Афтозный стоматит — распространенное заболевание, которое ухудшает качество жизни, вызывая болезненные язвы во рту и затрудняя прием пищи. В статье рассмотрим основные причины, признаки и симптомы афтозного стоматита, а также эффективные методы лечения, включая народные средства. Знание этих аспектов поможет своевременно распознать заболевание и выбрать оптимальный подход к лечению, что важно для поддержания здоровья и комфорта в повседневной жизни.
Причины появления болезни
Стоматит представляет собой воспаление слизистой оболочки рта, которое является ответной реакцией иммунной системы на различные раздражители. Причины возникновения этого заболевания могут быть разнообразными, и для эффективного лечения важно выявить их и провести комплексное воздействие на организм, а не только устранять симптомы. Как правильно лечить афтозный стоматит у взрослых? В первую очередь необходимо установить общую клиническую картину.
Стоматит проявляется в виде болезненных язв, которые доставляют значительные неудобства и могут сигнализировать о наличии системных проблем со здоровьем, поэтому его игнорировать не следует.
Можно выделить несколько основных групп причин, способствующих развитию стоматита:
- Проникновение различных бактерий и вирусов. Появление язвочек может быть связано с активностью микоплазмы. Эти микроорганизмы постоянно присутствуют в ротовой полости, но для их активизации необходимы дополнительные факторы.
- Неправильное питание. Недостаток витаминов в рационе, особенно витамина В и микроэлементов, увеличивает вероятность возникновения стоматита.
- Травмы ротовой полости. Независимо от характера травм — термических, механических или химических — стоматит может развиться после повреждений. Пациенты часто отмечают, что заболевание возникло после определенной травмы. Даже твердое питание может повредить слизистую, а ожоги кислотами также не редкость. Обычно раны заживают быстро, но при наличии других негативных факторов может развиться стоматит с образованием язв.
- Несоблюдение гигиенических норм. Употребление грязных овощей и нерегулярная чистка зубов могут способствовать развитию заболевания.
- Установка некачественных протезов или коронок. Они могут раздражать и повреждать слизистую оболочку.
- Использование определенных средств. Например, зубные пасты с высоким содержанием отбеливающих компонентов могут вызывать сухость во рту, что делает слизистую более чувствительной к кислотам.
- Прием некоторых медикаментов. Некоторые лекарства могут вызывать сухость во рту.
- Злоупотребление алкоголем и курение.
Причины афтозного стоматита до конца не изучены. Некоторые ученые предполагают, что его возникновение может быть связано с общим поражением организма герпетической инфекцией, а язвы появляются в результате ослабления иммунной системы.
Врачи отмечают, что афтозный стоматит у взрослых требует комплексного подхода к лечению. Основное внимание уделяется устранению болевого синдрома и ускорению заживления язв. Специалисты рекомендуют использовать местные антисептики и противовоспалительные средства, такие как гели и мази, содержащие кортикостероиды. Также важно соблюдать диету, исключая острые, кислые и жесткие продукты, которые могут усугубить состояние. В некоторых случаях назначаются системные препараты, такие как витамины группы B и иммуномодуляторы, для повышения общей устойчивости организма. Врачи подчеркивают, что при частых рецидивах необходимо провести полное обследование для выявления возможных сопутствующих заболеваний. Психоэмоциональное состояние пациента также играет важную роль, поэтому рекомендуется избегать стрессов и переутомления.
https://youtube.com/watch?v=1u3EGsZwFCQ
Катализаторы возникновения язв
Стоматит может выступать в роли симптома различных заболеваний. Например, обилие язв у взрослых может указывать на наличие онкологических процессов. Также стоматит часто возникает после прохождения курса химиотерапии. Если воспалительных процессов слишком много, стоит проверить наличие глистов и пройти анализы для исключения таких заболеваний, как гастрит. Язвы могут появляться на фоне общего обезвоживания организма, которое может быть вызвано различными заболеваниями, такими как лихорадка, сопровождающаяся длительной рвотой или диареей, а также после значительных кровопотерь. Люди с ВИЧ-инфекцией особенно подвержены стоматиту. У беременных женщин наблюдается повышенная предрасположенность к этому заболеванию из-за гормональных изменений. Анемия, бронхиальная астма и сахарный диабет также ослабляют иммунную систему, что может привести к стоматиту. Это заболевание классифицируется по причинам возникновения, включая бактериальный, химический, грибковый и вирусный стоматит.
