Рецессия десны — распространенная стоматологическая проблема, способная привести к серьезным последствиям, включая потерю зубов. В статье рассмотрим методы лечения рецессии десны, включая домашние и народные средства, а также виды и симптомы этой патологии. Понимание причин рецессии и своевременное лечение помогут предотвратить прогрессирование заболевания и сохранить здоровье десен.
Причины заболевания
Рецессия десен – это состояние, при котором корни зубов становятся видимыми, что вызывает как физический, так и психологический дискомфорт у пациента. Это заболевание может начаться с одного зуба и постепенно затрагивать другие, причем нижняя челюсть страдает от него значительно чаще, чем верхняя.
Если не предпринять меры, это может привести к изменению положения зубов, их подвижности, образованию гнойных капсул на мягких тканях и, в конечном итоге, к утрате зубов.
Давайте рассмотрим причины, способствующие развитию этого недуга.
- Наличие зубного камня и микробного налета. Неправильная гигиена полости рта и отсутствие регулярных визитов к стоматологу приводят к накоплению значительных объемов твердых отложений на эмали. Если мягкие ткани при этом тонкие, зубной камень может вызвать смещение околозубной слизистой.
- Неправильная и нерегулярная гигиена. Нерегулярная чистка зубов способствует образованию налета и камня, о которых мы говорили ранее. Неправильные техники чистки (слишком интенсивные, грубые движения) могут повредить десны, вызывая микротравмы и кровоточивость, что увеличивает риск заболеваний. Также следует осторожно использовать флоссы, межзубные ершики и зубочистки, так как они могут травмировать слизистую.
- Механические повреждения в повседневной жизни. Рецессия десен зависит от состояния и структуры слизистой ткани. Если человек часто использует в рту посторонние предметы (например, колпачки, крышки, ногти) или злоупотребляет жесткой пищей, это может привести к быстрому износу нежной ткани, потере упругости эпителия и, как следствие, видимости корней зубов.
- Травмы. Десны могут быть повреждены в результате драки (удары в челюсть, ушибы) или падений, а также других травм (вывихи, переломы височно-челюстного сустава). Микроразрывы в деснах ослабляют их, увеличивая риск развития заболеваний. Травмы также могут возникнуть из-за неправильно подобранных протезов, имплантов, брекетов или плохо обработанных пломб.
- Ортодонтические процедуры. Лечение некоторых стоматологических заболеваний может привести к осложнениям, таким как опущение десен, особенно после механического воздействия. Это может произойти, если слизистая повреждена шлифовальными дисками или бормашиной, особенно при лечении кариеса.
- Воздействие мышьяка. В стоматологии мышьяк используется в небольших дозах для лечения зубов. Однако его попадание на десны может вызвать повреждение тканей и увеличить риск заболеваний.
- Анатомические особенности полости рта. Укороченная или высоко расположенная уздечка губы может быть одной из причин рецессии десен. Заболевание также может быть вызвано массивным альвеолярным отростком или истонченной кортикальной костью. К анатомическим факторам, повышающим риск, относятся неправильный прикус и небольшая глубина преддверия полости рта.
- Воспалительные и инфекционные процессы в слизистой. Заболевания, такие как пародонтоз, пародонтит, гингивит, кисты и абсцессы, делают десны более уязвимыми к внешним и внутренним факторам, что приводит к смещению эпителиальной ткани.
Врачи-стоматологи отмечают, что лечение рецессии десны требует комплексного подхода. Основное внимание уделяется выявлению причин, таких как пародонтит, неправильная гигиена полости рта или травмы. Специалисты подчеркивают важность ранней диагностики, так как запущенные случаи могут привести к потере зубов. В зависимости от степени рецессии, методы лечения могут варьироваться от консервативных, таких как профессиональная чистка и обучение правильной гигиене, до хирургических вмешательств, например, пересадки десневой ткани. Врачи также рекомендуют регулярные профилактические осмотры, чтобы контролировать состояние десен и предотвратить дальнейшее ухудшение. Важно, чтобы пациенты понимали, что своевременное обращение к специалисту может значительно улучшить прогноз и сохранить здоровье зубов на долгие годы.
https://youtube.com/watch?v=3r9EE3-zKrI
Симптомы заболевания
Устранение рецессии десны на имплантате или здоровом зубе возможно после определения стадии заболевания и основных симптомов.
