Выравнивание зубов без брекетов становится популярным решением для тех, кто хочет красивую улыбку, избегая традиционных ортодонтических методов. В этой статье рассмотрим способы достижения желаемого результата без брекетов. Информация будет полезна тем, кто ищет альтернативные методы коррекции зубного ряда и интересуется современными технологиями в стоматологии, позволяющими достичь эстетики и функциональности зубов без дискомфорта и долгосрочных ограничений.
Причины искривления зубов
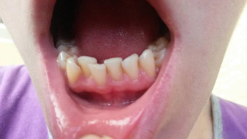
В настоящее время стоматологи выделяют три ключевых фактора, способствующих нарушениям в развитии жевательного аппарата. Первый из них – это генетические предрасположенности. Второй – вредные привычки, такие как постоянное наличие посторонних предметов в ротовой полости, сосание соски у младенцев и давление языка на зубы.
Третьим фактором, способствующим данной проблеме, является нарушение физиологического дыхания через нос. Когда дыхание осуществляется ртом, язык, который обычно находится в верхнем положении, опускается. Это может привести к деформации верхней челюсти и различным дефектам в ее развитии.
Как правило, подобные проблемы можно обнаружить на самых ранних стадиях. Специалисты советуют сначала устранить первопричину, а затем переходить к коррекции зубного ряда.
Для маленьких детей использование брекетов невозможно, так как челюсть все еще находится в процессе формирования, и жесткие конструкции могут помешать ее нормальному развитию. Однако сегодня эта проблема успешно решается, и врачи с уверенностью утверждают, что выравнивание зубов без брекетов стало реальностью.
Врачи-стоматологи отмечают, что выравнивание зубов без брекетов становится все более популярным среди пациентов. Существует несколько эффективных методов, таких как элайнеры, которые представляют собой прозрачные капы, постепенно перемещающие зубы в нужное положение. Этот метод удобен и эстетичен, так как практически незаметен на зубах. Также специалисты упоминают о возможности использования ортодонтических пластинок, которые могут быть эффективны для детей и подростков. Важно, чтобы выбор метода осуществлялся под контролем опытного врача, который сможет оценить индивидуальные особенности пациента и предложить наиболее подходящее решение. Правильный подход к лечению поможет достичь желаемого результата без необходимости в традиционных брекетах.
https://youtube.com/watch?v=LUJaJZ6eNVM
Пути коррекции у детей
Неправильно расположенные зубы могут стать причиной возникновения кариеса и других заболеваний полости рта. Когда один зуб накладывается на другой, это затрудняет полное удаление остатков пищи между ними, что, в свою очередь, способствует размножению бактерий и разрушению эмали. Обычно смена зубов начинается примерно в шесть лет. В этот период важно обратиться к специалисту, который сможет выявить возможные проблемы и предложить пути их решения.
Поскольку у детей исправление таких проблем проходит легче, чем у взрослых, ортодонты советуют начинать лечение сразу после обнаружения дефекта.
Тем не менее, как уже было сказано, использование жестких ортодонтических систем противопоказано до достижения определенного возраста. Однако исправление кривых зубов без применения брекетов у детей вполне реально.
https://youtube.com/watch?v=L16XPRrfziA
| Метод выравнивания | Описание | Преимущества | Недостатки |
|---|---|---|---|
| Элайнеры (прозрачные каппы) | Серия съемных прозрачных капп, которые постепенно перемещают зубы. | Практически невидимы, съемные (удобно есть и чистить зубы), комфортнее брекетов. | Требуют высокой дисциплины ношения, не подходят для всех случаев, дороже брекетов. |
| Виниры и люминиры | Тонкие керамические накладки, которые крепятся к передней поверхности зубов. | Быстрый результат, улучшают цвет и форму зубов, маскируют небольшие неровности. | Не исправляют прикус, требуют обточки зубов (виниры), необратимая процедура, высокая стоимость. |
| Ретейнеры (после ортодонтического лечения) | Фиксированные или съемные аппараты, которые удерживают зубы в новом положении после снятия брекетов или элайнеров. | Предотвращают рецидив, сохраняют результат лечения. | Не выравнивают зубы, а только поддерживают их положение. |
| Ортодонтические трейнеры | Съемные силиконовые аппараты, используемые в основном для коррекции прикуса у детей и подростков. | Могут помочь в раннем возрасте скорректировать некоторые проблемы, стимулируют правильное развитие челюстей. | Ограниченная эффективность для взрослых, не подходят для сложных случаев, требуют регулярного ношения. |
| Реставрация зубов (композитные материалы) | Наращивание зубов композитными материалами для коррекции небольших дефектов формы и положения. | Быстрый результат, относительно недорого, минимальная обточка зубов. | Недолговечно, может изменить цвет со временем, не подходит для значительных искривлений. |
Пластины механического воздействия
Первым вариантом будет создание накладки на небо. Для ее изготовления необходимо сделать слепок, так как каждое изделие изготавливается индивидуально. Эта специализированная пластина изготавливается из стоматологических полимеров и предназначена для расширения челюсти. В некоторых случаях также разрабатываются элементы, которые помогают замедлить рост или способствуют сужению челюсти.
