Откололся кусочек зуба — распространенная ситуация, вызывающая переживания. В статье рассмотрим, что делать в этом случае, причины сколов, их виды и последствия. Узнаете о способах восстановления зубов после повреждения, что поможет сохранить здоровье полости рта и избежать осложнений. Эта информация полезна для быстрой и правильной реакции на такие ситуации, чтобы сохранить уверенность в улыбке.
Причины сколов зубов
Существует мнение, что скол зуба может произойти из-за частого поедания орехов, семечек и леденцов, а также при открывании бутылок зубами или участии в драках. Однако на самом деле причиной могут быть совершенно иные факторы:
- запущенный или не полностью вылеченный кариес;
- поврежденная или неправильно установленная пломба;
- трещины в эмали;
- нехватка кальция в организме;
- неправильный прикус;
- ослабление иммунной системы;
- гормональные изменения;
- особенности микрофлоры ротовой полости;
- курение.
Скол может произойти и при случайном попадании твердой частицы пищи на зуб. Помимо явных эстетических проблем, это может вызвать повышенную чувствительность эмали и её дальнейшее разрушение. Если затронута пульпа, вскоре появится боль, характерная для пульпита.
Таким образом, на вопрос о том, что делать, если откололся кусок зуба, правильный ответ – незамедлительно обратиться к стоматологу, который предпримет все необходимые меры для быстрого восстановления целостности и формы зуба.
Если откололся кусочек зуба, врачи рекомендуют не паниковать, а обратиться к стоматологу как можно скорее. Важно сохранить отколотую часть зуба, если это возможно, так как это может помочь в восстановлении. Специалисты советуют избегать жесткой пищи и не трогать поврежденный зуб языком, чтобы не усугубить ситуацию. В зависимости от степени повреждения, стоматолог может предложить различные варианты лечения: от пломбирования до установки коронки. Также важно следить за состоянием зуба и при появлении болевых ощущений или признаков воспаления немедленно обратиться за медицинской помощью. Профилактика и регулярные осмотры у стоматолога помогут избежать подобных проблем в будущем.
https://youtube.com/watch?v=eInEYE5frXI
Виды сколов
Независимо от того, произошел ли откол небольшого кусочка эмали или же повреждена вся коронковая часть зуба, это достаточно серьезная проблема, требующая немедленного вмешательства специалиста. В стоматологии различают несколько типов сколов в зависимости от их тяжести:
- трещина на эмали;
- скол эмали;
- скол дентина;
- скол, оголяющий пульпу.
Каждый из этих типов отличается по степени повреждения и затрагиваемой области. Однако, к счастью, все они могут быть восстановлены при условии своевременного обращения к стоматологу.
Трещина на эмали считается наименее серьезным повреждением.
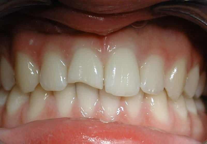
Скол эмали уже представляет собой более серьезную эстетическую проблему, особенно если это касается передних зубов. Обычно его появлению предшествует ослабление эмали, что может быть вызвано неправильным питанием, курением, частыми стрессами, гормональными сбоями, хроническими инфекциями и низким иммунитетом. Повреждения, затрагивающие только эмаль, как правило, не вызывают болезненных ощущений, поэтому многие люди не спешат обращаться к стоматологу, особенно если речь идет о молярах, которые не видны при улыбке. Тем не менее, эмаль продолжает разрушаться, и на месте скола начинают скапливаться вредоносные микроорганизмы.
Скол дентина – это более мягкий слой, расположенный под эмалью. При его повреждении зуб начинает реагировать на горячее и холодное, а также на сладкие и кислые продукты. Если не обратиться к стоматологу вовремя, вскоре дентин может быть полностью разрушен, и пульпа окажется оголенной, что приведет к сильным болевым ощущениям.
Глубокий скол, который вскрывает пульпарную камеру и оголяет нервные окончания, требует немедленного медицинского вмешательства, так как он вызывает сильную боль. Это серьезная травма, которая может привести к потере зуба. Однако, если обратиться за помощью вовремя, зуб можно спасти, удалив нерв, запломбировав каналы и установив коронку.
Если у вас откололся зуб мудрости или любой другой зуб, следуйте этим рекомендациям:
- прополощите рот чистой водой, чтобы удалить остатки эмали;
- если десна травмирована, приложите к ней стерильный бинт, чтобы минимизировать риск инфекции;
- прикладывайте лед к месту скола, чтобы предотвратить отек;
- примите обезболивающее, если боль выраженная.
