Зубной штифт – важный элемент стоматологии для восстановления поврежденных зубов. В статье рассмотрим, что такое зубной штифт, процесс его установки и условия, которые нужно учитывать. Узнаете о возможных осложнениях после процедуры и получите рекомендации по уходу за зубами с установленным штифтом. Эта информация будет полезна пациентам и стоматологам, желающим повысить свою осведомленность о современных методах лечения.
Что такое штифтовый зуб
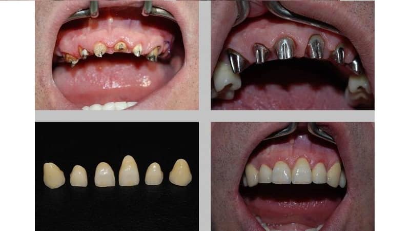
Пораженный зуб, если не получить должного лечения, со временем начинает разрушаться. В какой-то момент ситуация может стать критической, и восстановление зуба превратится в сложный процесс. Простое пломбирование здесь уже не поможет, и специалисты принимают решение установить зубной штифт, как показано на фото.
На изображении представлена процедура установки штифта в зуб. Что это за конструкция? Это изделие из прочного материала, которое вводится в корень зуба для его укрепления. В результате зубы восстанавливаются до нормального и здорового состояния, что позволяет им участвовать в процессе жевания. В некоторых случаях установка штифта необходима перед протезированием коронок или коррекцией зубного ряда с помощью специального протеза.
Врачи-стоматологи отмечают, что установка зубного штифта — это важная процедура, позволяющая восстановить утраченные зубы и вернуть пациентам уверенность в своей улыбке. Сначала стоматолог проводит тщательное обследование, чтобы определить состояние зуба и окружающих тканей. Затем, при необходимости, выполняется анестезия для минимизации дискомфорта.
После этого врач удаляет поврежденную часть зуба и подготавливает канал для штифта. Важно, чтобы канал был очищен и дезинфицирован. Затем в него помещается штифт, который может быть металлическим или композитным, в зависимости от клинической ситуации и предпочтений пациента.
После установки штифта стоматолог заполняет канал специальным материалом, который обеспечивает надежную фиксацию и защиту от инфекции. Врачи подчеркивают, что правильная установка штифта способствует долговечности реставрации и сохранению здоровья зуба. Важно также следовать рекомендациям врача по уходу за зубами после процедуры для достижения наилучших результатов.
https://youtube.com/watch?v=J8wAFmUkFr4
Показания
Список показаний для установки зубных штифтов, которые можно выбрать по изображению, довольно ограничен и включает в себя следующие пункты:
- повреждение зубной коронки;
- ослабление зуба в результате лечения стоматологических заболеваний;
- необходимость создания надежной опоры для протезирования;
- удаление зуба с последующим восстановлением после лечения инфекционного процесса.
Чтобы применение штифта было оправданным, необходимо соблюсти следующие условия:
- корень зуба должен иметь минимальную толщину 2 мм;
- канал должен быть распломбирован как минимум на две трети и иметь цилиндрическую форму.
Если стоматолог определил наличие показаний для установки штифта на зуб, как показано на фото, то процедура может быть выполнена.
| Этап процесса | Описание действия | Используемые материалы/инструменты |
|---|---|---|
| Диагностика и планирование | Оценка состояния зуба, определение необходимости штифта, выбор типа штифта, планирование лечения. | Рентгеновский снимок, стоматологический зонд, зеркало, компьютерная томография (при необходимости). |
| Подготовка корневого канала | Удаление пораженных тканей, расширение и формирование корневого канала для установки штифта. | Эндодонтические файлы, боры, ирригационные растворы (гипохлорит натрия, ЭДТА). |
| Установка штифта | Введение штифта в подготовленный корневой канал, фиксация штифта с помощью цемента. | Зубной штифт (металлический, стекловолоконный, углеродный), цемент для фиксации штифтов, аппликатор для цемента. |
| Восстановление коронковой части | Наращивание культи зуба вокруг штифта, подготовка зуба к установке коронки. | Композитный материал, матричные системы, светополимеризационная лампа, боры для препарирования. |
| Установка коронки (при необходимости) | Фиксация искусственной коронки на восстановленный зуб. | Зубная коронка (металлокерамическая, цельнокерамическая, циркониевая), цемент для фиксации коронок. |
Противопоказания
Существуют определенные обстоятельства, при которых проведение процедуры не рекомендуется, несмотря на наличие показаний. К таким обстоятельствам относятся:
- отсутствие коронки на фронтальной части зуба;
- наличие кариеса;
- толщина стенок корней менее двух миллиметров;
- недостаточная длина корня для достижения необходимой высоты;
- проблемы с коагуляцией крови;
- менструальный цикл;
- психические расстройства;
- беременность;
- воспалительные процессы в пародонтальных тканях;
- другие стоматологические заболевания.
