Установка брекетов — важный шаг к красивой улыбке, но правильный уход за ними критически важен для достижения результата. В статье рассмотрим основные аспекты гигиены, питания и использования специальных средств, которые помогут сохранить здоровье зубов и десен во время ортодонтического лечения. Обсудим возможные осложнения при недостаточном уходе и предложим советы от профессионалов для уверенного преодоления трудностей.
Уход за зубами с брекетами
Уход за зубами после установки брекетов потребует значительных изменений. Главной задачей станет правильная техника чистки зубов, для чего вам понадобятся специальные инструменты.
Помимо стандартной зубной щетки, вам потребуется щетка для брекетов, специальный флосс и ершик. Также важно использовать ополаскиватель для рта. Для этой цели идеально подойдет ирригатор, который поможет удалить остатки пищи под давлением воды.
После установки брекетов ваш стоматолог обязательно расскажет о всех аспектах ухода. Имейте в виду, что теперь вам нужно будет проводить гигиенические процедуры не дважды в день, а после каждого приема пищи.
Есть несколько важных моментов, которые стоит учитывать после установки брекетов:
- обычной щеткой следует очищать свободные пространства между зубами;
- область с элементами системы нужно обрабатывать специальной V-образной щеткой;
- остатки пищи тщательно удаляются с помощью однопучковой щетки;
- ершик предназначен для очистки межзубных промежутков и труднодоступных мест;
- суперфлосс эффективно обрабатывает межзубные пространства;
- чистка должна быть очень тщательной и занимать не менее десяти минут, уделяя внимание всем участкам;
- не забывайте о полосканиях, которые предотвращают накопление остатков пищи в конструкции;
- как минимум дважды в год рекомендуется проходить профессиональную чистку зубов.
Родители должны обучить детей правильному уходу за брекетами.
При использовании ершика движения должны осуществляться только по часовой стрелке. Одна насадка предназначена для использования не менее двух недель.
Врачи-ортодонты подчеркивают важность правильного ухода за брекетами для достижения желаемого результата лечения. Они рекомендуют тщательно чистить зубы не менее двух раз в день, используя мягкую зубную щетку и специальную зубную пасту. Важно уделять особое внимание участкам вокруг брекетов и проволоки, где скапливается налет. Использование зубной нити и ирригатора поможет удалить остатки пищи из труднодоступных мест. Также специалисты советуют избегать жесткой и липкой пищи, которая может повредить брекеты. Регулярные визиты к ортодонту для контроля за состоянием системы и коррекции при необходимости являются неотъемлемой частью успешного лечения. Правильный уход не только ускоряет процесс выравнивания зубов, но и способствует поддержанию здоровья полости рта.
https://youtube.com/watch?v=R0M0Ry3MhME
Как ухаживать за брекетами
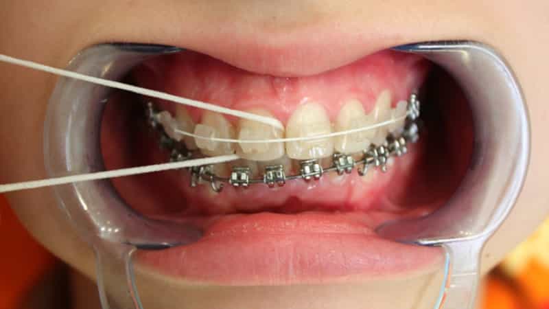
Перед тем как приступить к чистке зубов, важно сначала удалить отдельные элементы конструкции: тяги и резинки. Все компоненты следует тщательно очищать, уделяя особое внимание труднодоступным местам. Особенно важно не забывать про задние зубы. Для очистки пространства между зубами и устройствами используйте вертикальные движения вверх и вниз. Это поможет вам избавиться от накопившегося налета и остатков пищи.
Чтобы избежать повреждений конструкции, старайтесь избегать резких движений и сильного давления. Для чистки применяются специальные нити с жесткими кончиками, которые легко проходят под дугу и в межзубные промежутки.
После установки нити в нужную область, чистите зубы легкими движениями. Важно очищать не только зубы, но и десны.
