Прикусывание щеки изнутри — распространенная проблема. Это может происходить случайно, в стрессовых ситуациях или из-за неправильного прикуса. В статье рассмотрим причины этой неприятности и дадим рекомендации по первой помощи и лечению. Понимание симптомов и методов ухода за поврежденной слизистой поможет избежать осложнений и ускорить заживление.
Постоянно прикусываю щеку изнутри: причины
Чтобы понять, что именно стало причиной данной проблемы, необходимо провести небольшой анализ своего образа жизни и здоровья. Важно не путать единичный случай с хронической патологией, так как для каждой из этих ситуаций требуется свое лечение.
Повреждение мягких тканей может быть вызвано различными факторами:
- привычка, при которой человек часто покусывает внутренние поверхности щек;
- неправильное расположение зубов в ротовой полости;
- аномальный прикус;
- ошибки при изготовлении зубных протезов и других стоматологических изделий;
- единичный случай во время инъекции после стоматологической процедуры.
Часто маленькие дети прикусывают свои щеки, испытывая при этом значительный дискомфорт. Это происходит во время активных игр, когда они не могут контролировать свои движения.
При постоянном механическом воздействии на внутреннюю часть щеки может образоваться нарост, который мешает смыканию челюстей и регулярно раздражается острыми краями коронок.
При укусе щеки изнутри врачи рекомендуют несколько простых, но эффективных методов для облегчения дискомфорта и ускорения заживления. В первую очередь, важно промыть рот теплой соленой водой, что поможет предотвратить инфекцию. Также специалисты советуют использовать антисептические растворы, такие как хлоргексидин, для обработки поврежденного участка. Если боль выражена, можно применять безрецептурные обезболивающие средства, такие как ибупрофен или парацетамол. Врачами подчеркивается, что следует избегать острой и кислой пищи, чтобы не раздражать рану. Если симптомы не проходят в течение нескольких дней или появляются признаки инфекции, необходимо обратиться к стоматологу для дальнейшего обследования и лечения.
https://youtube.com/watch?v=UhxbvWDNkJA
Что происходит при травмировании щеки
После травмирования внутренних поверхностей щек могут возникнуть различные заболевания. К числу таких патологий относятся инфекционные болезни и различные формы стоматита. Протекание этих заболеваний часто сопровождается образованием язв в ротовой полости. Чаще всего с подобными проблемами обращаются женщины.
Последствия повреждений мягких тканей:
- Афтозный стоматит — это хроническое заболевание с рецидивирующим характером. При этом в ротовой полости периодически появляются и заживают небольшие язвы. Любая область рта может стать местом возникновения этой проблемы. Заболевание сопровождается выраженной симптоматикой, включая сильную боль, что затрудняет ведение привычной жизни. Кроме внешних факторов, на развитие недуга могут влиять эмоциональные стрессы и менструации;
- Герпетический стоматит. Эта форма болезни проявляется образованием множества мелких язвочек, напоминающих сыпь. В группе риска находятся женщины до тридцати лет. Чаще всего поражаются участки под языком, внутренняя поверхность губ и дно ротовой полости. Язвы не имеют четких границ и могут сливаться в более крупные образования. Обычно лечение занимает от одной до десяти дней;
- Еще одно заболевание, возникающее в результате травм щек, — это афты Беднара. Эта патология встречается только у детей и в медицине называется травматической эрозией. Её вызывают специфические микроорганизмы, которые активируются при недостаточной гигиене полости рта. Определить данное заболевание можно по характерным желтоватым образованиям;
- Травматическая язва. Это одно из самых распространенных осложнений, возникающих при укусе. Причиной может быть как сам прикус, так и неаккуратная чистка зубов.
> Кроме того, язвы могут появиться из-за неосторожного лечения стоматолога, когда его инструменты повреждают слизистую оболочку.
