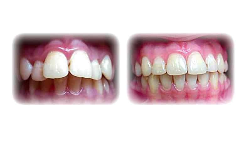
Глубокий прикус — распространенная стоматологическая проблема, влияющая на здоровье и качество жизни детей и взрослых. В статье рассмотрим, что такое глубокий прикус, его воздействие на организм и методы коррекции. Также обсудим возможность исправления глубокого прикуса у взрослых с примерами до и после лечения. Эта информация будет полезна тем, кто сталкивается с данной проблемой, и родителям, заботящимся о здоровье зубов детей.
Разновидности глубокого прикуса
Специалисты выделяют несколько признаков для классификации глубокого прикуса. В зависимости от характера взаимодействия фронтальных зубов можно выделить следующие типы:
- вертикальное нарушение – его основными характеристиками являются перекрытие нижней челюсти и шарнирное движение при работе зубов;
- горизонтальное нарушение.
Согласно критерию взаимодействия боковых зубных рядов, глубокий прикус может принимать такие формы:
- дистальная;
- нейтральная.
Ключевыми признаками дистальной формы глубокой окклюзии являются:
- Лицо выглядит коротким.
- При улыбке или смехе верхние резцы видны до десен.
- Возможен небольшой наклон подбородка.
- Верхние зубы полностью перекрывают нижние на длину коронки.
Что касается нейтрального прикуса, его основные характеристики включают:
- Наличие супраментальной складки на лице.
- Значительное перекрытие нижних зубов верхними.
- Подбородок имеет нормальные пропорции.
Врачи-ортодонты подчеркивают, что глубокий прикус является распространенной проблемой, требующей комплексного подхода к лечению. Основными методами исправления этого состояния являются использование брекет-систем, элайнеров и, в некоторых случаях, хирургическое вмешательство. Специалисты отмечают, что выбор метода зависит от степени выраженности прикуса и индивидуальных особенностей пациента.
Важно, чтобы лечение проводилось под контролем опытного ортодонта, который сможет оценить состояние зубочелюстной системы и предложить оптимальный план. Врачам также известно, что ранняя диагностика и вмешательство могут значительно упростить процесс исправления прикуса и улучшить конечный результат. Кроме того, регулярные контрольные визиты к специалисту помогают избежать возможных осложнений и обеспечить правильное развитие зубочелюстной системы.
https://youtube.com/watch?v=5MyHVCfLwcA
Причины, по которым возникает и развивается глубокий прикус
К основным причинам возникновения глубокой окклюзии можно выделить следующие факторы:
- Генетическая предрасположенность.
- Серьезные инфекционные и вирусные заболевания, перенесенные матерью во время беременности.
- Усложнения, возникшие в процессе родов.
- Различные нарушения в раннем и подростковом возрасте:
- Заболевания ЛОР-органов;
- Неправильная работа желудочно-кишечного тракта;
- Болезни эндокринной и дыхательной систем;
- Нарушения обмена веществ.
- Аномалии в формировании опорно-двигательного аппарата:
- Неправильная осанка;
- Аномалии развития позвоночника;
- Проблемы со скелетом.
- Онкологические заболевания.
- Остеомиелит.
- Поздний отказ от соски.
- Неправильные навыки глотания, сосания, жевания и речи.
| Метод лечения | Описание | Преимущества и недостатки |
|---|---|---|
| Брекет-системы | Ортодонтические конструкции, состоящие из брекетов, прикрепляемых к зубам, и дуги, которая оказывает давление, перемещая зубы в правильное положение. | Преимущества: Высокая эффективность для большинства случаев, возможность исправления сложных аномалий. Недостатки: Видимость (для металлических брекетов), дискомфорт в начале лечения, необходимость тщательной гигиены, длительность лечения (1-3 года). |
| Элайнеры (прозрачные каппы) | Серия прозрачных, съемных капп, которые постепенно перемещают зубы. Каждая каппа носится 1-2 недели, затем меняется на следующую. | Преимущества: Эстетичность (практически невидимы), удобство (можно снимать для еды и чистки зубов), меньший дискомфорт. Недостатки: Не подходят для всех сложных случаев, требуют высокой дисциплины ношения, могут быть дороже брекетов. |
| Микроимпланты (ортодонтические винты) | Маленькие временные винты, которые устанавливаются в кость челюсти и служат опорой для перемещения зубов. | Преимущества: Позволяют выполнять сложные перемещения зубов, сокращают сроки лечения, уменьшают необходимость в удалении зубов. Недостатки: Инвазивная процедура установки, возможен дискомфорт после установки, требуют дополнительного ухода. |
| Хирургическое лечение (ортогнатическая хирургия) | Оперативное вмешательство на челюстях для коррекции их положения и размера. Применяется в тяжелых случаях глубокого прикуса, когда ортодонтического лечения недостаточно. | Преимущества: Радикальное решение проблемы, значительное улучшение эстетики лица и функции жевания. Недостатки: Инвазивная процедура, длительный период восстановления, риски, связанные с операцией, высокая стоимость. |