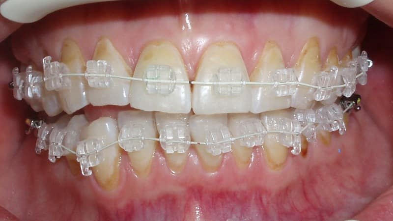
Существуют лигатурные и безлигатурные конструкции, уход за последними значительно проще. Если у вас ограничено время, лучше выбрать именно этот вариант.
| Аспект ухода | Рекомендации | Важные примечания |
|---|---|---|
| Гигиена полости рта | Чистите зубы после каждого приема пищи (минимум 3 раза в день) специальной ортодонтической щеткой. Используйте зубную нить или ирригатор для очистки межзубных промежутков и вокруг брекетов. | Недостаточная гигиена может привести к кариесу, воспалению десен и неприятному запаху изо рта. |
| Питание | Избегайте твердой, липкой и тягучей пищи (орехи, ириски, жвачка, сухарики, яблоки целиком). Разрезайте твердые продукты на мелкие кусочки. | Твердая пища может повредить брекеты, а липкая — застрять в них и затруднить чистку. |
| Регулярные визиты к ортодонту | Посещайте ортодонта согласно назначенному графику (обычно раз в 3-6 недель) для активации брекетов и контроля процесса лечения. | Пропуск визитов может замедлить лечение и повлиять на конечный результат. |
| Использование дополнительных средств | При необходимости используйте ортодонтический воск для защиты слизистой от натирания брекетами. Полощите рот ополаскивателем без спирта. | Воск помогает при адаптации к брекетам и предотвращает появление язвочек. |
| Что делать при поломке | В случае отклеивания брекета, выпадения дуги или других повреждений немедленно свяжитесь с ортодонтом. | Не пытайтесь починить брекеты самостоятельно, это может усугубить проблему. |
| Спорт и активность | При занятиях контактными видами спорта используйте защитную капу, чтобы предотвратить травмы брекетов и полости рта. | Капа защитит зубы и брекеты от ударов. |
Какую зубную пасту выбрать
Все виды этой продукции можно разделить на две основные группы: гигиенические и лечебно-профилактические. Лечебно-профилактические пасты, в свою очередь, делятся на те, которые борются с кариесом, и те, что обладают противовоспалительным эффектом.
Ключевые преимущества зубных паст:
- очищающий эффект, который помогает избавиться от остатков пищи;
- антимикробные свойства для восстановления и поддержания здоровой микрофлоры;
- пасты, защищающие от кариеса;
- средства, укрепляющие эмаль и обеспечивающие защиту зубов.
После проведения гигиенических процедур важно тщательно прополоскать рот. Это действие следует выполнять всегда после еды. Наилучшим вариантом будут жидкости, не содержащие спирт. Рекомендуется использовать их за тридцать минут до приема пищи.
https://youtube.com/watch?v=qmSLsR2PxMU
Привычки питания и дополнительные меры
Питание – это важный аспект в уходе за брекетами. Не все продукты подходят для употребления, и в первую очередь необходимо избегать твердой пищи с вязкой текстурой. Такие продукты могут повредить ортодонтические конструкции. Также стоит ограничить резкие перепады температур, чтобы избежать отклеивания брекетов. Чипсы, сухарики, семечки и другие закуски лучше исключить из рациона, чтобы не засорять устройства.
Продукты следует не кусать, а нарезать на небольшие кусочки перед употреблением. Чтобы сохранить эстетический вид брекетов, рекомендуется избегать красящих продуктов.
Существуют и такие продукты, которые обязательно должны присутствовать в вашем рационе во время ношения брекетов. Это пища, богатая витамином С, а также магнием и кальцием.
Уход за брекетамипредполагает соблюдение следующих рекомендаций:
- будьте внимательны, чтобы не повредить брекеты, избегайте конфликтов и драк;
- не занимайтесь боевыми искусствами во время ношения системы;
- постарайтесь воздержаться от курения хотя бы на время использования конструкций;
- не грызите ногти и откажитесь от других вредных привычек;
- исключите жевательную резинку и леденцы.
Соблюдая все эти рекомендации, вы сможете комфортно носить свои брекеты на протяжении всего срока и наслаждаться красивой улыбкой.
Брекеты: как ухаживать
Рекомендации специалистов: эксперты настоятельно советуют освоить правильный уход за ортодонтическими конструкциями и зубами, следовать сбалансированному питанию и выполнять все указания своего врача. В первую очередь, необходимо выполнять горизонтальные движения вдоль системы. Эти действия помогут удалить остатки пищи, которые скапливаются на внешней поверхности зубов. Используйте ершик для тщательной очистки каждой детали конструкции, а также пространства между изделием и зубом.
Флосс отлично подходит для очистки межзубных промежутков. Эти процедуры рекомендуется проводить после каждого приема пищи. Избегайте использования обычной или слишком жесткой зубной щетки, чтобы не повредить ортодонтическое оборудование.
