Зубной камень — это не только эстетическая проблема, но и серьезный риск для здоровья полости рта. В статье рассмотрим, как выглядит зубной камень на зубах, представив фото до и после удаления. Узнаете о причинах его появления, методах удаления и профилактике, что поможет сохранить здоровье зубов и избежать неприятных последствий. Информация будет полезна тем, кто хочет заботиться о своей улыбке и предотвратить стоматологические заболевания.
Зубной камень: что он представляет собой
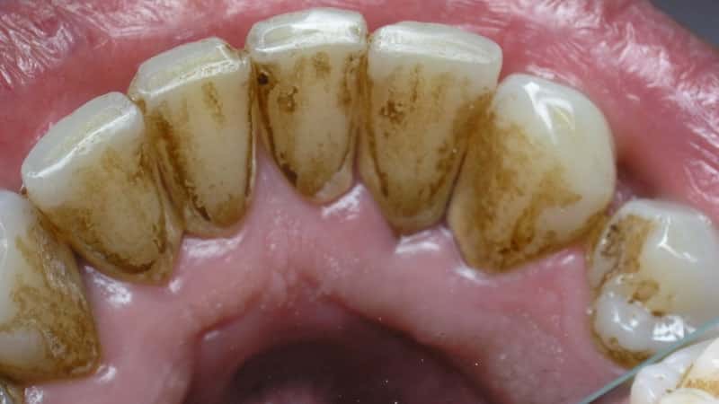
Некоторые люди даже не догадываются о наличии зубного камня на своих зубах. Чтобы понять, как он выглядит, можно ознакомиться с изображением, представленным ниже.
Зубной камень представляет собой твердые известковые отложения, которые формируются на эмали зубов из-за недостаточной гигиенической обработки. Чаще всего это неприятное явление возникает в труднодоступных местах, таких как промежутки между зубами или в области их шейки. Зубной налет начинает образовываться на эмали сразу после приема пищи, поэтому стоматологи настоятельно рекомендуют чистить зубы сразу после еды. В противном случае налет вскоре затвердевает и через одну-две недели превращается в камень.
Специалисты в области стоматологии также рекомендуют проходить профессиональную чистку зубов и всей полости рта в клинике не реже двух раз в год, а в некоторых случаях и чаще.
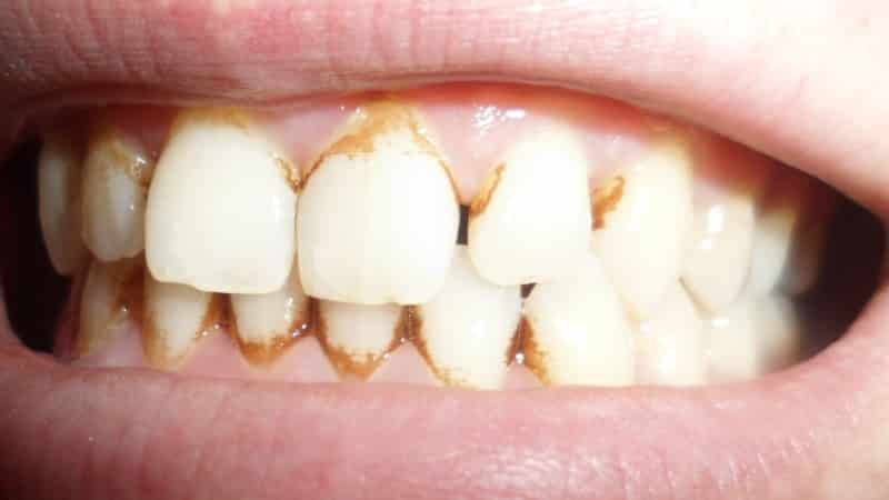
Вы можете увидеть, как выглядит зубной камень на фотографиях до и после его профессиональной чистки.
