Кариес на передних зубах — распространенная проблема, влияющая на здоровье полости рта и внешний вид улыбки. В статье рассмотрим причины возникновения кариеса на передних зубах и методы его лечения, включая особенности терапии у детей. Эти знания помогут своевременно распознать проблему и принять меры для сохранения здоровья зубов и уверенности в улыбке.
Почему важно здоровье передних резцов
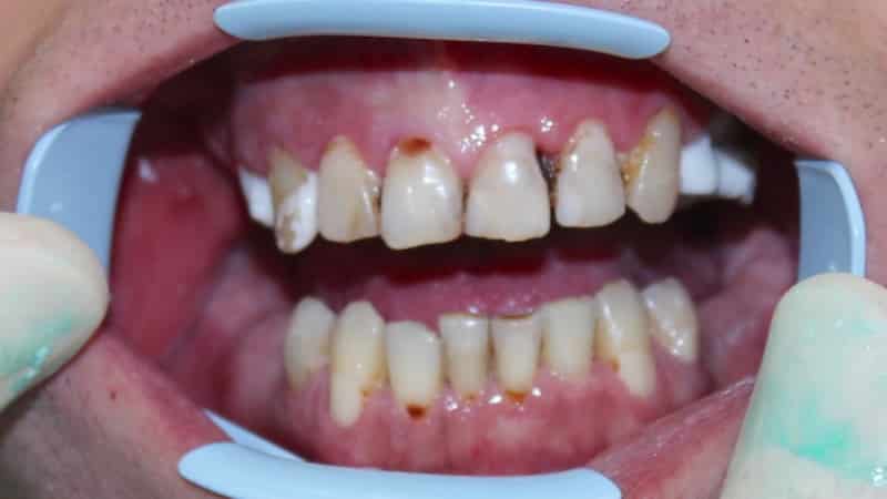
Оттенок зубных резцов является важным индикатором здоровья, но нельзя забывать, что при взаимодействии с людьми внимание всегда привлекает улыбка. Поэтому лечение передних верхних зубов следует начинать незамедлительно, как только выявлены какие-либо дефекты или повреждения. В противном случае кариес может прогрессировать, и даже незначительная проблема на первый взгляд может привести к утрате зуба. Необходимо помнить, что это заболевание развивается очень быстро, и его легко запустить, так как не всегда удается заметить все повреждения. Поэтому регулярные визиты к стоматологу помогут получить полное представление о состоянии зубов с использованием специализированного оборудования.
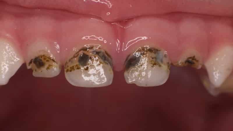
На начальной стадии, когда кариес проявляется в виде пятна, его довольно сложно выявить. Однако именно на этом этапе устранить признаки заболевания проще всего.
Пациенты часто задаются вопросом, почему кариес на передних зубах развивается так быстро. Поэтому важно регулярно посещать стоматолога для тщательного и качественного осмотра.
Также возникают вопросы о том, как лечится кариес на передних зубах, и по фотографиям это определить невозможно. Тем не менее, специалисты отмечают, что лечение резцов является трудоемким и затратным процессом. Сохранение эстетического вида зубов имеет первостепенное значение. Кроме того, эмаль на этих зубах наиболее тонкая, что делает процедуры более болезненными, и лечение должно проводиться с особой осторожностью. Больно ли лечить зубы в целом? Однозначного ответа нет, так как все зависит от конкретной ситуации. Однако современные и эффективные обезболивающие средства значительно облегчают процесс. Тем не менее, после окончания действия анестезии неприятные ощущения могут сохраняться.
Лечение передних резцов может быть наиболее болезненным по указанным причинам. Поэтому при обнаружении любых дефектов следует немедленно обратиться в стоматологическую клинику, так как дополнительная консультация никогда не будет лишней, особенно если есть подозрения на кариес между передними зубами.
Врачи-стоматологи подчеркивают важность своевременного и качественного лечения передних зубов, так как они играют ключевую роль не только в жевательной функции, но и в эстетике улыбки. Современные методы, такие как композитные материалы и керамические виниры, позволяют добиться естественного внешнего вида и высокой прочности. Специалисты отмечают, что при выборе метода лечения необходимо учитывать индивидуальные особенности пациента, включая состояние зубов и десен. Кроме того, регулярные профилактические осмотры помогают выявить проблемы на ранних стадиях, что значительно упрощает лечение и повышает его эффективность. Врачи рекомендуют не откладывать визит к стоматологу при первых признаках дискомфорта, чтобы избежать более серьезных последствий.
https://youtube.com/watch?v=0hjP8IbqjRk
Причины развития и формирования
Почему именно эти зубы портятся быстрее и в довольно молодом возрасте? Эксперты выделяют несколько факторов, которые способствуют возникновению повреждений.
