Уздечка верхней губы у ребенка — важный анатомический элемент, влияющий на развитие речевых навыков, кормление и общее здоровье. В статье рассмотрим короткую уздечку, показания для ее коррекции или удаления, а также различные процедуры, их особенности и реабилитацию после вмешательства. Эта информация поможет родителям понять, как уздечка влияет на жизнь ребенка и какие шаги можно предпринять для улучшения ситуации.
Чем грозит патология развития уздечки
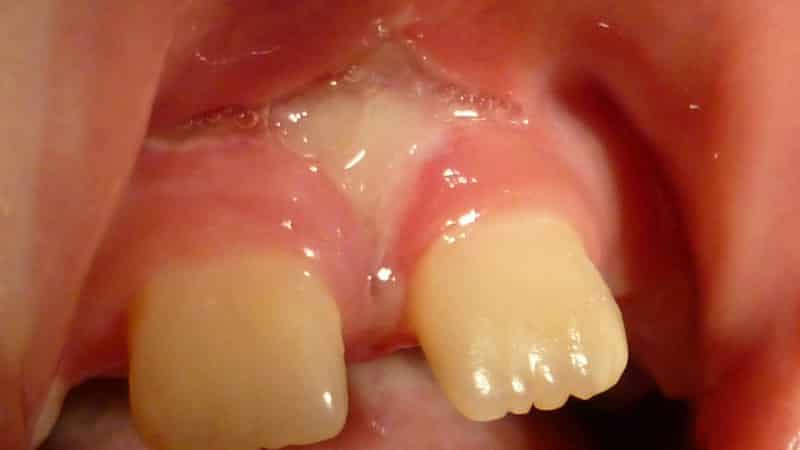
У маленьких детей часто наблюдается образование щели между передними зубами. Обычно это связано с недостаточной длиной уздечки верхней губы. Чтобы сблизить зубы и сделать улыбку более эстетичной, необходимо установить соответствующую ортопедическую конструкцию (пластинки, брекеты и т.д.). Однако перед этим требуется корректировка уздечки верхней губы.
Какие трудности могут возникнуть у ребенка при укороченной или слишком плотной слизистой складке:
- формируется межзубная диастема (промежуток, щель);
- ребенок не может широко открывать губы, что делает улыбку асимметричной, менее выразительной и неэстетичной;
- могут возникнуть проблемы с речью, искажение произношения отдельных звуков;
- слизистая складка тянет межзубный сосочек, что может привести к неправильному прикусу (передние зубы сильно выступают вперед).
Наиболее распространенной проблемой является низкое крепление складки верхней или нижней губы. Если не провести коррекцию уздечки в этом случае, могут возникнуть следующие осложнения:
- затруднения с сосанием у младенцев;
- речевые нарушения, патологии развития органов речи;
- сложности при жевании пищи;
- образование карманов в деснах, куда попадают остатки пищи, бактериальный налет и зубной камень, что может привести к воспалительным процессам и гнойным осложнениям;
- обнажение корней зубов;
- повышенная чувствительность эмали;
- развитие заболеваний пародонта (пародонтоз, пародонтит, гингивит и др.);
- нестабильность зубов, образование промежутков между ними.
Кроме того, широкая уздечка под верхней губой может способствовать накоплению патологической микрофлоры, налета, камня и остатков пищи в зубах и между ними. В таких случаях профессиональная гигиена ротовой полости будет необходима каждые 2-3 месяца.
Врачи отмечают, что подрезание уздечки верхней губы у детей является процедурой, которая может быть необходима в ряде случаев. Основные показания включают затруднения в кормлении, проблемы с речью и эстетические недостатки. Специалисты подчеркивают, что такая операция должна проводиться только после тщательной оценки состояния ребенка и консультации с педиатром и стоматологом. Важно учитывать, что уздечка может оказывать влияние на развитие зубочелюстной системы. В большинстве случаев процедура проходит быстро и с минимальными осложнениями. Однако, как и любая хирургическая манипуляция, она требует внимательного подхода и соблюдения всех рекомендаций врачей в послеоперационный период.
https://youtube.com/watch?v=yRNb9YMcuns
Показания к процедуре
При наличии патологии развития слизистой складки существует несколько методов лечения, среди которых наиболее распространены лазерная и традиционная пластика, а также хирургическое иссечение. Только хирургическое вмешательство может устранить этот дефект, так как он не поддается лечению с помощью диет, физиотерапии, иглоукалывания или медикаментов.
