Пародонтит и пародонтоз — серьезные заболевания, ведущие к потере зубов и ухудшению качества жизни. В статье рассмотрим современные методы протезирования, включая имплантацию, как решение для пациентов с пародонтозом 4 степени. Узнаете о преимуществах металлокерамических конструкций и мостов, методах проведения процедуры и правилах ухода за имплантантами. Эта информация поможет сделать осознанный выбор и улучшить здоровье полости рта.
На что следует обратить внимание
В чем заключаются отличия между этими двумя заболеваниями? Пародонтоз – это состояние, при котором отсутствует воспалительный процесс, и затрагивается опорно-связочный аппарат. В результате этого заболевания наблюдается потеря тканей вокруг всех зубов.
Пародонтит, в свою очередь, характеризуется нарушениями в опорно-связочном аппарате, при которых происходит поражение костной ткани и образуется специфический карман, что усложняет течение болезни. Это заболевание представляет собой серьезную угрозу, так как на ранних стадиях не проявляется ярко выраженными симптомами, и пациент может узнать о своем диагнозе только тогда, когда патология уже активно развивается. Многие люди не различают эти два понятия.
Квалифицированный специалист должен учитывать множество факторов при выборе метода лечения:
- стадия заболевания;
- особенности прикуса;
- анатомические характеристики челюсти;
- степень тяжести состояния.
Протезы могут быть как съемными, так и несъемными. Для восстановления зубного ряда не обязательно использовать коронки из металла или фарфора, а также изделия из металлоакрила.
Чаще всего предпочтение отдается бюгельным конструкциям с особыми накладками, которые помогают равномерно распределять жевательную нагрузку. Края десен остаются нетронутыми, что позволяет эффективно проводить лечение основного заболевания.
Врачи подчеркивают, что протезирование при пародонтите и пародонтозе требует особого подхода. Эти заболевания характеризуются потерей зубной ткани и изменением состояния десен, что может значительно осложнить процесс установки протезов. Специалисты рекомендуют предварительное лечение основного заболевания, чтобы обеспечить стабильность и долговечность протезов. Важно учитывать степень разрушения зубов и состояние окружающих тканей. В некоторых случаях может потребоваться использование имплантатов, которые обеспечивают лучшую фиксацию и функциональность. Врачи также акцентируют внимание на необходимости регулярного наблюдения и ухода за полостью рта после протезирования, чтобы предотвратить рецидивы пародонтита и пародонтоза. Правильный выбор протезов и их установка могут значительно улучшить качество жизни пациентов, восстановив не только эстетику, но и функциональность зубного ряда.
https://youtube.com/watch?v=NpS8bOXbtZ0
Протезирование зубов при пародонтите
Если у пациента наблюдается значительное повреждение костной ткани из-за пародонтита, существует два эффективных подхода:
- Костная пластика с последующей имплантацией. Этот процесс не осуществляется за один раз, так как на наращивание кости обычно уходит около четырех месяцев. После этого требуется от трех до шести месяцев для приживления. В итоге весь курс лечения и установка имплантатов могут занять до десяти месяцев. Часто, чтобы сократить время, процедуры наращивания и имплантации выполняются одновременно;
- Применение специализированных протезов, которые подходят даже в самых сложных ситуациях. С помощью этой процедуры можно восстановить как полную, так и частичную утрату зубов.
Оба этих метода позволяют эффективно и быстро восстановить зубной ряд.
| Аспект | Пародонтит | Пародонтоз |
|---|---|---|
| Причина | Воспалительный процесс, вызванный бактериями | Дистрофические изменения тканей пародонта, не связанные с воспалением |
| Симптомы | Кровоточивость десен, отек, боль, подвижность зубов, гнойные выделения | Рецессия десны, оголение шеек зубов, повышенная чувствительность, отсутствие воспаления |
| Цель протезирования | Восстановление функции жевания, стабилизация зубов, предотвращение дальнейшей потери костной ткани | Восстановление эстетики, защита оголенных шеек зубов, предотвращение дальнейшей атрофии костной ткани |
| Виды протезирования | Шинирование подвижных зубов, съемные и несъемные протезы, имплантация (после стабилизации воспаления) | Коронки, виниры, съемные и несъемные протезы, имплантация (при достаточной костной ткани) |
| Особенности протезирования | Требуется предварительное лечение воспаления, тщательная гигиена, регулярные осмотры | Акцент на защиту оголенных корней, возможно использование десневых масок для эстетики |
| Прогноз | Зависит от степени тяжести заболевания, эффективности лечения и соблюдения гигиены | Прогрессирующее заболевание, протезирование направлено на замедление процесса и улучшение качества жизни |
Комплексная методика
Комплексное протезирование при пародонтите является отличным решением для тех, кто утратил значительное количество зубов. В такой ситуации вы можете сразу же устранить все существующие проблемы.