- Наследственность. Этот аспект необходимо учитывать при диагностике и разработке плана лечения любых стоматологических заболеваний. Если у ваших близких родственников резцы начали портиться в раннем возрасте, это должно стать сигналом для вас. Важно внимательно следить за гигиеной полости рта и уделять особое внимание качеству чистки. Также рекомендуется регулярно проходить профессиональные профилактические процедуры, список которых поможет составить стоматолог.
- Неправильное питание. Нерациональный рацион часто становится причиной стоматологических проблем. Для здоровья зубов необходимо постоянное поступление витаминов и микроэлементов. Особенно важен кальций, его нехватка может привести к расшатыванию зубов и истончению эмали. Кроме того, существуют продукты, которые способствуют естественному очищению зубов. Например, яблоки и морковь имеют твердую текстуру, и при их поедании они помогают удалить налет. Эти продукты также богаты клетчаткой.
> Налет является основой для образования зубного камня, поэтому его нужно регулярно удалять. - Однако главной причиной является недостаточный и неправильный уход. Почему кариес возникает между резцами? Это происходит из-за того, что пища часто застревает в этих участках, и зубы не очищаются должным образом. Важно не только чистить зубы, но и использовать зубную нить для удаления остатков пищи между резцами. Конечно, эти процедуры должны проводиться регулярно и ежедневно.
Как осуществляется лечение передних зубов? Это зависит от места расположения кариозного поражения и стадии развития заболевания.
| Проблема | Метод лечения | Описание метода |
|---|---|---|
| Кариес эмали | Пломбирование | Удаление пораженных тканей и заполнение полости композитным материалом. |
| Кариес дентина | Пломбирование | Удаление пораженных тканей и заполнение полости композитным материалом. Может потребоваться анестезия. |
| Пульпит (воспаление нерва) | Депульпирование (лечение корневых каналов) | Удаление нерва, очистка и пломбирование корневых каналов. Затем зуб восстанавливается пломбой или коронкой. |
| Периодонтит (воспаление тканей вокруг корня) | Депульпирование с медикаментозной обработкой | Удаление нерва, тщательная очистка и медикаментозная обработка корневых каналов для устранения инфекции. |
| Скол или трещина эмали | Реставрация композитом | Восстановление формы и цвета зуба с помощью светоотверждаемого композитного материала. |
| Скол или трещина с повреждением дентина | Реставрация композитом / Винир | В зависимости от размера и глубины повреждения. При значительном сколе может потребоваться винир. |
| Изменение цвета (потемнение) | Отбеливание / Виниры | Отбеливание зубов для осветления эмали. При сильном изменении цвета или наличии старых пломб – установка виниров. |
| Диастема (щель между зубами) | Реставрация композитом / Виниры / Ортодонтическое лечение | Закрытие щели композитным материалом, установка виниров или брекет-системы для перемещения зубов. |
| Неправильная форма зуба | Реставрация композитом / Виниры | Коррекция формы зуба с помощью композита или установка виниров для создания идеальной формы. |
| Эрозия эмали | Фторирование / Реставрация композитом | Укрепление эмали фторсодержащими препаратами. При значительной потере эмали – реставрация. |
Этапы и виды лечения
Этапы лечения кариеса передних зубов по фотографиям до и после процедуры сложно определить. Врачи стремятся добиться наилучшего результата, однако не всегда это удается. Важно незамедлительно обратиться за помощью, даже если вы заметили небольшое белое пятно — это уже признак деминерализации. На этом этапе легче всего распознать симптомы и признаки заболевания, а процедуры будут менее болезненными, неприятными и затратными.
Таким образом, на фотографиях лечения передних зубов до и после можно увидеть впечатляющий результат. Как же он достигается? Все зависит от стадии развития кариеса, а также от набора инструментов и степени обработки эмали. На начальной стадии, когда заболевание проявляется только в виде пятна, можно обойтись без использования бормашины.
Существуют современные безболезненные методики, в которых применяются различные гели и пасты. Тем не менее, лучше всего получить полную консультацию у квалифицированного специалиста, чтобы исключить более серьезные случаи.
Если кариес еще на поверхностной стадии, возможно, удастся обойтись лишь шлифовкой. Это возможно, если глубокие слои эмали не повреждены. Если в процессе лечения выяснится, что кариес затронул и их, придется использовать традиционные методы. Если уже образовалась дырка, почти достигающая пульпы или корня, избежать обработки зуба не получится. Такой кариес называется глубоким или средним, когда затрагивается дентин. Классификация степени заболевания зависит от глубины повреждения дентина.
Поврежденные ткани удаляются с помощью бора и специальных инструментов. Поскольку восстановить их невозможно, необходимо минимизировать ущерб здоровью организма. Затем следует обработка полости и установка пломбы.
