Белые пятна на зубах у ребенка — распространенная проблема, вызывающая беспокойство у родителей. Эти изменения в эмали могут сигнализировать о заболеваниях или недостаточном уходе за полостью рта. В статье рассмотрим причины появления белых пятен, методы их лечения и профилактики, а также полезные советы по уходу за зубами ребенка. Знание этих аспектов поможет родителям вовремя реагировать на изменения в здоровье зубов и предотвратить серьезные проблемы в будущем.
Причины
Не все знают, что делать, если на зубах появились белые пятна. Насколько серьезна эта проблема и с чем она может быть связана? Некоторые пятна могут охватывать всю поверхность зуба или даже весь зубной ряд.
Установить точный диагноз может только стоматолог после тщательного осмотра ротовой полости. В домашних условиях можно лишь предположительно оценить состояние зуба, используя зеркало и подсушив его салфеткой для более детального рассмотрения пятна.
Многих пациентов стоматологических клиник интересует вопрос, почему у взрослых возникают белые пятна на зубах и как с ними бороться. Среди наиболее распространенных причин появления таких пятен выделяют кариес, флюороз и гипоплазию.
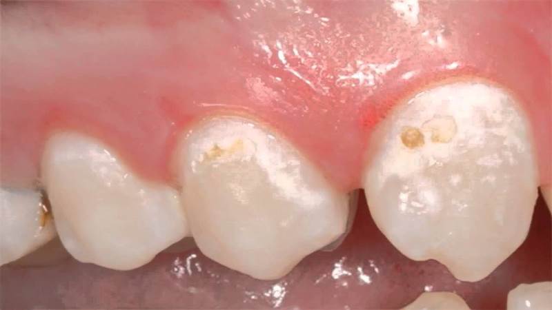
- Кариес на начальной стадии проявляется белыми пятнами. Лечение может проводиться без использования бормашины с помощью реминерализации и фторирования. Эмаль в пораженной области становится мягкой и шероховатой, и если не предпринять меры, пятна могут потемнеть и углубиться, переходя в более серьезную стадию кариеса. Чаще всего такие образования возникают на пришеечной и боковых поверхностях зубов.
- Гипоплазия подразумевает наличие белых пятен как признак врожденного дефекта, который может быть вызван проблемами в период эмбрионального развития. Причинами могут быть токсикозы во время беременности, родовые травмы или инфекции. Если у ребенка появляется белое пятно на зубе, это может свидетельствовать о нарушении обмена веществ или недоразвитии. В молочном периоде такие образования чаще всего наблюдаются на передних зубах. Гипоплазия делает зубы более уязвимыми, поэтому необходимо проводить защитные процедуры с использованием специальных средств. Стоматолог может определить возраст нарушения эмали по расположению пятен.
- Недостаток фтора проявляется в виде белых, меловидных пятен на эмали. При избытке фтора может развиться флюороз, который негативно сказывается на твердой ткани зуба. Поражение происходит у постоянных зубов в результате длительного употребления воды с высоким содержанием фтора и фторсодержащих препаратов. Заболевание может иметь профессиональную или эндемическую форму: в первом случае оно возникает из-за воздействия воздуха, во втором — через питьевую воду. Лечение зубов включает специальные медикаменты и диеты с повышенным содержанием молочных продуктов, фруктов и овощей. В процессе лечения рекомендуется использовать только бутилированную воду.
Избавиться от белых пятен при глубоком поражении можно с помощью реставрационных методов стоматологии, а также протезирования винирами (тонкими пластинами) или металлокерамикой.
Врачи отмечают, что появление белых пятен на зубах может быть связано с несколькими факторами. Одной из основных причин является флюороз, который возникает при избыточном потреблении фтора в детском возрасте. Это приводит к нарушению минерализации эмали. Также белые пятна могут свидетельствовать о начальной стадии кариеса, когда минералы начинают теряться из зубной ткани. Неправильная гигиена полости рта и недостаток кальция в рационе также способствуют образованию таких пятен. Врачи рекомендуют регулярно посещать стоматолога для профилактических осмотров и следить за состоянием зубов, чтобы предотвратить дальнейшие проблемы.
https://youtube.com/watch?v=zoZCr_7J2q4
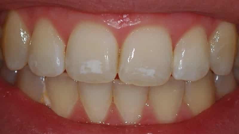
Белые пятна на зубах у детей
Белые пятна на зубах у детей могут иметь желтоватый или коричневый оттенок.
На возникновение этого дефекта влияют следующие факторы:
- развитие кариеса;
- недостаточная гигиена полости рта;
- гипоплазия;
- употребление продуктов с высоким содержанием кислот;
- системные заболевания, такие как лихорадка, в период роста ребенка;
- травмы зубов, возникающие при падениях или ушибах, что может нарушить формирование эмали у молочных зубов;
- избыток фтора в организме может привести к флюорозу, проявляющемуся белыми или коричневыми пятнами;
- различные отклонения в развитии ребенка и широкий спектр заболеваний могут значительно повредить зубную эмаль.