На ранних этапах выявить проблему визуально довольно сложно, так как десна опускается всего на несколько миллиметров, что может происходить без явных признаков.
К числу первых симптомов, указывающих на развитие патологии, относятся:
- появление кариеса и других стоматологических заболеваний в области опущенной десны, особенно кариеса пришеечной и корневой зон;
- увеличение чувствительности эмали к температурным и химическим воздействиям;
- полное или частичное обнажение корня зуба;
- заметное снижение уровня десны;
- болезненные ощущения и дискомфорт во время еды.
| Метод лечения | Описание | Преимущества и недостатки |
|---|---|---|
| Нехирургические методы | ||
| Профессиональная гигиена полости рта | Удаление зубного налета и камня, обучение правильной чистке зубов. | Преимущества: Неинвазивный, предотвращает дальнейшее прогрессирование. Недостатки: Не восстанавливает уже утраченные ткани. |
| Шинирование зубов | Стабилизация подвижных зубов для уменьшения нагрузки на десну. | Преимущества: Уменьшает травматизацию десны. Недостатки: Не устраняет причину рецессии, временное решение. |
| Коррекция окклюзии | Шлифовка зубов для устранения травматического прикуса. | Преимущества: Устраняет одну из причин рецессии. Недостатки: Требует точной диагностики, может быть длительным процессом. |
| Использование специальных зубных паст и ополаскивателей | Средства с противовоспалительными и регенерирующими компонентами. | Преимущества: Дополнительная поддержка, улучшение состояния десен. Недостатки: Не является основным методом лечения, эффект ограничен. |
| Хирургические методы | ||
| Свободный десневой трансплантат | Пересадка участка десны с нёба или другой донорской зоны на область рецессии. | Преимущества: Эффективно закрывает рецессию, укрепляет десну. Недостатки: Болезненность в донорской зоне, возможны эстетические несоответствия. |
| Соединительнотканный трансплантат | Пересадка соединительной ткани из-под слизистой оболочки нёба. | Преимущества: Лучший эстетический результат, меньше болезненность в донорской зоне. Недостатки: Более сложная техника, требует опытного хирурга. |
| Коронально смещенный лоскут | Перемещение собственной десны пациента на область рецессии. | Преимущества: Отсутствие донорской зоны, хороший эстетический результат. Недостатки: Требует достаточного объема собственной десны, не всегда применим. |
| Латерально смещенный лоскут | Перемещение десны с соседнего зуба на область рецессии. | Преимущества: Отсутствие донорской зоны, хороший эстетический результат. Недостатки: Ограниченное применение, может вызвать рецессию на донорском зубе. |
| Направленная тканевая регенерация | Использование барьерных мембран для стимуляции роста костной и десневой ткани. | Преимущества: Восстановление утраченных тканей. Недостатки: Более сложная процедура, высокая стоимость. |
| Вестибулопластика | Углубление преддверия полости рта для увеличения объема прикрепленной десны. | Преимущества: Увеличивает объем десны, улучшает гигиену. Недостатки: Не всегда закрывает рецессию полностью, может быть болезненной. |
Виды патологии
По степени охвата ротовой полости выделяют следующие типы рецессии:
- генерализированная (затрагивает весь зубной ряд или определенную группу зубов);
- локальная (опущение десны на одном зубе).
В зависимости от тяжести заболевания различают легкую стадию (опущение до 3 мм), среднюю (3-5 мм) и тяжелую (более 0,5 см).
В зависимости от причин возникновения выделяют три типа недуга.
- Травматическая рецессия. Она возникает из-за бытовых травм, вредных привычек, неаккуратной гигиены полости рта, а также ношения брекетов, имплантов и протезов. К этому типу также относятся повреждения, полученные в результате ударов, падений, ушибов, вывихов и переломов челюсти.
