Керамические виниры — это решение для улучшения эстетики улыбки, набирающее популярность среди пациентов стоматологических клиник. В статье рассмотрим, что такое керамические виниры, их преимущества и недостатки, а также сравним с композитными аналогами. Узнаете о моделях, сроках эксплуатации, процессе установки и правилах ухода за винирами. Эта информация поможет вам понять, подходят ли керамические виниры именно вам.
Виниры: некоторые понятия
С удивительными конструкциями, способными подарить великолепную улыбку, мы обязаны Голливуду. Простая технология покрытия зубных поверхностей, обеспечивающая впечатляющий результат, получила свое название от английского слова «veneer», что переводится как «облицовка». Это название точно передает суть процесса, связанного с созданием виниров и их установкой.
Вопрос о том, что предпочтительнее — виниры или коронки, решает специалист после тщательного осмотра ротовой полости. Если врач выберет первый вариант, это будет означать, что подготовка зубных тканей к наклеиванию тонкой пластинки потребует минимальных усилий.
Врачи-стоматологи часто обсуждают преимущества и недостатки керамических и композитных виниров, чтобы помочь пациентам сделать правильный выбор. Керамические виниры, как правило, обладают высокой прочностью и устойчивостью к окрашиванию, что делает их идеальными для долгосрочного использования. Они также обеспечивают естественный внешний вид благодаря своей способности отражать свет, как натуральные зубы. Однако установка керамических виниров требует больше времени и финансовых затрат.
С другой стороны, композитные виниры более доступны и могут быть установлены за одно посещение. Они легко поддаются коррекции и ремонту, но менее устойчивы к износу и окрашиванию. Врачи отмечают, что выбор между этими двумя вариантами зависит от индивидуальных потребностей пациента, его бюджета и желаемого результата. Важно проконсультироваться со специалистом, чтобы определить, какой вариант будет оптимальным в каждом конкретном случае.
https://youtube.com/watch?v=QI6OSVV0r4c
Типы виниров: обзорный анализ материалов и методик установки
Установка определенного типа виниров не может основываться исключительно на желаниях пациента, так как каждый из них имеет свои показания, которые может определить только квалифицированный специалист.
- В арсенале стоматологов, работающих с композитными пластинами, существует два метода их создания:
- прямой — процедура выполняется во время приема у стоматолога, и для этого достаточно одного визита;
- непрямой или отсроченный — включает снятие слепка и последующую работу зубного техника в лаборатории по изготовлению винира.
Преимуществом является то, что удаляется лишь небольшой слой эмали. Композиты, накладываемые непосредственно в кабинете, могут служить до пяти лет при условии надлежащего ухода. Чаще всего этот метод используется для улучшения внешнего вида одного или двух зубов. Лабораторные микропротезы проходят процесс полимеризации в специализированных печах, что делает их более прочными по сравнению с винирами, которые не подвергаются такой высокотемпературной обработке.
- Преображение и омоложение внешности человека после установки керамических виниров можно увидеть на фотографиях с высокой степенью достоверности. Они изготавливаются в лаборатории по слепку предварительно подготовленного стоматологом зуба. Процесс изготовления занимает несколько дней, поэтому пациенту обычно устанавливаются временные пластиковые пластины на подготовленную поверхность.
Производственный процесс в лаборатории может осуществляться по одной из трех технологий:
- классическая — последовательное наложение слоев керамических порошков с обжигом;
- прессованная керамика — литьевая методика под давлением;
- фрезерование из блока по точной модели зуба, подготовленной с помощью компьютерной программы.
