Удаление зуба с флюсом — серьезная медицинская процедура, требующая внимательного подхода. В статье рассмотрим, что такое флюс, его виды и основные симптомы, а также рекомендации по профилактике после удаления зуба. Узнаете, когда необходимо удаление зуба при периостите и что делать, если флюс не проходит. Эта информация поможет вам лучше ориентироваться в ситуации и предпринять меры для сохранения здоровья полости рта.
Причины появления флюса
Одонтогенный периостит может развиваться по множеству причин и факторов, среди которых можно выделить следующие:
- Кариес ‒ это наиболее частая причина возникновения периостита, а также другие стоматологические заболевания, такие как хронический периодонтит, альвеолит, пародонтит, нагноение кисты челюсти или воспаление ретинированных (непрорезавшихся) зубов;
- Повреждения ‒ травматический периостит часто наблюдается после удаления зубов, хирургических операций, переломов челюсти и различных травм зубов, что может привести к воспалению костной ткани;
- Воспаление в десенном кармане, то есть пространстве между десной и зубом ‒ накопление пищи в этих карманах может стать источником размножения бактерий, что способствует образованию флюса;
- Временные пломбы могут стать причиной периостита, если они не были заменены на постоянные;
- Бактериальная флора ‒ стрептококки, стафилококки, Г+ и Г- палочки, а также гнилостные бактерии;
- У детей периостит часто возникает после перенесенных тонзиллитов, ангин, отитов и гриппа, когда инфекция распространяется гематогенным или лимфогенным путем;
- Образование флюса также может быть связано с переохлаждением, стрессами и физическими перегрузками.
Врачи-стоматологи подчеркивают, что удаление зуба с флюсом — это сложная процедура, требующая особого подхода. Флюс, или абсцесс, свидетельствует о наличии инфекции, что может усложнить процесс удаления. Специалисты рекомендуют предварительно провести лечение, направленное на устранение воспаления. Это может включать антибиотикотерапию и дренирование гноя. После стабилизации состояния пациента, удаление зуба становится более безопасным. Важно также учитывать, что после процедуры необходимо соблюдать рекомендации врача для предотвращения повторного воспаления и ускорения заживления. В целом, грамотный подход к удалению зуба с флюсом позволяет минимизировать риски и обеспечить комфорт пациента.
https://youtube.com/watch?v=xZ9_9c-A7Pw
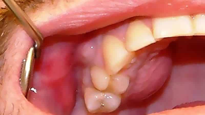
Виды флюса и симптомы его сопровождающие
Тяжесть проявлений флюса варьируется в зависимости от его формы, места локализации и состояния иммунной системы пациента. Существует несколько типов одонтогенного периостита, а именно:
- серозный ‒ это наиболее легкая форма периостита. Она проявляется отеком мягких тканей, покраснением слизистой оболочки и увеличением регионарных лимфатических узлов. Чаще всего такая реакция возникает на зуб, пораженный пульпитом или периодонтитом, или же является следствием травмы;
-
гнойная форма ‒ характеризуется отеком и гиперемией слизистой рта и мягких тканей, образованием болезненного уплотнения с гнойным содержимым. Иногда припухлость может иметь зону флюктуации в центре (в таком случае речь идет об абсцессе). К общим симптомам относятся слабость, снижение аппетита, нарушения сна и повышение температуры до 38-38,5°С. Пациенты отмечают сильную боль, которая может иррадиировать в височную область, ухо, глазницу, шею и усиливается при открывании рта и движениях челюсти.
Болевые ощущения становятся менее выраженными, когда образуется свищ и гной вытекает из флюса в ротовую полость.
Визуально, в зависимости от места локализации флюса, можно наблюдать отек щеки, верхней или нижней губы, подглазничной, околоушной области или подбородка;
- диффузная форма периостита ‒ отличается распространением отека на соседние ткани. При поражении верхних резцов отек может затрагивать верхнюю губу и область носа, при поражении моляров ‒ щечную и околоушную зоны, а при поражении премоляров ‒ нижнюю часть щеки. Также наблюдаются повышение температуры, общая слабость и снижение аппетита;
- хронический периостит ‒ характеризуется длительным течением (от 4 до 8 месяцев и более) с периодическими обострениями. Он сопровождается такими симптомами, как отек и гиперемия слизистой оболочки, утолщение кости в области воспалительного процесса, образование плотного инфильтрата, увеличение регионарных лимфатических узлов и незначительное повышение температуры тела во время обострений.
