Удаление зубного камня — важная процедура для здоровья полости рта, но многие пациенты боятся боли. В этой статье мы обсудим, насколько болезненно удаление зубного камня, и познакомим с современными методами: ультразвуковой чисткой и механическим удалением. Понимание этих процессов поможет развеять мифы и сделать осознанный выбор для здоровья зубов.
Удаление зубного камня
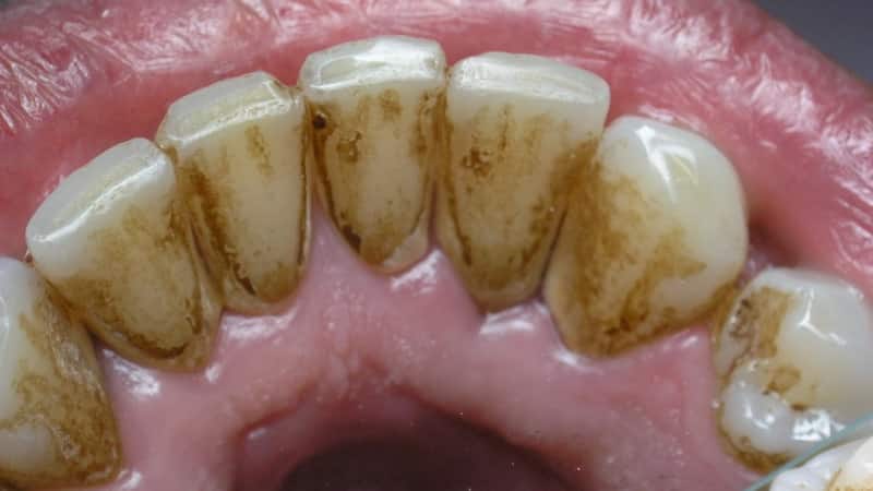
Образование зубного камня — это естественный и неизбежный процесс, и многие люди задаются вопросом, стоит ли удалять его и есть ли в этом необходимость.
Ответ однозначен — да, стоит! Это неприятное образование на 90% состоит из патогенных микроорганизмов и макрофлоры, а остальные компоненты не столь значимы. Достаточно того, что такой состав способствует развитию кариеса и парадонтита. Кроме того, зубной камень негативно сказывается на внешнем виде даже самой привлекательной и белоснежной улыбки.
Игнорирование проблемы с зубным камнем может привести к заболеваниям и даже необходимости удаления зуба. Поэтому вопрос о необходимости удаления накоплений становится особенно актуальным.
Образовавшиеся на зубах частицы имеют шероховатую поверхность, что способствует более частому налипанию пищи. В результате патогенная флора в ротовой полости увеличивается, и риск испортить свою улыбку становится весьма высоким.
Врачи-стоматологи отмечают, что удаление зубного камня, как правило, не вызывает значительного дискомфорта у пациентов. Процедура проводится с использованием специальных инструментов и может сопровождаться легким ощущением давления. Многие специалисты подчеркивают, что важность регулярного удаления зубного камня неоспорима, так как накопление налета может привести к серьезным стоматологическим проблемам, таким как кариес и заболевания десен.
Некоторые пациенты могут испытывать повышенную чувствительность, особенно если у них уже есть проблемы с деснами. В таких случаях стоматологи рекомендуют использовать анестезию или обезболивающие средства для минимизации неприятных ощущений. В целом, большинство людей отмечают, что процедура проходит быстро и безболезненно, а результат в виде улучшения состояния полости рта стоит небольших неудобств. Регулярные визиты к стоматологу помогут избежать накопления зубного камня и связанных с ним проблем.
https://youtube.com/watch?v=LF54q7FzZ5U
Способы избавления от зубного камня
Удаление зубного камня — это довольно сложный процесс, и лучше всего доверить его профессионалам в стоматологической клинике. Хотя существует множество домашних рецептов и методов, позволяющих избавиться от неприятных затвердевших образований на зубах, они не всегда эффективны. Также на рынке представлены различные специальные пасты, которые помогают предотвратить образование зубного камня. Однако даже при тщательной чистке зубов обычной пастой, камень может все равно образовываться.
