Правильная чистка зубов — основа здоровья полости рта и профилактики стоматологических заболеваний. В статье рассмотрим механическую чистку зубов в домашних условиях и полезные советы по гигиене ротовой полости при беременности. Узнаете о способах удаления зубного налета и камня, что поможет поддерживать высокую гигиену и избежать проблем с зубами и деснами.
Очищение ротовой полости с помощью классической щетки
Многие считают, что с детства знают все о процедуре ухода за зубами. Однако, знания обычного человека часто далеки от реальности, и именно поэтому с каждым годом все больше людей обращаются к стоматологам с просьбой удалить мягкий желтый налет или твердый зубной камень, отбелить эмаль и устранить повышенную чувствительность.
При выборе зубной щетки важно учитывать несколько факторов: материал щетины и ее жесткость, длину и количество щетинок, а также их расположение (параллельное, перекрестное, многоуровневое и т.д.), размер и форму головки щетки.
Современные зубные щетки, как правило, изготавливаются из синтетических материалов, которые могут иметь различную жесткость (мягкие и жесткие). Для детей рекомендуется использовать специальные мягкие щетки, которые дополнительно обрабатываются в кипятке, чтобы минимизировать риск травмирования нежных тканей.
Многие люди часто забывают о сроке службы зубной щетки и продолжают использовать изношенные и непригодные изделия. Не забывайте, что на щетке имеется цветовой индикатор (пищевой краситель), который исчезает по мере истечения срока годности.
Чистка зубов во время беременности не отличается от обычной процедуры. Также на технику чистки не влияют возраст, пол, наличие заболеваний или особенности рациона.
Правила правильной гигиены полости рта:
- Наносим зубную пасту на щетку и очищаем наружные поверхности зубов, выполняя подметающие движения от десен к краям зубов.
- Аналогично очищаем внутренние поверхности зубов.
- Жевательные поверхности обрабатываем круговыми и поступательными движениями.
- Устанавливаем щетку в область щеки для очистки крайних зубов со всех сторон, так как в области третьих моляров часто скапливаются остатки пищи и налет, что может привести к кариесу и серьезным заболеваниям.
- Переворачиваем головку щетки и с помощью шероховатой поверхности тщательно очищаем язык, пока не удалим весь налет с сосочков.
- Полощем рот с помощью аптечных ополаскивателей.
Врачи-стоматологи подчеркивают важность правильной чистки зубов для поддержания здоровья полости рта. Они отмечают, что существует несколько методов, каждый из которых имеет свои преимущества. Классическая техника с использованием зубной щетки и пасты остается наиболее распространенной. Врачи рекомендуют выбирать щетку с мягкой щетиной, чтобы избежать повреждения десен.
Кроме того, все больше специалистов обращают внимание на электрические зубные щетки, которые обеспечивают более качественную чистку благодаря автоматическим движениям. Использование зубной нити и ирригаторов также играет важную роль в профилактике заболеваний десен и кариеса. Врачи советуют комбинировать различные методы, чтобы достичь наилучшего результата и сохранить здоровье зубов на долгие годы.
https://youtube.com/watch?v=KSNEY2WWQ5U
Гигиена ротовой полости с помощью флоссов
Флоссы – это специализированные стоматологические нити, предназначенные для удаления остатков пищи и налета из межзубных промежутков.
Современные флоссы различаются по следующим характеристикам:
- наличие ароматизаторов (ароматизированные и без запаха);
- наличие воскового покрытия (вощенные и невощенные);
- структура волокон (тисненные, закрученные, тонкие, классические и т.д.).
В большинстве случаев нити производятся из нейлона.
Флоссы играют важную роль в очищении труднодоступных участков полости рта, помогают в борьбе с кариесом и обеспечивают уход за ортопедическими конструкциями.
Этапы использования флосса:
- Наматываем длинный конец нити на средний палец одной руки, а оставшуюся часть – на аналогичный палец другой руки.
- С помощью указательных и больших пальцев обеих рук натягиваем нить и помещаем ее между зубами (длина отреза должна составлять до 30 мм).
- Оборачиваем нить вокруг основания зуба, аккуратно затягиваем и проводим очищение (движения нити вверх и вниз по поверхности зуба).