| Аспект | Описание | Рекомендации |
|---|---|---|
| Что такое флюс (периостит)? | Воспаление надкостницы челюсти, часто вызванное инфекцией из больного зуба. Проявляется отеком, болью, покраснением десны и щеки. | Немедленно обратиться к стоматологу. Самолечение опасно. |
| Почему удаляют зуб с флюсом? | Если зуб является источником инфекции, вызвавшей флюс, и его невозможно спасти (например, из-за сильного разрушения, неэффективности консервативного лечения). | Удаление зуба устраняет источник инфекции и способствует заживлению. |
| Подготовка к удалению | Стоматолог может назначить антибиотики до удаления, чтобы уменьшить воспаление и предотвратить распространение инфекции. | Строго следовать указаниям врача по приему медикаментов. |
| Процесс удаления | Проводится под местной анестезией. Может быть более сложным из-за воспаления, требуя дренирования гноя. | Сообщить врачу о любых аллергиях и принимаемых лекарствах. |
| Послеоперационный период | Возможны отек, боль, небольшое кровотечение. Важно соблюдать гигиену полости рта, принимать назначенные препараты. | Прикладывать холод к щеке, избегать горячей и твердой пищи, не полоскать рот интенсивно в первые сутки. |
| Возможные осложнения | Сухая лунка, альвеолит, распространение инфекции, повреждение соседних зубов или нервов. | При усилении боли, повышении температуры, появлении неприятного запаха изо рта – немедленно обратиться к врачу. |
| Профилактика флюса | Регулярные осмотры у стоматолога, своевременное лечение кариеса и других заболеваний зубов, правильная гигиена полости рта. | Посещать стоматолога не реже одного раза в полгода. |
Когда необходимо удалять зуб при флюсе
Часто единственным способом решения проблемы становится удаление зуба при флюсе.
В некоторых случаях такая процедура становится необходимой:
- если проведенное консервативное лечение не принесло ожидаемого результата;
- если в зубе имеется значительная трещина, которую невозможно устранить консервативными методами;
- при наличии запущенных заболеваний, таких как кариес, пульпит или периодонтит, когда разрушение зубной ткани настолько велико, что консервативное лечение или пломбирование нецелесообразны;
- если в тканях зуба наблюдается инфекционный процесс в области межзубодеснового пространства.
Существуют и противопоказания к удалению зуба при флюсе:
- острые заболевания;
- первый и последний триместр беременности;
- патологии сердечно-сосудистой системы;
- серьезные заболевания нервной системы;
- сахарный диабет;
- нарушения свертываемости крови;
- период после вакцинации.
https://youtube.com/watch?v=4h2Hqa626WQ
Процесс удаления зуба при периостите
Перед тем как принять решение об удалении зуба при наличии флюса, стоматолог назначает рентгенографию, которая позволит оценить степень повреждений в костной ткани зуба и челюсти.
Если консервативное лечение не представляется возможным, врач рекомендует провести операцию, состоящую из нескольких этапов.
В предоперационный период пациенту выполняют дренаж гноя и назначают курс антибиотиков для снижения отека и воспалительного процесса. На первом этапе операции производится разрез слизистой ткани, окружающей надкостницу, чтобы получить доступ к корню пораженного зуба. Затем зуб удаляется по частям с использованием лазера или специализированной пилки. После удаления зуба рана обрабатывается антисептическими растворами и зашивается.
Лечение флюса после удаления зуба
В норме флюс должен исчезнуть в течение трех-пяти дней после удаления зуба. Если же он продолжает беспокоить, необходимо незамедлительно обратиться к врачу для получения соответствующего лечения. Самостоятельные действия в этом случае крайне не рекомендуются, так как они могут усугубить ситуацию и привести к осложнениям. В случае небольшого флюса специалист может назначить антибиотики, которые могут быть как местного, так и общего действия.
Если консервативное лечение не приносит результатов или нагноение слишком выражено, потребуется хирургическое вмешательство для удаления флюса. Процедура начинается с местной анестезии, затем делается разрез в области нагноения, удаляется гной и рана промывается антисептическими растворами. После этого устанавливается дренаж для возможного оттока гноя. После операции пациенту назначается курс антибиотиков для предотвращения дальнейшего воспаления.
Иногда флюс может возникнуть сразу после удаления зуба. Это может произойти из-за попадания инфекции во время операции или после нее, если не были соблюдены рекомендации врача. После удаления зуба рекомендуется некоторое время воздерживаться от еды и питья, не курить, а также тщательно следить за гигиеной ротовой полости. Игнорирование этих советов может привести к новому воспалению. Что делать, если возник флюс после удаления зуба? В первую очередь, следует обратиться к врачу. После осмотра будет принято решение о методах лечения.