Существует два основных метода удаления зубного камня:
— ультразвуковой
— механический. Механический метод, в свою очередь, делится на ручной, автоматический и комбинированный.
Ультразвуковое удаление окаменевших частиц осуществляется с помощью специального устройства, называемого скалером. Этот метод считается более современным и щадящим для зубной эмали.
Ультразвук, соприкасаясь с твердыми отложениями, мгновенно их удаляет. Поэтому данная процедура абсолютно безболезненна. Если вас интересует, вызывает ли удаление зубного камня боль, ответ прост — нет.
Единственное, что может вызвать дискомфорт во время процедуры, — это промывание холодной водой. Если вы знаете о своей чувствительности, сообщите об этом специалисту, и он проведет промывание теплой водой, что сделает процедуру более комфортной.
Преимущества ультразвукового метода заключаются не только в его безболезненности, но и в способности ультразвука уничтожать бактерии, обитающие на поверхности зубов. Кроме того, он удаляет не только видимые твердые частицы, но и скрытые, которые невозможно увидеть невооруженным глазом.
Обязательным этапом ультразвукового удаления зубного камня является полировка, которая позволяет достичь максимальной гладкости зубной эмали, предотвращая задержку остатков пищи на зубах.
Механический метод удаления зубного камня считается несколько устаревшим, но многие стоматологи продолжают его использовать, так как он зарекомендовал себя как надежный. Этот процесс включает соскребание зубного камня с помощью кюреты — специального стоматологического инструмента.
Если говорить о том, вызывает ли механическое удаление зубного камня боль, то ответ — да, это может быть неприятно и даже травматично для десен. Специалист также должен очистить не только поверхность зубов, но и межзубные пространства и зубодесневые карманы.
К механическим методам также относится очищение с помощью вращающихся щеточек. В отличие от полностью механического метода, где специалист вручную соскребает камни, с помощью щеточек процесс проходит более автоматизированно, и стоматолог лишь направляет их движение. Обычно в клиниках применяются комбинированные методы для достижения наилучшего результата.
После завершения удаления налета зубы полируют до максимальной гладкости, чтобы остатки пищи не задерживались на поверхности. В конце процедуры зубы покрывают специальной пастой с высоким содержанием фтора для обеспечения длительной защиты и эффекта.
| Фактор | Влияние на боль | Рекомендации |
|---|---|---|
| Количество зубного камня | Чем больше камня, тем выше вероятность дискомфорта и боли, особенно при глубоких отложениях. | Регулярная гигиена и профилактические осмотры для предотвращения образования большого количества камня. |
| Состояние десен | Воспаленные, кровоточащие десны (гингивит, пародонтит) делают процедуру более чувствительной и болезненной. | Лечение воспаления десен до или во время удаления камня. Использование противовоспалительных ополаскивателей. |
| Чувствительность зубов | Повышенная чувствительность зубов к холоду, теплу или прикосновению может усиливать болевые ощущения. | Использование десенсибилизирующих паст до процедуры. Обсуждение с врачом возможности применения анестезии. |
| Метод удаления | Ультразвук: Обычно безболезненно, но может вызывать вибрацию и легкий дискомфорт. Ручные инструменты: Может быть более чувствительно, особенно при глубоких отложениях. Пескоструй: Обычно безболезненно, но может вызывать ощущение песка во рту. | Выбор метода зависит от объема камня и индивидуальной чувствительности. Обсудите с врачом оптимальный вариант. |
| Квалификация врача | Опытный врач работает аккуратно, минимизируя дискомфорт и риск повреждения десен. | Выбирайте проверенную клинику и квалифицированного специалиста. |
| Применение анестезии | Местная анестезия полностью устраняет боль во время процедуры, делая ее комфортной. | Рекомендуется при большом объеме камня, воспаленных деснах или повышенной чувствительности. |
| Индивидуальный болевой порог | У каждого человека свой уровень переносимости боли. | Обсудите свои опасения с врачом, чтобы он мог подобрать наиболее комфортный подход. |
| Послепроцедурный дискомфорт | Легкая чувствительность зубов и десен, небольшое кровотечение могут сохраняться несколько часов или дней. | Избегайте горячей, холодной, кислой и острой пищи. Используйте мягкую зубную щетку. |
Необходимость процедуры удаления зубного камня
В настоящее время, когда платная медицина предлагает широкий ассортимент услуг, становится довольно сложно определить, какие из них действительно необходимы. Многие стоматологи предлагают различные процедуры, порой с целью извлечения прибыли, не всегда объясняя их необходимость. В результате пациенты начинают сомневаться в целесообразности тех или иных манипуляций. Например, возникает вопрос: нужно ли удалять зубной камень, не повредит ли это эмали и деснам? Так является ли эта процедура обязательной?
