Одной из самых распространенных причин появления шишек под челюстью является увеличение лимфатических узлов. Это может происходить в результате инфекций, таких как простуда, грипп, ангина или стоматит. В таких случаях шишки обычно мягкие на ощупь и могут быть болезненными при нажатии.
2. Инфекции: Бактериальные или вирусные инфекции, такие как паротит (свинка) или остеомиелит, могут вызывать воспаление и отек в области челюсти. При этом шишка может быть горячей на ощупь и сопровождаться другими симптомами, такими как высокая температура и общее недомогание.
3. Кисты и опухоли: Шишки могут быть результатом образования кист или опухолей, как доброкачественных, так и злокачественных. Кисты, такие как ретенционные кисты слюнных желез, могут образовываться в результате закупорки протока. Опухоли, как правило, требуют более тщательного обследования и могут потребовать биопсии для определения их природы.
4. Травмы: Ушибы или травмы в области челюсти могут привести к образованию гематом или отеков, которые могут выглядеть как шишки. В таких случаях важно следить за симптомами, такими как боль, ограничение подвижности и изменение цвета кожи.
5. Стоматологические проблемы: Заболевания зубов, такие как абсцессы или периодонтит, могут вызывать воспаление и отек в области нижней челюсти. Шишка может быть связана с инфекцией, которая требует немедленного стоматологического вмешательства.
6. Аллергические реакции: В редких случаях шишки могут возникать в результате аллергических реакций на укусы насекомых или на определенные продукты питания. В таких случаях шишка может сопровождаться зудом и покраснением кожи.
Каждая из этих причин требует индивидуального подхода к диагностике и лечению. Если вы заметили шишку под нижней челюстью, особенно если она не проходит в течение нескольких дней или сопровождается другими симптомами, такими как боль, отек или лихорадка, важно обратиться к врачу для получения квалифицированной медицинской помощи.
Диагностика шишек под челюстью
Диагностика шишек под челюстью требует комплексного подхода и может включать в себя несколько методов, направленных на определение причины их появления. Первоначально, при обращении к врачу, пациент проходит осмотр, в ходе которого специалист оценивает размер, форму, консистенцию и болезненность образования. Важно также выяснить, когда именно появилась шишка, какие сопутствующие симптомы наблюдаются (например, боль, отек, покраснение), а также наличие заболеваний в анамнезе.
Следующим этапом диагностики может стать ультразвуковое исследование (УЗИ). Этот метод позволяет получить детальную картину мягких тканей и выявить наличие воспалительных процессов, кист, опухолей или других аномалий. УЗИ является безопасным и неинвазивным методом, который часто используется в педиатрической практике.
В некоторых случаях может потребоваться рентгенография или компьютерная томография (КТ). Эти методы визуализации помогают оценить состояние костной ткани и выявить возможные патологии, такие как остеомиелит или опухоли челюсти. Рентгенография может быть особенно полезной, если есть подозрение на наличие зубных проблем, таких как кисты или абсцессы.
Если шишка под челюстью вызывает подозрения на злокачественное образование, врач может назначить биопсию. Этот метод включает в себя забор образца ткани для последующего гистологического исследования, что позволяет точно определить природу образования и исключить рак.
Кроме того, важно провести лабораторные исследования, такие как общий анализ крови, который может показать наличие воспалительного процесса, а также специфические маркеры, указывающие на инфекцию или другие заболевания. В некоторых случаях может потребоваться анализ на наличие вирусов или бактерий, особенно если шишка связана с инфекционными заболеваниями, такими как свинка или лимфаденит.
Наконец, для более точной диагностики может потребоваться консультация специалистов, таких как стоматолог, отоларинголог или онколог, в зависимости от предполагаемой причины образования. Совместная работа различных специалистов позволяет более точно определить диагноз и назначить соответствующее лечение.
Профилактика шишек под челюстью
Профилактика шишек под челюстью включает в себя несколько ключевых аспектов, которые помогут снизить риск их появления и поддерживать здоровье полости рта и челюстно-лицевой области.
1. Регулярные стоматологические осмотры: Один из самых эффективных способов профилактики – это регулярные визиты к стоматологу. Специалист сможет выявить возможные проблемы на ранних стадиях, такие как инфекции или кисты, которые могут привести к образованию шишек.
2. Поддержание гигиены полости рта: Ежедневная гигиена полости рта играет важную роль в профилактике заболеваний десен и инфекций. Рекомендуется чистить зубы дважды в день с использованием фторсодержащей зубной пасты и не забывать о зубной нити для удаления остатков пищи между зубами.
3. Правильное питание: Сбалансированное питание, богатое витаминами и минералами, способствует укреплению иммунной системы и снижает риск инфекций. Включение в рацион продуктов, богатых витамином C (цитрусовые, ягоды, овощи), помогает поддерживать здоровье десен и тканей.
4. Избегание травм: Травмы челюсти могут привести к образованию шишек. Поэтому важно быть осторожным при занятиях спортом и использовать защитное снаряжение, если это необходимо. Также следует избегать чрезмерного давления на челюсть, например, при привычке скрежетать зубами.
5. Контроль хронических заболеваний: Некоторые хронические заболевания, такие как диабет, могут повышать риск инфекций и воспалений. Важно контролировать свое состояние и следовать рекомендациям врача для минимизации рисков.
6. Избегание курения: Курение негативно сказывается на здоровье десен и может способствовать развитию различных заболеваний полости рта. Отказ от курения поможет улучшить общее состояние здоровья и снизить риск образования шишек.
7. Устранение стрессов: Стресс может приводить к привычке скрежетать зубами (бруксизм), что, в свою очередь, может вызвать напряжение в челюсти и образование шишек. Практики релаксации, такие как йога или медитация, могут помочь в управлении стрессом.
Следуя этим рекомендациям, можно значительно снизить риск появления шишек под нижней челюстью и поддерживать здоровье челюстно-лицевой области. Однако, если шишка уже появилась, важно обратиться к врачу для диагностики и лечения.




