В статье рассмотрим виды брекетных систем для коррекции прикуса и выравнивания зубов. Вы увидите фотографии установленных брекетов, что поможет оценить их внешний вид и выбрать подходящий вариант. Также обсудим преимущества и недостатки каждой разновидности, чтобы вы могли сделать осознанный выбор при планировании ортодонтического лечения.
Виды брекетов
Чаще всего брекеты ассоциируются с металлическими скобами, однако это лишь один из множества их типов. Они могут быть адаптированы под различные ортодонтические проблемы, иметь разнообразные конструкции и изготавливаться из разных материалов.
Существует несколько способов классификации брекетов. Во-первых, стоит обратить внимание на их расположение, которое может варьироваться, что видно на изображениях брекетов на зубах:
- вестибулярные брекеты устанавливаются на внешней стороне зубов и обычно хорошо заметны;
- лингвальные брекеты располагаются с внутренней стороны зубного ряда, и их трудно заметить постороннему человеку.
По материалу брекет-системы также можно выделить несколько категорий:
- металлические брекеты, от стальных до золотых, являются классическим вариантом в ортодонтии. Они по-прежнему пользуются популярностью благодаря своей доступной цене и высокой прочности;
- пластиковые брекеты имеют эстетическое преимущество перед металлическими, так как можно подобрать цвет пластин под цвет зубной эмали или сделать их яркими. Кроме того, среди косметически ориентированных систем пластиковые являются наиболее доступными по цене;
- полимерные брекеты из керамики стоят значительно дороже других моделей, но обладают рядом неоспоримых преимуществ, таких как полное соответствие цвету зубной эмали, устойчивость к окислению и окрашиванию, а также более высоким уровнем прочности по сравнению с пластиковыми конструкциями;
- комбинированные брекеты сочетают в себе использование различных материалов.
Брекет-система состоит из специальной ортодонтической дуги, соединенной с брекетными замками с помощью так называемой лигатуры. В зависимости от типа крепления различают следующие виды конструкций:
- классические брекеты используют лигатуры для предотвращения скольжения дуги. Лигатуры могут быть изготовлены из различных материалов: резины, алюминия, серебра, стали и других;
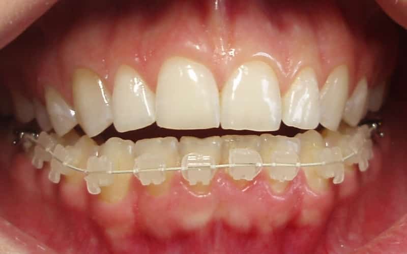
- самолигирующие брекеты не имеют лигатур в своей конструкции, что позволяет дуге свободно скользить, минимизирует трение и упрощает гигиенический уход за полостью рта по сравнению с брекетами с лигатурами.
Врачи-ортодонты отмечают, что брекеты на зубах могут выглядеть по-разному в зависимости от их типа и материала. Металлические брекеты, как правило, более заметны, но они также являются наиболее эффективными для исправления прикуса. Керамические и сапфировые брекеты менее заметны, что делает их популярным выбором среди взрослых пациентов. Врачи подчеркивают, что современные технологии позволяют создавать более эстетичные и комфортные системы, которые не только исправляют зубы, но и выглядят более привлекательно. Кроме того, многие пациенты выбирают лингвальные брекеты, которые устанавливаются на внутренней стороне зубов, что делает их практически невидимыми. Важно помнить, что выбор брекетов должен основываться не только на эстетике, но и на индивидуальных потребностях пациента.
https://youtube.com/watch?v=36qKsEMUz2E
Вестибулярные брекеты
Это наиболее распространённый вид брекетных систем. Замковые элементы брекетов размещаются на внешней стороне зубов и соединяются между собой с помощью дуги. Обычно эта дуга изготавливается из никеле-титанового сплава. Основное преимущество данного материала заключается в том, что, несмотря на возможные деформации, он возвращается в своё первоначальное состояние при повышении температуры в ротовой полости. В результате, под постоянным воздействием, зубной ряд начинает формироваться в контролируемом порядке, а зубы выстраиваются в нужном направлении.
Такая система особенно популярна при искривлении зубного ряда или нарушении прикуса. Ортодонтическое лечение в таких случаях может длиться от нескольких месяцев до нескольких лет. В первые недели пациенты могут испытывать трудности с произношением и приёмом пищи, однако со временем эти проблемы исчезают по мере привыкания.