Давайте рассмотрим этот процесс поэтапно:
- Удаление зубов, которые были серьезно повреждены из-за заболевания. Затем стоматолог очищает пораженные участки и устраняет воспалительные процессы;
- Установка имплантов в наиболее крепкие участки, обладающие хорошей плотностью тканей. Импланты могут быть размещены в тех местах, где ранее находились удаленные зубы;
- После операции снимаются необходимые оттиски, по которым в специализированной лаборатории изготавливаются несъемные протезы. Спустя неделю после процедуры несъемные конструкции устанавливаются на имплантаты.
Данная методика имеет свои преимущества: вы получаете новые зубы и уже через неделю можете наслаждаться полноценной жизнью, используя их. Специально подобранные материалы способствуют активизации роста тканей вокруг установленного протеза, что ускоряет его приживление.
https://youtube.com/watch?v=SKhD04W3P_U
Особенности мероприятия при пародонтозе
Перед тем как начать процесс установки протезов, клиенту необходимо тщательно подготовиться к процедуре. В первую очередь следует провести консервативное лечение основного заболевания. Важно, чтобы профессионал выполнил качественную чистку, удалив налет и зубные камни, а также провел лечение кариеса. На время лечения рекомендуется установить временные конструкции, которые обеспечат необходимую поддержку.
К протезированию следует приступать только при отсутствии острых патологий, а также если пародонтоз не проявляет клинических симптомов.
Если проблема касается передних зубов, используются различные мостовидные протезы, которые опираются на соседние зубы. В случае утраты клыков или премоляров жевательные зубы фиксируются с помощью несъемных конструкций, а утраченные элементы заменяются съемными протезами. Мостовидные модели не подходят, если зубы имеют подвижность. В таких случаях рекомендуется применять дуговые изделия.
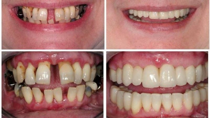
Съемные протезы при пародонтозе, как показано на фото, устанавливаются при наличии серьезных проблем и значительном поражении зубов. Обычно используется специальный дуговой протез с поперечной стабилизацией. При необходимости может быть установлено круговое крепление, которое сочетает несъемные конструкции и съемный протез.
Протезирование при пародонтозе 4 степени: металлокерамика или мосты
Выбор материала для протезирования зубов зависит от общего состояния здоровья пациента. Только квалифицированный стоматолог сможет порекомендовать наиболее подходящие варианты протезов при пародонтозе, как показано на фото выше.
На сегодняшний день одним из самых популярных материалов является металлокерамика. Это прочная и надежная конструкция, которая визуально практически не отличается от натуральных зубов. Металлокерамика обладает естественным цветом и внешним видом, которые сохраняются на протяжении длительного времени. Такие изделия не ощущаются в ротовой полости и являются гипоаллергенными.
Однако коронки из металлокерамики можно устанавливать только на стабильные и неподвижные зубы. При пародонтозе 4 степени этот метод уже не будет эффективным. Также противопоказанием для установки таких конструкций являются маленькие зубы, на которых они не смогут надежно закрепиться. Если у пациента наблюдается неправильный прикус или зубы различаются по размеру, процесс протезирования может быть усложнен.
Следует отметить, что одним из наиболее доступных и популярных видов протезов являются мостовидные конструкции несъемного типа.
Этот метод успешно применяется на протяжении многих лет. Мостовидные протезы изготавливаются из хрома и кобальта. Среди положительных аспектов можно выделить их легкость и минимальное обтачивание зубов. Такие конструкции могут быть установлены на любой стадии заболевания и при любом типе прикуса. Эстетическая сторона также имеет свои преимущества: металлическая часть скрыта под цветной облицовкой, которая имитирует натуральный оттенок зубов.