Камни на зубах, или зубной камень, представляют собой затвердевшие отложения, образующиеся из налета и минералов слюны. Врачи отмечают, что визуально они могут выглядеть как желтоватые или коричневые пятна на поверхности зубов, что негативно сказывается на эстетике улыбки. После удаления камней, которое обычно проводится с помощью ультразвукового скейлера или ручных инструментов, зубы становятся значительно светлее и чище. Врачи подчеркивают, что на фото «до» и «после» удаления разница заметна невооруженным глазом: зубы приобретают естественный блеск и ровный цвет. Это не только улучшает внешний вид, но и способствует здоровью полости рта, снижая риск кариеса и заболеваний десен. Регулярные профилактические осмотры и чистки помогают предотвратить образование зубного камня и сохранить здоровье зубов на долгие годы.
https://youtube.com/watch?v=jBe58Tbas6I
Что будет если не удалять камни
Это явление не только портит внешний вид улыбки, делая ее непривлекательной и даже отталкивающей, но и наносит значительный ущерб здоровью ротовой полости.
Подобные образования представляют собой обширные колонии патогенных микроорганизмов, которые постепенно занимают все больше пространства и вскоре могут привести к различным заболеваниям десен и слизистых оболочек рта. Они способны спровоцировать такие стоматологические проблемы, как пародонтит, гингивит и кариес. Кроме того, они являются причиной неприятного запаха изо рта и могут усугублять течение многих хронических заболеваний. Увидев фотографии зубных камней до и после их удаления, каждый человек поймет, что откладывать визит к стоматологу не стоит, чтобы избежать необходимости не только в чистке, но и в лечении зубов от кариеса и других заболеваний.
| Признак | До удаления зубного камня | После удаления зубного камня |
|---|---|---|
| Цвет зубов | Желтоватый, коричневатый, серый налет, иногда с темными пятнами | Естественный белый или слегка желтоватый оттенок эмали |
| Поверхность зубов | Шероховатая, неровная, с видимыми отложениями | Гладкая, чистая, блестящая |
| Десны | Воспаленные, покрасневшие, отечные, могут кровоточить при чистке | Здоровые, бледно-розовые, плотно прилегающие к зубам |
| Запах изо рта | Неприятный, стойкий, вызванный бактериями в налете и камне | Свежий, чистый |
| Ощущения во рту | Чувство «грязи» на зубах, дискомфорт, иногда болезненность | Ощущение чистоты, свежести, легкости |
| Видимые отложения | Твердые, плотные образования у десневого края и между зубами | Отсутствуют |
| Фото | (Представьте фото зубов с видимым налетом и камнем) | (Представьте фото чистых, здоровых зубов) |
Причины появления
Еще раз, взглянув на фотографии зубного камня, приведенные ниже, следует обсудить причины его образования.
Основной и главной причиной появления зубного камня является недостаточная гигиена полости рта. Все стоматологи без исключения советуют чистить зубы после каждого приема пищи, а также важно правильно подбирать зубную пасту и щетку.
После чистки зубов рекомендуется полоскать рот отварами трав или специализированными ополаскивателями. Однако, даже при соблюдении всех этих рекомендаций, визит к стоматологу и профессиональная чистка зубов должны проводиться два-три раза в год.
К другим факторам, способствующим образованию этого неприятного налета, можно отнести:
- Чрезмерное потребление газированных напитков.
- Курение.
- Заболевания внутренних органов.
- Недостаток твердой пищи в рационе, такой как яблоки и морковь.
- Частые перекусы сладостями, такими как печенье и конфеты.
Никто не застрахован от появления зубного камня, даже если все рекомендации по уходу за зубами соблюдены. Поэтому важно регулярно посещать стоматолога и следить за общим состоянием здоровья.
https://youtube.com/watch?v=n0IChICJtUE
Как выглядит камень
Чтобы проверить наличие налета на зубах, стоит воспользоваться зеркалом и внимательно осмотреть свою улыбку. У многих людей можно заметить белый, желто-белый или желтый, а также темно-коричневый налет, который образуется на эмали, между зубами и с внутренней стороны. Стоматологи настоятельно не рекомендуют пытаться удалить его самостоятельно, так как это может привести к еще большему вреду для здоровья зубов. Существует два типа зубного камня: наддесневой и поддесневой.
Дополнительными признаками наличия этого неприятного явления являются кровоточивость десен, шатающиеся зубы и неприятный запах изо рта.
Методики удаления зубных камней
Несколько лет назад стоматологи использовали ручные инструменты для удаления зубного камня, что было не только болезненно, но и крайне неприятно для пациентов. Однако с развитием современных технологий эта процедура в стоматологических клиниках претерпела значительные изменения. В настоящее время наиболее распространенным способом удаления зубного камня является ультразвуковая чистка, результаты которой можно увидеть на фотографиях до и после процедуры.
