Запах сигарет изо рта — распространенная проблема курильщиков и людей, находящихся рядом с ними. Он вызывает дискомфорт, негативно влияет на общение и самооценку. В этой статье рассмотрим эффективные методы для устранения неприятного запаха и факторы, способствующие его появлению. Также предложим диету, помогающую избавиться от запаха табака, что сделает вашу жизнь более комфортной и уверенной.
От чего появляется табачное амбре
Прежде чем выбирать способ борьбы с неприятным запахом изо рта после курения, давайте разберемся, почему он возникает.
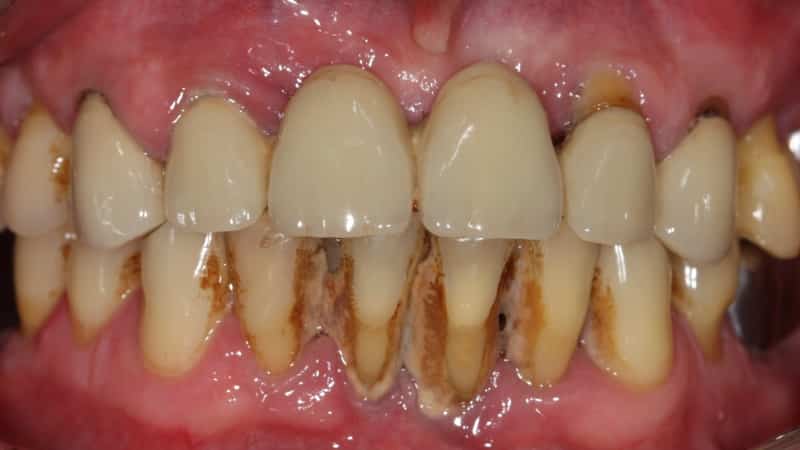
- Во-первых, курение приводит к накоплению никотиновых смол, химических веществ и других вредных компонентов в ротовой полости и гортани, что вызывает микроповреждения слизистой оболочки.
> Химические вещества, содержащиеся в сигаретах, способствуют быстрому развитию патогенной микрофлоры, а также образованию на зубах и деснах зубного камня и налета, что и создает характерный запах. - Во-вторых, вдыхание дыма и проглатывание химических элементов с слюной нарушает обмен веществ и пищеварительные процессы. Известно, что проблемы с желудком и кишечником могут вызывать неприятный запах из пищевода.
- В-третьих, постоянное курение приводит к высушиванию слизистой оболочки рта из-за воздействия химических паров и снижению выработки слюны. На сухой поверхности быстрее образуются трещины, в которые попадают остатки пищи и болезнетворные микроорганизмы. Процессы гниения и размножения добавляют к табачному аромату еще и гнилостные ноты.
- В-четвертых, слюна не только вырабатывается в меньшем объеме, но и меняет свой состав и уровень кислотности. Известно, что у курильщиков со стажем слюна становится более густой, мутной, приобретает желтоватый оттенок и специфический запах.
Вывод напрашивается сам собой – прежде чем пытаться избавиться от табачного запаха, стоит подумать о сокращении количества выкуриваемых сигарет или полном отказе от курения. В противном случае неприятный запах изо рта будет постоянной проблемой, которую не удастся решить даже с помощью самых эффективных средств.
Врачи отмечают, что избавиться от запаха сигарет изо рта можно несколькими способами. Прежде всего, важно поддерживать гигиену полости рта: регулярная чистка зубов и использование зубной нити помогают удалить остатки пищи и налет, способствующие неприятному запаху. Специалисты рекомендуют также использовать ополаскиватели для рта, содержащие антисептики, которые нейтрализуют запахи.
Кроме того, употребление свежих фруктов и овощей, таких как яблоки и морковь, может помочь освежить дыхание. Врачи советуют избегать кофе и алкоголя, так как они могут усиливать запах. Наконец, отказ от курения является самым эффективным способом борьбы с этой проблемой, так как он не только улучшает дыхание, но и общее состояние здоровья.
https://youtube.com/watch?v=pxPjuNW7Zj0
Польза грамотной гигиены
Многих пациентов стоматолога волнует вопрос, как избавиться от запаха сигарет изо рта.
Хотя это может показаться банальным, наилучшим способом по-прежнему остается качественная и, что немаловажно, регулярная гигиена полости рта.
- Освойте правильную технику чистки зубов. Для курильщиков рекомендуется использовать зубную щетку с жесткой щетиной. Чистите зубы подметающими движениями сверху вниз в течение 3-5 минут. Помимо обязательных двух чисток в день, старайтесь очищать зубы или использовать ополаскиватель после каждого курения.