Одним из самых заметных недостатков, который снижает популярность вестибулярных брекетных систем, является их эстетический вид. Конструкции, расположенные снаружи зубов, могут портить улыбку, что заставляет многих отказаться от их установки. Кроме того, пациентов может отпугивать и стоимость: в зависимости от используемых материалов, цена на такие брекеты может достигать 30 тысяч рублей.
| Тип брекетов | Описание внешнего вида | Преимущества | Недостатки |
|---|---|---|---|
| Металлические | Классические брекеты из нержавеющей стали. Видны на зубах, могут быть с цветными резинками. | Самые прочные и эффективные, наименее дорогие. | Наиболее заметные, могут вызывать раздражение слизистой. |
| Керамические | Изготовлены из прозрачного или полупрозрачного керамического материала. Менее заметны, чем металлические. | Эстетичнее металлических, не окрашиваются. | Более хрупкие, дороже металлических, могут быть крупнее. |
| Сапфировые | Изготовлены из монокристаллического сапфира. Практически невидимы, сливаются с цветом зубов. | Максимальная эстетика, не окрашиваются, гипоаллергенны. | Самые дорогие, более хрупкие, чем металлические, могут быть крупнее. |
| Лингвальные | Крепятся на внутренней стороне зубов, полностью невидимы снаружи. | Абсолютная незаметность, идеальны для тех, кто не хочет показывать брекеты. | Самые дорогие, могут вызывать дискомфорт в начале, влияют на дикцию, сложнее в уходе. |
| Самолигирующие | Могут быть металлическими или керамическими. Не имеют лигатур (резинок), дуга фиксируется специальным замком. | Меньше трения, быстрее перемещение зубов, реже посещения ортодонта, легче гигиена. | Могут быть дороже классических, некоторые системы могут быть более заметными. |
| Элайнеры (капы) | Прозрачные съемные накладки на зубы. Не являются брекетами в классическом понимании, но выполняют ту же функцию. | Практически невидимы, съемные (можно снимать для еды и чистки), комфортны. | Требуют высокой дисциплины ношения, не подходят для всех случаев, могут быть дороже брекетов. |
Лингвальные брекеты
В настоящее время лингвальные брекетные системы становятся всё более востребованными. Подобно вестибулярным, они используют замки, соединяемые дугой, однако их основное отличие заключается в том, что они устанавливаются на внутренней стороне зубного ряда. Это делает их незаметными для окружающих, что является важным преимуществом с точки зрения эстетики. Кроме того, такая система позволяет легче контролировать процесс лечения и при необходимости вносить коррективы, а также значительно снижает риск возникновения гингивита и других воспалительных заболеваний полости рта.
Тем не менее, лингвальные системы имеют и свои недостатки:
- Размещение замков и дуги на внутренней стороне зубов усложняет процесс качественной гигиены полости рта.
- Изготовление брекетов, адаптированных под индивидуальные особенности челюсти, занимает больше времени по сравнению с вестибулярными системами. Некоторые пациенты могут ожидать начала лечения несколько месяцев.
- Сужение свободного пространства может затруднять речь, и привыкание к брекетам обычно занимает от 2 до 3 недель.
- Лингвальные брекеты, как правило, изготавливаются из металла, в то время как вестибулярные могут быть выполнены из различных материалов.
- Установка таких брекетов, как правило, обходится дороже, чем установка обычных.
https://youtube.com/watch?v=MMqcbScb9Fg
Металлические брекеты
Металлические конструкции продолжают пользоваться популярностью благодаря своей прочности и доступной стоимости. Они обеспечивают наиболее быстрое ортодонтическое лечение, в частности, благодаря тому, что сила трения между дугой и пазами минимальна. Кроме того, лигатуры металлических брекет-систем обычно имеют темный оттенок, что помогает скрыть табачные отложения и влияние пищевых красителей.
Такие системы изготавливаются из различных металлов, в зависимости от их доступности, стоимости и индивидуальных физиологических особенностей пациента:
- наиболее распространенные и недорогие металлические брекеты производятся из нержавеющей стали, часто с добавлением никеля;
- для пациентов с непереносимостью никеля используются брекеты из титана, который не вступает в химическую реакцию с большинством веществ;
- в редких случаях аллергии на титан брекеты изготавливаются из этого металла, но с золотым покрытием, что исключает прямой контакт аллергена с организмом пациента.
Важно отметить, что конструкции с золотым покрытием обычно имеют высокую стоимость, начиная от 25 тысяч рублей. Брекетные системы из чистого титана, как правило, стоят на 7-8 тысяч рублей меньше, а изделия из нержавеющей стали еще более доступны.
Керамические брекеты
Существует несколько способов сделать брекеты менее заметными, помимо их установки на внутренней стороне зубов. В дополнение к металлическим конструкциям, для их изготовления используются различные керамические материалы, такие как синтетический сапфир и медицинский фарфор. Среди керамических брекетных систем наиболее популярными и надежными считаются конструкции из медицинского фарфора, которые по прочности почти сопоставимы с некоторыми металлическими сплавами.