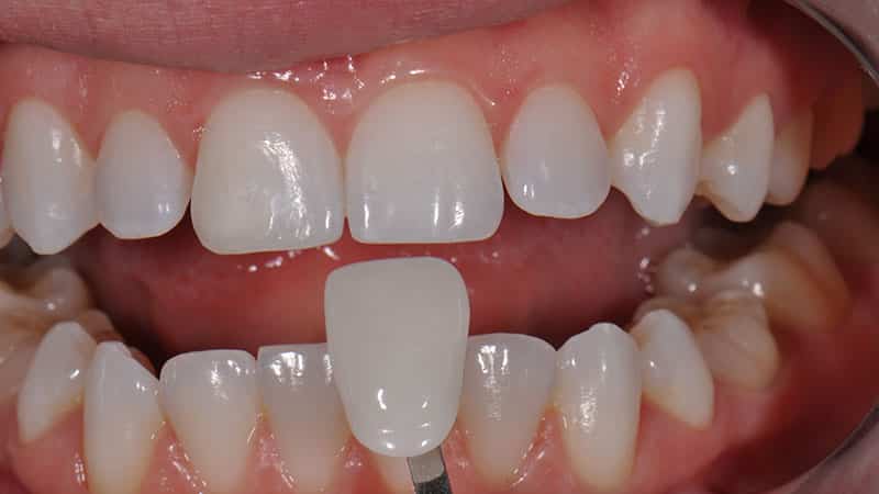
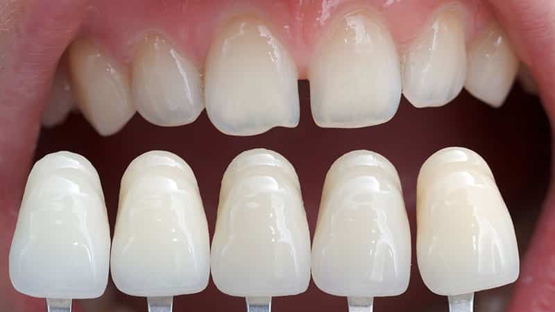
Готовым пластинам придается выбранный оттенок с помощью специальных красителей. На повторном приеме стоматолог фиксирует виниры на нужном участке. Керамика позволяет восстановить красоту нескольких поверхностей, обеспечивая их долговечность.
Уникальные циркониевые виниры обладают впечатляющим косметическим эффектом благодаря высокой прочности материала. Они также имеют биологическую совместимость, что помогает избежать возможных осложнений после процедуры. Их редкое применение связано со сложностью обработки и высокой стоимостью.
Люминиры, популярные в голливудских кругах, представляют собой виниры без обточки зубов, которые наклеиваются непосредственно на поверхность благодаря своей минимальной толщине. Их установка происходит быстро, и при необходимости они легко снимаются.
Белоснежная улыбка сохраняет свое сияние на протяжении длительного времени, что способствует расширению областей применения этого типа виниров.
| Критерий сравнения | Керамические виниры | Композитные виниры |
|---|---|---|
| Материал | Фарфор, диоксид циркония | Композитный полимер (смола) |
| Эстетика | Высочайшая, имитируют натуральную эмаль, не меняют цвет | Хорошая, но со временем могут тускнеть и окрашиваться |
| Долговечность | 10-15 лет и более при правильном уходе | 5-7 лет, требуют более частой замены/коррекции |
| Прочность | Очень прочные, устойчивы к сколам и трещинам | Менее прочные, подвержены сколам и истиранию |
| Подготовка зуба | Требует минимального препарирования эмали | Может не требовать препарирования или минимальное |
| Процесс установки | Несколько визитов (слепки, изготовление в лаборатории, фиксация) | Один визит (прямое нанесение и моделирование) |
| Стоимость | Значительно выше | Ниже |
| Ремонтопригодность | Сложно или невозможно отремонтировать, требуется замена | Легко ремонтируются и корректируются |
| Биосовместимость | Отличная, гипоаллергенны | Хорошая, но у некоторых может быть реакция на компоненты |
| Уход | Стандартная гигиена полости рта, регулярные осмотры | Стандартная гигиена полости рта, регулярные осмотры, полировка |
Достоинства и возможные недостатки
Некоторые люди испытывают опасения по поводу установки виниров, считая эту процедуру слишком дорогой и недоступной. Однако, если внимательно рассмотреть различные материалы, используемые для их создания, можно выбрать подходящий вариант, основываясь на своих предпочтениях и финансовых возможностях.