Как ухаживать за имплантатами
Успешный результат манипуляции зависит не только от подготовки и установки, но и от последующего ухода. Это особенно важно в случае рецидивирующего пародонтита или пародонтоза, когда итог будет полностью зависеть от соблюдения определенных правил:
- За имплантатами необходимо осуществлять тщательный уход, чтобы избежать обострения заболевания. Важно внимательно удалять зубной налет, так как недостаточная гигиена может создать условия для отторжения импланта;
- Обязательно используйте зубную нить для качественной очистки межзубных пространств;
- Пациенту следует посещать стоматолога каждые шесть месяцев для профессиональной чистки зубов и имплантатов.
Строго следуйте всем рекомендациям на каждом этапе лечения и установки.
Имейте в виду, что в первые дни после процедуры не рекомендуется курить, употреблять алкоголь и заниматься физической активностью.
Важно придерживаться назначенной диеты, принимать лекарства и регулярно полоскать рот антисептиками.
Таким образом, вы сможете продлить срок службы имплантов и наслаждаться их использованием.
Имплантация при пародонтозе и пародонтите: отзывы
Отзывы как пациентов, так и врачей подтверждают, что имплантация зубов является оптимальным вариантом. Эти протезы ничем не уступают натуральным зубам. Не стоит заниматься самолечением, так как это может усугубить ваше состояние. Чем быстрее вы обратитесь к специалисту, тем более эффективно будет решение вашей проблемы. В любом случае вам придется посетить врача. Однако, решать, произойдет ли это на ранней стадии заболевания или после потери большинства зубов, вам. На последней стадии пародонтоза полностью вылечить заболевание уже невозможно, можно лишь замедлить его прогрессирование.
https://youtube.com/watch?v=ghrljGjD6UU
Показания и противопоказания к протезированию
Протезирование зубов при пародонтите и пародонтозе является важной частью стоматологического лечения, направленного на восстановление функции и эстетики зубного ряда. Однако перед проведением протезирования необходимо учитывать ряд показаний и противопоказаний, которые могут повлиять на выбор метода лечения и его эффективность.
Показания к протезированию:
- Потеря зубов: Одним из основных показаний к протезированию является потеря одного или нескольких зубов в результате пародонтита или пародонтоза. Это может быть связано с разрушением тканей, поддерживающих зубы, что приводит к их подвижности и утрате.
- Нарушение жевательной функции: При отсутствии зубов или их значительной подвижности у пациента может возникнуть затруднение при жевании, что делает протезирование необходимым для восстановления полноценной функции жевательной системы.
- Эстетические проблемы: Утрата зубов может негативно сказаться на внешнем виде пациента, вызывая комплексы и снижая качество жизни. Протезирование позволяет восстановить эстетический вид улыбки.
- Психологический дискомфорт: Наличие дефектов в зубном ряду может вызывать у пациента чувство неуверенности и стеснения. Протезирование помогает улучшить самооценку и общее психологическое состояние.
Противопоказания к протезированию:
- Тяжелые формы пародонтита: В случаях, когда заболевание находится на поздних стадиях и сопровождается значительной потерей костной ткани, протезирование может быть нецелесообразным. В таких ситуациях необходимо сначала провести лечение основного заболевания.
- Обострение воспалительных процессов: Протезирование не рекомендуется проводить во время обострения пародонтита или других воспалительных заболеваний полости рта, так как это может привести к ухудшению состояния и снижению эффективности протезирования.
- Системные заболевания: Некоторые системные заболевания, такие как диабет, заболевания сердечно-сосудистой системы или иммунодефицитные состояния, могут стать противопоказанием для протезирования, так как они могут повлиять на заживление и интеграцию протезов.
- Неправильная гигиена полости рта: Если пациент не соблюдает правила гигиены полости рта, это может привести к рецидиву пародонтита и снижению долговечности протезов. В таких случаях перед протезированием необходимо провести обучение пациента гигиеническим навыкам.
Таким образом, перед началом протезирования при пародонтите и пародонтозе необходимо тщательно оценить состояние пациента, провести необходимые обследования и учесть все показания и противопоказания. Это позволит выбрать наиболее подходящий метод лечения и обеспечить успешный результат протезирования.
