Полное протезирование зубов с использованием съемных протезов — важное решение для людей с полной утратой зубов. В статье рассмотрим основные виды съемных протезов, их преимущества и недостатки, а также рекомендации по уходу за ними. Понимание показаний к протезированию и правильный выбор протеза помогут восстановить функциональность жевательной системы и уверенность в себе, улучшая качество жизни пациента.
Описание
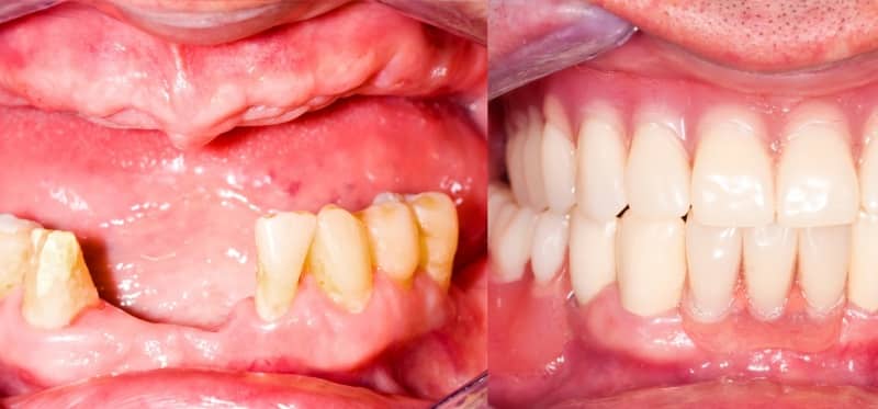
С помощью современных стоматологических технологий специалисты предлагают пациентам протезы, которые значительно отличаются от тех, что использовались несколько десятилетий назад. Эти изделия обладают высокой прочностью, долговечностью, комфортом и отличными эстетическими характеристиками. В настоящее время особенно востребованы съемные зубные протезы при полном отсутствии зубов без неба, так как они обеспечивают удобство и комфорт в ношении. Какие же у них ключевые отличия и какие протезы лучше выбрать при полном отсутствии зубов?
Полные пластинчатые и частичные конструкции изготавливаются из пластика с металлическими креплениями, что делает их легкими, но они занимают много места в ротовой полости. Такие протезы закрывают небо и опираются на десны, что может затруднять речь и вызывать дискомфорт.
Неудобство также заключается в том, что к ним требуется время для привыкания. В отличие от пластинчатых изделий, протезы без неба (бюгельные) обеспечивают значительно больший комфорт и удобство в ношении.
Оба типа протезов требуют периодического снятия и тщательного ухода. Частично съемные ортопедические конструкции – бюгельные – равномерно распределяют нагрузку на опорные зубы и десны. В случаях, когда использование несъемных протезов невозможно, все чаще применяются съемные изделия без неба.
Врачи-стоматологи отмечают, что съемные зубные протезы являются важным решением для пациентов, потерявших зубы. Они позволяют восстановить функциональность и эстетику улыбки, что положительно сказывается на качестве жизни. Специалисты подчеркивают, что современные материалы и технологии значительно улучшили комфорт и внешний вид протезов. Однако важно учитывать индивидуальные особенности каждого пациента. Врачи рекомендуют проводить тщательное обследование и консультации перед выбором протеза, чтобы минимизировать риск дискомфорта и обеспечить оптимальную адаптацию. Регулярные проверки и уход за протезами также играют ключевую роль в их долговечности и здоровье полости рта.
https://youtube.com/watch?v=HH-9xjrIUyA
Виды протезирования при полном отсутствии зубов
Полное протезирование зубов осуществляется в случаях их полного отсутствия и делится на два основных типа:
- Съемное
- Несъемное
Съемные протезы, в свою очередь, подразделяются на несколько категорий:
- Аттачмены
- Бюгельные
- Кламмеры
Аттачмены представляют собой пластиковые колпачки, которые фиксируются на челюсти с помощью двойных замков. Они надежно удерживаются в металлическом основании и могут быть заменены при необходимости. Некоторые пациенты выражают сомнения в надежности этого типа протезов, считая их недостаточно прочными. Однако в определенных случаях они могут стать альтернативой имплантации. Основным преимуществом является отсутствие дискомфорта и незаметность во время общения. Аттачмены крепятся с одной стороны к корню естественного зуба, а с другой – к самому протезу. При надевании аттачмен изначально немного деформируется, но затем возвращается в свое исходное состояние.
