Острый катаральный гингивит — воспаление десен, проявляющееся покраснением, отеком и болезненностью тканей вокруг зубов. Без своевременного лечения он может перейти в хроническую форму, что приведет к серьезным проблемам с полостью рта. В статье рассмотрим основные симптомы острого катарального гингивита, его причины и методы лечения, чтобы помочь читателям распознать заболевание и принять меры для его устранения.
Причины и классификация
Тем не менее, можно выделить как локальные, так и общие факторы, способствующие развитию заболевания:
- Локальные факторы:
- недостаточная гигиена ротовой полости и образование мягкого и твёрдого налёта;
- постоянное присутствие кислой среды в ротовой полости;
- трудности с прорезыванием зубов и неправильный прикус;
- травмы зубов и мягких тканей рта;
- ошибки в установке ортодонтических аппаратов;
- врождённые аномалии костных и мягких тканей ротовой полости.
- Общие факторы:
- снижение иммунной защиты организма;
- хронические заболевания эндокринной, сердечно-сосудистой или пищеварительной систем;
- вирусные инфекции;
- использование некоторых медикаментов, подавляющих иммунитет;
- курение;
Катаральный гингивит можно классифицировать по клиническим формам, степени распространения и стадии заболевания, то есть изменению объёма десневой жидкости при катаральном гингивите:
- По характеру течения заболевание делится на:
- острую форму, которая представляет собой быстро развивающееся воспаление десневых тканей с характерным циклом;
- гипертрофический хронический гингивит, возникающий как следствие не леченой острой формы, протекает медленно и сопровождается периодическими обострениями.
- По локализации и масштабу поражения заболевание можно разделить на:
- локализованную форму, при которой воспаление затрагивает 1-3 зуба;
- генерализованную форму, при которой воспалительный процесс охватывает один или оба зубных ряда полностью.
- По степени тяжести заболевания можно оценить степень поражения в ротовой полости:
- лёгкая степень характеризуется покраснением десен и воспалением зубодесневых сосочков;
- средняя степень воспаление распространяется на свободные участки десен;
- тяжёлая степень воспалительный процесс затрагивает альвеолы.
Врачи отмечают, что острый катаральный гингивит является распространенным воспалительным заболеванием десен, которое часто возникает в результате недостаточной гигиены полости рта. Симптомы, такие как покраснение, отек и кровоточивость десен, могут значительно ухудшить качество жизни пациента. Специалисты подчеркивают важность своевременной диагностики и лечения, чтобы предотвратить переход заболевания в более серьезные формы. Врачи рекомендуют регулярные профилактические осмотры и тщательную гигиену полости рта, включая использование зубной нити и антисептических ополаскивателей. Кроме того, они акцентируют внимание на необходимости устранения факторов риска, таких как курение и неправильное питание, которые могут способствовать развитию гингивита. В целом, комплексный подход к лечению и профилактике этого заболевания позволяет добиться положительных результатов и сохранить здоровье десен.
https://youtube.com/watch?v=CnLu_vYN0TQ
Симптомы и признаки
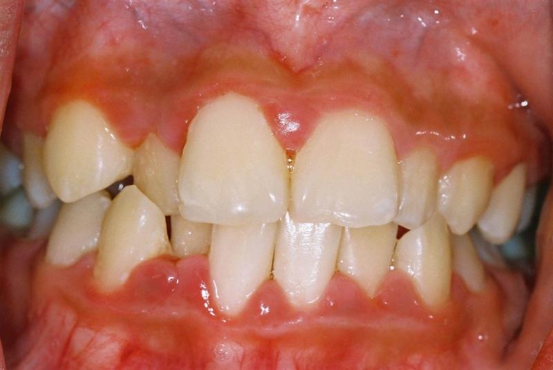
Острая форма катарального гингивита проявляется внезапно и отличается стремительным развитием, выраженной болью, ухудшением общего состояния и повышением температуры.
Ключевые симптомы включают:
- резкую боль в деснах;
- зуд и жжение в области воспаления;
- значительное покраснение слизистой оболочки в поражённой зоне;
- увеличение десневых сосочков;
- отёк и кровоточивость дёсен;
- общее недомогание, слабость, головные боли и повышение температуры.
При появлении таких признаков необходимо незамедлительно обратиться к стоматологу и избегать самолечения.
Если не обратить внимание на эти симптомы, острый гингивит может перейти в хроническую стадию или привести к язвенно-некротическим изменениям в полости рта.
