Правила гигиены полости рта — основа здоровья зубов и десен у детей и взрослых. В статье рассмотрим ключевые аспекты ухода за полостью рта, включая ежедневные привычки и профессиональные процедуры для предотвращения зубных заболеваний. Соблюдение простых правил гигиены не только сохраняет улыбку, но и улучшает общее состояние здоровья, снижая риск серьезных заболеваний.
Интересные факты
Все мы знаем, что качественный уход за зубами подразумевает чистку зубной щеткой дважды в день. Но о чем, как правило, не задумывается обычный человек?
-
Фтор — лучший защитник от кариеса и его профилактики. Уязвимые верхние слои эмали ежедневно подвергаются значительным нагрузкам во время еды. Особенно вредны для них сладости, органические кислоты и продукты, вырабатываемые кариесогенными бактериями.
Фтор проникает в поры и микротрещины эмали, заполняя все неровности. Этот процесс называется реминерализация, и он направлен на предотвращение кариеса и восстановление поврежденных участков зуба.
Чтобы обеспечить нормальную реминерализацию, используйте фторсодержащую зубную пасту хотя бы один раз в день, особенно после завтрака.
-
Перекусы вредят зубам так же, как и кариес. Важно отметить, как мимолетные перекусы «подручными продуктами» влияют на здоровье зубов. Удивительно, но даже состав рациона и меню за день влияет на эмаль меньше, чем частота приемов пищи. Это связано с активностью бактерий, которые обитают на слизистой каждого человека. Потребляя продукты и напитки с содержанием сахара и крахмала (а таких большинство), микробы выделяют токсичные кислоты, разрушающие зубы.
После каждого перекуса такое «окисление» может длиться до получаса, в результате чего эмаль истончается и становится более уязвимой к кариозным бактериям.
-
Сладости в рационе ребенка могут привести к раннему кариесу, который имеет более серьезные последствия. Ограничьте потребление промышленных конфет, печенья, пирожных, тортов и шоколадок, особенно газированных напитков. Воспитайте у ребенка интерес к сладким фруктам, домашним йогуртам и киселям, а также умеренно сладкой выпечке (например, блинам).
Врачи подчеркивают важность соблюдения правил гигиены полости рта для поддержания здоровья зубов и десен. Регулярная чистка зубов дважды в день с использованием фторсодержащей пасты помогает предотвратить кариес и заболевания десен. Специалисты рекомендуют также использовать зубную нить для удаления остатков пищи и налета между зубами, где зубная щетка не может достать. Кроме того, регулярные визиты к стоматологу для профессиональной чистки и осмотра играют ключевую роль в профилактике стоматологических заболеваний. Врачи акцентируют внимание на том, что правильное питание, богатое витаминами и минералами, также способствует укреплению зубной эмали и общему состоянию полости рта. Забота о гигиене полости рта — это не только эстетика, но и залог общего здоровья.
https://youtube.com/watch?v=Q9KdopuLaGM
Как правильно следить за состоянием зубов и десен
Советы по уходу за полостью рта для взрослых имеют свои особенности, так как с возрастом зубы подвергаются износу, а также страдают от частых перекусов на работе, потребления сладостей и нехватки времени для тщательной чистки и ухода за деснами.
-
Чистите зубы не реже двух раз в день с использованием фторсодержащей пасты и средств для укрепления десен. Кроме того, 1-2 раза в неделю рекомендуется использовать отбеливающую пасту для очищения эмали.
-
Не забывайте очищать язык от налета во время чистки зубов, пока его поверхность не станет розовой и блестящей.
-
После перекусов обязательно полощите рот освежающими ополаскивателями для рта (желательно без спирта). Также можно пожевать безсахарную жевательную резинку в течение нескольких минут.
-
Несколько раз в неделю очищайте межзубные промежутки с помощью специальных ершиков или зубной нити.
-
Гигиенический уход за зубами и полостью рта должен включать антисептические и антимикробные средства. Используйте такие жидкости в ирригаторе, чтобы под напором струи удалить остатки пищи из труднодоступных мест и провести санацию ротовой полости.
-
Посещайте стоматолога каждые 5-6 месяцев для профилактического осмотра и профессиональной чистки зубов от налета, камня и пищевых пигментов.
-
Принимайте кальций и фтор в виде добавок, не забывая о витаминах, минералах и микроэлементах.