Если вы заметили у ребенка короткую складку верхней губы, рекомендуется обратиться к следующим специалистам: неонатологу, ортодонту, ортопеду, логопеду и пародонтологу. Дантист или хирург не могут установить объективные показания для проведения операции.
Неонатолог может назначить операцию, если дефект слизистой мешает нормальному грудному вскармливанию младенца. Обычно это связано с патологией верхней губы, которая активно участвует в сосании. В некоторых случаях неонатолог может самостоятельно провести иссечение уздечки или направить ребенка к детскому хирургу.
Логопед может выявить короткую уздечку верхней губы у ребенка, если у него наблюдаются проблемы с речью и недоразвитие органов артикуляции. Чаще всего этот диагноз ставится, когда малыш неправильно произносит гласные звуки «о, у» и другие, в которых задействованы губы. К сожалению, логопед может обнаружить нарушение только на более поздних этапах (в дошкольном или школьном возрасте). В этом случае простое подрезание не решит проблему, и потребуется полноценное хирургическое вмешательство.
Необходимость подрезания уздечки верхней губы у детей также может определить ортопед, ортодонт или пародонтолог.
Патология прикрепления губы к челюстной кости может привести к нарушениям прикуса, изменению положения зубов и их подвижности. Если не провести процедуру в детском возрасте, лечение в будущем может оказаться длительным, неприятным и затратным.
| Аспект | Описание | Важность |
|---|---|---|
| Показания к подрезанию | Затруднения при грудном вскармливании, диастема (щель между передними зубами), речевые нарушения, частые воспаления десен. | Высокая, влияет на развитие ребенка. |
| Возраст проведения | Оптимально в младенчестве (до 6 месяцев) или в дошкольном возрасте (3-5 лет). | Средняя, раннее вмешательство минимизирует проблемы. |
| Методы проведения | Хирургический (скальпель), лазерный (лазерная френулопластика). | Высокая, лазерный метод менее травматичен. |
| Подготовка к процедуре | Консультация педиатра, стоматолога, анестезиолога (при необходимости). | Средняя, обеспечивает безопасность и эффективность. |
| Обезболивание | Местная анестезия (спрей, гель), общая анестезия (для маленьких детей или при тревожности). | Высокая, обеспечивает комфорт ребенка. |
| Послеоперационный период | Рекомендации по уходу за полостью рта, диета, упражнения для губы. | Высокая, предотвращает осложнения и рецидивы. |
| Возможные осложнения | Кровотечение, инфекция, отек, рубцевание, рецидив. | Средняя, встречаются редко, но требуют внимания. |
| Преимущества процедуры | Улучшение грудного вскармливания, коррекция прикуса, улучшение дикции, профилактика заболеваний десен. | Высокая, значительно улучшает качество жизни. |
| Альтернативы | В некоторых случаях – наблюдение, логопедические упражнения. | Низкая, при выраженных показаниях подрезание необходимо. |
| Стоимость | Зависит от клиники, метода, анестезии. | Средняя, важно уточнять заранее. |
Когда следует проводить операцию
Оптимальным периодом для проведения хирургического вмешательства считается возраст 5-6 лет. Несмотря на сложности, которые могут возникнуть при грудном вскармливании, коррекцию не следует проводить детям младше 4 лет. Если врач рекомендует провести полноценную операцию грудному ребенку, стоит задуматься о консультации в другой медицинской организации, так как раннее вмешательство в данной области может привести к различным негативным последствиям.