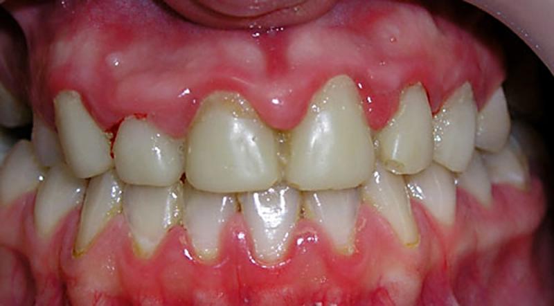
Хронический катаральный гингивит (см. фото) представляет собой следующую стадию заболевания. Симптомы становятся менее выраженными и чаще всего проявляются в моменты снижения иммунитета, во время еды и чистки зубов.
Основные симптомы включают:
- болезненные ощущения при приёме пищи и гигиенических процедурах;
- кровотечение из дёсен во время чистки зубов;
- постоянная гиперемия поражённых десен;
- отслаивание межзубных сосочков от зубов;
- отёк краёв десен.
Обычно симптомы хронической формы не так ярко выражены, и их можно заметить только во время визита к стоматологу.
В периоды обострения симптомы становятся схожими с острой формой, что значительно упрощает диагностику гингивита.
| Признак/Характеристика | Острый катаральный гингивит | Здоровые десны |
|---|---|---|
| Цвет десны | Ярко-красный, гиперемированный | Бледно-розовый |
| Отек десны | Выраженный, десна припухшая | Отсутствует |
| Кровоточивость | Легкая, при чистке зубов или зондировании | Отсутствует |
| Боль/Дискомфорт | Незначительная, иногда зуд или жжение | Отсутствует |
| Контур десны | Сглаженный, отечный, теряет фестончатость | Четкий, фестончатый |
| Поверхность десны | Гладкая, блестящая | Матовая, слегка зернистая |
| Наличие налета | Часто обильный мягкий зубной налет | Минимальный, легко удаляемый |
| Причина | Недостаточная гигиена полости рта, раздражители | Хорошая гигиена полости рта |
| Обратимость | Полностью обратим при устранении причины | — |
Лечение
Лечение хронического катарального гингивита, как и острого его варианта, при своевременном обращении к стоматологу проходит достаточно легко и включает в себя как устранение последствий заболевания, так и работу с его причинами. Обычно терапия занимает не более двух недель.
Сначала проводится санация ротовой полости, удаляются зубной налёт и отложения, как мягкие, так и твёрдые, что зачастую бывает достаточным для остановки воспалительных процессов.
Если воспаление вызвано проблемами с ортодонтическими конструкциями или пломбами, стоматолог заменяет их на новые.
При своевременном обращении к врачу лечение гингивита можно провести без медикаментов, достаточно будет полоскать рот хлоргексидином в течение нескольких дней.
Однако, если воспалительные процессы приобрели значительные масштабы или развился хронический генерализованный катаральный гингивит, могут быть назначены антибиотики и противовоспалительные препараты.
Самостоятельное лечение гингивита не рекомендуется. Тем не менее, в ожидании визита к стоматологу можно использовать травяные отвары для полоскания рта, чтобы облегчить симптомы.
Основное лечение после очистки ротовой полости включает медикаментозную терапию. В зависимости от рекомендаций врача могут применяться различные препараты для внутреннего применения, антисептические растворы для полоскания, а также физиотерапевтические процедуры, такие как массаж дёсен, электрофорез и УВЧ-терапия.
Если гингивит является проявлением другого заболевания, к лечению подключаются специалисты из смежных областей.
https://youtube.com/watch?v=etP4LnMIBH4
https://youtube.com/watch?v=6JErPopaW24
Профилактика
Острый катаральный гингивит включает в себя комплекс мероприятий, направленных на поддержание здоровья полости рта и предотвращение воспалительных процессов в деснах. Основными аспектами являются:
- Регулярная гигиена полости рта: Необходимо чистить зубы не менее двух раз в день с использованием зубной пасты, содержащей фтор. Также рекомендуется использовать зубную нить для удаления остатков пищи и налета между зубами, где зубная щетка не может достать.
- Профессиональная чистка зубов: Регулярные визиты к стоматологу для профессиональной чистки зубов помогут удалить зубной камень и налет, которые могут способствовать развитию гингивита. Рекомендуется проходить такую процедуру не реже одного раза в полгода.
- Сбалансированное питание: Правильное питание, богатое витаминами и минералами, особенно витаминами C и D, способствует укреплению десен и иммунной системы. Избегайте избыточного потребления сахара и кислых продуктов, которые могут способствовать развитию кариеса и воспаления десен.
- Отказ от вредных привычек: Курение и чрезмерное употребление алкоголя негативно влияют на здоровье десен. Отказ от этих привычек может значительно снизить риск развития гингивита и других заболеваний полости рта.
