Лингвальные брекеты — это ортодонтическое решение для исправления прикуса и выравнивания зубов, оставаясь незаметными. В статье представлены фотографии до и после установки, а также отзывы пациентов. Вы узнаете о противопоказаниях, процессе установки и стоимости процедуры. Эта информация поможет вам определить, подходит ли вам этот метод коррекции зубов.
Лингвальная брекет-система
Лингвальные брекеты — что это такое? Возможно, многие уже знакомы с этим типом ортодонтических конструкций. Их часто называют «невидимыми брекетами», «лингвалками» или «внутренними брекетами». Однако в профессиональной среде правильнее использовать термин «лингвальные».
Это название происходит от латинского слова lingua, что в переводе на русский означает «язык». Теперь становится ясным, как они функционируют. Кронштейны устанавливаются с внутренней стороны челюсти, то есть со стороны языка.
Противоположностью лингвальным брекетам являются вестибулярные системы. Это традиционные конструкции, которые крепятся на лицевой стороне зуба и заметны, но при этом также обладают высокой эффективностью. Внутренние брекеты на фото:
Лингвальные брекеты представляют собой современное решение для коррекции зубного ряда, которое пользуется все большей популярностью среди пациентов. Врачи отмечают, что их основное преимущество заключается в эстетике: брекеты устанавливаются на внутренней стороне зубов, что делает их практически незаметными. Это особенно привлекательно для взрослых, которые не хотят демонстрировать металлические конструкции на улыбке.
Специалисты также подчеркивают, что лингвальные брекеты могут быть столь же эффективными, как и традиционные, обеспечивая высокую степень контроля над движением зубов. Однако врачи предупреждают, что установка таких брекетов требует высокой квалификации ортодонта, так как процесс более сложен и требует индивидуального подхода. Кроме того, пациенты могут испытывать дискомфорт в первые недели после установки. В целом, лингвальные брекеты становятся отличным выбором для тех, кто ценит как результат, так и внешний вид во время лечения.
https://youtube.com/watch?v=4yDMdpJlXMM
Особенности установки
Специалисты подчеркивают, что установка внутренних брекетов значительно более сложна, чем установка вестибулярных, поэтому будьте готовы провести в кабинете у врача довольно продолжительное время. Ортодонт подбирает систему исключительно индивидуально для каждого пациента, поэтому не стоит торопиться. Часто требуется изготовление отдельного замочка для каждого зуба, так как они различаются по длине, степени искривления и скученности. Такой внимательный подход обеспечит вам не только быстрое, но и комфортное лечение.
Теперь давайте рассмотрим этапы, которые вам предстоит пройти.
| Характеристика | Описание | Преимущества | Недостатки |
|---|---|---|---|
| Что это такое? | Ортодонтические брекеты, которые крепятся к внутренней (лингвальной) поверхности зубов, делая их невидимыми снаружи. | Полная невидимость, эстетичность. | Более высокая стоимость, сложный уход, возможное нарушение дикции на начальном этапе. |
| Как работают? | Принцип действия аналогичен вестибулярным брекетам: дуга, проходящая через пазы брекетов, оказывает давление на зубы, постепенно перемещая их в нужное положение. | Эффективность в исправлении различных аномалий прикуса. | Длительность лечения может быть сопоставима с вестибулярными брекетами. |
| Кому подходят? | Пациентам, для которых важна эстетика и полная невидимость ортодонтического лечения. | Идеально для публичных людей, подростков, стесняющихся носить обычные брекеты. | Не подходят при некоторых сложных аномалиях прикуса или при очень маленьких зубах. |
| Процесс установки | Требует высокой квалификации ортодонта, так как установка на внутреннюю поверхность зубов более сложна и индивидуальна. | Индивидуальное изготовление брекетов для каждого пациента. | Более длительный и трудоемкий процесс установки. |
| Уход и гигиена | Требует более тщательного и кропотливого ухода из-за расположения брекетов. | Поддержание гигиены полости рта. | Сложность чистки, необходимость использования специальных щеток и ирригаторов. |
| Ощущения и адаптация | В начале лечения могут вызывать дискомфорт, нарушение дикции, натирание языка. | Постепенная адаптация к брекетам. | Период привыкания может быть дольше, чем при вестибулярных брекетах. |
Санация ротовой полости
Это первый и самый важный этап в процессе лечения. Вы, вероятно, знаете, что курс коррекции прикуса может занять от шести месяцев до полутора лет. Поэтому в первую очередь необходимо выявить и устранить все заболевания и недостатки в ротовой полости. Обратите внимание, что в случае некоторых стоматологических заболеваний установка ортодонтических систем строго запрещена! Об этом мы расскажем подробнее позже. Но не стоит переживать, все болезни можно достаточно быстро вылечить. На практике чаще всего санация включает в себя чистку зубов от налета и камней, лечение кариеса или пломбирование.
