Периодонтит — воспалительное заболевание тканей, окружающих зуб, которое может привести к серьезным последствиям при отсутствии своевременной диагностики и лечения. В статье рассмотрим этапы лечения острого и хронического периодонтита, а также медикаментозные и хирургические методы терапии. Обсудим роль антибиотиков и возможные осложнения при недостаточном внимании к здоровью полости рта. Эта информация будет полезна пациентам и специалистам, желающим углубить свои знания в стоматологии.
Понятие заболевания и клиническая картина
В практике врачей выделяют три ключевые причины, способные вызвать развитие заболевания: инфекционная, медикаментозная и травматическая. Как следует из этих определений, инфекционный периодонтит возникает, когда в ткани десен или зубов проникают чуждые микроорганизмы, что в итоге приводит к появлению первых признаков воспалительного процесса.
Медикаментозная причина связана с длительным воздействием агрессивных химических веществ и соединений, содержащихся в некоторых лекарственных и не лекарственных препаратах, на слизистые и подслизистые ткани.
Даже чрезмерное употребление леденцов и таблеток с высоким содержанием ментола может спровоцировать патологические изменения в тканях. Травматическая причина возникает в результате механического или другого воздействия на определенный участок полости рта, что может привести к явным или микроскопическим повреждениям тканей. Такие травмы могут быть вызваны как бытовыми факторами, так и профессиональной деятельностью, например, при занятиях некоторыми видами спорта.
Основные признаки развития периодонтита включают: значительное опухание пораженной области, которое может распространяться на щеку, а также острую боль в зубе. Эти симптомы значительно затрудняют повседневную жизнь, так как мешают нормально принимать пищу и пережевывать.
Врачи подчеркивают, что лечение периодонтита требует комплексного подхода и включает несколько этапов. На первом этапе проводится диагностика, которая позволяет определить степень заболевания и состояние тканей. Затем следует профессиональная гигиена полости рта, направленная на удаление зубного налета и камней. Врачи рекомендуют использовать антисептические растворы и противовоспалительные препараты для снижения воспаления.
На следующем этапе может потребоваться медикаментозная терапия, включающая антибиотики для борьбы с инфекцией. Важно также назначить средства для укрепления десен и улучшения микроциркуляции. Врачи акцентируют внимание на необходимости регулярных визитов к стоматологу для контроля состояния и профилактики рецидивов. Кроме того, соблюдение рекомендаций по уходу за полостью рта и изменение образа жизни играют ключевую роль в успешном лечении периодонтита.
https://youtube.com/watch?v=Jtb5ddfU3AY
Основные этапы лечения
Существует множество методик, которые могут быть применены для лечения данного заболевания. Все они направлены на устранение воспалительного процесса и восстановление поврежденных тканей. Лечение периодонтита — это длительный и сложный процесс.
Этапы, входящие в этот процесс, независимо от выбранного метода, обычно делятся на следующие:
- Удаление поврежденных тканей. Методика выполнения этой процедуры зависит от степени поражения и тяжести заболевания. Однако любой подход включает тщательную обработку и санацию корневых каналов с использованием инструментов и медикаментозных антисептиков.
- На втором этапе необходимо устранить воспаление в тканях зуба и десны. Для этого применяются антибиотики, обладающие противовоспалительным эффектом. В течение нескольких дней после чистки и санации каналов пациенту потребуется выполнять определенные процедуры, включая некоторые виды физиотерапии, полоскания рта и прием лекарств. Все эти меры способствуют заживлению тканей, подавлению патогенной микрофлоры и устранению воспалительного абсцесса.
- На третьем этапе осуществляется пломбирование пораженного зуба. В зависимости от степени повреждения выбираются наиболее подходящие вспомогательные материалы: металлические или гуттаперчевые штифты, твердеющие пасты и так далее.