Афтозные язвы в полости рта доставляют множество неприятностей, поэтому их лучше лечить. Игнорирование лечения может привести к занесению более серьезной инфекции в организм.
| Категория лечения | Метод/Средство | Описание/Применение |
|---|---|---|
| Местное лечение | Антисептические растворы | Полоскания рта 2-3 раза в день (хлоргексидин 0,05%, мирамистин, фурацилин, отвар ромашки/календулы) для дезинфекции и уменьшения воспаления. |
| Местные анестетики | Гели или спреи с лидокаином, бензокаином (например, Камистад, Холисал) для снятия боли перед едой или сном. | |
| Противовоспалительные гели/мази | Гели с нестероидными противовоспалительными средствами (НПВС) или кортикостероидами (например, Метрогил Дента, Солкосерил дентальная адгезивная паста) для уменьшения воспаления и ускорения заживления. | |
| Защитные пленки/аппликации | Специальные пленки или адгезивные пасты, образующие защитный барьер над афтой, уменьшая раздражение и способствуя заживлению. | |
| Системное лечение | Обезболивающие препараты | При сильной боли могут быть назначены системные анальгетики (парацетамол, ибупрофен). |
| Антигистаминные препараты | При аллергической природе стоматита или выраженном отеке (лоратадин, цетиризин). | |
| Витаминотерапия | При дефиците витаминов группы В, железа, фолиевой кислоты (комплексные витамины). | |
| Иммуномодуляторы | В случаях часто рецидивирующего стоматита, по назначению врача (например, Имудон). | |
| Общие рекомендации | Диета | Исключение острой, кислой, соленой, твердой, горячей пищи. Предпочтение мягкой, протертой, теплой еде. |
| Гигиена полости рта | Тщательная, но бережная чистка зубов мягкой щеткой, регулярное использование ополаскивателей без спирта. | |
| Устранение провоцирующих факторов | Лечение сопутствующих заболеваний (ЖКТ, эндокринные), отказ от курения, минимизация стресса. |
Симптомы и признаки болезни
Симптомы афтозного стоматита легко распознаваемы. У взрослых людей, у которых организм уже полностью сформировался, наблюдаются лишь язвы. В то же время у детей поражения слизистой оболочки часто сопровождаются симптомами интоксикации и повышением температуры, что делает течение болезни более острым. У взрослых такая клиническая картина не наблюдается, однако можно выделить несколько характерных признаков.
- В начале заболевания в области поражения появляется легкое покраснение и зуд. Затем возникает отек, припухлость и болезненные ощущения, а также ощущение жжения.
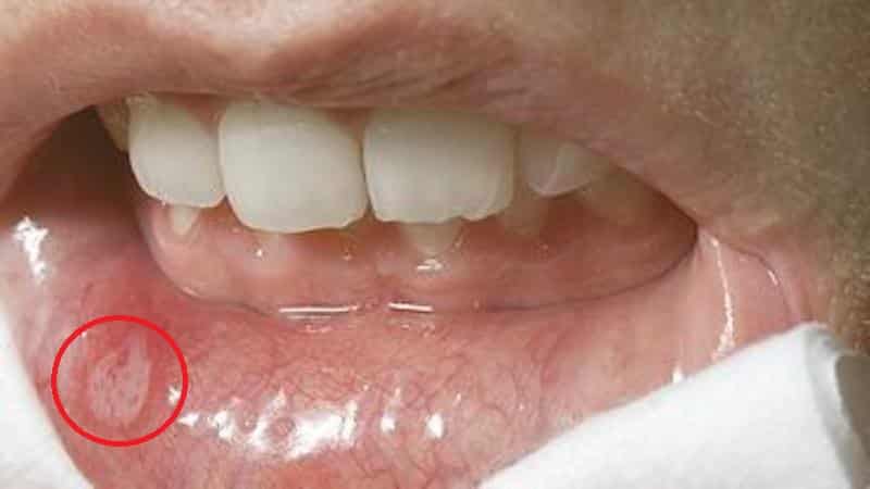
- На следующий день в этом месте формируется язвочка с четкими краями. Вокруг нее можно заметить розоватый ореол, а форма язвы может быть круглой или овальной. Через несколько дней в центре язвы образуется белая пленка. Обычно именно появление такого воспаления становится причиной обращения к врачу, так как это сигнализирует о необходимости лечения. Афтозный стоматит у взрослых (фото можно увидеть ниже) легко диагностируется.