https://youtube.com/watch?v=vW8ktuFR1mk
Рентгенологическое исследование
На данном этапе вам необходимо будет посетить рентген-кабинет для проведения снимка. Обратите внимание, что установка пластин противопоказана для беременных женщин именно из-за необходимости выполнения рентгенографии. Также стоит проявить особую осторожность пациентам, у которых ранее были выявлены заболевания эндокринной системы – в рентген-кабинете вам обязательно должны надеть защитный воротник!
Слепок зубов для регистрации прикуса
Это один из ключевых этапов в процессе лечения. Именно корректность и точность слепка обеспечивают создание подходящих замков и дуги. В противном случае, изменения в положении зубов могут возникнуть не в тех местах, где их ожидали – это может привести к травматической окклюзии и нарушению артикуляции. С помощью слепка ортодонт определяет соотношение между челюстями и зубными рядами.
Изготовление брекет-системы
На данном этапе ваше участие больше не требуется – остается лишь ожидать. Специалисты используют ранее полученный слепок для создания модели зубного ряда. Для каждого зуба изготавливается восковая копия будущих брекетов. Эти копии соединяются с оттиском и заливаются гипсом. Затем воск плавится, а образовавшееся пустое пространство заполняется золотом или другим гипоаллергенным металлом. Одновременно с брекетами изготавливается дуга, которая будет отвечать за формирование нового прикуса. Обычно дуга создается с помощью автоматизированного робота – это современное решение в технологии, позволяющее с высокой точностью воспроизвести форму челюсти пациента. Готовую систему транспортируют в клинику в специальных капах, что обеспечивает надежную защиту от повреждений во время перевозки.
Установка моста
Этот процесс может занять примерно три часа или даже больше. В ходе процедуры ортодонт устанавливает стоматологический расширитель, что позволяет избежать напряжения челюстей для удержания рта в открытом положении. На шестые зубы крепятся специальные накладки, которые будут служить основой для брекет-системы. Сначала невидимые брекеты фиксируются на нижней челюсти, к которым пациент привыкает в течение примерно двух недель. Только после этого устанавливается верхний ряд. В итоге, пациенту требуется около месяца, чтобы привыкнуть к брекетам, восстановить четкость речи и без проблем принимать пищу.
Закрепление результата
В ходе ортодонтического лечения вам потребуется пройти 6-8 контрольных визитов к специалисту. Именно поэтому пациенты, которые выбрали внутренние брекеты, оставляют исключительно положительные отзывы! Результаты становятся заметными уже через три месяца после начала терапии, однако носить лингвальные брекет-системы придется значительно дольше. После достижения желаемого результата и снятия конструкции врач переходит к заключительному этапу. Для закрепления зубного ряда в новом положении пациентам назначаются ретенционные каппы. Эти устройства следует носить до полного завершения перестройки зубного ряда. Каппы можно использовать ночью, в домашних условиях или в любое время, когда не требуется есть или говорить. Имейте в виду, что каппы могут ограничивать функциональность ротовой полости. Срок ношения капп варьируется от одного месяца до полугода, в зависимости от индивидуальных особенностей каждого случая.
Виды лингвальных брекетов
В настоящее время представлено множество вариантов внутренних систем, и все они обладают высокой эффективностью. Нельзя утверждать, что одни модели хуже или лучше других — каждая система выбирается с учетом анатомии челюсти, состояния прикуса и общего состояния ротовой полости. Также вы можете заметить различия в ценах на лингвальные брекеты, но давайте разберемся во всем по порядку.
Брекет-системы Incognito
Безусловно, это одна из самых известных и дорогостоящих систем, так как она создается из золотого сплава. Она особенно подходит для пациентов, имеющих аллергию на различные металлы.
При изготовлении данной конструкции применяются технологии виртуального моделирования и фрезеровки, что позволяет достичь небольшой толщины пластины по сравнению с другими вариантами. Также эту систему советуют использовать в сложных случаях искривления прикуса.
Плоская брекет-система Forestadent 2d
Эта система предлагает значительное удобство, так как адаптация к ней занимает всего 2-3 недели. Она подходит для пациентов с легкими нарушениями прикуса. Это самолигирующие брекеты, обладающие высокой эластичностью, что обеспечивает минимальное трение по отношению к зубам.