-
Если в вашем регионе вода не фторируется, используйте бутилированную. Обычно такая вода очищается от вредных веществ и обогащается полезными минералами и солями, а также содержит необходимый для здоровья зубов фтор. Это особенно важно для детей до 12 лет, чтобы обеспечить правильную гигиену полости рта и зубов.
| Действие | Рекомендации | Частота |
|---|---|---|
| Чистка зубов | Использовать зубную щетку средней жесткости и фторсодержащую пасту. Чистить зубы круговыми движениями, уделяя внимание всем поверхностям зубов и деснам. | Минимум 2 раза в день (утром и вечером) по 2-3 минуты |
| Использование зубной нити (флосса) | Аккуратно очищать межзубные промежутки, удаляя остатки пищи и налет. | Ежедневно, желательно перед сном |
| Использование ополаскивателя для рта | Выбирать ополаскиватель без спирта, содержащий фтор или антибактериальные компоненты. | 1-2 раза в день, после чистки зубов |
| Чистка языка | Использовать специальный скребок для языка или зубную щетку для удаления налета и бактерий. | Ежедневно |
| Регулярные визиты к стоматологу | Проходить профилактические осмотры и профессиональную чистку зубов. | Не реже 1 раза в 6 месяцев |
| Правильное питание | Ограничить потребление сахара и кислых продуктов. Включить в рацион продукты, богатые кальцием и витаминами. | Постоянно |
| Смена зубной щетки | Менять зубную щетку при износе щетинок или после болезни. | Каждые 3-4 месяца |
Уход за зубами ребенка
Вопросы, связанные с детской гигиеной, волнуют родителей в первую очередь, ведь заставить малыша тщательно чистить зубы бывает крайне сложно, как и контролировать качество этой процедуры.
Тем не менее, важно понимать, с какого возраста начинать заниматься стоматологическим воспитанием и какие регулярные действия стоит внедрять в повседневную практику.
Возраст до 3 лет. Все дети рождаются с зачатками зубов, которые скрыты под деснами. В этот период необходимо очищать полость рта с помощью бинта или мягкого тампона хотя бы один раз в день. Тампон можно смочить мягким антисептиком или раствором на основе эфирных масел. Это поможет удалить остатки молока и прикорма со слизистой, а также снизить количество микробов. После появления первых зубов подберите для малыша щетку с мягкой щетиной. Чистка может проводиться с использованием очищенной воды или раствора с эфирными маслами, а также с соком фруктов или ягод.
Запрещайте ребенку тянуть в рот пальцы, предметы, игрушки и т.д., чтобы избежать формирования нездоровых привычек и неправильного прикуса.
Возраст от 3 до 6 лет. Это важный этап формирования индивидуальной гигиены полости рта у детей. Для качественного очищения зубов начинают использовать фторсодержащую мягкую пасту, что поможет снизить риск кариеса. Учите малыша правильно двигать щеткой (вверх-вниз, круговыми движениями), доставать до дальних уголков и задних стенок зубов, а также сплевывать остатки пасты. В этот период также стоит познакомить ребенка с дантистом и провести первичный визуальный осмотр зубов.
Возраст от 6 до 8 лет. Накануне первого похода в школу начинается смена молочных зубов на постоянные. В этот период зубы подвержены различным стоматологическим заболеваниям (особенно кариесу), травмам и деформациям. Начинайте учить ребенка пользоваться флоссом для очищения межзубных промежутков и боковых стенок задних зубов. Также важно строго контролировать качество и продолжительность гигиенических процедур, осматривать зубы после чистки. Врачи рекомендуют переходить на профессиональную зубную пасту с оптимальным уровнем фтора.
Возраст старше 8 лет. Ответственные школьники уже достаточно взрослые, чтобы подобрать для них «продвинутую» зубную щетку с нормальной щетиной и пасту, аналогичную той, что используют родители. Обратите внимание на необходимость двухразовой гигиены полости рта, особенно после употребления сладостей и газированных напитков. Научите ребенка очищать поверхность языка с помощью задней стороны щетки. Количество визитов к стоматологу следует увеличить до 1-2 раз каждые полгода.
https://youtube.com/watch?v=iqHtZz0lcJw
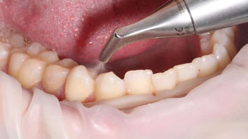
Профессиональный уход за зубами
Известно, что даже при тщательной чистке зубов дважды в день и использовании зубной нити на эмали все равно остается около одной трети налета. В основном он скапливается на задней поверхности языка, в межзубных пространствах, поддесневых карманах и пришеечных участках зубов. С этой проблемой могли бы помочь качественный ирригатор и межзубные ершики, однако, к сожалению, лишь немногие пациенты могут похвастаться такими усилиями.
Многие начинают интересоваться, что же такое профессиональная гигиена полости рта и как часто ее следует проводить.
По сути, это набор процедур, направленных на удаление с поверхности зубов и десен твердых отложений, таких как темный камень, желтоватый и белый микробный налет, остатки пищи, а также красители и пигменты (включая следы от курения, красного вина и кофе).
