Зубная боль — это неприятное ощущение, которое может возникнуть внезапно и ухудшить качество жизни. Она может быть вызвана кариесом, воспалением десен и другими причинами, требующими внимательной диагностики и лечения. В этой статье рассмотрим основные причины зубной боли и рекомендации по её устранению и лечению. Знание этих аспектов поможет быстрее справиться с болью и предотвратить осложнения.
Почему болят зубы: причины и факторы стоматологических болей
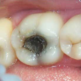
Боль представляет собой результат патологических изменений в тканях. Она может возникать не только на поверхности зуба, но и под пломбой или коронкой. Чаще всего случаи, когда зуб болит под пломбой, связаны с недостаточным качеством лечения кариеса. При правильно выполненной процедуре не должно быть ни боли, ни дискомфорта от воздействия холодного или горячего. Давайте рассмотрим основные причины стоматологических болей и характерные ощущения, которые могут сопровождать различные болезненные процессы.
Боль в зубе может быть вызвана различными причинами, и врачи подчеркивают важность своевременной диагностики. Наиболее распространенные факторы включают кариес, воспаление десен и травмы зубов. Врач-стоматолог рекомендует не игнорировать симптомы, так как запущенные случаи могут привести к серьезным осложнениям, включая абсцессы и потерю зуба.
При появлении боли следует обратиться к специалисту, который проведет осмотр и, при необходимости, рентгенографию. Лечение может варьироваться от пломбирования и лечения корневых каналов до хирургического вмешательства. Врачи также советуют применять обезболивающие средства для временного облегчения состояния и соблюдать гигиену полости рта. Профилактика, включая регулярные осмотры и чистку зубов, играет ключевую роль в предотвращении зубной боли.
https://youtube.com/watch?v=Y-Fh8Ellhyg
Почему болят зубы?
Боль может проявляться как в верхней части зуба, так и в его корневой зоне. Основные причины дискомфорта в твердых жевательных тканях включают:
- повреждение или стирание зубной эмали;
- развитие кариеса, приводящее к образованию «дырок» (кариозных полостей).
Болевые ощущения в верхней части зуба могут быть как ноющими, так и резкими, особенно если в кариозное отверстие попала острая или кислая пища, а также сахар. В случае повреждения эмали стоматолог может не обнаружить кариес, однако пациент может испытывать повышенную чувствительность жевательной поверхности, что вызывает дискомфорт при контакте с холодным, горячим или сладким. После полоскания ротовой полости неприятные ощущения, как правило, исчезают.
| Причина боли | Что делать (первая помощь) | Лечение (обращение к врачу) |
|---|---|---|
| Кариес | Прополоскать рот теплой водой, удалить остатки пищи. Принять обезболивающее (ибупрофен, парацетамол). | Пломбирование зуба, удаление пораженных тканей. |
| Пульпит (воспаление нерва) | Принять сильное обезболивающее. Избегать горячей/холодной пищи. | Депульпирование (удаление нерва), пломбирование каналов. |
| Периодонтит (воспаление тканей вокруг корня) | Приложить холодный компресс к щеке. Принять обезболивающее. | Лечение корневых каналов, возможно удаление зуба при сильном разрушении. |
| Чувствительность зубов | Использовать зубную пасту для чувствительных зубов. Избегать кислых продуктов. | Фторирование, нанесение специальных лаков, пломбирование дефектов эмали. |
| Трещина или скол зуба | Избегать жевания на поврежденной стороне. Принять обезболивающее. | Пломбирование, установка коронки, в некоторых случаях удаление зуба. |
| Воспаление десны (гингивит, пародонтит) | Прополоскать рот антисептическим раствором (хлоргексидин). | Профессиональная чистка зубов, лечение десен, антибиотики при необходимости. |
| Прорезывание зуба мудрости | Приложить холодный компресс. Принять обезболивающее. | Удаление зуба мудрости, если он вызывает боль и осложнения. |
| Травма зуба (удар) | Приложить холодный компресс. Принять обезболивающее. | Осмотр стоматолога, рентген, возможно шинирование или удаление зуба. |
| Неправильный прикус | Принять обезболивающее, если боль вызвана давлением. | Ортодонтическое лечение (брекеты, элайнеры). |
| Синусит (воспаление пазух носа) | Принять обезболивающее. Обратиться к ЛОР-врачу. | Лечение основного заболевания (синусита). |
Почему болит десна?