Бюгельные протезы рекомендуются для случаев, когда отсутствует два или более зуба подряд. Их особенностью является возможность установки на живые зубы и коронки. Основание представляет собой дугообразный литой каркас, покрытый акрилом, на который крепятся искусственные зубы. Такая конструкция обеспечивает равномерное распределение нагрузки. Прочный металлический каркас выгодно выделяет бюгельные протезы среди пластиковых аналогов, обеспечивая компактность и комфорт при ношении. Существуют различные виды бюгельных протезов, отличающиеся способами крепления:
- Ортопедические, фиксируемые с помощью кламера.
- Бюгели с аттачменами.
- Телескопические, которые считаются наиболее долговечными и сложными. Они крепятся с помощью двух телескопических коронок, цементируемых на опорный зуб и размещаемых в протезе.
К эстетически привлекательным и дорогим конструкциям относятся изделия с телескопическими коронками, при установке которых обрабатываются соседние опорные зубы, включая обтачивание, металлическое покрытие и полировку. Изготовление таких протезов требует высокой точности и современных технологий, что обуславливает их высокую стоимость. Однако даже при широкой улыбке они остаются незаметными.
Кламмеры – это конструкции, каркас которых фиксируется с помощью металлических дужек. Их комфортность заключается в открытости неба, что создает приятные ощущения во время ношения, жевания и приема пищи.
Выбор фиксирующего элемента и типа протеза при полном отсутствии зубов зависит от индивидуального клинического состояния пациента. Подбор необходимых изделий осуществляется лечащим стоматологом совместно с ортодонтом.
Также стоит упомянуть о новом высокотехнологичном виде съемного протеза, созданного по технологии QuattroTi. В этом изделии отсутствует металл, что делает его идеальным для людей с аллергией на данный материал. Протез применяется при потере целого или частично зубного ряда. Для его изготовления используется полимер – ацетал с пластиковым покрытием, имитирующим цвет керамических коронок и десен. Основным преимуществом является отсутствие необходимости обтачивания зубов. Протез фиксируется эластичными крючками, не повреждая эмаль, и отлично справляется с различными нагрузками, кроме чрезмерных.
Что касается несъемных зубных протезов при полном отсутствии зубов, то их разновидности включают: микропротезирование, коронки (виниры, вкладки), мостовидные протезы и имплантацию. Если пациенты не могут самостоятельно снимать протезы, то такое протезирование считается несъемным. Коронки и имплантаты устанавливаются с невозможностью их снятия. Основные преимущества несъемных протезов – это естественный вид, высокая эстетика и комфорт. Они не требуют особого ухода, кроме стандартной гигиены полости рта.
| Тип съемного протеза | Преимущества | Недостатки |
|---|---|---|
| Полный съемный протез (акриловый) | Доступная цена, быстрое изготовление, восстанавливает эстетику и жевательную функцию при полном отсутствии зубов. | Может вызывать дискомфорт, требует привыкания, возможна атрофия костной ткани, необходимость в регулярной коррекции и замене. |
| Полный съемный протез (нейлоновый) | Гибкость, легкость, гипоаллергенность, лучшая фиксация по сравнению с акриловыми протезами, более комфортное ношение. | Более высокая стоимость, меньшая прочность по сравнению с акриловыми, может деформироваться со временем, сложнее в ремонте. |
| Полный съемный протез с опорой на имплантаты (условно-съемный) | Отличная фиксация, стабильность, предотвращение атрофии костной ткани, улучшенная жевательная функция, комфорт. | Высокая стоимость, необходимость хирургического вмешательства для установки имплантатов, длительный процесс лечения. |
| Частичный съемный протез (бюгельный) | Надежная фиксация за счет кламмеров, равномерное распределение жевательной нагрузки, долговечность, не перекрывает небо. | Более высокая стоимость по сравнению с акриловыми частичными протезами, необходимость наличия опорных зубов, может быть заметен. |
| Частичный съемный протез (акриловый) | Доступная цена, быстрое изготовление, восстанавливает эстетику и жевательную функцию при частичном отсутствии зубов. | Менее надежная фиксация по сравнению с бюгельными протезами, может вызывать дискомфорт, возможна атрофия костной ткани под протезом. |
Показания и подготовка к установке
Современные съемные протезы отличаются легкостью и комфортом благодаря использованию инновационных материалов. В настоящее время такие протезы устанавливаются как при полной, так и при частичной потере зубов, с применением новых технологий крепления.
К основным показаниям для использования протезов относятся:
- Полное или частичное отсутствие естественных зубов
- Потребность в более эстетичном и привлекательном внешнем виде, а также желание заменить старые протезы на новые, более прочные.