- Не забываем очищать задние поверхности самых дальних зубов (третьих моляров).
| Вид чистки | Описание | Рекомендуемая частота |
|---|---|---|
| Механическая (обычная) | Использование зубной щетки (мануальной или электрической) и зубной пасты для удаления налета и остатков пищи. | Минимум 2 раза в день (утром и вечером) по 2-3 минуты. |
| Межзубная | Очистка промежутков между зубами с помощью зубной нити, межзубных ершиков или ирригатора. | Ежедневно, желательно после каждого приема пищи или хотя бы 1 раз в день перед сном. |
| Языка | Удаление бактериального налета с поверхности языка с помощью специального скребка или обратной стороны зубной щетки. | Ежедневно, утром, после чистки зубов. |
| Профессиональная | Проводится стоматологом с использованием специализированных инструментов для удаления твердого зубного налета (камня) и пигментации. | Раз в 6-12 месяцев, в зависимости от индивидуальных особенностей и рекомендаций врача. |
| Специализированная (при ортодонтическом лечении) | Использование специальных щеток, ершиков и ирригатора для очистки брекетов, ретейнеров и других ортодонтических конструкций. | После каждого приема пищи и перед сном, с особой тщательностью. |
Использование зубных ершиков
Правильная гигиена полости рта включает в себя удаление налета и остатков пищи из межзубных промежутков, а также вдоль десен. Это помогает предотвратить развитие кариеса и гингивита.
Обычные зубные щетки не могут эффективно очищать эти труднодоступные участки, поэтому эксперты создали специальные ершики для межзубного пространства.
Инструкция по использованию ершика:
- Установите ершик на границе между зубами, подбирая удобный угол для доступа.
- Поменяйте угол ершика с наклонного на горизонтальный, чтобы очистить межзубное пространство.
- Продвигая ершик в промежуток между зубами, продолжайте, пока он не выйдет с другой стороны. После этого выполните несколько возвратно-поступательных движений.
https://youtube.com/watch?v=cQgUZA-XU-0
Другие приспособление для гигиены ротовой полости
Механическая чистка зубов от налета включает в себя использование различных популярных устройств, таких как электрические щетки, ирригаторы, скребки для языка и другие.
Электрические устройства для гигиены полости рта появились более полувека назад и были разработаны для того, чтобы облегчить процесс ухода за зубами без необходимости глубоких знаний в этой области. Поскольку многим пациентам не хватает мотивации выполнять необходимые движения вручную, были созданы приборы с головками, которые автоматически выполняют нужные действия.
Особую популярность приобрели щетки, работающие на основе звуковых волн. Они оснащены электромагнитным механизмом, который контролирует частоту и интенсивность вибраций. Эти устройства помогают уменьшить кровоточивость десен и эффективно удаляют органические остатки даже из десневых карманов.
Скребки для языка представляют собой плоские инструменты, изготовленные из пластика. Их шершавая поверхность позволяет удалять микробный налет и остатки пищи не только с поверхности, но и с корня языка.
В последнее время ирригаторы становятся все более популярными для удаления зубного камня в домашних условиях.
Наиболее распространенным вариантом в Европе и Америке является струйный ирригатор. Он подает струю воды под давлением, которая эффективно удаляет остатки пищи из труднодоступных мест, таких как десневые карманы, промежутки между зубами, мостовидные протезы и области вокруг имплантов. Сильная струя также обеспечивает гидромассаж, что способствует улучшению кровообращения в деснах.
Ирригаторы идеально подходят для очистки различных ортодонтических и ортопедических устройств, таких как импланты, пластинки, брекеты и капы.
Технология использования:
- Заполните резервуар прибора очищенной водой (можно добавить ополаскиватель или травяной отвар).
- Нажмите на поршень, чтобы под давлением струя попала в рот через индивидуальный наконечник.
- Микротурбина внутри устройства создает пузырьки, которые эффективно борются с налетом.
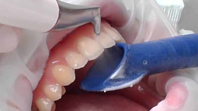
Профессиональная гигиена ротовой полости
Если вы запустили состояние своих зубов и не можете избавиться от темного налета и зубного камня с помощью обычных средств, вам стоит обратиться за профессиональной чисткой в стоматологическую клинику.
Многие задаются вопросом, можно ли беременным женщинам делать ультразвуковую чистку зубов. Ответ – да, это не только возможно, но и необходимо, так как зубы будущих мам становятся более хрупкими и подвержены кариозным бактериям. Квалифицированная и бережная ультразвуковая чистка поможет сохранить здоровье зубов даже при наличии различных заболеваний.