После этого необходимо как можно быстрее обратиться к стоматологу. Раннее обращение – это залог того, что поврежденную эмаль можно будет восстановить быстро и эффективно.
| Что делать сразу | Что делать в ближайшее время | Чего избегать |
|---|---|---|
| Прополоскать рот теплой водой | Записаться к стоматологу | Не трогать отколотый зуб языком или пальцами |
| Найти отколовшийся кусочек (если возможно) | Избегать жевания на поврежденной стороне | Не есть твердую, горячую или холодную пищу |
| Приложить холодный компресс к щеке (если есть отек) | Принять обезболивающее (при необходимости) | Не пытаться самостоятельно «починить» зуб |
| Избегать давления на поврежденный зуб | Использовать зубную пасту для чувствительных зубов | Не откладывать визит к стоматологу |
Порядок восстановления зуба с отколовшейся эмалью
Если у вас откололся кусочек переднего зуба, решение этой проблемы лучше доверить опытному стоматологу. В некоторых ситуациях достаточно будет установить пломбу, в других – потребуется восстановление зуба с помощью коронок или прикорневых вкладок. Все зависит от места повреждения и его степени.
Также важны общее состояние зуба и глубина повреждения. Основным способом лечения небольших сколов, трещин и дефектов эмали является пломбирование. Для этого применяются композитные материалы, которые обладают светоотражающим эффектом. В случае сколов дентина восстановление осуществляется с помощью твердых вкладок, которые фиксируются на стоматологический клей.
В настоящее время вкладки могут быть изготовлены всего за один день, что позволяет избежать психологического дискомфорта, связанного с повреждением передних резцов. Разные виды сколов устраняются следующим образом:
- Обширные сколы зубной эмали восстанавливаются с помощью виниров, которые выглядят эстетично и защищают эмаль от дальнейшего разрушения.
- Небольшие сколы на уголках зубов устраняются обычной шлифовкой.
- Если утрачена значительная часть эмали, потребуется установка коронки.
- Скол, повредивший пульпу, требует удаления пульпы и установки штифта, чтобы снизить нагрузку на оставшиеся стенки.
Кроме того, выбор метода устранения дефекта будет зависеть от того, какой именно зуб нуждается в восстановлении.
- Зубы мудрости, которые раскололись или скололись, подлежат удалению. Они не видны в ротовой полости и не участвуют в жевании, но могут стать источником инфекции. Кроме того, их сложно качественно запломбировать из-за труднодоступного расположения.
- Техника восстановления моляров подбирается стоматологом индивидуально. Глубокие сколы могут потребовать дополнительного лечения, иногда без удаления пульпы не обойтись. При трещинах или незначительных сколах возможно обойтись пломбированием, но в случае раскола зуба потребуется металлокерамическая коронка.
- Если откололся передний зуб, дальнейшие действия будут зависеть от места скола и глубины повреждения эмали. Современные стоматологи располагают множеством методов для восстановления формы зуба, включая светоотражающие композитные материалы, виниры, металлокерамические коронки и другие современные технологии.
Важно отметить, что пациенты обращаются за стоматологической помощью даже при незначительных повреждениях эмали передних зубов.
Это правильный подход, так как любой дефект может повлиять на речь и мимику. Человек может начать стесняться своей улыбки, что приводит к значительному дискомфорту.
Обращаться к врачу следует независимо от того, какой зуб поврежден. Все виды повреждений эмали могут в скором времени привести к развитию кариеса, пульпита и других заболеваний из-за накопления бактерий в трещинах и сколах.
https://youtube.com/watch?v=gRIgvcGu1uo
Что нужно знать о сколах молочных зубов
К сожалению, сколы на молочных зубах возникают так же часто, как и на коренных. Обычно они появляются в результате неудачных падений ребенка или других травматических ситуаций. В первую очередь, родители начинают паниковать, и это вполне объяснимо, ведь повреждается милейшая улыбка их малыша.
Однако паника не является лучшим решением в данной ситуации. Напротив, важно успокоиться, поддержать ребенка и выполнить следующие шаги:
- убедить малыша прополоскать рот водой, чтобы удалить остатки эмали, пищи и загрязнений;
- продезинфицировать ротовую полость любым подходящим способом;
- в течение суток обратиться к стоматологу.
Во время визита специалист проведет осмотр и сделает рентген, чтобы оценить состояние корней и мягких тканей, окружающих поврежденный зуб. Анатомические особенности молочных зубов таковы, что даже при значительных повреждениях удаление пульпы обычно не требуется. Чаще всего достаточно провести серебрение или фторирование поврежденной части. Эти процедуры помогут сохранить зуб до его естественной замены на коренной.
https://youtube.com/watch?v=03Oz9Vkdf20
Профилактика сколов зубов
Профилактика сколов зубов является важным аспектом поддержания здоровья полости рта. Сколы могут возникать по различным причинам, и их последствия могут быть довольно серьезными. Чтобы минимизировать риск повреждения зубов, следует обратить внимание на несколько ключевых моментов.
1. Правильная гигиена полости рта: Регулярная чистка зубов дважды в день с использованием зубной пасты, содержащей фтор, поможет укрепить эмаль и предотвратить ее разрушение. Не забывайте о зубной нити и ополаскивателе для рта, которые помогут удалить остатки пищи и налет из труднодоступных мест.
2. Избегание жесткой пищи: Употребление слишком жесткой или твердой пищи, такой как орехи, лед или карамель, может привести к сколам. Старайтесь избегать таких продуктов или тщательно их пережевывать.