Болезненные ощущения могут возникать как в корне зуба, так и в десне. Часто пациенты отмечают, что боль ощущается под зубом и отдает в его верхнюю часть. Десна может болеть при различных стоматологических заболеваниях, таких как:
- запущенный кариес, который перешел в пульпит (когда кариозное поражение достигает пульпы – внутренней полости коронки, где находятся нервные окончания);
- периодонтит – воспаление десневых тканей;
- киста или гранулема – образование с гноем на корнях зуба;
- флюс – гнойное воспаление в десне;
- свищ – канал, через который гной выходит из десны в ротовую полость.
Боли, связанные с образованием гноя, часто имеют пульсирующий характер. Если зуб пульсирует, это может указывать на наличие гнойного воспаления (абсцесса).
Начальная стадия пульпита сопровождается ноющими болями в десне, особенно в ночное время. Со временем боли становятся более интенсивными, резкими и нестерпимыми, но без пульсации. Для облегчения боли используются мощные анестетики. Лечение пульпита, когда зуб сильно болит, требует удаления нерва и пломбирования корневого канала и пульпы.
После удаления нерва зуб теряет жизнеспособность. В течение одного-двух дней после процедуры десна в области удаления может ныть или слегка болеть. Обычно через несколько дней дискомфорт проходит. Если же боль не утихает, это может свидетельствовать о воспалении в корне, и зуб необходимо повторно лечить.
https://youtube.com/watch?v=L4q6cOPKzWo
Почему болит зуб под коронкой?
Когда зуб под коронкой начинает болеть, это может быть связано с воспалением пульпы или окружающих тканей, известным как периодонтит. В первые дни после установки протеза могут возникать незначительные ноющие боли, которые обычно проходят через один-два дня. Однако, если боль появляется без видимой причины спустя несколько недель или месяцев после протезирования, это может указывать на воспалительный процесс.
Если дискомфорт ощущается под коронкой живого или мёртвого моляра, важно провести рентгенографию для определения источника боли. В случае живого зуба причиной может быть кариес или воспаление корня и десны. Если же зуб мёртвый (нерв удалён), возможны следующие причины:
- Неполная пломбировка корневых каналов, что приводит к образованию пустот и, как следствие, воспалению.
- Облом медицинского инструмента, оставшийся в корне, может вызывать болезненные ощущения при контакте с холодным или горячим воздухом и жидкостями; боль часто локализуется в десне под коронкой.
- Применение некачественного пломбировочного материала, который со временем может проседать, создавая пустоты внутри каналов. Эти пустоты способствуют возникновению воспаления, и через несколько лет после протезирования может начаться боль в десне под коронкой.
Если болезненные ощущения сопровождаются потемнением зуба, это может свидетельствовать о его гниении и полном разрушении. В таком случае лечение зуба нецелесообразно, и необходимо его удаление с последующим протезированием.
Почему болит зуб или десна под пломбой?
Когда зуб под пломбой начинает болеть, это может свидетельствовать о некачественном лечении кариеса. Возможные причины могут быть следующими:
- Кариозная полость могла быть недостаточно очищена, что привело к продолжению развития кариеса. В результате зуб начинает болеть, и под пломбой формируется новая кариозная полость.
- Пломба может быть установлена не плотно, что позволяет кариесу продолжать свое разрушительное действие. Это особенно характерно для пломб, сделанных методом химического отверждения. В твердых тканях зуба продолжается разрушение, и боль под пломбой усиливается. Если ситуация не исправляется, болевые ощущения становятся более интенсивными. Когда пациенты начинают ощущать сильную боль, они обращаются к стоматологу, и выясняется, что кариес достиг пульпы, что требует удаления корня. Поэтому, если у вас болит зуб под пломбой, важно как можно скорее посетить стоматолога, сделать рентген и выяснить причину боли.