Данная система способствует активизации мышц, окружающих зубы, что позволяет выравниванию происходить частично естественным образом. Брекеты Forestadent 2d отличаются доступной ценой и коротким сроком изготовления.
Металлические брекеты Stb
Одним из главных достоинств данной системы является быстрое привыкание и поддержание ясной дикции. Это связано с небольшим весом и компактными размерами металлических пластин. Конструктивные особенности Stb способствуют снижению давления на зубы.
Уход за зубами не представляет особых трудностей, а процесс питания не вызывает значительных проблем.
Противопоказания к установке лингвальных пластин
Несмотря на высокую эффективность и удобство «лингвалок», как и любые другие методы лечения, они имеют свои ограничения:
- заболевания зубов и десен, включая гингивит, пародонтит и пародонтоз;
- бруксизм (скрип зубов во время сна);
- аллергия на материалы, используемые в брекет-системах;
- нарушения в работе височно-челюстного сустава;
- скученность зубов, короткие зубы и тонкие коронки;
- возраст до 11 лет.
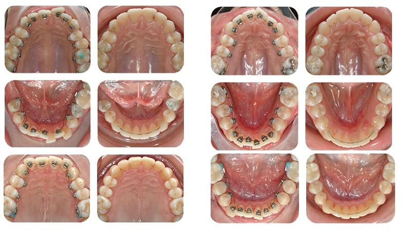
Лингвальные брекеты — фото до и после
Сколько стоят лингвальные брекеты
Следует отметить, что установка внутренних брекетов не является недорогой процедурой. Стоимость зависит от сложности конкретного случая, уровня квалификации врача и, конечно, выбранной клиники.
Предлагаем вам ознакомиться с примерными ценами на установку брекетов в медицинских учреждениях Москвы:
- изготовление пластины для одного ряда зубов – примерно 60 000 рублей;
- установка кронштейнов на один ряд – около 20 000 рублей;
- промежуточные осмотры у ортодонта – примерно 5000 рублей за визит;
- снятие системы с одного ряда – около 4000 рублей;
- изготовление и установка ретейнеров – от 6000 рублей.
https://youtube.com/watch?v=VnOU26xrdC8
Преимущества лингвальных брекетов
Лингвальные брекеты представляют собой одну из самых современных и эстетически привлекательных систем ортодонтического лечения. Они устанавливаются на внутренней стороне зубов, что делает их практически незаметными для окружающих. Рассмотрим основные преимущества, которые делают лингвальные брекеты популярным выбором среди пациентов.
1. Эстетика: Одним из главных преимуществ лингвальных брекетов является их невидимость. Поскольку они располагаются на внутренней поверхности зубов, пациенты могут не переживать о внешнем виде своей улыбки во время лечения. Это особенно важно для людей, работающих в сферах, где внешний вид имеет значение, таких как бизнес или публичные выступления.
2. Индивидуальная настройка: Лингвальные брекеты изготавливаются индивидуально для каждого пациента. Это позволяет достичь максимальной точности в коррекции зубного ряда и обеспечивает более комфортное ношение. Современные технологии, такие как 3D-моделирование, позволяют создать брекеты, идеально подходящие к анатомии зубов пациента.
3. Эффективность лечения: Лингвальные брекеты обеспечивают высокую эффективность в исправлении различных аномалий прикуса и зубного ряда. Они способны справляться с такими проблемами, как скученность зубов, неправильный прикус и другие ортодонтические дефекты. В некоторых случаях лечение с помощью лингвальных брекетов может быть даже более эффективным, чем с использованием традиционных брекетов.
4. Комфорт: Хотя первоначальный период адаптации к лингвальным брекетам может быть несколько сложным, многие пациенты отмечают, что со временем они становятся более комфортными в ношении. Современные материалы, используемые для изготовления лингвальных брекетов, позволяют минимизировать дискомфорт и раздражение слизистой оболочки рта.
5. Удобство в уходе: Несмотря на то, что лингвальные брекеты требуют особого внимания в уходе, их установка не препятствует нормальной гигиене полости рта. Пациенты могут продолжать чистить зубы и использовать зубную нить, хотя может потребоваться дополнительное время и усилия для тщательной очистки.
6. Подходят для всех возрастов: Лингвальные брекеты подходят как детям, так и взрослым. Это делает их универсальным решением для людей разных возрастных групп, которые хотят исправить свои зубы без ущерба для внешнего вида.