При возникновении таких язв стоматологи часто сталкиваются с проблемой, когда после гигиенических процедур появляются язвы, и не знают, как с этим справиться.
| Проблема | Решение | Дополнительные рекомендации |
|---|---|---|
| Небольшая ранка, легкая боль | Полоскание рта антисептиком (например, хлоргексидин, мирамистин) | Избегать острой, горячей, кислой пищи. |
| Сильная боль, отек, кровотечение | Приложить холодный компресс снаружи щеки. Полоскать рот солевым раствором (1 ч.л. соли на стакан теплой воды). | Обратиться к стоматологу, если кровотечение не останавливается или боль усиливается. |
| Образование язвочки (афты) | Использовать специальные гели или мази для лечения афт (например, Холисал, Метрогил Дента). | Избегать травмирования язвочки. Соблюдать гигиену полости рта. |
| Признаки инфекции (гной, сильный отек, повышение температуры) | Немедленно обратиться к стоматологу. | Не заниматься самолечением, так как это может усугубить ситуацию. |
| Повторяющиеся прикусывания щеки | Проконсультироваться со стоматологом для выявления причины (например, неправильный прикус, острые края зубов). | Возможно потребуется коррекция прикуса или сглаживание острых краев зубов. |
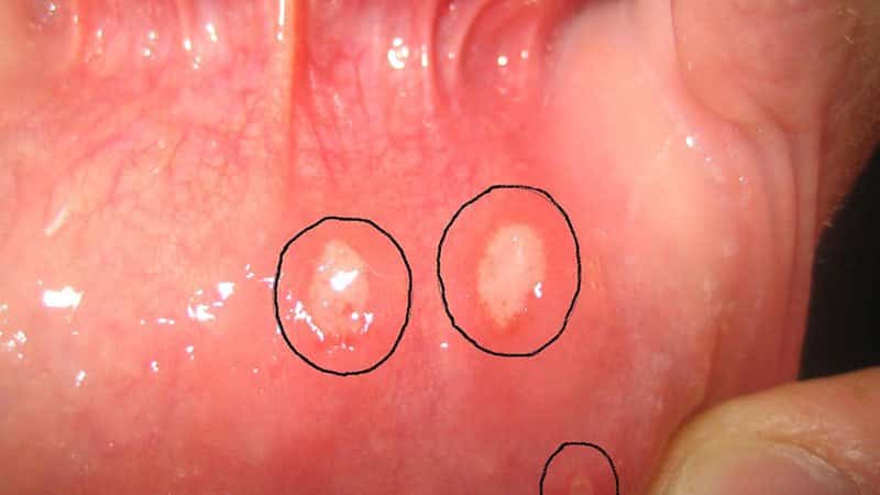
Клиническая картина
Обратите внимание на прикус щек изнутри: фото. При укусе мягких тканей в ротовой полости возникают небольшие раны. Внешне они напоминают проявления стоматита. В зависимости от силы укуса, такие раны могут кровоточить или оставаться сухими, однако количество крови не всегда указывает на степень повреждения. Слюна и капли крови создают впечатление кровавого содержимого во рту.
К счастью, прикусы щек обычно не представляют серьезной угрозы. Однако в случае одновременного падения и прикуса состояние человека может оказаться тяжелым, требуя длительного лечения и восстановления. Частые прикусы могут быть следствием неправильного расположения зубов, поэтому важно обратиться к стоматологу для исправления этой проблемы.
При диагностике часто выявляют воспаление слизистой с неровной поверхностью. Подобные изменения часто наблюдаются в области смыкания зубов.
Обычные и неопасные повреждения внутренней поверхности щек необходимо уметь отличать от других заболеваний. Именно поэтому стоит обязательно посетить стоматологическую клинику. В ходе обследования иногда у пациентов случайно обнаруживают злокачественные образования, туберкулез и другие серьезные заболевания.
Опухоли злокачественного характера имеют довольно плотное основание. Пациенты жалуются на то, что рана не заживает и не исчезает в течение длительного времени. Болезненные ощущения также могут быть постоянными. В таких случаях врач назначает биопсию для дальнейшего исследования образца.
https://youtube.com/watch?v=xQ3s4VkRMKY
Как себе помочь в домашних условиях
Не стоит недооценивать значение правильного прикуса. При появлении первых признаков проблемы обязательно следует обратиться к стоматологу. Порой патологические изменения могут быть связаны с развитиием серьезных заболеваний в организме.
Однако перед визитом к врачу стоит предпринять несколько первых шагов:
- Тщательно прополоскать рот холодной чистой водой. Холод способствует спазму сосудов, что помогает остановить кровотечение. Эти действия также могут значительно уменьшить болевые ощущения.
- Если вы испытываете сильную боль, имеет смысл принять обезболивающее средство. Кроме того, можно нанести немного анестетика на салфетку и приложить ее к пораженному участку.