Одним из главных преимуществ керамики является возможность подбора цвета пластин под натуральный оттенок зубной эмали, что делает брекеты значительно менее заметными. В таких случаях дуга обычно имеет белый цвет. Также можно выбрать скобы более светлого оттенка, чем цвет зубов, что создает эффект отбеливания. Однако стоит отметить, что керамические брекеты требуют тщательной очистки, так как на их поверхности могут быть видны любые загрязнения.
Что касается стоимости, установка керамических систем колеблется в пределах 20-25 тысяч рублей. К недостаткам данной конструкции можно отнести повышенный уровень трения между брекетным пазом и дугой, что может немного увеличить продолжительность ортодонтического лечения.
Пластиковые брекеты
Существует мнение, что пластиковые брекеты устанавливают в тех случаях, когда бюджет не позволяет выбрать керамические. Они имеют явное эстетическое преимущество по сравнению с металлическими конструкциями. Подобно керамическим системам, их можно сделать менее заметными, подбирая пластины в тон зубам. Однако для ортодонтического лечения пластик не отличается достаточной прочностью и надежностью. Поэтому пазы в таких системах изготавливаются из металла.
Обычно стоимость установки пластиковых брекетов не превышает 15 тысяч рублей. Эта относительно низкая цена объясняется рядом недостатков. Пластик, из которого создаются конструкции, имеет пористую структуру и шероховатости, что способствует быстрому накоплению загрязнений, таких как пищевые красители, бактерии и отмершие клетки.
Кроме того, пластиковые замки имеют низкую прочность и могут легко сломаться, не выдерживая давления дуги на искривленные зубы. Поэтому такие пластиковые конструкции применяются только в рамках ортодонтического лечения, не превышающего полгода. На первый взгляд, они будут почти неотличимы от керамических. Тем не менее, пластиковые брекет-системы продолжают пользоваться популярностью благодаря своей доступности и возможности изготовления в различных цветах и формах.
Самолигирующие брекеты
В отличие от традиционных брекет-систем, самолигирующие модели не используют лигатуры для крепления ортодонтических дуг. В этой конструкции дуги свободно перемещаются, что уменьшает силу, необходимую для воздействия на зубы. В самолигирующих брекетах применяется другая система крепления дуги к пазам, что позволяет ей свободно двигаться и значительно снижает уровень трения. Это упрощает процесс замены дуги и корректировки лечения.
Самолигирующие брекеты подходят для лечения различных патологий, таких как:
- расширение зубного ряда, когда скученность зубов вызвана неправильным направлением их роста;
- исправление неправильного прикуса с помощью специальных дуг меньшего диаметра, что может сократить время ортодонтического лечения до 25%.
Безлигатурные системы легко чистить, что снижает риск заболеваний полости рта. Также уменьшается необходимость частых визитов для корректировки лечения. С самолигирующими конструкциями можно посещать ортодонта раз в 2-3 месяца, в отличие от стандартного ежемесячного визита при использовании классической системы.
Теперь, когда вы ознакомились с различными типами брекет-систем и увидели фотографии, демонстрирующие, как они выглядят на зубах, вы сможете выбрать подходящую модель для себя. Однако перед принятием окончательного решения важно проконсультироваться с вашим ортодонтом, который предложит наиболее подходящий вариант для вашей ситуации.
https://youtube.com/watch?v=ojp5jO5sKIc
Эстетические аспекты брекетов
Брекеты являются одним из самых распространенных методов ортодонтического лечения, и их внешний вид играет важную роль в восприятии пациентами и окружающими. Эстетические аспекты брекетов могут варьироваться в зависимости от их типа, материала и дизайна.
Существует несколько основных типов брекетов, каждый из которых имеет свои особенности:
- Металлические брекеты: Это классический вариант, который чаще всего используется. Они изготавливаются из нержавеющей стали и имеют заметный вид. Металлические брекеты могут быть менее эстетичными, однако их эффективность и прочность делают их популярными среди пациентов.
- Керамические брекеты: Эти брекеты более эстетичны, так как они изготавливаются из прозрачного или зубного цвета материала, что делает их менее заметными на зубах. Керамические брекеты идеально подходят для тех, кто хочет минимизировать визуальное воздействие ортодонтического лечения.
- Лингвальные брекеты: Устанавливаются на внутренней стороне зубов, что делает их совершенно невидимыми для окружающих. Это идеальный выбор для взрослых пациентов, которые беспокоятся о своем внешнем виде во время лечения.
- Сапфировые брекеты: Эти брекеты также прозрачные и изготавливаются из сапфирового материала, что делает их очень эстетичными. Они менее заметны, чем металлические, и более прочные, чем керамические.