- Язвочка вызывает болезненные ощущения, также наблюдается повышенное слюноотделение, воспаление десен, их кровоточивость и появление неприятного запаха изо рта.
- Боль может быть довольно сильной. Некоторые пациенты сообщают, что им трудно пережевывать пищу и двигать языком или губами.
- В редких случаях у взрослых может повышаться температура, а также наблюдается увеличение лимфатических узлов.
- Воспаления чаще всего возникают на губах и щеках, но иногда они могут появляться и на языке.
https://youtube.com/watch?v=MXKgUNuDOLA
Общие принципы воздействия на организм с целью излечения
Если заболевание вызвано лишь несоблюдением гигиенических норм, то лечение афтозного стоматита в домашних условиях вполне реально. Достаточно следовать общим рекомендациям и перейти на здоровое питание. В таком случае язвы могут исчезнуть всего за неделю. Рекомендуется использовать специальные антисептики для полоскания, избегать употребления соленой, кислой и слишком горячей пищи, а также исключить рыбу с острыми костями и другие продукты с острыми краями.
При выраженной боли врачи могут назначить местные анестетики. К таким препаратам относятся Гексорал Табс, Лидохлор и Анестезин. В домашних условиях можно использовать сок колонхоэ или приготовить отвар из ромашки и других лекарственных трав.
Также можно самостоятельно подобрать средства, главное, чтобы они обладали противогрибковым действием. В настоящее время доступны не только ополаскиватели и мази, но и спреи, шипучие таблетки, а также таблетки для рассасывания. Кроме того, можно применять средства, способствующие заживлению ран. Однако прежде всего необходимо выяснить причину заболевания; если перечисленные препараты не приносят облегчения, не стоит откладывать визит к врачу, так как стоматит может указывать на наличие серьезной инфекции, против которой обычные обезболивающие и противогрибковые средства неэффективны.
На фотографии афтозный стоматит выглядит одинаково, независимо от причины его появления, поэтому не стоит пытаться ставить диагноз самостоятельно.
Афтозный стоматит и этапы его лечения
Поскольку причины возникновения этой болезни до конца не выяснены, она может долгое время оставаться в скрытом состоянии в организме. Однако, если не предпринять хотя бы общие меры для лечения, заболевание может перейти в некротическую стадию, которая тяжело переносится пациентом, указывает на системное поражение организма и требует вмешательства квалифицированного специалиста.
Этапы терапии афтозного стоматита у взрослых:
- Для полоскания рта можно использовать борную кислоту и настой ромашки. В 4 г кислоты добавляют в раствор с ромашкой;
- Также подойдут растворы марганцовки или растворенные таблетки фурацилина для полоскания;
- Для обработки язв применяются различные масла, такие как облепиховое, льняное и абрикосовое;
- Тиосульфат натрия вводится внутривенно ежедневно или назначается в виде раствора;
- Используются препараты, способствующие повышению иммунитета;
- Обязательно обеспечивается дополнительный прием витаминов;
- Назначаются антигистаминные и успокоительные средства;
- Пациенту рекомендуется специальная диета.