- После завершения всех этапов лечения рекомендуется проводить профилактические мероприятия, которые помогут предотвратить рецидив заболевания в будущем. К таким мерам относятся регулярные визиты к врачу, соблюдение правил гигиены полости рта и регулярное полоскание рта антисептическими средствами.
| Этап лечения | Основные действия | Рекомендуемые медикаменты и процедуры |
|---|---|---|
| Диагностика и подготовка | Сбор анамнеза, рентгенография, определение степени поражения, анестезия. | Местная анестезия (лидокаин, ультракаин), антисептики для обработки полости рта (хлоргексидин). |
| Механическая обработка корневых каналов | Удаление инфицированных тканей, расширение и формирование каналов, ирригация. | Эндодонтические инструменты (файлы, римеры), ирригационные растворы (гипохлорит натрия, ЭДТА), ультразвуковая активация. |
| Медикаментозная обработка и временное пломбирование | Введение антисептических и противовоспалительных препаратов в каналы, временное закрытие. | Антисептики (кальция гидроксид, метронидазол), кортикостероиды (дексаметазон), временные пломбировочные материалы (дентин-паста, цинк-эвгенольный цемент). |
| Постоянное пломбирование корневых каналов | Заполнение каналов герметичным материалом для предотвращения повторного инфицирования. | Гуттаперча, силеры (эпоксидные, цинк-оксид-эвгенольные), термопластическая обтурация. |
| Восстановление коронковой части зуба | Установка постоянной пломбы или коронки для восстановления функции и эстетики зуба. | Композитные материалы, стеклоиономерные цементы, коронки (металлокерамические, циркониевые). |
| Контроль и наблюдение | Регулярные осмотры, рентгенологический контроль, оценка эффективности лечения. | Рентгенография (через 3, 6, 12 месяцев), клинический осмотр. |
| Дополнительные рекомендации | Соблюдение гигиены полости рта, избегание перегрузок зуба, своевременное обращение к врачу. | Зубная щетка, зубная паста, зубная нить, ирригатор, ополаскиватели для рта. |
Медикаментозная терапия
Как лечить периодонтит? В большинстве случаев терапия включает применение медикаментов из группы антибиотиков. Эти препараты помогают достичь положительных результатов, таких как снижение воспаления и предотвращение попадания гнойных масс в кровоток пациента, что может привести к серьезным осложнениям.
Антибиотики при периодонтите также используются для того, чтобы остановить распространение инфекционных процессов на соседние ткани, находящиеся рядом с воспаленной зоной. Регулярный прием этих средств обеспечивает также обезболивающий эффект за счет устранения воспалительного очага.
Такое лечение чаще всего применяется в ситуациях, когда заболевание проявляется периодически, с чередованием обострений и ремиссий. Эта форма патологии называется хроническим периодонтитом. Использование антибиотиков в данном случае помогает предотвратить рецидивы.
https://youtube.com/watch?v=dzs8yqDTBbw
Хирургическое вмешательство
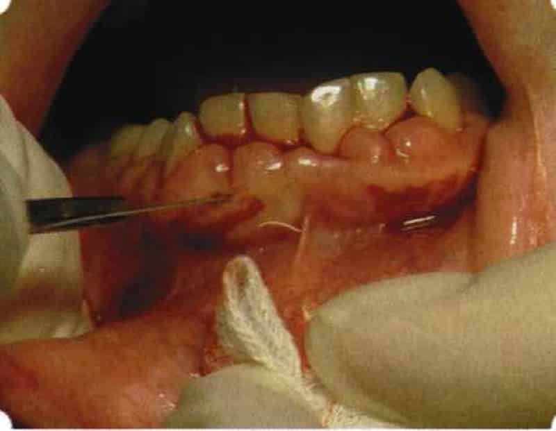
Лечение периодонтита с помощью хирургического вмешательства применяется довольно редко и, как правило, только в самых тяжелых и запущенных случаях. Этот подход включает полное или частичное удаление пораженных костных тканей, а также вскрытие области, где накапливались гнойные массы в течение болезни.
