Пародонтоз и пародонтит — серьезные заболевания десен, способные привести к потере зубов и осложнениям. Важным аспектом борьбы с ними является выбор зубной пасты, которая помогает снизить воспаление, укрепить десны и улучшить состояние полости рта. В статье рассмотрим эффективные зубные пасты при пародонтозе и пародонтите, а также рекомендации по гигиене полости рта и профилактике заболеваний десен.
Пародонтоз и пародонтит
Часто люди путают заболевания, которые внешне могут выглядеть схоже, но имеют совершенно разные значения. Например, грипп, простуда и ОРЗ многие считают синонимами. Аналогичная ситуация наблюдается и с пародонтозом и пародонтитом. Оба этих состояния влияют на здоровье зубов и десен, и их названия схожи, поэтому путаница вполне объяснима. Давайте подробнее рассмотрим, что собой представляют эти болезни.
Это крайне важно, так как механизмы развития пародонтоза и пародонтита существенно различаются, и, следовательно, подходы к их лечению тоже отличаются.
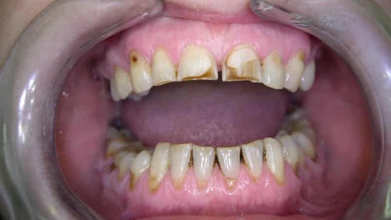
Что такое пародонтоз? Это заболевание, при котором происходит истончение и повреждение пародонтальных тканей — тех, что окружают здоровые зубы. В результате этого истончается и сам зуб (обычно процесс начинается у корня, что приводит к образованию щелей между зубами). Основной признак пародонтоза — кровоточивость десен, которая может проявляться не только во время чистки зубов (это считается нормой), но и при откусывании твердой пищи, например, яблока. Если вы хоть раз заметили, что после откусывания на пище остаются кровяные следы — незамедлительно обратитесь к стоматологу.
Симптомы пародонтоза могут проявляться следующим образом:
- зуд десен;
- повышенная чувствительность десен;
- увеличение отложений зубного камня;
- десны становятся светлее;
- отсутствие признаков воспаления;
- оголение шейки и корня зуба из-за истончения тканей вокруг зубов.
Если у вас наблюдаются признаки пародонтоза, важно немедленно обратиться к врачу. Если не начать лечение, это заболевание может привести к потере коренных зубов (по крайней мере, большинства из них), и в дальнейшем вы не сможете есть твердые продукты.
Пародонтит, в свою очередь, является заболеванием, которое сложно диагностировать. Дело в том, что его симптомы могут быть нечеткими, и пациент не испытывает боли или значительного дискомфорта на ранних стадиях.
Однако, если не предпринять меры, симптомы станут более выраженными и болезненными, а также опасными:
- гнойные выделения из области корней зубов;
- значительное истончение костной ткани зубов (зубы становятся очень узкими и тонкими);
- выраженное воспаление десен;
- подвижность зубов;
- сильный дискомфорт при пережевывании пищи.
К сожалению, если у вас появились эти симптомы, то обращение к врачу уже может быть запоздалым. При наличии гноя, воспаления десен и подвижности зубов лечение пародонтита становится слишком поздним; в большинстве случаев зубы удаляются, воспаление десен лечится, и пациенту предлагаются протезы (съемные или несъемные).
Несмотря на то, что эти заболевания совершенно разные, обе требуют срочного вмешательства.