При консервативном лечении обязательно назначаются антибиотики и противовоспалительные средства, а также дезинтоксикационная терапия. Рекомендуется полоскать рот раствором хлоргексидина или другими антисептиками, которые помогают бороться с бактериями и уменьшают зубную боль. Если иммунная система пациента ослаблена, могут быть назначены витамины и иммуномодуляторы. Местная терапия может включать использование мазей, таких как Вишневского, Метрогил дента или Левомеколь, которые наносятся на наружную часть щеки в области гнойника. Если консервативные методы не дают нужного результата, может потребоваться хирургическое вмешательство.
Запрещается самостоятельно использовать согревающие компрессы, принимать аспирин и антибиотики, а также любые обезболивающие средства перед визитом к врачу.
Профилактика периостита
Чтобы избежать неприятного заболевания, известного как периостит, следует придерживаться следующих рекомендаций:
- регулярно посещать стоматолога (не реже одного раза в год);
- тщательно соблюдать гигиену полости рта (чистить зубы дважды в день после еды, использовать зубные нити после приема пищи, применять ополаскиватели для рта);
- выбирать зубные пасты с экстрактами лекарственных растений (ромашка, календула и другие);
- своевременно лечить стоматологические заболевания, которые могут привести к периоститу, такие как кариес, периодонтит, альвеолит, пародонтит и киста надкостницы;
- незамедлительно обращаться к врачу при любых травмах зубов или челюстей.
Периостит, также известный как флюс, представляет собой довольно неприятное и опасное заболевание.
При несвоевременном обращении к врачу или самостоятельном лечении флюс может привести к серьезным осложнениям.
К таким осложнениям относятся остеомиелит челюсти, флегмона, верхний медиастинит и даже сепсис. Чтобы избежать таких последствий, важно обращаться к врачу при первых же симптомах. Специалист назначит адекватное консервативное лечение или хирургическое вмешательство, которое может включать удаление зуба с флюсом. Однако иногда, даже после удаления зуба, флюс может не исчезнуть. В этом случае врач снова принимает решение о консервативной терапии или назначает операцию по вскрытию гнойника.
Для предотвращения появления флюса необходимо принимать профилактические меры. Ведь любое заболевание проще предотвратить, чем лечить.
https://youtube.com/watch?v=h0zl5UL2pJ8
Последствия удаления зуба с флюсом
Удаление зуба с флюсом может иметь ряд последствий, которые важно учитывать как до, так и после процедуры. Флюс, или абсцесс, представляет собой скопление гноя, вызванное инфекцией в области корня зуба или десны. Это состояние требует особого внимания, так как может привести к различным осложнениям.
Во-первых, после удаления зуба с флюсом существует риск развития воспалительного процесса. Если инфекция не была полностью устранена до операции, она может распространиться на соседние ткани, что приведет к повторному образованию абсцесса. Поэтому стоматологи часто рекомендуют предварительное лечение антибиотиками для снижения воспаления и предотвращения осложнений.
Во-вторых, после удаления зуба может возникнуть сильная боль и отек в области операции. Это нормальная реакция организма на вмешательство, но в случае, если боль не утихает или усиливается, необходимо обратиться к врачу. Врач может назначить дополнительные противовоспалительные препараты или антибиотики для контроля инфекции.
Третьим последствием может стать нарушение заживления. У пациентов с флюсом заживление может занять больше времени, чем у здоровых людей. Это связано с тем, что ткани уже были повреждены инфекцией, и организму требуется больше времени для восстановления. Важно следовать рекомендациям стоматолога по уходу за полостью рта после удаления зуба, чтобы минимизировать риск осложнений.
Также стоит отметить, что удаление зуба с флюсом может повлиять на состояние соседних зубов. Инфекция может распространиться на них, что приведет к необходимости их лечения или удаления. Поэтому важно регулярно посещать стоматолога для профилактических осмотров и своевременного выявления проблем.
Наконец, после удаления зуба с флюсом может возникнуть необходимость в протезировании. Удаление зуба может привести к изменению прикуса и эстетическим проблемам, поэтому стоматолог может рекомендовать установку импланта или другого вида протеза. Это поможет восстановить функциональность и внешний вид зубного ряда.
В заключение, удаление зуба с флюсом требует внимательного подхода и соблюдения всех рекомендаций врача. Правильное лечение и уход помогут избежать осложнений и ускорить процесс заживления.