В настоящее время врачи чаще всего стремятся сохранить зуб.
При этом удалению подлежат только те его части, которые непосредственно подверглись разрушению. Оперативные методы также используются для лечения периодонтита, вызванного длительным или кратковременным воздействием определенных химических веществ. Для устранения последствий данной патологии необходимо не только удалить частицы химических соединений, но и провести обработку тканей, чтобы ликвидировать результаты негативного воздействия.
Физиотерапия
Физиотерапия применяется преимущественно для терапии заболеваний, имеющих хроническую форму. Данные процедуры помогают предотвратить повторное воспаление, уменьшая существующие очаги и устраняя патогенные микроорганизмы. К наиболее популярным методам можно отнести:
- лазерную терапию;
- электрофорез.
Однако стоит отметить, что острый периодонтит не поддается лечению с помощью этих методов. Использование физиотерапии в данном случае может привести к возникновению осложнений.
Дополнительные рекомендации
Наиболее важным советом при лечении периодонтита в любой его форме является незамедлительное обращение к врачу. Это необходимо делать уже при первых симптомах заболевания, так как в противном случае возрастает риск возникновения различных осложнений.
Среди наиболее серьезных осложнений можно выделить следующие: образование свищей и сепсис. Свищ представляет собой искусственный канал в тканях пациента, известный как свищевой ход, через который гнойные массы выводятся из области воспаления. Такая патология приносит пациенту не только физические страдания, проявляющиеся в острых болях, но и эстетические проблемы.
Сепсис — это инфекция крови, которая может возникнуть, если гной из воспаленной области попадет в лимфатическую и кровеносную системы пациента. В таких ситуациях существует серьезная угроза не только для здоровья, но и для жизни человека.
Кроме того, не стоит прибегать к различным народным методам лечения периодонтита. Их использование без медикаментозной терапии не только не принесет ожидаемого результата, но и может стать причиной возникновения различных осложнений.
https://youtube.com/watch?v=yNywXNvHnYs
Профилактика периодонтита
Профилактика периодонтита играет ключевую роль в поддержании здоровья десен и зубов. Основные меры, направленные на предотвращение этого заболевания, включают в себя как ежедневные гигиенические процедуры, так и регулярные визиты к стоматологу.
1. Ежедневная гигиена полости рта: Основой профилактики периодонтита является тщательная гигиена полости рта. Рекомендуется чистить зубы не менее двух раз в день с использованием фторсодержащей зубной пасты. Также важно использовать зубную нить или межзубные щетки для удаления остатков пищи и налета из труднодоступных мест между зубами.
2. Правильная техника чистки зубов: Чистка зубов должна проводиться с использованием правильной техники. Рекомендуется чистить зубы круговыми движениями, уделяя внимание каждому зубу и деснам. Необходимо избегать чрезмерного давления, чтобы не повредить десны.
3. Регулярные стоматологические осмотры: Посещение стоматолога не реже двух раз в год позволяет своевременно выявлять и устранять проблемы с зубами и деснами. Профессиональная чистка зубов помогает удалить зубной налет и камень, которые могут привести к воспалению десен.
4. Здоровое питание: Рацион, богатый витаминами и минералами, особенно витамином C и кальцием, способствует укреплению десен и зубов. Избегание избыточного потребления сахара и кислых продуктов также снижает риск развития кариеса и периодонтита.
5. Отказ от вредных привычек: Курение и чрезмерное употребление алкоголя негативно влияют на здоровье десен. Отказ от этих привычек значительно снижает риск развития периодонтита и других заболеваний полости рта.
6. Использование дополнительных средств: Применение антисептических ополаскивателей для рта может помочь в борьбе с бактериями, вызывающими воспаление десен. Однако такие средства не должны заменять чистку зубов, а использоваться как дополнение к основным гигиеническим процедурам.