Таким образом, лингвальные брекеты представляют собой эффективное и эстетически привлекательное решение для ортодонтического лечения. Их преимущества делают их отличным выбором для тех, кто ценит красоту своей улыбки и хочет получить качественный результат без видимых конструкций на зубах.
Недостатки и возможные осложнения
Лингвальные брекеты, несмотря на свои многочисленные преимущества, имеют и ряд недостатков и возможных осложнений, о которых стоит знать перед началом ортодонтического лечения.
Во-первых, одним из основных недостатков лингвальных брекетов является их высокая стоимость. Из-за сложности производства и установки, а также необходимости индивидуального подхода к каждому пациенту, цена на лингвальные брекеты значительно выше, чем на традиционные. Это может стать препятствием для многих пациентов, желающих исправить прикус.
Во-вторых, лингвальные брекеты могут вызывать дискомфорт и болезненные ощущения, особенно в первые дни после установки. Поскольку они располагаются на внутренней стороне зубов, пациенты могут испытывать раздражение языка и слизистой оболочки рта. Это может привести к временным трудностям в разговоре и при приеме пищи.
Кроме того, из-за расположения брекетов на языке, их чистка может быть более сложной задачей. Пациенты должны уделять особое внимание гигиене полости рта, чтобы избежать накопления налета и развития кариеса. Неправильный уход может привести к осложнениям, таким как воспаление десен или образование зубного камня.
Также стоит отметить, что лингвальные брекеты могут требовать более длительного времени на привыкание. Пациенты могут испытывать трудности с произношением некоторых звуков, что может вызвать временные проблемы в общении. Однако, как правило, эти проблемы исчезают по мере привыкания к брекетам.
Наконец, в редких случаях могут возникать осложнения, такие как аллергические реакции на материалы, из которых изготовлены брекеты, или необходимость в повторной коррекции из-за недостаточной эффективности лечения. Поэтому важно тщательно выбирать ортодонта и следовать всем его рекомендациям в процессе лечения.
Таким образом, несмотря на свои преимущества, лингвальные брекеты имеют и недостатки, которые необходимо учитывать при выборе метода ортодонтического лечения. Перед началом лечения рекомендуется проконсультироваться с квалифицированным специалистом, который поможет взвесить все «за» и «против» и выбрать оптимальный вариант для каждого конкретного случая.
Уход за лингвальными брекетами
Уход за лингвальными брекетами требует особого внимания и тщательности, так как они расположены на внутренней стороне зубов и могут быть менее заметны, но это не означает, что за ними не нужно ухаживать. Правильный уход поможет избежать проблем с гигиеной полости рта и обеспечит эффективность ортодонтического лечения.
Первым шагом в уходе за лингвальными брекетами является регулярная и тщательная чистка зубов. Рекомендуется использовать зубную щетку с мягкой щетиной и пасту с фтором. Чистить зубы следует не менее двух раз в день, уделяя особое внимание области вокруг брекетов. Для более эффективной очистки можно использовать электрическую зубную щетку, которая обеспечивает лучшее удаление налета.
Дополнительно, использование зубной нити или специальных межзубных щеток поможет удалить остатки пищи и налет из труднодоступных мест. Это особенно важно, так как лингвальные брекеты могут создавать дополнительные трудности при чистке, и недостаточная гигиена может привести к кариесу или воспалению десен.
Также рекомендуется использовать ополаскиватель для рта, содержащий антисептические компоненты. Это поможет уменьшить количество бактерий в полости рта и предотвратить воспалительные процессы. Ополаскиватель следует использовать после чистки зубов, чтобы обеспечить дополнительную защиту.
Важно помнить, что некоторые продукты могут повредить лингвальные брекеты или затруднить их чистку. Избегайте жесткой и липкой пищи, которая может прилипать к брекетам или вызывать их повреждение. Если вы употребляете такие продукты, обязательно очищайте зубы сразу после еды.
Регулярные визиты к ортодонту также играют ключевую роль в уходе за лингвальными брекетами. Специалист сможет оценить состояние брекетов, провести профессиональную чистку и дать рекомендации по уходу. Обычно такие визиты рекомендуются каждые 4-6 недель, в зависимости от индивидуального плана лечения.
Наконец, важно помнить о том, что ношение лингвальных брекетов может вызывать дискомфорт, особенно в начале лечения. Однако это временное явление, и со временем вы привыкнете к ним. Если дискомфорт становится слишком сильным или возникают другие проблемы, такие как повреждение брекетов, обязательно обратитесь к вашему ортодонту для получения консультации и помощи.