Врачи-стоматологи подчеркивают важность выбора правильной зубной пасты для пациентов с пародонтозом. Специалисты рекомендуют использовать пасты, содержащие антисептики и противовоспалительные компоненты, такие как хлоргексидин или экстракты трав. Эти ингредиенты помогают уменьшить воспаление десен и предотвращают дальнейшее разрушение тканей. Кроме того, пасты с низким содержанием абразивных веществ менее травматичны для чувствительных десен. Врачи также советуют обращать внимание на наличие фтора, который укрепляет эмаль и защищает зубы от кариеса. Однако важно помнить, что зубная паста не заменяет профессиональную гигиену полости рта и регулярные визиты к стоматологу. Комплексный подход к лечению пародонтоза включает в себя не только правильный выбор пасты, но и соблюдение рекомендаций по уходу за полостью рта.
https://youtube.com/watch?v=dzs8yqDTBbw
Лечебные зубные пасты от пародонтоза
Хотя лечение данного заболевания обязательно требует вмешательства специалиста, пациент может самостоятельно облегчить некоторые его проявления:
- кровоточивость десен;
- повышенная чувствительность десен;
- дискомфорт при употреблении холодной, горячей, острой или сладкой пищи.
Зубная паста от пародонтоза помогает уменьшить чувствительность десен, поэтому вам подойдут любые лечебные средства с аналогичным эффектом. В дальнейшем мы рассмотрим наиболее эффективные и полезные зубные пасты для борьбы с пародонтозом.
Важно помнить, что пасты лишь временно облегчают симптомы. Они не устраняют причину заболевания, не останавливают его прогрессирование и не восстанавливают здоровье зубов. Для полноценного лечения необходимо обратиться к стоматологу.
| Название пасты | Активные компоненты | Действие |
|---|---|---|
| Lacalut Aktiv | Лактат алюминия, хлоргексидин, фторид алюминия | Уменьшает кровоточивость десен, обладает антибактериальным действием, укрепляет эмаль |
| Parodontax Комплексная защита | Бикарбонат натрия, фторид натрия, экстракты трав (ромашка, мята, мирра, шалфей, эхинацея) | Нейтрализует кислоты, укрепляет десны, уменьшает воспаление, освежает дыхание |
| Sensodyne Пародонтоз | Нитрат калия, фторид натрия, цитрат цинка | Снижает чувствительность зубов, укрепляет десны, борется с бактериями |
| President Exclusive | Хлоргексидин, фторид натрия, экстракты прополиса, тимьяна, ромашки | Мощное антибактериальное действие, противовоспалительный эффект, укрепление десен |
| Splat Professional Актив | Экстракты бадана, шлемника байкальского, спирулины, витамины А и Е, фторид натрия | Укрепляет десны, уменьшает кровоточивость, обладает антиоксидантным действием |
Лакалют Актив
Упаковка бело-красного цвета от немецкого бренда, безусловно, знакома многим. Среди профессиональных зубных паст она является одной из самых доступных и популярных; чаще всего ее можно найти в обычных продуктовых магазинах или супермаркетах.
Активные ингредиенты пасты:
- хлоргексидин — антисептический компонент, который снижает количество патогенных бактерий и уменьшает риск повторного воспаления;
- бисаболол — вещество, способствующее уменьшению воспалительных процессов в деснах и, как следствие, снижению их болезненной чувствительности;
- лактат алюминия — помогает связывать кровь, что, в свою очередь, уменьшает кровоточивость.
Эффект от использования пасты Лакалют Актив заметен уже с первого применения. Эта паста идеально подойдет тем, кто сталкивается с проблемами кровоточивости и повышенной чувствительности десен. Однако стоит отметить, что ее не рекомендуется использовать слишком долго. Курс применения Лакалюта ограничен 20-25 днями подряд. Это связано с тем, что антисептик, присутствующий в составе, при длительном использовании может нарушить естественную микрофлору ротовой полости.
https://youtube.com/watch?v=q3xExOw5KUw
Лакалют Фитоформула
Фитоформула — это, по сути, аналог пасты Актив, но с одним важным преимуществом: ее можно применять в любое время года, так как она не содержит антисептиков. Врачи часто советуют иметь в арсенале два тюбика: один с антисептиком, другой без, чтобы использовать их поочередно.