Ультразвуковая чистка обеспечивает отличную профилактику кариеса, удаляя зубные отложения различного характера, включая мягкий налет, известковые отложения, зубной камень и пигментные пятна от кофе, вина и сигарет. Кроме того, процедура включает легкое отбеливание, которое не вредит эмали. После чистки поверхность зубов становится гладкой, блестящей и менее подверженной воздействию бактерий. Также эта процедура помогает избавиться от неприятного запаха изо рта, эффективно предотвращает гингивит и кариес, а также снижает риск заболеваний десен, таких как пародонтит и пародонтоз.
На сегодняшний день одной из самых популярных методик ультразвуковой чистки является технология AirFlow. Она абсолютно безболезненна, но в случае повышенной чувствительности эмали может потребоваться местный наркоз с помощью инъекций.
Процедура занимает от 40 до 60 минут.
Этапы процедуры:
- Стоматолог удаляет известковые отложения и зубной камень с помощью ультразвукового аппарата и ручных инструментов.
- Используется технология AirFlow для удаления мягкого желтоватого налета.
- Область вокруг десен очищается с помощью ручных скейлеров.
- Эмаль полируется резиновыми щетками и профессиональными пастами.
- Проводится фторирование эмали с использованием специальных паст.
На приеме у стоматолога часто задают вопрос: «Как часто следует делать ультразвуковую чистку зубов?». Рекомендуется проходить эту процедуру 1-2 раза в год, в зависимости от того, насколько регулярно и правильно вы ухаживаете за полостью рта.
Таким образом, мы рассмотрели, как правильно ухаживать за ротовой полостью как в домашних условиях, так и в стоматологической клинике. Помните, чем более качественно вы будете проводить регулярную чистку дома, тем реже вам придется посещать стоматолога. Однако, если вы уже столкнулись с проблемами, такими как кариес или зубной камень, устранить эти недостатки сможет только специалист с использованием специального оборудования.
https://youtube.com/watch?v=Gqt7j2UyxeA
Правильная техника чистки зубов
Правильная техника чистки зубов является основой для поддержания здоровья полости рта и предотвращения различных стоматологических заболеваний. Существует несколько методов чистки зубов, каждый из которых имеет свои особенности и преимущества.
Первый и наиболее распространенный метод — это метод круговых движений. При этом способе зубная щетка располагается под углом 45 градусов к линии десен. Круговые движения помогают удалить налет с поверхности зубов и вдоль линии десен. Важно не прилагать слишком много усилий, чтобы не повредить десны. Рекомендуется чистить каждый зуб по отдельности, уделяя внимание как передней, так и задней поверхности.
Второй метод — это метод вертикальных движений. Он особенно эффективен для чистки задних зубов и зубов с жевательной поверхностью. Щетка также располагается под углом 45 градусов, но движения выполняются вверх и вниз. Этот способ позволяет тщательно очищать труднодоступные участки и помогает удалить остатки пищи.
Третий метод — это метод «покачивания». Он заключается в том, что щетка движется вперед и назад, а также в стороны. Этот способ подходит для людей с чувствительными деснами, так как он менее агрессивен. Однако важно помнить, что при использовании этого метода необходимо следить за тем, чтобы не оставалось налета на зубах.
Независимо от выбранной техники, важно помнить о времени чистки зубов. Рекомендуется чистить зубы не менее двух минут дважды в день — утром и вечером. Также стоит обратить внимание на выбор зубной щетки: она должна быть мягкой или средней жесткости, чтобы не повредить десны и эмаль зубов.
Кроме того, не стоит забывать о зубной пасте. Она должна содержать фтор, который укрепляет эмаль и защищает зубы от кариеса. Для людей с чувствительными зубами существуют специальные пасты, которые помогают уменьшить дискомфорт.
Важно также не забывать о чистке языка, так как на его поверхности скапливаются бактерии, которые могут вызывать неприятный запах изо рта. Для этого можно использовать специальный скребок для языка или просто щетку, аккуратно очищая поверхность языка.
В заключение, правильная техника чистки зубов — это залог здоровья полости рта. Следуя рекомендациям по технике и времени чистки, а также выбирая подходящие средства, можно значительно снизить риск развития стоматологических заболеваний и сохранить зубы здоровыми на долгие годы.
