Временные протезы на передние зубы восстанавливают эстетику улыбки и функциональность зубного ряда после утраты зуба. В статье рассмотрим особенности временных протезов на один зуб, их виды, стоимость, противопоказания и возможные осложнения после установки. Также опишем методику изготовления таких протезов, что поможет читателям лучше понять процесс и сделать осознанный выбор в пользу временного протезирования.
Механизм восстановления зубов
В стоматологической практике наиболее распространены винтовые протезы. Они состоят из нескольких элементов: титановый винт, который заменяет корень зуба, служит основой для коронки, материал которой выбирается совместно врачом и пациентом. Такая конструкция обеспечивает надежность и долговечность протезирования.
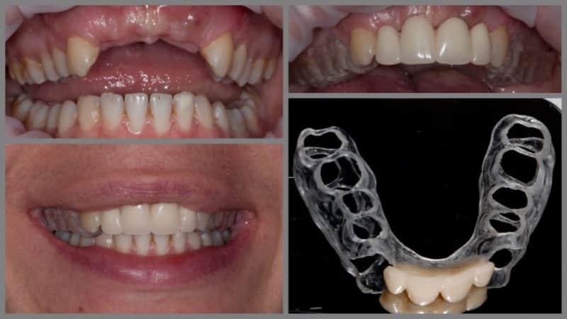
Процесс имплантации проходит в несколько этапов: сначала стоматолог удаляет поврежденный зуб, нерв, корень и остатки костной ткани, которые могут находиться в лунке. Затем устанавливается титановый винт. После этого пациенту необходимо подождать от двух до трех месяцев, чтобы винт прижился, а постоянная коронка была изготовлена.
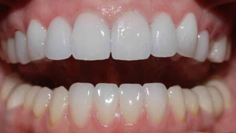
Если требуется заменить передний зуб, использование временных протезов поможет избежать проблем с эстетикой.
Если корень зуба не поврежден, а сам зуб сохранил хотя бы половину своей структуры, перед установкой протеза (без винта, только коронка) проводится обтачивание поврежденной части. Установка постоянного протеза, как и в предыдущем случае, осуществляется только через несколько месяцев после обточки. Культя, подготовленная для протезирования, также может выглядеть не очень привлекательно.
Врачи отмечают, что временные протезы на передние зубы играют важную роль в стоматологической практике. Они не только восстанавливают эстетику улыбки, но и помогают пациентам адаптироваться к новым условиям после утраты зубов. Специалисты подчеркивают, что такие протезы могут значительно улучшить качество жизни, позволяя избежать психологического дискомфорта и социальной изоляции.
Кроме того, временные протезы служат важным этапом в подготовке к установке постоянных конструкций. Врачи рекомендуют выбирать материалы, которые обеспечивают комфорт и естественный внешний вид. Однако они также предупреждают, что временные протезы требуют регулярного ухода и контроля со стороны стоматолога, чтобы избежать осложнений и обеспечить здоровье полости рта. В целом, временные протезы являются эффективным решением для многих пациентов, нуждающихся в восстановлении зубного ряда.
https://youtube.com/watch?v=HH-9xjrIUyA
Функции временных протезов
Как известно, постоянная коронка создается на основе индивидуальных слепков пациента. Этот процесс может занять значительное время и часто осуществляется в удаленной зуботехнической лаборатории. Иногда пересылка слепков и готового протеза может занять месяц и более.
В течение этого времени челюсть и десна могут претерпеть изменения из-за отсутствия нагрузки. Организм стремится заполнить пустоту, образовавшуюся после удаления зуба. Поэтому временный зубной протез на один зуб выполняет важную роль в поддержании формы челюсти и десен пациента.
Временный зуб после удаления помогает сохранить эстетичный вид улыбки, даже если лечение зубного ряда еще не завершено. Отсутствующий или обточенный передний зуб выглядит крайне непривлекательно, и большинство людей не могут позволить себе ходить в таком состоянии в течение нескольких месяцев. Временный протез может решить эту проблему за относительно небольшую сумму.