Кроме того, пластины могут быть дополнены металлическими компонентами и винтами, которые крепятся к их основанию. Это особенно полезно для исправления кривых зубов без использования брекетов, если остальной ряд зубов развивается нормально. Такие устройства являются съемными, но требуют постоянного ношения. Рекомендуется снимать их во время приема пищи и проведения гигиенических процедур. Также необходимо регулярно посещать специалиста для корректировки положения зубов и выравнивающей проволоки.
Эластичные накладки
Следующим способом выпрямления зубов без использования брекетов являются трейнеры. В отличие от предыдущего метода, это готовые изделия. Трейнер представляет собой мягкую пластину, изготовленную из эластичных полимеров, которые подстраиваются под форму любой челюсти. Обычно трейнеры применяются на обеих челюстях, а не только на верхней, как это бывает с пластинами. Существует несколько их типов:
- преортодонтический, предназначенный для коррекции прикуса;
- суставной, который помогает снизить нагрузку на жевательные мышцы и зубы;
- финишный ретейнер, используемый после брекетов для закрепления достигнутого результата;
- спортивный, защищающий челюсть во время занятий экстремальными видами спорта.
Также имеется модель, которая может использоваться одновременно с брекетами. Трейнеры рекомендуется применять при проблемах с носовым дыханием, так как они помогают языку занять правильное положение и способствуют расширению челюсти.
Принцип работы этого устройства заключается в том, что оно воздействует только на жевательные мышцы, не оказывая прямого механического влияния на зубы. Благодаря этому коррекция зубов без брекетов становится весьма эффективной. Кроме того, использование этих пластинок помогает решать логопедические проблемы с речью и способствует отвыканию от постоянного нахождения посторонних предметов во рту. В среднем курс ношения стартового трейнера составляет около шести месяцев, а финишного – не менее восьми.
Эти альтернативные методы выравнивания зубов без брекетов становятся все более популярными среди детей, так как они показали свою эффективность. Теперь давайте рассмотрим варианты решения подобных проблем для взрослых.
Альтернативы брекетам у взрослых
Формирование человеческого организма завершается примерно к двадцати пяти годам. После этого возраста кости становятся более стабильными и теряют свою гибкость. Именно поэтому выравнивание зубов у взрослых может представлять собой сложную задачу. В большинстве случаев на помощь приходят брекеты. Однако бывают ситуации, когда их использование невозможно по различным причинам. Поэтому многие люди задаются вопросом, возможно ли исправить зубы без брекетов в зрелом возрасте. Современные достижения науки и технологий открывают такие возможности. Во-первых, можно попробовать исправить имеющиеся дефекты. Во-вторых, существуют методы, позволяющие скрыть неровные зубы, что улучшает внешний вид, одновременно обеспечивая их постепенное восстановление.
Исправление зубного ряда
Первым вариантом, который поможет выпрямить зубы без использования брекетов, является ношение кап. Эти устройства изготавливаются по индивидуальным слепкам из безопасных полимерных материалов. Благодаря своей прозрачности, капы практически незаметны на зубах.
В большинстве случаев выравнивание передних зубов у взрослых проходит в несколько этапов. Для полного исправления проблемы потребуется создать серию кап. Обратите внимание, что это съемное устройство нужно будет носить в течение длительного времени. В зависимости от сложности проблемы, капы могут исправить прикус за несколько месяцев, а в более сложных случаях — за два года. Обычно ношение кап показано при следующих ситуациях:
- перекрестный прикус;
- скручивание или поворот зубов;
- различная высота зубов;
- значительные промежутки между зубами;
- тесное расположение зубов.
Как видно, область применения кап довольно широка. Однако это не все преимущества данного устройства. Капы не вызывают значительного дискомфорта — привыкание к ним занимает всего пару дней, они не мешают речи и не вызывают болевых ощущений. Кроме того, за ними легко ухаживать.
Более современным решением для выравнивания зубов без брекетов у взрослых являются элайнеры. Эти пластины представляют собой усовершенствованную версию кап. Они позволяют специалисту постоянно контролировать движение зубов и корректировать их в нужном направлении. Каждый элемент разрабатывается индивидуально с использованием 3D-моделирования, что обеспечивает высокую точность. Единственным недостатком является их высокая стоимость.