- Симптоматическая. Опущение десен происходит как следствие стоматологических заболеваний десен и недостаточной гигиены.
- Физиологическая. Этот тип наблюдается у людей старше 50-60 лет и связан с естественными процессами старения, а также износом периодонта и пародонта.
Наиболее распространенной является классификация рецессии десны по Миллеру.
Класс № 1. Включает мелкую узкую или широкую рецессию, которая не выходит за пределы слизисто-десневого соединения. Корни зуба остаются закрытыми.
Класс № 2. Характеризуется глубокой узкой или широкой рецессией, которая выходит за пределы десневого соединения. Корни зуба могут быть закрыты или частично открыты.
Класс № 3. В этом классе наблюдается глубокая и мелкая рецессия, при которой отмечается потеря интерпроксимальной кости, корни зубов открыты.
Класс № 4. Здесь также фиксируется потеря интерпроксимальной кости, межзубные сосочки находятся на уровне десны, корни зубов обнажены.
https://youtube.com/watch?v=GT-DPcOWypc
Лечение заболевания в условиях медицины
К сожалению, лечение рецессии десен без хирургического вмешательства часто оказывается неэффективным или даже невозможным. С помощью медикаментов можно временно замедлить прогрессирование заболевания или облегчить симптомы, однако устранить эстетические недостатки, возникающие из-за болезни, не удастся.
Рассмотрим наиболее действенные методы.
-
Метод лотерального лоскута. Этот подход применяется на ранних и средних стадиях заболевания, когда еще имеются участки здоровых тканей. Хирург-стоматолог накладывает лоскут на корни зубов, тем самым уменьшая рецессию на 1-2 мм. Преимущества: быстрая операция и короткий период восстановления. Недостаток: необходимость забирать лоскут-донор из здоровой области, что может вызывать дискомфорт у пациента. Кроме того, существует риск отторжения или неправильного приживления трансплантированной ткани, что может негативно сказаться на внешнем виде.
-
Нерезорбируемые мембраны. Это двухэтапная хирургическая процедура, заключающаяся в установке специальных жестких мембран на пораженные участки, которые удаляются после завершения лечения. Эффективность данного метода не слишком высока – удается восстановить лишь до 70% поврежденных тканей.
-
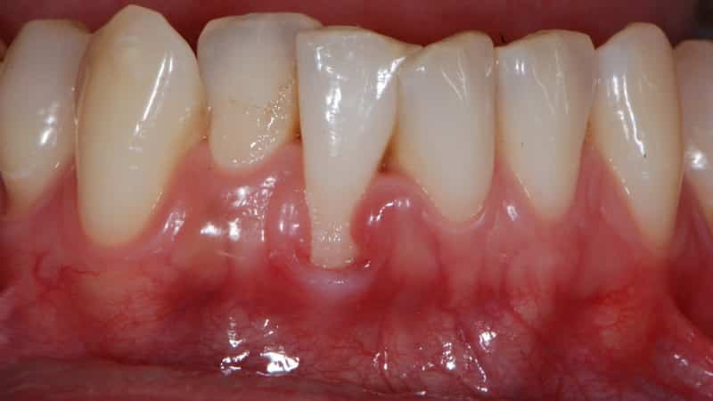
Консервативное лечение рецессии десен (см. фото выше). Этот метод направлен на восстановление состояния мягких тканей с использованием биологически активных и регенерирующих компонентов.
Специальные препараты на основе амелогенина и белковых ферментов способствуют естественному наращиванию здоровой ткани, закрывающей корни зубов и формирующей прочную и ровную эмаль.
Эффективность лечения десен с использованием коллагена демонстрирует хорошие результаты на ранних стадиях заболевания (когда корни еще не оголены). Этот компонент помогает остановить воспалительные и дегенеративные процессы в тканях, избегая хирургического вмешательства.
Лечение народными методами
Если вы не готовы к даже минимальным хирургическим вмешательствам и не хотите использовать дорогие медикаменты, вы можете рассмотреть варианты лечения рецессии десен в домашних условиях.