Для установки протезов стоматолог проводит ряд мероприятий, направленных на подготовку ротовой полости, а также снимает необходимые мерки для их изготовления. В случае отсутствия полного зубного ряда, специалист сначала имплантирует искусственный элемент, который будет служить основой для крепления будущего протеза. После этого зубы, которые остались, обрабатываются и покрываются коронками из различных материалов.
https://youtube.com/watch?v=cwxU44pVwI0
Преимущества и основные методы ухода
Съемные протезы в современном варианте имеют ряд значительных преимуществ:
- Свобода общения и комфортное употребление пищи, привлекательная улыбка и обаятельный внешний вид
- Отсутствие давления на корень языка, что помогает избежать рвотных рефлексов
- Материалы, используемые для протезов, безопасны для окружающих тканей
- Правильный уход обеспечивает длительный срок службы
- Возможность реставрации и корректировки отдельных частей протеза с заменой поврежденных элементов.
Для того чтобы конструкции служили пациентам долго, необходим тщательный уход. Рекомендуется регулярно промывать протезы под проточной водой, желательно кипяченой, после каждого приема пищи и несколько раз в день для профилактики. Также можно использовать специальные чистящие растворы. Лучше всего применять специальную щетку, которую предлагает гигиенист. Ортопеды советуют проходить профессиональную чистку в клинике примерно раз в полгода.
Важно помнить, что без здоровых зубов человеку сложно нормально общаться, произносить четкие звуки и пережевывать пищу. Полная утрата зубов ограничивает возможность полноценного питания, заставляя употреблять только жидкую пищу. Кроме того, внешний вид человека становится менее привлекательным, так как скрыть отсутствие зубов невозможно.
Даже при идеальной внешности некрасивые зубы могут лишить человека обаяния и восхищения окружающих. Люди без зубов часто чувствуют себя скованно, реже улыбаются, чтобы не стать объектом насмешек, и испытывают значительный дискомфорт в жизни. Если не обратить внимание на своевременное лечение, можно навсегда утратить красивую улыбку. Зубам следует уделять особое внимание, поэтому важно вовремя лечить их или, в случае утраты, рассмотреть возможность протезирования при полном отсутствии зубов.
https://youtube.com/watch?v=pjaVL1UWa4w
Недостатки съемных зубных протезов
Съемные зубные протезы, несмотря на свою популярность и доступность, имеют ряд недостатков, которые могут повлиять на качество жизни пациента. Понимание этих недостатков поможет пациентам сделать осознанный выбор при выборе метода протезирования.
Во-первых, одним из основных недостатков съемных протезов является их стабильность. В отличие от фиксированных протезов, съемные конструкции могут смещаться во время еды или разговора, что вызывает дискомфорт и может привести к травмам десен. Это может быть особенно проблематично для людей, которые активно общаются или ведут активный образ жизни.
Во-вторых, съемные протезы требуют регулярного ухода и обслуживания. Их необходимо снимать на ночь и очищать, чтобы избежать накопления бактерий и неприятного запаха. Это может быть неудобно для некоторых пациентов, особенно для пожилых людей или тех, кто имеет ограниченные физические возможности.
Третьим недостатком является то, что съемные протезы могут вызывать раздражение и дискомфорт в области десен. Это связано с тем, что протезы могут давить на мягкие ткани, вызывая воспаление и болезненные ощущения. В некоторых случаях может потребоваться дополнительная коррекция протеза для улучшения его посадки и уменьшения дискомфорта.
Четвертым аспектом является ограничение в выборе пищи. Пациенты, использующие съемные протезы, могут столкнуться с трудностями при употреблении жесткой или липкой пищи, что может ограничивать их рацион и снижать качество жизни. Это также может привести к недостаточному потреблению необходимых питательных веществ.
Кроме того, съемные протезы могут не обеспечивать такой же уровень эстетики, как фиксированные конструкции. Хотя современные технологии позволяют создавать довольно естественно выглядящие протезы, они все же могут отличаться от натуральных зубов по цвету и форме, что может вызывать комплекс неполноценности у некоторых пациентов.
Наконец, съемные протезы могут требовать периодической замены или ремонта, что может привести к дополнительным финансовым затратам. Со временем, из-за изменений в челюстной кости и деснах, протезы могут перестать подходить, что потребует их корректировки или замены.
Таким образом, несмотря на ряд преимуществ, съемные зубные протезы имеют и свои недостатки, которые следует учитывать при выборе метода протезирования. Важно обсудить все возможные варианты с стоматологом, чтобы найти наилучшее решение для каждого конкретного случая.