Выбор материалов для протезов при пародонтите и пародонтозе
При выборе материалов для протезов у пациентов с пародонтитом и пародонтозом необходимо учитывать несколько ключевых факторов, связанных с состоянием десен, костной ткани и общей клинической ситуацией. Пародонтит и пародонтоз характеризуются воспалением и разрушением тканей, окружающих зубы, что может значительно повлиять на выбор протезирования.
Первым шагом в выборе материала является оценка степени потери зубов и состояния оставшихся зубов. В случае значительной потери зубов или их подвижности, предпочтение может отдаваться съемным протезам, таким как полные или частичные съемные протезы, которые могут быть изготовлены из акриловых или нейлоновых материалов. Эти материалы легки и позволяют избежать дополнительной нагрузки на ослабленные зубы и десны.
Если же состояние зубов позволяет использовать несъемные протезы, то выбор материала может варьироваться от металлокерамики до циркония. Металлокерамические коронки обеспечивают хорошую прочность и эстетический вид, однако они могут вызывать аллергические реакции у некоторых пациентов. Циркониевые коронки, в свою очередь, обладают высокой биосовместимостью и эстетикой, что делает их предпочтительными для пациентов с чувствительными деснами.
Важно также учитывать, что при пародонтите и пародонтозе может наблюдаться изменение формы и объема десен, что требует индивидуального подхода к дизайну протезов. Например, использование протезов с низким профилем может помочь снизить раздражение десен и улучшить комфорт пациента. Кроме того, выбор материалов должен учитывать возможность их легкой обработки и адаптации к изменяющимся условиям в полости рта.
Не менее важным аспектом является долговечность и устойчивость материалов к воздействию бактерий и воспалительных процессов. Современные композитные материалы, используемые для протезирования, обладают антимикробными свойствами, что может помочь в снижении риска рецидива заболеваний десен.
В заключение, выбор материалов для протезов при пародонтите и пародонтозе должен основываться на комплексной оценке состояния пациента, его индивидуальных потребностей и предпочтений. Консультация с опытным стоматологом поможет определить наилучший вариант протезирования, который обеспечит не только функциональность, но и эстетическое удовлетворение пациента.
Реабилитация и восстановление после протезирования
Реабилитация и восстановление после протезирования являются важными этапами в процессе лечения пациентов с пародонтитом и пародонтозом. Эти заболевания характеризуются прогрессирующей потерей зубной ткани и поддерживающих структур, что может привести к необходимости установки протезов для восстановления функциональности и эстетики зубного ряда.
После протезирования пациентам необходимо уделить внимание нескольким ключевым аспектам, чтобы обеспечить успешное заживление и адаптацию к новым зубам. В первую очередь, важно следовать рекомендациям стоматолога, касающимся ухода за полостью рта и протезами. Это включает в себя регулярную гигиену, использование специальных средств для чистки протезов и, при необходимости, применение антисептиков для предотвращения воспалительных процессов.
В первые дни после установки протезов пациенты могут испытывать дискомфорт или легкую боль. Это нормальная реакция организма на изменения, и в большинстве случаев она проходит самостоятельно. Однако, если дискомфорт сохраняется или усиливается, необходимо обратиться к стоматологу для коррекции протеза или выявления возможных проблем.
Кроме того, важно следить за состоянием десен и окружающих тканей. Пародонтит и пародонтоз могут привести к изменению состояния десен, и после протезирования необходимо регулярно посещать стоматолога для контроля за состоянием пародонта. Специалист может рекомендовать дополнительные процедуры, такие как профессиональная чистка или лечение десен, чтобы предотвратить рецидив заболеваний.
Психологический аспект также играет важную роль в процессе реабилитации. Установка протезов может вызывать у пациентов чувство неуверенности или дискомфорта, особенно в первые недели. Поддержка со стороны стоматолога, а также положительный опыт других пациентов могут помочь справиться с этими переживаниями. Важно помнить, что адаптация к протезам требует времени, и со временем большинство пациентов начинают чувствовать себя более комфортно.
В заключение, реабилитация и восстановление после протезирования при пародонтите и пародонтозе требуют комплексного подхода, включающего как физическую, так и психологическую составляющие. Следуя рекомендациям специалистов и уделяя внимание своему состоянию, пациенты могут значительно улучшить качество своей жизни и восстановить уверенность в своей улыбке.