Кроме того, Фитоформула обогащена фтором, который эффективно укрепляет зубную эмаль и предотвращает ее истончение, что особенно актуально при лечении и облегчении симптомов пародонтоза.
Пародонтакс
Зубная паста «Пародонтакс», предназначенная для борьбы с пародонтитом и пародонтозом, производится в Великобритании и представлена в двух вариантах: с фтором и без него. Паста с фтором рекомендуется тем, кто сталкивается с выраженным истончением костной ткани зубов, в то время как обычная версия подойдет остальным пользователям.
В числе активных ингредиентов можно выделить минеральные соли, которые способствуют выведению инфильтрата из десен, что, в свою очередь, помогает уменьшить воспаление и отечность.
Интересно отметить, что «Пародонтакс» производится с середины XIX века, и за все это время формула пасты осталась неизменной.
Зубная паста при пародонтите
Как уже было сказано ранее, важно не путать эти две болезни, так как подходы к их лечению существенно различаются. Пасты, используемые для облегчения симптомов пародонтита, обычно содержат повышенное количество фтора, что способствует укреплению подвижных зубов.
Повторим еще раз — зубная паста не является средством для лечения, она лишь помогает устранить неприятные ощущения, вызывающие дискомфорт. Если вы заметили у себя признаки заболеваний, обязательно обратитесь к стоматологу, который сможет помочь вам восстановить здоровье зубов и вернуть вашу красивую улыбку.
Пародонтол Актив
Это, безусловно, один из самых доступных вариантов для людей, страдающих от пародонтита. Цена упаковки не превышает пятидесяти рублей, и ее можно легко найти в любом супермаркете. Несмотря на свою низкую стоимость, этот продукт демонстрирует высокую эффективность в борьбе с ослабленной эмалью и подвижностью зубов.
Однако у пасты есть значительный недостаток — она не очень хорошо справляется с воспалением десен и их кровоточивостью. Поэтому, если вы испытываете сильную чувствительность десен, воспалительные процессы или кровоточивость, стоит обратить внимание на продукты, описанные ниже.
ПрезиДЕНТ эксклюзив
Итальянская паста «ПрезиДЕНТ» представляет собой мощное средство, которое быстро alleviates симптомы пародонтита. Эта паста зарекомендовала себя как эффективное решение для уменьшения воспаления десен и их склонности к кровоточивости.
Однако, из-за содержания антисептических компонентов (аналогично пасте Лакалют), не рекомендуется использовать данное средство более 2-3 недель подряд.
Лечение
Самый критический аспект, который многие предпочитают игнорировать или не хотят признавать, заключается в том, что лечение пародонтоза и пародонтита в домашних условиях невозможно. Если вы заметили у себя первые признаки этого заболевания, не откладывайте визит к стоматологу — сделайте это как можно скорее! Чем дольше вы откладываете обращение к специалисту, тем выше риск, что восстановить зубы станет невозможно.
Не стоит надеяться, что болезнь сама по себе исчезнет. Возьмите ответственность за свое здоровье в свои руки и избавьтесь от проблемы раз и навсегда.
Вы можете поддерживать гигиену полости рта, облегчать симптомы с помощью специальных паст, а также придерживаться диеты, которая будет безопасна для ваших зубов и десен. Давайте рассмотрим эти аспекты более подробно.
Гигиена
Мало кто сомневается в том, что зубы следует чистить дважды в день — утром и вечером. Тем не менее, многие забывают о таких важных аспектах, как продолжительность чистки, качество зубной щетки и выбор зубной пасты.
Оптимальное время для чистки зубов составляет около 2-3 минут. Не стоит превышать этот временной лимит, чтобы не повредить эмаль и десны. Для начала можно установить таймер или использовать песочные часы на этот период, а затем вы привыкнете к правильной продолжительности процедуры.
Не забывайте регулярно обновлять зубную щетку — желательно делать это хотя бы раз в год. Кроме того, не пренебрегайте использованием зубной нити в дополнение к щетке.