Наиболее распространенные причины, по которым установка штифта может быть невозможна, связаны с заболеваниями зубов и полости рта.
В таких случаях сначала необходимо пройти курс лечения, а затем уже заниматься восстановлением зуба. Если женщина находится в положении, лучше дождаться рождения ребенка. Со всеми остальными проблемами стоит смириться или рассмотреть альтернативные методы восстановления.
https://youtube.com/watch?v=9pTxH4i1BIk
Больно ли это
В современной стоматологии болезненные ощущения уже давно не являются неотъемлемой частью многих сложных процедур. При установке штифтов для зубов, как показано на изображении, используется анестезия. В данном случае достаточно одного укола для местного обезболивания, так как применение общего наркоза нецелесообразно.
С помощью локального обезболивания удается частично «заморозить» область лица. Пациент не ощущает ничего или же чувствует лишь легкие манипуляции, которые проводит врач.
Исходя из этого, можно сделать вывод, что данная процедура абсолютно безопасна и безболезненна, однако это не единственный довод в пользу такого вмешательства.
Во время процедуры извлекается пульпа, а также переплетаются нервы и сосуды. Если в процессе установки и возникнут какие-либо неприятные ощущения, то они будут незначительными и вполне терпимыми.
Как вставляют зубы на штифтах
Далее мы подробно рассмотрим процесс установки штифта в зуб под пломбу. Эта процедура включает в себя несколько ключевых этапов:
- Перед началом манипуляции пациента тщательно обследуют. Если выявляются какие-либо патологии, которые могут усложнить операцию, проводится необходимое лечение.
- Врач должен оценить толщину зубных тканей и общее состояние зуба. На основе этой информации выбираются подходящие материалы и тип крепления.
- Если на зубе уже есть пломба, как же происходит установка штифта? Перед процедурой стоматологи рекомендуют провести профессиональную чистку зубов. Это необходимо для удаления налета и снижения количества бактерий, которые могут попасть в пораженный участок во время вмешательства.
- В день процедуры пациенту следует воздержаться от еды за несколько часов до манипуляции.
- В десну вводится обезболивающий укол. Рабочая область проверяется на чувствительность. К процедуре можно приступать только после полного действия анестезии.
- Если это необходимо, стоматолог очищает и расширяет корневой канал. Рабочая поверхность обрабатывается антисептиком.
- При установке пассивного штифта используется специальная цементирующая смесь.
- В корневой канал вводится штифт, который устанавливается либо закручивающими движениями, либо погружается внутрь.
- Смесь сушится с помощью специальной лампы.
- Если протез еще не изготовлен, на этом этапе собирается вся необходимая информация.
- После изготовления протеза его устанавливают на временную основу и проверяют на предмет отторжения. Этот процесс занимает минимум неделю. Если все прошло успешно, коронка или протез фиксируются на постоянной основе.
- Через некоторое время после процедуры назначается профилактический осмотр. Специалист проверяет, насколько хорошо прижился штифт и удобно ли пациенту с ним. В случае необходимости протез может быть отправлен на доработку.
Конечный результат лечения будет зависеть от того, насколько точно пациент следовал рекомендациям специалиста.
Рекомендации после установки
Сразу после процедуры пациент не может сразу вернуться к своему обычному образу жизни. В течение некоторого времени необходимо придерживаться определенных рекомендаций:
- Полный отказ от твердой пищи. В рационе должна преобладать мягкая еда.
- В первый день следует полностью воздержаться от чистки зубов.
- Использование зубочисток строго запрещено.
- Не рекомендуется употреблять семечки и орехи.
- Важно соблюдать все указания врача.