При правильном выполнении всех рекомендаций зубы и устройства легко очищаются. На работе после еды используйте зубную нить и специальный ополаскиватель для рта.
Специалисты уверяют, что для того чтобы привыкнуть к новому ортодонтическому аппарату и научиться за ним правильно ухаживать, достаточно всего одной недели. Регулярные процедуры станут для вас привычкой, и вы будете выполнять их автоматически, а вскоре сможете с гордостью демонстрировать окружающим свои идеально ровные и красивые зубы.
Чего нельзя делать
Во время использования ортодонтических изделий следует избегать употребления липкой, вязкой и густой пищи. Фрукты и овощи рекомендуется нарезать на небольшие кусочки перед тем, как их есть. Не стоит откусывать яблоки или другие сырые продукты. Также строго запрещено есть горячие или холодные блюда, так как это может привести к отклеиванию элементов конструкции. Тем, кто любит ириски и жевательные резинки, придется отказаться от этих привычек. Кроме того, нельзя чистить зубы своей обычной щеткой.
Не стоит пытаться удалить остатки пищи из труднодоступных мест с помощью игл или других острых предметов.
Если вы заметили смещение брекета, необходимо как можно скорее обратиться к врачу, иначе существует риск, что эффективность лечения будет сведена к нулю.
Важные моменты и последствия
На первом визите врач расскажет вам о плане лечения и определит тип устанавливаемых конструкций. Для этого потребуется провести диагностику, основываясь на снимках и слепках.
Сам процесс установки не вызывает дискомфорта, однако в первые дни вы можете почувствовать легкое недомогание. Это связано с давлением конструкций на зубы в нужном направлении. Если вы испытываете сильную боль, можно принять обезболивающее. При раздражении слизистой оболочки рекомендуется использовать специальную мазь, назначенную врачом.
Если не соблюдать рекомендации по гигиене, зубы могут серьезно пострадать из-за накопления остатков пищи. Применяя все знания о правильном уходе за зубами с брекет-системами, вы сможете легко сохранить свое здоровье. Немного терпения и практики, и вы быстро освоите повседневные процедуры по уходу за конструкциями.
Ношение брекетов может вызывать множество неудобств, особенно в первые дни после установки. Тем не менее, это единственный надежный и эффективный способ исправления положения зубного ряда и устранения дефектов. Помните, что ваши усилия приведут к красивой и привлекательной улыбке, что, безусловно, улучшит ваше настроение. К тому же, научиться правильно ухаживать за брекетами совсем не сложно.
Обратите внимание на видео о том, как ухаживать за брекетами после их установки. Это поможет понять, что человеку, носящему брекеты, необходимо правильно питаться и заботиться о своих конструкциях.
https://youtube.com/watch?v=KeFQrMDRXIM
Чистка брекетов: техника и инструменты
Чистка брекетов является важным этапом в уходе за ортодонтическими конструкциями. Неправильная гигиена может привести к образованию налета, кариесу и другим стоматологическим проблемам. Поэтому важно знать, как правильно чистить брекеты, чтобы обеспечить здоровье зубов и десен.
Для начала, необходимо подготовить все необходимые инструменты для чистки. Вам понадобятся:
- Зубная щетка: Используйте щетку с мягкой щетиной, чтобы избежать повреждения десен и брекетов. Специальные щетки для брекетов могут иметь угловую форму, что облегчает доступ к труднодоступным местам.
- Зубная паста: Выбирайте пасту с фтором, которая помогает укреплять эмаль и защищает от кариеса.
- Зубная нить: Ортодонтическая зубная нить или специальные нити с иголкой помогут вам очищать пространство между зубами и брекетами.
- Полоскание для рта: Антисептические растворы помогут уменьшить количество бактерий и освежить дыхание.
- Интердентальные щетки: Эти маленькие щетки идеально подходят для очистки промежутков между зубами и брекетами.
Теперь, когда у вас есть все необходимые инструменты, перейдем к технике чистки:
- Промойте рот: Перед началом чистки прополощите рот водой, чтобы удалить остатки пищи.
- Чистка зубов: Нанесите небольшое количество зубной пасты на щетку и начните чистить зубы. Двигайтесь по кругу, уделяя особое внимание области вокруг брекетов. Чистите зубы не менее двух минут, чтобы обеспечить качественную гигиену.
- Чистка брекетов: Используйте щетку, чтобы аккуратно чистить брекеты с разных сторон. Обратите внимание на то, чтобы не повредить проволоку и другие элементы конструкции.