- Выберите подходящий ополаскиватель. В первую очередь, избегайте спиртовых растворов, так как они могут раздражать и пересушивать уже чувствительную слизистую курильщика. Лучше всего подойдут средства с содержанием «тимола», который успокаивает раздражение, увлажняет полость рта и снижает образование зубного камня и налета.
-
Не забудьте про ершик для межзубных промежутков, а также о стоматологической нити и ирригаторах с освежающей антисептической жидкостью.
-
Обратите внимание на язык. На его поверхности скапливается основная часть патогенной микрофлоры, что приводит к неприятному запаху изо рта. Очищайте язык дважды в день во время чистки зубов, используя специальный скребок (часто он находится на обратной стороне зубной щетки). Особое внимание уделяйте задней части языка, где скапливается большинство бактерий. После чистки поверхность языка должна быть розовой, гладкой и блестящей, без белого или желтого налета.
-
Держите под рукой жевательную резинку без сахара. Известно, что жевательная резинка помогает быстро избавиться от запаха сигарет.
Жевание стимулирует выработку слюны, что способствует дезинфекции и увлажнению полости рта, а также вымыванию химических веществ.
В дополнение к жвачкам можно использовать специальные освежающие леденцы.
- Освежающий спрей. В аптеке можно найти специальные спреи для курильщиков, которые освежают дыхание всего за несколько секунд. Однако помните, что этот метод лишь маскирует проблему до следующего курения и не улучшает состояние слизистой, зубов или десен.
- Запишитесь на профессиональную чистку зубов к стоматологу. Только квалифицированный специалист с современным оборудованием сможет удалить старый зубной камень и плотный налет, которые также могут быть источником неприятного запаха. Кроме того, во время этой процедуры возможно осветление эмали на несколько тонов, что особенно важно для курильщиков.
| Метод | Описание | Эффективность |
|---|---|---|
| Чистка зубов и языка | Тщательная чистка зубов щеткой и зубной пастой, а также использование скребка для языка для удаления налета. | Высокая, удаляет остатки табака и бактерии. |
| Использование ополаскивателя для рта | Применение антибактериального ополаскивателя для рта, желательно без спирта. | Средняя, маскирует запах и убивает бактерии, но не устраняет причину. |
| Жевательная резинка или мятные конфеты | Жевательная резинка без сахара или мятные конфеты стимулируют слюноотделение и освежают дыхание. | Средняя, временное решение, маскирует запах. |
| Пить больше воды | Увлажнение полости рта помогает смывать частицы табака и бактерии, предотвращая сухость во рту. | Средняя, способствует общему здоровью полости рта. |
| Употребление свежих фруктов и овощей | Хрустящие фрукты и овощи (яблоки, морковь) помогают очищать зубы и стимулируют слюноотделение. | Средняя, способствует естественному очищению. |
| Отказ от курения | Полный отказ от сигарет является самым эффективным и долгосрочным решением проблемы запаха. | Высочайшая, устраняет первопричину запаха. |
| Посещение стоматолога | Регулярные осмотры и профессиональная чистка зубов помогают поддерживать гигиену полости рта. | Высокая, устраняет зубной налет и камень, которые могут удерживать запах. |
| Использование ирригатора | Ирригатор эффективно вымывает остатки пищи и табака из межзубных промежутков и под деснами. | Высокая, улучшает гигиену полости рта. |
| Избегание продуктов, усиливающих запах | Ограничение употребления кофе, алкоголя и сильно пахнущих продуктов, которые могут усугублять запах. | Низкая, но может помочь в комплексе. |
Садимся на диету
Если вы не готовы полностью отказаться от курения, но вас беспокоит неприятный запах изо рта, стоит обратить внимание на свой рацион.
Давайте рассмотрим ключевые продукты, которые могут помочь уменьшить запах табака.
- Вода. Недостаток жидкости после курения приводит к сухости слизистой и неприятному дыханию. Старайтесь пить воду как можно чаще, задерживая ее в ротовой полости на несколько секунд. Избегайте газированных и сладких напитков, содержащих красители и добавки.
-
Молочные продукты. Полезный йогурт помогает восстановить микрофлору в желудке и ротовой полости, что способствует улучшению дыхания. Лучше выбирать натуральные йогурты без добавок и сахара, особенно для курильщиков.
-
Кофейные зерна. Хотя курильщикам не рекомендуется пить кофе, жевание кофейных зерен может помочь скрыть запах табака.
- Яблоки, морковь и другие твердые овощи и фрукты. Если у вас нет под рукой освежающих спреев, съешьте яблоко перед выходом. Органические кислоты помогут разрушить микробный налет и никотиновые остатки, освежая дыхание.