Гипоплазия может проявляться по-разному: от появления диффузных полос и затемнений до поражения одного или нескольких зубов. Причиной таких повреждений может быть ортодонтическое лечение, при котором скобы препятствовали контакту зубов со слюной, необходимой для минерализации.
Чтобы выяснить причину и вовремя устранить проблему, необходимо обратиться к стоматологу. Молочные зубы с белыми пятнами также следует сохранять до появления постоянных зубов.
Не всегда удается точно установить диагноз при жалобах на пораженные зубы у детей. Однако опытный стоматолог может по расположению пятен определить время возникновения проблемы и выявить факторы, способствующие ее развитию. Поэтому крайне важно найти квалифицированного врача для лечения и устранения пятен у ребенка. Также следует уделить особое внимание иммунной системе малыша.
По статистике, у многих детей наблюдаются белые пятна после перенесенных инфекционных заболеваний, особенно в зимний период. Врачи рекомендуют проводить закаливающие процедуры, заниматься спортом и больше времени проводить на свежем воздухе. При диагностике белых пятен на молочных зубах у ребенка стоматолог учитывает информацию о заболеваниях матери во время беременности.
| Причина появления белых пятен | Описание | Рекомендации |
|---|---|---|
| Начальный кариес (деминерализация эмали) | Потеря минералов (кальция, фосфора) из эмали зуба, делающая ее пористой и матовой. Часто выглядит как меловое пятно. | Регулярная гигиена полости рта, использование фторсодержащих зубных паст и ополаскивателей, реминерализирующие гели, профессиональная чистка и фторирование у стоматолога. |
| Флюороз | Избыточное поступление фтора в организм во время формирования зубов (в детстве). Может проявляться в виде белых полос, пятен или даже коричневых изменений. | Контроль уровня фтора в питьевой воде, использование зубных паст с пониженным содержанием фтора (для детей), эстетические процедуры (отбеливание, микроабразия) по показаниям. |
| Гипоплазия эмали | Недоразвитие эмали зуба, возникающее из-за нарушений в процессе ее формирования (например, из-за болезней матери во время беременности, травм, дефицита витаминов). | Эстетические реставрации (пломбы, виниры), регулярное наблюдение у стоматолога, тщательная гигиена для предотвращения кариеса на ослабленной эмали. |
| Травма зуба | Механическое повреждение зуба, которое может привести к изменению структуры эмали и появлению белых пятен. | Обращение к стоматологу для оценки степени повреждения и выбора тактики лечения (например, реставрация). |
| Ортодонтическое лечение (после снятия брекетов) | Недостаточная гигиена во время ношения брекетов может привести к деминерализации эмали вокруг замочков. | Тщательная гигиена полости рта во время ношения брекетов, использование специальных щеток и ирригаторов, профессиональная чистка и фторирование после снятия брекетов. |
| Кислотная эрозия | Разрушение эмали под воздействием кислот (из пищи, напитков, желудочного рефлюкса). Может проявляться как белые, матовые пятна, а затем и как углубления. | Ограничение потребления кислых продуктов и напитков, использование соломинки, полоскание рта водой после еды, использование фторсодержащих паст, лечение основного заболевания (при рефлюксе). |
| Нарушение обмена веществ | Некоторые системные заболевания или дефицит определенных витаминов и минералов могут влиять на формирование и состояние эмали. | Консультация с врачом для выявления и лечения основного заболевания, коррекция диеты, прием витаминно-минеральных комплексов по назначению. |
Процедура лечения и удаления белых пятен
Как избавиться от белых пятен на зубах? Прежде всего, важно выяснить причину их появления. Если белые пятна связаны с начальной стадией кариеса, стоматологи рекомендуют использовать фтор в виде местного применения. Когда пятна возникают перед прорезыванием зубов, их можно удалить с помощью микроабразивной техники, которая включает пасту со среднеконцентрированной кислотой и абразивные частицы. Для этого пятна обрабатываются специальным средством, после чего наносится фоторовый гель.
Реминерализация применяется, когда пятна возникают из-за недостаточно развитой зубной эмали. Этот процесс помогает восстановить минеральный состав тканей и плотность эмали. Для этого используется специальное средство, богатое микроэлементами, которое наносится на зубы. В зависимости от глубины пятна, его можно полностью устранить или сделать менее заметным. Для достижения наилучшего результата может быть проведено отбеливание, однако важно, чтобы лечение проводилось правильно, чтобы избежать появления новых пятен.