- Необходимо посещать дополнительные осмотры.
Могут ли возникнуть осложнения после установки
Даже при соблюдении всех рекомендаций существует небольшая вероятность возникновения нежелательных последствий. Наиболее серьезным из них является отторжение имплантата организмом. Первые болезненные ощущения могут появиться уже через несколько дней. В таком случае необходимо полное удаление устройства из ротовой полости.
С учетом современных технологий, вероятность отторжения составляет примерно 10%. Чаще всего после процедуры возникают проблемы с периодонтом, что может быть вызвано элементарными ошибками врача или термическим воздействием на связку во время расширения каналов. Без должного лечения это может привести к полной потере зуба.
Также проблемы могут возникнуть по вине самого пациента. Например, если человек не соблюдает элементарные правила гигиены полости рта. Чистить зубы можно только через день после процедуры. В рану может попасть инфекция, которая начнет развиваться.
В большинстве случаев после вмешательства пациенты испытывают отечность и болезненность. Это нормальное явление, которое наблюдается в первые дни после процедуры. Рекомендуется использовать холодный компресс и принимать обезболивающее. Если симптомы сохраняются длительное время, необходимо срочно обратиться к стоматологу.
Особое внимание стоит уделить своей температуре. Ее повышение может свидетельствовать как о развитии инфекционного процесса, так и о возможном отторжении. В первые дни после процедуры это может быть нормальным явлением.
https://youtube.com/watch?v=lo-rbsRTMds
Подбор материала для штифта
При выборе материала для зубного штифта важно учитывать несколько факторов, таких как прочность, биосовместимость, долговечность и эстетические свойства. На сегодняшний день существует несколько основных типов материалов, которые используются для изготовления штифтов.
Первый и наиболее распространенный материал — это металл. Металлические штифты, чаще всего изготавливаемые из нержавеющей стали или титана, обладают высокой прочностью и устойчивостью к коррозии. Титан, в частности, известен своей отличной биосовместимостью, что делает его идеальным выбором для имплантатов и штифтов. Металлические штифты могут быть использованы как в качестве временных, так и постоянных решений, однако их эстетические качества оставляют желать лучшего, так как они могут быть заметны при улыбке.
Второй тип материала — это композитные смолы. Они представляют собой комбинацию пластиковых и стеклянных волокон, что обеспечивает хорошую прочность и эстетический вид. Композитные штифты могут быть окрашены в цвет зуба, что делает их практически незаметными. Однако, несмотря на их привлекательность, композитные материалы могут быть менее прочными по сравнению с металлическими, что ограничивает их использование в некоторых клинических ситуациях.
Также стоит упомянуть о керамических штифтах. Керамика обладает отличными эстетическими свойствами и высокой биосовместимостью, что делает ее хорошим выбором для пациентов, стремящихся к максимальному эстетическому результату. Однако керамические штифты могут быть более хрупкими и менее устойчивыми к механическим нагрузкам, что ограничивает их применение в некоторых случаях.
При выборе материала для штифта стоматолог должен учитывать индивидуальные особенности пациента, такие как состояние зуба, уровень нагрузки на зубной ряд и предпочтения пациента. Важно также учитывать, что каждый материал имеет свои преимущества и недостатки, и выбор должен основываться на тщательном анализе клинической ситуации.
В заключение, подбор материала для зубного штифта — это важный этап в процессе восстановления зуба, который требует внимательного подхода и учета множества факторов. Правильный выбор материала может значительно повлиять на долговечность и функциональность штифта, а также на общий эстетический результат лечения.
Этапы подготовки зуба к установке штифта
Подготовка зуба к установке штифта — это важный этап, который требует тщательного подхода и соблюдения всех необходимых процедур. Этот процесс включает несколько ключевых шагов, каждый из которых играет свою роль в обеспечении успешной установки штифта и долговечности восстановленного зуба.
1. Диагностика и планирование лечения
Перед началом процедуры стоматолог проводит полное обследование пациента. Это может включать рентгенографию, чтобы оценить состояние корней зуба и окружающих тканей. На основании полученных данных врач разрабатывает индивидуальный план лечения, определяя необходимость установки штифта и выбор его типа.