Этот метод обладает множеством преимуществ: он абсолютно безболезненный и даже может быть приятным для пациента. Кроме того, ультразвуковая чистка отличается высокой эффективностью и доступной стоимостью. Процедура осуществляется с помощью специального медицинского устройства, которое разбивает зубные камни с помощью ультразвуковых волн, предварительно размягчив их с помощью различных средств, не повреждая при этом зубную эмаль. После удаления камней проводится полировка эмали и ее укрепление.
Еще одним эффективным методом является лазерная терапия. В этом случае удаление зубного камня происходит под воздействием лазера. Процесс абсолютно безопасен и безболезнен. Однако стоит отметить, что лазерная чистка может быть несколько дороже по сравнению с ультразвуковым методом. Результаты удаления камней на зубах с помощью лазера также можно увидеть на фотографиях до и после процедуры.
Профилактика возникновения камней на зубах
Каждый стоматолог подтвердит, что наилучшей мерой профилактики появления проблем с зубами является регулярная и качественная гигиена ротовой полости с использованием подходящих зубных паст, щеток и ополаскивателей. Выбор этих средств может оказаться непростой задачей, особенно среди обширного ассортимента, представленного в магазинах. Поэтому разумнее всего обратиться за советом к своему стоматологу. Он сможет рекомендовать специальные зубные пасты, предназначенные для удаления различных отложений на зубах, однако их использование не должно превышать двух-трех раз в неделю.
Также крайне важно ограничить потребление сладостей, так как такие продукты, как карамель, шоколад и леденцы, могут негативно сказаться на состоянии зубов. Вместо этого стоит включить в рацион свежие фрукты, например, яблоки, которые способствуют естественному очищению зубной эмали.
Не стоит испытывать страх перед визитом к стоматологу, ведь профилактический осмотр обойдется значительно дешевле, чем лечение запущенных стоматологических заболеваний.
Кроме того, необходимо внимательно следить за общим состоянием здоровья, так как ни один стоматолог не сможет помочь, если причиной проблем с зубами являются нарушения обмена веществ, заболевания эндокринной системы или органов желудочно-кишечного тракта. Для выявления и лечения таких заболеваний лучше всего пройти обследование у терапевта. После этого можно смело обращаться в стоматологическую клинику для решения проблем, связанных с зубами и ротовой полостью.
https://youtube.com/watch?v=OE7-JZGqkIg
Симптомы наличия зубного камня
Зубной камень — это твердые отложения, образующиеся на поверхности зубов в результате минерализации зубного налета. Он может быть виден невооруженным глазом и часто имеет желтоватый или коричневый цвет. Наличие зубного камня может привести к различным стоматологическим проблемам, поэтому важно знать его симптомы.
Одним из первых признаков наличия зубного камня является изменение цвета зубов. Если вы заметили, что ваши зубы стали более тусклыми или приобрели желтоватый оттенок, это может быть связано с образованием зубного камня. Важно отметить, что зубной камень не всегда легко заметить, особенно если он расположен на задних зубах или между ними.
Другим симптомом является неприятный запах изо рта. Зубной камень может служить средой для размножения бактерий, что приводит к образованию неприятного запаха. Если вы регулярно чистите зубы, но запах сохраняется, это может быть признаком наличия зубного камня.
Также стоит обратить внимание на кровоточивость десен. Если при чистке зубов или употреблении пищи вы замечаете, что ваши десны кровоточат, это может указывать на воспаление, вызванное зубным камнем. Воспаление десен, известное как гингивит, может прогрессировать в более серьезные заболевания, если не предпринять меры.
Чувствительность зубов — еще один симптом, который может указывать на наличие зубного камня. Если вы испытываете дискомфорт или боль при употреблении горячей или холодной пищи и напитков, это может быть связано с повреждением эмали зубов или воспалением десен, вызванным зубным камнем.
Наконец, если вы заметили, что ваши зубы стали более подвержены кариесу или другим стоматологическим заболеваниям, это также может быть связано с наличием зубного камня. Зубной камень создает благоприятные условия для развития бактерий, что увеличивает риск кариеса и других проблем с зубами.