- Контроль хронических заболеваний: Заболевания, такие как диабет, могут повышать риск развития гингивита. Важно контролировать уровень сахара в крови и следовать рекомендациям врача для поддержания общего здоровья.
- Использование антисептических средств: Полоскания антисептическими растворами могут помочь в профилактике воспалительных процессов в деснах. Однако их следует использовать по рекомендации стоматолога, чтобы избежать нарушения естественной микрофлоры полости рта.
- Обучение правильной технике чистки зубов: Важно знать, как правильно чистить зубы, чтобы не повредить десны и эффективно удалять налет. Стоматологи могут дать рекомендации по выбору щетки и техники чистки.
Соблюдение этих простых, но эффективных мер поможет значительно снизить риск развития острого катарального гингивита и сохранить здоровье десен на долгие годы.
Диагностика
Диагностика острого катарального гингивита основывается на клиническом обследовании, анамнезе и дополнительных методах исследования. Врач-стоматолог, как правило, начинает с тщательного сбора анамнеза, который включает в себя информацию о симптомах, их продолжительности, а также о возможных предшествующих факторах, таких как травмы, инфекции или системные заболевания.
При осмотре полости рта врач обращает внимание на состояние десен, их цвет, текстуру и наличие отека. Для острого катарального гингивита характерно покраснение и отек десен, а также их болезненность при пальпации. Десны могут быть легко кровоточащими, особенно при чистке зубов или при легком нажатии. Важно отметить, что в отличие от других форм гингивита, при катаральном типе воспаление обычно ограничивается только деснами, без вовлечения более глубоких тканей.
Дополнительные методы диагностики могут включать:
- Рентгенография: хотя рентген не является основным методом для диагностики гингивита, он может быть полезен для исключения заболеваний, затрагивающих костные структуры челюсти.
- Лабораторные исследования: в некоторых случаях может потребоваться анализ крови для выявления системных заболеваний или инфекций, которые могут способствовать развитию гингивита.
- Микробиологическое исследование: в редких случаях может быть проведен анализ на наличие патогенных микроорганизмов, чтобы определить возможные причины воспаления.
Важно также провести дифференциальную диагностику с другими заболеваниями десен, такими как хронический гингивит или пародонтит, чтобы установить точный диагноз и назначить адекватное лечение. В некоторых случаях может потребоваться консультация других специалистов, таких как терапевт или инфекционист, если есть подозрение на системные заболевания.
Таким образом, диагностика острого катарального гингивита требует комплексного подхода, который включает в себя как клинические, так и лабораторные методы исследования, что позволяет врачу установить точный диагноз и разработать эффективный план лечения.
Осложнения и последствия
Острый катаральный гингивит, если не будет своевременно диагностирован и лечен, может привести к ряду серьезных осложнений и негативных последствий для здоровья полости рта и всего организма. Одним из наиболее распространенных осложнений является переход заболевания в хроническую форму. Хронический гингивит характеризуется длительным воспалением десен, что может привести к их истончению и потере прикрепления к зубам.
При отсутствии адекватного лечения острый катаральный гингивит может способствовать развитию пародонтита — более серьезного заболевания, которое затрагивает не только десны, но и костную ткань, поддерживающую зубы. Пародонтит может привести к потере зубов, а также к необходимости хирургического вмешательства для восстановления здоровья десен и костной ткани.
Кроме того, острый катаральный гингивит может быть связан с системными заболеваниями. Исследования показывают, что воспалительные процессы в полости рта могут оказывать влияние на общее состояние организма, способствуя развитию сердечно-сосудистых заболеваний, диабета и других хронических заболеваний. Воспаление десен может приводить к системному воспалению, что, в свою очередь, увеличивает риск развития атеросклероза и других сердечно-сосудистых заболеваний.
Также стоит отметить, что острый катаральный гингивит может вызывать значительный дискомфорт и ухудшение качества жизни пациента. Боль и отек десен могут затруднять прием пищи, что может привести к недостаточному питанию и снижению общего состояния здоровья. Психологические аспекты, такие как снижение самооценки из-за эстетических проблем, также не следует игнорировать.
Важным аспектом является то, что острый катаральный гингивит может быть предшественником более серьезных стоматологических заболеваний. Поэтому регулярные профилактические осмотры у стоматолога и соблюдение гигиенических норм являются ключевыми факторами в предотвращении осложнений и поддержании здоровья полости рта.
В заключение, острый катаральный гингивит — это не просто временное воспаление десен, а состояние, которое требует внимания и своевременного лечения. Игнорирование симптомов может привести к серьезным осложнениям, которые затрагивают не только здоровье полости рта, но и общее состояние организма. Поэтому важно обращаться к специалистам при первых признаках заболевания.