Также отличные результаты в исправлении зубов без брекетов у взрослых демонстрируют эластопозиционеры. Эти устройства способны исправить даже серьезные проблемы, так как могут сдвигать зубы до 4 миллиметров. Они изготавливаются из прочного и эластичного материала — винил-силикона, что позволяет решать следующие задачи:
- коррекция деформации прикуса;
- выравнивание зубного ряда;
- устранение неправильного положения отдельных зубов.
Все эти устройства являются съемными и изготавливаются на основе индивидуальных слепков. Обычно их носят только во время сна и несколько часов в течение дня. Эластопозиционеры не доставляют дискомфорта во время лечения, а привыкание к ним, как правило, происходит в течение недели. Это все известные способы выравнивания зубов без брекетов на сегодняшний день. Однако существуют и методы визуальной коррекции и одновременного восстановления.
Современные технологии маскировки
К сожалению, не всегда возможно использовать методы выпрямления зубов по различным причинам. В некоторых случаях аномалия может быть не подлежит коррекции, а в других — у пациента могут возникнуть аллергические реакции на материалы, из которых изготовлены ортодонтические устройства, или же у него имеется значительный список противопоказаний к подобной терапии. В таких ситуациях оптимальным решением станет установка виниров. Эти элементы, выполненные из керамики или композита, фиксируются на предварительно подготовленный зуб.
Виниры способны скрыть сколы и дефекты развития, а также широкие промежутки между зубами, визуально корректируя их размеры. Безусловно, процесс установки этих конструкций занимает достаточно много времени. Изготовление модели может занять около 14 дней и потребует нескольких визитов к стоматологу для обтачивания эмали. Тем не менее, преимуществом установки виниров является относительно невысокая стоимость процедуры и возможность точного подбора цвета, который будет гармонировать с остальными зубами. Срок службы таких конструкций может достигать десяти лет, в зависимости от используемого материала и метода установки.
Более дорогим вариантом являются люминиры. Этот метод аналогичен предыдущему, но не требует предварительной обработки зуба. Это означает, что вы сможете в любой момент снять люминиры без необходимости в дополнительных восстановительных процедурах. Люминиры изготавливаются исключительно из керамических материалов и имеют толщину всего 0,2 миллиметра. На их производство потребуется около месяца.
Как вы могли заметить, существует множество способов решения проблемы исправления зубов без использования брекетов. Каждый случай уникален и требует внимательного осмотра квалифицированного стоматолога для принятия обоснованного решения. Однако, начиная этот процесс, помните, что современные технологии предлагают вам широкий выбор наиболее подходящих и удобных вариантов.
https://youtube.com/watch?v=hmWjgGhNWIU
Инвизилайны и прозрачные капы
Прозрачные капы изготавливаются индивидуально для каждого пациента на основе 3D-моделирования, что позволяет достичь высокой точности и комфорта. Они изготавливаются из специального медицинского пластика, который практически незаметен на зубах, что делает их идеальными для тех, кто беспокоится о внешнем виде во время лечения.
Процесс лечения с использованием инвизилайнов начинается с консультации у ортодонта, который проведет осмотр и сделает необходимые снимки. Затем, на основе полученных данных, создается цифровая модель зубов пациента, которая позволяет спроектировать последовательность перемещения зубов. После этого изготавливаются наборы кап, которые пациент будет носить в течение определенного времени, обычно от 1 до 2 недель, прежде чем перейти к следующему набору.
Одним из главных преимуществ инвизилайнов является возможность их снятия. Пациенты могут легко снимать капы во время еды и чистки зубов, что способствует лучшей гигиене полости рта. Это также позволяет избежать некоторых ограничений в питании, которые могут возникнуть при использовании традиционных брекетов.
Тем не менее, для достижения желаемых результатов важно строго следовать рекомендациям врача и носить капы не менее 20-22 часов в день. Неправильное использование или нерегулярное ношение может привести к замедлению процесса выравнивания зубов или даже к его остановке.
Кроме того, инвизилайны могут быть эффективны не для всех случаев. Они лучше всего подходят для лечения легких и средних аномалий прикуса, таких как небольшие промежутки между зубами или незначительное искривление. В более сложных случаях может потребоваться комбинированный подход с использованием других методов ортодонтического лечения.
В заключение, инвизилайны и прозрачные капы представляют собой удобный и эстетически привлекательный способ выравнивания зубов без использования традиционных брекетов. Однако для достижения наилучших результатов важно обратиться к квалифицированному специалисту и следовать всем рекомендациям в процессе лечения.