Кроме того, временная коронка выполняет защитную функцию. После обточки или удаления зуба и нервов десна становится более подверженной воздействию бактерий, которые попадают в ротовую полость с пищей и напитками. Протез, установленный на культю или титановый винт, поможет защитить открытую часть десны от инфекций, воспалений и заболеваний.
Также стоит отметить, что во время ношения временной коронки пациент привыкает к протезу, что способствует более быстрому принятию постоянного протеза как самим пациентом, так и его организмом.
Кроме того, отсутствие переднего зуба может негативно сказаться на дикции, вызывая шепелявость или картавость. Временная конструкция поможет избежать этих речевых проблем.
| Тип временного протеза | Материал | Преимущества | Недостатки |
|---|---|---|---|
| Коронка из пластмассы (акрила) | Акриловая пластмасса | Быстрое изготовление, низкая стоимость, эстетичный вид | Недолговечность, пористость (может впитывать пигменты), меньшая прочность |
| Коронка из композита | Композитный материал | Хорошая эстетика, возможность коррекции цвета, более прочная, чем акрил | Выше стоимость, чем у акрила, может со временем менять цвет |
| Адгезивный мостовидный протез (Мэрилендский мост) | Композит, металлическая основа | Минимальное препарирование соседних зубов, быстрое изготовление | Меньшая прочность, риск отклеивания, не подходит для больших дефектов |
| Съемный протез (иммедиат-протез) | Акриловая пластмасса | Быстрое решение при потере нескольких зубов, низкая стоимость | Неудобство ношения, может натирать десны, требует привыкания |
| Временный винир | Композит, акрил | Улучшение эстетики при незначительных дефектах, минимальное препарирование | Меньшая прочность, чем у постоянных виниров, может отклеиваться |
Виды временных протезов
Временные конструкции делятся на съемные и несъемные. К съемным относятся так называемые «бабочки» — иммедиаты. Эти протезы изготавливаются на один зуб и крепятся с помощью нейлоновых «липучек», которые приклеиваются к соседним зубам. Чтобы лучше понять, как выглядит такая конструкция, посмотрите фотографии временных зубных протезов иммедиатного типа. Пациент может легко снимать их в любое время, например, для чистки. Иммедиаты изготавливаются из пластика, цвет которого подбирается в соответствии с оттенком эмали соседних зубов, что позволяет достичь естественного внешнего вида.
Однако стоит отметить, что такие конструкции не отличаются высокой прочностью, поэтому их чаще используют на передних зубах, где отсутствует значительная жевательная нагрузка.
Несъемные временные конструкции представлены в основном коронками (на один зуб) и мостовидными протезами (на два и более зубов в ряду). Они идеально подходят для установки на титановом винте, так как ему требуется время для приживления. Более легкие пластиковые временные протезы способствуют лучшему усвоению винта десной. В отличие от этого, традиционные постоянные коронки, такие как металлокерамика или акрил, могут затруднить этот процесс, что может привести к воспалению и отторжению винта организмом пациента.
https://youtube.com/watch?v=Mlt9spVYVgo
Изготовление временных протезов
Практически все временные протезы изготавливаются из пластика. Это дает следующие преимущества:
- Быстрое производство;
- Небольшой вес протеза (что положительно сказывается на процессе приживления импланта и общем состоянии десен);
- Отличные эстетические характеристики.
При создании протеза для передних зубов особое внимание уделяется цвету и форме, а не прочности конструкции. Для выбора оттенка стоматолог сравнивает его с соседними зубами. Таким образом, врач добивается естественного внешнего вида коронки. Форма также подбирается в соответствии с соседними зубами, однако, в отличие от постоянного протеза или коронки, она будет менее детализированной. Качество готового изделия в значительной степени зависит от квалификации специалиста, а также от цены и материала, из которого будут изготавливаться протезы.
Противопоказания
В некоторых ситуациях установка временного протеза на передний зуб может быть невозможна по нескольким причинам. Ключевые противопоказания для установки временной конструкции:
- Индивидуальные характеристики организма пациента, которые могут затруднить приживление титанового винта. Если зуб заменяется после удаления корня, в процессе первой операции в очищенную лунку помещается винт. Для его приживления в десне требуется определенное время – обычно это занимает 2-3 месяца. В нормальных условиях даже во время этого процесса винт способен выдерживать легкую нагрузку от пластмассового протеза.