Воздушно-абразивный метод применяется только в тех случаях, когда повреждения не слишком глубокие. В этом процессе используются абразивные вещества, которые наносятся с помощью аэрозоля, обеспечивая щадящее воздействие.
Лазерные аппараты только начинают внедряться в практику. Не все специалисты уверены в их эффективности, а оборудование стоит дорого, поэтому не каждая клиника может себе это позволить.
Именно бормашина позволяет максимально удалить все поврежденные ткани. Только с помощью механической силы можно достичь этого и предотвратить повторное возникновение заболевания. Установка пломбы должна проводиться тщательно, с подбором материала нужного оттенка, что очень важно для сохранения эстетики. Если зуб необходимо удалить, устанавливается имплант или коронка.
https://youtube.com/watch?v=BrB8zH6bu-k
Лечение резцов у детей
Лечение молочных передних зубов является важной задачей. В последнее время наблюдается увеличение числа маленьких пациентов, которым едва исполнилось два года. Многие дети часто пьют сладкие напитки перед сном, что способствует размножению бактерий и образованию темных пятен на зубах. Заболевания у детей развиваются стремительно, и эмаль может быстро разрушаться. Врачи применяют различные методы лечения, такие как фторирование на ранних стадиях и серебрение. Однако дети не всегда понимают необходимость этих процедур и могут сопротивляться лечению, что усложняет процесс. Поэтому с раннего возраста важно прививать детям привычки гигиены, подбирать средства с учетом рекомендаций специалистов. Хотя многие меры лишь замедляют разрушение зубов, они все же необходимы. Дети должны осознавать важность ухода за зубами и регулярно посещать стоматолога.
Врач определяет необходимость процедур, основываясь на состоянии пациента, и всегда начинает прием с осмотра.
Следует отметить, что первые признаки кариеса не всегда заметны, особенно если пятна образуются в труднодоступных местах. Заболевание может развиваться очень быстро, поэтому регулярные визиты к стоматологу необходимы как для детей, так и для взрослых. Важно не только вовремя обнаружить повреждения резцов, но и следить за состоянием всех зубов. Необходимо контролировать рацион, употребляя качественные и натуральные продукты, а также использовать проверенные средства для ухода.
Регулярные самостоятельные осмотры зубов также имеют большое значение. При появлении любых настораживающих симптомов следует незамедлительно обращаться к врачу. Обнаружить белые пятна может быть сложно, но в домашних условиях можно использовать зеркала для тщательного осмотра передних зубов и их поверхности. Также стоит обратить внимание стоматолога на любые дефекты других зубов во время приема. Консультация специалиста никогда не будет лишней, поэтому важно помнить о необходимости регулярных записей на прием.
https://youtube.com/watch?v=vIVR3EPqQSU
Профилактика заболеваний передних зубов
Профилактика заболеваний передних зубов играет ключевую роль в поддержании их здоровья и эстетического вида. Передние зубы, особенно резцы, находятся на виду и подвергаются значительному воздействию внешней среды, что делает их более уязвимыми к различным заболеваниям. Основные аспекты профилактики включают в себя регулярную гигиену полости рта, правильное питание, а также регулярные визиты к стоматологу.
Первым и наиболее важным шагом в профилактике заболеваний передних зубов является соблюдение правил гигиены полости рта. Рекомендуется чистить зубы не менее два раза в день с использованием фторсодержащей зубной пасты. Чистка зубов должна проводиться не менее двух минут, уделяя особое внимание передним зубам, где чаще всего скапливаются налет и бактерии. Также стоит использовать зубную нить для удаления остатков пищи из межзубных промежутков, что поможет предотвратить развитие кариеса и заболеваний десен.
Правильное питание также играет важную роль в профилактике заболеваний передних зубов. Избегание избыточного потребления сахара и кислых продуктов поможет снизить риск кариеса. Вместо этого рекомендуется включать в рацион продукты, богатые кальцием и фосфором, такие как молочные продукты, орехи и зеленые овощи. Эти элементы способствуют укреплению зубной эмали и поддержанию здоровья зубов в целом.
Регулярные визиты к стоматологу — еще один важный аспект профилактики. Рекомендуется проходить стоматологическое обследование не реже одного раза в полгода. Во время таких визитов стоматолог сможет выявить ранние признаки заболеваний, таких как кариес или гингивит, и предложить соответствующее лечение. Профессиональная чистка зубов также поможет удалить зубной камень и налет, которые невозможно удалить в домашних условиях.
Дополнительно, использование фторсодержащих ополаскивателей для рта может помочь в укреплении зубной эмали и снижении риска кариеса. Некоторые стоматологи также рекомендуют применение герметиков для зубов, особенно у детей, чтобы защитить их от кариеса.