Боль, возникающая при прорезывании зуба мудрости, может указывать на его неправильное положение, сложности с прорезыванием или возможное воспаление. Десна в области восьмого моляра часто уже занята другими жевательными зубами. Поэтому последний зуб не может правильно разместиться, что приводит к давлению на другие корни и вызывает боль. При прорезывании зуба мудрости может быть болезненно давить на десну или жевать на стороне, где появляется новый моляр.
Почему больно, если зуб здоров?
Боль может ощущаться даже в здоровых тканях. При этом источником дискомфорта может быть не сама десна, а окружающие её структуры. Например, при гайморите часто возникают болезненные ощущения в области корней зубов и десен. Это связано с тем, что корни зубов находятся в непосредственной близости к воспалённой гайморовой пазухе, расстояние между ними может составлять всего 4-6 мм.
Синусит также может стать причиной боли в здоровом зубе.
Кроме того, болезненные ощущения могут возникать при общей интоксикации организма. Это состояние часто сопровождает простудные заболевания, острые респираторные инфекции и повышение температуры. В таких случаях может болеть всё тело, включая зубы.
Если зубная боль вызвана заболеваниями соседних органов или общим состоянием организма, стоматологическое лечение не требуется. Важно сосредоточиться на лечении основной причины — болезни, которая привела к повышению температуры и интоксикации тканей.
Что делать, если болит зуб?
После того как вы узнали причины зубной боли, важно определить, какие шаги предпринять для её предотвращения и устранения. В ситуации, когда болит зуб, не стоит откладывать визит к стоматологу. Народные методы не способны полностью вылечить зубную боль. Хотя натуральные средства могут помочь уменьшить воспаление и облегчить дискомфорт, полноценное лечение, включая пломбирование, может выполнить только специалист.
Рассмотрим, как можно справиться с воспалением корней и дёсен.
Обеззараживающие растворы для полоскания рта:
- Настойка прополиса, разведенная в пропорции 1:2 с водой. Это средство обладает свойствами природного антибиотика и временного анестетика. Полоскания с прополисом помогают снизить болевые ощущения и могут служить экстренной помощью в случае сильной боли.
- Рассасывание небольших кусочков прополиса под языком помогает дезинфицировать ротовую полость.
- Отвары из ромашки, календулы и шалфея.
- Солево-содовые растворы (по 1 чайной ложке соли и соды на стакан теплой воды при температуре 30-35ºC).
Для лечения воспаления корней зубов можно использовать ванночки с лекарственными средствами и аппликации. Важно, чтобы воспалённые десны получали вещества, способствующие их заживлению.
- Ванночки из отваров аира или раствора настойки аира на спирту (в пропорции 1:3).
- Полоскания с хвойными экстрактами или жевание хвои. Сначала следует осторожно жевать мягкую молодую хвою в течение 1 минуты, слегка надавливая челюстями (глотать хвоинки не нужно). По мере укрепления эмали и корней можно увеличивать время жевания и силу нажатия до 5 минут. Это упражнение улучшает кровообращение и способствует восстановлению корней и дёсен.
- Втирание смеси мёда и соли в десну (на 20 г мёда берут 10 г соли).
- Аппликации с пихтовым маслом (масло наносится на бинт и прикладывается к десне на 10 минут).
Как лечить зуб под коронкой: распломбирование или резекция?
Лечение под коронкой – сложная задача. Метод терапии зависит от состояния зуба: живой он или мертвый, с штифтом или без. Если возникают боли в живых тканях, необходимо снять коронку и провести лечение под ней. В случае, когда болит мертвый зуб или десна под коронкой, выбор метода лечения будет зависеть от возможности распломбирования каналов. Если установлен штифт, распломбировать канал становится крайне сложно, а иногда и невозможно. Это увеличивает риск перфорации корня или повреждения самого зуба. Поэтому лечение десны под коронкой зачастую требует резекции верхушки корня. Что это такое?
Резекция — это хирургическая процедура, проводимая в ротовой полости, во время которой стоматолог делает небольшой разрез десны и удаляет верхушку корня. После этого рана зашивается. Этот метод используется для удаления кист, а также для обеспечения выхода гноя при образовании свища или флюса. Резекция позволяет сохранить качественно установленную коронку, избегая необходимости повторного пломбирования каналов, если это не требуется.