Ответ на этот вопрос прост и однозначен – да, это необходимо. Регулярное удаление зубного камня должно проводиться не реже одного раза в полгода. Это связано с тем, что, как уже упоминалось, зубной камень на более чем 80% состоит из патогенной макро- и микрофлоры, которая накапливается ежедневно во время еды и обрастает новыми микроорганизмами.
Игнорирование появления зубного камня может привести к серьезным заболеваниям полости рта, таким как парадонтит, который может стать причиной потери даже внешне здорового зуба. Кроме того, зубные отложения могут спровоцировать развитие заболеваний желудочно-кишечного тракта, так как вредные микроорганизмы проникают в пищевод и далее, вызывая различные недуги.
Тем не менее, избежать образования зубного камня вполне возможно. Для этого достаточно тщательно соблюдать гигиену ротовой полости утром и вечером, а также полоскать рот теплой водой после каждого приема пищи. Особое внимание следует уделять зубным карманам и межзубным промежуткам. На процесс образования зубного камня также влияют состав употребляемой воды и рацион питания. Однако главное – это правильный уход за полостью рта: чистить зубы дважды в день и регулярно проходить профилактические осмотры у стоматолога. Специалист сможет определить наличие проблем и посоветовать, когда следует провести процедуру удаления зубного камня.
Не стоит также беспокоиться о болезненности данной процедуры. Современная стоматология достигла значительных успехов, и вы можете выбрать клинику, где избавление от неприятных отложений и налета пройдет безболезненно.
Если вы будете следовать простым рекомендациям по уходу за полостью рта, постоянно контролировать состояние своих зубов и наличие зубного камня, а также регулярно посещать стоматолога, у вас не возникнет проблем со здоровой и красивой улыбкой.
https://youtube.com/watch?v=OHI5kzN7G2U
https://youtube.com/watch?v=n0IChICJtUE
Подготовка к процедуре удаления зубного камня
Перед тем как приступить к удалению зубного камня, важно правильно подготовиться к процедуре. Это поможет снизить уровень стресса и сделать процесс более комфортным. Вот несколько ключевых аспектов, которые стоит учесть:
- Консультация с врачом: Прежде всего, необходимо записаться на консультацию к стоматологу. Специалист проведет осмотр полости рта, оценит состояние зубов и десен, а также определит объем работы. Это поможет избежать неожиданных ситуаций во время процедуры.
- Выбор метода удаления: Существует несколько методов удаления зубного камня, включая механическое и ультразвуковое. Врач объяснит преимущества и недостатки каждого из них, что позволит выбрать наиболее подходящий вариант для вашего случая.
- Обсуждение анестезии: В зависимости от чувствительности ваших зубов и десен, стоматолог может предложить местную анестезию. Обсудите с врачом, насколько это необходимо, и какие варианты анестезии доступны.
- Подготовка к процедуре: В день процедуры рекомендуется избегать приема пищи и напитков за 1-2 часа до визита к стоматологу. Это поможет избежать дискомфорта во время удаления зубного камня и снизит риск рвоты, если будет использована анестезия.
- Соблюдение гигиенических мер: Перед посещением стоматолога важно тщательно почистить зубы и использовать зубную нить. Это поможет врачу лучше оценить состояние полости рта и выявить возможные проблемы.