> Однако если организм пациента склонен к осложнениям во время приживления винта, стоматолог может рекомендовать отказаться от установки временного протеза, так как это может вызвать воспаление, нагноение и другие нежелательные последствия, что в свою очередь может привести к необходимости удаления винта и, возможно, к отказу от установки протеза в ближайшем будущем. - Недостаточная гигиена полости рта. Если пациент не соблюдает правила гигиены ротовой полости, а также имеет предрасположенность к инфекциям, вирусам и слабый иммунитет, специалист может решить не устанавливать временный протез. Несмотря на то, что временная коронка предназначена для защиты оголенной десны от заражения, при отсутствии надлежащего ухода за полостью рта она может, наоборот, способствовать развитию инфекционных заболеваний и воспалений.
Стоимость
Стоимость установки пластикового протеза на передний зуб может различаться в зависимости от следующих факторов:
- Медицинского учреждения и уровня квалификации врача;
- Качества используемых материалов;
- Лаборатории, занимающейся изготовлением протезов.
В среднем цена на несъемные коронки составляет от 2 до 5 тысяч рублей. Съемные протезы, которые отличаются большей комфортностью и качеством, имеют стоимость от 10 до 15 тысяч рублей. Установка мостовидной конструкции, как правило, обойдется в полтора-два раза дороже, чем имплантация одного зуба.
https://youtube.com/watch?v=pWEWVBYYXtk
Уход за временными протезами
Уход за временными протезами является важным аспектом, который напрямую влияет на их долговечность и комфорт пациента. Временные протезы, как правило, используются для восстановления эстетики и функциональности зубного ряда на период ожидания постоянных протезов. Правильный уход за ними поможет избежать неприятных ситуаций и обеспечит здоровье полости рта.
Первое, на что стоит обратить внимание, это гигиена. Временные протезы, как и натуральные зубы, требуют регулярной чистки. Рекомендуется использовать мягкую зубную щетку и неагрессивные зубные пасты, чтобы не повредить поверхность протеза. Чистить зубы следует дважды в день, уделяя особое внимание участкам вокруг временных протезов, чтобы предотвратить накопление налета и развитие кариеса.
Кроме того, важно использовать зубную нить или специальные межзубные щетки для очистки труднодоступных мест. Это поможет избежать воспалительных процессов десен и других стоматологических проблем. Также стоит избегать жестких щеток и абразивных паст, которые могут повредить временные протезы.
Следующий аспект ухода – это правильное питание. Временные протезы могут быть менее устойчивыми к нагрузкам, чем постоянные. Поэтому рекомендуется избегать жесткой, липкой и слишком горячей пищи. Это поможет предотвратить их повреждение и обеспечит комфорт при жевании. Если вы заметили, что протезы начинают шататься или вызывают дискомфорт, необходимо обратиться к стоматологу для корректировки.
Также стоит помнить о регулярных визитах к стоматологу. Специалист сможет оценить состояние временных протезов и при необходимости провести их коррекцию или замену. Это особенно важно, если вы заметили изменения в прикусе или возникли проблемы с деснами.
Наконец, хранение временных протезов также требует внимания. Если вы снимаете протезы на ночь, храните их в специальном растворе или воде, чтобы избежать высыхания и деформации. Не оставляйте протезы на открытом воздухе, так как это может привести к их повреждению.
Следуя этим рекомендациям, вы сможете обеспечить долговечность временных протезов и сохранить здоровье своей полости рта до установки постоянных конструкций.
Психологический аспект ношения временных протезов
Временные протезы на передние зубы могут оказывать значительное влияние на психологическое состояние пациента. Утрата зубов, особенно в области улыбки, может вызывать чувство неуверенности, стыда и даже депрессии. Временные протезы, в свою очередь, служат не только функциональным, но и эстетическим решением, позволяя пациентам восстановить свою улыбку на время ожидания постоянного протезирования.