Выбор зубной пасты и её состав
Выбор зубной пасты является важным аспектом правильной гигиены полости рта, так как именно она помогает эффективно очищать зубы и защищать их от различных заболеваний. На рынке представлено множество видов зубных паст, и каждая из них имеет свои особенности и предназначение.
При выборе зубной пасты стоит обратить внимание на её состав. Основные компоненты зубной пасты включают:
- Абразивные вещества: Эти компоненты помогают удалять налет и зубной камень. К ним относятся диоксид кремния, карбонат кальция и другие. Важно, чтобы абразивность пасты соответствовала состоянию зубов: для чувствительных зубов лучше выбирать пасты с низким уровнем абразивности.
- Фтор: Это один из самых важных компонентов, который помогает укреплять зубную эмаль и предотвращать кариес. Фторид натрия и фторид олова — наиболее распространенные формы фтора в зубных пастах. Однако следует учитывать, что избыток фтора может привести к флюорозу, поэтому важно соблюдать рекомендуемую дозировку.
- Антибактериальные агенты: Такие вещества, как хлоргексидин или триклозан, помогают бороться с бактериями, вызывающими заболевания десен и кариес. Они особенно полезны для людей с повышенным риском заболеваний полости рта.
- Отбеливающие компоненты: Пасты с отбеливающим эффектом содержат специальные вещества, такие как перекись водорода или карбамид, которые помогают удалить пятна с поверхности зубов. Однако их использование должно быть ограничено, чтобы избежать повреждения эмали.
- Увлажняющие и смягчающие вещества: Глицерин и сорбитол помогают сохранить пасту в нужной консистенции и предотвращают её высыхание. Эти компоненты также способствуют комфортному ощущению во время чистки.
- Ароматизаторы и подсластители: Для улучшения вкуса и запаха пасты используются натуральные и искусственные ароматизаторы, а также подсластители, такие как ксилитол. Они делают процесс чистки зубов более приятным.
При выборе зубной пасты также стоит учитывать индивидуальные потребности. Например, для людей с чувствительными зубами подойдут пасты, содержащие специальные компоненты для уменьшения чувствительности. Для детей существуют специальные детские пасты с пониженным содержанием фтора и приятными вкусами. Людям, страдающим от заболеваний десен, рекомендуется использовать пасты с антибактериальными свойствами.
Кроме того, важно помнить, что зубная паста — это лишь один из элементов гигиены полости рта. Правильная техника чистки зубов и регулярные визиты к стоматологу также играют ключевую роль в поддержании здоровья зубов и десен.
Частота и время чистки зубов
Чистка зубов – это не только важная гигиеническая процедура, но и основа профилактики стоматологических заболеваний. Для достижения максимального эффекта важно соблюдать правильную частоту и время чистки зубов.
Рекомендуется чистить зубы не менее двух раз в день: утром и перед сном. Утреннее очищение помогает удалить налет, образовавшийся за ночь, а вечернее – избавляет от остатков пищи и бактерий, накопившихся за день. Чистка зубов перед сном особенно важна, так как во время сна слюноотделение уменьшается, и зубы становятся более уязвимыми к воздействию кислот, образующихся в результате жизнедеятельности бактерий.
Оптимальное время для чистки зубов составляет не менее двух минут. Это позволяет тщательно обработать каждую поверхность зубов: жевательную, вестибулярную (наружную) и язычную (внутреннюю). Для достижения наилучших результатов рекомендуется использовать таймер или специальное устройство, которое поможет контролировать время.
Кроме того, важно помнить о том, что чистка зубов должна проходить в спокойной обстановке, без спешки. Это позволит вам сосредоточиться на технике чистки и избежать пропуска участков, что может привести к образованию кариеса и другим стоматологическим проблемам.
Также стоит учитывать, что после еды желательно подождать хотя бы 30 минут перед чисткой зубов, особенно если вы употребляли кислые продукты или напитки. Это связано с тем, что кислоты могут ослабить эмаль, и немедленная чистка может привести к её повреждению. В таких случаях лучше просто прополоскать рот водой.
В заключение, соблюдение правильной частоты и времени чистки зубов является ключевым аспектом в поддержании здоровья полости рта. Регулярная и качественная гигиена поможет избежать множества проблем и сохранить зубы на долгие годы.