Регулярное появление афтозного стоматита может свидетельствовать о наличии общих проблем со здоровьем. Поэтому, чтобы избежать рецидивов, необходимо устранить причину заболевания, если это возможно. Важно придерживаться принципов здорового образа жизни, что способствует укреплению иммунной системы и снижает шансы инфекций и бактерий на проникновение в организм.
https://youtube.com/watch?v=je0FNeenDYM
Диагностика афтозного стоматита
Диагностика афтозного стоматита у взрослых включает в себя несколько ключевых этапов, направленных на определение наличия заболевания, его формы и возможных причин. Важно отметить, что афтозный стоматит может проявляться различными симптомами, и его диагностика требует комплексного подхода.
1. Сбор анамнеза
Первым шагом в диагностике является сбор анамнеза. Врач должен выяснить, когда появились первые симптомы, как часто возникают афтозные язвы, какова их продолжительность и интенсивность болевого синдрома. Также важно узнать о наличии сопутствующих заболеваний, аллергий, а также о факторах, которые могут провоцировать обострения, таких как стресс, изменения в рационе или травмы слизистой оболочки рта.
2. Клинический осмотр
Во время клинического осмотра врач проводит визуальную оценку состояния полости рта. Афтозные язвы обычно имеют круглую или овальную форму, окружены красным венчиком и могут быть покрыты белым или желтоватым налетом. Важно отметить, что афтозный стоматит не сопровождается общими симптомами, такими как высокая температура или увеличение лимфатических узлов, что отличает его от других форм стоматита.
3. Лабораторные исследования
В некоторых случаях для уточнения диагноза могут потребоваться лабораторные исследования. Это может включать общий анализ крови, который поможет выявить признаки воспаления или анемии, а также анализы на наличие инфекционных агентов, таких как вирусы или бактерии. Если есть подозрение на системные заболевания, могут быть назначены дополнительные тесты, такие как анализы на аутоиммунные заболевания или аллергические реакции.
4. Дифференциальная диагностика
Важно провести дифференциальную диагностику, чтобы исключить другие заболевания, которые могут проявляться похожими симптомами. К ним относятся герпетический стоматит, кандидоз, сифилис, а также различные формы аллергического стоматита. Врач должен учитывать все возможные варианты и, при необходимости, направить пациента к другим специалистам, таким как дерматолог или аллерголог.
5. Оценка сопутствующих факторов
Кроме того, необходимо оценить сопутствующие факторы, такие как состояние иммунной системы пациента, наличие хронических заболеваний (например, диабет, заболевания желудочно-кишечного тракта) и влияние внешней среды (например, курение, употребление алкоголя). Эти факторы могут существенно влиять на течение заболевания и его лечение.
Таким образом, диагностика афтозного стоматита у взрослых требует внимательного подхода и комплексного анализа состояния здоровья пациента. Правильная диагностика является основой для выбора эффективной стратегии лечения и профилактики обострений заболевания.
Профилактика рецидивов заболевания
Профилактика рецидивов афтозного стоматита у взрослых является важным аспектом в управлении этим заболеванием. Афтозный стоматит характеризуется появлением болезненных язвочек на слизистой оболочке рта, что может значительно ухудшать качество жизни пациента. Для снижения вероятности повторных эпизодов необходимо учитывать несколько ключевых факторов.
1. Соблюдение гигиены полости рта: Регулярная и правильная гигиена полости рта помогает предотвратить инфекции и воспаления, которые могут спровоцировать появление афт. Рекомендуется чистить зубы дважды в день с использованием мягкой зубной щетки и фторсодержащей пасты. Также важно использовать зубную нить и ополаскиватели для рта, чтобы удалить остатки пищи и бактерии.
2. Избегание триггеров: У каждого пациента могут быть свои индивидуальные триггеры, способствующие возникновению афт. Это могут быть определенные продукты питания (например, цитрусовые, острые или кислые блюда), стресс, аллергические реакции или травмы слизистой. Ведение дневника питания и самочувствия может помочь выявить и избежать этих триггеров.