Снятие коронки обойдется значительно дороже, так как потребует ее повторного изготовления и установки.
Если коронка подлежит снятию, то сначала распломбируют верхушку, лечат воспаление, очищают канал и вновь пломбируют его. Важно провести лечение корней и каналов с последующим контролем на рентгенограмме. Рентгеновский снимок делают после пломбирования, чтобы убедиться в отсутствии пустот, пор или остатков медицинских инструментов внутри десны.
Как правильно лечить зуб под коронкой, пломбой или с глубоким кариесом, решает врач. Пациент имеет право обратиться к высококвалифицированному специалисту, который оценит все обстоятельства и предложит наиболее подходящее решение: лечить или удалять зуб, и если лечить, то каким образом.
https://youtube.com/watch?v=sfc0fH2fPaY
Профилактика зубной боли: советы по уходу за полостью рта
Зубная боль может быть следствием различных заболеваний зубов и десен, но ее можно предотвратить, следуя простым рекомендациям по уходу за полостью рта. Правильная гигиена и регулярные профилактические меры помогут сохранить здоровье зубов и избежать неприятных ощущений.
1. Регулярная чистка зубов
Чистите зубы не менее два раза в день, используя фторсодержащую зубную пасту. Это поможет удалить налет и предотвратить образование кариеса. Не забывайте чистить зубы не менее двух минут, уделяя внимание каждому участку рта: внутренним и внешним сторонам зубов, а также жевательной поверхности.
2. Использование зубной нити
Зубная нить помогает удалить остатки пищи и налет из межзубных промежутков, куда не может добраться зубная щетка. Используйте зубную нить хотя бы раз в день, чтобы предотвратить развитие кариеса и заболеваний десен.
3. Полоскание рта
Полоскание рта антисептическими растворами или ополаскивателями помогает уменьшить количество бактерий в полости рта и освежить дыхание. Выбирайте продукты, содержащие фтор, чтобы дополнительно укрепить эмаль зубов.
4. Правильное питание
Сбалансированное питание играет важную роль в здоровье зубов. Ограничьте потребление сахара и кислых продуктов, которые могут способствовать разрушению эмали. Включайте в рацион продукты, богатые кальцием и витаминами, такие как молочные продукты, овощи и фрукты.
5. Регулярные визиты к стоматологу
Посещайте стоматолога не реже двух раз в год для профилактических осмотров и профессиональной чистки зубов. Это поможет выявить проблемы на ранних стадиях и избежать серьезных заболеваний.
6. Избегание вредных привычек
Отказ от курения и чрезмерного употребления алкоголя положительно скажется на здоровье зубов и десен. Эти привычки могут способствовать развитию заболеваний полости рта и ухудшению общего состояния здоровья.
7. Защита зубов при занятиях спортом
Если вы занимаетесь контактными видами спорта, используйте защитные капы, чтобы предотвратить травмы зубов. Это особенно важно для спортсменов, так как травмы могут привести к серьезным повреждениям и болевым ощущениям.
Следуя этим простым рекомендациям, вы сможете значительно снизить риск возникновения зубной боли и сохранить здоровье своей улыбки на долгие годы.
Когда обращаться к стоматологу: признаки серьезной проблемы
Боль в зубе может быть симптомом различных стоматологических заболеваний, и важно уметь распознавать признаки, которые указывают на необходимость немедленного обращения к стоматологу. Игнорирование этих симптомов может привести к серьезным осложнениям и ухудшению состояния зубов и десен.
Одним из основных признаков, требующих обращения к специалисту, является интенсивная и постоянная боль. Если боль не проходит в течение нескольких дней или усиливается, это может указывать на наличие инфекции или воспалительного процесса, такого как пульпит или периодонтит.
Другим важным сигналом является отек десен или появление гноя. Если вы заметили, что десна вокруг больного зуба покраснели, опухли или издают неприятный запах, это может свидетельствовать о наличии абсцесса или другого воспалительного процесса, требующего немедленного вмешательства.