- Для ускорения процесса восстановления рекомендуется регулярно полоскать рот отварами трав или антисептическими растворами.
Прикусила щеку изнутри: чем лечить
Прежде чем начинать любые лечебные процедуры для пораженных участков, важно выяснить причины возникшей проблемы.
Здесь не обойтись без помощи специалиста.
Возможные лечебные меры включают:
- масла и гели для восстановления, безопасные для слизистых оболочек;
- противовоспалительные и антисептические препараты;
- полоскания с использованием ромашки, зверобоя и других трав, которые помогают предотвратить размножение микроорганизмов.
Если причиной является проблемный зуб мудрости, стоматолог может рекомендовать его удаление. Использование выравнивающих аппаратов оправдано, если щека повреждается из-за неправильного расположения зубов в ротовой полости. В этом случае ношение брекетов и других ортодонтических конструкций будет неизбежным.
Прикусила щеку и образовалась язвочка: чем лечить
С таким вопросом многие женщины обращаются к стоматологу. Не стоит паниковать и расстраиваться, если эта проблема вас беспокоит. Важно предпринять следующие шаги, чтобы она больше не возникала:
- язвы и ранки могут возникать не только из-за травм. Чтобы исключить другие заболевания, обязательно проконсультируйтесь со специалистом;
- как показывает практика, домашние методы лечения не всегда решают проблему навсегда. Язвы могут исчезнуть, но нет гарантии, что они не появятся снова;
- строго придерживайтесь всех правил гигиены полости рта. Если вы действительно следите за своим состоянием и соблюдаете все рекомендации, визит к врачу может не понадобиться.
Когда нужно бить тревогу
Если вы замечаете у себя следующие признаки, обязательно обратитесь к врачу:
- слизистая оболочка не восстанавливается, несмотря на все предпринятые меры;
- на третий день рана начала увеличиваться в размерах;
- если у вас возникла гематома из-за повреждения языка или внутренней поверхности щеки;
- при нарушении целостности языка.
Не стоит пытаться решить проблему самостоятельно. Все, что вам нужно сделать перед визитом к врачу – оказать себе первую помощь, а затем следовать рекомендациям специалиста.
Посетите стоматолога или отоларинголога, и ваша проблема будет решена быстро и без негативных последствий.
Чего не стоит делать
Многие люди испытывают неприязнь к стоматологическим кабинетам, стараясь отложить визит к врачу, что является ошибочным подходом. При этом они совершают несколько распространенных ошибок, которых следует избегать:
- обрабатывают болезненные участки йодом или зеленкой;
- употребляют горячие травяные настои;
- воздействуют на проблемные зоны;
- трогают рот грязными руками;
- самостоятельно назначают и принимают антибиотики, как внутрь, так и местно.
Чтобы не ухудшить свое состояние, избегайте этих действий и немедленно обратитесь в медицинское учреждение для диагностики и лечения.
https://youtube.com/watch?v=WfQgBwYmRZM
Профилактика повторных травм
является важным аспектом, который поможет избежать повторного повреждения щек и других мягких тканей рта. Вот несколько рекомендаций, которые могут помочь в этом:
- Осторожность при еде: Будьте внимательны, когда едите. Избегайте слишком горячей или твердой пищи, которая может вызвать случайное прикусывание щек. Лучше всего выбирать мягкие продукты, которые легко жуются.
- Избегайте разговоров во время еды: Разговаривать во время еды может быть причиной случайного прикусывания щек. Сосредоточьтесь на процессе жевания, чтобы минимизировать риск травмы.
- Регулярные стоматологические осмотры: Посещайте стоматолога не реже двух раз в год. Профессиональная чистка и осмотр помогут выявить проблемы с прикусом или зубами, которые могут способствовать травмам.
- Использование ортодонтических аппаратов: Если у вас есть проблемы с прикусом, такие как неправильное расположение зубов, стоит рассмотреть возможность использования брекетов или других ортодонтических устройств. Это поможет исправить прикус и снизить риск травм.
- Избегайте стрессовых ситуаций: Стресс может привести к непроизвольному сжатию челюстей или привычке кусать щеки. Найдите способы расслабления, такие как медитация или занятия спортом.
- Обратите внимание на зубные протезы: Если у вас есть зубные протезы, убедитесь, что они правильно установлены и не вызывают дискомфорта. Неправильная установка может привести к травмам.