На первом этапе может быть применена местная анестезия (если это необходимо), после чего с помощью стоматологических инструментов или ультразвука удаляются патологические отложения, не повреждая тонкие слои эмали.
Затем стоматолог очищает труднодоступные участки, межзубные промежутки и десневые области с помощью ручных инструментов.
На третьем этапе удаляются пигменты и красители с использованием ультразвука и аппарата Air Flow. Струя бикарбоната натрия эффективно и безболезненно очищает эмаль, осветляя ее на 1-3 тона.
Завершающим этапом гигиенической процедуры в стоматологии, который входит в комплекс восстановления эмали, является полирование поверхности от бактерий с использованием специальных паст и нанесение фторсодержащего лака. Это обеспечит длительный эффект всей процедуры на срок от 4 до 6 месяцев.
Индексы гигиены
Стоматологи используют более 80 различных показателей для оценки качества ухода за зубами и деснами. Эти показатели позволяют анализировать состояние микрофлоры слизистой оболочки, пародонта и периодонта, а также выявлять стадии образования зубного налета и камня.
Для определения индексов гигиены полости рта на несколько зубов (обычно 6) наносят растворы, такие как йод или метиленовый синий, а также другие красители. На основе окрашенных отложений рассчитываются показатели налета и камня, их структура, глубина поражения и степень распространения. Первая группа индексов измеряет площадь распространения, вторая — толщину слоя, а третья — массу. Четвертая группа индексов предоставляет информацию о качественных химических, физиологических и микробиологических характеристиках налета и камня.
Эффективность гигиенических процедур во многом зависит от внимательности и старательности пациента. Для поддержания здоровья зубов достаточно уделять 10-15 минут в день на уход, используя не только зубную щетку и пасту, но и ирригаторы, флоссы, ершики и ополаскиватели. Также важно регулярно посещать стоматолога для профессиональной чистки и профилактического осмотра.
https://youtube.com/watch?v=Nm5FzNw30BI
Влияние питания на здоровье полости рта
Питание играет ключевую роль в поддержании здоровья полости рта. То, что мы едим, непосредственно влияет на состояние зубов, десен и всей ротовой полости. Правильный выбор продуктов может помочь предотвратить множество стоматологических заболеваний, таких как кариес, гингивит и пародонтит.
Одним из основных факторов, способствующих развитию кариеса, является потребление сахаров. Сахар, содержащийся в сладких напитках, кондитерских изделиях и даже в некоторых фруктах, служит питательной средой для бактерий, которые обитают в полости рта. Эти бактерии, перерабатывая сахар, выделяют кислоты, которые разрушают зубную эмаль. Поэтому важно ограничивать потребление сахара и стараться выбирать более здоровые альтернативы, такие как свежие фрукты и овощи.
Кроме сахара, стоит обратить внимание на кислые продукты, такие как цитрусовые, газированные напитки и уксус. Хотя они могут быть полезны в умеренных количествах, их чрезмерное употребление может привести к эрозии зубной эмали. Чтобы минимизировать вредное воздействие кислоты, рекомендуется пить воду после употребления таких продуктов и избегать чистки зубов сразу после их приема, так как эмаль в это время становится более уязвимой.
Кальций и фосфор — два минерала, которые играют важную роль в укреплении зубов. Кальций содержится в молочных продуктах, таких как молоко, йогурт и сыр, а также в зеленых листовых овощах, таких как шпинат и брокколи. Фосфор можно найти в рыбе, мясе и орехах. Включение этих продуктов в рацион помогает поддерживать здоровье зубной эмали и предотвращает ее разрушение.
Также стоит отметить, что витамины, особенно витамин C и витамин D, имеют значительное влияние на здоровье десен. Витамин C способствует заживлению тканей и укреплению десен, а витамин D помогает организму усваивать кальций. Поэтому важно включать в рацион продукты, богатые этими витаминами, такие как цитрусовые, ягоды, рыба и яйца.
Не менее важным аспектом является поддержание водного баланса. Употребление достаточного количества воды помогает поддерживать слюноотделение, что, в свою очередь, способствует естественной очистке полости рта от остатков пищи и бактерий. Слюна также содержит минералы, которые помогают реминерализовать зубную эмаль.
В заключение, правильное питание является важным компонентом гигиены полости рта. Сбалансированный рацион, богатый витаминами и минералами, а также ограничение потребления сахара и кислых продуктов помогут сохранить здоровье зубов и десен на долгие годы. Регулярные визиты к стоматологу и соблюдение правил гигиены полости рта в сочетании с правильным питанием создадут надежную основу для поддержания здоровья вашей улыбки.