- Зелень. Листья и стебли петрушки мгновенно освежают дыхание благодаря своим органическим кислотам. Кроме того, петрушка обладает антимикробными свойствами, что особенно полезно для курящих. Если петрушки нет, можно использовать листья лавра, гвоздики, укропа или сельдерея. Не забывайте о душистых травах, таких как мята, эвкалипт, мелисса и жасмин, которые делают дыхание не только свежим, но и приятным для окружающих.
- Специи. Сухие смеси, которые можно найти в магазинах, могут выручить вас в неловкой ситуации. Если вам нужно перебить запах сигарет, носите с собой пакетик гвоздики, аниса, корицы, кориандра, тмина, мускатного ореха или фенхеля.
- Орехи. Эта вкусная закуска поможет быстро избавиться от запаха табака и легко помещается в сумке или кармане.
Однако в вашем рационе также должны быть ограничения. Некоторые продукты могут усугубить запах изо рта.
- Сладкие напитки. Как уже упоминалось, газированные и сладкие напитки способствуют размножению бактерий, что приводит к несвежему дыханию.
- Горячие напитки. Постарайтесь избегать кофе, какао, напитков в стиках, крепкого черного чая и ароматизированных чаев.
-
Алкоголь. Во время курения люди часто употребляют больше алкоголя, который, как мы уже выяснили, сушит слизистую и ухудшает состояние полости рта.
-
Кислые соки и компоты. Кислота, особенно из цитрусовых, может раздражать и высушивать слизистую, что усугубляет запах табака.
- Острые и кислые продукты. Все резкие ингредиенты могут вызывать раздражение в ротовой полости, приводя к мини-ожогам и микротрещинам, что создает идеальные условия для размножения бактерий.
- Лук и чеснок. Эти продукты в сочетании с табаком могут вызвать крайне неприятное дыхание.
- Молоко. Хотя кисломолочные продукты полезны для желудка и нормализуют кислотность слюны, молоко и сыр могут оставлять после себя запах гниения.
https://youtube.com/watch?v=HvQGygtIyQg
Водное лечение
Мы обсудили способы устранения запаха сигарет изо рта с помощью гигиенических процедур и различных продуктов. Однако наиболее эффективным средством при регулярном курении является простая очищенная вода без газа, соли и добавок.
Водные процедуры не способны полностью устранить запах табака, но они помогают восстановить водно-солевой баланс в организме, увлажняют слизистую оболочку и зубы, а также способствуют выведению табачных веществ из ротовой полости.
Курильщикам рекомендуется употреблять не менее 8 стаканов очищенной воды в день. Если вы занимаетесь спортом, это количество следует увеличить. В теплое время года потребление воды также должно возрасти до 10 стаканов.
Чтобы сделать воду более вкусной, можно добавить в нее 2 чайные ложки лимонного сока, веточку мяты или мелиссы, натертое яблоко или морковь, а также некоторые пряности (имбирь, гвоздику, фенхель, корицу). Такие напитки помогут замаскировать запах табака и освежить дыхание.
Таким образом, существует множество способов борьбы с запахом табака изо рта, но большинство из них лишь маскируют проблему, не решая ее. При недостаточной гигиене и редких визитах к стоматологу на зубах быстро накапливаются никотин и микробы, что приводит к разрушению эмали и ухудшению кровоснабжения десен.
Если вы не готовы сократить курение или полностью отказаться от него, старайтесь посещать стоматолога не реже одного раза каждые 4-6 месяцев для профессиональной чистки и профилактического осмотра.
https://youtube.com/watch?v=EcFBc1xOYUQ
Использование натуральных освежителей дыхания
Натуральные освежители дыхания могут стать отличным решением для борьбы с запахом сигарет изо рта. Они не только помогают устранить неприятный запах, но и способствуют улучшению общего состояния полости рта. Рассмотрим несколько эффективных способов использования натуральных освежителей дыхания.
1. Мелисса и мята
Мелисса и мята – это травы, известные своими освежающими свойствами. Их можно использовать в виде чая или просто жевать свежие листья. Мелисса обладает антисептическими свойствами, что помогает бороться с бактериями, вызывающими неприятный запах. Мята, в свою очередь, не только освежает дыхание, но и улучшает пищеварение, что также может положительно сказаться на запахе изо рта.
2. Петрушка
Петрушка – это не только популярная приправа, но и эффективный натуральный освежитель дыхания. Она содержит хлорофилл, который помогает нейтрализовать запахи. Просто пожуйте несколько веточек свежей петрушки после курения, и это поможет устранить запах сигарет.