2. Обезболивание
Для обеспечения комфорта пациента во время процедуры стоматолог применяет местную анестезию. Это позволяет устранить болевые ощущения в области зуба, что делает процесс менее неприятным. В некоторых случаях, в зависимости от сложности процедуры и состояния пациента, может быть предложена общая анестезия.
3. Удаление поврежденной ткани
После обезболивания стоматолог приступает к удалению поврежденной или больной ткани зуба. Это может включать удаление кариеса, а также обрезку разрушенной части зуба. Важно удалить все пораженные участки, чтобы обеспечить надежное крепление штифта и предотвратить дальнейшее разрушение зуба.
4. Формирование канала для штифта
После удаления поврежденной ткани стоматолог формирует корневой канал, в который будет установлен штифт. Этот процесс включает использование специальных инструментов, таких как бор, для создания необходимой формы и размера канала. Важно, чтобы канал был чистым и сухим, что обеспечит хорошую адгезию штифта.
5. Дезинфекция канала
На этом этапе стоматолог проводит дезинфекцию корневого канала, чтобы устранить возможные бактерии и предотвратить инфекцию. Для этого используются антисептические растворы и специальные инструменты. Дезинфекция является критически важной для успешного заживления и долговечности штифта.
6. Сушка канала
После дезинфекции необходимо тщательно высушить корневой канал. Это делается с помощью специальных бумажных штифтов или других методов, чтобы удалить всю влагу. Сухой канал обеспечивает лучшую фиксацию штифта и предотвращает его смещение в будущем.
7. Установка штифта
На завершающем этапе стоматолог устанавливает штифт в подготовленный канал. Штифт может быть изготовлен из различных материалов, таких как металл или композитные материалы, в зависимости от клинической ситуации и предпочтений врача. После установки штифта канал заполняется специальным материалом, который обеспечивает дополнительную прочность и защиту.
Таким образом, этапы подготовки зуба к установке штифта требуют высокой квалификации стоматолога и тщательного выполнения всех процедур. Это обеспечивает не только успешную установку штифта, но и долговечность восстановленного зуба в будущем.
Сравнение штифтовых зубов с другими методами восстановления
Восстановление зубов — это важный аспект стоматологической практики, и выбор метода лечения зависит от состояния зуба и клинической ситуации. Штифтовые зубы представляют собой один из наиболее распространенных способов восстановления утраченных или поврежденных зубов, однако существуют и другие методы, такие как коронки, мосты и имплантаты. Рассмотрим подробнее преимущества и недостатки штифтовых зубов по сравнению с этими альтернативами.
Штифтовые зубы используются в случаях, когда зуб имеет значительное разрушение, но корневая система все еще здорова. Штифт устанавливается в корневой канал зуба, что позволяет создать прочную основу для дальнейшего восстановления с помощью коронки. Это позволяет сохранить большую часть натуральной структуры зуба, что является важным фактором для здоровья полости рта.
Сравнивая штифтовые зубы с коронками, можно отметить, что коронки часто требуют более значительного обтачивания здоровой части зуба. В то время как штифт позволяет сохранить больше натуральной ткани, коронка может быть необходима в случаях, когда зуб слишком сильно разрушен и не может быть восстановлен только с помощью штифта. Коронки обеспечивают хорошую эстетику и защиту, но могут потребовать более сложной процедуры установки.
Что касается мостов, то они используются для замещения отсутствующих зубов, но требуют обтачивания соседних зубов для установки опорных коронок. Это может привести к дополнительному повреждению здоровых зубов. Штифтовые зубы, в свою очередь, позволяют сохранить соседние зубы нетронутыми, что является значительным преимуществом.
Имплантаты представляют собой еще один метод восстановления зубов, который предлагает долговечное решение для замещения отсутствующих зубов. Однако установка имплантатов требует хирургического вмешательства и может быть более затратной. Штифтовые зубы, напротив, являются менее инвазивным вариантом и могут быть выполнены за одно посещение стоматолога, что делает их более доступными для многих пациентов.
Таким образом, выбор между штифтовыми зубами и другими методами восстановления зависит от конкретной клинической ситуации, состояния зуба и предпочтений пациента. Штифтовые зубы предлагают ряд преимуществ, таких как минимальное вмешательство, сохранение натуральной структуры зуба и возможность быстрого восстановления, что делает их популярным выбором в стоматологической практике.