Чувствительность зубов к горячему, холодному или сладкому также может быть признаком серьезной проблемы. Если вы испытываете резкую боль при употреблении пищи или напитков, это может указывать на повреждение эмали, кариес или воспаление нервов зуба.
Не менее важным признаком является изменение цвета зуба. Если зуб стал темнее или изменил свой оттенок, это может указывать на внутренние проблемы, такие как некроз пульпы. В таких случаях необходимо обратиться к стоматологу для диагностики и лечения.
Также стоит обратить внимание на появление трещин или сколов на зубах. Даже небольшие повреждения могут привести к более серьезным проблемам, если их не лечить. Трещины могут стать источником инфекции и вызвать воспаление.
Наконец, если вы заметили проблемы с прикусом или затруднения при жевании, это также может быть признаком серьезных стоматологических заболеваний. Неправильный прикус может привести к износу зубов и другим осложнениям, требующим профессионального вмешательства.
В заключение, важно помнить, что своевременное обращение к стоматологу при появлении вышеописанных симптомов может предотвратить развитие серьезных заболеваний и сохранить здоровье зубов и десен. Регулярные профилактические осмотры также помогут выявить проблемы на ранних стадиях и избежать серьезных последствий.
Народные средства для облегчения зубной боли: что работает, а что нет?
Зубная боль может быть крайне неприятной и мучительной, и многие люди стремятся найти способы облегчить её с помощью народных средств. Хотя некоторые из этих методов могут оказаться эффективными, важно понимать, что они не заменяют профессиональную стоматологическую помощь. Рассмотрим наиболее распространённые народные средства и их эффективность.
1. Полоскания солёной водой
Одним из самых распространённых методов является полоскание рта тёплой солёной водой. Это средство помогает уменьшить воспаление и может временно облегчить боль. Соль обладает антисептическими свойствами, что может помочь в борьбе с инфекцией. Для приготовления раствора достаточно растворить половину чайной ложки соли в стакане тёплой воды. Полоскания следует проводить несколько раз в день.
2. Применение холодного компресса
Холодный компресс может помочь уменьшить отёк и облегчить боль. Приложите пакет со льдом или замороженные овощи к щеке в области боли на 15-20 минут. Это поможет сузить кровеносные сосуды и снизить воспаление. Однако важно не прикладывать лёд непосредственно к коже, чтобы избежать обморожения.
3. Чеснок
Чеснок известен своими антимикробными свойствами и может помочь в борьбе с инфекцией. Для использования чеснока в качестве народного средства можно разжевать зубчик чеснока или сделать пасту и нанести её на больной зуб. Однако следует помнить, что чеснок может вызвать раздражение десен и слизистой оболочки рта.
4. Гвоздика
Эфирное масло гвоздики содержит эвгенол, который обладает обезболивающими и антисептическими свойствами. Для использования можно взять целую гвоздику, разжевать её или нанести несколько капель масла на ватный диск и приложить к больному зубу. Это средство может временно облегчить боль, но не решает основную проблему.
5. Имбирь
Имбирь также обладает противовоспалительными свойствами. Его можно использовать в виде чая или жевать свежий корень. Имбирь может помочь уменьшить воспаление и облегчить боль, но его действие может быть менее выраженным по сравнению с другими средствами.
6. Лавровый лист
Лавровый лист может использоваться для приготовления отвара, который затем можно использовать для полоскания рта. Он обладает антисептическими свойствами и может помочь при воспалении. Однако научные данные о его эффективности в лечении зубной боли ограничены.
7. Ограничения и предостережения
Несмотря на то, что народные средства могут временно облегчить зубную боль, они не заменяют профессиональную стоматологическую помощь. Если боль не проходит в течение нескольких дней, или если она сопровождается другими симптомами, такими как отёк, высокая температура или гнойные выделения, необходимо обратиться к стоматологу. Кроме того, некоторые народные средства могут вызывать аллергические реакции или раздражение, поэтому перед их использованием следует быть осторожным.
В заключение, народные средства могут быть полезны для временного облегчения зубной боли, но не стоит забывать о необходимости профессионального лечения. Лучше всего использовать эти методы в качестве дополнения к консультации со стоматологом.






