Кариес между зубами — распространенная проблема, способная вызвать серьезные последствия для здоровья полости рта без своевременного вмешательства. В статье рассмотрим, как определить стадию кариеса, с акцентом на третью стадию, а также методы лечения. Обсудим возможные сложности в процессе лечения и предложим советы по профилактике кариеса между зубами.
Диагностика
Межзубной кариес имеет свою особенность: он быстро переходит с одного зуба на другой, поражая здоровые участки. Это происходит из-за того, что межзубные пространства сложно очищать должным образом. В этих труднодоступных местах накапливаются остатки пищи, которые со временем разлагаются, создавая благоприятные условия для размножения вредных микроорганизмов.
Межзубной кариес можно разделить на две основные категории:
- кариес между передними зубами;
- кариес жевательных (молочных) зубов.
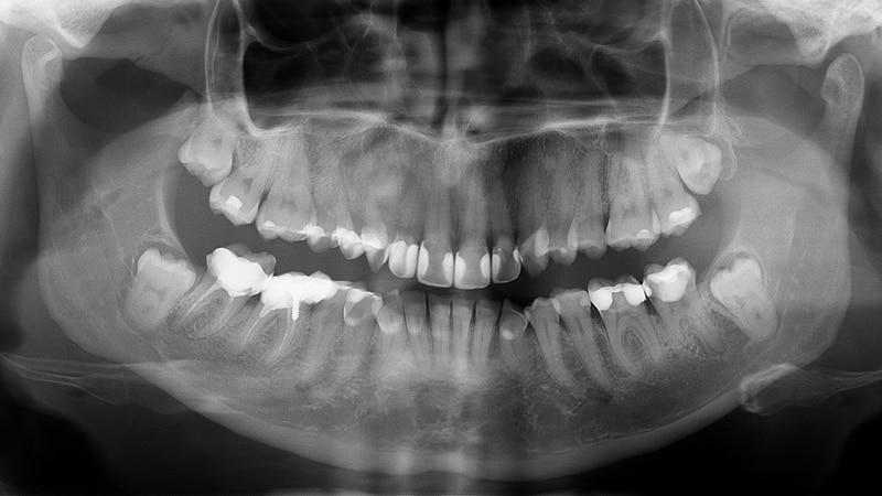
Диагностику данного заболевания проводит стоматолог. В первую очередь, врач осматривает ротовую полость с помощью зонда и стоматологического зеркала. Этот визуальный осмотр позволяет обнаружить темные пятна на боковых поверхностях эмали, которые пациент мог не заметить. Если повреждения слишком мелкие или расположены в труднодоступных местах, может потребоваться рентгенография. Этот метод является надежным способом для выявления кариозных полостей между соседними зубами. В случаях, когда рентгенография противопоказана, стоматолог может воспользоваться фотополимеризатором – устройством, которое освещает костную ткань мощным светом, позволяя выявить скрытый кариес или его начальные стадии.
Врачи-стоматологи подчеркивают важность раннего выявления и лечения кариеса между зубами. Это заболевание часто остается незамеченным на начальных стадиях, что может привести к серьезным осложнениям. Специалисты рекомендуют регулярные профилактические осмотры, чтобы вовремя обнаружить проблемы.
При лечении кариеса между зубами стоматологи обычно используют методы, такие как пломбирование, которое позволяет восстановить поврежденную структуру зуба. В некоторых случаях может потребоваться более сложное вмешательство, например, установка коронки. Врачи также акцентируют внимание на необходимости соблюдения гигиены полости рта, включая использование зубной нити и ополаскивателей, что помогает предотвратить образование кариеса.
Кроме того, стоматологи советуют следить за рационом, ограничивая потребление сахара и кислых продуктов, которые способствуют разрушению эмали. Важно помнить, что своевременное обращение к врачу и соблюдение рекомендаций помогут сохранить здоровье зубов на долгие годы.
https://youtube.com/watch?v=dcKoJmmFEcM
Стадии развития межзубного кариеса
В первую очередь подвержены повреждениям проксимальные участки зубов. Именно в этих зонах эмаль имеет меньшую толщину, в то время как на резцы оказывается значительная нагрузка. Поэтому после каждого приема пищи рекомендуется очищать контактные поверхности с помощью специальной нити и тщательно полоскать рот водой.
Кариозное заболевание проходит три стадии:
-
Стадия пятна (macula cariosa). Эмаль теряет свой естественный блеск из-за деминерализации. На боковых поверхностях передних резцов появляются мелкие матовые пятна, которые могут варьироваться от белых до темно-коричневых. Структура эмали начинает разрушаться, так как зубные ткани теряют кальций и другие минералы. Если вовремя начать лечение и улучшить гигиену полости рта, процесс можно замедлить и стабилизировать, а пятно исчезнет. В противном случае деминерализация прогрессирует, и пятно переходит в поверхностный кариес.