3. Поддержание иммунной системы: Сильная иммунная система играет ключевую роль в профилактике рецидивов афтозного стоматита. Для этого рекомендуется придерживаться сбалансированной диеты, богатой витаминами и минералами, особенно витаминами группы B, C и цинком. Регулярные физические нагрузки, достаточный сон и управление стрессом также способствуют укреплению иммунитета.
4. Использование местных средств: При первых признаках появления афт можно использовать местные антисептики и противовоспалительные средства, которые помогут уменьшить воспаление и ускорить заживление. Некоторые пациенты находят облегчение в использовании гелей или мазей, содержащих кортикостероиды.
5. Регулярные медицинские осмотры: Важно регулярно посещать стоматолога для профилактических осмотров и консультаций. Специалист может помочь выявить возможные проблемы на ранней стадии и предложить индивидуальные рекомендации по профилактике рецидивов афтозного стоматита.
6. Лечение сопутствующих заболеваний: Часто афтозный стоматит может быть связан с другими заболеваниями, такими как болезни желудочно-кишечного тракта, аллергии или аутоиммунные расстройства. Лечение этих состояний может значительно снизить частоту рецидивов афт.
Соблюдение этих рекомендаций поможет снизить риск повторного появления афтозного стоматита и улучшить общее состояние здоровья полости рта. Однако, если рецидивы продолжаются, важно обратиться к врачу для более глубокого обследования и коррекции лечения.
Рекомендации по питанию и образу жизни
Правильное питание и здоровый образ жизни играют ключевую роль в процессе лечения афтозного стоматита у взрослых. Важно учитывать, что некоторые продукты могут усугублять симптомы заболевания, тогда как другие, наоборот, способствуют быстрому заживлению и укреплению иммунной системы.
1. Избегайте раздражающих продуктов. При афтозном стоматите рекомендуется исключить из рациона острые, кислые и соленые блюда, так как они могут вызывать дополнительное раздражение слизистой оболочки рта. К таким продуктам относятся цитрусовые, помидоры, острые специи, а также алкоголь и кофе. Эти вещества могут усиливать болевые ощущения и замедлять процесс заживления.
2. Увлажнение и мягкая пища. Важно употреблять мягкую и легко усваиваемую пищу, чтобы минимизировать дискомфорт при жевании. Рекомендуются супы, пюре, йогурты и каши. Также стоит обратить внимание на достаточное потребление жидкости, чтобы избежать обезвоживания и поддерживать нормальное функционирование организма.
3. Витамины и минералы. Употребление продуктов, богатых витаминами и минералами, особенно витаминами группы B, витамина C и цинка, может помочь в восстановлении слизистой оболочки рта. Включите в рацион больше свежих овощей и фруктов, таких как шпинат, брокколи, морковь, а также орехи и семена. В некоторых случаях может быть полезно принимать витаминные комплексы, но перед этим стоит проконсультироваться с врачом.
4. Соблюдение режима питания. Регулярное и сбалансированное питание также важно для поддержания иммунной системы. Рекомендуется есть небольшими порциями 4-5 раз в день, чтобы избежать длительных промежутков между приемами пищи, что может привести к снижению уровня сахара в крови и ухудшению общего самочувствия.
5. Устранение стрессов. Психоэмоциональное состояние человека может оказывать значительное влияние на здоровье. Стрессы и нервное напряжение могут способствовать обострению афтозного стоматита. Поэтому важно уделять внимание методам релаксации, таким как медитация, йога или просто прогулки на свежем воздухе.
6. Отказ от вредных привычек. Курение и чрезмерное употребление алкоголя могут негативно сказаться на состоянии слизистой оболочки рта и замедлить процесс заживления. Отказ от этих привычек поможет не только в лечении афтозного стоматита, но и в улучшении общего состояния здоровья.
Следуя этим рекомендациям по питанию и образу жизни, можно значительно облегчить симптомы афтозного стоматита и ускорить процесс выздоровления. Однако, если симптомы сохраняются или ухудшаются, необходимо обратиться к врачу для получения профессиональной медицинской помощи.