3. Регулярные визиты к стоматологу: Профилактические осмотры у стоматолога помогут выявить проблемы на ранних стадиях. Стоматолог может рекомендовать фторирование или другие процедуры для укрепления зубной эмали.
4. Использование защитных кап: Если вы занимаетесь контактными видами спорта или имеете привычку скрипеть зубами (бруксизм), использование защитных кап может значительно снизить риск повреждения зубов.
5. Отказ от вредных привычек: Курение и чрезмерное употребление алкоголя могут негативно сказаться на здоровье зубов и десен. Отказ от этих привычек поможет сохранить зубы в хорошем состоянии.
6. Правильное питание: Сбалансированное питание, богатое витаминами и минералами, особенно кальцием и витамином D, способствует укреплению зубов. Избегайте избыточного потребления сахара, который может привести к кариесу и, как следствие, к сколам.
Следуя этим рекомендациям, вы сможете значительно снизить риск откола зубов и сохранить их здоровье на долгие годы.
Когда обращаться к стоматологу
Если вы заметили, что у вас откололся кусочек зуба, важно не паниковать, но и не откладывать визит к стоматологу. В некоторых случаях откол может быть незначительным и не требовать немедленного вмешательства, однако в других ситуациях это может привести к более серьезным проблемам, если не предпринять необходимые меры.
Первым делом оцените степень повреждения. Если откол небольшой и не вызывает боли, вы можете подождать несколько дней, чтобы решить, стоит ли обращаться к врачу. Однако, если вы испытываете дискомфорт, чувствительность к горячему или холодному, или если откол затрагивает нерв, необходимо записаться на прием к стоматологу как можно скорее.
Также стоит обратить внимание на следующие признаки, которые указывают на необходимость немедленного обращения к специалисту:
- Боль: Если откол зуба сопровождается острой или постоянной болью, это может свидетельствовать о повреждении нерва или воспалении.
- Кровотечение: Если из области откола идет кровь, это может быть признаком травмы десен или других серьезных повреждений.
- Отек: Появление отека в области поврежденного зуба или десен также является сигналом к немедленному обращению к стоматологу.
- Изменение цвета зуба: Если откол затрагивает внутренние слои зуба, это может привести к изменению его цвета, что также требует профессиональной оценки.
Не стоит забывать, что даже если откол кажется незначительным, он может привести к дальнейшему разрушению зуба, если не будет должным образом обработан. Стоматолог сможет оценить степень повреждения и предложить оптимальное лечение, которое может включать пломбирование, установку коронки или другие методы восстановления зуба.
В заключение, если у вас откололся кусочек зуба, внимательно следите за симптомами и не откладывайте визит к стоматологу, особенно если вы испытываете боль или другие неприятные ощущения. Чем быстрее вы получите профессиональную помощь, тем меньше вероятность возникновения серьезных осложнений в будущем.
Методы домашнего ухода за зубами после скола
После того как откололся кусочек зуба, важно правильно ухаживать за поврежденной областью, чтобы минимизировать риск дальнейшего повреждения и инфекции. Вот несколько методов домашнего ухода, которые помогут вам в этой ситуации:
- Промывание рта: Сразу после скола рекомендуется аккуратно промыть рот теплой водой. Это поможет удалить остатки пищи и снизить риск инфекции. Избегайте использования жестких щеток или сильных ополаскивателей, которые могут усугубить повреждение.
- Использование зубной нити: Если между зубами остались частицы пищи, аккуратно используйте зубную нить, чтобы удалить их. Будьте осторожны, чтобы не повредить чувствительную область скола.
- Избегание жесткой пищи: В течение первых нескольких дней после скола старайтесь избегать жесткой, хрустящей или горячей пищи, которая может вызвать дополнительный дискомфорт или повредить зуб еще больше. Оптимально выбирать мягкие продукты, такие как йогурт, пюре или супы.
- Обезболивание: Если область вокруг скола вызывает дискомфорт или боль, можно использовать безрецептурные обезболивающие препараты, такие как ибупрофен или парацетамол. Однако перед применением любых медикаментов рекомендуется проконсультироваться с врачом.
- Использование временных пломб: В аптеке можно приобрести временные пломбы, которые помогут защитить отколотый зуб до визита к стоматологу. Эти пломбы обычно представляют собой мягкий материал, который можно легко сформировать и установить на поврежденный участок.
- Соблюдение гигиены: Убедитесь, что вы продолжаете соблюдать регулярную гигиену полости рта. Чистите зубы дважды в день мягкой зубной щеткой и используйте зубную пасту с фтором. Это поможет предотвратить развитие кариеса и других заболеваний зубов.
- Наблюдение за состоянием зуба: Внимательно следите за состоянием отколотого зуба. Если вы заметите изменения, такие как увеличение боли, отек или изменение цвета, это может быть признаком инфекции или других осложнений, и вам следует немедленно обратиться к стоматологу.
Следуя этим рекомендациям, вы сможете минимизировать риск осложнений и подготовиться к визиту к стоматологу для профессионального лечения. Помните, что своевременное обращение к специалисту является ключевым фактором в восстановлении здоровья зубов.