Важно отметить, что эстетические аспекты брекетов могут влиять на выбор пациента. Многие люди, особенно подростки и взрослые, предпочитают менее заметные варианты, чтобы избежать чувства неловкости во время ношения брекетов. Однако, несмотря на визуальные предпочтения, выбор брекетов также должен основываться на их эффективности и соответствии индивидуальным потребностям пациента.
Кроме того, стоит учитывать, что современные технологии позволяют производить брекеты с различными цветными резинками, что может добавить элемент индивидуальности и стиля. Некоторые пациенты выбирают яркие цвета, чтобы выразить свою индивидуальность, в то время как другие предпочитают более нейтральные оттенки.
В заключение, эстетические аспекты брекетов играют важную роль в процессе ортодонтического лечения. Выбор типа брекетов должен учитывать как визуальные предпочтения, так и функциональные характеристики, чтобы обеспечить максимальный комфорт и эффективность лечения.
Процесс установки брекетов
Установка брекетов – это важный этап в ортодонтическом лечении, который требует тщательной подготовки и профессионального подхода. Процесс начинается с консультации у ортодонта, который проводит диагностику состояния зубов и челюстей пациента. На этом этапе врач может сделать рентгеновские снимки, а также слепки зубов для создания индивидуального плана лечения.
После того как план лечения согласован, пациенту назначается дата установки брекетов. В день процедуры необходимо соблюдать некоторые рекомендации: желательно не есть перед визитом к врачу, а также сообщить о наличии аллергий или заболеваний.
Во время установки брекетов ортодонт очищает зубы пациента, чтобы обеспечить хорошую адгезию. Затем на зубы наносят специальный клей, который фиксирует брекеты. В зависимости от типа брекетов, процесс может немного отличаться. Например, при установке металлических брекетов каждый элемент крепится к зубу с помощью клея и фиксирующих колец. Для керамических или сапфировых брекетов используется аналогичный метод, но они менее заметны на зубах.
После установки всех брекетов на зубы, ортодонт устанавливает дугу, которая соединяет брекеты и обеспечивает необходимое давление для перемещения зубов. Дуговые проволоки могут быть разных типов и размеров, и их выбор зависит от стадии лечения и индивидуальных особенностей пациента.
После завершения установки брекетов пациенту дают рекомендации по уходу за полостью рта и правилам питания. Важно помнить, что в первые дни после установки может возникнуть дискомфорт, но со временем зубы и десны адаптируются к новым условиям.
Регулярные визиты к ортодонту необходимы для контроля процесса лечения и корректировки дуг. Обычно такие визиты назначаются каждые 4-6 недель. Важно следовать всем рекомендациям врача, чтобы достичь желаемого результата в кратчайшие сроки.
Уход за брекетами и гигиена полости рта
Уход за брекетами и гигиена полости рта являются ключевыми аспектами успешного ортодонтического лечения. Правильный уход помогает предотвратить возникновение осложнений, таких как кариес, воспаление десен и другие проблемы, которые могут возникнуть из-за накопления налета и остатков пищи вокруг брекетов.
Первым шагом в уходе за брекетами является регулярная чистка зубов. Рекомендуется чистить зубы не менее двух раз в день, используя зубную пасту с фтором. Для более эффективной чистки стоит использовать зубную щетку с мягкой щетиной, которая не повредит брекеты и десны. Специальные щетки для брекетов, такие как щетки с V-образной формой, могут помочь достичь труднодоступных мест.
Кроме того, важно использовать зубную нить или специальные ершики для очистки промежутков между зубами и брекетами. Обычная зубная нить может быть сложной в использовании, поэтому рекомендуется применять нить с пластиковым кончиком или специальные нити для брекетов, которые облегчают процесс.
Полоскания антисептическими растворами также могут быть полезны для поддержания гигиены полости рта. Они помогают уменьшить количество бактерий и предотвращают воспаление десен. Однако следует помнить, что полоскания не заменяют чистку зубов, а лишь дополняют ее.
Важно также избегать определенных продуктов, которые могут повредить брекеты или затруднить их чистку. К таким продуктам относятся жесткие и липкие сладости, орехи, попкорн и жевательная резинка. Лучше всего проконсультироваться с ортодонтом о том, какие продукты стоит исключить из рациона во время ношения брекетов.
Регулярные визиты к ортодонту также играют важную роль в уходе за брекетами. Специалист сможет оценить состояние зубов и брекетов, провести необходимые коррекции и дать рекомендации по уходу. Обычно такие визиты назначаются каждые 4-6 недель.
Следуя этим рекомендациям, можно значительно улучшить состояние полости рта и обеспечить успешное завершение ортодонтического лечения. Забота о брекетах и зубах не только способствует достижению желаемого результата, но и помогает сохранить здоровье зубов на долгие годы вперед.