| Съемные ортодонтические аппараты (пластинки) | Используются преимущественно у детей и подростков для коррекции прикуса на ранних стадиях развития. Могут быть с винтами, пружинами и другими элементами. | Преимущества: Эффективны в растущем организме, позволяют направлять рост челюстей, относительно недорогие. Недостатки: Требуют дисциплины ношения, менее эффективны для взрослых, не подходят для сложных случаев. |
| Реставрация зубов (виниры, коронки) | В некоторых случаях, когда глубокий прикус вызван стертостью зубов или их неправильной формой, возможно восстановление высоты прикуса с помощью виниров или коронок. | Преимущества: Быстрый результат, улучшение эстетики зубов. Недостатки: Не устраняет причину глубокого прикуса, может требовать обточки здоровых тканей зуба, не подходит для всех случаев. |
| Миофункциональная терапия | Комплекс упражнений, направленных на нормализацию работы мышц лица и языка, которые влияют на формирование прикуса. | Преимущества: Неинвазивный метод, может быть эффективен в сочетании с другими методами, особенно у детей. Недостатки: Требует регулярных занятий и высокой мотивации, не является основным методом лечения глубокого прикуса. |
Особенности устранения глубокого прикуса у взрослых
Когда взрослый человек решает обратиться к специалисту, ему могут предложить установку брекетов. В этом возрасте челюсть уже полностью развита, поэтому применение пластинок и выполнение специальных упражнений не дадут ожидаемого эффекта.
Для того чтобы процесс лечения оставался незаметным для окружающих, стоит рассмотреть вариант с керамическими или сапфировыми брекетами.
https://youtube.com/watch?v=UZunr1aAXrs
Глубоки прикус: какие бывают последствия этого нарушения
Не стоит считать глубокий прикус лишь косметическим дефектом. На самом деле, он может быть следствием серьезных нарушений, которые требуют внимания. Игнорирование необходимого лечения может вызвать ряд значительных проблем в организме и повлиять на формирование человеческого скелета, включая:
- истончение зубной эмали;
- изменение контуров лица;
- затруднения с глотанием и дыханием;
- повреждение слизистой оболочки;
- нарушения речи;
- бруксизм (скрежетание зубами).
Лечение глубокого прикуса у взрослых
Глубокий прикус можно исправить не только у детей, но и у взрослых, и это лечение становится все более эффективным благодаря современным технологиям. Основным методом коррекции окклюзии у взрослых является использование брекетов в сочетании с комплексом упражнений и массажем десен. Закрепление зубов в деснах происходит благодаря соединительной ткани, а регулярное ношение брекетов способствует ее небольшому растяжению, что и приводит к изменению прикуса.
Кроме брекетов, существуют и другие способы исправления глубокого прикуса. К ним относятся пластины, капы и виниры. Эти устройства можно иногда снимать, однако они не способны полностью устранить проблему у взрослых. Поэтому зубные пластины и другие временные стоматологические средства чаще всего применяются для коррекции зубов у детей.
Если необходимо быстро устранить глубокий прикус, может потребоваться хирургическое вмешательство. Во время операции производится надрезание костной ткани и десен, что позволяет массажу и использованию приспособлений давать более быстрые результаты. В некоторых случаях может понадобиться удаление нескольких зубов.
Способы лечения мезиального прикуса
Мезиальный прикус проявляется в легком выдвижении нижней челюсти вперед, что приводит к ее расположению над верхней челюстью при закрытии рта. Исправление данной проблемы возможно как у детей, так и у взрослых. В большинстве случаев для лечения применяются брекеты, которые устанавливаются исключительно на нижние зубы.
Кроме того, может быть проведена хирургическая операция, в ходе которой врач делает надрезы и удаляет корневые зубы. Со временем на их место перемещаются передние и боковые зубы.
Дистальная окклюзия – исправляем нарушения верхних зубов
Этот вид отклонения является наиболее распространенным. При данном нарушении верхняя челюсть значительно выступает вперед по сравнению с нижней, что приводит к образованию значительного промежутка между зубами. Лечение такого состояния обычно проходит легче, чем в случае мезиального прикуса.
Для коррекции дистального прикуса применяются специальные ортодонтические устройства, которые замедляют рост верхней челюсти. В то же время нижняя челюсть развивается быстрее, что со временем позволяет полностью устранить проблему. Взрослые пациенты в таких случаях часто используют односторонние брекеты и лицевые пластины.