Наконец, важно помнить о вредных привычках, таких как курение и частое употребление алкогольных напитков, которые могут негативно сказаться на здоровье зубов и десен. Отказ от этих привычек поможет сохранить здоровье передних зубов на долгие годы.
Современные технологии в лечении передних зубов
Лечение передних зубов в последние годы претерпело значительные изменения благодаря внедрению современных технологий и материалов. Эти инновации не только повышают эффективность лечения, но и улучшают эстетические результаты, что особенно важно для передних зубов, которые играют ключевую роль в улыбке пациента.
Одной из самых значительных технологий является CAD/CAM (Computer-Aided Design and Computer-Aided Manufacturing). Эта система позволяет создавать высокоточные реставрации, такие как коронки и виниры, непосредственно в стоматологическом кабинете. Процесс начинается с цифрового сканирования зуба, после чего на основе полученных данных создается 3D-модель. Затем с помощью фрезерного станка из блока керамики или композитного материала изготавливается готовая реставрация. Это сокращает время ожидания и позволяет избежать использования временных конструкций.
Другой важной технологией является лазерная стоматология. Лазеры используются для лечения кариеса, удаления мягких тканей и даже отбеливания зубов. Лазерное лечение минимизирует дискомфорт и снижает риск инфекции, так как лазер обладает антисептическими свойствами. Кроме того, лазерная стоматология позволяет более точно и аккуратно работать, что особенно важно при лечении передних зубов, где эстетика имеет первостепенное значение.
Современные композитные материалы также играют важную роль в лечении передних зубов. Они обладают высокой прочностью, долговечностью и отличной эстетикой. Современные композиты могут имитировать естественный цвет зуба, что позволяет добиться незаметных реставраций. Кроме того, новые технологии позволяют создавать композиты с улучшенными адгезивными свойствами, что увеличивает срок службы реставраций.
Не менее важным аспектом является применение 3D-печати в стоматологии. Эта технология позволяет создавать индивидуальные модели для планирования лечения, а также производить временные конструкции и ортодонтические аппараты. 3D-печать обеспечивает высокую точность и сокращает время на изготовление, что особенно актуально в условиях современного стоматологического кабинета.
Наконец, цифровая рентгенография и КТ (компьютерная томография) позволяют стоматологам более точно диагностировать проблемы с передними зубами. Эти технологии обеспечивают высокое качество изображения и минимальную радиационную нагрузку на пациента. С их помощью можно выявить скрытые кариозные поражения, оценить состояние корней и окружающих тканей, что способствует более эффективному планированию лечения.
Таким образом, современные технологии в лечении передних зубов значительно повышают качество стоматологической помощи, обеспечивая пациентам не только здоровье, но и красивую улыбку. Важно, чтобы пациенты были осведомлены о доступных методах и материалах, чтобы принимать обоснованные решения о своем лечении.
Рекомендации по уходу за передними зубами
Уход за передними зубами является важной частью стоматологической гигиены, так как именно эти зубы наиболее заметны при разговоре и улыбке. Правильный уход поможет предотвратить множество стоматологических проблем, таких как кариес, заболевания десен и потемнение эмали.
Во-первых, основой ухода за передними зубами является регулярная и правильная чистка. Рекомендуется чистить зубы дважды в день, используя зубную пасту с фтором. Фтор помогает укрепить эмаль и защищает зубы от кариеса. При чистке зубов следует использовать мягкую зубную щетку и технику круговых движений, чтобы не повредить десны и эффективно удалить налет.
Во-вторых, важно не забывать о зубной нити. Она помогает удалить остатки пищи и налет из межзубных пространств, куда не всегда может добраться зубная щетка. Рекомендуется использовать зубную нить хотя бы один раз в день, особенно после ужина, чтобы предотвратить развитие кариеса и заболеваний десен.
Кроме того, стоит обратить внимание на выбор средств для полоскания рта. Антисептические ополаскиватели могут помочь в борьбе с бактериями, которые вызывают заболевания десен и неприятный запах изо рта. Однако не следует злоупотреблять такими средствами, так как они могут нарушить естественный баланс микрофлоры полости рта.
Также следует учитывать влияние питания на здоровье передних зубов. Избегайте чрезмерного потребления сладостей и кислых продуктов, так как они могут способствовать разрушению эмали. Вместо этого включите в свой рацион больше овощей, фруктов и молочных продуктов, которые способствуют укреплению зубов.
Регулярные визиты к стоматологу также играют ключевую роль в уходе за передними зубами. Профессиональная чистка и осмотр помогут выявить проблемы на ранних стадиях и предотвратить их развитие. Рекомендуется посещать стоматолога не реже чем раз в полгода.
Наконец, стоит помнить о вредных привычках, таких как курение и употребление алкоголя, которые могут негативно сказаться на состоянии зубов и десен. Отказ от этих привычек поможет сохранить здоровье передних зубов на долгие годы.