-
Поверхностный кариес (caries superficialis). Первым признаком является появление боли при контакте пятна с холодной, горячей, сладкой или кислой пищей. На этой стадии стоматолог может уже выявить кариозную полость, и существует риск поражения дентина.
-
Глубокий кариес (caries profunda). На этой стадии дентин размягчается и заполняет образовавшуюся кариозную полость. Пациенты жалуются на сильные боли при воздействии температурных и химических раздражителей. Также может возникать ноющая боль при зондировании дна полости. Иногда появляются признаки пульпита.
Не стоит откладывать лечение кариозных полостей! В большинстве случаев межзубный кариес выявляется на поздних стадиях, поэтому начинать лечение следует как можно скорее. В запущенных случаях кариес может привести к серьезным заболеваниям, таким как пульпит и периодонтит, что может закончиться потерей зубов. В некоторых ситуациях десна начинает гнить, возникает абсцесс, который требует оперативного вмешательства для удаления.
| Метод лечения | Описание | Преимущества и недостатки |
|---|---|---|
| Пломбирование | Удаление пораженных тканей и заполнение полости пломбировочным материалом (композит, амальгама, стеклоиономер). | Преимущества: Эффективно для небольших и средних кариозных поражений. Восстанавливает форму и функцию зуба. Недостатки: Требует удаления здоровых тканей. Может быть заметно, если пломба не соответствует цвету зуба. |
| Вкладки/Накладки (Inlays/Onlays) | Изготавливаются в лаборатории по индивидуальному оттиску зуба и затем фиксируются на зубе. Используются при более обширных поражениях, когда пломбы недостаточно. | Преимущества: Более прочные и долговечные, чем пломбы. Точнее восстанавливают анатомию зуба. Недостатки: Более высокая стоимость. Требуется два визита к стоматологу. |
| Коронки | Полностью покрывают поврежденный зуб, восстанавливая его форму, размер, прочность и внешний вид. Применяются при значительном разрушении зуба. | Преимущества: Максимальная защита и восстановление зуба. Долговечность. Недостатки: Требует значительного препарирования зуба. Высокая стоимость. |
| Инфильтрация кариеса (Icon) | Применяется на ранних стадиях кариеса (белое пятно), когда эмаль еще не разрушена. Специальный полимер проникает в поры эмали, укрепляя ее и останавливая развитие кариеса. | Преимущества: Малоинвазивный метод, не требует сверления. Сохраняет здоровые ткани зуба. Недостатки: Эффективен только на начальных стадиях. Не подходит для глубокого кариеса. |
| Фторирование | Применение фторсодержащих препаратов (гели, лаки, растворы) для укрепления эмали и повышения ее устойчивости к кариесу. Может использоваться как профилактика и на ранних стадиях кариеса. | Преимущества: Укрепляет эмаль, предотвращает развитие кариеса. Безболезненно. Недостатки: Не лечит уже сформировавшиеся кариозные полости. Требует регулярного применения. |
| Реминерализующая терапия | Применение препаратов, содержащих кальций, фосфаты и другие минералы, для восстановления минерального состава эмали. | Преимущества: Укрепляет эмаль, может остановить развитие кариеса на ранних стадиях. Недостатки: Неэффективно при глубоком кариесе. Требует регулярного применения. |
Как лечить кариес между зубами
Лечение кариозных образований в контактирующих участках представляет собой довольно сложную задачу, которая требует от стоматолога значительного опыта и навыков. Неправильный подход к лечению может привести к повреждению соседних здоровых зубов. Основная цель при проведении терапии – тщательно очистить боковые участки от кариеса, не затрагивая при этом здоровые поверхности. Процесс пломбирования кариозной полости включает несколько этапов:
https://youtube.com/watch?v=oWslcQaqFrI
Определение окклюзионных точек
Ключевым моментом является выявление окклюзионных точек – участков, где зубные ряды соприкасаются. Это необходимо для того, чтобы пломба точно воспроизводила все контуры и фиссуры зуба. В противном случае пациент может столкнуться с дискомфортом в ротовой полости: ощущением «избыточности» во рту, натиранием слизистой оболочки и неудобствами при откусывании пищи.
Анестезия
В зависимости от степени сложности ситуации стоматолог подбирает наиболее подходящий метод анестезии: аппликационную, проводниковую или общую анестезию. Наиболее распространенной является аппликационная анестезия, при которой препарат наносится непосредственно на поверхность пораженного участка, без необходимости введения в ткани.