Можно ли исправить прикус в домашних условиях
Самостоятельно исправить любое искривление зубов, включая глубокий прикус, невозможно. Эти проблемы требуют незамедлительного обращения к врачу, который проведет необходимые обследования и назначит адекватное лечение. В большинстве случаев потребуется сделать рентгеновский снимок, тщательно изучить состояние ротовой полости и обследовать нервные окончания.
Тем не менее, человек может оказать себе помощь и в домашних условиях. Регулярный массаж десен и легкое нажатие на зубы могут дать хорошие результаты. Эти действия способствуют восстановлению нормального прикуса. Если по рекомендации врача пациенту будет установлен временный аппарат, его следует регулярно снимать и тщательно очищать.
Выбор приспособления для коррекции окклюзии
Глубокий прикус – что это такое? Это состояние, требующее квалифицированного подхода к лечению и правильного выбора ортодонтического устройства. В большинстве случаев, когда взрослому ставят диагноз глубокий прикус, использование брекетов становится необходимым.
Многие пациенты отказываются от ношения брекетов, так как они могут негативно сказаться на внешнем виде лица. Как же помочь в такой ситуации? В настоящее время существует возможность создания индивидуальных прозрачных аппаратов, которые практически не заметны для окружающих. Для их изготовления достаточно сделать рентгеновский снимок и слепок челюсти.
Для коррекции прикуса сегодня применяются специализированные компьютерные программы, позволяющие достичь высокой точности результата. После завершения лечения пациент получает ровный прикус и привлекательную улыбку.
Основы профилактики
Для того чтобы эффективно защитить ребенка от формирования глубокого прикуса, важно чаще предлагать ему морковь и яблоки, а также не забывать о регулярных визитах к специалисту для профилактического осмотра.
https://youtube.com/watch?v=khPBdPaFNmE
Роль ортодонтических аппаратов в лечении глубокого прикуса
Глубокий прикус – это стоматологическая проблема, при которой верхние зубы перекрывают нижние более чем на 2-3 мм. Это может привести к различным осложнениям, включая неправильное распределение жевательной нагрузки, повышенный износ зубов и даже проблемы с челюстным суставом. Ортодонтические аппараты играют ключевую роль в коррекции глубокого прикуса, и их использование может значительно улучшить как функциональные, так и эстетические аспекты зубочелюстной системы.
Существует несколько типов ортодонтических аппаратов, которые могут быть использованы для лечения глубокого прикуса. К ним относятся:
- Металлические брекеты: Это наиболее распространенный вид ортодонтических аппаратов. Они состоят из металлических замков, прикрепленных к зубам, и дуги, которая соединяет эти замки. Металлические брекеты могут эффективно перемещать зубы в нужное положение, что помогает исправить глубокий прикус.
- Керамические брекеты: Эти аппараты аналогичны металлическим, но изготовлены из керамики, что делает их менее заметными. Они также могут быть использованы для коррекции глубокого прикуса, обеспечивая более эстетичный вид во время лечения.
- Лингвальные брекеты: Устанавливаются на внутренней стороне зубов, что делает их невидимыми для окружающих. Лингвальные брекеты могут быть эффективными для лечения глубокого прикуса, но требуют высокой квалификации ортодонта.
- Элайнеры: Это прозрачные капы, которые постепенно перемещают зубы в нужное положение. Элайнеры могут быть удобным вариантом для пациентов, которые предпочитают менее заметные методы лечения.
Выбор конкретного типа аппарата зависит от индивидуальных особенностей пациента, степени выраженности глубокого прикуса и других факторов, таких как возраст и состояние зубов. Ортодонт проводит тщательное обследование, включая рентгенографию и моделирование зубочелюстной системы, чтобы определить наилучший подход к лечению.
Кроме того, в некоторых случаях могут быть рекомендованы дополнительные ортодонтические устройства, такие как:
- Головные устройства: Эти аппараты используются для коррекции положения челюсти и могут быть эффективны при лечении глубокого прикуса у детей и подростков.
- Ретейнеры: После завершения активного лечения с помощью брекетов или элайнеров, ретейнеры помогают сохранить достигнутые результаты и предотвратить рецидив.
Важно отметить, что лечение глубокого прикуса с помощью ортодонтических аппаратов требует времени и терпения. Обычно курс лечения занимает от нескольких месяцев до нескольких лет, в зависимости от сложности случая. Регулярные визиты к ортодонту необходимы для контроля за процессом и внесения корректив в лечение при необходимости.
В заключение, ортодонтические аппараты являются важным инструментом в лечении глубокого прикуса. Правильный выбор аппарата и соблюдение рекомендаций специалиста помогут достичь желаемого результата и улучшить качество жизни пациента.