3. Уголь активированный
Активированный уголь – это мощный адсорбент, который может помочь в борьбе с неприятным запахом изо рта. Он поглощает токсины и запахи, что делает его полезным для очищения полости рта. Можно использовать специальные угольные таблетки или порошок, добавляя его в воду для полоскания рта.
4. Яблоки
Яблоки не только вкусные, но и полезные для дыхания. Их хрустящая текстура помогает очищать зубы от налета, а содержащиеся в них кислоты нейтрализуют запахи. Регулярное употребление яблок может помочь улучшить состояние полости рта и уменьшить запах сигарет.
5. Лимон
Лимон – это еще один натуральный освежитель дыхания. Его кислота помогает нейтрализовать запахи и стимулирует выработку слюны, что способствует очищению полости рта. Можно просто рассасывать дольку лимона или добавлять его сок в воду для полоскания.
6. Корица
Корица обладает антисептическими свойствами и помогает освежить дыхание. Можно жевать палочку корицы или добавлять ее в чай. Она не только улучшит запах, но и придаст приятный вкус.
Однако важно помнить, что эти методы не заменяют регулярную гигиену полости рта, включая чистку зубов и использование зубной нити. Сочетание натуральных средств с хорошими привычками по уходу за полостью рта поможет вам достичь наилучших результатов.
Посещение стоматолога
Регулярные осмотры у стоматолога помогут не только выявить возможные проблемы с зубами и деснами, но и предотвратить их дальнейшее развитие. Стоматолог может провести профессиональную чистку зубов, которая удаляет налет и зубной камень, способствующие неприятному запаху.
Кроме того, стоматолог может оценить состояние полости рта и выявить возможные заболевания, такие как гингивит или пародонтит, которые могут усугублять проблему. Если у вас есть пломбы или коронки, стоматолог проверит их состояние, так как старые или поврежденные реставрации могут стать источником неприятного запаха.
Важно также обсудить с врачом свои привычки, включая курение. Стоматолог может предложить рекомендации по отказу от курения или помочь в выборе методов, которые помогут снизить негативное воздействие табака на здоровье полости рта. Например, могут быть предложены специальные ополаскиватели или жевательные резинки, которые помогают освежить дыхание и нейтрализовать запах.
Не стоит забывать и о том, что некоторые стоматологические процедуры, такие как лечение кариеса или установка имплантов, могут улучшить общее состояние зубов и десен, что в свою очередь положительно скажется на свежести дыхания. Регулярные визиты к стоматологу помогут поддерживать здоровье полости рта и предотвратить возникновение неприятного запаха в будущем.
В заключение, посещение стоматолога — это не только способ избавиться от запаха сигарет изо рта, но и важный элемент заботы о здоровье зубов и десен. Не пренебрегайте этой возможностью, чтобы обеспечить себе свежее дыхание и уверенность в себе.
Изменение привычек курения
Прежде всего, стоит задуматься о том, как часто и в каких условиях вы курите. Если вы курите в закрытых помещениях или в автомобиле, запах сигарет будет более стойким и интенсивным. Попробуйте сократить количество сигарет, которые вы выкуриваете в день, или перейти на менее вредные альтернативы, такие как электронные сигареты или никотиновые пластыри.
Также важно обратить внимание на технику курения. Если вы курите быстро и глубоко вдыхаете дым, это может способствовать более сильному запаху. Постарайтесь курить медленнее и не вдыхать дым слишком глубоко. Это поможет уменьшить количество дыма, который попадает в рот и оседает на зубах и языке.
Кроме того, стоит рассмотреть возможность курения на открытом воздухе. Это не только поможет снизить запах, но и улучшит общее состояние здоровья. Свежий воздух способствует лучшему обмену веществ и помогает организму быстрее избавляться от токсинов, связанных с курением.
Не забывайте о важности гигиены полости рта. Регулярная чистка зубов и использование зубной нити помогут удалить остатки табака и предотвратить образование налета, который может усиливать запах. Также рекомендуется использовать ополаскиватели для рта, содержащие антибактериальные компоненты, которые помогут нейтрализовать запахи.
Если вы хотите полностью избавиться от запаха сигарет, рассмотрите возможность отказа от курения. Это не только улучшит ваше дыхание, но и положительно скажется на общем состоянии здоровья. Существуют различные программы и ресурсы, которые могут помочь вам в этом процессе, включая консультации с врачами, группы поддержки и мобильные приложения.
В конечном итоге, изменение привычек курения — это не только способ избавиться от запаха сигарет изо рта, но и шаг к более здоровому образу жизни. Чем меньше вы будете курить, тем меньше будет запах, и тем быстрее ваш организм сможет восстановиться от вредного воздействия табака.