Очищение зуба
Необходимо тщательно удалить налет и зубной камень с поверхности зубов. Проксимальные участки чаще всего заполняются затвердевшим налетом, и процесс их очистки может быть довольно сложным. Качественная чистка межзубных пространств значительно снижает вероятность заражения здоровых тканей зуба и десен. На очищенный резец и два соседних зуба устанавливается латексная изолирующая система, что обеспечивает защиту языка, щек и губ, а также предотвращает риск перекрестной инфекции.
Препарирование
Лечение межзубного кариеса является одним из самых трудных этапов. В процессе пломбирования применяется бормашина. Стоматолог удаляет пораженные участки эмали, при этом затрагивая и здоровые области зуба. Если кариозные полости расположены глубоко, может потребоваться удалить значительную часть здоровых резцов. В случае глубокого кариеса бормашину используют на низких оборотах, либо кариозные участки обрабатываются вручную.
Дезинфекция
Когда зуб полностью очищен от кариеса, полость обрабатывают раствором хлоргексидина. После этого на поверхность зуба наносят дентальный адгезив – специальное вещество, которое обеспечивает надежное сцепление пломбы с зубом.
Пломбирование
Кариозную полость заполняют композитной пломбой, после чего шлифуют окклюзионные поверхности и саму пломбу. Стоматолог обязан восстановить форму резцов, чтобы предотвратить попадание пищи в щели и избежать рецидива.
В случаях запущенного кариеса, когда наблюдается пульпит, на четвертом этапе также производится удаление нерва. Если обратиться за медицинской помощью своевременно, есть возможность максимально сохранить здоровые участки зубов.
Профилактика
Прежде всего, необходимо снизить риск возникновения кариеса в ротовой полости. Для этого важно регулярно проводить гигиенические процедуры: чистить зубы с использованием пасты дважды в день — утром и вечером, а также полоскать рот после каждого приема пищи. Особое внимание следует уделить применению зубной нити, так как это единственный эффективный способ очищения промежутков между резцами. Если у вас есть предрасположенность к кариесу, рекомендуется использовать зубную пасту с фтором. Также старайтесь ограничить потребление сахара и углеводов.
Каждые полгода необходимо проходить плановый осмотр у стоматолога, чтобы удалить зубной налет и камень. В случае выявления нарушений прикуса, стоит рассмотреть возможность установки брекет-системы для устранения скученности зубов.
https://youtube.com/watch?v=F6Mvl9RJ5k0
Выбор материалов для пломбирования
При лечении кариеса между зубами важным этапом является выбор материалов для пломбирования. Правильный выбор материала не только влияет на долговечность пломбы, но и на здоровье зубов и десен. Существует несколько типов материалов, которые могут быть использованы для пломбирования, и каждый из них имеет свои преимущества и недостатки.
1. Амальгама
Амальгама – это традиционный материал для пломбирования, состоящий из смеси металлов, включая серебро, олово, медь и ртуть. Она обладает высокой прочностью и долговечностью, что делает её идеальной для задних зубов, где нагрузка на пломбы максимальна. Однако амальгама имеет эстетические недостатки, так как её цвет значительно отличается от цвета зуба, что делает её менее подходящей для передних зубов.
2. Композитные материалы
Композитные материалы представляют собой смолы, которые могут быть окрашены в различные оттенки, что позволяет добиться естественного цвета зуба. Они идеально подходят для передних зубов и могут использоваться для пломбирования между зубами. Композиты обладают хорошей адгезией к зубной эмали и дентину, что способствует их долговечности. Однако они могут быть менее устойчивыми к нагрузкам по сравнению с амальгамой.
3. Стеклоиономерные цементы
Стеклоиономерные цементы – это материалы, которые содержат стеклянные частицы и иономеры. Они обладают хорошей адгезией к зубной ткани и выделяют фтор, что помогает в профилактике кариеса. Эти материалы часто используются для временных пломб или в детской стоматологии. Однако их прочность и устойчивость к износу ниже, чем у амальгамы и композитов.
4. Лазерные технологии
Современные технологии, такие как лазерное пломбирование, также становятся все более популярными. Лазер позволяет минимизировать повреждение окружающих тканей и обеспечивает более точное удаление кариозных тканей. Пломбы, выполненные с использованием лазера, могут быть сделаны из различных материалов, включая композиты и стеклоиономеры.
При выборе материала для пломбирования важно учитывать не только его физические свойства, но и индивидуальные особенности пациента, такие как аллергические реакции, состояние зубов и десен, а также предпочтения в отношении эстетики. Консультация с опытным стоматологом поможет выбрать наиболее подходящий вариант для каждого конкретного случая.