- Психологическая подготовка: Многие пациенты испытывают страх перед стоматологическими процедурами. Постарайтесь расслабиться и настроиться на положительный результат. Помните, что удаление зубного камня — это важная процедура для поддержания здоровья зубов и десен.
Следуя этим рекомендациям, вы сможете минимизировать дискомфорт и подготовиться к процедуре удаления зубного камня с максимальной эффективностью.
После процедуры: уход за полостью рта
После удаления зубного камня важно уделить особое внимание уходу за полостью рта, чтобы избежать возможных осложнений и сохранить здоровье зубов и десен. В первые дни после процедуры рекомендуется соблюдать несколько простых, но эффективных правил.
Во-первых, стоит обратить внимание на выбор пищи. В течение первых 24 часов после удаления зубного камня лучше избегать жесткой, горячей или острой пищи, так как это может вызвать дискомфорт и раздражение десен. Рекомендуется употреблять мягкие продукты, такие как йогурт, пюре или супы, которые не потребуют значительных усилий при жевании.
Во-вторых, необходимо следить за гигиеной полости рта. Чистить зубы можно, но следует быть осторожным, чтобы не повредить чувствительные десны. Рекомендуется использовать мягкую зубную щетку и нежные движения, чтобы не вызвать дополнительное раздражение. Также стоит обратить внимание на использование зубной нити или ирригатора, чтобы удалить остатки пищи из межзубных пространств.
В-третьих, важно избегать курения и употребления алкоголя в течение нескольких дней после процедуры. Эти факторы могут замедлить процесс заживления и увеличить риск воспаления десен. Если вы курите, постарайтесь воздержаться от этой привычки хотя бы на время восстановления.
Кроме того, рекомендуется использовать антисептические ополаскиватели для рта, которые помогут снизить риск инфекции и ускорить заживление. Однако перед использованием любых средств лучше проконсультироваться с вашим стоматологом, чтобы выбрать наиболее подходящий вариант.
Наконец, не забывайте о регулярных визитах к стоматологу для профилактических осмотров и чисток. Это поможет предотвратить образование зубного камня в будущем и поддерживать здоровье полости рта на должном уровне.
Следуя этим рекомендациям, вы сможете минимизировать дискомфорт после удаления зубного камня и обеспечить быстрое восстановление здоровья ваших зубов и десен.
Частота и регулярность удаления зубного камня
Удаление зубного камня является важной процедурой для поддержания здоровья полости рта. Однако многие пациенты задаются вопросом о том, как часто следует проводить эту процедуру и насколько она необходима. Частота удаления зубного камня зависит от нескольких факторов, включая индивидуальные особенности пациента, его гигиенические привычки и предрасположенность к образованию налета.
В среднем, стоматологи рекомендуют проводить профессиональную чистку зубов и удаление зубного камня не реже одного раза в шесть месяцев. Однако для некоторых людей, особенно тех, кто склонен к образованию налета, может потребоваться более частая процедура — раз в три-четыре месяца. Это касается пациентов с заболеваниями десен, курильщиков, а также людей с низким уровнем гигиены полости рта.
Регулярность удаления зубного камня также зависит от состояния зубов и десен. Если у пациента уже есть проблемы с деснами, такие как гингивит или пародонтит, стоматолог может рекомендовать более частые визиты для профессиональной чистки. Важно помнить, что зубной камень образуется из-за накопления налета, который, если его не удалять, может привести к более серьезным стоматологическим проблемам.
Кроме того, стоит учитывать, что некоторые факторы могут способствовать более быстрому образованию зубного камня. К ним относятся:
- Неправильная техника чистки зубов;
- Использование некачественных зубных щеток;
- Неправильное питание, богатое сахарами;
- Недостаток фтора в рационе;
- Наличие хронических заболеваний, таких как диабет.
Таким образом, регулярное удаление зубного камня — это не только профилактика, но и необходимость для поддержания здоровья зубов и десен. Стоматологи подчеркивают важность индивидуального подхода к каждому пациенту и рекомендуют проводить профилактические осмотры, чтобы определить оптимальную частоту чистки зубов в зависимости от состояния полости рта.