- Используйте защитные средства: Если вы занимаетесь контактными видами спорта, обязательно используйте защитные капы, которые помогут предотвратить травмы рта.
Следуя этим рекомендациям, вы сможете значительно снизить риск повторных травм щек и сохранить здоровье полости рта. Помните, что профилактика всегда лучше, чем лечение, и забота о своем здоровье должна быть приоритетом.
Рекомендации по питанию при травме
При укусе щеки изнутри важно уделить внимание не только лечению самой травмы, но и правильному питанию, которое поможет ускорить процесс заживления и предотвратить дополнительные повреждения. Вот несколько рекомендаций, которые помогут вам в этом процессе.
1. Избегайте жесткой и твердой пищи. После травмы слизистой оболочки рта стоит отказаться от продуктов, которые могут травмировать поврежденную область. Это включает в себя орехи, чипсы, сухари и другие жесткие закуски. Вместо этого выбирайте более мягкие и легко усваиваемые продукты.
2. Употребляйте мягкие продукты. Включите в свой рацион такие продукты, как йогурты, пюре, каши, супы и вареные овощи. Эти блюда не только не повредят травмированную область, но и обеспечат организм необходимыми питательными веществами.
3. Избегайте острых и кислых продуктов. Продукты с высоким содержанием кислоты, такие как цитрусовые, помидоры и уксус, могут вызвать раздражение и усилить боль. Острые специи также могут негативно сказаться на состоянии слизистой оболочки. Лучше всего временно исключить их из рациона.
4. Пейте много жидкости. Увлажнение организма играет важную роль в процессе заживления. Пейте достаточное количество воды, а также выбирайте нежирные бульоны и травяные чаи. Это поможет избежать обезвоживания и поддержит здоровье слизистой оболочки.
5. Употребляйте продукты, богатые витаминами и минералами. Витамины A, C и E, а также минералы, такие как цинк, способствуют заживлению тканей. Включите в свой рацион больше фруктов и овощей, таких как морковь, шпинат, брокколи, ягоды и цитрусовые.
6. Следите за температурой пищи. Горячие и холодные блюда могут вызвать дискомфорт. Лучше всего употреблять пищу комнатной температуры, чтобы избежать дополнительного раздражения.
7. Разделите прием пищи на небольшие порции. Если жевать трудно, попробуйте есть небольшими порциями и чаще. Это поможет избежать нагрузки на поврежденную область и облегчит процесс питания.
Следуя этим рекомендациям, вы сможете не только облегчить процесс заживления после укуса щеки, но и поддержать общее состояние здоровья. Если боль или дискомфорт не проходят, рекомендуется обратиться к врачу для получения профессиональной помощи.
Обращение к стоматологу: когда и зачем
При укусе щеки изнутри, особенно если травма оказалась значительной, важно внимательно следить за состоянием поврежденной области. В большинстве случаев такие травмы заживают самостоятельно, однако в некоторых ситуациях может потребоваться помощь стоматолога. Обратиться к специалисту следует, если:
- Травма сопровождается сильной болью. Если боль не утихает в течение нескольких часов или усиливается, это может указывать на более серьезные повреждения, такие как разрыв слизистой оболочки или повреждение зубов.
- Наблюдается обильное кровотечение. Если кровотечение не останавливается в течение 10-15 минут, необходимо обратиться к стоматологу для остановки крови и предотвращения инфекции.
- Появляются признаки инфекции. Если в области укуса возникают покраснение, отек, гнойные выделения или температура, это может свидетельствовать о развитии инфекции, требующей медицинского вмешательства.
- Травма затрудняет прием пищи или речь. Если повреждение мешает нормально жевать или говорить, это также является показанием для обращения к стоматологу.
- Повреждены зубы. Если при укусе были повреждены зубы или возникли проблемы с прикусом, необходимо провести осмотр у стоматолога для оценки состояния зубов и десен.
Стоматолог проведет осмотр, оценит степень повреждения и, при необходимости, назначит лечение. Это может включать в себя обработку раны, назначение антисептиков или антибиотиков, а также рекомендации по уходу за полостью рта в период заживления. Важно помнить, что своевременное обращение к специалисту может предотвратить развитие осложнений и ускорить процесс восстановления.