Диета
Суть правильного питания заключается в том, чтобы не усугублять состояние десен. На время исключите из своего меню твердые и жесткие продукты. Старайтесь избегать слишком холодных или горячих блюд, а также их сочетания. Например, не рекомендуется запивать холодное яблоко горячим чаем — ваши десны не оценят такой подход.
https://youtube.com/watch?v=Xs7G_LkQ9CA
Профилактика пародонтоза
Профилактика пародонтоза является важным аспектом поддержания здоровья полости рта. Одним из ключевых элементов в этой профилактике является правильный выбор зубной пасты. Зубная паста, содержащая активные компоненты, может значительно снизить риск развития пародонтоза и улучшить состояние десен.
При выборе зубной пасты для профилактики пародонтоза следует обращать внимание на несколько факторов. Во-первых, паста должна содержать фтор, который укрепляет зубную эмаль и защищает от кариеса. Однако для людей с пародонтозом важно, чтобы паста также содержала компоненты, способствующие укреплению десен.
Одним из таких компонентов является хлоргексидин, который обладает антисептическими свойствами и помогает бороться с бактериями, вызывающими воспаление десен. Зубные пасты с хлоргексидином могут быть особенно полезны в период обострения заболевания, однако их не рекомендуется использовать длительное время без консультации стоматолога, так как это может привести к изменению микрофлоры полости рта.
Также стоит обратить внимание на пасты, содержащие экстракты трав, таких как ромашка, шалфей или алоэ вера. Эти натуральные компоненты обладают противовоспалительными и заживляющими свойствами, что может помочь в восстановлении здоровья десен. Пасты с такими экстрактами могут быть хорошим дополнением к основной терапии пародонтоза.
Кроме того, важно учитывать текстуру и консистенцию зубной пасты. Пасты с абразивными частицами могут быть слишком агрессивными для чувствительных десен, поэтому лучше выбирать более мягкие формулы, которые эффективно очищают зубы, не повреждая десны.
Не менее важным аспектом является регулярность использования зубной пасты. Для достижения наилучших результатов рекомендуется чистить зубы дважды в день, уделяя особое внимание области десен. Также стоит рассмотреть возможность использования дополнительных средств гигиены, таких как ополаскиватели для рта, которые могут помочь в борьбе с бактериями и улучшить состояние десен.
В заключение, правильный выбор зубной пасты и соблюдение рекомендаций по гигиене полости рта могут существенно снизить риск развития пародонтоза и улучшить общее состояние десен. Однако важно помнить, что профилактика пародонтоза должна быть комплексной и включать регулярные визиты к стоматологу для профессиональной чистки и контроля состояния зубов и десен.
Рекомендации по выбору зубной пасты
При выборе зубной пасты для людей, страдающих пародонтозом, важно учитывать несколько ключевых факторов, которые помогут улучшить состояние десен и предотвратить дальнейшее развитие заболевания. Пародонтоз — это хроническое воспалительное заболевание, которое поражает ткани, окружающие зубы, и может привести к их потере. Поэтому правильный выбор зубной пасты играет важную роль в поддержании здоровья полости рта.
Во-первых, стоит обратить внимание на состав зубной пасты. Для людей с пародонтозом рекомендуется выбирать пасты, содержащие антисептические и противовоспалительные компоненты, такие как хлоргексидин, триклозан или экстракты трав (например, ромашки, шалфея, календулы). Эти ингредиенты помогают уменьшить воспаление, уничтожить патогенные микроорганизмы и способствуют заживлению тканей.
Во-вторых, зубные пасты с высоким содержанием фтора могут быть полезны для укрепления эмали зубов и предотвращения кариеса, который может усугубить состояние десен. Однако важно не переусердствовать с фтором, так как его избыток может привести к другим проблемам, таким как флюороз.