- Использование зубной нити: Протяните зубную нить между зубами и аккуратно очищайте пространство вокруг брекетов. Это поможет удалить остатки пищи и налет, которые могут скапливаться в труднодоступных местах.
- Полоскание рта: После чистки прополощите рот антисептическим раствором или обычной водой, чтобы удалить остатки зубной пасты и бактерии.
Рекомендуется чистить зубы и брекеты не менее двух раз в день, а также после каждого приема пищи, чтобы предотвратить накопление налета и обеспечить здоровье зубов. Кроме того, регулярные визиты к ортодонту помогут следить за состоянием брекетов и зубов, а также скорректировать уход при необходимости.
Регулярные визиты к ортодонту
Регулярные визиты к ортодонту являются ключевым элементом в уходе за брекетами. Эти посещения позволяют специалисту контролировать процесс выравнивания зубов и вносить необходимые коррективы в лечение. Обычно такие визиты назначаются каждые 4-8 недель, в зависимости от индивидуальных особенностей пациента и типа используемых брекетов.
На каждом приеме ортодонт проверяет состояние брекетов, проводит диагностику и, при необходимости, меняет дуги или добавляет дополнительные элементы, такие как эластики или пружины. Это важно для обеспечения правильного перемещения зубов и достижения желаемого результата в установленные сроки.
Кроме того, регулярные визиты позволяют выявить и устранить возможные проблемы, такие как повреждение брекетов или возникновение воспалительных процессов в деснах. Ортодонт также может дать рекомендации по уходу за брекетами и зубами, что поможет избежать осложнений и ускорить процесс лечения.
Важно помнить, что пропуск визитов может негативно сказаться на результате лечения. Зубы могут не двигаться так, как планировалось, что приведет к удлинению срока ношения брекетов. Поэтому стоит заранее записываться на прием и стараться не откладывать визиты на потом.
Кроме того, на каждом визите стоит обсуждать с ортодонтом любые возникающие вопросы или беспокойства. Это поможет вам лучше понять процесс лечения и поддерживать мотивацию на протяжении всего времени ношения брекетов.
В заключение, регулярные визиты к ортодонту — это не только обязательная часть лечения, но и возможность получить профессиональную помощь и советы, которые помогут вам достичь идеальной улыбки.
Устранение неприятных ощущений и дискомфорта
Ношение брекетов может вызывать определенные неприятные ощущения и дискомфорт, особенно в первые дни после установки или после регулировки. Однако существуют несколько методов, которые помогут облегчить эти симптомы и сделать процесс ортодонтического лечения более комфортным.
1. Обезболивающие средства: Если вы испытываете сильную боль, можно использовать безрецептурные обезболивающие препараты, такие как ибупрофен или парацетамол. Они помогут снизить воспаление и уменьшить болевые ощущения. Важно следовать инструкциям на упаковке и не превышать рекомендуемую дозу.
2. Холодные компрессы: Применение холодных компрессов на область щек может помочь уменьшить отек и облегчить боль. Для этого оберните лед в ткань и прикладывайте к щеке на 15-20 минут. Это также поможет снизить воспаление и успокоить чувствительность десен.
3. Мягкая пища: В первые дни после установки брекетов или их регулировки рекомендуется употреблять мягкую пищу, такую как йогурт, пюре, супы и каши. Избегайте жесткой, твердой или липкой пищи, которая может усугубить дискомфорт и повредить брекеты.
4. Правильная гигиена полости рта: Поддержание чистоты зубов и брекетов крайне важно для предотвращения воспаления десен и возникновения болевых ощущений. Используйте мягкую зубную щетку и специальную зубную пасту для чувствительных зубов. Не забывайте о зубной нити и ирригаторе, которые помогут удалить остатки пищи из труднодоступных мест.
5. Регулярные визиты к ортодонту: Не забывайте о плановых визитах к вашему ортодонту. Он сможет оценить состояние ваших брекетов, провести необходимые корректировки и дать рекомендации по уходу. Если дискомфорт становится слишком сильным или не проходит, обязательно сообщите об этом врачу.
6. Использование воска: Если металлические части брекетов натирают слизистую оболочку рта, можно использовать специальный ортодонтический воск. Нанесите небольшое количество воска на проблемные участки, чтобы создать защитный барьер и уменьшить трение.
Следуя этим рекомендациям, вы сможете значительно облегчить неприятные ощущения и дискомфорт, связанные с ношением брекетов, и сделать процесс лечения более комфортным и эффективным.