Если белые пятна на зубах возникли из-за избытка фтора, лечение заключается в ограничении его поступления. Для этого нужно тщательно очищать воду и исключить из ухода средства и ополаскиватели, содержащие фтор. Зимой рекомендуется увеличить потребление поливитаминов и рыбьего жира.
Специалисты советуют чередовать зубные пасты: одни с фтором, другие без него. Чтобы избежать вопросов о том, как избавиться от белых пятен на зубах в будущем, важно регулярно посещать стоматолога.
Если белые пятна или образования большего размера появились во время ношения брекетов, следует подобрать другую модель и очистить эмаль зуба. Для предотвращения повторного появления проблемы врач назначает комплексный уход за ортодонтическими конструкциями. При флюорозе, помимо исключения продуктов, содержащих фтор, проводится отбеливание эмали, а при необходимости используются композитные материалы для восстановления поврежденных участков.
При гиперплазии основная цель лечения — остановить разрушение зубов и восстановить поврежденную эмаль. Это связано с тем, что остановить изменения в эмали при гиперплазии невозможно. Реконструктивное лечение проводится в случае повреждений зубов, вызванных травмами, или для восстановления поверхности с помощью фтора или кальция. Любое небольшое пятнышко может сигнализировать о наличии заболеваний зубов или других проблем в организме.
Если пятна образовались из-за кариеса, это заболевание поддается лечению. Стоматологи очищают пораженные участки с помощью специальных инструментов, после чего выполняется микропломбирование с использованием лака, предназначенного для этой процедуры. Молочные зубы не пломбируют, а обрабатывают серебрением или покрывают лаком.
https://youtube.com/watch?v=V2-ZhOhyAoA
Корректируем питание
С возникновением данной патологии необходимо внести изменения в рацион как взрослых, так и детей.
Из меню следует исключить рыбу, шпинат и бобовые, если заболевание вызвано флюорозом. Эстетическая реставрация зубов осуществляется после завершения лечения для улучшения внешнего вида. При выявлении нехватки кальция в организме важно включить в ежедневное питание такие продукты, как творог, молоко и рыба, а также соблюдать специальную диету с добавлением комплекса витаминов и минералов.
Беременным женщинам следует внимательно следить за своим здоровьем, чтобы избежать инфекций и своевременно справляться с токсикозом.
В этот период особенно важно употреблять полноценную пищу, богатую витаминами, минералами и другими полезными веществами. Это существенно влияет на формирование зубов у будущего ребенка. Специалисты советуют регулярно заботиться о гигиене полости рта, чистя зубы не менее двух раз в день — утром и вечером. Также необходимо контролировать использование химических средств для ухода, чтобы не повредить эмаль.
https://youtube.com/watch?v=ayJIJBiU6ZM
Профилактика появления белых пятен
Профилактика появления белых пятен на зубах является важной задачей для поддержания здоровья полости рта и сохранения эстетического вида улыбки. Существует несколько ключевых аспектов, которые помогут предотвратить образование этих нежелательных образований.
1. Правильная гигиена полости рта: Регулярная и тщательная чистка зубов — основа профилактики. Рекомендуется чистить зубы дважды в день с использованием фторсодержащей зубной пасты. Фтор помогает укрепить эмаль и предотвращает деминерализацию, которая может привести к образованию белых пятен. Также важно использовать зубную нить для удаления остатков пищи и налета между зубами.
2. Ограничение потребления сахара: Сахар является основным источником питания для бактерий, вызывающих кариес. Употребление сладких продуктов и напитков способствует образованию кислоты, которая разрушает зубную эмаль. Снижение потребления сахара и частоты его употребления может значительно снизить риск появления белых пятен.
3. Регулярные визиты к стоматологу: Профилактические осмотры у стоматолога не менее важны, чем домашний уход. Специалист может выявить ранние признаки деминерализации и предложить соответствующее лечение, такое как фторирование или реминерализация эмали. Рекомендуется посещать стоматолога не реже двух раз в год.
4. Правильное питание: Диета, богатая витаминами и минералами, особенно кальцием и фосфором, способствует укреплению зубной эмали. Включение в рацион молочных продуктов, овощей, фруктов и орехов поможет поддерживать здоровье зубов. Избегайте чрезмерного употребления кислых продуктов, таких как цитрусовые и газированные напитки, которые могут способствовать эрозии эмали.
5. Использование защитных средств: В некоторых случаях стоматологи могут рекомендовать использование специальных реминерализующих гелей или лаковых покрытий, которые помогают восстановить минералы в эмали и предотвратить образование белых пятен. Эти средства могут быть особенно полезны для людей, предрасположенных к кариесу или имеющих проблемы с эмалью.
6. Избегание вредных привычек: Курение и жевание табака могут негативно сказаться на здоровье зубов и способствовать образованию пятен. Отказ от этих привычек не только улучшит состояние зубов, но и общее здоровье.