Если вы заметили один или несколько из этих симптомов, рекомендуется обратиться к стоматологу для профессиональной чистки зубов и оценки состояния полости рта. Регулярные визиты к стоматологу помогут предотвратить образование зубного камня и сохранить здоровье зубов и десен.
Влияние зубного камня на здоровье полости рта
Зубной камень, образующийся на поверхности зубов, представляет собой затвердевшие отложения, состоящие из минерализованных остатков пищи, бактерий и слюны. Его наличие в полости рта может иметь серьезные последствия для здоровья зубов и десен. Важно понимать, как именно зубной камень влияет на общее состояние полости рта.
Во-первых, зубной камень является идеальной средой для размножения бактерий. Эти микроорганизмы могут вызывать воспаление десен, что приводит к гингивиту — начальной стадии заболевания десен. Если не предпринять меры, гингивит может прогрессировать до пародонтита, более серьезного состояния, которое может привести к потере зубов.
Во-вторых, зубной камень может способствовать образованию кариеса. Бактерии, находящиеся в зубном камне, производят кислоты, которые разрушают зубную эмаль. Это может привести к образованию полостей и другим стоматологическим проблемам.
Кроме того, наличие зубного камня может вызывать неприятный запах изо рта, что связано с активной жизнедеятельностью бактерий. Это может негативно сказаться на социальной жизни человека и его уверенности в себе.
Важно отметить, что зубной камень не всегда заметен на первый взгляд. Он может образовываться как на видимых участках зубов, так и в труднодоступных местах, что делает его трудным для самостоятельного обнаружения. Поэтому регулярные визиты к стоматологу для профессиональной чистки зубов являются необходимыми для поддержания здоровья полости рта.
Удаление зубного камня — это не только эстетическая процедура, но и важный шаг к предотвращению заболеваний десен и кариеса. После удаления камня зубы становятся более гладкими, что облегчает их чистку и снижает риск повторного образования налета и камня.
Таким образом, влияние зубного камня на здоровье полости рта нельзя недооценивать. Регулярная гигиена, включая чистку зубов дважды в день и использование зубной нити, а также профессиональная чистка у стоматолога — это ключевые меры для предотвращения образования зубного камня и поддержания здоровья зубов и десен.
Частота и стоимость профессиональной чистки зубов
Профессиональная чистка зубов является важной процедурой для поддержания здоровья полости рта и предотвращения образования зубного камня. Частота проведения этой процедуры зависит от индивидуальных особенностей пациента, таких как состояние зубов, уровень гигиенических привычек и предрасположенность к образованию налета и камня.
В большинстве случаев стоматологи рекомендуют проходить профессиональную чистку зубов не реже одного раза в шесть месяцев. Однако для людей, склонных к образованию зубного камня, может потребоваться более частая чистка — раз в три-четыре месяца. Также стоит учитывать, что пациенты с заболеваниями десен или другими стоматологическими проблемами могут нуждаться в более частых визитах к стоматологу.
Что касается стоимости профессиональной чистки зубов, она может варьироваться в зависимости от региона, уровня клиники и используемых технологий. В среднем, цена на процедуру колеблется от 2000 до 6000 рублей. В некоторых клиниках могут предлагаться специальные пакеты услуг, которые включают в себя не только чистку, но и дополнительные процедуры, такие как фторирование или полировка зубов, что может немного увеличить общую стоимость.
Важно отметить, что хотя стоимость профессиональной чистки может показаться высокой, она является инвестициями в здоровье зубов и десен. Регулярная чистка помогает предотвратить более серьезные стоматологические проблемы, которые могут потребовать дорогостоящего лечения в будущем.
Кроме того, многие стоматологические клиники предлагают различные способы оплаты, включая рассрочку, что делает услуги более доступными для пациентов. Не стоит забывать и о возможности использования медицинской страховки, которая может покрывать часть расходов на профессиональную чистку зубов.
В заключение, регулярная профессиональная чистка зубов — это важный аспект ухода за полостью рта, который помогает поддерживать здоровье зубов и десен, а также предотвращает образование зубного камня. Обсуждение частоты и стоимости процедуры с вашим стоматологом поможет определить оптимальный график чистки, соответствующий вашим индивидуальным потребностям.