Частые ошибки в гигиене полости рта
Правильная гигиена полости рта является важным аспектом общего здоровья, однако многие люди допускают распространенные ошибки, которые могут привести к проблемам с зубами и деснами. Рассмотрим основные из них.
1. Неправильная техника чистки зубов. Многие люди чистят зубы слишком быстро и неэффективно. Рекомендуется использовать мягкую зубную щетку и чистить зубы не менее двух минут, уделяя внимание каждому участку рта. Важно использовать круговые движения и не забывать про задние поверхности зубов.
2. Пропуск чистки зубов. Некоторые люди считают, что если они пропустят одну чистку, ничего страшного не произойдет. Однако регулярная чистка зубов дважды в день помогает предотвратить образование налета и кариеса. Пропуская чистку, вы увеличиваете риск развития заболеваний полости рта.
3. Использование неправильной зубной пасты. Не все зубные пасты одинаковы. Некоторые из них могут содержать абразивные вещества, которые могут повредить эмаль зубов. Важно выбирать пасту, содержащую фтор, который помогает укрепить зубную эмаль и предотвращает кариес.
4. Игнорирование зубной нити. Чистка зубов щеткой не всегда достаточно для удаления налета между зубами. Зубная нить помогает удалить остатки пищи и налет из труднодоступных мест. Рекомендуется использовать зубную нить хотя бы раз в день.
5. Неправильный выбор времени для чистки зубов. Многие люди чистят зубы сразу после еды, особенно если они употребляли кислые продукты или напитки. Это может привести к повреждению эмали. Лучше подождать 30 минут после еды, прежде чем чистить зубы.
6. Пренебрежение регулярными визитами к стоматологу. Даже при соблюдении всех правил гигиены полости рта, важно регулярно посещать стоматолога для профилактических осмотров и профессиональной чистки. Это поможет выявить проблемы на ранних стадиях и предотвратить их развитие.
7. Использование одной и той же зубной щетки слишком долго. Зубные щетки теряют свою эффективность со временем. Рекомендуется менять зубную щетку или насадку на электрической щетке каждые три-четыре месяца или сразу после болезни.
Избегая этих распространенных ошибок, вы сможете значительно улучшить состояние своей полости рта и сохранить здоровье зубов и десен на долгие годы.
Заболевания полости рта и их профилактика
Заболевания полости рта представляют собой серьезную проблему, затрагивающую не только здоровье зубов, но и общее состояние организма. Наиболее распространенными заболеваниями являются кариес, гингивит, пародонтит и стоматит. Профилактика этих заболеваний включает в себя ряд мер, направленных на поддержание здоровья полости рта и предотвращение развития патологий.
Кариес — это разрушение зубной эмали, которое может привести к образованию полостей. Основной причиной кариеса является недостаточная гигиена полости рта, а также потребление сахара и углеводов. Для профилактики кариеса необходимо:
- Регулярно чистить зубы дважды в день с использованием фторсодержащей зубной пасты.
- Использовать зубную нить для удаления остатков пищи и налета между зубами.
- Сократить потребление сладостей и углеводов, особенно между основными приемами пищи.
- Посещать стоматолога не реже двух раз в год для профессиональной чистки и осмотра зубов.
Гингивит — это воспаление десен, которое может привести к более серьезным заболеваниям, если не принять меры. Основные симптомы включают покраснение, отечность и кровоточивость десен. Профилактика гингивита включает:
- Ежедневную чистку зубов и десен, уделяя особое внимание линии десен.
- Использование антисептических ополаскивателей для полости рта.
- Регулярные визиты к стоматологу для контроля состояния десен.
Пародонтит — это более серьезное заболевание, которое затрагивает ткани, поддерживающие зубы. Оно может привести к потере зубов, если не будет своевременно диагностировано и лечено. Профилактика пародонтита включает:
- Поддержание хорошей гигиены полости рта, включая чистку зубов и использование зубной нити.
- Отказ от курения, так как оно значительно увеличивает риск заболеваний десен.
- Соблюдение сбалансированной диеты, богатой витаминами и минералами, необходимыми для здоровья десен.
Стоматит — это воспаление слизистой оболочки рта, которое может быть вызвано инфекциями, травмами или аллергическими реакциями. Профилактика стоматита включает:
- Избегание травмирования слизистой оболочки (например, острыми краями зубов или твердыми продуктами).
- Соблюдение правил гигиены, чтобы предотвратить инфекции.
- Поддержание иммунной системы с помощью здорового образа жизни и питания.
В заключение, профилактика заболеваний полости рта требует комплексного подхода, включающего регулярную гигиену, сбалансированное питание и регулярные визиты к стоматологу. Забота о здоровье полости рта не только предотвращает заболевания, но и способствует общему благополучию и качеству жизни.