Подрезание слизистой рекомендуется начинать только после того, как постоянные центральные зубы полностью прорезались, а вторые резцы находятся на стадии появления. Поэтому большинство специалистов предпочитают назначать операцию в школьном возрасте.
Какие осложнения могут возникнуть при коррекции или удалении уздечки верхней губы у детей младше 5 лет:
- Формирование челюсти продолжается, что может потребовать повторного вмешательства в будущем;
- Верхняя губа младенца выполняет лишь треть своих функций (малыш не говорит, не жует твердую пищу и т.д.), и изменение структуры слизистой может привести к рубцеванию ткани, что в дальнейшем может тянуть губу и вызывать дискомфорт, как это происходит с обычной уздечкой;
- Операция в ротовой полости без постоянных зубов проводится практически «вслепую», что может привести к повреждению зачатков коренных зубов, нарушению их питания и возникновению воспалительных и патологических процессов в ротовой полости.
https://youtube.com/watch?v=hJR35swDjxY
Виды процедуры
Наиболее часто встречающимися методами коррекции уздечки у детей являются хирургическое вмешательство (подрезание, удаление, изменение положения и т.д.) и пластические операции, включая лазерные технологии.
-
Хирургическое вмешательство. Эта процедура осуществляется с использованием скальпеля. Анестезиолог проводит местную анестезию в нужной области, после чего врач удаляет часть слизистой, что позволяет изменить длину или ширину уздечки. Небольшое кровотечение во время операции считается нормальным. Обычно вмешательство занимает не более получаса. После процедуры в области верхней или нижней губы может возникнуть легкий отек, кровоточивость, болезненность и дискомфорт при разговоре, жевании, зевании или кашле.
Заживление раны происходит в течение 10 дней, в течение которых маленький пациент должен соблюдать специальную диету (жидкая пища комнатной температуры) и уделять особое внимание гигиене ротовой полости (антисептические ванночки, аппликации, полоскания травами и содово-соляным раствором). После заживления остается небольшой рубец, который со временем рассасывается. Обычно такие процедуры выполняют хирурги-стоматологи или пародонтологи.
-
Пластика. Этот метод позволяет подрезать уздечку верхней губы у ребенка с минимальным использованием анестезии. Он включает три основные процедуры:
- френулопластика (изменение крепления и положения уздечки);
- френэктомия (иссечение слизистой складки);
- френотомия (рассечение складки).
Узкая уздечка представляет собой прозрачную или полупрозрачную перегородку, которая не прикрепляется к краю альвеолярного отростка. В этом случае уздечка рассекается поперек, после чего накладываются швы.
При широкой уздечке врач натягивает ее и делает надрез вдоль гребня, что также включает иссечение мягких тканей, в том числе межзубного сосочка центральных зубов.
Пластические операции проводятся в амбулаторных условиях и занимают не более 20 минут. Швы после процедуры рассасываются самостоятельно.
-
Подрезание уздечки губы лазером. Этот метод пластики позволяет избежать кровотечений во время операции, так как лазерные лучи «запаивают» иссеченные сосуды. Анестезия в данном случае может быть минимальной, с использованием охлаждающего и обезболивающего геля, который действует мгновенно.
После применения этой современной методики не возникает отеков, болезненности и рубцов, а сама процедура занимает всего около 5 минут. Лазерные лучи, действуя при высоких температурах, обеззараживают рану, что способствует более быстрому заживлению. Отсутствие рубца исключает необходимость наложения швов.
Применение лазерной терапии позволяет разделить визит к врачу на несколько сеансов, что снижает стресс для ребенка и делает процедуру более комфортной и быстрой.
Реабилитация после процедуры
Восстановление после хирургического вмешательства или пластической операции занимает несколько дней.