Рекомендации по уходу за полостью рта после лечения
После лечения кариеса между зубами важно соблюдать определенные рекомендации по уходу за полостью рта, чтобы обеспечить долговременный результат и предотвратить повторное возникновение кариеса. Вот основные аспекты, на которые следует обратить внимание:
1. Правильная гигиена полости рта
Регулярная и тщательная гигиена полости рта является ключевым фактором в профилактике кариеса. Рекомендуется чистить зубы не менее дважды в день с использованием фторсодержащей зубной пасты. Особое внимание следует уделять труднодоступным местам, таким как межзубные пространства, где чаще всего образуются налет и кариес.
2. Использование зубной нити
Зубная нить помогает удалить остатки пищи и налет из межзубных промежутков, где зубная щетка не может достать. Рекомендуется использовать зубную нить хотя бы один раз в день, желательно перед чисткой зубов. Это поможет предотвратить накопление бактерий и развитие кариеса в этих областях.
3. Полоскания антисептическими растворами
Использование антисептических ополаскивателей для рта может помочь в борьбе с бактериями, которые вызывают кариес. Полоскание рта после еды или чистки зубов способствует уменьшению количества микробов и улучшает общее состояние полости рта. Выбирайте ополаскиватели, содержащие фтор, для дополнительной защиты зубов.
4. Ограничение потребления сахара
Сахар является основным источником питания для бактерий, вызывающих кариес. Ограничение потребления сладких продуктов и напитков, особенно между основными приемами пищи, поможет снизить риск повторного возникновения кариеса. Вместо сладостей лучше выбирать фрукты, овощи и другие полезные перекусы.
5. Регулярные визиты к стоматологу
Регулярные профилактические осмотры у стоматолога (не реже одного раза в полгода) помогут выявить возможные проблемы на ранних стадиях и предотвратить развитие кариеса. Стоматолог также может провести профессиональную чистку зубов, что способствует удалению налета и камня, которые могут привести к кариесу.
6. Использование фторсодержащих средств
Фтор помогает укрепить эмаль зубов и делает их более устойчивыми к кариесу. Использование фторсодержащих зубных паст и ополаскивателей, а также применение фторсодержащих гелей по рекомендации стоматолога может значительно снизить риск возникновения новых очагов кариеса.
7. Обращение внимания на симптомы
Важно быть внимательным к любым изменениям в состоянии зубов и десен. Если вы заметили повышенную чувствительность, боль или изменения цвета зубов, необходимо незамедлительно обратиться к стоматологу. Раннее выявление проблем поможет избежать серьезных последствий и дополнительных затрат на лечение.
Соблюдение этих рекомендаций поможет не только сохранить здоровье зубов после лечения кариеса между зубами, но и значительно улучшить общее состояние полости рта, что в свою очередь положительно скажется на вашем здоровье в целом.
Регулярные стоматологические осмотры и их важность
Регулярные стоматологические осмотры играют ключевую роль в профилактике и лечении кариеса, особенно когда речь идет о кариесе между зубами. Эти осмотры позволяют стоматологу выявить проблемы на ранних стадиях, когда лечение может быть менее инвазивным и более эффективным.
Во время осмотра стоматолог проводит тщательную проверку состояния зубов и десен, используя специальные инструменты и технологии, такие как рентгенография. Это помогает обнаружить кариес, который может быть незаметен при обычном осмотре, особенно в труднодоступных местах между зубами. Раннее выявление кариеса позволяет избежать более серьезных проблем, таких как пульпит или абсцесс, которые требуют более сложного и дорогостоящего лечения.
Кроме того, регулярные осмотры позволяют стоматологу оценить состояние пломб и других реставраций, которые могут быть необходимы для защиты зубов от кариеса. Стоматолог может также дать рекомендации по уходу за полостью рта, включая советы по правильной технике чистки зубов и использованию зубной нити, что особенно важно для предотвращения кариеса между зубами.
Важно помнить, что профилактика всегда дешевле и менее болезненна, чем лечение. Поэтому рекомендуется посещать стоматолога не реже двух раз в год, даже если у вас нет явных проблем с зубами. Это поможет сохранить здоровье зубов и десен на долгие годы.
В заключение, регулярные стоматологические осмотры являются важным аспектом профилактики кариеса между зубами. Они позволяют не только выявить и лечить кариес на ранних стадиях, но и получить ценные рекомендации по уходу за полостью рта, что в конечном итоге способствует поддержанию здоровья зубов и десен.