- Настойка прополиса и корней аира. Спиртовая настойка может быть использована для полоскания рта, а также для ванночек и аппликаций на пораженные десны. Она поможет уменьшить воспаление и остановить кровоточивость. Рекомендуется курс лечения на протяжении трех месяцев.
- Лечебные травы. Полоскания отварами и настоями трав могут дать заметный результат не ранее чем через полгода, и только на начальных стадиях заболевания. Для этого подойдут отвары зверобоя, календулы, мяты, ромашки, дубовой коры, липы, березовых почек, листьев земляники, черемухи и смородины.
- Аппликации с соками. Компрессы для десен способствуют быстрому поступлению активных веществ в ткани и ускоряют процесс регенерации. Используйте соки из ягод брусники, корня лопуха и свеклы.
- Продукты пчеловодства. Маточное молочко, воск, прополис и мед могут укрепить иммунитет десен и замедлить дегенеративные процессы. Попробуйте пожевать немного соды, положить в больной зуб горошину воска или прополиса, а также сделать медовый компресс, чтобы избавиться от проблемы опущения десен.
- Зеленый грецкий орех. Измельчите скорлупу и залейте кипятком, настаивайте 30 минут, затем используйте полученное средство для полоскания рта дважды в день и делайте аппликации на десны по 15 минут.
Имейте в виду, что народные средства могут служить лишь профилактикой и способны помочь предотвратить рецессию только на ранних стадиях.
Такое лечение требует терпения, занимает много времени и иногда может оказаться неэффективным.
Если врач диагностировал у вас опущение десен и предлагает хирургическое вмешательство, не стоит отказываться, так как это единственный способ навсегда избавиться от этого неприятного недуга.
https://youtube.com/watch?v=PnD4dC7xITs
Профилактика рецессии десны
Профилактика рецессии десны играет ключевую роль в поддержании здоровья полости рта и предотвращении серьезных стоматологических проблем. Рецессия десны — это состояние, при котором десна отступает от зуба, exposing корень зуба и увеличивая риск кариеса, чувствительности и других заболеваний. Чтобы избежать этого, важно следовать нескольким основным рекомендациям.
1. Правильная гигиена полости рта: Регулярная и тщательная чистка зубов — основа профилактики рецессии десны. Рекомендуется чистить зубы дважды в день с использованием зубной пасты, содержащей фтор. Не менее важным является использование зубной нити или межзубных щеток для удаления налета из труднодоступных мест между зубами.
2. Регулярные визиты к стоматологу: Профилактические осмотры у стоматолога не только помогают выявить проблемы на ранних стадиях, но и позволяют провести профессиональную чистку зубов. Это особенно важно для удаления зубного камня и налета, которые могут способствовать воспалению десен и их рецессии.
3. Правильная техника чистки зубов: Использование мягкой зубной щетки и правильная техника чистки могут значительно снизить риск повреждения десен. Чистка зубов должна проводиться мягкими круговыми движениями, избегая резких и агрессивных движений, которые могут привести к травмам десен.
4. Здоровое питание: Сбалансированное питание, богатое витаминами и минералами, особенно витаминами C и D, способствует укреплению десен. Избегание чрезмерного потребления сахара и кислых продуктов также поможет снизить риск заболеваний десен.
5. Отказ от вредных привычек: Курение и употребление табака негативно влияют на здоровье десен, снижая их способность к заживлению и увеличивая риск рецессии. Отказ от этих привычек может значительно улучшить состояние десен и общее здоровье полости рта.
6. Контроль за заболеваниями: Хронические заболевания, такие как диабет, могут увеличивать риск рецессии десны. Важно контролировать такие состояния и следовать рекомендациям врача для их управления.
Следуя этим рекомендациям, можно значительно снизить риск рецессии десны и сохранить здоровье зубов и десен на долгие годы. Профилактика — это всегда лучшее решение, чем лечение, поэтому стоит уделять внимание своему стоматологическому здоровью уже сегодня.