В первые часы после процедуры у ребенка может наблюдаться дезориентация, вызванная отходом анестезии, что может сопровождаться неприятными ощущениями и дискомфортом. Задача родителей – способствовать быстрому заживлению раны, для чего необходимо придерживаться нескольких простых рекомендаций:
- обеспечивать регулярную и качественную гигиену ротовой полости ребенка;
- в течение нескольких дней готовить специальные блюда (жидкие, слизистые, кашеобразные, суфле, фарш) и подавать продукты и напитки только при комнатной температуре;
- через несколько дней посетить врача для осмотра;
- выполнять с ребенком миогимнастику, которая поможет развить жевательные и мимические мышцы.
В первые дни после операции ребенок может испытывать дезориентацию из-за изменения амплитуды и силы движений языка. Также может измениться его дикция, поэтому важно тренировать с ним правильное произношение звуков.
В среднем процесс реабилитации занимает до недели. За 4-5 дней раны заживают, и дискомфорт при жевании проходит.
Противопоказания к проведению пластики
В данной статье мы рассмотрели процесс подрезания уздечки верхней губы. Эта процедура представляет собой хирургическое вмешательство, которое может вызвать стресс для организма.
Неудивительно, что существуют определенные противопоказания для проведения этой операции:
- хронические и острые заболевания ротовой полости, включая воспалительные, вирусные, грибковые и инфекционные инфекции;
- остеомиелит;
- нарушения свертываемости крови;
- наличие кариеса на передних зубах с осложнениями;
- онкологические заболевания и химиотерапия;
- облучение области шеи и головы;
- дисморфофобия;
- психические расстройства;
- заболевания нервной системы и церебральные нарушения;
- болезни крови (гемофилия, анемия, лейкоз и другие);
- системные заболевания в активной фазе;
- коллагеноз и предрасположенность к образованию рубцов.
Процедура подрезания уздечки чаще всего проводится у маленьких детей и помогает предотвратить множество физических и эстетических проблем в будущем. Соблюдение гигиенических норм и рекомендаций врача позволит быстро и с минимальным дискомфортом пройти через эту процедуру, обеспечивая ребенку здоровое и полноценное будущее.
https://youtube.com/watch?v=5gr5HpzHGr8
Подготовка к операции
Первым шагом в подготовке является консультация с врачом-стоматологом или хирургом, который специализируется на детской стоматологии. В ходе консультации врач проведет осмотр ротовой полости ребенка, оценит степень выраженности уздечки и определит необходимость хирургического вмешательства. Также врач объяснит родителям все аспекты процедуры, включая возможные риски и осложнения.
Важно обсудить с врачом все медицинские истории ребенка, включая наличие аллергий, хронических заболеваний или других состояний, которые могут повлиять на операцию. Это поможет врачу разработать индивидуальный план подготовки и проведения операции.
Перед операцией родителям рекомендуется подготовить ребенка психологически. Объясните ему, что будет происходить, используя простые и понятные слова. Можно рассказать о том, что операция пройдет быстро и безболезненно, а после нее ребенок сможет есть и говорить легче. Поддержка и уверенность родителей помогут снизить уровень тревожности у ребенка.
Также важно обратить внимание на физическую подготовку. За несколько дней до операции рекомендуется ограничить потребление сладостей и жесткой пищи, чтобы снизить риск возникновения осложнений во время анестезии. В день операции ребенку не следует давать пищу и питье за 6-8 часов до вмешательства, если это не оговорено врачом.
В день операции родителям следует прийти в медицинское учреждение заранее, чтобы успеть пройти все необходимые процедуры, такие как заполнение документов и подготовка к анестезии. Необходимо иметь при себе все медицинские документы ребенка, включая результаты анализов и выписки из истории болезни.
После операции важно следовать рекомендациям врача по уходу за ротовой полостью и наблюдению за состоянием ребенка. Это поможет избежать возможных осложнений и обеспечит быстрое восстановление.
Осложнения и риски после процедуры
Подрезание уздечки верхней губы, или френотомия, является распространенной процедурой, которая может быть необходима в случае наличия короткой уздечки, что может привести к различным проблемам, таким как затрудненное кормление, нарушение речи или эстетические недостатки. Однако, как и любая медицинская процедура, она может сопровождаться определенными осложнениями и рисками.