Первоначально, когда пациент получает временные протезы, он может испытывать смешанные чувства. С одной стороны, временные протезы помогают вернуть уверенность в себе, позволяя человеку не стесняться улыбаться и общаться с окружающими. С другой стороны, некоторые пациенты могут испытывать дискомфорт от того, что временные протезы не так удобны или эстетичны, как постоянные. Это может привести к дополнительному стрессу и беспокойству.
Важно отметить, что временные протезы могут стать важным этапом в процессе адаптации к постоянным решениям. Они дают возможность пациенту привыкнуть к новому ощущению в ротовой полости, а также к изменению в эстетике улыбки. Психологическая адаптация к временным протезам может помочь пациенту легче перенести процесс установки постоянных протезов, так как он уже будет иметь опыт ношения протезов и понимание того, как они могут изменить его жизнь.
Кроме того, временные протезы могут служить своеобразным «тест-драйвом» для пациента, позволяя ему оценить, как он будет выглядеть и чувствовать себя с постоянными протезами. Это может помочь в принятии окончательного решения о выборе типа и материала постоянного протеза, что также снижает уровень стресса и тревоги.
Не менее важным аспектом является поддержка со стороны стоматолога и близких людей. Профессиональная помощь и советы стоматолога могут значительно снизить уровень тревожности пациента. Обсуждение всех возможных вариантов, а также ожиданий и реальных результатов, которые можно достичь с помощью временных протезов, поможет пациенту чувствовать себя более уверенно и спокойно в процессе лечения.
В заключение, временные протезы на передние зубы играют важную роль не только в восстановлении функциональности и эстетики, но и в психологическом состоянии пациента. Понимание и принятие этого аспекта может значительно улучшить качество жизни человека, который сталкивается с проблемами утраты зубов.
Советы по выбору стоматолога для установки временных протезов
Выбор стоматолога для установки временных протезов на передние зубы является важным этапом, который может существенно повлиять на конечный результат лечения. Ниже представлены ключевые аспекты, на которые стоит обратить внимание при выборе специалиста.
1. Квалификация и опыт стоматолога
Первым делом стоит обратить внимание на квалификацию стоматолога. Убедитесь, что у него есть соответствующее образование и сертификаты, подтверждающие его специализацию в области протезирования. Опыт работы также играет важную роль: чем больше случаев установки временных протезов у стоматолога, тем выше вероятность успешного результата.
2. Отзывы и рекомендации
Перед тем как записаться на прием, полезно ознакомиться с отзывами других пациентов. Это можно сделать на специализированных медицинских сайтах, форумах или в социальных сетях. Также стоит спросить рекомендации у знакомых или друзей, которые уже проходили подобное лечение.
3. Современное оборудование и технологии
Современные технологии и оборудование могут значительно улучшить качество протезирования. Убедитесь, что стоматологическая клиника, которую вы рассматриваете, оснащена современными инструментами и использует актуальные методики. Это может включать цифровую диагностику, 3D-моделирование и другие инновационные подходы.
4. Индивидуальный подход
Хороший стоматолог всегда учитывает индивидуальные особенности пациента. Важно, чтобы специалист провел тщательное обследование, выслушал ваши пожелания и объяснил все этапы предстоящего лечения. Индивидуальный подход поможет достичь наилучшего результата и минимизировать возможные риски.
5. Прозрачность ценовой политики
Перед началом лечения важно обсудить стоимость услуг. Убедитесь, что стоматолог объясняет все этапы и связанные с ними расходы. Прозрачная ценовая политика поможет избежать неприятных сюрпризов в будущем.
6. Условия послеоперационного наблюдения
После установки временных протезов важно следить за состоянием зубов и десен. Уточните, какие условия послеоперационного наблюдения предлагает стоматолог. Наличие возможности обратиться за консультацией в случае возникновения проблем является важным аспектом выбора специалиста.
Выбор стоматолога для установки временных протезов на передние зубы требует внимательности и тщательного подхода. Уделив время на исследование и анализ, вы сможете найти квалифицированного специалиста, который обеспечит вам качественное лечение и комфортный процесс восстановления.