Рекомендации по уходу за полостью рта
Уход за полостью рта играет ключевую роль в профилактике и лечении рецессии десны. Правильная гигиена полости рта помогает предотвратить дальнейшее разрушение десен и зубов, а также способствует общему здоровью. Вот несколько рекомендаций, которые помогут поддерживать здоровье десен:
- Регулярная чистка зубов: Чистите зубы дважды в день с использованием фторсодержащей зубной пасты. Обратите внимание на технику чистки: используйте мягкую щетку и чистите зубы круговыми движениями, уделяя особое внимание линии десен.
- Использование зубной нити: Зубная нить помогает удалить налет и остатки пищи из труднодоступных мест между зубами и вдоль линии десен. Рекомендуется использовать зубную нить хотя бы один раз в день.
- Полоскание рта: Используйте антисептические ополаскиватели для рта, чтобы уменьшить количество бактерий и предотвратить воспаление десен. Выбирайте продукты, содержащие хлоргексидин или другие антисептики, которые помогут в борьбе с пародонтитом.
- Регулярные визиты к стоматологу: Посещайте стоматолога не реже двух раз в год для профессиональной чистки и осмотра. Это поможет выявить проблемы на ранних стадиях и предотвратить их развитие.
- Сбалансированное питание: Употребляйте продукты, богатые витаминами и минералами, особенно витамином C и кальцием, которые способствуют здоровью десен. Избегайте чрезмерного потребления сахара и кислых продуктов, которые могут способствовать образованию налета и кариеса.
- Отказ от курения: Курение негативно влияет на здоровье десен и может усугубить рецессию. Отказ от этой привычки значительно улучшит состояние десен и общее здоровье полости рта.
- Управление стрессом: Стресс может негативно сказаться на здоровье десен, поэтому важно находить способы его управления, такие как занятия спортом, медитация или хобби.
Следуя этим рекомендациям, вы сможете значительно улучшить состояние своих десен и предотвратить дальнейшую рецессию. Помните, что здоровье полости рта — это важная часть общего здоровья, и забота о деснах должна быть приоритетом в вашей повседневной жизни.
Психологические аспекты и влияние на качество жизни
Рецессия десны, или отступление десневой ткани от зуба, может оказывать значительное влияние не только на физическое здоровье, но и на психологическое состояние пациента. Многие люди, столкнувшиеся с этой проблемой, испытывают стресс, тревогу и даже депрессию, что в свою очередь может негативно сказаться на их качестве жизни.
Первоначально, рецессия десны может вызывать эстетические беспокойства. Уменьшение объема десны и обнажение корней зубов может привести к снижению уверенности в себе и самооценке. Люди могут избегать общения, улыбок и социальных взаимодействий, что приводит к изоляции и ухудшению психоэмоционального состояния.
Кроме того, физические симптомы, такие как чувствительность зубов, боль и дискомфорт, могут усиливать стресс и тревожность. Постоянное беспокойство о состоянии зубов и десен может стать источником хронического стресса, что в свою очередь может привести к проблемам с психическим здоровьем, таким как тревожные расстройства или депрессия.
Важно отметить, что рецессия десны может также повлиять на качество жизни в целом. Ограничения в питании из-за чувствительности зубов могут привести к недостатку необходимых питательных веществ, что негативно сказывается на общем состоянии здоровья. Кроме того, проблемы с жеванием могут привести к снижению удовольствия от еды, что также влияет на эмоциональное состояние.
Психологическая поддержка и профессиональная помощь могут сыграть ключевую роль в преодолении негативных последствий рецессии десны. Консультации с психологом или психотерапевтом могут помочь пациентам справиться с тревогой и стрессом, связанными с их состоянием. Кроме того, участие в группах поддержки может предоставить возможность обмена опытом и получения моральной поддержки от людей, столкнувшихся с аналогичными проблемами.
Таким образом, лечение рецессии десны должно включать не только физические аспекты, такие как стоматологические процедуры и гигиенические меры, но и внимание к психологическому состоянию пациента. Комплексный подход к лечению позволит не только улучшить здоровье десен, но и повысить качество жизни, восстановив уверенность в себе и эмоциональное благополучие.