Наиболее экономичным решением являются композитные виниры. Их преимущества заключаются в быстром изготовлении и минимальном обтачивании зубных тканей. Тем не менее, они достаточно хрупкие, быстрее изнашиваются и теряют блеск, что требует регулярной полировки. Срок службы таких виниров составляет от 3 до 9 лет и во многом зависит от соблюдения правил личной гигиены и уровня нагрузки на зубы. Также стоит учитывать, что композитные материалы могут негативно реагировать на спиртосодержащие вещества.
Важно помнить, что керамические виниры представляют собой более дорогой вариант, но они отличаются высокой прочностью, долговечностью и сохраняют свой первоначальный вид без изменения цвета.
Преимущества различных типов виниров:
- возможность выбора оттенка, максимально приближенного к натуральным зубам;
- длительное сохранение белизны без потемнения и окрашивания;
- исправление множества дефектов;
- минимальное стачивание зубов под тонкие пластины;
- возможность замены композитных виниров при потере их эстетических свойств;
- отсутствие ощущения инородного тела после установки, что обеспечивает комфорт.
Недостатки:
- невозможность скрыть значительное потемнение зубов;
- реставрация не допускается при наличии заболеваний десен;
- противопоказанием является отсутствие значительной части зуба из-за скола или его ослабленное состояние.
Перед тем как получить «голливудскую улыбку», важно осознавать, что даже самые качественные виниры со временем потребуют замены, и их придется носить на протяжении всей жизни. Поэтому вопрос о стоимости установки виниров для зубов включает в себя множество факторов, влияющих на их эффективность.
https://youtube.com/watch?v=CWttzVZtt4s
Выбор методики реставрации
Выбор между винирами и коронками для передних зубов зависит от степени их повреждения, и это решение принимает стоматолог. Обычно виниры, которые являются более современным и менее инвазивным вариантом, рекомендуются, если сохранено более 50% зубной ткани. В случае значительного разрушения зуба, а также при наличии серьезного кариеса или множественных трещин, врач порекомендует установить коронку. Кроме того, специалист даст рекомендации по уходу за винирами, чтобы сохранить их привлекательный вид.
Виниры способны решить множество эстетических проблем:
- потеря привлекательности зубов из-за возраста или курения;
- неправильная форма зубов, возникшая от рождения;
- необходимость скрыть некрасивую коронку;
- гипоплазия — недостаточное развитие зубов;
- заметное истирание эмали;
- мелкие сколы;
- значительная диастема — щель между соседними зубами;
- деформация зуба после травмы;
- пигментация зубов по различным причинам, включая флюороз и тетрациклиновые зубы;
- значительное несоответствие размеров зубных плоскостей и прикуса;
- небольшой поворот зуба относительно вертикальной оси;
- десневая улыбка (gum smile);
- пломбы, выделяющиеся по цвету;
- неровные контуры шеек зубов.
Предварительное препарирование зубов
Практически все методы реставрации зубных поверхностей начинаются с подготовительного этапа — препарирования под виниры, который включает в себя определенный порядок действий.
- Шлифовка вестибулярной поверхности с использованием алмазного калибровочного бора, формируя желоб в области десны для защиты ее тканей.
- Обработка апроксимальных плоскостей, которые соприкасаются с соседними зубами.
- Препарирование режущего края до необходимой глубины.
- При необходимости выполняется обработка небной поверхности.
На финальном этапе стоматолог удаляет оставшиеся острые края с помощью мелкодисперсного бора. Это поможет избежать образования зон концентрации напряжений, которые могут привести к деформации и трещинам винира.
Методика препарирования и ее интенсивность имеют свои особенности, зависящие от типа устраняемого дефекта.
- На повернутых зубах уменьшаются выступающие участки, при этом с них стачивается больше эмали, чем с других поверхностей.
- Если необходимо закрыть диастему, степень обработки будет зависеть от размера зазора.
- Для кривых аномальных зубов требуется значительный объем препарирования, при котором внешний выступ стачивается до уровня всей зубной дуги, с последующей шлифовкой всей поверхности до десны.