Соблюдение этих рекомендаций поможет снизить риск появления белых пятен на зубах и сохранить их здоровье на долгие годы. Помните, что профилактика всегда проще и дешевле, чем лечение.
Влияние гигиенических привычек на здоровье зубов
Гигиенические привычки играют ключевую роль в поддержании здоровья зубов и десен. Неправильный уход за полостью рта может привести к различным стоматологическим проблемам, включая появление белых пятен на зубах. Эти пятна, как правило, являются признаком деминерализации эмали, что может быть вызвано несколькими факторами, связанными с гигиеной.
Во-первых, недостаточная чистка зубов способствует накоплению налета и бактерий, которые производят кислоты. Эти кислоты могут разрушать минералы в зубной эмали, что приводит к образованию белых пятен. Рекомендуется чистить зубы не менее двух раз в день с использованием фторсодержащей зубной пасты, так как фтор помогает укрепить эмаль и предотвращает деминерализацию.
Во-вторых, использование неправильной техники чистки зубов также может негативно сказаться на состоянии эмали. Чистка зубов слишком агрессивно или с использованием жесткой щетки может привести к механическому повреждению эмали, что делает зубы более уязвимыми к воздействию кислот и, как следствие, к образованию белых пятен.
Кроме того, недостаточное использование зубной нити и ополаскивателей для рта может привести к образованию налета между зубами и в труднодоступных местах. Это может способствовать развитию кариеса и деминерализации, что также может проявляться в виде белых пятен. Регулярное использование зубной нити помогает удалить остатки пищи и налет, которые не могут быть удалены обычной щеткой.
Также стоит отметить, что некоторые привычки, такие как частое употребление сладких и кислых продуктов, могут способствовать образованию белых пятен. Кислоты из пищи могут разрушать эмаль, особенно если после еды не проводится гигиеническая процедура. Поэтому важно не только чистить зубы, но и следить за рационом, ограничивая потребление вредных продуктов.
Наконец, регулярные посещения стоматолога для профессиональной чистки и осмотра также являются важной частью гигиенических привычек. Стоматолог может выявить ранние признаки деминерализации и предложить соответствующее лечение, что поможет предотвратить дальнейшее развитие проблемы.
Таким образом, правильные гигиенические привычки, включая регулярную чистку зубов, использование зубной нити, контроль за рационом и регулярные визиты к стоматологу, являются основными факторами, влияющими на здоровье зубов и предотвращающими появление белых пятен.
Связь белых пятен с заболеваниями и состоянием организма
Белые пятна на зубах могут быть признаком различных заболеваний и состояний организма, которые влияют на здоровье зубной эмали и тканей. Эти пятна, известные также как гипоплазия эмали, могут возникать по нескольким причинам, связанным как с местными факторами, так и с системными заболеваниями.
Одной из основных причин появления белых пятен является недостаток минералов, таких как кальций и фосфор, в организме. Эти минералы играют ключевую роль в формировании и поддержании прочности зубной эмали. Нехватка этих элементов может быть вызвана неправильным питанием, недостаточным потреблением молочных продуктов или других источников кальция. Кроме того, недостаток витаминов, особенно витамина D, который отвечает за усвоение кальция, также может способствовать образованию белых пятен.
Другим важным аспектом является влияние системных заболеваний. Например, заболевания, связанные с обменом веществ, такие как диабет, могут негативно сказаться на состоянии зубной эмали. При этом происходит нарушение нормального обмена веществ, что может привести к недостаточному минерализации зубов. Также некоторые инфекционные заболевания, особенно в детском возрасте, могут вызвать временные изменения в формировании эмали, что в дальнейшем проявляется в виде белых пятен.
Кроме того, белые пятна могут быть следствием воздействия определенных лекарственных препаратов. Например, антибиотики, такие как тетрациклин, могут вызывать изменения в цвете зубов, включая появление белых пятен. Это связано с тем, что некоторые медикаменты могут влиять на процесс минерализации зубной эмали во время ее формирования.
Не менее важным фактором является влияние окружающей среды. Например, высокое содержание фтора в питьевой воде может привести к флюорозу, который проявляется в виде белых пятен на зубах. Это состояние возникает, когда в организм поступает избыточное количество фтора в период формирования зубов, что нарушает нормальный процесс минерализации.
Таким образом, белые пятна на зубах могут быть индикатором различных заболеваний и состояний организма. Их появление требует внимательного отношения и, при необходимости, консультации стоматолога для определения причин и выбора соответствующего лечения. Профилактика, включая правильное питание, соблюдение гигиенических норм и регулярные визиты к стоматологу, может помочь избежать появления белых пятен и сохранить здоровье зубов на долгие годы.