Психологические аспекты и влияние глубокого прикуса на качество жизни
Глубокий прикус, помимо физических последствий, может оказывать значительное влияние на психологическое состояние человека и его качество жизни. Люди с этой проблемой часто сталкиваются с комплексами, низкой самооценкой и даже депрессией. Внешний вид зубов и улыбки играет важную роль в социальной жизни, и наличие глубокого прикуса может вызывать чувство неуверенности и стеснительности.
Одним из основных психологических аспектов глубокого прикуса является восприятие себя. Многие люди с этой проблемой могут чувствовать себя непривлекательно, что может привести к избеганию социальных взаимодействий и снижению активности в общественной жизни. Это может проявляться в отказе от фотографий, публичных выступлений или даже общения с новыми людьми. Такие ограничения могут негативно сказаться на личной и профессиональной жизни, затрудняя построение отношений и карьерный рост.
Кроме того, глубокий прикус может вызывать физический дискомфорт, который также влияет на психологическое состояние. Неправильное положение зубов может приводить к болям в челюсти, головным болям и другим проблемам, что в свою очередь может вызывать раздражительность и стресс. Хронический дискомфорт может стать источником постоянного беспокойства, что усугубляет общее состояние здоровья и качество жизни.
Важно отметить, что глубокий прикус может также влиять на восприятие окружающими. Люди могут делать выводы о человеке на основе его внешности, и наличие проблем с прикусом может стать причиной предвзятости или стереотипов. Это может привести к социальной изоляции и ухудшению межличностных отношений, что еще больше усугубляет психологические проблемы.
Для решения этих вопросов важно не только обратиться к стоматологу для коррекции прикуса, но и рассмотреть возможность консультации с психологом или психотерапевтом. Профессиональная поддержка может помочь справиться с комплексами и научиться принимать себя, что в свою очередь улучшит качество жизни. Также полезно общаться с людьми, которые сталкиваются с аналогичными проблемами, что может создать ощущение поддержки и понимания.
В заключение, глубокий прикус — это не только стоматологическая проблема, но и серьезный психологический вызов. Понимание влияния этой проблемы на качество жизни может помочь людям не только в поиске решения, но и в улучшении их общего эмоционального состояния и уверенности в себе.
Советы по уходу за зубами при наличии глубокого прикуса
Глубокий прикус — это состояние, при котором верхние зубы перекрывают нижние на значительное расстояние. Это может привести не только к эстетическим проблемам, но и к функциональным нарушениям, таким как трудности с жеванием и повышенный риск повреждения зубов. Правильный уход за зубами при наличии глубокого прикуса особенно важен для предотвращения осложнений и поддержания здоровья полости рта.
Первое, на что стоит обратить внимание, — это регулярная гигиена полости рта. Людям с глубоким прикусом рекомендуется уделять особое внимание чистке зубов, так как неправильное смыкание челюстей может затруднить доступ к некоторым участкам. Используйте зубную щетку с мягкой щетиной и чистите зубы не менее двух раз в день, уделяя внимание как верхним, так и нижним зубам. Не забывайте о межзубных пространствах — для этого подойдут зубные нити или специальные ершики.
Второй важный аспект — это использование ополаскивателей для рта. Они помогают снизить уровень бактерий и предотвратить образование налета, что особенно актуально для людей с глубоким прикусом, у которых может быть повышенный риск кариеса и заболеваний десен. Выбирайте ополаскиватели, содержащие фтор, чтобы укрепить эмаль зубов и защитить их от разрушения.
Третий совет касается регулярных визитов к стоматологу. Профилактические осмотры и профессиональная чистка зубов должны проводиться не реже двух раз в год. Стоматолог сможет выявить потенциальные проблемы на ранней стадии и предложить соответствующее лечение. Кроме того, если у вас уже есть пломбы или коронки, их состояние также необходимо контролировать, так как они могут подвергаться дополнительному износу при глубоком прикусе.
Четвертый аспект — это правильное питание. Избегайте чрезмерного потребления сладостей и кислых продуктов, которые могут способствовать разрушению зубной эмали. Включайте в рацион продукты, богатые кальцием и витаминами, такие как молочные изделия, овощи и фрукты. Это поможет укрепить зубы и десны, что особенно важно при наличии глубокого прикуса.
Наконец, если у вас есть возможность, рассмотрите варианты ортодонтического лечения. Ортодонтические аппараты могут помочь исправить прикус и улучшить положение зубов, что в свою очередь облегчит уход за ними. Консультация с ортодонтом поможет вам выбрать наиболее подходящий метод лечения в зависимости от степени выраженности глубокого прикуса и индивидуальных особенностей.
Следуя этим рекомендациям, вы сможете значительно улучшить состояние своих зубов и десен, а также снизить риск возникновения осложнений, связанных с глубоким прикусом. Заботьтесь о своем здоровье и не забывайте о важности регулярного ухода за полостью рта!