Прямые виниры: алгоритм и особенности изготовления
Композитные виниры, которые изготавливаются прямо на зубах (прямые виниры), чаще всего устанавливаются в области улыбки, то есть в передней части рта, где нагрузки значительно меньше, чем в боковых жевательных зонах.
Перед укладкой композитного материала рекомендуется провести предварительное шлифование вестибулярной поверхности зуба на глубину до 0,5 мм. Это позволяет добиться эффекта естественности. Сравнительные фотографии композитных виниров до и после установки дают возможность объективно оценить достигнутые результаты. Если подготовка зуба не была проведена, виниры изготавливаются из непрозрачного композита, который может иметь неестественно белый цвет.
Для создания барьера между тканями ротовой полости и зоной реставрации используется коффердам — специальная латексная пленка. Материалы, применяемые для виниров, аналогичны тем, что используются для пломб, и состоят из органической матрицы (эпоксидные и акриловые смолы) с добавлением неорганического наполнителя и силана. Рекомендуется выбирать такие виды композитов, которые легко полируются и обладают стабильностью цвета (размер частиц в мкм):
- мининаполненные композиты (1 ÷ 5);
- гибридные композиты (0,01 ÷ 8);
- нанокомпозиты (0,004 ÷ 3).
Все они способны достигать необходимой твердости под воздействием света.
Выравнивание кривых зубов
Дистопия, или неправильное расположение зубов, встречается почти у 95% людей на планете и может проявляться в различных формах. Когда наблюдается значительное смещение, перед пациентом возникает вопрос: что лучше выбрать для коррекции — виниры или брекеты, основываясь на рекомендациях стоматолога и личных предпочтениях.
Выбор метода коррекции зубов в первую очередь зависит от квалифицированной оценки ситуации специалистом. Если смещение зубов выражено сильно, то, как правило, необходимо использовать брекеты. В других случаях стоит рассмотреть возможность установки виниров на кривые зубы, чтобы достичь быстрого результата. Эти накладки изготавливаются с учетом всех выявленных недостатков, позволяя выровнять зубной ряд.
https://youtube.com/watch?v=8KlwvvveBdQ
Сравнение стоимости керамических и композитных виниров
Стоимость виниров может значительно варьироваться в зависимости от материала, сложности работы и региона, в котором проводится процедура. Керамические виниры, как правило, стоят дороже, чем композитные, из-за более сложного процесса их изготовления и установки. Керамические виниры изготавливаются в лаборатории, что требует больше времени и ресурсов. Процесс включает в себя снятие слепков, создание модели зуба и последующее изготовление винира, что может занять несколько дней.
С другой стороны, композитные виниры могут быть установлены за одно посещение стоматолога. Материал для композитных виниров наносится непосредственно на зуб и формируется в процессе работы, что значительно сокращает время и затраты на их установку. Однако, несмотря на более низкую стоимость композитных виниров, они могут потребовать более частой замены или ремонта, что в долгосрочной перспективе может увеличить общие расходы.
В среднем, стоимость керамических виниров может колебаться от 15,000 до 30,000 рублей за один зуб, в то время как композитные виниры могут стоить от 5,000 до 15,000 рублей. Однако важно учитывать, что цена может зависеть от квалификации стоматолога, используемых материалов и уровня клиники.
Также стоит отметить, что керамические виниры, как правило, более долговечны и устойчивы к окрашиванию, что может оправдать их более высокую стоимость. Композитные виниры, хотя и дешевле, могут требовать более частого ухода и замены, что в конечном итоге может привести к дополнительным затратам.
Таким образом, при выборе между керамическими и композитными винирами важно учитывать не только начальную стоимость, но и долговечность, уход и возможные дополнительные расходы в будущем. Конечный выбор должен основываться на индивидуальных потребностях пациента, его бюджете и рекомендациях стоматолога.
Уход за винирами: рекомендации и советы
Уход за винирами, будь то керамические или композитные, играет ключевую роль в их долговечности и эстетическом виде. Правильный уход поможет сохранить их первоначальный блеск и предотвратить повреждения. Вот несколько рекомендаций и советов, которые помогут вам ухаживать за винирами.