Ортодонтические ретейнеры
Ортодонтические ретейнеры представляют собой устройства, предназначенные для поддержания правильного положения зубов после их выравнивания. Они могут быть использованы как в качестве самостоятельного метода коррекции, так и в сочетании с другими ортодонтическими процедурами. Ретейнеры помогают предотвратить рецидив, когда зубы стремятся вернуться в исходное положение после снятия брекетов или других выравнивающих систем.
Существует несколько типов ретейнеров, каждый из которых имеет свои особенности и преимущества:
- Съемные ретейнеры: Эти устройства обычно изготавливаются из прозрачного пластика и могут быть легко сняты для чистки или во время еды. Они удобны в использовании и позволяют пациентам поддерживать гигиену полости рта. Съемные ретейнеры часто применяются после лечения с помощью брекетов, но также могут быть использованы для легкой коррекции зубов.
- Фиксированные ретейнеры: Эти устройства представляют собой тонкие проволоки, которые прикрепляются к задней поверхности зубов. Они обеспечивают постоянную поддержку и не требуют от пациента дополнительных усилий для их ношения. Фиксированные ретейнеры обычно используются для предотвращения смещения зубов после ортодонтического лечения и могут быть рекомендованы на длительный срок.
Выбор между съемными и фиксированными ретейнерами зависит от индивидуальных потребностей пациента, степени искривления зубов и рекомендаций ортодонта. Важно отметить, что ретейнеры должны носиться в соответствии с указаниями специалиста, чтобы обеспечить максимальную эффективность и предотвратить рецидив.
Кроме того, регулярные визиты к ортодонту для контроля состояния ретейнеров и зубов также играют важную роль в процессе поддержания результата. Ортодонт может вносить коррективы в план лечения, если это необходимо, и следить за тем, чтобы зубы оставались на своем месте.
В заключение, ортодонтические ретейнеры являются важным инструментом в процессе выравнивания зубов и поддержания достигнутых результатов. Они помогают сохранить здоровье зубов и десен, а также способствуют уверенности пациента в своей улыбке.
Эстетические процедуры для улучшения внешнего вида зубов
Эстетические процедуры для улучшения внешнего вида зубов становятся все более популярными среди людей, стремящихся к идеальной улыбке без использования традиционных брекетов. Существует несколько методов, которые могут помочь выровнять зубы и улучшить их внешний вид, не прибегая к ортодонтическому лечению.
1. Виниры
Виниры — это тонкие керамические или композитные накладки, которые наклеиваются на переднюю поверхность зубов. Они могут скрыть неровности, трещины и изменения цвета, придавая зубам более ровный и эстетически привлекательный вид. Виниры могут быть изготовлены индивидуально для каждого пациента, что позволяет достичь максимального соответствия форме и цвету зубов.
2. Композитные реставрации
Композитные материалы могут использоваться для коррекции формы и размера зубов. Этот метод позволяет стоматологу моделировать зубы, добавляя композитный материал, который затем полируется для достижения естественного блеска. Композитные реставрации могут быть использованы для исправления небольших неровностей и промежутков между зубами.
3. Улыбка с помощью отбеливания
Хотя отбеливание зубов не выравнивает их, оно может значительно улучшить общий внешний вид улыбки. Яркие и белоснежные зубы создают впечатление более ровной линии улыбки. Существует множество методов отбеливания, включая профессиональные процедуры в стоматологическом кабинете и домашние наборы, которые могут быть рекомендованы стоматологом.
4. Эстетическая ортодонтия
Современные технологии предлагают альтернативные методы выравнивания зубов, такие как прозрачные капы (например, Invisalign). Эти капы практически незаметны и могут быть сняты во время еды или чистки зубов. Они постепенно перемещают зубы в нужное положение, обеспечивая комфорт и эстетичность в процессе лечения.
5. Контурирование зубов
Контурирование зубов — это процедура, при которой стоматолог изменяет форму зубов с помощью специального инструмента. Это может быть полезно для исправления небольших неровностей и создания более гармоничного вида зубного ряда. Процедура обычно безболезненная и требует минимального времени на восстановление.
6. Устранение промежутков между зубами
Если промежутки между зубами являются проблемой, стоматолог может предложить различные методы их устранения. Это может быть достигнуто с помощью композитных реставраций, виниров или даже ортодонтических методов, таких как использование кап. Важно обсудить с врачом, какой метод будет наиболее эффективным для вашего случая.
Эстетические процедуры для улучшения внешнего вида зубов могут значительно повысить уверенность в себе и улучшить качество жизни. Однако перед началом любого лечения важно проконсультироваться с квалифицированным стоматологом, который поможет выбрать наиболее подходящий метод в зависимости от индивидуальных потребностей и состояния зубов пациента.