Одним из наиболее распространенных осложнений является кровотечение. После подрезания уздечки может возникнуть небольшое кровотечение, которое обычно останавливается самостоятельно. Тем не менее, в редких случаях может потребоваться дополнительное вмешательство для остановки кровотечения, особенно если оно обильное или продолжается длительное время.
Инфекция также является потенциальным риском. В месте разреза может развиться инфекция, что может привести к воспалению, боли и даже образованию гноя. Чтобы минимизировать риск инфекции, важно следовать рекомендациям врача по уходу за раной и соблюдать гигиену.
Еще одним возможным осложнением является образование рубца. В некоторых случаях после процедуры может образоваться рубец, который может быть заметен и вызывать дискомфорт. Это может потребовать дополнительного лечения или даже повторной процедуры для коррекции.
Некоторые дети могут испытывать временные трудности с кормлением или речью после процедуры. Это может быть связано с отеком или болевыми ощущениями в области разреза. Обычно эти симптомы проходят в течение нескольких дней, но в редких случаях могут потребоваться дополнительные консультации с логопедом или педиатром.
Важно отметить, что большинство осложнений после подрезания уздечки верхней губы являются редкими и могут быть успешно управляемыми. Тем не менее, родителям следует быть внимательными к любым изменениям в состоянии ребенка и обращаться за медицинской помощью при возникновении подозрительных симптомов, таких как сильная боль, длительное кровотечение или признаки инфекции.
Перед проведением процедуры важно обсудить все возможные риски и осложнения с врачом, чтобы быть полностью информированным и подготовленным к возможным последствиям. Это поможет родителям принять обоснованное решение о необходимости подрезания уздечки и обеспечить наилучший уход за ребенком после процедуры.
Психологические аспекты и поддержка ребенка
Подрезание уздечки верхней губы у детей может вызывать не только физические, но и психологические последствия. Важно понимать, что любое медицинское вмешательство, особенно у детей, требует внимательного подхода и поддержки со стороны родителей и специалистов.
Во-первых, дети могут испытывать страх и тревогу перед процедурой. Это связано с неизвестностью и возможной болью. Поэтому важно заранее объяснить ребенку, что будет происходить, используя доступные и понятные слова. Поддержка родителей в этот момент играет ключевую роль. Они должны быть рядом, чтобы успокоить и поддержать ребенка, создавая атмосферу доверия и безопасности.
После процедуры ребенок может испытывать дискомфорт и боль, что также может повлиять на его эмоциональное состояние. Важно следить за его реакцией и быть готовыми оказать эмоциональную поддержку. Родители могут помочь ребенку справиться с неприятными ощущениями, отвлекая его на интересные занятия или игры, а также обеспечивая комфортные условия для восстановления.
Кроме того, важно учитывать, что изменения в ротовой полости могут повлиять на речь и привычки ребенка. В этом случае может потребоваться консультация логопеда, который поможет скорректировать возможные проблемы с произношением. Поддержка со стороны специалистов поможет ребенку адаптироваться к новым условиям и избежать комплексов, связанных с изменениями в его внешности или способностях.
Не менее важным аспектом является общение с другими детьми. Иногда дети могут столкнуться с насмешками или непониманием со стороны сверстников. Родителям следует подготовить ребенка к таким ситуациям, объяснив, что изменения в его ротовой полости не делают его «другим» или «менее хорошим». Поддержка со стороны семьи и друзей поможет ребенку чувствовать себя уверенно и комфортно в социальной среде.
В заключение, психологические аспекты подрезания уздечки верхней губы у детей требуют внимательного подхода и поддержки. Родители должны быть готовы оказать эмоциональную помощь, а также взаимодействовать с медицинскими и образовательными специалистами для обеспечения наилучшего результата для своего ребенка. Создание безопасной и поддерживающей среды поможет ребенку легче перенести процедуру и адаптироваться к изменениям.