1. Регулярная гигиена полости рта
Как и с натуральными зубами, регулярная гигиена полости рта является основой ухода за винирами. Рекомендуется чистить зубы дважды в день с использованием мягкой зубной щетки и фторсодержащей зубной пасты. Это поможет удалить налет и предотвратить образование кариеса на зубах, находящихся под винирами.
2. Использование зубной нити
Зубная нить должна стать неотъемлемой частью вашего ухода за винирами. Она помогает очищать межзубные пространства, где может скапливаться пища и налет. Важно использовать нить осторожно, чтобы не повредить края виниров.
3. Избегание жесткой пищи
Керамические и композитные виниры могут быть подвержены повреждениям при воздействии жесткой пищи. Рекомендуется избегать орехов, льда, твердых конфет и других подобных продуктов, которые могут привести к сколам или трещинам.
4. Ограничение потребления окрашивающих продуктов
Кофе, чай, красное вино и некоторые ягоды могут окрашивать виниры, особенно композитные. Если вы хотите сохранить их белизну, старайтесь ограничивать потребление таких продуктов или полоскать рот водой после их употребления.
5. Регулярные визиты к стоматологу
Регулярные осмотры у стоматолога помогут выявить возможные проблемы на ранних стадиях. Специалист сможет оценить состояние виниров и провести профессиональную чистку, что поможет сохранить их в идеальном состоянии.
6. Использование защитных средств
Существуют специальные средства для ухода за винирами, которые могут помочь сохранить их блеск и защитить от окрашивания. Обсудите с вашим стоматологом возможность использования таких средств.
7. Избегание курения
Курение не только негативно сказывается на здоровье полости рта, но и может привести к потемнению виниров. Если вы курите, стоит рассмотреть возможность отказа от этой привычки для сохранения здоровья зубов и виниров.
Следуя этим рекомендациям, вы сможете значительно продлить срок службы ваших виниров и сохранить их эстетический вид. Помните, что забота о зубах — это не только вопрос красоты, но и здоровья.
Показания и противопоказания для установки виниров
Виниры – это тонкие керамические или композитные накладки, которые устанавливаются на переднюю поверхность зубов для улучшения их внешнего вида. Однако перед тем как принять решение о их установке, важно учитывать показания и противопоказания, которые могут повлиять на выбор материала и необходимость процедуры.
Показания для установки виниров:
- Эстетические дефекты: Виниры идеально подходят для коррекции зубов с измененной формой, цветом или размером. Они могут скрыть такие недостатки, как потемнение эмали, сколы, трещины и неровности.
- Зубы с диастемами: Виниры могут быть использованы для закрытия промежутков между зубами, что делает улыбку более гармоничной.
- Неправильный прикус: В некоторых случаях виниры могут помочь в коррекции легких нарушений прикуса, хотя для серьезных проблем может потребоваться ортодонтическое лечение.
- Изменение цвета зубов: Если зубы не поддаются отбеливанию, виниры могут стать отличным решением для восстановления белизны и яркости улыбки.
Противопоказания для установки виниров:
- Серьезные заболевания зубов: Если у пациента имеются кариес, пародонтит или другие стоматологические заболевания, сначала необходимо провести лечение, иначе виниры не будут держаться и могут усугубить ситуацию.
- Недостаток зубной эмали: Виниры требуют определенной толщины эмали для надежной фиксации. Если эмали недостаточно, это может привести к проблемам с установкой и долговечностью виниров.
- Бруксизм: Люди, страдающие от бруксизма (скрежетания зубами), могут повредить виниры, поэтому в таких случаях рекомендуется рассмотреть другие варианты лечения.
- Аллергия на материалы: Если у пациента есть аллергия на компоненты, из которых изготавливаются виниры, это может стать серьезным противопоказанием для их установки.
Таким образом, прежде чем принимать решение о установке виниров, важно проконсультироваться с квалифицированным стоматологом, который сможет оценить состояние зубов и предложить наиболее подходящий вариант лечения. Правильный выбор виниров и их установка могут значительно улучшить эстетику улыбки и повысить уверенность пациента в себе.