Рекомендации по уходу за полостью рта после удаления зуба
После удаления зуба, особенно если это было связано с наличием флюса, важно соблюдать определенные рекомендации по уходу за полостью рта, чтобы избежать осложнений и ускорить процесс заживления. Вот основные аспекты, на которые стоит обратить внимание:
1. Соблюдение гигиены полости рта
Несмотря на то, что после удаления зуба может возникнуть дискомфорт, поддержание гигиены полости рта является критически важным. Рекомендуется аккуратно чистить зубы, избегая области удаления. Используйте мягкую зубную щетку и нежные движения, чтобы не повредить заживающую десну.
2. Полоскания
Полоскания рта могут помочь в поддержании чистоты и предотвращении инфекций. Однако в первые 24 часа после удаления зуба следует избегать активного полоскания, чтобы не нарушить образовавшийся тромб. После этого можно использовать теплый солевой раствор (1 чайная ложка соли на стакан теплой воды) для полоскания, что поможет уменьшить воспаление и ускорить заживление.
3. Избегание определенных продуктов
В первые дни после удаления зуба рекомендуется избегать жесткой, острой и горячей пищи, которая может раздражать десну. Лучше всего употреблять мягкие и прохладные продукты, такие как йогурт, пюре или супы. Также стоит исключить алкоголь и газированные напитки, так как они могут замедлить процесс заживления.
4. Контроль за болевыми ощущениями
После удаления зуба может возникнуть боль, которую можно контролировать с помощью обезболивающих средств, рекомендованных стоматологом. Важно не превышать указанную дозировку и не принимать лекарства, не проконсультировавшись с врачом.
5. Избегание физических нагрузок
В первые несколько дней после процедуры стоит ограничить физическую активность, чтобы не повысить кровяное давление и не вызвать кровотечение. Рекомендуется избегать интенсивных тренировок и тяжелых физических нагрузок.
6. Регулярные визиты к стоматологу
После удаления зуба важно следить за процессом заживления и при необходимости посещать стоматолога для контроля состояния десны. Если вы заметили признаки инфекции, такие как сильная боль, отек или гнойные выделения, немедленно обратитесь к врачу.
7. Соблюдение рекомендаций врача
Каждый случай индивидуален, и стоматолог может дать специальные рекомендации, основанные на вашем состоянии. Следуйте всем указаниям врача, чтобы минимизировать риск осложнений и обеспечить быстрое заживление.
Соблюдение этих рекомендаций поможет вам избежать неприятных последствий и ускорить процесс восстановления после удаления зуба с флюсом. Помните, что здоровье полости рта напрямую влияет на общее состояние организма, поэтому важно уделять этому внимание даже после хирургических вмешательств.
Когда обращаться к врачу после удаления зуба
После удаления зуба, особенно если процедура была связана с наличием флюса, важно внимательно следить за своим состоянием и обращать внимание на любые изменения. В большинстве случаев процесс заживления проходит без осложнений, однако существуют определенные симптомы, которые могут указывать на необходимость обращения к врачу.
Первым признаком, который должен насторожить пациента, является сильная боль, которая не утихает в течение нескольких дней после удаления. Нормальная боль после процедуры может быть умеренной и постепенно уменьшаться, но если она становится невыносимой или усиливается, это может свидетельствовать о развитии инфекции или других осложнений.
Также стоит обратить внимание на отек. Небольшой отек в области удаления зуба — это нормальная реакция организма, однако если отек начинает увеличиваться или сохраняется более трех дней, это может быть признаком воспалительного процесса. В таких случаях необходимо обратиться к стоматологу для оценки ситуации.
Кровотечение, которое продолжается более 24 часов после удаления зуба, также является тревожным сигналом. Нормальное кровотечение должно постепенно прекращаться, и если оно не останавливается, это может указывать на проблемы с коагуляцией крови или на то, что в ране остались остатки зуба или инфекции.
Если вы заметили выделения из лунки зуба, которые имеют неприятный запах или цвет, это также может быть признаком инфекции. В таких случаях важно не откладывать визит к врачу, так как это может привести к более серьезным осложнениям.
Температура тела выше 38°C, появление озноба или общего недомогания также являются показателями того, что необходимо обратиться за медицинской помощью. Эти симптомы могут указывать на системное воспаление или инфекцию, требующую немедленного вмешательства.
Наконец, если вы испытываете трудности с открытием рта или глотанием, это может быть признаком серьезного воспалительного процесса, требующего немедленного медицинского вмешательства.
В заключение, после удаления зуба с флюсом важно внимательно следить за своим состоянием и не игнорировать любые тревожные симптомы. При возникновении каких-либо из вышеописанных признаков рекомендуется как можно скорее обратиться к стоматологу для получения квалифицированной помощи.