Соблюдение этих рекомендаций поможет не только предотвратить периодонтит, но и поддерживать общее здоровье полости рта на высоком уровне. Важно помнить, что профилактика всегда проще и эффективнее, чем лечение уже возникших заболеваний.
Роль гигиены полости рта
Гигиена полости рта играет ключевую роль в профилактике и лечении периодонтита. Заболевание, связанное с воспалением тканей, окружающих зуб, часто возникает на фоне недостаточной гигиеничности. Плохая гигиена приводит к накоплению зубного налета и образованию зубного камня, что, в свою очередь, способствует развитию воспалительных процессов.
Основные аспекты гигиены полости рта включают:
- Чистка зубов: Рекомендуется чистить зубы не менее двух раз в день с использованием фторсодержащей зубной пасты. Важно уделять внимание всем поверхностям зубов, включая межзубные пространства.
- Использование зубной нити: Зубная нить помогает удалять налет и остатки пищи из труднодоступных мест между зубами, где обычная щетка не может достать.
- Полоскание рта: Полоскания антисептическими растворами могут помочь уменьшить количество бактерий в полости рта и снизить риск воспаления десен.
- Регулярные визиты к стоматологу: Профилактические осмотры и профессиональная чистка зубов у стоматолога не только помогают выявить проблемы на ранних стадиях, но и способствуют поддержанию здоровья десен.
Кроме того, важно учитывать, что некоторые факторы, такие как курение, неправильное питание и хронические заболевания, могут негативно влиять на состояние полости рта. Поэтому для эффективного лечения периодонтита необходимо не только соблюдать гигиену, но и вести здоровый образ жизни.
В заключение, поддержание надлежащей гигиены полости рта является основополагающим элементом в борьбе с периодонтитом. Это не только помогает предотвратить развитие заболевания, но и способствует его успешному лечению, если оно уже возникло.
Психологические аспекты лечения
Лечение периодонтита не ограничивается только физическим воздействием на зубы и десны; важную роль играют и психологические аспекты, которые могут существенно повлиять на успех терапии. Понимание и управление эмоциональным состоянием пациента, а также создание комфортной атмосферы в стоматологическом кабинете являются ключевыми факторами в процессе лечения.
Во-первых, многие пациенты испытывают страх и тревогу перед посещением стоматолога, особенно если у них уже есть негативный опыт. Это может привести к избеганию лечения и ухудшению состояния зубов и десен. Поэтому важно, чтобы стоматолог или гигиенист были внимательны к эмоциональному состоянию пациента. Установление доверительных отношений и открытое общение о процессе лечения могут помочь снизить уровень стресса.
Во-вторых, информирование пациента о каждом этапе лечения и объяснение необходимых процедур могут значительно уменьшить его беспокойство. Когда пациент понимает, что происходит, и знает, чего ожидать, это помогает ему чувствовать себя более уверенно. Важно также обсуждать возможные результаты лечения и его влияние на общее состояние здоровья.
Кроме того, использование методов релаксации, таких как глубокое дыхание или медитация, может быть полезным для пациентов, испытывающих сильный стресс. Некоторые стоматологические клиники предлагают специальные программы, направленные на снижение тревожности, включая музыку, ароматерапию или даже виртуальную реальность.
Не менее важным аспектом является поддержка со стороны близких. Пациенты, которые чувствуют поддержку и понимание со стороны семьи и друзей, чаще готовы пройти через курс лечения. Поэтому стоматологи могут рекомендовать пациентам привлекать близких к процессу, чтобы они могли оказать моральную поддержку.
Наконец, важно помнить, что успешное лечение периодонтита требует не только профессионального подхода со стороны стоматолога, но и активного участия самого пациента. Психологическая готовность к лечению, понимание его важности и готовность следовать рекомендациям врача играют решающую роль в достижении положительных результатов.