Процесс установки и адаптации к протезам
Процесс установки съемных зубных протезов начинается с тщательной диагностики и планирования. На первом этапе стоматолог проводит осмотр полости рта, делает рентгеновские снимки и, при необходимости, назначает дополнительные исследования. Это позволяет оценить состояние десен, костной ткани и выявить возможные противопоказания для протезирования.
После диагностики стоматолог разрабатывает индивидуальный план лечения, который включает выбор типа протезов, их конструкцию и материалы. В зависимости от клинической ситуации, могут быть предложены полные или частичные съемные протезы. Полные протезы используются при отсутствии всех зубов, тогда как частичные — при наличии нескольких сохранившихся зубов.
Следующим шагом является снятие слепков челюстей. Это делается с помощью специальных материалов, которые позволяют получить точные отпечатки. На основе этих слепков в зуботехнической лаборатории изготавливается восковая модель протеза, которая затем примеряется на пациента. На этом этапе стоматолог может внести коррективы в форму и цвет зубов, чтобы добиться максимального эстетического результата.
После утверждения восковой модели изготавливается окончательный протез. Важно отметить, что процесс изготовления может занять несколько недель, так как требует высокой точности и внимательности. Когда протез готов, стоматолог проводит его установку. На этом этапе также может потребоваться корректировка, чтобы обеспечить комфорт и правильное прилегание к деснам.
Адаптация к съемным протезам — это важный этап, который может занять от нескольких дней до нескольких недель. В первые дни пациенты могут испытывать дискомфорт, который связан с новыми ощущениями в полости рта. Это нормально, и большинство людей со временем привыкают к протезам. Стоматологи рекомендуют начинать с коротких периодов ношения протезов, постепенно увеличивая время их использования.
В процессе адаптации важно следить за гигиеной полости рта и протезов. Съемные протезы необходимо регулярно очищать, чтобы избежать накопления бактерий и неприятного запаха. Также стоит учитывать, что в первые дни могут возникать трудности с речью и жеванием, но со временем эти проблемы обычно исчезают.
Если после периода адаптации дискомфорт не проходит или возникают другие проблемы, такие как болезненные ощущения или неправильное прилегание, необходимо обратиться к стоматологу для корректировки протезов. Важно помнить, что правильный уход и регулярные визиты к стоматологу помогут сохранить здоровье десен и увеличить срок службы протезов.
Стоимость и финансовые аспекты протезирования
Полное протезирование зубов с использованием съемных зубных протезов является важной частью стоматологической практики, и его стоимость может варьироваться в зависимости от множества факторов. Прежде всего, необходимо учитывать, что цена на протезирование может зависеть от региона, в котором вы находитесь, а также от уровня клиники и квалификации специалистов.
Основные компоненты, влияющие на стоимость съемных зубных протезов, включают:
- Тип протезов: Существует несколько видов съемных протезов, таких как полные и частичные. Полные протезы используются при отсутствии всех зубов, тогда как частичные применяются, когда некоторые зубы сохранены. Полные протезы, как правило, стоят дороже из-за их сложности и необходимости индивидуального подхода.
- Материалы: Используемые материалы также влияют на стоимость. Протезы могут быть изготовлены из акрила, металла или комбинации различных материалов. Металлические конструкции, как правило, более долговечны, но и стоят дороже.
- Технология изготовления: Современные технологии, такие как CAD/CAM, позволяют создавать более точные и удобные протезы, но их использование может увеличить общую стоимость лечения.
- Дополнительные процедуры: В некоторых случаях может потребоваться предварительное лечение, такое как удаление зубов или подготовка десен, что также увеличивает общую стоимость протезирования.
Важно отметить, что стоимость протезирования может включать не только сам протез, но и услуги стоматолога, такие как консультации, диагностика и последующее наблюдение. Поэтому перед началом лечения рекомендуется получить полную информацию о всех возможных расходах.
Кроме того, многие стоматологические клиники предлагают различные варианты оплаты, включая рассрочку или кредитование, что может значительно облегчить финансовую нагрузку на пациента. Некоторые страховые компании также покрывают часть расходов на протезирование, поэтому стоит уточнить условия вашей страховки.
В заключение, полное протезирование зубов с использованием съемных протезов требует внимательного подхода к выбору клиники и специалиста, а также понимания всех финансовых аспектов. Рекомендуется заранее обсудить все вопросы, связанные с ценой и возможными дополнительными расходами, чтобы избежать неприятных сюрпризов в процессе лечения.