Также стоит обратить внимание на текстуру и консистенцию пасты. Для людей с чувствительными деснами лучше выбирать пасты с мягкой текстурой, которые не будут дополнительно травмировать воспаленные участки. Пасты с микрогранулами или абразивными частицами могут быть слишком агрессивными и вызывать дискомфорт.
Не менее важным аспектом является наличие в составе зубной пасты компонентов, способствующих восстановлению тканей. Например, пасты с коллагеном или гиалуроновой кислотой могут помочь в регенерации десен и улучшении их состояния.
Кроме того, стоит обратить внимание на наличие в пасте натуральных компонентов, таких как масла (например, масло чайного дерева), которые обладают антисептическими свойствами и могут помочь в борьбе с воспалением.
Важно помнить, что выбор зубной пасты — это индивидуальный процесс, и то, что подходит одному человеку, может не подойти другому. Поэтому перед покупкой новой зубной пасты рекомендуется проконсультироваться с стоматологом, который сможет дать рекомендации, основываясь на состоянии ваших десен и общем здоровье полости рта.
В заключение, правильный выбор зубной пасты при пародонтозе может значительно улучшить состояние десен и помочь в борьбе с заболеванием. Обратите внимание на состав, текстуру и дополнительные компоненты, которые могут оказать положительное влияние на здоровье вашей полости рта.
Дополнительные средства ухода за полостью рта
При пародонтозе, который характеризуется воспалением и разрушением тканей, поддерживающих зубы, особое внимание следует уделять не только профессиональной гигиене, но и домашнему уходу за полостью рта. Важным элементом этого ухода является выбор правильной зубной пасты, а также использование дополнительных средств, которые помогут улучшить состояние десен и предотвратить дальнейшее развитие заболевания.
Зубные пасты, предназначенные для людей с пародонтозом, обычно содержат активные ингредиенты, способствующие укреплению десен и снижению воспалительных процессов. К таким компонентам относятся:
- Фторид: помогает укрепить зубную эмаль и предотвращает развитие кариеса, что особенно важно при пародонтозе, когда зубы могут быть более подвержены повреждениям.
- Антисептики: такие как хлоргексидин или триклозан, помогают уменьшить количество бактерий в полости рта, что способствует снижению воспаления десен.
- Экстракты трав: например, экстракты ромашки, шалфея или алоэ вера, обладают противовоспалительными и заживляющими свойствами, что может помочь в восстановлении тканей десен.
- Кальций и фосфор: эти минералы способствуют реминерализации зубной эмали и укреплению зубов, что также важно при пародонтозе.
При выборе зубной пасты стоит обратить внимание на ее состав и наличие сертификатов, подтверждающих эффективность в борьбе с пародонтозом. Рекомендуется также консультироваться с стоматологом, который сможет порекомендовать наиболее подходящие средства в зависимости от индивидуальных особенностей пациента.
Кроме зубной пасты, полезно использовать дополнительные средства ухода, такие как:
- Ополаскиватели для рта: антисептические ополаскиватели могут помочь в борьбе с бактериями и уменьшении воспаления. Они могут содержать те же активные ингредиенты, что и зубные пасты, и обеспечивать дополнительную защиту.
- Зубные нити и ершики: для тщательной очистки межзубных пространств, где часто скапливаются остатки пищи и бактерии. Это особенно важно при пародонтозе, так как воспаление может начинаться именно в этих участках.
- Гели и мази для десен: специальные препараты, которые наносятся непосредственно на десны, могут помочь уменьшить воспаление и ускорить процесс заживления.
Важно помнить, что уход за полостью рта при пародонтозе должен быть комплексным. Использование правильной зубной пасты в сочетании с другими средствами поможет не только улучшить состояние десен, но и предотвратить дальнейшее развитие заболевания. Регулярные визиты к стоматологу для профессиональной чистки и контроля состояния полости рта также играют ключевую роль в успешном лечении пародонтоза.




